Записаться
Носим на руках
Минимум вмешательства, передовой подход в лечении и бережное обращение с тканями зуба. Благодаря микроскопу даже обычный кариес мы лечим с высочайшей точностью.
от 900 руб.
Кариес, пульпит, периодонтит
Перелечивание в каналах
Кисты, гранулемы
Сколы и выпадение пломб

Лечение зубов

«Лечение кариеса, каналов, пломба на зуб, реставрация — это же не ракетостроение, что тут может быть особенного? Все делают примерно одинаково», — скажет кто-то и будет неправ. На вопрос: «Чем отличается терапевтическое лечение зубов в Дентал-Сервис от лечения зубов в обычной клинике?» — мы совершенно искренне отвечаем: «Всем».

Дентал-Сервис — идейная клиника. И идея эта: всегда соответствовать сегодняшнему дню стоматологии, равняться на работу передовых стоматологов мира. А передовое лечение в начале 21 века — это лечение, направленное на максимальное сохранение зубов. От «просто поставить пломбу» такой подход, поверьте, очень отличается. Неважно, какое заболевание, — кариес в начальной стадии или периодонтит. От того, как пройдет лечение, зависит, как долго в итоге будет жить зуб. Всегда предлагать самое передовое лечение — не просто бизнес-идея, это профессиональный и жизненный принцип основателей клиники. Они воплотили его в жизнь более 30 лет назад, остаются ему верны и сегодня.

Чем отличается терапевтическое лечение в Дентал-Сервис
от лечения в «обычной» клинике?

Лечим только с микроскопом

Минимальное препарирование здоровых тканей. Работаем микроинструментами в пределах пораженных тканей, с мощным увеличением и освещением. Добиваемся идеального прилегания пломбы.

Надежная диагностика

3D-томография — источник самой достоверной информации о состоянии зубочелюстной системы. Точный диагноз = точный план лечения.

Лечим во сне за один прием

Непреодолимый страх перед лечением (дентофобия) — распространенное явление. 90% взрослых и детей лечат зубы без наркоза после общения с нашими врачами. Для остальных 10% наркоз — возможность иметь здоровую и красивую улыбку вопреки страхам.

Гарантия до двух лет

При регулярном профилактическом осмотре раз в 6 месяцев мы даем гарантию до двух лет на пломбы и пломбирование каналов.

Профессионалы высшего класса

Врачи Дентал-Сервис регулярно проходят обучение у федеральных и мировых лидеров отрасли, подтверждают квалификацию, следят за стоматологическими трендами и внедряют их в практику.

Рассрочка

Не всегда есть возможность оплатить всю сумму единовременно, особенно если необходимо оперативное вмешательство. В Дентал-Сервис вы можете оформить беспроцентную рассрочку на любой вид лечения зуба без участия банков.

Персональное сопровождение

Если лечение зубов не остановится только за кариесом, на помощь придет персональный менеджер. Он возьмет на себя все организационные вопросы по комплексному лечению и сделает процесс комфортным, понятным и эффективным.

Услуги по терапевтической стоматологии

Лечение кариеса, пульпита и периодонтита

К лечению кариеса относится пломбирование зубов – установка пломб, а также ICON — технология лечения начального кариеса без бормашины и анестезии. При глубоком поражении зуба применяется эндодонтическое лечение – удаление воспаленной пульпы и пломбировка канала, а также перелечивание зубов.

Профилактика

Основа терапевтического лечения – это профилактика. К ней относится профессиональная гигиена зубов – удаление зубного камня и налета, обучение домашнему уходу за полостью рта и подбор индивидуальных уходовых средств.

Эстетика

Помимо возвращения функции зубов стоматолог-терапевт также восстанавливает эстетику улыбки. Один из способов — художественная реставрация, которая возвращает форму и цвет зуба с помощью композитных материалов. Также применяют отбеливание зубов, включая внутрикоронковое отбеливание — метод осветления потемневших изнутри депульпированных зубов.

Пародонтология

Стоматологи-терапевты занимаются лечением десен. К ним относится очищение поддесневого пространства от бактерий и отложений, а также укрепление расшатанных зубов с помощью шинирования.

Апикальная хирургия

Чтобы спасти зуб, зачастую требуется проведение резекции верхушки корня зуба, вместе с которым удаляется воспаление. Мы используем микроскоп и томограмму – это позволяет нам решать самые сложные случаи!

Диагностика

При терапевтическом лечении для точной постановки диагноза врач может направить на диагностику. К ней относится рентгенография – получение снимков зубов для выявления скрытых проблем и компьютерную томографию.

Оказание неотложной помощи

Быстрое оказание медицинской помощи в случаях стоматологических экстренных ситуаций. Например, острая боль, травмы зубов, инфекции и другие патологические процессы, которые могут угрожать здоровью пациента.


Передовой подход в терапии

Передовой врач — это знающий врач, он глубоко понимает суть задачи.

  1. Ставит диагноз, опираясь на достоверные данные, выбирает метод лечения, четко понимая, что именно он делает и какие результаты (в том числе долгосрочные) будет иметь его лечение.
  2. Он не ограничен в технологиях: в его распоряжении самые современные материалы и оборудование, включая микроскоп, благодаря которому лечение зубов проходит с высочайшей точностью.
  3. Если возникает необходимость, в процессе лечения врач обращается за помощью к смежным специалистам — пародонтологу, гигиенисту, ортопеду, хирургу.
  4. Он бескомпромиссен в вопросах качества. Такой терапевт не просто «залечит» зуб, он полностью восстановит его функцию. Зуб снова будет полноценно жевать и кусать, его исходный внешний вид не поменяется — пломба не будет отличаться по цвету от зуба даже на дальних жевательных зубах. И самое главное, врач обязательно позаботится о долгой жизни зуба — не перегреет его в процессе лечения, не снимет при обработке «лишнюю» твердую ткань, не станет экономить время при установке пломбы и т.д.

Несмотря на практически стопроцентную распространенность кариеса, дожить до глубокой старости со своими зубами при таком ответственном и бережном лечении — это реально. В нашей стране клиник, где терапевты лечат именно так, — единицы. К сожалению. С этим связано слишком много трудностей: организационных, моральных и материальных. Но мы трудностей не боимся.

Мы меняем стоматологию
C первого дня мы реализуем важнейшую гуманитарную миссию: меняем старые неэффективные подходы в лечении стоматологических заболеваний на самые современные и прогрессивные.
Записаться на консультацию

Микроскоп — для самого бережного лечения

Самое правильное терапевтическое лечение зубов — это лечение под микроскопом. В идеале, даже лечение кариеса предпочтительней проводить с его использованием. Микроинструменты, мощное увеличение, отличное освещение помогают врачу сделать вмешательство минимальным — убрать ровно столько пораженных тканей зуба, сколько нужно, и добиться точного прилегания пломбы. В некоторых сложных случаях лечение под микроскопом просто необходимо. Например, если у зуба разветвленные каналы или каналы уже ранее лечили.

Лечение под микроскопом — работа экстра-класса, поэтому стоит она дороже традиционного, безмикроскопного лечения. Но если учесть, насколько такое лечение может продлить жизнь зуба, цена оказывается оправданной. Имплантаты и коронки обойдутся значительно дороже.

Все возможности современной стоматологии
В Дентал-Сервис всех взрослых пациентов мы лечим только с использованием микроскопа.

Раббердам продлит жизнь пломбе

Раббердам — латексная занавеска, которая изолирует зуб от полости рта во время лечения. Это, пожалуй, самое очевидное отличие терапевтического лечения зубов в Дентал-Сервис, которое с удивлением отмечают на первом приеме наши пациенты. Подавляющее большинство из них сталкивается с раббердамом впервые! К слову, раббердам — не новое изобретение и используется в стоматологии еще с конца 19 века. Он выполняет две важные функции.


  1. Благодаря раббердаму в рот пациента не попадает промывочный раствор, «невкусное лекарство», зубная пыль от сверления или, например, остатки пищи при препарировании. Особенно актуально это при лечении детей. Раббердам защищает вас от глотания растворов, но не препятствует сглатыванию слюны. Таким образом, создается впечатление, что лечение зуба происходит отдельно от полости рта.

  2. Раббердам способствует созданию сухой и стерильной среды, абсолютно необходимой для качественной установки пломбы. Важнейшее требование к установке пломб из всех современных композитных материалов — абсолютная сухость. Если между тканью зуба и материалом пломбы попадает влага, пломба в этом месте не закрепится нужным образом, останется микрощель. Именно в этой микрощели будет развиваться кариес. Без раббердама эффективно защитить зуб от попадания придесневой жидкости, слюны и крови крайне сложно. Только использование раббердама создает идеальную сухую среду для установки пломбы, и это в разы увеличивает срок службы пломбы.

Лечение без раббердама — деньги на ветер

Пломба должна быть поставлена с точным соблюдением технологии: в условиях абсолютной сухости и стерильности. Только в этом случае она прослужит долго.

Пациент дышит преимущественно носом. (Некоторые дышат ртом).

Зуб изолирован от попадания любой влаги из полости рта

Зажим фиксирует раббердам у основания зуба

Раббердам защищает полость рта от промывочных растворов и мелких инструментов

C раббердамом можно спокойно сглатывать слюну

Рамка удерживает раббердам в натянутом состоянии

Пациент дышит преимущественно носом. (Некоторые дышат ртом).

Зуб изолирован от попадания любой влаги из полости рта

Зажим фиксирует раббердам у основания зуба

Раббердам защищает полость рта от промывочных растворов и мелких инструментов

C раббердамом можно спокойно сглатывать слюну

Рамка удерживает раббердам в натянутом состоянии

Этапы терапевтического лечения зубов в Дентал-Сервис

1

Собираем информацию

Перед первым приемом вы заполняете анкету о состоянии здоровья. Эти данные помогают врачу глубже понять причину стоматологических проблем, а также правильно выбрать метод анестезии.

2

Знакомимся

Наша цель — решение ваших задач. Поэтому на первом приеме врач проводит осмотр и выясняет ваш запрос, а пациент знакомится с врачом и клиникой — еще до начала какого-либо лечения.

3

Составляем план лечения

Основа для плана лечения — данные томограммы. Если лечение многоэтапное, варианты плана составляют несколько узких специалистов. Параллельно с планом мы обсуждаем смету. Подробнее о возможности получить рассрочку на лечение зубов в Новосибирске мы рассказываем здесь.

4

Лечим

Лечим кариес и каналы с раббердамом и под микроскопом по мировым стандартам, добиваемся эстетики при сколах и выпадении пломб. Мы используем зубосохраняющие технологии и организовываем процесс лечения так, чтобы пациенту было комфортно и безопасно.

5

Приглашаем на профосмотр

Предупредить легче и дешевле, чем лечить. Все больше наших пациентов понимают это и не пренебрегают профилактическими осмотрами. Норма жизни — к терапевту раз в полгода.

2 года гарантии и другие плюшки
Даем гарантию на пломбы и пломбирование каналов при регулярном проф. осмотре раз в 6 месяцев.
Записаться на лечение

Клинические случаи пациентов

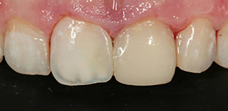
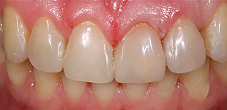
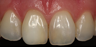
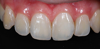
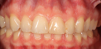
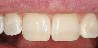
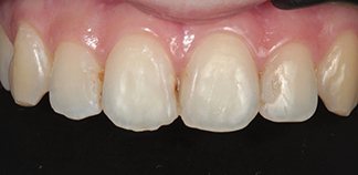
До лечения

Жалоба потемневший зуб.

Как лечили

Проведено эндодонтическое лечение и внутрикоронковое отбеливание.

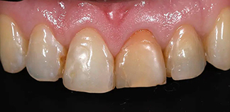
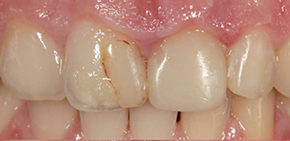
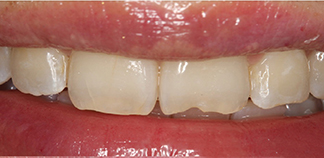
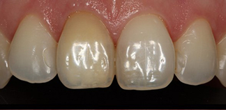
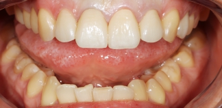
До лечения

Жалоба на эстетический вид переднего зуба.

Как лечили

Проведено лечение кариеса и восстановление зуба композитным материалом.

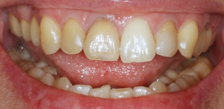
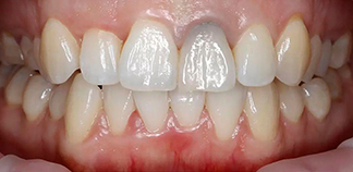
До лечения

Жалоба на боль в зубе.

Как лечили

Проведено лечение кариеса, установлена вкладка из диоксида циркония.

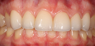
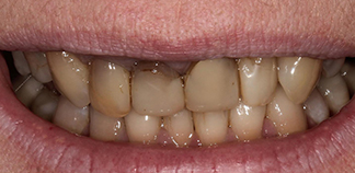
До лечения

Жалоба на реакцию зуба на горячее.

Как лечили

Проведено лечение контактного кариеса.

До лечения

Жалоба на боль и застревание пищи в зубе.

Как лечили

Проведена замена старой пломбы на новую под микроскопом, пролечен кариес.

До лечения

Жалоба на плохое состояние нижних зубов.

Как лечили

Пролечен кариес под микроскопом и установлены импланты. Проведена хирургическая пластика десны. Протезирование коронками из диоксида циркония.

До лечения

Жалоба на чувствительность зубов и эстетику.

Как лечили

Проведена профессиональная гигиена полости рта и лечение кариеса. Закрыта рецессия десны на верхней и нижней челюсти.

До лечения

Жалобы на некрасивую улыбку.

Как лечили

Пролечен кариес, проведено отбеливание и коррекция десневого края.

До лечения

Жалоба на болевые ощущения при приеме пищи.

Как лечили

Проведено лечение под микроскопом, установлена новая пломба повторяющая природную анатомическую форму.

До лечения

Жалоба на некрасивую улыбку.

Как лечили

Проведено терапевтическое лечение, затем лечение на брекетах. После снятия брекетов — отбеливание и эстетическая реставрация передних верхних зубов.

До лечения

Жалобы на внешний вид зубов.

Как лечили

Пролечен кариес под старыми коронками, установлены мостовидные протезы.

До лечения

Жалоба на боль в зубе.

Как лечили

Убрана старая пломба с кариозной полостью, восстановлена стенка зуба. Пролечен пульпит, обработаны каналы и закрыты пломбой. Зуб подготовлен под протезирование коронкой.

До лечения

Жалоба на потемневший зуб.

Как лечили

Проведено внутрикоронковое отбеливание.

До лечения

Жалоба на кариес после ортодонтического лечения.

Как лечили

Лечение контактного кариеса. Проведена художественная реставрация зубов.

До лечения

Жалоба на боль в зубе.

Как лечили

Пролечены корневые каналы центрального резца. Проведена художественная реставрация четырех верхних зубов.

До лечения

Жалоба на неровный край зуба.

Как лечили

Проведена художественная реставрация фронтального зуба.

До лечения

Жалоба на потемневший зуб.

Как лечили

Проведена реставрация одного переднего зуба и внутрикоронковое отбеливание, также сделано отбеливание всех зубов зоны улыбки.

До лечения

Жалоба на потемневший зуб.

Как лечили

Проведено внутрикоронковое отбеливание.

До лечения

Жалобы на боль, подвижность зуба и "гноиничок" на десне.
Пациенту 38 лет.

Как лечили

Распломбирован и обработан корневой канал, зуб закрыт временной пломбой. Финишная ирригация, закрытие корневого канала пломбой.
Лечение прошло в течении 10 визитов.

До лечения

Жалоба на боли при накусывании.
Пациенту 37 лет.

Как лечили

Проведено эндодонтическое лечение, зуб подготовлен под коронку.
Лечение прошло в течении 14 дней.

До лечения

Жалобы на длительную непрерывную боль ноющего характера.
Пациенту 45 лет.

Как лечили

Проведено перелечивание корневых каналов. Зафиксирована коронка на зуб.

До лечения

Жалобы на кариес передних зубов.
Пациенту 16 лет.

Как лечили

Проведено лечение кариеса шести фронтальных зубов.
Лечение прошло в 1 посещение.

До лечения

Жалоба на наличие полости в зубе.
Пациенту 17 лет.

Как лечили

Проведено лечение кариеса шестого зуба. Реставрация с полной анатомией зуба.
Лечение прошло в 1 посещение.

До лечения

Жалобы на эстетический вид передних зубов, пломбы, дисколорит.
Пациенту 33 года.

Как лечили

Проведено лечение кариеса и эстетическая реставрация винирами.

До лечения

Жалобы на эстетику зубов.
Пациенту 46 лет.

Как лечили

Проведено препарирование четвертого и пятого зуба с последующей фиксацией постоянных коронок.
Лечение проведено в течение одной недели.

До лечения

Жалобы на диастему.
Пациенту 18 лет.

Как лечили

После ортодонтического лечения проведено закрытие трем и диастем на верхней и нижней челюсти художественными реставрациями.

До лечения

Жалобы на неправильную форму зубов, промежутки между зубами.
Пациенту 31 год.

Как лечили

Отбеливание зубов ZOOM 4. Проведена художественная реставрация передних зубов.

До лечения

Жалоба на травму передних зубов.
Пациенту 19 лет.

Как лечили

После стабилизации зубов проведена художественная реставрация.

До лечения

Желание заменить старые реставрации.
Пациенту 33 года.

Как лечили

Проведена замена старых реставраций на фронтальных зубах.

До лечения

Жалобы на отсутствие и неправильную форму зубов.
Пациенту 53 года.

Как лечили

Проведено лечение на брекет-системе. Установлены импланты на месте отсутствующих зубов. Фронтальные верхние зубы закрыты художественной реставрацией.

До лечения

Жалобы на отсутствие и неправильную форму зубов.
Пациенту 53 года.

Как лечили

Проведено лечение на брекет-системе. Установлены импланты на месте отсутствующих зубов. Фронтальные верхние зубы закрыты художественной реставрацией.

До лечения

На контрольном снимке было обнаружено ухудшение рентгенологической картины.
Пациенту 45 лет.

Как лечили

Проведена распломбировка, повторная механическая и медикаментозная обработка корневого канала. Зуб запломбирован, через 2 месяца установлена постоянная коронка.

До лечения

Жалобы на эстетический дефект фронтальных зубов.
Пациенту 45 лет.

Как лечили

Проведено внутрикоронковое отбеливание. Замена старых пломб на новые, реставрация зуба.

До лечения

Жалобы на боль при накусывании.
Пациенту 54 года.

Как лечили

Снята штампованная коронка, перелечены и запломбированы каналы гуттаперчей, проведено культевое восстановление. Через год фиксация постоянной коронки.

До лечения

Жалоба на травму зуба. Пациенту 17 лет.

Как лечили

Проведена экструзия (вытягивание) зуба из кости. Пролечен зуб и установлена временная коронка на 1 год, после фиксация постоянной.

До лечения

Жалобы на несостоятельные пломбы.
Пациенту 25 лет.

Как лечили

Проведено лечение кариеса. Реставрация с полной анатомией зуба.
Лечение прошло в 1 посещение.

До лечения

Жалобы на боль от сладкого.
Пациенту 16 лет.

Как лечили

На прицельном снимке был обнаружен кариес, проведено лечение, реставрация.
Лечение прошло в 1 посещение

До лечения

Жалоб не было, пришла на плановый осмотр.
Пациенту 20 лет.

Как лечили

На 3D снимке на 6 зубе был обнаружен глубокий кариес дентина. Проведено лечение кариеса 6 зуба.
Лечение прошло в 1 посещение.

До лечения

Жалобы на то, что не может нормально жевать и улыбаться.
Пациенту 45 лет.

Как лечили

Проведена профессиональная гигиена зубов. Сняты старые коронки и мосты, пролечен кариес. Были установлены 9 имплантов. На верхние фронтальные зубы установлены цельноциркониевые коронки.
Лечение проведено в течение шести месяцев.

До лечения

Жалобы на боль в зубе, застревание пищи.
Пациенту 41 год.

Как лечили

Пролечен кариес, зуб восстановлен композитным материалом. Зафиксирована вкладка на зуб.
Лечение проведено в течение десяти дней.

До лечения

Жалобы на разный цвет и дефект передних зубов.
Пациенту 34 лет.

Как лечили

Лечение кариеса первого зуба. Проведена реставрация вкладками из диоксида циркония четырех передних верхних зубов.
Лечение проведено в течение полутора месяцев.

До лечения

Жалоб нет. Пациент пришел на осмотр.
Пациенту 27 лет.

Как лечили

Пролечен множественный кариес зубов.
Лечение проведено за четыре визита.

До лечения

Жалобы на постоянную ноющую боль.
Пациенту 33 года.

Как лечили

Распломбирован и обработан корневой канал. Пролечен периодонтит, зуб закрыт временной пломбой.
Финишная ирригация, закрытие корневого канала пломбой. Зуб подготовлен под временную коронку.
Лечение проведено в течение двух недель.

До лечения

Жалобы на острую боль в области нижней челюсти справа.
Пациенту 34 лет.

Как лечили

По результатам КТ обнаружена скрытая кариозная полость в пятом зубе. Кариозная полость обработана, поставлена временная коронка. Через два дня зуб был запломбирован. Установлен стекловолоконный штифт, проведено культевое восстановление.

До лечения

Пришли с жалобой на травму зуба.
Пациенту 12 лет.

Как лечили

Возвратили зуб в лунку согласно анатомическому положению. Наложена мягкая проволочная шина для фиксации зуба. Через 14 дней эндодонтическое лечение. Осмотр через 2 месяца показал полное восстановление зуба.
Лечение проведено в течение двух недель.

До лечения

Жалобы на периодически ноющие боли при накусывании в зубе.
Пациенту 35 лет.

Как лечили

Удалена старая пломба, пролечен периодонтит. Запломбированы корневые каналы. Установлен стекловолоконный штифт и проведено культевое восстановление. Направлен на установку коронки.
Лечение проведено за три визита.

До лечения

Жалобы на выпавшую пломбу и боль в зубе.
Пациенту 29 год.

Как лечили

Удалены остатки пломбы, пролечен периодонтит. Запломбирован зуб и проведено культевое восстановление зуба. Направлен к стоматологу-ортопеду для постановки коронки.

До лечения

Жалобы на скол зуба.
Пациенту 61 год.

Как лечили

Пролечен кариес в корневом канале зуба, закрыт пломбой. Проведена реставрация зуба и направлен к стоматологу-ортопеду для установки коронки.
Лечение проведено в течение четырех месяцев.

До лечения

Жалобы на боль и подвижность переднего зуба.
Пациенту 39 лет.

Как лечили

Проведено эндодонтическое лечение и апикальная микрохирургия в области зуба.
Лечение проведено за один визит.

До лечения

Жалобы на разрушение зубов, кариес.
Пациенту 26 лет.

Как лечили

Пролечен пульпит в четвертом зубе. Раскрыты и перелечены корневые каналы 5 зуба. Оба зуба восстановлены на штифте и подготовлены под коронки.
Лечение проведено в течение одного месяца.

До лечения

Жалобы на подозрение кариеса между зубами.
Пациенту 35 лет.

Как лечили

Перелечены корневые каналы зуба, вылечен периодонтит 6 зуба. После лечения проведена реставрация зуба.
Лечение заняло 2 недели.

До лечения

Жалобы на скол и боль от прикосновения к зубу.
Пациенту 31 год.

Как лечили

Проведена механическая обработка корневого канала зуба 1, 2. Пролечен периодонтит, зубы закрыты временной пломбой. Проведена медикаментозная обработка корневых каналов. Поставлена постоянная пломба.
Лечение проведено за два визита.

До лечения

Жалоба на постоянную ноющую боль.
Пациенту 41 год.

Как лечили

Проведена механическая и медикаментозная обработка корневых каналов. Пролечен периодонтит. Проведена пломбировка корневых каналов, установлен штифт.
Лечение проведено в течение двух недель.

До лечения

Жалоб не было, пришел на осмотр.
Пациенту 40 лет.

Как лечили

Удалены старые реставрации и кариес. Запломбированы корневые каналы гуттаперчей. Установлен стекловолоконный штифт, восстановлен зуб.
Лечение проведено в течение двух недель.

До лечения

Пришли с жалобой на кариес.
Пациенту 44 года.

Как лечили

Удалено кариозное поражение зуба. Обработаны и запломбированы три корневых канала. Восстановлена жевательная и щечная поверхность зуба.
Лечение проведено за четыре визита.

До лечения

Жалобы на периодически ноющие боли и застревание пищи между зубами.
Пациенту 51 год.

Как лечили

Распломбированы, пролечены 3 канала после каналы запломбированы. Через 8 месяцев установлена коронка
. Лечение проведено в течение одного месяца.

До лечения

Жалобы на боль от всех видов раздражителей.
Пациенту 24 года.

Как лечили

Проведено лечение глубокого кариеса под микроскопом с заменой культевого материала на вкладку overlay.
Лечение проведено в течение двух недель.

До лечения

Жалобы на постоянную ноющую боль, болезненность при накусывании на зуб.
Пациенту 20 лет.

Как лечили

Пролечены корневые каналы. Наблюдение зуба в динамике 6 и 12 месяцев. После установлена коронка на зуб.
Лечение проведено в течение полутора месяцев.

Отзывы пациентов о лечении зубов в Дентал-Сервис

Татьяна Гудымова
04.05.2026
Елена Юрьевна, просто волшебный доктор! Внимательный, компетентный врач от бога!
Восстановлен зуб как будто только только свеженький народился!) 100% рекомендую доктора!)
Татьяна Ладова
23.04.2026
Доктор Руслан Долганов вызывает доверие с первых минут общения. Очень внимательный, чуткий и спокойный врач. Сразу чувствуется профессионализм: ни одного лишнего движения, всё чётко, аккуратно и с большим вниманием к пациенту.
...
Анастасия Никитина
16.04.2026
По счастливой случайности попала в эту клинику на лечение к прекрасному доктору Мотык Полине Алексеевне. Настоящий профессионал своего дела, хочу отдельно отметить, что у доктора очень легкая рука, каждую манипуляцию комментирует ...
вадим
16.04.2026
Волею судьбы пришлось исправлять в данной клинике работу других докторов. Огромная благодарность Чибисовой Анне Владимировне, за оказанную помощь и последующее лечение. 12/10
Инна
16.04.2026
Хочу выразить большую благодарность и признательность врачу НАТАЛЬЕ ВИКТОРОВНЕ ДУБИНИНОЙ! Это замечательный добрый и внимательный доктор, настоящий профессионал своего дела! Все лечение в несколько этапов прошло быстро легко и без...
Без имени
13.04.2026
Хочу выразить огромную благодарность врачу-стоматологу Артём Алаев Попал к нему с целым «букетом» кариеса, в итоге получил не просто лечение, а настоящее шоу и удовольствие. Вот что особенно понравилось: 1. Человеческий подход. Ар...
Таисия Майер
08.04.2026
Хочу выразить благодарность стоматологу‑терапевту Елене Валерьевне! Профессиональный подход, внимательное отношение и качественное лечение - то, что я ценю в враче. Всё подробно объясняет, отвечает на вопросы и делает свою работу ...
Алла
06.04.2026
Огромное спасибо Екатерине Артёмовне и Ксении за чудесную работу! Раньше я буквально боялась ходить к стоматологам, тряслись руки, и накрывала паника. В самый первый раз Екатерина Артёмовна все спокойно объяснила и аккуратно прове...
Татьяна.
04.04.2026
Надежда Александровна Махмутова - отличный стоматолог! Всё лечение проходит максимально комфортно и без боли. Чувствуется высокий профессионализм и забота о пациенте. Очень довольна результатом, спасибо!
насик черневич
03.04.2026
Проходила лечение у терапевта Ушаковой Ксении Сергеевны. Отличный специалист, вылечили несколько зубов. В процессе Ксения Сергеевна демонстрирует свой профессионализм, заботу и качество. большое Вам спасибо!
Без имени
30.03.2026
Почтарь просто потрясающий врач! У неё большой опыт и высокий профессионализм. Очень приятно, что она всегда вежлива и дружелюбна. Всегда готова помочь с любыми вопросами, связанными с зубами. Я остался полностью доволен её работо...
Софья
28.03.2026
Выбирала врача со стажем работы. Кидон Елена Юрьевна - вот, она!)) врач, нацеленная на результат. Покорила меня своим бережным отношением и желанием довести взятую работу до идеала! Пролечили все нужные зубы: красиво, чётк...
Денис Мотрук
27.03.2026
Был сегодня на приеме у Богомягковой Екатерины врача высшей категории, все понравилось прошло без боли и последствий ) сделали снимок нашли проблемы, построили план лечений и удаления 8 ) собираемся с духом и следуем реком...
Ева Киллер
17.03.2026
От всего сердца благодарю врача Ангелину за ее профессионализм и трепетное отношение во время работы!!! Я очень долго не могла решиться и пойти на лечение (очень боялась), но одно посещение вашей клиники полностью изменило...
Ева Киллер
17.03.2026
От всего сердца благодарю врача Ангелину за ее профессионализм и трепетное отношение во время работы!!! Я очень долго не могла решиться и пойти на лечение (очень боялась), но одно посещение вашей клиники полностью изменило мое отн...
Вита Симонова
17.03.2026
Огромное спасибо доктору Садочкову Алексею Максимовичу и всей клинике! Мы приезжие из другого региона, оказались в сложной ситуации с перспективой лишиться нескольких зубов. В нашем городе не смогли найти специалиста, и эта ситуац...
Nadya Patrikeeva
15.03.2026
Была у врача - Немцева Софья Григорьевна. Спасибо большое за чуткость и профессионализм. Мне очень понравился приём)
Алексей Шкильнюк
15.03.2026
Профессионалы своего дела-есть везде, но высших наград удостоены только лучшие из лучших. Слова благодарности, выражаем всей своей дружной семьей Хомутовой Татьяне Александровне. За мастерство, индивидуальный подход к каждому паци...
Ольга Ольга
08.03.2026
Хожу в этот Дентал-сервис уже больше 6 лет. Первый раз пришла с острой болью к Сендецкой Ю.Ю. Меня конечно напугало, что молодой специалист почти без страха, но она сделала то, что не смогла врач с 15-летним стажем и высшей катего...
Stepan Gorlanov
07.03.2026
Был на приеме у Мамедова Мамеда. Хочу поблагодарить его за внимательность и участливость. Приём прошёл спокойно и безболезненно. Мамед Джалилович всё подробно объяснил до начала, а в процессе лечения комментировал как все идет. В ...
Заполните форму
Данные пациента
Выбрать врача и специализацию

    Часто задаваемые вопросы

    Зачем восстанавливать функцию зуба?

    Зуб — совершенная часть человеческого организма. Каждый бугорочек на жевательной поверхности зуба нужен для тщательного измельчения пищи, правильного ее перераспределения в полости рта. Если коронковая часть зуба восстановлена пломбой без учета его истинной анатомии, он не будет полноценно жевать (кусать). Если пломба нависает над десной, она может ее ранить. Если пища во рту неправильно распределяется, жевательная нагрузка начинает частично ложиться на десны. Это может стать причиной развития серьезных заболеваний десен. По стандартам Дентал-Сервис, врач-терапевт должен не только вылечить зуб, но и восстановить пломбировочным материалом его первозданный рельеф.

    Зачем нужен профилактический осмотр?

    «Ловить» кариес на начальной стадии — самый простой и незатратный способ поддерживать полный зубной порядок. Врач выслушает ваши жалобы, проведет осмотр. Особое внимание обратит на плотность прилегания пломб и на их поверхность, если нужно, проведет пришлифовку пломб. Часто именно в месте неплотно прилегающей пломбы возникает повторный кариес. При необходимости врач направит вас на профессиональную гигиену.

    Пациентам, которые раз в полгода проходят профилактический осмотр и профессиональную гигиену, мы продлеваем гарантию на лечение зубов в Новосибирске, Бердске, Академгородке, Кольцово до двух лет (в других клиниках этот срок, как правило, не более года).

    Нужно восстановить зуб. Как решить, чем: пломбой, вкладкой или коронкой?

    Если разрушено 1/2-3/4 жевательной поверхности бокового зуба, обычным методом пломбирования его не восстановить. Слишком большой объем пломбировочного материала неизбежно даст усадку, возникнет микрощель и повторный кариес. В таком случае нужно делать вкладку. По сути, это большая пломба, разница лишь в том, что она не сразу устанавливается в полости рта, а предварительно изготавливается в зуботехнической лаборатории.

    Если разрушено более 3/4 жевательной поверхности зуба, зуб восстанавливается коронкой. Восстановлением коронковой части зуба коронками занимаются ортопеды. Задача терапевта — подготовить зуб к протезированию «под ключ». Для того чтобы учесть все нюансы будущего восстановления и подготовить зуб к протезированию правильно, врач-терапевт пригласит на консультацию ортопеда.

    Если зуб не подлежит восстановлению и его придется удалить, врач расскажет о возможных вариантах восстановления. Для этого он проведет экспертный совет с необходимыми специалистами (хирургом, ортопедом), которые оценят возможность установки имплантата, мостовидных конструкций и т.п. Заметим, что такие консилиумы во время приема — это не что-то из ряда вон выходящее, а часть стандарта работы стоматолога-терапевта Дентал-Сервис.

    Зачем менять старую пломбу, если она еще не выпала?

    Пломба — это технически сложное изделие. Она подвергается ежедневной серьезной нагрузке, работает в условиях повышенной влажности. Как у любого технического изделия, у пломбы есть срок службы и естественного износа. Со временем любая пломба может просесть. Если пломба потеряла герметичность, появились микрощели, значит, она больше не защищает зуб от инфекции и подлежит замене. А пломбы, которые установлены с грубыми нарушениями технологии, например, травмирующие десну, мы рекомендуем менять однозначно.

    Как избежать в отпуске болезни зубов?

    Опытные туристы знают: чем тщательней подготовка к поездке, тем спокойней отдых. Рекомендуем пройти профилактический осмотр у терапевта. Если вы не были у стоматолога более полугода (или знаете о существующих проблемах) — это отличная возможность прояснить ситуацию и обсудить ее с профессионалом. Оптимально сделать это не позднее трех-четырех недель до отъезда. Даже если на осмотре выявится какая-то проблема, например, потребуется лечение в канале зуба, это достаточный срок, чтобы справиться с возможными осложнениями.

    Возможно ли получить зубы в рассрочку у вас в Новосибирске?

    Да, мы предоставляем беспроцентную рассрочку на терапевтическое лечение без участия банков. Подробнее условия здесь.

    Что такое эндодонтическое лечение и чем оно отличается от обычного лечения?

    Эндодонтическое лечение — это лечение корневых каналов. Оно необходимо в случаях, когда воспаление затрагивает нерв зуба (пульпу), например, при пульпите или окружающие зуб ткани (кость) при периодонтите.

    В отличие от обычного лечения кариеса, где врач работает с поверхностными поражениями и восстанавливает зуб пломбой, эндодонтическое лечение требует более сложной и точной работы внутри корневых каналов. Врач тщательно очищает каналы от инфекции, обрабатывает их и герметично пломбирует.

    Такое лечение особенно чувствительно к качеству выполнения: важно найти и обработать все каналы, не пропустить ответвления и обеспечить полную герметичность. Именно поэтому в Дентал-Сервис эндодонтическое лечение проводится под микроскопом — это позволяет сохранить зуб даже в сложных случаях и значительно продлить срок его службы.

    Супертехнологии
    Челюстно-лицевая хирургия
    Дентал-Сервис – это не только стоматология. В 2017 году мы открыли Клинику хирургии лица, в которой помогаем пациентам с диагнозами из смежных областей – от тяжелых аномалий прикуса до последствий травм тканей лица.
    Подробнее
    Челюстно-лицевая хирургия
    Лечение под микроскопом
    100% микроскопизация — глобальный вектор компании. В нашей команде более 60 микроскопистов, аналогов в России нет. Все терапевтическое лечение — от кариеса до каналов — мы проводим с микроскопом.
    Подробнее
    Лечение под микроскопом
    Лечение детей под наркозом
    В Дентал-Сервис можно спать спокойно! Безопасность и качество лечения под наркозом в наших клиниках отвечают самым высоким требованиям, а анестезиологи — суперпрофессионалы с огромным опытом. За двенадцать лет мы провели более 10000 лечений — у детей и взрослых.
    Подробнее
    Лечение детей под наркозом
    Травма детского зуба
    Травма зуба — не повод его потерять. Восстановим сломанный зуб, приживим выбитый. Зуб продолжит расти и развиваться! Сохранение нерва травмированного зуба — высший пилотаж, наш эксклюзив.
    Подробнее
    Травма детского зуба
    Эстетическая стоматология
    Эстетическая стоматология — наша гордость. Колоссальный опыт, художественное чутье, передовые технологии и работа в команде — вот секреты мастеров, возрождающих шедевр вашей улыбки.
    Подробнее
    Эстетическая стоматология
    Имплантация зубов
    Ставим имплантаты всерьез и надолго. Готовы помочь даже в самых сложных клинических случаях и делаем все, чтобы новые зубы стали полноценной, долговечной заменой утраченным.
    Подробнее
    Имплантация зубов
    АВДЕЕНКО
    АВДЕЕНКО Дарья Васильевна
    Стоматолог-терапевт
    Клиника на Революции, 10
    Записаться

    Мы предлагаем вам ознакомиться с общим графиком работы врача на месяц. Пожалуйста, обратите внимание, что доступные слоты для записи не указаны. Чтобы узнать свободное время для записи, пожалуйста, свяжитесь с нашим контактным центром. Наши операторы с радостью помогут вам!

    Выбрано для предварительной записи:
    АГАРКОВ
    АГАРКОВ Сергей Юрьевич
    Стоматолог-терапевт
    Ведущий специалист
    Клиника на Героев Труда, 4 (Академгородок)
    Записаться

    Мы предлагаем вам ознакомиться с общим графиком работы врача на месяц. Пожалуйста, обратите внимание, что доступные слоты для записи не указаны. Чтобы узнать свободное время для записи, пожалуйста, свяжитесь с нашим контактным центром. Наши операторы с радостью помогут вам!

    Выбрано для предварительной записи:
    АГАРКОВА (ДЕНИСОВА)
    АГАРКОВА (ДЕНИСОВА) Ксения Вячеславовна
    Врач-стоматолог
    Стоматолог-ортопед
    Ведущий специалист
    Клиника на Героев Труда, 4 (Академгородок)
    Записаться

    Мы предлагаем вам ознакомиться с общим графиком работы врача на месяц. Пожалуйста, обратите внимание, что доступные слоты для записи не указаны. Чтобы узнать свободное время для записи, пожалуйста, свяжитесь с нашим контактным центром. Наши операторы с радостью помогут вам!

    Выбрано для предварительной записи:
    АЛАЕВ
    АЛАЕВ Артём Андреевич
    Врач-стоматолог
    Профессорская клиника на Николаева, 12/3 (Академгородок)

    Принимает еще в 1 клинике

    Записаться

    Мы предлагаем вам ознакомиться с общим графиком работы врача на месяц. Пожалуйста, обратите внимание, что доступные слоты для записи не указаны. Чтобы узнать свободное время для записи, пожалуйста, свяжитесь с нашим контактным центром. Наши операторы с радостью помогут вам!

    Выбрано для предварительной записи:
    АСЛАНОВА
    АСЛАНОВА Альмина Раминовна
    Врач-стоматолог
    Профессорская клиника на Николаева, 12/3 (Академгородок)
    Записаться

    Мы предлагаем вам ознакомиться с общим графиком работы врача на месяц. Пожалуйста, обратите внимание, что доступные слоты для записи не указаны. Чтобы узнать свободное время для записи, пожалуйста, свяжитесь с нашим контактным центром. Наши операторы с радостью помогут вам!

    Выбрано для предварительной записи:
    БЕСКАКОТОВА
    БЕСКАКОТОВА Виктория Александровна
    Врач-стоматолог
    Клиника на Революции, 10
    Записаться

    Мы предлагаем вам ознакомиться с общим графиком работы врача на месяц. Пожалуйста, обратите внимание, что доступные слоты для записи не указаны. Чтобы узнать свободное время для записи, пожалуйста, свяжитесь с нашим контактным центром. Наши операторы с радостью помогут вам!

    Выбрано для предварительной записи:
    БЕТЕХТИН Гордей Олегович
    Врач-стоматолог
    Профессорская клиника на Николаева, 12/3 (Академгородок)
    Записаться

    Мы предлагаем вам ознакомиться с общим графиком работы врача на месяц. Пожалуйста, обратите внимание, что доступные слоты для записи не указаны. Чтобы узнать свободное время для записи, пожалуйста, свяжитесь с нашим контактным центром. Наши операторы с радостью помогут вам!

    Выбрано для предварительной записи:
    БОБЫЛЕВА
    БОБЫЛЕВА Елизавета Евгеньевна
    Стоматолог-терапевт
    Врач-стоматолог
    Клиника на Революции, 10
    Записаться

    Мы предлагаем вам ознакомиться с общим графиком работы врача на месяц. Пожалуйста, обратите внимание, что доступные слоты для записи не указаны. Чтобы узнать свободное время для записи, пожалуйста, свяжитесь с нашим контактным центром. Наши операторы с радостью помогут вам!

    Выбрано для предварительной записи:
    БОГОМЯГКОВА (ПЕРЕВАЛОВА) Екатерина Андреевна
    Врач-стоматолог
    Стоматолог-ортопед
    Клиника хирургии лица и стоматологии на Сакко и Ванцетти, 77
    Записаться

    Мы предлагаем вам ознакомиться с общим графиком работы врача на месяц. Пожалуйста, обратите внимание, что доступные слоты для записи не указаны. Чтобы узнать свободное время для записи, пожалуйста, свяжитесь с нашим контактным центром. Наши операторы с радостью помогут вам!

    Выбрано для предварительной записи:
    БОЧАРОВА
    БОЧАРОВА Наталья Николаевна
    Стоматолог-терапевт
    Клиника на Героев Труда, 4 (Академгородок)
    Записаться

    Мы предлагаем вам ознакомиться с общим графиком работы врача на месяц. Пожалуйста, обратите внимание, что доступные слоты для записи не указаны. Чтобы узнать свободное время для записи, пожалуйста, свяжитесь с нашим контактным центром. Наши операторы с радостью помогут вам!

    Выбрано для предварительной записи:
    БРАНИЦКАЯ
    БРАНИЦКАЯ Анна Петровна
    Врач-стоматолог
    Профессорская клиника на Николаева, 12/3 (Академгородок)

    Принимает еще в 1 клинике

    Записаться

    Мы предлагаем вам ознакомиться с общим графиком работы врача на месяц. Пожалуйста, обратите внимание, что доступные слоты для записи не указаны. Чтобы узнать свободное время для записи, пожалуйста, свяжитесь с нашим контактным центром. Наши операторы с радостью помогут вам!

    Выбрано для предварительной записи:
    БУРНИСТОВ
    БУРНИСТОВ Илья Валерьевич
    Стоматолог-терапевт
    Клиника на Революции, 10

    Принимает еще в 1 клинике

    Записаться

    Мы предлагаем вам ознакомиться с общим графиком работы врача на месяц. Пожалуйста, обратите внимание, что доступные слоты для записи не указаны. Чтобы узнать свободное время для записи, пожалуйста, свяжитесь с нашим контактным центром. Наши операторы с радостью помогут вам!

    Выбрано для предварительной записи:
    БУРНОС Александр Сергеевич
    Врач-стоматолог
    Клиника на Гребенщикова, 1 (Родники)
    Записаться

    Мы предлагаем вам ознакомиться с общим графиком работы врача на месяц. Пожалуйста, обратите внимание, что доступные слоты для записи не указаны. Чтобы узнать свободное время для записи, пожалуйста, свяжитесь с нашим контактным центром. Наши операторы с радостью помогут вам!

    Выбрано для предварительной записи:
    ВЕНЦЕЛЬ Ирина Викторовна
    Стоматолог-терапевт
    Клиника на Героев Труда, 4 (Академгородок)
    Записаться

    Мы предлагаем вам ознакомиться с общим графиком работы врача на месяц. Пожалуйста, обратите внимание, что доступные слоты для записи не указаны. Чтобы узнать свободное время для записи, пожалуйста, свяжитесь с нашим контактным центром. Наши операторы с радостью помогут вам!

    Выбрано для предварительной записи:
    ВИГЕЛЬ
    ВИГЕЛЬ Амалия Дмитриевна
    Врач-стоматолог
    Профессорская клиника на Николаева, 12/3 (Академгородок)

    Принимает еще в 1 клинике

    Записаться

    Мы предлагаем вам ознакомиться с общим графиком работы врача на месяц. Пожалуйста, обратите внимание, что доступные слоты для записи не указаны. Чтобы узнать свободное время для записи, пожалуйста, свяжитесь с нашим контактным центром. Наши операторы с радостью помогут вам!

    Выбрано для предварительной записи:
    ВОЙТЕХОВСКАЯ
    ВОЙТЕХОВСКАЯ Ангелина Денисовна
    Врач-стоматолог
    Профессорская клиника на Николаева, 12/3 (Академгородок)

    Принимает еще в 1 клинике

    Записаться

    Мы предлагаем вам ознакомиться с общим графиком работы врача на месяц. Пожалуйста, обратите внимание, что доступные слоты для записи не указаны. Чтобы узнать свободное время для записи, пожалуйста, свяжитесь с нашим контактным центром. Наши операторы с радостью помогут вам!

    Выбрано для предварительной записи:
    ГАПЧЕНКО
    ГАПЧЕНКО Анжелика Сергеевна
    Врач-стоматолог
    Клиника на Дуси Ковальчук, 252/1
    Записаться

    Мы предлагаем вам ознакомиться с общим графиком работы врача на месяц. Пожалуйста, обратите внимание, что доступные слоты для записи не указаны. Чтобы узнать свободное время для записи, пожалуйста, свяжитесь с нашим контактным центром. Наши операторы с радостью помогут вам!

    Выбрано для предварительной записи:
    ГАСЬКОВА
    ГАСЬКОВА Виктория Вадимовна
    Врач-стоматолог
    Клиника на Вокзальной, 50/1 (Бердск)
    Записаться

    Мы предлагаем вам ознакомиться с общим графиком работы врача на месяц. Пожалуйста, обратите внимание, что доступные слоты для записи не указаны. Чтобы узнать свободное время для записи, пожалуйста, свяжитесь с нашим контактным центром. Наши операторы с радостью помогут вам!

    Выбрано для предварительной записи:
    ГОРЛАЧ
    ГОРЛАЧ Любовь Александровна
    Стоматолог-терапевт
    Стоматолог-хирург
    Клиника на Блюхера, 30
    Записаться

    Мы предлагаем вам ознакомиться с общим графиком работы врача на месяц. Пожалуйста, обратите внимание, что доступные слоты для записи не указаны. Чтобы узнать свободное время для записи, пожалуйста, свяжитесь с нашим контактным центром. Наши операторы с радостью помогут вам!

    Выбрано для предварительной записи:
    ГОРЯЧКИНА (ЕЩЕНКО)
    ГОРЯЧКИНА (ЕЩЕНКО) Анна Евгеньевна
    Врач-стоматолог
    Клиника хирургии лица и стоматологии на Сакко и Ванцетти, 77
    Записаться
    Выбрано для предварительной записи:
    ГУРЬЕВА
    ГУРЬЕВА Евгения Олеговна
    Стоматолог-терапевт
    Стоматолог-ортопед
    Клиника на Революции, 10
    Записаться

    Мы предлагаем вам ознакомиться с общим графиком работы врача на месяц. Пожалуйста, обратите внимание, что доступные слоты для записи не указаны. Чтобы узнать свободное время для записи, пожалуйста, свяжитесь с нашим контактным центром. Наши операторы с радостью помогут вам!

    Выбрано для предварительной записи:
    ДОЛГАНОВ
    ДОЛГАНОВ Руслан Гумарович
    Врач-стоматолог
    Профессорская клиника на Николаева, 12/3 (Академгородок)

    Принимает еще в 1 клинике

    Записаться

    Мы предлагаем вам ознакомиться с общим графиком работы врача на месяц. Пожалуйста, обратите внимание, что доступные слоты для записи не указаны. Чтобы узнать свободное время для записи, пожалуйста, свяжитесь с нашим контактным центром. Наши операторы с радостью помогут вам!

    Выбрано для предварительной записи:
    ДУБИНИНА
    ДУБИНИНА Наталья Викторовна
    Стоматолог-терапевт
    Клиника на Никольском проспекте, 1 (Кольцово)
    Записаться

    Мы предлагаем вам ознакомиться с общим графиком работы врача на месяц. Пожалуйста, обратите внимание, что доступные слоты для записи не указаны. Чтобы узнать свободное время для записи, пожалуйста, свяжитесь с нашим контактным центром. Наши операторы с радостью помогут вам!

    Выбрано для предварительной записи:
    ДУБРОВСКАЯ Софья Владимировна
    Стоматолог-терапевт
    Клиника на Героев Труда, 4 (Академгородок)
    Записаться

    Мы предлагаем вам ознакомиться с общим графиком работы врача на месяц. Пожалуйста, обратите внимание, что доступные слоты для записи не указаны. Чтобы узнать свободное время для записи, пожалуйста, свяжитесь с нашим контактным центром. Наши операторы с радостью помогут вам!

    Выбрано для предварительной записи:
    ЕРМОШКИН
    ЕРМОШКИН Никита Михайлович
    Врач-стоматолог
    Профессорская клиника на Николаева, 12/3 (Академгородок)
    Записаться

    Мы предлагаем вам ознакомиться с общим графиком работы врача на месяц. Пожалуйста, обратите внимание, что доступные слоты для записи не указаны. Чтобы узнать свободное время для записи, пожалуйста, свяжитесь с нашим контактным центром. Наши операторы с радостью помогут вам!

    Выбрано для предварительной записи:
    ЕФРЕМОВА (ИСАЕВА)
    ЕФРЕМОВА (ИСАЕВА) Евгения Сергеевна
    Стоматолог-терапевт
    Ведущий специалист
    Клиника на Блюхера, 30
    Записаться

    Мы предлагаем вам ознакомиться с общим графиком работы врача на месяц. Пожалуйста, обратите внимание, что доступные слоты для записи не указаны. Чтобы узнать свободное время для записи, пожалуйста, свяжитесь с нашим контактным центром. Наши операторы с радостью помогут вам!

    Выбрано для предварительной записи:
    ЖУРАВКОВА
    ЖУРАВКОВА Юлия Валерьевна
    Стоматолог-терапевт
    Детский стоматолог
    Ведущий специалист
    Главный врач Клиники в Бердске
    Главный врач Клиники на пл.К.Маркса, 1
    Клиника на Вокзальной, 50/1 (Бердск)

    Принимает еще в 1 клинике

    Записаться

    Мы предлагаем вам ознакомиться с общим графиком работы врача на месяц. Пожалуйста, обратите внимание, что доступные слоты для записи не указаны. Чтобы узнать свободное время для записи, пожалуйста, свяжитесь с нашим контактным центром. Наши операторы с радостью помогут вам!

    Выбрано для предварительной записи:
    ЗАВОДОВ
    ЗАВОДОВ Олег Игоревич
    Стоматолог-ортопед
    Врач-стоматолог
    Клиника на Дуси Ковальчук, 252/1
    Записаться

    Мы предлагаем вам ознакомиться с общим графиком работы врача на месяц. Пожалуйста, обратите внимание, что доступные слоты для записи не указаны. Чтобы узнать свободное время для записи, пожалуйста, свяжитесь с нашим контактным центром. Наши операторы с радостью помогут вам!

    Выбрано для предварительной записи:
    ЗАИКИНА (БУРКАЦКАЯ)
    ЗАИКИНА (БУРКАЦКАЯ) Мария Олеговна
    Стоматолог-терапевт
    Клиника на Блюхера, 30
    Записаться

    Мы предлагаем вам ознакомиться с общим графиком работы врача на месяц. Пожалуйста, обратите внимание, что доступные слоты для записи не указаны. Чтобы узнать свободное время для записи, пожалуйста, свяжитесь с нашим контактным центром. Наши операторы с радостью помогут вам!

    Выбрано для предварительной записи:
    ЗАЯТУЕВА
    ЗАЯТУЕВА Юлия Дамдиновна
    Врач-стоматолог
    Профессорская клиника на Николаева, 12/3 (Академгородок)

    Принимает еще в 1 клинике

    Записаться

    Мы предлагаем вам ознакомиться с общим графиком работы врача на месяц. Пожалуйста, обратите внимание, что доступные слоты для записи не указаны. Чтобы узнать свободное время для записи, пожалуйста, свяжитесь с нашим контактным центром. Наши операторы с радостью помогут вам!

    Выбрано для предварительной записи:
    ЗОЛОТАРЕВА Полина Темуровна
    Врач-стоматолог
    Профессорская клиника на Николаева, 12/3 (Академгородок)
    Записаться

    Мы предлагаем вам ознакомиться с общим графиком работы врача на месяц. Пожалуйста, обратите внимание, что доступные слоты для записи не указаны. Чтобы узнать свободное время для записи, пожалуйста, свяжитесь с нашим контактным центром. Наши операторы с радостью помогут вам!

    Выбрано для предварительной записи:
    ИРИНИН
    ИРИНИН Владислав Сергеевич
    Врач-стоматолог
    Клиника на Героев Труда, 4 (Академгородок)
    Записаться

    Мы предлагаем вам ознакомиться с общим графиком работы врача на месяц. Пожалуйста, обратите внимание, что доступные слоты для записи не указаны. Чтобы узнать свободное время для записи, пожалуйста, свяжитесь с нашим контактным центром. Наши операторы с радостью помогут вам!

    Выбрано для предварительной записи:
    КАЗАНИН
    КАЗАНИН Никита Сергеевич
    Врач-стоматолог
    Клиника на Дуси Ковальчук, 252/1

    Принимает еще в 1 клинике

    Записаться

    Мы предлагаем вам ознакомиться с общим графиком работы врача на месяц. Пожалуйста, обратите внимание, что доступные слоты для записи не указаны. Чтобы узнать свободное время для записи, пожалуйста, свяжитесь с нашим контактным центром. Наши операторы с радостью помогут вам!

    Выбрано для предварительной записи:
    КАРАПЕТЯН Оганнес Степанович
    Врач-стоматолог
    Профессорская клиника на Николаева, 12/3 (Академгородок)
    Записаться

    Мы предлагаем вам ознакомиться с общим графиком работы врача на месяц. Пожалуйста, обратите внимание, что доступные слоты для записи не указаны. Чтобы узнать свободное время для записи, пожалуйста, свяжитесь с нашим контактным центром. Наши операторы с радостью помогут вам!

    Выбрано для предварительной записи:
    КАХРАМАНОВ
    КАХРАМАНОВ Видади Фазилович
    Врач-стоматолог
    Профессорская клиника на Николаева, 12/3 (Академгородок)

    Принимает еще в 1 клинике

    Записаться

    Мы предлагаем вам ознакомиться с общим графиком работы врача на месяц. Пожалуйста, обратите внимание, что доступные слоты для записи не указаны. Чтобы узнать свободное время для записи, пожалуйста, свяжитесь с нашим контактным центром. Наши операторы с радостью помогут вам!

    Выбрано для предварительной записи:
    КИДОН
    КИДОН Елена Юрьевна
    Стоматолог-терапевт
    Клиника на Блюхера, 30
    Записаться

    Мы предлагаем вам ознакомиться с общим графиком работы врача на месяц. Пожалуйста, обратите внимание, что доступные слоты для записи не указаны. Чтобы узнать свободное время для записи, пожалуйста, свяжитесь с нашим контактным центром. Наши операторы с радостью помогут вам!

    Выбрано для предварительной записи:
    КИМ
    КИМ Алина Вячеславовна
    Врач-стоматолог
    Стоматолог-терапевт
    Клиника на Блюхера, 30
    Записаться

    Мы предлагаем вам ознакомиться с общим графиком работы врача на месяц. Пожалуйста, обратите внимание, что доступные слоты для записи не указаны. Чтобы узнать свободное время для записи, пожалуйста, свяжитесь с нашим контактным центром. Наши операторы с радостью помогут вам!

    Выбрано для предварительной записи:
    КИРЮШИНА
    КИРЮШИНА Анна Витальевна
    Врач-стоматолог
    Профессорская клиника на Николаева, 12/3 (Академгородок)
    Записаться

    Мы предлагаем вам ознакомиться с общим графиком работы врача на месяц. Пожалуйста, обратите внимание, что доступные слоты для записи не указаны. Чтобы узнать свободное время для записи, пожалуйста, свяжитесь с нашим контактным центром. Наши операторы с радостью помогут вам!

    Выбрано для предварительной записи:
    КОВАЛЕВ
    КОВАЛЕВ Роман Олегович
    Стоматолог-ортопед
    Врач-стоматолог
    Ведущий специалист
    Клиника на Вокзальной, 50/1 (Бердск)

    Принимает еще в 1 клинике

    Записаться

    Мы предлагаем вам ознакомиться с общим графиком работы врача на месяц. Пожалуйста, обратите внимание, что доступные слоты для записи не указаны. Чтобы узнать свободное время для записи, пожалуйста, свяжитесь с нашим контактным центром. Наши операторы с радостью помогут вам!

    Выбрано для предварительной записи:
    КОВАЛЕВА
    КОВАЛЕВА Валерия Игоревна
    Врач-стоматолог
    Клиника на Гребенщикова, 1 (Родники)

    Принимает еще в 1 клинике

    Записаться

    Мы предлагаем вам ознакомиться с общим графиком работы врача на месяц. Пожалуйста, обратите внимание, что доступные слоты для записи не указаны. Чтобы узнать свободное время для записи, пожалуйста, свяжитесь с нашим контактным центром. Наши операторы с радостью помогут вам!

    Выбрано для предварительной записи:
    КОВАЛЕНКО (ГЕРДУН)
    КОВАЛЕНКО (ГЕРДУН) Анастасия Николаевна
    Стоматолог-терапевт
    Врач-стоматолог
    Клиника хирургии лица и стоматологии на Сакко и Ванцетти, 77
    Записаться
    Выбрано для предварительной записи:
    КОСИЦЫНА
    КОСИЦЫНА Ирина Геннадьевна
    Стоматолог-терапевт
    Клиника на Героев Труда, 4 (Академгородок)
    Записаться

    Мы предлагаем вам ознакомиться с общим графиком работы врача на месяц. Пожалуйста, обратите внимание, что доступные слоты для записи не указаны. Чтобы узнать свободное время для записи, пожалуйста, свяжитесь с нашим контактным центром. Наши операторы с радостью помогут вам!

    Выбрано для предварительной записи:
    КРАВЦОВА (ФИДИРКИНА)
    КРАВЦОВА (ФИДИРКИНА) Софья Андреевна
    Стоматолог-терапевт
    Ведущий специалист
    Главный врач Клиники на Дуси Ковальчук, 252/1
    Клиника на Дуси Ковальчук, 252/1
    Записаться

    Мы предлагаем вам ознакомиться с общим графиком работы врача на месяц. Пожалуйста, обратите внимание, что доступные слоты для записи не указаны. Чтобы узнать свободное время для записи, пожалуйста, свяжитесь с нашим контактным центром. Наши операторы с радостью помогут вам!

    Выбрано для предварительной записи:
    КРАСНОВА (МЕЛЕХОВА)
    КРАСНОВА (МЕЛЕХОВА) Анастасия Алексеевна
    Врач-стоматолог
    Клиника на Вокзальной, 50/1 (Бердск)
    Записаться

    Мы предлагаем вам ознакомиться с общим графиком работы врача на месяц. Пожалуйста, обратите внимание, что доступные слоты для записи не указаны. Чтобы узнать свободное время для записи, пожалуйста, свяжитесь с нашим контактным центром. Наши операторы с радостью помогут вам!

    Выбрано для предварительной записи:
    КРУГЛИК
    КРУГЛИК Полина Евгеньевна
    Врач-стоматолог
    Клиника на Вокзальной, 50/1 (Бердск)
    Записаться

    Мы предлагаем вам ознакомиться с общим графиком работы врача на месяц. Пожалуйста, обратите внимание, что доступные слоты для записи не указаны. Чтобы узнать свободное время для записи, пожалуйста, свяжитесь с нашим контактным центром. Наши операторы с радостью помогут вам!

    Выбрано для предварительной записи:
    КРУТЬКО
    КРУТЬКО Оксана Алексеевна
    Стоматолог-терапевт
    Стоматолог-хирург
    Ведущий специалист
    Главный врач Клиники на Никольском проспекте, 1
    Клиника на Никольском проспекте, 1 (Кольцово)
    Записаться

    Мы предлагаем вам ознакомиться с общим графиком работы врача на месяц. Пожалуйста, обратите внимание, что доступные слоты для записи не указаны. Чтобы узнать свободное время для записи, пожалуйста, свяжитесь с нашим контактным центром. Наши операторы с радостью помогут вам!

    Выбрано для предварительной записи:
    ЛОПОТОВА Мария Георгиевна
    Врач-стоматолог
    Клиника на пл. Карла Маркса, 1
    Записаться

    Мы предлагаем вам ознакомиться с общим графиком работы врача на месяц. Пожалуйста, обратите внимание, что доступные слоты для записи не указаны. Чтобы узнать свободное время для записи, пожалуйста, свяжитесь с нашим контактным центром. Наши операторы с радостью помогут вам!

    Выбрано для предварительной записи:
    МАМЕДОВ
    МАМЕДОВ Мамед Джалилович
    Врач-стоматолог
    Клиника на Героев Труда, 4 (Академгородок)

    Принимает еще в 1 клинике

    Записаться

    Мы предлагаем вам ознакомиться с общим графиком работы врача на месяц. Пожалуйста, обратите внимание, что доступные слоты для записи не указаны. Чтобы узнать свободное время для записи, пожалуйста, свяжитесь с нашим контактным центром. Наши операторы с радостью помогут вам!

    Выбрано для предварительной записи:
    МАНУКЯН (ПЕТРОСЯН)
    МАНУКЯН (ПЕТРОСЯН) Нина Витальевна
    Стоматолог-терапевт
    Врач-стоматолог
    Клиника на Блюхера, 30
    Записаться

    Мы предлагаем вам ознакомиться с общим графиком работы врача на месяц. Пожалуйста, обратите внимание, что доступные слоты для записи не указаны. Чтобы узнать свободное время для записи, пожалуйста, свяжитесь с нашим контактным центром. Наши операторы с радостью помогут вам!

    Выбрано для предварительной записи:
    МАРДАНЯН
    МАРДАНЯН Анжела Ремиковна
    Стоматолог-терапевт
    Клиника на Героев Труда, 4 (Академгородок)
    Записаться

    Мы предлагаем вам ознакомиться с общим графиком работы врача на месяц. Пожалуйста, обратите внимание, что доступные слоты для записи не указаны. Чтобы узнать свободное время для записи, пожалуйста, свяжитесь с нашим контактным центром. Наши операторы с радостью помогут вам!

    Выбрано для предварительной записи:
    МАТВИЕНКО
    МАТВИЕНКО Екатерина Артемовна
    Врач-стоматолог
    Клиника на Блюхера, 30
    Записаться

    Мы предлагаем вам ознакомиться с общим графиком работы врача на месяц. Пожалуйста, обратите внимание, что доступные слоты для записи не указаны. Чтобы узнать свободное время для записи, пожалуйста, свяжитесь с нашим контактным центром. Наши операторы с радостью помогут вам!

    Выбрано для предварительной записи:
    МАХТУМОВА
    МАХТУМОВА Надежда Александровна
    Стоматолог-терапевт
    Клиника на Вокзальной, 50/1 (Бердск)
    Записаться

    Мы предлагаем вам ознакомиться с общим графиком работы врача на месяц. Пожалуйста, обратите внимание, что доступные слоты для записи не указаны. Чтобы узнать свободное время для записи, пожалуйста, свяжитесь с нашим контактным центром. Наши операторы с радостью помогут вам!

    Выбрано для предварительной записи:
    МЕЛУЗОВА
    МЕЛУЗОВА Варвара Александровна
    Врач-стоматолог
    Профессорская клиника на Николаева, 12/3 (Академгородок)

    Принимает еще в 1 клинике

    Записаться

    Мы предлагаем вам ознакомиться с общим графиком работы врача на месяц. Пожалуйста, обратите внимание, что доступные слоты для записи не указаны. Чтобы узнать свободное время для записи, пожалуйста, свяжитесь с нашим контактным центром. Наши операторы с радостью помогут вам!

    Выбрано для предварительной записи:
    МЕЛЬНИКОВА (ФОКИНА)
    МЕЛЬНИКОВА (ФОКИНА) Дарья Сергеевна
    Врач-стоматолог
    Клиника хирургии лица и стоматологии на Сакко и Ванцетти, 77
    Записаться
    Выбрано для предварительной записи:
    МИНОВ
    МИНОВ Дмитрий Олегович
    Стоматолог-терапевт
    Ведущий специалист
    Клиника на пл. Карла Маркса, 1
    Записаться

    Мы предлагаем вам ознакомиться с общим графиком работы врача на месяц. Пожалуйста, обратите внимание, что доступные слоты для записи не указаны. Чтобы узнать свободное время для записи, пожалуйста, свяжитесь с нашим контактным центром. Наши операторы с радостью помогут вам!

    Выбрано для предварительной записи:
    МОРОДЕЦКАЯ (ПРОХОРОВА)
    МОРОДЕЦКАЯ (ПРОХОРОВА) Александра Владимировна
    Стоматолог-терапевт
    Клиника на пл. Карла Маркса, 1
    Записаться

    Мы предлагаем вам ознакомиться с общим графиком работы врача на месяц. Пожалуйста, обратите внимание, что доступные слоты для записи не указаны. Чтобы узнать свободное время для записи, пожалуйста, свяжитесь с нашим контактным центром. Наши операторы с радостью помогут вам!

    Выбрано для предварительной записи:
    МОТЫК
    МОТЫК Полина Алексеевна
    Врач-стоматолог
    Стоматолог-ортопед
    Клиника на Революции, 10
    Записаться

    Мы предлагаем вам ознакомиться с общим графиком работы врача на месяц. Пожалуйста, обратите внимание, что доступные слоты для записи не указаны. Чтобы узнать свободное время для записи, пожалуйста, свяжитесь с нашим контактным центром. Наши операторы с радостью помогут вам!

    Выбрано для предварительной записи:
    НАУМОВА
    НАУМОВА Анна Юрьевна
    Врач-стоматолог
    Профессорская клиника на Николаева, 12/3 (Академгородок)

    Принимает еще в 1 клинике

    Записаться

    Мы предлагаем вам ознакомиться с общим графиком работы врача на месяц. Пожалуйста, обратите внимание, что доступные слоты для записи не указаны. Чтобы узнать свободное время для записи, пожалуйста, свяжитесь с нашим контактным центром. Наши операторы с радостью помогут вам!

    Выбрано для предварительной записи:
    НЕДОСВЯТИЙ
    НЕДОСВЯТИЙ Светлана Викторовна
    Стоматолог-терапевт
    Детский стоматолог
    Клиника на Героев Труда, 4 (Академгородок)
    Записаться

    Мы предлагаем вам ознакомиться с общим графиком работы врача на месяц. Пожалуйста, обратите внимание, что доступные слоты для записи не указаны. Чтобы узнать свободное время для записи, пожалуйста, свяжитесь с нашим контактным центром. Наши операторы с радостью помогут вам!

    Выбрано для предварительной записи:
    НЕМЦЕВА
    НЕМЦЕВА Софья Григорьевна
    Врач-стоматолог
    Профессорская клиника на Николаева, 12/3 (Академгородок)

    Принимает еще в 1 клинике

    Записаться

    Мы предлагаем вам ознакомиться с общим графиком работы врача на месяц. Пожалуйста, обратите внимание, что доступные слоты для записи не указаны. Чтобы узнать свободное время для записи, пожалуйста, свяжитесь с нашим контактным центром. Наши операторы с радостью помогут вам!

    Выбрано для предварительной записи:
    НИКОЛЕНКО
    НИКОЛЕНКО Ксения Ивановна
    Врач-стоматолог
    Клиника на Вокзальной, 50/1 (Бердск)
    Записаться

    Мы предлагаем вам ознакомиться с общим графиком работы врача на месяц. Пожалуйста, обратите внимание, что доступные слоты для записи не указаны. Чтобы узнать свободное время для записи, пожалуйста, свяжитесь с нашим контактным центром. Наши операторы с радостью помогут вам!

    Выбрано для предварительной записи:
    НУЖНЫХ
    НУЖНЫХ Екатерина Андреевна
    Стоматолог-терапевт
    Ведущий специалист
    Клиника на Революции, 10
    Записаться

    Мы предлагаем вам ознакомиться с общим графиком работы врача на месяц. Пожалуйста, обратите внимание, что доступные слоты для записи не указаны. Чтобы узнать свободное время для записи, пожалуйста, свяжитесь с нашим контактным центром. Наши операторы с радостью помогут вам!

    Выбрано для предварительной записи:
    ОБУХОВА (ПЕРЕСВЕТ)
    ОБУХОВА (ПЕРЕСВЕТ) Лия Дмитриевна
    Стоматолог-терапевт
    Врач-стоматолог
    Зам. главного врача клиники на Блюхера, 30
    Клиника на Блюхера, 30
    Записаться

    Мы предлагаем вам ознакомиться с общим графиком работы врача на месяц. Пожалуйста, обратите внимание, что доступные слоты для записи не указаны. Чтобы узнать свободное время для записи, пожалуйста, свяжитесь с нашим контактным центром. Наши операторы с радостью помогут вам!

    Выбрано для предварительной записи:
    ОСТАНИНА
    ОСТАНИНА Елена Владимировна
    Стоматолог-терапевт
    Клиника на Революции, 10
    Записаться

    Мы предлагаем вам ознакомиться с общим графиком работы врача на месяц. Пожалуйста, обратите внимание, что доступные слоты для записи не указаны. Чтобы узнать свободное время для записи, пожалуйста, свяжитесь с нашим контактным центром. Наши операторы с радостью помогут вам!

    Выбрано для предварительной записи:
    ПАВЛЕНКО
    ПАВЛЕНКО Анастасия Олеговна
    Врач-стоматолог
    Клиника на Революции, 10

    Принимает еще в 1 клинике

    Записаться

    Мы предлагаем вам ознакомиться с общим графиком работы врача на месяц. Пожалуйста, обратите внимание, что доступные слоты для записи не указаны. Чтобы узнать свободное время для записи, пожалуйста, свяжитесь с нашим контактным центром. Наши операторы с радостью помогут вам!

    Выбрано для предварительной записи:
    ПЕНЗОВА
    ПЕНЗОВА Екатерина Евгеньевна
    Врач-стоматолог
    Клиника на Революции, 10
    Записаться

    Мы предлагаем вам ознакомиться с общим графиком работы врача на месяц. Пожалуйста, обратите внимание, что доступные слоты для записи не указаны. Чтобы узнать свободное время для записи, пожалуйста, свяжитесь с нашим контактным центром. Наши операторы с радостью помогут вам!

    Выбрано для предварительной записи:
    ПИЛИПЕНКО
    ПИЛИПЕНКО Кристина Дмитриевна
    Врач-стоматолог
    Клиника на Никольском проспекте, 1 (Кольцово)
    Записаться

    Мы предлагаем вам ознакомиться с общим графиком работы врача на месяц. Пожалуйста, обратите внимание, что доступные слоты для записи не указаны. Чтобы узнать свободное время для записи, пожалуйста, свяжитесь с нашим контактным центром. Наши операторы с радостью помогут вам!

    Выбрано для предварительной записи:
    ПЛЮСНИН
    ПЛЮСНИН Евгений Сергеевич
    Врач-стоматолог
    Клиника на Гребенщикова, 1 (Родники)

    Принимает еще в 1 клинике

    Записаться

    Мы предлагаем вам ознакомиться с общим графиком работы врача на месяц. Пожалуйста, обратите внимание, что доступные слоты для записи не указаны. Чтобы узнать свободное время для записи, пожалуйста, свяжитесь с нашим контактным центром. Наши операторы с радостью помогут вам!

    Выбрано для предварительной записи:
    ПОПОВА
    ПОПОВА Александра Николаевна
    Врач-стоматолог
    Клиника на пл. Карла Маркса, 1
    Записаться

    Мы предлагаем вам ознакомиться с общим графиком работы врача на месяц. Пожалуйста, обратите внимание, что доступные слоты для записи не указаны. Чтобы узнать свободное время для записи, пожалуйста, свяжитесь с нашим контактным центром. Наши операторы с радостью помогут вам!

    Выбрано для предварительной записи:
    ПОЧТАРЬ
    ПОЧТАРЬ Юлия Михайловна
    Стоматолог-терапевт
    Стоматолог-хирург
    Ведущий специалист
    Главный врач Профессорской клиники на Николаева, 12/3
    Профессорская клиника на Николаева, 12/3 (Академгородок)
    Записаться

    Мы предлагаем вам ознакомиться с общим графиком работы врача на месяц. Пожалуйста, обратите внимание, что доступные слоты для записи не указаны. Чтобы узнать свободное время для записи, пожалуйста, свяжитесь с нашим контактным центром. Наши операторы с радостью помогут вам!

    Выбрано для предварительной записи:
    ПРИВАЛОВ
    ПРИВАЛОВ Виктор Андреевич
    Врач-стоматолог
    Профессорская клиника на Николаева, 12/3 (Академгородок)

    Принимает еще в 1 клинике

    Записаться

    Мы предлагаем вам ознакомиться с общим графиком работы врача на месяц. Пожалуйста, обратите внимание, что доступные слоты для записи не указаны. Чтобы узнать свободное время для записи, пожалуйста, свяжитесь с нашим контактным центром. Наши операторы с радостью помогут вам!

    Выбрано для предварительной записи:
    РЕУТСКИХ (БУТАКОВА)
    РЕУТСКИХ (БУТАКОВА) Дарья Викторовна
    Стоматолог-терапевт
    Детский стоматолог
    Ведущий специалист
    Клиника хирургии лица и стоматологии на Сакко и Ванцетти, 77
    Записаться

    Мы предлагаем вам ознакомиться с общим графиком работы врача на месяц. Пожалуйста, обратите внимание, что доступные слоты для записи не указаны. Чтобы узнать свободное время для записи, пожалуйста, свяжитесь с нашим контактным центром. Наши операторы с радостью помогут вам!

    Выбрано для предварительной записи:
    РОМАНОВА
    РОМАНОВА Марина Алексеевна
    Врач-стоматолог
    Клиника на Дуси Ковальчук, 252/1
    Записаться

    Мы предлагаем вам ознакомиться с общим графиком работы врача на месяц. Пожалуйста, обратите внимание, что доступные слоты для записи не указаны. Чтобы узнать свободное время для записи, пожалуйста, свяжитесь с нашим контактным центром. Наши операторы с радостью помогут вам!

    Выбрано для предварительной записи:
    РЫБОЛОВ
    РЫБОЛОВ Михаил Викторович
    Врач-стоматолог
    Профессорская клиника на Николаева, 12/3 (Академгородок)

    Принимает еще в 1 клинике

    Записаться

    Мы предлагаем вам ознакомиться с общим графиком работы врача на месяц. Пожалуйста, обратите внимание, что доступные слоты для записи не указаны. Чтобы узнать свободное время для записи, пожалуйста, свяжитесь с нашим контактным центром. Наши операторы с радостью помогут вам!

    Выбрано для предварительной записи:
    САФАРОВ
    САФАРОВ Тимур Наилевич
    Врач-стоматолог
    Клиника на Героев Труда, 4 (Академгородок)
    Записаться

    Мы предлагаем вам ознакомиться с общим графиком работы врача на месяц. Пожалуйста, обратите внимание, что доступные слоты для записи не указаны. Чтобы узнать свободное время для записи, пожалуйста, свяжитесь с нашим контактным центром. Наши операторы с радостью помогут вам!

    Выбрано для предварительной записи:
    СЕРГЕЕВА
    СЕРГЕЕВА Дарья Сергеевна
    Врач-стоматолог
    Клиника хирургии лица и стоматологии на Сакко и Ванцетти, 77
    Записаться

    Мы предлагаем вам ознакомиться с общим графиком работы врача на месяц. Пожалуйста, обратите внимание, что доступные слоты для записи не указаны. Чтобы узнать свободное время для записи, пожалуйста, свяжитесь с нашим контактным центром. Наши операторы с радостью помогут вам!

    Выбрано для предварительной записи:
    СЕРОПЯН
    СЕРОПЯН Аида Вардановна
    Врач-стоматолог
    Клиника на Революции, 10
    Записаться
    Выбрано для предварительной записи:
    СМАГИН
    СМАГИН Григорий Андреевич
    Врач-стоматолог
    Профессорская клиника на Николаева, 12/3 (Академгородок)
    Записаться

    Мы предлагаем вам ознакомиться с общим графиком работы врача на месяц. Пожалуйста, обратите внимание, что доступные слоты для записи не указаны. Чтобы узнать свободное время для записи, пожалуйста, свяжитесь с нашим контактным центром. Наши операторы с радостью помогут вам!

    Выбрано для предварительной записи:
    СОБОЛЕВА
    СОБОЛЕВА Анастасия Андреевна
    Врач-стоматолог
    Клиника на Революции, 10
    Записаться

    Мы предлагаем вам ознакомиться с общим графиком работы врача на месяц. Пожалуйста, обратите внимание, что доступные слоты для записи не указаны. Чтобы узнать свободное время для записи, пожалуйста, свяжитесь с нашим контактным центром. Наши операторы с радостью помогут вам!

    Выбрано для предварительной записи:
    ТАЯНОВ
    ТАЯНОВ Станислав Викторович
    Врач-стоматолог
    Клиника на Героев Труда, 4 (Академгородок)
    Записаться

    Мы предлагаем вам ознакомиться с общим графиком работы врача на месяц. Пожалуйста, обратите внимание, что доступные слоты для записи не указаны. Чтобы узнать свободное время для записи, пожалуйста, свяжитесь с нашим контактным центром. Наши операторы с радостью помогут вам!

    Выбрано для предварительной записи:
    ТАЯНОВА (ДАММ)
    ТАЯНОВА (ДАММ) Анна Сергеевна
    Врач-стоматолог
    Клиника на Героев Труда, 4 (Академгородок)
    Записаться
    Выбрано для предварительной записи:
    ТЕЛЕШОВА
    ТЕЛЕШОВА Юлия Алексеевна
    Врач-стоматолог
    Стоматолог-ортопед
    Клиника на Гребенщикова, 1 (Родники)
    Записаться

    Мы предлагаем вам ознакомиться с общим графиком работы врача на месяц. Пожалуйста, обратите внимание, что доступные слоты для записи не указаны. Чтобы узнать свободное время для записи, пожалуйста, свяжитесь с нашим контактным центром. Наши операторы с радостью помогут вам!

    Выбрано для предварительной записи:
    ТЕРЕЩЕНКО
    ТЕРЕЩЕНКО Ирина Германовна
    Стоматолог-терапевт
    Стоматолог-хирург
    Ведущий специалист
    Клиника на Блюхера, 30
    Записаться

    Мы предлагаем вам ознакомиться с общим графиком работы врача на месяц. Пожалуйста, обратите внимание, что доступные слоты для записи не указаны. Чтобы узнать свободное время для записи, пожалуйста, свяжитесь с нашим контактным центром. Наши операторы с радостью помогут вам!

    Выбрано для предварительной записи:
    ТИХОНОВА Наталья Вячеславовна
    Врач-стоматолог
    Профессорская клиника на Николаева, 12/3 (Академгородок)
    Записаться

    Мы предлагаем вам ознакомиться с общим графиком работы врача на месяц. Пожалуйста, обратите внимание, что доступные слоты для записи не указаны. Чтобы узнать свободное время для записи, пожалуйста, свяжитесь с нашим контактным центром. Наши операторы с радостью помогут вам!

    Выбрано для предварительной записи:
    ТРЕМАСОВА
    ТРЕМАСОВА Ольга Борисовна
    Детский стоматолог
    Стоматолог-терапевт
    Ведущий специалист
    Детская клиника на Ленина, 17
    Записаться

    Мы предлагаем вам ознакомиться с общим графиком работы врача на месяц. Пожалуйста, обратите внимание, что доступные слоты для записи не указаны. Чтобы узнать свободное время для записи, пожалуйста, свяжитесь с нашим контактным центром. Наши операторы с радостью помогут вам!

    Выбрано для предварительной записи:
    ТРЕНИНА (ТИХОНОВА)
    ТРЕНИНА (ТИХОНОВА) Екатерина Вячеславовна
    Стоматолог-терапевт
    Клиника на Гребенщикова, 1 (Родники)
    Записаться

    Мы предлагаем вам ознакомиться с общим графиком работы врача на месяц. Пожалуйста, обратите внимание, что доступные слоты для записи не указаны. Чтобы узнать свободное время для записи, пожалуйста, свяжитесь с нашим контактным центром. Наши операторы с радостью помогут вам!

    Выбрано для предварительной записи:
    ТУРОВА
    ТУРОВА Мария Александровна
    Врач-стоматолог
    Клиника хирургии лица и стоматологии на Сакко и Ванцетти, 77
    Записаться

    Мы предлагаем вам ознакомиться с общим графиком работы врача на месяц. Пожалуйста, обратите внимание, что доступные слоты для записи не указаны. Чтобы узнать свободное время для записи, пожалуйста, свяжитесь с нашим контактным центром. Наши операторы с радостью помогут вам!

    Выбрано для предварительной записи:
    УЗЮМОВА
    УЗЮМОВА Ольга Олеговна
    Стоматолог-терапевт
    Клиника на Блюхера, 30
    Записаться

    Мы предлагаем вам ознакомиться с общим графиком работы врача на месяц. Пожалуйста, обратите внимание, что доступные слоты для записи не указаны. Чтобы узнать свободное время для записи, пожалуйста, свяжитесь с нашим контактным центром. Наши операторы с радостью помогут вам!

    Выбрано для предварительной записи:
    УШАКОВА
    УШАКОВА Ксения Сергеевна
    Стоматолог-терапевт
    Клиника на Дуси Ковальчук, 252/1
    Записаться

    Мы предлагаем вам ознакомиться с общим графиком работы врача на месяц. Пожалуйста, обратите внимание, что доступные слоты для записи не указаны. Чтобы узнать свободное время для записи, пожалуйста, свяжитесь с нашим контактным центром. Наши операторы с радостью помогут вам!

    Выбрано для предварительной записи:
    ХАНОВА
    ХАНОВА Анна Сергеевна
    Врач-стоматолог
    Профессорская клиника на Николаева, 12/3 (Академгородок)
    Записаться

    Мы предлагаем вам ознакомиться с общим графиком работы врача на месяц. Пожалуйста, обратите внимание, что доступные слоты для записи не указаны. Чтобы узнать свободное время для записи, пожалуйста, свяжитесь с нашим контактным центром. Наши операторы с радостью помогут вам!

    Выбрано для предварительной записи:
    ХОМУТОВА
    ХОМУТОВА Татьяна Александровна
    Зубной врач
    Клиника на Гребенщикова, 1 (Родники)
    Записаться

    Мы предлагаем вам ознакомиться с общим графиком работы врача на месяц. Пожалуйста, обратите внимание, что доступные слоты для записи не указаны. Чтобы узнать свободное время для записи, пожалуйста, свяжитесь с нашим контактным центром. Наши операторы с радостью помогут вам!

    Выбрано для предварительной записи:
    ЧЕПЫЖОВ Иван Сергеевич
    Врач-стоматолог
    Стоматолог-ортопед
    Клиника на Героев Труда, 4 (Академгородок)

    Принимает еще в 1 клинике

    Записаться

    Мы предлагаем вам ознакомиться с общим графиком работы врача на месяц. Пожалуйста, обратите внимание, что доступные слоты для записи не указаны. Чтобы узнать свободное время для записи, пожалуйста, свяжитесь с нашим контактным центром. Наши операторы с радостью помогут вам!

    Выбрано для предварительной записи:
    ЧЕЧКИНА
    ЧЕЧКИНА Елена Валерьевна
    Врач-стоматолог
    Стоматолог-ортопед
    Клиника на Блюхера, 30
    Записаться

    Мы предлагаем вам ознакомиться с общим графиком работы врача на месяц. Пожалуйста, обратите внимание, что доступные слоты для записи не указаны. Чтобы узнать свободное время для записи, пожалуйста, свяжитесь с нашим контактным центром. Наши операторы с радостью помогут вам!

    Выбрано для предварительной записи:
    ЧИБИСОВА
    ЧИБИСОВА Анна Владимировна
    Врач-стоматолог
    Клиника на Дуси Ковальчук, 252/1
    Записаться

    Мы предлагаем вам ознакомиться с общим графиком работы врача на месяц. Пожалуйста, обратите внимание, что доступные слоты для записи не указаны. Чтобы узнать свободное время для записи, пожалуйста, свяжитесь с нашим контактным центром. Наши операторы с радостью помогут вам!

    Выбрано для предварительной записи:
    ЧИКОВА
    ЧИКОВА Елена Сергеевна
    Стоматолог-терапевт
    Клиника на Революции, 10
    Записаться

    Мы предлагаем вам ознакомиться с общим графиком работы врача на месяц. Пожалуйста, обратите внимание, что доступные слоты для записи не указаны. Чтобы узнать свободное время для записи, пожалуйста, свяжитесь с нашим контактным центром. Наши операторы с радостью помогут вам!

    Выбрано для предварительной записи:
    ШАКИРОВА
    ШАКИРОВА Ксения Сергеевна
    Врач-стоматолог
    Профессорская клиника на Николаева, 12/3 (Академгородок)
    Записаться

    Мы предлагаем вам ознакомиться с общим графиком работы врача на месяц. Пожалуйста, обратите внимание, что доступные слоты для записи не указаны. Чтобы узнать свободное время для записи, пожалуйста, свяжитесь с нашим контактным центром. Наши операторы с радостью помогут вам!

    Выбрано для предварительной записи:
    ШПАГИНА (ТРИБЕЛЬГОРН)
    ШПАГИНА (ТРИБЕЛЬГОРН) Регина Александровна
    Врач-стоматолог
    Стоматолог-ортопед
    Клиника на Блюхера, 30

    Принимает еще в 1 клинике

    Записаться

    Мы предлагаем вам ознакомиться с общим графиком работы врача на месяц. Пожалуйста, обратите внимание, что доступные слоты для записи не указаны. Чтобы узнать свободное время для записи, пожалуйста, свяжитесь с нашим контактным центром. Наши операторы с радостью помогут вам!

    Выбрано для предварительной записи:
    ЯКУШКИНА
    ЯКУШКИНА Полина Андреевна
    Врач-стоматолог
    Профессорская клиника на Николаева, 12/3 (Академгородок)

    Принимает еще в 1 клинике

    Записаться

    Мы предлагаем вам ознакомиться с общим графиком работы врача на месяц. Пожалуйста, обратите внимание, что доступные слоты для записи не указаны. Чтобы узнать свободное время для записи, пожалуйста, свяжитесь с нашим контактным центром. Наши операторы с радостью помогут вам!

    Выбрано для предварительной записи:
    ЯСАКОВА
    ЯСАКОВА Мария Сергеевна
    Врач-стоматолог
    Клиника на Дуси Ковальчук, 252/1
    Записаться

    Мы предлагаем вам ознакомиться с общим графиком работы врача на месяц. Пожалуйста, обратите внимание, что доступные слоты для записи не указаны. Чтобы узнать свободное время для записи, пожалуйста, свяжитесь с нашим контактным центром. Наши операторы с радостью помогут вам!

    Выбрано для предварительной записи:
    Услуга
    Цена, руб.

    Лечение зубов под микроскопом

    Прием врача-стоматолога-терапевта первичный
    от 900 руб.
    Прием врача-стоматолога-терапевта повторный (проф.осмотр)
    бесплатно
    Лечение кариеса эмали по технологии ICON (без учета анестезии)
    Запечатывание вестибулярной поверхности зуба герметиком
    от 7 800 руб.
    Лечение кариеса (без учета анестезии)
    от 8 700 руб.
    Лечение обратимого пульпита (без учета анестезии)
    Закрытие перфорации стенки корневого канала зуба, восстановление зуба пломбой с использованием материалов из фотополимеров
    от 5 000 руб.
    Двухэтапное лечение пульпита одноканального зуба (без учета анестезии)
    1 этап: пульпотомия, экстирпация пульпы, временное пломбирование лекарственным препаратом корневого канала, наложение временной пломбы, инструментальная и медикаментозная обработка корневого канала. 2 этап: пломбирование корневого канала зуба гуттаперчивыми штифтами, снятие временной пломбы
    от 15 900 руб.
    Двухэтапное лечение периодонтита одноканального зуба (без учета анестезии)
    1 этап: инструментальная и медикаментозная обработка корневого канала, временное пломбирование лекарственным препаратом корневого канала, наложение временной пломбы. 2 этап: пломбирование корневого канала зуба гуттаперчивыми штифтами, снятие временной пломбы
    от 15 900 руб.
    Апикальная хирургия. Хирургический и терапевтический этап в области фронтальных зубов
    1ый этап хирургический: резекция верхушки корня зуба, цистэктомия, наложение шва на слизистую оболочку рта. 2ой этап терапевтический: инструментальная и медикаментозная обработка корневого канала (ретропрепарирование), закрытие перфорации стенки корневого канала зуба (пломбирование МТА, биокерамикой)
    от 40 000 руб.
    Оказание неотложной стоматологической помощи (без учета анестезии)
    Включает снятие острой боли, установку временной пломбы
    от 3 700 руб.

    Рентгенодиагностика

    Компьютерная томография челюстно-лицевой области (две челюсти)
    Объемное (3D) компьютерное исследование челюстно-лицевой области — самый современный и высокоинформативный метод рентгенодиагностики
    от 4 200 руб.
    Компьютерная томография челюстно-лицевой области (сегмент)
    от 2 600 руб.
    Радиовизиография (снимок рентгеновский), 1 зуб
    от 850 руб.

    Анестезиология

    Аппликационная анестезия
    от 550 руб.
    Инфильтрационная анестезия (одна карпула)
    от 1 300 руб.
    Проводниковая анестезия (одна карпула)
    от 1 300 руб.

    Лечение под наркозом

    Консультация врача-анестезиолога-реаниматолога
    от 2 000 руб.
    Медикаментозный сон (вводный наркоз + первый час + постнаркозное наблюдение)
    от 15 000 руб.
    Ингаляционный наркоз для краткосрочных вмешательств с использованием севорана (до 30 минут)
    от 9 200 руб.

    Лечение в седации

    Консультация врача-анестезиолога-реаниматолога
    При стоматологическом наркозе используется безопасный препарат севоран, он погружает человека в глубокий сон.
    от 2 000 руб.
    Сочетанная анестезия (внутривенная седация 1 час)
    Внутривенная седация один час, используется для взрослых.
    от 13 500 руб.

    Цены на услуги стоматологии указаны базовые. Стоимость приема и лечения у ведущих специалистов выше от 20% до 50%.
    Цены на сайте не являются публичной офертой.