Записаться
ДУДКИН

ДУДКИН Виктор Сергеевич

Заведующий отделением Клиники хирургии лица
Челюстно-лицевой хирург
Ведущий специалист
Опытные специалисты со стажем от 7 лет. Ведут сложные случаи, обучают врачей и владеют продвинутыми методиками. Подробнее здесь
Стаж работы 19 лет
Принимает в клиниках
Клиника хирургии лица и стоматологии на Сакко и Ванцетти, 77
Категории пациентов
дети
подростки
взрослые

С самого детства меня интересовало все, что касается природы и животного мира. В школе такие предметы как биология, анатомия и химия давались настолько легко, что когда пришла пора определяться с поступлением в вуз, — выбор был очевиден. Это медицинский институт.

Многолетняя практика и постоянное развитие в профессии позволили мне добиться огромных успехов и овладеть в некотором смысле уникальными врачебными навыками. Так, я являюсь одним из немногих в Новосибирске специалистом по ортогнатической хирургии. Также я провожу операции по устранению врожденных и приобретенных деформаций лица. Кроме того, владею методиками лечения широкого спектра хирургических заболеваний челюстно-лицевой области.

Но все это уже сложно назвать банальным словом «работа». Это мое призвание, моя жизнь, мое хобби. В этом плане я считаю себя абсолютно счастливым человеком, потому что могу помогать людям и получать удовольствие от того, чем занимаюсь. А еще меня вдохновляют мои результаты — процесс преображения, который неминуемо возникает у пациентов, когда они избавляются от старых комплексов. Вдохновляет сложная работа нашей большой и дружной команды профессионалов, постановка новых более высоких целей и их достижение.

На мой взгляд, стать хорошим врачом для пациента не сложно, но стать лучшим можно только тогда, когда результат превзошел все ожидания! Таких врачей безоговорочно можно встретить в нашей клинике хирургии лица и стоматологии Дентал-Сервис!

Квалификация

Челюстно-лицевая хирургия
Сертификат до 28.03.2028

Основное образование

2006
Высшее - ГОУ ВПО НГМА Роздрава, лечебное дело
2008
Ординатура - ГОУ ВПО НГМУ Росздрава, хирургия
2011
Ординатура - ГБОУ ВПО НГМУ Минздравсоцразвития России, челюстно-лицевая хирургия

Повышение квалификации, дополнительное образование

2020
Сертификационный курс Министерства здравоохранения РФ «Диагностика, лечение, профилактика новой коронавирусной инфекции (COVID-19) в первичной медико-санитарной помощи»
Профессиональные навыки
Лечение под наркозом
Цифровое протезирование
Выполнение операций с эндоскопом
Результаты лечения пациентов
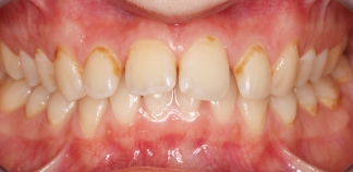
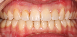
До лечения

Жалобы на нарушение прикуса, трудности при приеме пищи, увеличение нижней трети лица.

Как лечили

Ортодонтическая подготовка. Далее двухчелюстная ортогнатическая операция.

Лечащий врач

ДУДКИН Виктор Сергеевич

До лечения

Жалобы на нарушение прикуса, нарушение эстетических пропорций лица (маленький подбородок).

Как лечили

Ортодонтическая подготовка. Далее остеотомия нижней челюсти.

Лечащий врач

ДУДКИН Виктор Сергеевич

До лечения

Жалобы на нарушение прикуса, асимметрия лица. Увеличен нижний край челюсти с одной стороны, грубые черты лица.

Как лечили

Ортодонтическая подготовка. Далее двухчелюстная ортогнатическая операция с сегментацией верхней челюсти, резекция базального края нижней челюсти и гениопластика.

Лечащий врач

ДУДКИН Виктор Сергеевич

До лечения

Жалобы на нарушение прикуса, нарушение эстетических пропорций лица (маленький подбородок) .

Как лечили

Ортодонтическая подготовка. Далее двухчелюстная ортогнатическая операция и гениопластика.

Лечащий врач

ДУДКИН Виктор Сергеевич

До лечения

Жалобы на нарушение прикуса, нарушение эстетических пропорций лица (маленький подбородок).

Как лечили

Ортодонтическая подготовка. Далее двухчелюстная ортогнатическая операция и гениопластика.

Лечащий врач

ДУДКИН Виктор Сергеевич

До лечения

Жалобы на постоянные головные боли и мышечные боли в области жевательных мышц.
Пациенту 31 год.

Как лечили

Установлена сплит-терапия для расслабления мышечного тонуса далее была установлена самолигирующая брекет-система с декомпенсацией прикуса. После подготовки проведена ортогнатическая хирургия.
Лечение проведено в течение 20 мес.

Лечащие врачи
ЧЕРНЯВСКИЙ Виктор Борисович, МАРЦИ Анастасия Викторовна, ДУДКИН Виктор Сергеевич
До лечения

Жалобы на эстетику лица и зубов, выпирающий подбородок, смыкание зубов.
Пациенту 29 лет.

Как лечили

Заменена пломба на фронтальном зубе, удалены восьмерки. Проведено лечение на самолигирующей брекет-системе Н4, устранили повороты и скученность зубов. Проведена челюстно-хирургическая операция.
Лечение проведено в течение двух лет.

Лечащие врачи
СИЛИЧ Наталья Николаевна, МАРЦИ Анастасия Викторовна, ДУДКИН Виктор Сергеевич
Отзывы пациентов
Виталий Фрейдович
31.12.2025
Дентал-Сервис — огромное спасибо всей команде за высокий профессионализм, заботу и комфорт на каждом визите.
Особенно благодарю:
Виктора Сергеевича за безупречно выполненную операцию и уверенность на пути восстановлени...
Надежда Н
23.06.2025
Делала двух челюстную операцию с сегментацией верхней челюсти и гениопластику у Дудкина Виктор Сергеевича
Доктор, который заслуживает доверия с момента онлайн консультации, настолько грамотный, что проконсультировавшись по в...
Марианна Леверьева
16.06.2025
Огромная благодарность всей команде «Дентал-Сервис» за профессионализм, чуткость и безупречную работу!
Особые слова признательности:
Виктору Сергеевичу Дудкину – моему челюстно-лицевому хирургу, настоящему волшебнику в...
П*ци*нт
29.03.2025
Меня очень впечатлило его отношение к пациентам. Сбор анамнеза прошёл гладко, и сам осмотр был проведён с максимальным вниманием. Я даже не ожидала, что буду писать такие положительные вещи об осмотре. Виктор Сергеевич проявляет д...
Anastasia Zashihina
10.10.2024
Прошла лечение на брекетах у Анастасии Викторовны Марци. Весь процесс занял 2,3 года с 8.02.22г. Лечение прошло легко для меня, хотя как я понимаю, случай был не самый легкий. Анастасия Викторовна подготовила меня к операции, кото...

ДУДКИН Виктор Сергеевич — челюстно-лицевой хирург ведущий специалист в сети стоматологических клиник Дентал-Сервис. Стаж работы 19 лет. Ведет прием у пациентов: взрослые. Оказывает услуги: эндоскопические челюстно-лицевые операции, челюстно-лицевая хирургия, ортогнатические операции, лечение челюстно-лицевых травм, лечение заболеваний пазух и слюнных желез, реконструктивные операции лица, удаление новообразований на лице. Профессиональные навыки: лечение под наркозом, цифровое протезирование, выполнение операций с эндоскопом.

Врач является ведущим специалистом и принимает по повышенному прайсу

Услуга
Цена, руб.

Челюстно-лицевая хирургия

Прием врача-челюстно-лицевого хирурга первичный
от 6 000 руб.
Прием врача-челюстно-лицевого хирурга повторный
В течение 1 года
от 3 000 руб.
Консультативный прием челюстно-лицевого хирурга онлайн (до 30 минут)
В услугу включено: сбор анамнеза и жалоб при патологии полости рта, включая черепно-челюстно-лицевой области
от 6 000 руб.
Повторный консультативный прием врача-челюстно-лицевого хирурга онлайн (до 30 минут)
от 6 000 руб.
Консультативный прием ведущего челюстно-лицевого хирурга онлайн (до 30 минут)
от 6 000 руб.
Повторный консультативный прием ведущего челюстно-лицевого хирурга онлайн (до 30 минут)
от 3 000 руб.
Пребывание в стационаре до 12 часов
Ежедневный осмотр врачом-челюстно-лицевым хирургом с наблюдением и уходом среднего и младшего медицинского персонала в отделении стационара
от 6 900 руб.
Пребывание в стационаре сутки
Ежедневный осмотр врачом-челюстно-лицевым хирургом с наблюдением и уходом среднего и младшего медицинского персонала в отделении стационара
от 13 000 руб.

Травматология челюстно-лицевой области (ЧЛО)

Хирургическая обработка раны или инфицированной ткани ЧЛО легкой степени повреждения
от 9 000 руб.
Хирургическая обработка раны или инфицированной ткани ЧЛО с первичной пластикой мягкими тканями
от 39 000 руб.
Вправление вывиха нижней челюсти
от 7 000 руб.
Репозиция скуловой кости или дуги (закрытая без применения металлоконструкций)
от 15 000 руб.
Наложение шины при переломах костей (временная иммобилизация костей лицевого скелета винтами)
от 22 000 руб.
Наложение шины при переломах костей (временная иммобилизация костей лицевого скелета шинами Васильева)
от 12 000 руб.
Остеосинтез титановой пластиной (одиночный перелом без наркоза)
от 53 000 руб.
Реконструкция стенок глазницы
от 53 000 руб.
Дермабразия рубцов
от 7 000 руб.
Иссечение рубцов кожи, 1 категория
от 12 000 руб.
Костная пластика аутотрансплантатом из ВНУтриротовых источников и/или искусственных имплантов, 1 сегмент
от 88 000 руб.
Костная пластика аутотрансплантатом из ВНЕротовых источников и/или искусственных имплантов, 1 сегмент
от 174 000 руб.

Доброкачественные опухоли челюстно-лицевой области (ЧЛО)

Удаление опухоли мягких тканей головы
от 22 000 руб.
Пункция мягких тканей
от 7 000 руб.
Биопсия опухолей, опухолеподобных образований мягких тканей
от 9 000 руб.
Удаление атеромы (склерозирование атеромы, эпидермальной кисты)
от 7 000 руб.
Хирургическое лечения абцесса мягких тканей (вскрытие фурункула, карбункула)
от 10 000 руб.
Секвестрэктомия 1 категория сложности (1 сегмент челюсти)
Хирургическая операция по удалению воспаленных костных тканей
от 10 000 руб.

Заболевания пазух и слюнных желез

Операция на больших слюнных железах (открытая)
Удаление образований околоушной слюнной железы с выделением и сохранением ветвей лицевого нерва и\или удаление слюнной железы, и\или удаление аденомы слюнной железы
от 82 000 руб.
Операция на больших слюнных железах (эндоскопическая)
от 122 000 руб.
Операция на верхнечелюстной пазухе гайморотомия
от 35 000 руб.
Операция на верхнечелюстной пазухе гайморотомия (эндоскопическая)
от 67 000 руб.
Промывание и бужирование протока слюнной железы
от 1 700 руб.
Удаление камней из протоков слюнных желез
от 18 000 руб.

Хирургическое лечение височно-нижнечелюстного сустава (ВНЧС)

Внутрисуставное введение заменителей (протезов) синовиальной жидкости
от 19 000 руб.
Эндоскопическая операция на ВНЧС, артроскопическая санация сустава (1 сустав)
от 57 000 руб.
Артропластика височно-нижнечелюстного сустава (открытая репозиция суставных дисков ВНЧС, 1 сустав)
от 93 000 руб.

Ортогнатическая хирургия

Прием врача-челюстно-лицевого хирурга с заполнением медицинской документации по ортогнатической хирургии
от 8 300 руб.
Плоскостная остеотомия нижней челюсти
Одночелюстная ортогнатическая операция по исправлению аномалии прикуса: костная ткань челюсти рассекается, челюсть перемещается и устанавливается в нужном положении.
от 290 000 руб.
Двухчелюстная ортогнатическая операция
Ортогнатическая операция по исправлению аномалии прикуса: костная ткань верхней и нижней челюстей рассекается, челюсть перемещается и устанавливается в нужном положении.
от 530 000 руб.
Двухчелюстная ортогнатическая операция с сегментацией
от 590 000 руб.
Хирургическое расширение твердого неба
Операция для расширения узкой верхней челюсти с целью коррекции аномалии прикуса.
от 180 000 руб.
Гениопластика
Рассечение, перемещение, фиксация костной ткани подбородка в необходимом положении.
от 87 000 руб.
Пластика скуловых костей (малярпластика) 1 категория сложности 1 сторона
от 60 000 руб.
Остеотомия верхней челюсти по типу Лефор 1
от 290 000 руб.
Чинг Винг остеотомия нижней челюсти
Вид операции по изменению подбородка
от 155 000 руб.

Реконструктивные операции лица

Реконструктивная пластика носа (открытая)
от 200 000 руб.
Реконструктивная пластика носа (закрытая)
от 338 000 руб.
Реконструктивная риносептопластика
Исправление искривленной носовой перегородки и коррекция формы носа
от 402 000 руб.
Реконструктивная пластика одного века (блефаропластика) без и с пересадкой тканей
от 53 000 руб.
Реконструктивная пластика верхних век без пересадки тканей чрескожным доступом или трансконъюнктивальным доступом
от 75 000 руб.
Реконструктивная пластика нижних век чрескожным подресничным доступом с формированием кожного лоскута, или трансконъюктивальным доступом
от 90 000 руб.
Пластика подкожно-жировой клетчатки (удаление комочков Биша)
от 70 000 руб.
Реконструктивная аурикулопластика (пластика ушных раковин, 1 ухо)
от 66 000 руб.

ЛОР-хирургия

Прием врача-оториноларинголога первичный
от 3 200 руб.
Прием врача-оториноларинголога повторный
В течение 1 года
от 2 100 руб.
Септопластика
Устранение искривления носовой перегородки. Возможно с применением эндоскопа
от 50 000 руб.
Пластика перфорации носовой перегородки (менее 1 см)
от 53 000 руб.
Гайморотомия эндоскопическая (1 сторона)
Хирургическое лечение гайморита
от 47 000 руб.
Гайморотомия эндоскопическая (2 стороны)
Хирургическое лечение гайморита
от 69 000 руб.
Микрогайморотомия эндоскопическая
Удаление кист, инородных тела, полипов, гноя или поражённой сизистой пазух носа
от 52 200 руб.
Фронтотомия эндоскопическая
Операция на лобной пазухе носа для лечения фронтального синусита или при переломах стенок
от 62 000 руб.
Удаление новообразования околоносовых пазух носа
от 57 000 руб.
Фронтотомия (удаление кисты лобной пазухи носа) эндоскопическая
от 62 000 руб.
Инфундибулотомия эндоскопическая
Хирургическое расширение соустья гайморовой пазухи
от 37 000 руб.
Полисинусотомия эндоскопическая
Хирургическое лечение нескольких пораженных околоносовых пазух
от 66 000 руб.
Эндоскопическое удаление полипов носовых ходов
от 32 000 руб.
Эндоскопическое удаление доброкачественного новообразования полости носа
от 28 000 руб.
Конхотомия носовых раковин
Частичное или полное удаление нижних носовых раковин вместе со слизистой оболочкой
от 30 000 руб.
Иссечение синехий и атрезий носа
Лечение нарушения проходимости полости носа
от 26 000 руб.
Эндоскопическая резекция решетчатой буллы
Восстановление проходимости носового прохода
от 32 000 руб.
Тонзилэктомия эндосокпическая
Удаление миндалин.
от 60 000 руб.
Аденоидэктомия эндоскопическая
Удаление аденоидов
от 44 000 руб.
Удаление новообразования глотки
от 29 000 руб.
Шунтирование и дренирование барабанной полости (1 ухо)
Хирургическое лечение отита. Без учета стоимости шунта
от 23 000 руб.
Удаление доброкачественного новообразования наружного слухового прохода
от 73 000 руб.
Миринготомия (1 ухо)
Прокалывание барабанной перепонки для удаления скопившегося в полости содержимого при воспалении уха или с диагностической целью
от 23 000 руб.
Пластика трубного валика эндоскопическая
Коррекция гипертрофированных складок слуховых труб
от 31 000 руб.
Иссечение парааурикулярного свища (1 сторона)
от 30 000 руб.

Тимпанопластика

Тимпанопластика
от 50 000 руб.
Тимпанопластика с применением микрохирургической техники
от 86 000 руб.
Тимпанопластика с применением аллогенных трансплантатов
от 110 000 руб.
Ревизия барабанной полости
от 35 000 руб.
Санирующая операция на среднем ухе с реконструкцией
от 125 000 руб.
Мирингопластика
от 53 000 руб.

Мы предлагаем вам ознакомиться с общим графиком работы врача на месяц. Пожалуйста, обратите внимание, что доступные слоты для записи не указаны. Чтобы узнать свободное время для записи, пожалуйста, свяжитесь с нашим контактным центром. Наши операторы с радостью помогут вам!

Выбрано для предварительной записи:

Другие специалисты

КАБЛУЧКО Кристина Евгеньевна
Врач-стоматолог
Профессорская клиника на Николаева, 12/3 (Академгородок)

Принимает еще в 1 клинике

Записаться
ШАЯСЮК
ШАЯСЮК Роман Александрович
Стоматолог-хирург
Клиника на Никольском проспекте, 1 (Кольцово)
Записаться
БУРКИН Павел Сергеевич
Рентгенолаборант
Клиника на Гребенщикова, 1 (Родники)
Записаться
ШУВАЛОВА
ШУВАЛОВА Юлия Сергеевна
Гигиенист
Клиника на Блюхера, 30
Записаться
ШЕЛЕПОВА (ОМЕЛЬЧЕНКО)
ШЕЛЕПОВА (ОМЕЛЬЧЕНКО) Анастасия Сергеевна
Стоматолог-терапевт
Клиника на Вокзальной, 50/1 (Бердск)
Записаться
ТАЛАЛАЕВА
ТАЛАЛАЕВА Виктория Андреевна
Ортодонт
Клиника на Героев Труда, 4 (Академгородок)

Принимает еще в 1 клинике

Записаться
ТУРОВА
ТУРОВА Дарья Александровна
Стоматолог-хирург
Клиника хирургии лица и стоматологии на Сакко и Ванцетти, 77

Принимает еще в 1 клинике

Записаться
ШАКИРОВА Ксения Сергеевна
Врач-стоматолог
Профессорская клиника на Николаева, 12/3 (Академгородок)
Записаться
КУДРЯВЦЕВА
КУДРЯВЦЕВА Оксана Александровна
Рентгенолаборант
Клиника на Вокзальной, 50/1 (Бердск)
Записаться
БОГОМЯГКОВА (ПЕРЕВАЛОВА) Екатерина Андреевна
Врач-стоматолог
Стоматолог-ортопед
Клиника хирургии лица и стоматологии на Сакко и Ванцетти, 77
Записаться
ДВОРНИКОВ
ДВОРНИКОВ Михаил Александрович
Рентгенолаборант
Клиника на пл. Карла Маркса, 1
Записаться
НИКОЛЕНКО
НИКОЛЕНКО Ксения Ивановна
Врач-стоматолог
Клиника на Вокзальной, 50/1 (Бердск)
Записаться