Записаться
Зубки! Равняйсь... Смирно!
Наведем порядок в зубных рядах: врач-ортодонт расставит все по местам, используя трейнеры, пластинки, расширители неба. И брекеты, конечно!


от 900 руб.
Скученность зубов
Оголены корни
Боли в височно-нижнечелюстных суставах
Увеличенные межзубные промежутки
Повышенная стираемость эмали

Ортодонтия — исправление прикуса

Зубы можно двигать! На этом непреложном принципе основано любое ортодонтическое лечение. Какой бы сложной ни была зубная проблема (неправильный прикус, большие промежутки между зубами или, наоборот, слишком тесное их расположение), наш ортодонт подберет лечение, которое эту проблему сдвинет — в буквальном смысле слова. Идеально, если первый осмотр у ортодонта прошел в 3-5 лет. Но возрастных ограничений для ортодонтического лечения нет, и половина пациентов, которые приходят исправлять прикус — взрослые. Благодаря ортодонтическому лечению они становятся увереннее, красивее, успешнее! Комплексная полноценная диагностика, опытные ортодонты, удобная система оплаты — все это делает ортодонтическое лечение в клиниках Дентал-Сервис Новосибирска предсказуемым и качественным.
Ортодонтия_техИллюстр_01 1.png

Наша работа — эстетика и правильный прикус

Прикус называется правильным, если челюсти соответствуют друг другу и зубные ряды правильно смыкаются.

Улыбка с неправильным прикусом не обязательно плохо выглядит: прикус в большей мере связан со здоровьем суставов и пищеварительной системы. В ортодонтии задача эстетическая (сделать красивой улыбку) и задача функциональная (исправить прикус) решаются всегда в комплексе.


Почему важен правильный прикус?

Здоровье зубов

Правильный прикус снижает нагрузку на зубы и предотвращает их стираемость, сколы и воспаления.

Функциональность

При корректном прикусе человек легко пережевывает пищу, не испытывая боли и дискомфорта в челюсти и свободно дышит и разговаривает.

Эстетика

Правильный прикус поддерживает гармонию лица, улучшает линию улыбки и делает профиль более эстетичным.

Защита суставов

Неправильный прикус перегружает ВНЧС, вызывая боль, щелчки и головные боли. Коррекция снижает эти риски.

Причины ортодонтических нарушений

Наследственный фактор

Определенный тип роста челюстей закладывается еще до рождения и реализуется в период активного роста скелета. В некоторых случаях это может приводить к неправильному прикусу. Например, крупные зубы (как у папы) и мелкая челюсть (как у мамы), а в результате — всем зубам просто не хватает места. Как следствие, у ребенка возникает скученность зубов.

Недостаточная жевательная нагрузка

Если ребенок ест в основном мягкую пищу, его челюсти не получают импульса к развитию. Когда начинают прорезываться постоянные зубы, они просто не помещаются в недоразвитую челюсть. Идеальный тренажером для увеличения жевательной нагрузки является твердая пища, яблоки, морковь, сухари, сушки, мясо куском. Их можно вводить в рацион в 9-10 месяцев в виде мелких кусочков и постепенно увеличивать.

Преждевременная потеря зуба

Если молочный зуб удален раньше срока, окружающие его зубы начинают сдвигаться, занимая место, «зарезервированное» для постоянного зуба. Это приводит к неровности зубного ряда и отсутствию места для прорезывания нового зуба. Та же ситуация возникает у взрослого человека при удалении постоянного зуба: зубы-соседи начинают смещаться, чтобы компенсировать пустоту в зубном ряду.

Индивидуальные особенности и привычки

Неправильное положение языка, дыхание ртом, неправильный тип глотания, сосание пальцев и т.д. приводят к неправильному развитию челюстей.

Кроме ортодонтической коррекции, для исправления подобных нарушений прикуса ортодонтическая клиника может предложить миофункциональную гимнастику и занятия с логопедом.

baner_fokus

Фокус на прикусе

Только у 30% людей челюсти развиваются правильно — остальным требуется помощь ортодонта. Чем раньше обратиться к специалисту, тем проще коррекция.
Записаться на консультацию

Виды ортодонтического лечения.
Способы исправления прикуса

Ортодонтическое лечение назначается после тщательной диагностики и проходит, как правило, в несколько этапов. Врач часто комбинирует разные методы и конструкции для исправления прикуса.

Брекет-системы

Замочки, соединенные дугой и закрепленные на верхней, нижней или одновременно на обеих челюстях. Брекеты оказывают постоянное направленное давление на зубы, в результате чего зубы медленно перемещаются и, в конце концов, занимают нужное положение.

brekety.png

Элайнеры

Прозрачная пластиковая конструкция, которую можно быстро и просто снять и также легко надеть в любой момент. Из-за прозрачности они совсем незаметны на зубах. Они могут использоваться для лечения легких или умеренных случаев проблем с прикусом.

elainer.png

Пластинки

Съемная пластмассовая конструкция, которая крепится на челюсти металлическими крючками. Применяется в детском возрасте для выравнивания зубов, направления роста челюстей, замещения утраченных зубов.

plastinki.png

Миофункциональное лечение

Система тренировки мышц челюстно-лицевой области с помощью специальных силиконовых конструкций — трейнеров и ежедневных упражнений. Помогает устранить приобретенные неправильные привычки и нормализовать функции дыхания, глотания и даже осанку.

mio.png

Сплинт-терапия

Эффективный метод для лечения проблем с височно-нижнечелюстным суставом и дисбалансом мышц челюстно-лицевой области. Сплинт «перепрограммирует» мышцы, приводит их к балансу и тем самым устраняет боли, ограничения открывания рта и смещение челюсти.

splint.png

Несъемные аппараты

Аппараты Дерихсвайлера и Хаас. Используются для расширения верхней челюсти, коррекции перекрестного прикуса, дефицита места для прорезывания резцов и аномалии развития верхней челюсти.

nesjemnye.png

Удерживатели пространства

Несъемная индивидуальная распорка. Используется при ранней потере молочного зуба. Сохраняет пространство в челюсти для нового постоянного зуба.

udergivateli.png

Для каждого возраста — свое решение

У ортодонтического лечения нет возрастных ограничений. Оптимальный возраст для первого похода к ортодонту считается с 4 до 5 лет, когда все молочные зубы прорезались, а ребенок уже спокойно показывает полость рта. Врач оценит дальнейшие перспективы развития зубов и даст рекомендации родителям. В некоторых случаях уже в этом возрасте назначается ношение съемных конструкций с учетом психологической готовности ребенка.

5-12.svg

Дети

parametrs.png

Это стадия активного скелетного роста и формирования патологий прикуса. В этот период имеется возможность коррекции практически всех нарушений с минимальными потерями для пациента. В зависимости от конкретного случая применяются пластины, миофункциональное лечение, трейнеры и брекеты.


13-18.svg

Подростки

parametrs.png

Самый оптимальный период для коррекции с помощью брекетов. В это время у пациента поменялись все молочные зубы на постоянные, но еще идет фаза активного скелетного роста. Зубы податливы, что дает шанс пройти лечение быстро и с минимальными болевыми ощущениями.

18.svg

Взрослые

parametrs.png

Скелетный рост закончился, а впереди целая жизнь. Ровная, красивая улыбка становится важной частью имиджа, а брекеты воспринимаются как необходимый шаг на пути к совершенствованию. Мотивация пациентов на высоте, так что это любимый возраст ортодонтов.

Аномалии прикуса — наш профиль
При серьезных нарушениях прикуса необходима совместная работа ортодонта и хирурга. Ежегодно мы проводим несколько десятков операций по исправлению аномалий прикуса.
Узнать подробнее

Преимущества ортодонтии в Дентал-Сервис

Полноценная диагностика

Список подготовительных процедур выглядит внушительно. Важность всех его составляющих подтверждена годами успешной практики. Некачественная или недостаточная диагностика способна существенно повлиять на сроки и качество лечения. Мы уделяем большое внимание точности, поэтому получаем и анализируем данные в электронном виде.

Гарантированный результат

Снятие ортодонтических конструкций — это еще не конец лечения. Мы несем ответственность за успешный результат даже после этого этапа и приглашаем пациента на приемы. Врач-ортодонт оценивает, насколько хорошо зубы переместились и, в случае проблем, принимает необходимые меры, чтобы сохранить полученный результат.

Удобная система оплаты

Схема оплаты ортодонтического лечения прозрачна и удобна для пациента. Сумма за все лечение, включая обязательные ежемесячные визиты, внеплановые визиты, срочные консультации, ретенционный период, фиксируется в договоре и не меняется, сколь бы длительным не было лечение. Часть суммы (30%) оплачивается сразу, остаток — равными долями в течение фиксированного срока.

Персональное сопровождение

При сложном и длительном лечении пациенту предоставляется друг, помощник и проводник в одном лице — это персональный менеджер. Он проконсультирует по всем вопросам и сделает комплексное лечение комфортным и понятным.

Опыт более 25 лет

Сеть стоматологий Дентал-Сервис не уступает по качеству и лечению специализированным ортодонтическим клиникам. Мы имеем богатый опыт ортодонтического лечения более 25 лет, высококвалифицированных специалистов, которые применяют современное оборудование и предлагают широкий спектр услуг ортодонтии в Новосибирске.

Командный подход

Часто ортодонтическое лечение является частью реабилитационной программы, первым этапом, за которым может следовать имплантация, протезирование. Поэтому ортодонты всегда работают в связке с челюстно-лицевыми хирургами, гнатологами, лор-врачами, остеопатами, неврологами. Врачи берутся даже за самые сложные клинические ситуации среди детей, подростков, взрослых и выполняют все методы ортодонтического лечения по исправлению прикуса.

Доступность врача

Выбирая клиники Дентал-Сервис в Новосибирске с ортодонтическим лечением, вы можете рассчитывать на высочайший профессионализм врачей и соблюдение сроков лечения. Если врач приболел или находится в отпуске, мы оперативно подберем специалиста, который продолжит лечение в соответствии с вашим планом.

Ортодонтия в Дентал-Сервис — это высочайшие стандарты качества. Мы помогли тысячам пациентов, беремся за самые сложные случаи. Специалисты сети постоянно обучаются — в учебном центре Дентал-Сервис и на семинарах по всему миру, а многие технологии — редкие или эксклюзивные для региона.

Как проходит ортодонтическое лечение в клиниках Дентал-Сервис в Новосибирске

1

Консультация

Знакомитесь с врачом, рассказываете пожелания, задаете вопросы. Доктор расскажет о возможном ортодонтическом лечении зубов, озвучит примерные сроки и стоимость. Если вас все устраивает, врач назначает детальную диагностику.

2

Диагностика

Диагностика включает в себя: обзорный снимок зубов (ОПГ) или трехмерный снимок зубов (КТ), снимок головы (ТРГ), 3D-сканирование зубов или силиконовые отпечатки с изготовлением гипсовых моделей челюстей и фотоснимки лица и зубов.

3

Согласование плана лечения

После этапа диагностики врач берет тайм-аут — примерно неделю. За это время он проанализирует данные диагностики и разработает детальный план лечения. Затем вы снова встречаетесь, обсуждаете нюансы предстоящего лечения и смету.

4

Лечение

Ортодонтическое лечение, как правило, длительное и проходит в несколько этапов. Пациенты привыкают к ортодонтической конструкции уже через несколько дней. Для устойчивого прогресса важно не пропускать плановые визиты и соблюдать рекомендации врача, которые касаются питания и ухода за зубами.

5

Фиксация результата

После лечения наступает этап удержания результата — ретенция. Врач подбирает ретенционный аппарат: съемная пластинка, капа, несъемная проволочка на внутренней поверхности зубов. Чем младше пациент, тем короче ретенция. Чтобы убедиться в стабильности результата мы наблюдаем пациента не менее двух лет.

#красавчик_сденталсервис
Жизнь с брекетами временами может быть непростой, но результат того стоит. В этом убеждены все, кто прошел ортодонтическое лечение.
от 57 000 руб.
лечение на брекетах
Записаться к ортодонту

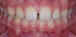
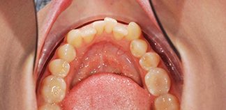
Клинические случаи пациентов

До лечения

Обратились с жалобами на кривые зубы.
Пациенту 10 лет.

Как лечили

Проведено расширение верхней челюсти и миофункциональное лечение с использованием трейнеров и комплекса упражнений.
Срок лечения: 12 месяцев.

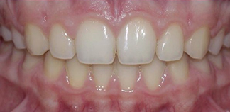
До лечения

Неправильный травмирующий прикус, смещение центра на нижней челюсти влево. Родители хотели избежать ношения брекетов в будущем.
Пациенту 11 лет.

Как лечили

Миофункциональное лечение с использованием трейнеров и комплекса упражнений.
Срок лечения 12 мес.

До лечения

Обратились с жалобой на кривые зубы и недостаток места для постоянных зубов..
Пациенту 9 лет.

Как лечили

Проведено расширение верхней челюсти и миофункциональное лечение с использованием трейнеров и комплекса упражнений.
Срок лечения: 10 месяцев.

До лечения

Обратились с жалобой на недостаток места для постоянных зубов и неправильный прикус.
Пациенту 5 лет.

Как лечили

Миофункциональное лечение с использованием трейнеров и комплекса упражнений.
Срок лечения: 10 месяцев.

До лечения

Обратились с жалобой на торчащие зубы.
Пациенту 9 лет.

Как лечили

Расширение верхней челюсти на несъемном аппарате, миофункциональная терапия: занятия с логопедом, ежедневные упражнения дома, ношение трейнера.
Срок лечения: 7 месяцев.

До лечения

Обратились с жалобой на кривые зубы и недостаток места для постоянных зубов.
Пациенту 10 лет.

Как лечили

Миофункциональное лечение с использованием трейнеров и комплекса упражнений.
Срок лечения: 12 месяцев.

До лечения

Жалобы на неровные зубы.

Как лечили

Проведено ортодонтическое лечение глубокого прикуса на брекетах.

До лечения

Жалобы на неровное положение зубов.

Как лечили

Проведено ортодонтическое лечение на брекетах. Расширен верхний и нижний зубной ряд, убран перекрестный прикус.

До лечения

Жалобы на неровные зубы.

Как лечили

Проведено ортодонтическое лечение на брекетах. Расширен верхний зубной ряд, убран перекрестный прикус, создано место для импланта.

До лечения

Жалоба на некрасивую улыбку.

Как лечили

Проведено терапевтическое лечение, затем лечение на брекетах. После снятия брекетов — отбеливание и эстетическая реставрация передних верхних зубов.

До лечения

Жалобы на неровные нижние зубы.

Как лечили

Проведено ортодонтическое лечение на брекетах.

До лечения

Жалобы на неровные зубы.

Как лечили

Удалены восьмерки, проведено ортодонтическое лечение на брекетах. После снятия отреставрированы передние зубы.

До лечения

Жалобы на скученность зубов.

Как лечили

Ортодонтическое лечение на брекетах. Проведена имплантация и установлены временные коронки в дальнейшем будут установлены постоянные.

До лечения

Жалобы на скученность зубов.

Как лечили

Проведено ортодонтическое лечение на брекетах.

До лечения

Скелетная аномалия прикуса. Дистальный прикус..

Как лечили

Ортодонтическая подготовка. Декомпенсация прикуса. Далее двухчелюстная ортогнатическая операция.

До лечения

Жалобы на "щербинку" между передними зубами.

Как лечили

Проведено ортодонтическое лечение.

До лечения

Жалобы на диастему.
Пациенту 18 лет.

Как лечили

После ортодонтического лечения проведено закрытие трем и диастем на верхней и нижней челюсти художественными реставрациями.

До лечения

Жалобы на отсутствие и неправильную форму зубов.
Пациенту 53 года.

Как лечили

Проведено лечение на брекет-системе. Установлены импланты на месте отсутствующих зубов. Фронтальные верхние зубы закрыты художественной реставрацией.

До лечения

Жалобы на отсутствие и неправильную форму зубов.
Пациенту 53 года.

Как лечили

Проведено лечение на брекет-системе. Установлены импланты на месте отсутствующих зубов. Фронтальные верхние зубы закрыты художественной реставрацией.

До лечения

Жалобы на неровные зубы, отсутствие зуба.
Пациенту 30 лет.

Как лечили

Проведена профессиональная гигиена зубов, удалены два зуба. Зафиксированы самолигирующие брекеты Damon Q на обе челюсти. Установлен имплант.
Лечение проведено в течение двух лет.

До лечения

Жалобы на постоянные головные боли и мышечные боли в области жевательных мышц.
Пациенту 31 год.

Как лечили

Установлена сплит-терапия для расслабления мышечного тонуса далее была установлена самолигирующая брекет-система с декомпенсацией прикуса. После подготовки проведена ортогнатическая хирургия.
Лечение проведено в течение 20 мес.

До лечения

Жалобы на эстетику лица и зубов, выпирающий подбородок, смыкание зубов.
Пациенту 29 лет.

Как лечили

Заменена пломба на фронтальном зубе, удалены восьмерки. Проведено лечение на самолигирующей брекет-системе Н4, устранили повороты и скученность зубов. Проведена челюстно-хирургическая операция.
Лечение проведено в течение двух лет.

До лечения

Жалобы на неровные зубы и стираемость зубов.
Пациенту 16 лет.

Как лечили

Удалены восьмерки сверху и снизу. Проведено ортодонтическое лечение с использованием брекет-систем.
Лечение проведено в течение восемнадцати месяцев.

До лечения

Жалобы на оголение участков корней и повышенную чувствительность, неровные зубы.
Пациенту 34 года.

Как лечили

Скорректирована домашняя гигиена, закрыта рецессия десны на верхней и нижней челюсти. Далее пациент проходил ортодонтическое лечение.
Установлен имплант.

Отзывы пациентов об ортодонтическом лечении в Дентал-Сервис

Vlad Ya
02.03.2026
Лучшая клиника, цена немного выше, но это плата за качество и надежность. Всей семьей являемся клиентами. Отдельное спасибо О.В. Макаровой и Е.Ю. Кидон - никакого дискомфорта, все оперативно, качественно и без лишних слов
Виталий Фрейдович
31.12.2025
Дентал-Сервис — огромное спасибо всей команде за высокий профессионализм, заботу и комфорт на каждом визите.
Особенно благодарю:
Виктора Сергеевича за безупречно выполненную операцию и уверенность на пути восстановлени...
Алексей
18.12.2025
Хочу поблагодарить ортодонта Анастасию Семиволову — исправила сложный случай с долгим передвижением зубов.
Лечился больше 5 лет, всё очень профессионально, и всегда приятные приемы)
Рекомендую
Пациент +7 913 91XXXXX
03.11.2025
К Наталье Валерьевне на прием я попала в 2020 году по направлению челюстно-лицевого хирурга. Несколько врачей искали причину моей боли и смогли найти и помочь только в клинике на Сакко и Ванцетти. Хирург вынес свой вердикт: чтобы ...
Jeff Bezos
23.10.2025
Хочу выразить огромную благодарность моему ортодонту, Малыгина Полина Вячеславовна! Решение поставить брекеты — это всегда волнительно, но с самого первого приема все мои страхи развеялись.
Полина Вячеславовна— не просто выс...
Без имени
12.08.2025
Только положительные эмоции от посещения клиники. Каждый встреченный на своём месте. Администраторы предельно вежливы. Доктора с руками из плеч))))), профессионалы в своём деле. Каждая манипуляция на приёме под...
Daria Yad
05.05.2025
Чудесное место, уютно, чисто, все внимательные - помогут, покажут, расскажут.
Была на консультации у ортодонта Семиволовой Анастасии. Все по делу, ничего лишнего. Помогает рассмотреть разные варианты, в каждом поясняет возм...
Пациент
20.04.2025
Проходила ортодонтическое лечение у Полины Вячеславовны и осталась очень довольна результатом! Носила брекеты два года — у меня был глубокий прикус, но со временем он полностью выровнялся. Полина Вячеславовна — очень внимательный,...
Екатерина М
26.11.2024
Хочу выразить благодарность ортодонту Макаровой Наталье Валерьевне за проделанную работу!! 2.5 года лечения пролетели незаметно ! Я очень довольна результатом всем рекомендую за красивой улыбкой к Наталье Валерьевне !
Anastasia Zashihina
10.10.2024
Прошла лечение на брекетах у Анастасии Викторовны Марци. Весь процесс занял 2,3 года с 8.02.22г. Лечение прошло легко для меня, хотя как я понимаю, случай был не самый легкий. Анастасия Викторовна подготовила меня к операции, кото...
Елена Миночкина
02.08.2024
Очень большое спасибо за консультацию Зарезновой Екатерине Андреевне врачу-ортодонту. Она сказала, что мои зубы, которые разъехались после ношения брекетов, можно выпрямить частичной постановкой системы. Урааа. Устанавливала бреке...
G*eK*Z0*D
09.07.2024
Несколько лет наблюдаюсь тут у стоматологов и хожу на профессиональную чистку со фторированием, а в прошлом году поставил брекеты тоже в этой клинике. Анастасия Викторовна Марци - ван лав) Никогда не было каких-либо нареканий....
Дарья Гольцова
19.06.2024
Хочу выразить благодарность всему коллективу клиники. Лечусь два года, прошла ортодонтическое лечение и операцию. Четкая, слаженная команда, профессионалы своего дела! Своих докторов благодарю от всей души!
Ортодонт Макаров...
Алина Глушич
11.04.2024
Прекрасная клиника! Желаю выразить огромную благодарность доктору Марци Анастасии Викторовне, знакомство с ней буквально изменило мою жизнь на до и после. Проходила у нее лечение на брекет-системе и у меня изменилась не только улы...
Пациент
24.02.2024
Рекомендую Макарову Наталью Валерьевну как настоящего профессионала, который занимается любимым делом много лет, постоянно развивает свои навыки, обучается. Она очень внимательный, ответственный и позитивный человек. Обращалась к ...
П*ль*ов*те*ь *аП*пр*вк*
30.01.2024
Очень была удивлена, что нет отзывов у стомотолога-ортодонта Полины Вячеславовны. Такая чуткая, внимательная, знающая свое дело врач. Сперва сходили к ней на консультацию по рекомендации, она смогла сразу найти общий яз...
Пациент +7 913 48XXXXX
27.06.2023
Не первый ортодонт в моей жизни, но теперь самый любимый! Наталья Валерьевна сотворила чудо с моими зубами! Да, не сюсюкается, как многие любят, да, иногда бывает так, что абсолютно здоровые и нужные зубы говорит - удалять! Но она...
Анастасия Агамян
30.04.2023
Виктория Андреевна - лучший ортодонт!!! Взялась за уже начатую работу, которую переделывает полностью. Ещё в брекетах, но вижу результат и уже довольна.
Пациент +7 923 77XXXXX
04.11.2022
Обратился в клинику "Дентал-сервис"! Записали на прием к Марци Анастасии Викторовне, по прибытии в клинику администраторы встретили вежливо. В назначенное время вышел врач и пригласил меня в кабинет, сделали снимок и сле...
Пациент +7 913 50XXXXX
21.09.2021
Обратилась к Наталье Валерьевне в 09.19 г. с болями в височно-нижнечелюстных суставах, уже было сложно жевать. После обследования назначили лечение, установили брекеты​. Боли прошли на этапе ношения капы​. Доктор серьёзная, доброж...
Заполните форму
Данные пациента
Выбрать врача и специализацию

    Часто задаваемые вопросы

    От чего зависит срок ортодонтического лечения?

    — От сложности ситуации в полости рта.
    — От возраста — чем моложе пациент, тем короче срок лечения.
    — От дисциплины пациента.
    Советуем не пропускать контрольные осмотры и выполнять все рекомендации врача ортодонтической клиники.

    У меня неправильный прикус, в чем может быть причина?

    Причин неправильного прикуса может быть несколько:
    — Наследственный фактор.
    — Недостаточная жевательная нагрузка, в рационе только мягкая пища.
    — Преждевременная потеря зуба.
    — Индивидуальные особенности и привычки (неправильное положение языка, дыхание ртом, неправильный тип глотания, сосание пальцев и т.д.)

    От чего зависит стабильность результата?

    Стабильность результата ортодонтического лечения зависит от множества факторов:
    — Правильная диагностика и планирование лечения.
    — Выбор метода лечения, который обеспечивает эффективное и стабильное лечение.
    — Соблюдение рекомендаций врача: после начала ортодонтического лечения пациент должен строго следовать рекомендациям врача, таким как ношение брекетов или элайнеров в течение определенного времени, соблюдение диеты и уход за зубами и полостью рта.
    — Последующее наблюдение после завершения ортодонтического лечения, которое помогает предотвратить возможные проблемы.
    — Образ жизни пациента и вредные привычки, которые могут негативно сказаться на стабильности результатов ортодонтического лечения.
    — Профессиональные навыки ортодонта: опыт и квалификация ортодонта также играют важную роль в лечении и сохранении результата.

    Ортодонтическое лечение — это больно?

    Ортодонтическое лечение может вызывать дискомфорт, особенно в первые дни после установки брекетов или других ортодонтических аппаратов для исправления прикуса у взрослых и детей. Это связано с тем, что зубы и десны адаптируются к новым условиям. Однако боль обычно терпима и проходит через несколько дней или недель.

    В каких случаях используются микроимпланты?

    Одной из главных задач ортодонтического лечения является контролируемое перемещение зубов в их правильное положение. Но для того, чтобы «двигать» зуб нужна надежная опора. Чаще всего опорой служат другие зубы, но при этом они неизбежно перемещаются сами. Иногда это допустимо, но бывают случаи, когда такое взаимное перемещение зубов осложняет лечение и требуется абсолютно жесткая или максимальная фиксация опоры, которая имеет высокое «сопротивление к смещению».

    Поэтому исключительно для ортодонтического лечения были разработаны специальные микроимпланты, которые играют роль опоры. Микроимпланты — миниатюрные приспособления диаметром всего 1,3-2 мм, изготовленные из сплава титана, внешне напоминающие шуруп, с маленькой гладкой головкой. Они легко устанавливаются и практически не ощущаются во рту, не вызывают никакого дискомфорта. К ним фиксируется резиновая или металлическая тяга, которая совершает нужное перемещение зубов. Выполнив свою опорную функцию, микроимпланты также легко удаляются, не оставляя следа.

    Как правило, микроимпланты используются дополнительно к лечению брекет–системой, но также возможна установка микроимпланта для исправления положения отдельных зубов без фиксации аппарата на весь зубной ряд.

    Какие есть методы исправления прикуса у взрослых?

    1. Брекет-системы
    Брекеты остаются самым эффективным методом исправления прикуса. Они позволяют точно контролировать перемещение каждого зуба, выравнивая их положение и восстанавливая правильное смыкание челюстей. Цена исправления прикуса у взрослых с помощью брекетов зависит от вида системы и длительности лечения.

    2. Элайнеры
    Элайнеры — это набор индивидуальных прозрачных капп, которые последовательно смещают зубы в нужное положение. Они удобны, почти незаметны и снимаются во время еды или чистки зубов.

    3. Хирургическое исправление прикуса
    Когда деформация челюстей выраженная и ортодонтические методы не дают нужного результата, применяется ортогнатическая хирургия. Операция проводится совместно с ортодонтом и хирургом, восстанавливает симметрию лица и правильное смыкание зубов. Такое лечение комплексное и занимает больше времени, но даёт стабильный и долговечный результат.

    В каких случаях необходима помощь ортодонта?

    1. Эстетические причины
    Если есть видимые дефекты в зубах или прикусе — неравномерное расположение зубов, неправильный прикус, щели между зубами, асимметрия мягких тканей и твердых структур лица. Ортодонт поможет оценить ситуацию и предложит оптимальное исправление прикуса, чтобы улучшить гармонию лица и уверенность в себе.

    2 Функциональные нарушения
    Если появляются сложности с жеванием, дыханием, глотанием, речью, повышенная стираемость эмали, боль в мышцах лица или проблемы с ВНЧС, это прямой сигнал обратиться за консультацией. Такие симптомы часто указывают на необходимость исправления прикуса, чтобы восстановить правильную работу зубочелюстной системы.

    3. Детская профилактика
    Дети в 100% случаев обязаны пройти осмотр врача-ортодонта. Это позволит исключить развитие разного вида патологий либо своевременно выявить и начать корректировать.

    4. Исправление прикуса у взрослых

    Некоторые считают, что ортодонтия — только для детей, но это не так. Современные методы позволяют выполнять исправление прикуса у взрослых эффективно и комфортно, независимо от возраста.



    Какие бывают виды неправильного прикуса?

    В ортодонтии выделяют несколько вариантов нарушений прикуса. Каждый из них проявляется по-своему, влияет на эстетику улыбки и работу челюсти и требует индивидуального подхода к лечению и исправлению прикуса.

    1. Правильный прикус (норма)
    Зубы верхней и нижней челюсти смыкаются гармонично: они равномерно пережевывают пищу и распределяют нагрузку, а также меньше подвержены стиранию.

    2. Дистальный прикус
    В этом случае верхняя челюсть заметно выступает вперед относительно нижней. Проявляться нарушение может по-разному:
    — протрузия — верхние резцы наклонены вперед;
    — ретрузия — верхние резцы наклонены назад.

    3. Мезиальный прикус
    Нижняя челюсть выдвигается вперед по сравнению с верхней. Лицо приобретает характерный профиль, нарушается правильное смыкание зубов и функциональная нагрузка.

    4. Вертикальные нарушения прикуса
    К этой группе относятся два противоположных состояния:
    Глубокий прикус — верхние зубы почти полностью перекрывают нижние, что может вызывать травмы мягких тканей и дискомфорт.
    Открытый прикус — между зубами остается промежуток даже при смыкании челюстей, что затрудняет речь и жевание.

    5. Трансверсальные нарушения — перекрестный прикус
    Это ситуация, когда зубы смыкаются несимметрично, что чаще всего связано с сужением или недоразвитием одной из челюстей.

    У любого вида неправильного прикуса могут быть разные степени выраженности. И чем раньше начинается исправление прикуса, тем проще проходит лечение и стабильнее результат.

    Супертехнологии
    Челюстно-лицевая хирургия
    Дентал-Сервис – это не только стоматология. В 2017 году мы открыли Клинику хирургии лица, в которой помогаем пациентам с диагнозами из смежных областей – от тяжелых аномалий прикуса до последствий травм тканей лица.
    Подробнее
    Челюстно-лицевая хирургия
    Лечение под микроскопом
    100% микроскопизация — глобальный вектор компании. В нашей команде более 60 микроскопистов, аналогов в России нет. Все терапевтическое лечение — от кариеса до каналов — мы проводим с микроскопом.
    Подробнее
    Лечение под микроскопом
    Лечение детей под наркозом
    В Дентал-Сервис можно спать спокойно! Безопасность и качество лечения под наркозом в наших клиниках отвечают самым высоким требованиям, а анестезиологи — суперпрофессионалы с огромным опытом. За двенадцать лет мы провели более 10000 лечений — у детей и взрослых.
    Подробнее
    Лечение детей под наркозом
    Травма детского зуба
    Травма зуба — не повод его потерять. Восстановим сломанный зуб, приживим выбитый. Зуб продолжит расти и развиваться! Сохранение нерва травмированного зуба — высший пилотаж, наш эксклюзив.
    Подробнее
    Травма детского зуба
    Эстетическая стоматология
    Эстетическая стоматология — наша гордость. Колоссальный опыт, художественное чутье, передовые технологии и работа в команде — вот секреты мастеров, возрождающих шедевр вашей улыбки.
    Подробнее
    Эстетическая стоматология
    Имплантация зубов
    Ставим имплантаты всерьез и надолго. Готовы помочь даже в самых сложных клинических случаях и делаем все, чтобы новые зубы стали полноценной, долговечной заменой утраченным.
    Подробнее
    Имплантация зубов
    БЕЛОВА Полина Сергеевна
    Врач-стоматолог
    Ортодонт
    Клиника на Гребенщикова, 1 (Родники)
    Записаться

    Мы предлагаем вам ознакомиться с общим графиком работы врача на месяц. Пожалуйста, обратите внимание, что доступные слоты для записи не указаны. Чтобы узнать свободное время для записи, пожалуйста, свяжитесь с нашим контактным центром. Наши операторы с радостью помогут вам!

    Выбрано для предварительной записи:
    ГАШИМОВА Кристина Гасановна
    Ортодонт
    Врач-стоматолог
    Клиника на Революции, 10
    Записаться

    Мы предлагаем вам ознакомиться с общим графиком работы врача на месяц. Пожалуйста, обратите внимание, что доступные слоты для записи не указаны. Чтобы узнать свободное время для записи, пожалуйста, свяжитесь с нашим контактным центром. Наши операторы с радостью помогут вам!

    Выбрано для предварительной записи:
    ЗАРЕЗНОВА
    ЗАРЕЗНОВА Екатерина Андреевна
    Ортодонт
    Клиника на Героев Труда, 4 (Академгородок)

    Принимает еще в 1 клинике

    Записаться

    Мы предлагаем вам ознакомиться с общим графиком работы врача на месяц. Пожалуйста, обратите внимание, что доступные слоты для записи не указаны. Чтобы узнать свободное время для записи, пожалуйста, свяжитесь с нашим контактным центром. Наши операторы с радостью помогут вам!

    Выбрано для предварительной записи:
    КОВАЛЕВА
    КОВАЛЕВА Валерия Игоревна
    Врач-стоматолог
    Клиника на Гребенщикова, 1 (Родники)

    Принимает еще в 1 клинике

    Записаться

    Мы предлагаем вам ознакомиться с общим графиком работы врача на месяц. Пожалуйста, обратите внимание, что доступные слоты для записи не указаны. Чтобы узнать свободное время для записи, пожалуйста, свяжитесь с нашим контактным центром. Наши операторы с радостью помогут вам!

    Выбрано для предварительной записи:
    МАКАРОВА
    МАКАРОВА Наталья Валерьевна
    Ортодонт
    Клиника хирургии лица и стоматологии на Сакко и Ванцетти, 77
    Записаться

    Мы предлагаем вам ознакомиться с общим графиком работы врача на месяц. Пожалуйста, обратите внимание, что доступные слоты для записи не указаны. Чтобы узнать свободное время для записи, пожалуйста, свяжитесь с нашим контактным центром. Наши операторы с радостью помогут вам!

    Выбрано для предварительной записи:
    МАЛЫГИНА
    МАЛЫГИНА Полина Вячеславовна
    Ортодонт
    Врач-стоматолог
    Клиника на Никольском проспекте, 1 (Кольцово)
    Записаться

    Мы предлагаем вам ознакомиться с общим графиком работы врача на месяц. Пожалуйста, обратите внимание, что доступные слоты для записи не указаны. Чтобы узнать свободное время для записи, пожалуйста, свяжитесь с нашим контактным центром. Наши операторы с радостью помогут вам!

    Выбрано для предварительной записи:
    МАРЦИ
    МАРЦИ Анастасия Викторовна
    Ортодонт
    Клиника хирургии лица и стоматологии на Сакко и Ванцетти, 77
    Записаться

    Мы предлагаем вам ознакомиться с общим графиком работы врача на месяц. Пожалуйста, обратите внимание, что доступные слоты для записи не указаны. Чтобы узнать свободное время для записи, пожалуйста, свяжитесь с нашим контактным центром. Наши операторы с радостью помогут вам!

    Выбрано для предварительной записи:
    НИКУЛИНА Анастасия Константиновна
    Врач-стоматолог
    Ортодонт
    Клиника на Вокзальной, 50/1 (Бердск)
    Записаться

    Мы предлагаем вам ознакомиться с общим графиком работы врача на месяц. Пожалуйста, обратите внимание, что доступные слоты для записи не указаны. Чтобы узнать свободное время для записи, пожалуйста, свяжитесь с нашим контактным центром. Наши операторы с радостью помогут вам!

    Выбрано для предварительной записи:
    СЕМИВОЛОВА
    СЕМИВОЛОВА Анастасия Владимировна
    Ортодонт
    Ведущий специалист
    Клиника на Вокзальной, 50/1 (Бердск)

    Принимает еще в 1 клинике

    Записаться

    Мы предлагаем вам ознакомиться с общим графиком работы врача на месяц. Пожалуйста, обратите внимание, что доступные слоты для записи не указаны. Чтобы узнать свободное время для записи, пожалуйста, свяжитесь с нашим контактным центром. Наши операторы с радостью помогут вам!

    Выбрано для предварительной записи:
    СЕРЖАНТОВА (ВНУКОВА)
    СЕРЖАНТОВА (ВНУКОВА) Анастасия Олеговна
    Ортодонт
    Клиника на Героев Труда, 4 (Академгородок)
    Записаться
    Выбрано для предварительной записи:
    СМЕТАНЕНКО
    СМЕТАНЕНКО Юлия Святославовна
    Ортодонт
    Клиника на Революции, 10
    Записаться

    Мы предлагаем вам ознакомиться с общим графиком работы врача на месяц. Пожалуйста, обратите внимание, что доступные слоты для записи не указаны. Чтобы узнать свободное время для записи, пожалуйста, свяжитесь с нашим контактным центром. Наши операторы с радостью помогут вам!

    Выбрано для предварительной записи:
    ТАЛАЛАЕВА
    ТАЛАЛАЕВА Виктория Андреевна
    Ортодонт
    Клиника на Героев Труда, 4 (Академгородок)

    Принимает еще в 1 клинике

    Записаться

    Мы предлагаем вам ознакомиться с общим графиком работы врача на месяц. Пожалуйста, обратите внимание, что доступные слоты для записи не указаны. Чтобы узнать свободное время для записи, пожалуйста, свяжитесь с нашим контактным центром. Наши операторы с радостью помогут вам!

    Выбрано для предварительной записи:
    ШКОДИНА
    ШКОДИНА Софья Алексеевна
    Врач-стоматолог
    Клиника на пл. Карла Маркса, 1
    Записаться

    Мы предлагаем вам ознакомиться с общим графиком работы врача на месяц. Пожалуйста, обратите внимание, что доступные слоты для записи не указаны. Чтобы узнать свободное время для записи, пожалуйста, свяжитесь с нашим контактным центром. Наши операторы с радостью помогут вам!

    Выбрано для предварительной записи:
    Услуга
    Цена, руб.

    Ортодонтический прием и диагностика

    Прием врача-ортодонта первичный
    от 900 руб.
    Прием врача-ортодонта повторный для составления плана лечения
    от 1 900 руб.
    Прием врача-ортодонта пациентов проходящих лечение в другой клинике
    от 4 900 руб.
    Компьютерный анализ телерентгенограммы
    от 4 200 руб.
    Полная диагностика перед ортодонтическим лечением
    Услуга включает: снятие альгинатного оттиска с одной челюсти или сканирование, определение прикуса, изготовление контрольной модели при ортодонтическом лечении, антропометрические исследования, анализ ТРГ, фотографирование, составление плана лечения
    от 8 500 руб.
    Функциональная диагностика с использованием артикулятора
    Услуга включает: определение вида смыкания зубных рядов с помощью лицевой дуги, снятие альгинатного оттиска с одной челюсти, сканирование, определение прикуса, изготовление контрольной модели при ортодонтическом лечении, антропометрические исследования, гипсовка в артукулятор, фотографирование.
    от 18 000 руб.

    Комплексное лечение на брекетах

    Раннее лечение с использованием металлических брекетов на одной челюсти
    Ортодонтическое лечение у подростка в период смены зубов с молочных на постоянные.
    от 57 000 руб.
    Раннее лечение с использованием эстетических брекетов на одной челюсти
    Ортодонтическое лечение у подростка в период смены зубов с молочных на постоянные.
    от 83 000 руб.
    Полное лечение с использованием металлических брекетов на одной челюсти
    Ортодонтическое лечение, когда все зубы у пациента уже сменились на постоянные.
    от 129 000 руб.
    Полное лечение с использованием эстетических брекетов на одной челюсти
    Ортодонтическое лечение, когда все зубы у пациента уже сменились на постоянные.
    от 189 000 руб.

    Лечение на элайнерах

    Прием врача-ортодонта повторный для планирования и составления плана ортодонтического лечения на элайнерах (3D-клинчек)
    Выполнение 3D-клинчек – это видеоматериал с виртуальной объемной моделью перемещения зубов при лечении. Его создание возможно только после диагностики. Выполняется перед началом лечения, служит для визуализации и для последующего производства элайнеров.
    от 15 000 руб.
    Ортодонтическая коррекция с применением элайнеров "DentalAlign", 1 шт
    от 8 500 руб.
    Ортодонтическая коррекция с применением элайнеров "StarSmile" (1-10 кап) у взрослых и подростков
    от 100 000 руб.
    Ортодонтическая коррекция с применением элайнеров "Eurokappa" (1-12 кап)
    от 160 000 руб.
    Ортодонтическая коррекция с применением элайнеров "FlexLigner" на 1 челюсти
    от 266 000 руб.

    Лечение на съемных аппаратах

    Прием врача-ортодонта повторный (при лечении на съемном аппарате)
    Выбор съемного аппарата производит лечащий врач после диагностики на осном приеме. Список апааратов, выведенный на сайте, является ознакомительным.
    от 1 000 руб.
    Ортодонтическая коррекция съемным аппаратом вестибулярная пластинка
    от 12 600 руб.
    Ортодонтическая коррекция съемным аппаратом LM-активатор
    от 15 000 руб.
    Ортодонтическая коррекция съемным аппаратом Миобрейс
    от 15 500 руб.
    Ортодонтическая коррекция съемным аппаратом "Haas"
    от 36 800 руб.

    Миофункциональное лечение

    Прием врача-ортодонта повторный для планирования и составления плана миофункционального лечения
    от 6 900 руб.
    Диагностика первичная при миофункциональном лечении
    В услугу включено: антропометрические исследования, снятие альгинатного оттиска с одной челюсти, изготовление контрольной модели, составление плана лечения.
    от 9 000 руб.
    Ортодонтическое лечение с применением миофункциональных аппаратов
    Уникальная услуга, альтернативный способ исправления прикуса. В основе курса — система тренировки мышц челюстно-лицевой области с помощью функциональных аппаратов — трейнеров и ежедневных упражнений.
    от 101 400 руб.
    Курс консультаций по использованию миофункционального аппарата с комплексом упражнений (10 приемов)
    Консультация проводится совместно с логопедом
    от 28 400 руб.

    Цены на услуги стоматологии указаны базовые. Стоимость приема и лечения у ведущих специалистов выше от 20% до 50%.
    Цены на сайте не являются публичной офертой.