Записаться
Великолепная улыбка. Без компромиссов. Без обточки
Виниры — лучшее решение для тех, кто мечтает об идеальной улыбке, но хочет избежать радикальных вмешательств.
от 48 000 руб.
Неровность зуба
Широкие межзубные промежутки
Сколы или трещины на эмали
Изменение цвета эмали

Виниры на зубы

Время диктует правила — сейчас все должно быть «супер», «ультра» и «экстра». Такова и новая технология установки виниров без обточки тканей зуба — экстрасложная, ультраточная, суперсовременная. Пожалуй, идеальный вариант для тех, кто мечтает о великолепной улыбке, но не хочет обрабатывать зубы и ставить классические виниры или коронки.
винир.png

Что такое винир?

Поверхность зуба полностью закрывается тончайшей керамической пластинкой. Фиксируются виниры на фронтальной поверхности зуба. Керамика многослойная, сложная по структуре, максимально приближенная по внешнему виду и свойствам к эмали зуба.


Какие дефекты можно исправить винирами?

Размер

Восстановить длину и форму зуба.

Неровности цвета

Повысить тон зубов, сделают их белее, особенно актуально, когда отбеливание с этим не справляется.

Промежутки между зубами

Привести все зубы передней зоны к единой форме.

Эстетические дефекты

Перекрыть изъяны: пятна, разрушенные участки, отсутствующую эмаль, небольшие развороты — в общем, все то, то что не поддается терапевтическому лечению.

Возрастные изменения

Вернут эмали прозрачный режущий край, который выглядит так молодо и эффектно.

Отличия ультратонкого от классического винира

Виниры для зубов могут быть как ультратонкими (от 0,3 мм), так и обычными. Выбор зависит от «рельефа» зубов — на сколько нужно нарастить толщину накладки, чтобы выстроить зубы в идеальный ряд. Каждый винир, будь он ультратонким или классическим сделан вручную, на самом современном высокоточном оборудовании Дентал-Сервиса. Поэтому при установке происходит минимальное вмешательство и ультраделикатное отношение к родным зубам пациента.

И все таки отдаем предпочтения более новым ультратонким винирам и вот почему:

Без обточки

Для установки винира без обточки слой эмали не обрабатывается бором (лишь иногда требуется небольшая пришлифовка) — мы максимально сохраняем зуб в первозданном виде. Нет обработки бором — не нужна анестезия. Все, что нужно — немного терпения.

Ультраточность

Почему винир нового поколения прочный? Он практически сливается с поверхностью зуба, образуя с эмалью единое целое. Прочность зуба только увеличивается, поскольку твердость керамики многократно превосходит прочность эмали. Добиться точности прилегания — очень непростая задача. И только абсолютная точность при изготовлении и фиксации гарантируют стопроцентное прилегание винира к зубу, а значит, его прочность и долговечность.

Индивидуальный подход

Виниры в Дентал-Сервис - это «кастомизированное» решение — как мода «от-кутюр», по сравнению с масс-маркетом — индивидуальное изготовление и точная подгонка. Лично под вас.

moda_ot_kutur.jpg

Из чего изготавливаются виниры в Дентал-Сервис?
Виды виниров по материалам

В эстетической стоматологии используются разные виды виниров. Выбор материала зависит от исходной проблемы, ожиданий и бюджета пациента.

Керамика — one love наших врачей и пациентов. Керамические виниры — это один из самых популярных и современных видов эстетических накладок, используемых в стоматологии. E-max и диоксид циркония — это высокопрочные и эстетически привлекательные материалы, который используются в наших клиниках для создания тонких виниров на передние зубы.

Наши врачи и пациенты единодушны во мнении: виниры из керамики Emax и диоксида циркония — это маст-хэв в мире эстетической стоматологии.

Композитные виниры

Композитный пломбировочный материал

Быстрое выполнение. Подходит для одиночной реставрации. Бюджетный способ быстрого эстетического восстановления.

Цена восстановления композитным виниром (художественная реставрация) от 18 500 руб.
Консультация по установке от 900 руб.
Толщина
0,5-1 мм
Срок службы от 3 до 5 лет
Необходимость обточки минимальная
Цифровое планирование нет
Срок установки 2-3 визита

Примерки эскиза будущей улыбки нет. Моделирование стоматологом в полости рта.

Для поддержания результата потребуется раз в год посещать стоматолога для обновления улыбки и полировки для блеска.

Керамические виниры E-max

Материал стеклокерамика

Современный прочный материал. При установке выглядит естественно - суперэстетика. Высокая устойчивость цвета.

Цена восстановления зуба виниром от 48 000 руб.
Цена восстановления зуба ультратонким виниром
от 57 000 руб.
Консультация по установке бесплатно
Толщина 0,5-1 мм
Срок службы более 10 лет
Необходимость обточки минимальная
Цифровое планирование да
Срок установки 3-4 визита

Примерка эскиза будущей улыбки в полости рта для согласования желаемого результата. Изготовление 3D-модели.

Для поддержания результата не требует дополнительных визитов. Необходима регулярная профгигиена раз в полгода.

Циркониевые виниры

Материал диоксид циркония

Современный высокопрочный и эстетический материал. Имеет высокую устойчивость цвета к внешнему воздействию.

Цена восстановления зуба виниром от 48 000 руб.
Цена восстановления зуба ультратонким виниром от 57 000 руб.
Консультация по установке бесплатно
Толщина 0,5-1 мм
Срок службы более 10 лет
Необходимость обточки минимальная
Цифровое планирование да
Срок установки 3-4 визита

Примерка эскиза будущей улыбки в полости рта для согласования желаемого результата. Изготовление 3D-модели.

Для поддержания результата не требует дополнительных визитов. Необходима регулярная профгигиена раз в полгода.ㅤㅤ


Любоваться собой
Подойдем комплексно: цвет, форма, ровность зубного ряда и исправление десен. Все чтобы улыбка была шедевром.
Записаться на консультацию

Преимущества установки виниров в Дентал-Сервис:
суперсложность и ультраэксклюзив

«Винир без обточки»— работа высокого класса, вызов для специалиста по эстетике улыбки. И работу эту невозможно сделать без соблюдения ряда условий. Только в этом случае результат будет предсказуемый, красивый, долговечный.

Высочайшая точность

От сканирования до установки винира мы работаем с увеличением. Стоматологический микроскоп и оптика — наше все.

А еще мы работаем исключительно в цифре, чтобы добиться всех условий для успешного результата.

Собственное изготовление

Дентал-Сервис имеет собственную современнейшую зуботехническую лабораторию, укомплектованную всем необходимым. Мы не экономим на оборудовании и материалах, так как знаем, насколько сильно это влияет на результат.

Минимальная обработка зубов

Каждый наш врач стремится сохранить как можно больше ткани зубов, а где это возможно и вовсе не трогать поверхность.

Материалы XXI века

Точность, цвет и долговечность винира для зубов напрямую зависят от всех материалов, задействованных в процессе. Поэтому мы используем самые современные материалы, которые прошли сертификацию в России. Они абсолютно безопасны и долговечны.

Эксперты по красоте

Сделать улыбку превосходной, не потеряв при этом ее индивидуальность, — высший пилотаж арт-стоматологии. Эта очень непростая задача под силу специалистам, которые действительно «в теме».

Можно в рассрочку

Для пациентов, у которых нет возможности внести всю сумму единовременно, мы предоставляем рассрочку без процентов и без участия банков.

2 года гарантии

Отклейка, поломка и другие неприятные неожиданности — в течение двух лет мы берем все хлопоты по исправлению на себя.

Этапы установки виниров на зубы

1

Знакомство

Узнаем предпочтения и обсуждаем возможные варианты преображения. Делаем фото и цифровые сканы каждой челюсти для изготовления 3D-модели будущей улыбки.

2

Примерка эскиза будущей улыбки в полости рта

Ко второму приему примеряем эскиз улыбки. Делаем фотопротокол с разных ракурсов – вы должны быть уверены, что улыбка устраивает вас на все 100%!

3

Подготовка к «слиянию»

Когда пациент точно уверен, что эскиз улыбки его полностью устраивает, врач препарирует зубы, снова сканирует полость рта и отправляет данные технику. На время изготовления постоянных виниров (одна-две недели) пациенту выдаются временные.

4

Примерка готовых виниров «от-кутюр»

Прошло одна-две недели. Результат кропотливого, виртуозного, вдохновенного труда перед вами — ваши индивидуальные виниры готовы. Делаем окончательную примерку.

5

День ультра-перемен

Установка виниров суеты не терпит. От тридцати минут до часа занимает фиксация каждой пластинки. Результат — великолепная, совершенная, сияющая улыбка.

Как ухаживать за винирами после установки

«Красота требует жертв» — устоявшееся выражение, которое, к счастью, не относится к ношению виниров у наших пациентов. Уход за винирами не сильно отличается от стандартной зубной гигиены. Однако на некоторые моменты, особенно в первое время, мы все же хотим обратить ваше внимание. Соблюдая эти рекомендации вы поможете сохранить красоту и функциональность виниров на долгий срок.

  1. Правильные гигиенические процедуры полости рта.
    Регулярная чистка зубов и использование зубной нити помогут поддерживать чистоту и здоровье ваших виниров.

  2. Избегайте жесткой пищи.
    Продукты, содержащие абразивные частицы (например, скорлупа орех, косточки фруктов, сухари) могут снизить срок службы виниров.

  3. Регулярно посещайте стоматолога и гигиениста.
    Профилактические и реставрационные процедуры в наших клиниках помогут продлить срок службы виниров для зубов на долгие годы и десятилетия. Важно контролировать состояние ваших виниров и проводить необходимые профилактические и реставрационные процедуры.

  4. Избегайте повреждений и травм.
    Пациентам необходимо избегать несвойственных механических действий (раскрывать упаковки зубами, щелкать семечки).

  5. Следуйте инструкциям стоматолога.
    При получении виниров, ваш стоматолог предоставит вам инструкции по уходу за ними. Важно следовать этим инструкциям и задавать вопросы, если что-то не ясно.

Отзывы пациентов

Александра Ильина
28.04.2025
10/10
Я наблюдаюсь у Соколовой несколько лет, она позволила мне сделать самое красивое вложение в своей жизни и поставила виниры. Повсюду собираю комплементы о натуральй красоте своих зубов
О*ес* Ф*
23.01.2025
Хочу поблагодарить Алексея Михайловича за мою красивую улыбку. Всем кто желает виниры советую обратиться именно к этому доктору. Спасибо
Viktoria Kokorich
01.03.2024
Благодарю врача ортопеда Мирошниченко Алексея Михайловича за проведённое лечение в кольцовском отделении Дентал Сервис. Приклеил отколовшийся винир и дал возможность полноценно прожить до посещения своего врача, который 7 лет наза...
Без имени
03.03.2015
Огромная благодарность врачам клиники! Делала синус лифтинг, импланты, коронки, виниры у Пахомова О. и Беляева А. Это высший пилотаж!!
Без имени
01.02.2015
Я хочу сказать огромное спасибо Ломакину Андрею Сергеевичу! Это Замечательный Доктор, и я так рада, что попала к нему! Прошел уже почти год, с тех пор как он вернул мне возможность улыбаться. Я так рада новым зубкам,&nb...

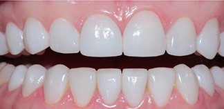
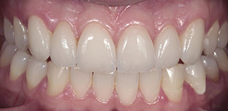
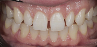
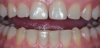
Улыбки пациентов Дентал-Сервис с установленными винирами

До лечения

Жалоба на стираемость зубов.

Как лечили

Проведено тотальное протезирование зубов коронками и винирами E-max.

До лечения

Жалобы на промежутки между зубами.

Как лечили

Установлено шесть виниров в зону улыбки.

До лечения

Жалобы на цвет и форму зубов.

Как лечили

Поставлены 10 виниров толщиной 0,5 мм.

До лечения

Жалобы на диастему.

Как лечили

Сделаны частичные виниры на фронтальные зубы.

До лечения

Жалобы на эстетический вид передних зубов, пломбы, дисколорит.
Пациенту 33 года.

Как лечили

Проведено лечение кариеса и эстетическая реставрация винирами.

До лечения

Жалобы на боли и щелчки ВНЧС справа, отсутствие зубов, цвет и форму зубов.
Пациенту 53 года.

Как лечили

Была проведена тотальная реабилитация ортопедическими конструкциями с поднятием высоты прикуса при помощи сплинт-терапии. Зубы покрыты коронками и винирами.
Лечение проведено в течение пяти месяцев.

До лечения

Жалобы на отсутствие зубов, сколы, стираемость.
Пациенту 56 лет.

Как лечили

Удалены две восьмерки. Установлены временные коронки на импланты и свои зубы. Восстановлена фронтальная группа нижних зубов. Заменены временные на постоянные коронки и виниры во фронтальной группе нижних зубов. Лечение проведено в течение шести месяцев.

Заполните форму
Данные пациента
Выбрать врача и специализацию

    Часто задаваемые вопросы

    Бывают ли съемные зубные виниры?

    Да, съемные зубные виниры бывают. Обычно их используют как временное решение для улучшения внешнего вида зубов, например, перед важным событием или фотосессией. Однако мы не рекомендуем этот метод как постоянное решение проблемы, так как это может негативно сказаться на речи и прикусе человека.

    Можно ли ставить виниры на неправильный прикус?

    Если нарушения прикуса незначительны, то установка виниров возможна. Если же у пациента наблюдаются серьезные аномалии прикуса, то необходимо пройти лечение у ортодонта.

    На сколько зубов устанавливают виниры?

    Количество зубов, на которые можно поставить виниры, зависит от конкретной ситуации и может варьироваться от одного зуба до абсолютно всех зубов.

    Сколько держатся виниры на зубах?

    Срок службы виниров составляет 10 лет, однако наши пациенты носят их гораздо больше. Во многом их сохранность зависит от образа жизни и ухода за ними.

    Сколько стоит установка виниров в Новосибирске?

    Цена на виниры для зубов в Новосибирске может варьироваться и зависит от таких факторов, как материал, сложность процедуры, а также опыт и квалификация стоматолога. С ценами на установку виниров для зубов в сети стоматологических клиник Дентал-Сервис Новосибирска вы можете ознакомиться на нашем сайте. Для получения точной информации конкретно по вашему случаю рекомендуется обратиться к стоматологу-ортопеду. Врач проведет осмотр и консультацию, после чего сможет дать более точную информацию.

    Что лучше поставить на передние зубы — виниры или коронки?

    Выбор между винирами и коронками зависит от состояния зубов пациента. Если на зубах множество пломб и серьезных повреждений, то рекомендуется установка коронок. Виниры не подходят для сильно поврежденных зубов.

    В чем разница между композитными и керамическими винирами?

    Композитные виниры (их также называют художественные реставрации) создаются непосредственно в стоматологическом кабинете. Врач послойно наносит композитный пломбировочный материал на поверхность зуба, формируя необходимую форму и цвет. Их главное преимущество — скорость установки: все делается за один визит к стоматологу.

    Керамические виниры изготавливаются в зуботехнической лаборатории. Они представляют собой тонкие пластинки толщиной от 0,6 мм, которые идеально имитируют натуральную эмаль.

    Выбор между композитными и керамическими винирами зависит от количества зубов, требующих коррекции, и желаемых сроков службы, а также финансовых возможностей пациента. Так, керамические виниры выглядят эффектнее, не меняются внешне и служат дольше — при правильном уходе более 10 лет. Композитные виниры служат от 3 лет, могут скалываться, менять первоначальный внешний вид и часто требуют доработки.

    Когда реставрация винирами противопоказана?

    Виниры — универсальное решение для красивой улыбки, но в некоторых случаях мы рекомендуем сначала подготовить зубы или выбрать другой метод лечения.

    Противопоказания, при которых установка виниров может быть отложена:
    — зубы имеют сильные наклоны или развороты, есть выраженные нарушения прикуса — сначала лучше пройти ортодонтическое лечение;
    — зуб ранее лечен эндодонтически, сильно разрушен или имеет большие пломбы — в этом случае надежнее подойдет коронка;
    — присутствует бруксизм (скрежет зубами);
    — есть воспаления десен или проблемы с гигиеной — сначала нужно восстановить здоровье полости рта.

    Хорошая новость: в большинстве случаев эти ограничения временные. После подготовки мы сможем вернуться к установке виниров или предложим альтернативу, которая даст такой же красивый и долговечный результат.

    Супертехнологии
    Челюстно-лицевая хирургия
    Дентал-Сервис – это не только стоматология. В 2017 году мы открыли Клинику хирургии лица, в которой помогаем пациентам с диагнозами из смежных областей – от тяжелых аномалий прикуса до последствий травм тканей лица.
    Подробнее
    Челюстно-лицевая хирургия
    Лечение под микроскопом
    100% микроскопизация — глобальный вектор компании. В нашей команде более 60 микроскопистов, аналогов в России нет. Все терапевтическое лечение — от кариеса до каналов — мы проводим с микроскопом.
    Подробнее
    Лечение под микроскопом
    Лечение детей под наркозом
    В Дентал-Сервис можно спать спокойно! Безопасность и качество лечения под наркозом в наших клиниках отвечают самым высоким требованиям, а анестезиологи — суперпрофессионалы с огромным опытом. За двенадцать лет мы провели более 10000 лечений — у детей и взрослых.
    Подробнее
    Лечение детей под наркозом
    Травма детского зуба
    Травма зуба — не повод его потерять. Восстановим сломанный зуб, приживим выбитый. Зуб продолжит расти и развиваться! Сохранение нерва травмированного зуба — высший пилотаж, наш эксклюзив.
    Подробнее
    Травма детского зуба
    Эстетическая стоматология
    Эстетическая стоматология — наша гордость. Колоссальный опыт, художественное чутье, передовые технологии и работа в команде — вот секреты мастеров, возрождающих шедевр вашей улыбки.
    Подробнее
    Эстетическая стоматология
    Имплантация зубов
    Ставим имплантаты всерьез и надолго. Готовы помочь даже в самых сложных клинических случаях и делаем все, чтобы новые зубы стали полноценной, долговечной заменой утраченным.
    Подробнее
    Имплантация зубов
    АГАРКОВА (ДЕНИСОВА)
    АГАРКОВА (ДЕНИСОВА) Ксения Вячеславовна
    Врач-стоматолог
    Стоматолог-ортопед
    Ведущий специалист
    Клиника на Героев Труда, 4 (Академгородок)
    Записаться

    Мы предлагаем вам ознакомиться с общим графиком работы врача на месяц. Пожалуйста, обратите внимание, что доступные слоты для записи не указаны. Чтобы узнать свободное время для записи, пожалуйста, свяжитесь с нашим контактным центром. Наши операторы с радостью помогут вам!

    Выбрано для предварительной записи:
    АСОЯН
    АСОЯН Александр Эдикович
    Стоматолог-ортопед
    Клиника на Гребенщикова, 1 (Родники)

    Принимает еще в 1 клинике

    Записаться

    Мы предлагаем вам ознакомиться с общим графиком работы врача на месяц. Пожалуйста, обратите внимание, что доступные слоты для записи не указаны. Чтобы узнать свободное время для записи, пожалуйста, свяжитесь с нашим контактным центром. Наши операторы с радостью помогут вам!

    Выбрано для предварительной записи:
    БЕКЕТОВ
    БЕКЕТОВ Игорь Николаевич
    Стоматолог-ортопед
    Клиника на Героев Труда, 4 (Академгородок)
    Записаться

    Мы предлагаем вам ознакомиться с общим графиком работы врача на месяц. Пожалуйста, обратите внимание, что доступные слоты для записи не указаны. Чтобы узнать свободное время для записи, пожалуйста, свяжитесь с нашим контактным центром. Наши операторы с радостью помогут вам!

    Выбрано для предварительной записи:
    БЕЛЯЕВ
    БЕЛЯЕВ Алексей Владимирович
    Стоматолог-ортопед
    Ведущий специалист
    Клиника на Блюхера, 30

    Принимает еще в 1 клинике

    Записаться

    Мы предлагаем вам ознакомиться с общим графиком работы врача на месяц. Пожалуйста, обратите внимание, что доступные слоты для записи не указаны. Чтобы узнать свободное время для записи, пожалуйста, свяжитесь с нашим контактным центром. Наши операторы с радостью помогут вам!

    Выбрано для предварительной записи:
    БОГОМЯГКОВА (ПЕРЕВАЛОВА) Екатерина Андреевна
    Врач-стоматолог
    Стоматолог-ортопед
    Клиника хирургии лица и стоматологии на Сакко и Ванцетти, 77
    Записаться

    Мы предлагаем вам ознакомиться с общим графиком работы врача на месяц. Пожалуйста, обратите внимание, что доступные слоты для записи не указаны. Чтобы узнать свободное время для записи, пожалуйста, свяжитесь с нашим контактным центром. Наши операторы с радостью помогут вам!

    Выбрано для предварительной записи:
    ГЕВКО (РЕГУЗОВА)
    ГЕВКО (РЕГУЗОВА) Мария Евгеньевна
    Стоматолог-ортопед
    Врач высшей категории
    Клиника на Героев Труда, 4 (Академгородок)
    Записаться

    Мы предлагаем вам ознакомиться с общим графиком работы врача на месяц. Пожалуйста, обратите внимание, что доступные слоты для записи не указаны. Чтобы узнать свободное время для записи, пожалуйста, свяжитесь с нашим контактным центром. Наши операторы с радостью помогут вам!

    Выбрано для предварительной записи:
    ГРЫДИН
    ГРЫДИН Максим Александрович
    Стоматолог-ортопед
    Клиника на Вокзальной, 50/1 (Бердск)
    Записаться

    Мы предлагаем вам ознакомиться с общим графиком работы врача на месяц. Пожалуйста, обратите внимание, что доступные слоты для записи не указаны. Чтобы узнать свободное время для записи, пожалуйста, свяжитесь с нашим контактным центром. Наши операторы с радостью помогут вам!

    Выбрано для предварительной записи:
    ГУКАСЯН
    ГУКАСЯН Гукас Арутюнович
    Стоматолог-ортопед
    Клиника хирургии лица и стоматологии на Сакко и Ванцетти, 77
    Записаться

    Мы предлагаем вам ознакомиться с общим графиком работы врача на месяц. Пожалуйста, обратите внимание, что доступные слоты для записи не указаны. Чтобы узнать свободное время для записи, пожалуйста, свяжитесь с нашим контактным центром. Наши операторы с радостью помогут вам!

    Выбрано для предварительной записи:
    ЗАВАЛЬНИКОВ
    ЗАВАЛЬНИКОВ Антон Валерьевич
    Стоматолог-ортопед
    Клиника на Героев Труда, 4 (Академгородок)
    Записаться

    Мы предлагаем вам ознакомиться с общим графиком работы врача на месяц. Пожалуйста, обратите внимание, что доступные слоты для записи не указаны. Чтобы узнать свободное время для записи, пожалуйста, свяжитесь с нашим контактным центром. Наши операторы с радостью помогут вам!

    Выбрано для предварительной записи:
    ЗАВОДОВ
    ЗАВОДОВ Олег Игоревич
    Стоматолог-ортопед
    Врач-стоматолог
    Клиника на Дуси Ковальчук, 252/1
    Записаться

    Мы предлагаем вам ознакомиться с общим графиком работы врача на месяц. Пожалуйста, обратите внимание, что доступные слоты для записи не указаны. Чтобы узнать свободное время для записи, пожалуйста, свяжитесь с нашим контактным центром. Наши операторы с радостью помогут вам!

    Выбрано для предварительной записи:
    ЗАИКИН
    ЗАИКИН Дмитрий Игоревич
    Стоматолог-ортопед
    Клиника на Блюхера, 30
    Записаться

    Мы предлагаем вам ознакомиться с общим графиком работы врача на месяц. Пожалуйста, обратите внимание, что доступные слоты для записи не указаны. Чтобы узнать свободное время для записи, пожалуйста, свяжитесь с нашим контактным центром. Наши операторы с радостью помогут вам!

    Выбрано для предварительной записи:
    КИСЕЛЕВ
    КИСЕЛЕВ Кирилл Эдуардович
    Стоматолог-ортопед
    Клиника хирургии лица и стоматологии на Сакко и Ванцетти, 77

    Принимает еще в 1 клинике

    Записаться

    Мы предлагаем вам ознакомиться с общим графиком работы врача на месяц. Пожалуйста, обратите внимание, что доступные слоты для записи не указаны. Чтобы узнать свободное время для записи, пожалуйста, свяжитесь с нашим контактным центром. Наши операторы с радостью помогут вам!

    Выбрано для предварительной записи:
    КОВАЛЕВ
    КОВАЛЕВ Роман Олегович
    Стоматолог-ортопед
    Врач-стоматолог
    Ведущий специалист
    Клиника на Вокзальной, 50/1 (Бердск)

    Принимает еще в 1 клинике

    Записаться

    Мы предлагаем вам ознакомиться с общим графиком работы врача на месяц. Пожалуйста, обратите внимание, что доступные слоты для записи не указаны. Чтобы узнать свободное время для записи, пожалуйста, свяжитесь с нашим контактным центром. Наши операторы с радостью помогут вам!

    Выбрано для предварительной записи:
    ЛАВРЕНТЬЕВА
    ЛАВРЕНТЬЕВА Анна Юрьевна
    Стоматолог-ортопед
    Клиника на Революции, 10
    Записаться

    Мы предлагаем вам ознакомиться с общим графиком работы врача на месяц. Пожалуйста, обратите внимание, что доступные слоты для записи не указаны. Чтобы узнать свободное время для записи, пожалуйста, свяжитесь с нашим контактным центром. Наши операторы с радостью помогут вам!

    Выбрано для предварительной записи:
    ЛЕВЩАНОВ
    ЛЕВЩАНОВ Дмитрий Анатольевич
    Стоматолог-ортопед
    Ведущий специалист
    Клиника на Героев Труда, 4 (Академгородок)
    Записаться

    Мы предлагаем вам ознакомиться с общим графиком работы врача на месяц. Пожалуйста, обратите внимание, что доступные слоты для записи не указаны. Чтобы узнать свободное время для записи, пожалуйста, свяжитесь с нашим контактным центром. Наши операторы с радостью помогут вам!

    Выбрано для предварительной записи:
    ЛОМАКИН
    ЛОМАКИН Андрей Сергеевич
    Стоматолог-ортопед
    Ведущий специалист
    Клиника на Героев Труда, 4 (Академгородок)
    Записаться

    Мы предлагаем вам ознакомиться с общим графиком работы врача на месяц. Пожалуйста, обратите внимание, что доступные слоты для записи не указаны. Чтобы узнать свободное время для записи, пожалуйста, свяжитесь с нашим контактным центром. Наши операторы с радостью помогут вам!

    Выбрано для предварительной записи:
    ЛЯХОВ
    ЛЯХОВ Алексей Владимирович
    Стоматолог-ортопед
    Ведущий специалист
    Клиника хирургии лица и стоматологии на Сакко и Ванцетти, 77
    Записаться

    Мы предлагаем вам ознакомиться с общим графиком работы врача на месяц. Пожалуйста, обратите внимание, что доступные слоты для записи не указаны. Чтобы узнать свободное время для записи, пожалуйста, свяжитесь с нашим контактным центром. Наши операторы с радостью помогут вам!

    Выбрано для предварительной записи:
    МАРКОСЯН
    МАРКОСЯН Геворк Сандроевич
    Стоматолог-ортопед
    Клиника на Гребенщикова, 1 (Родники)
    Записаться

    Мы предлагаем вам ознакомиться с общим графиком работы врача на месяц. Пожалуйста, обратите внимание, что доступные слоты для записи не указаны. Чтобы узнать свободное время для записи, пожалуйста, свяжитесь с нашим контактным центром. Наши операторы с радостью помогут вам!

    Выбрано для предварительной записи:
    МИРОШНИЧЕНКО
    МИРОШНИЧЕНКО Алексей Михайлович
    Стоматолог-ортопед
    Ведущий специалист
    Клиника на Вокзальной, 50/1 (Бердск)

    Принимает еще в 1 клинике

    Записаться

    Мы предлагаем вам ознакомиться с общим графиком работы врача на месяц. Пожалуйста, обратите внимание, что доступные слоты для записи не указаны. Чтобы узнать свободное время для записи, пожалуйста, свяжитесь с нашим контактным центром. Наши операторы с радостью помогут вам!

    Выбрано для предварительной записи:
    МОРОДЕЦКИЙ
    МОРОДЕЦКИЙ Игорь Степанович
    Стоматолог-ортопед
    Клиника на пл. Карла Маркса, 1
    Записаться

    Мы предлагаем вам ознакомиться с общим графиком работы врача на месяц. Пожалуйста, обратите внимание, что доступные слоты для записи не указаны. Чтобы узнать свободное время для записи, пожалуйста, свяжитесь с нашим контактным центром. Наши операторы с радостью помогут вам!

    Выбрано для предварительной записи:
    НОМОКОНОВ
    НОМОКОНОВ Илья Андреевич
    Стоматолог-ортопед
    Клиника на Революции, 10
    Записаться

    Мы предлагаем вам ознакомиться с общим графиком работы врача на месяц. Пожалуйста, обратите внимание, что доступные слоты для записи не указаны. Чтобы узнать свободное время для записи, пожалуйста, свяжитесь с нашим контактным центром. Наши операторы с радостью помогут вам!

    Выбрано для предварительной записи:
    ПАВЛЕНКО
    ПАВЛЕНКО Анастасия Олеговна
    Врач-стоматолог
    Клиника на Революции, 10

    Принимает еще в 1 клинике

    Записаться

    Мы предлагаем вам ознакомиться с общим графиком работы врача на месяц. Пожалуйста, обратите внимание, что доступные слоты для записи не указаны. Чтобы узнать свободное время для записи, пожалуйста, свяжитесь с нашим контактным центром. Наши операторы с радостью помогут вам!

    Выбрано для предварительной записи:
    РЕГУЗОВ
    РЕГУЗОВ Евгений Геннадьевич
    Стоматолог-ортопед
    Ведущий специалист
    Главный врач Клиники на Героев труда, 4
    Клиника на Героев Труда, 4 (Академгородок)
    Записаться

    Мы предлагаем вам ознакомиться с общим графиком работы врача на месяц. Пожалуйста, обратите внимание, что доступные слоты для записи не указаны. Чтобы узнать свободное время для записи, пожалуйста, свяжитесь с нашим контактным центром. Наши операторы с радостью помогут вам!

    Выбрано для предварительной записи:
    САДОЧКОВ
    САДОЧКОВ Алексей Максимович
    Врач-стоматолог
    Клиника на пл. Карла Маркса, 1

    Принимает еще в 1 клинике

    Записаться

    Мы предлагаем вам ознакомиться с общим графиком работы врача на месяц. Пожалуйста, обратите внимание, что доступные слоты для записи не указаны. Чтобы узнать свободное время для записи, пожалуйста, свяжитесь с нашим контактным центром. Наши операторы с радостью помогут вам!

    Выбрано для предварительной записи:
    СЕРЖАНТОВ
    СЕРЖАНТОВ Роман Альбертович
    Стоматолог-ортопед
    Клиника на Дуси Ковальчук, 252/1

    Принимает еще в 1 клинике

    Записаться

    Мы предлагаем вам ознакомиться с общим графиком работы врача на месяц. Пожалуйста, обратите внимание, что доступные слоты для записи не указаны. Чтобы узнать свободное время для записи, пожалуйста, свяжитесь с нашим контактным центром. Наши операторы с радостью помогут вам!

    Выбрано для предварительной записи:
    СОКОЛОВА (БАЛАШОВА)
    СОКОЛОВА (БАЛАШОВА) Елена Евгеньевна
    Стоматолог-ортопед
    Клиника на Никольском проспекте, 1 (Кольцово)
    Записаться

    Мы предлагаем вам ознакомиться с общим графиком работы врача на месяц. Пожалуйста, обратите внимание, что доступные слоты для записи не указаны. Чтобы узнать свободное время для записи, пожалуйста, свяжитесь с нашим контактным центром. Наши операторы с радостью помогут вам!

    Выбрано для предварительной записи:
    ТАЯНОВ
    ТАЯНОВ Станислав Викторович
    Врач-стоматолог
    Клиника на Героев Труда, 4 (Академгородок)
    Записаться

    Мы предлагаем вам ознакомиться с общим графиком работы врача на месяц. Пожалуйста, обратите внимание, что доступные слоты для записи не указаны. Чтобы узнать свободное время для записи, пожалуйста, свяжитесь с нашим контактным центром. Наши операторы с радостью помогут вам!

    Выбрано для предварительной записи:
    ТЕЛЕШОВА
    ТЕЛЕШОВА Юлия Алексеевна
    Врач-стоматолог
    Стоматолог-ортопед
    Клиника на Гребенщикова, 1 (Родники)
    Записаться

    Мы предлагаем вам ознакомиться с общим графиком работы врача на месяц. Пожалуйста, обратите внимание, что доступные слоты для записи не указаны. Чтобы узнать свободное время для записи, пожалуйста, свяжитесь с нашим контактным центром. Наши операторы с радостью помогут вам!

    Выбрано для предварительной записи:
    ЧЕПЫЖОВ Иван Сергеевич
    Врач-стоматолог
    Стоматолог-ортопед
    Клиника на Героев Труда, 4 (Академгородок)

    Принимает еще в 1 клинике

    Записаться

    Мы предлагаем вам ознакомиться с общим графиком работы врача на месяц. Пожалуйста, обратите внимание, что доступные слоты для записи не указаны. Чтобы узнать свободное время для записи, пожалуйста, свяжитесь с нашим контактным центром. Наши операторы с радостью помогут вам!

    Выбрано для предварительной записи:
    ШАКУРОВА
    ШАКУРОВА Александра Андреевна
    Стоматолог-ортопед
    Клиника на Блюхера, 30
    Записаться

    Мы предлагаем вам ознакомиться с общим графиком работы врача на месяц. Пожалуйста, обратите внимание, что доступные слоты для записи не указаны. Чтобы узнать свободное время для записи, пожалуйста, свяжитесь с нашим контактным центром. Наши операторы с радостью помогут вам!

    Выбрано для предварительной записи:
    ШПАГИНА (ТРИБЕЛЬГОРН)
    ШПАГИНА (ТРИБЕЛЬГОРН) Регина Александровна
    Врач-стоматолог
    Стоматолог-ортопед
    Клиника на Блюхера, 30

    Принимает еще в 1 клинике

    Записаться

    Мы предлагаем вам ознакомиться с общим графиком работы врача на месяц. Пожалуйста, обратите внимание, что доступные слоты для записи не указаны. Чтобы узнать свободное время для записи, пожалуйста, свяжитесь с нашим контактным центром. Наши операторы с радостью помогут вам!

    Выбрано для предварительной записи:

    Стоимость установки виниров в Новосибирске

    Услуга
    Цена, руб.

    Протезирование зубов

    Прием врача-стоматолога-ортопеда первичный
    от 900 руб.
    Восстановление зуба виниром
    от 48 000 руб.
    Восстановление зуба ультратонким виниром
    от 57 000 руб.

    Цены на услуги стоматологии указаны базовые. Стоимость приема и лечения у ведущих специалистов выше от 20% до 50%.
    Цены на сайте не являются публичной офертой.