Записаться
Меняем лица
меняем судьбы
Дентал-Сервис – это не только стоматология. В 2017 году мы открыли Клинику хирургии лица, в которой помогаем пациентам с диагнозами из смежных областей – от тяжелых аномалий прикуса до последствий травм тканей лица.
от 2 700 руб.
Хирургическое исправление прикуса
Патологии ВНЧС
Лор-хирургия
Травмы мягких и костных тканей лица
Удаление доброкачественных опухолей
Реконструктивные операции лица

Челюстно-лицевая хирургия

Первоклассная стоматология и первоклассная челюстно-лицевая хирургия — уникальное сочетание для Сибирского региона. Мы проводим лор-операции и операции на слюнных железах, исправляем последствия травм мягких тканей лица и костных структур лицевого скелета, работаем с патологиями височно-нижнечелюстного сустава. Большинство операций в условиях нашей клиники — это операции одного дня — благодаря высокотехнологичному оснащению, современным методам анестезиологии, применению ксенонотерапии и высочайшей квалификации хирургов.

Инновационный комплекс
челюстно-лицевой хирургии за Уралом

Клиника хирургии лица и стоматологии Дентал-Сервис входит в состав крупнейшего конгломерата передовых медучреждений Новосибирска — «Медпарк» на улице Сакко и Ванцетти, 77.

Комплексный подход

В нашей команде: челюстно-лицевые хирурги, ортодонты, ортопеды, хирурги-имплантологи, стоматологи-терапевты, лоры и нейрохирурги. Междисциплинарный подход очень удобен — пациент получает максимально квалифицированное решение в одном месте..

Высокотехнологичное оснащение

Томография, микроскопы, три операционные, полномасштабный наркоз, постнаркозные палаты, комфортный стационар, а также ксенонотерапия — ингаляция кислородно-ксеноновой смеси, которая помогает снизить тревожность перед операцией и ускорить восстановление после вмешательств.

Масштабные и редкие операции

Мы занимаемся имплантацией и эстетической стоматологией, проводим апикальные хирургические операции, обширные пародонтологические реконструкции, а также костные реконструкции, в том числе с использованием кости из внеротовых источников.

Команда профессионалов

Команда клиники — опытные хирурги и стоматологи, прошедшие обучение в клиниках Европы, Китая, США. Они глубоко владеют предметом, в совершенстве знают анатомию структур лица, разбираются в первопричинах патологий и действуют как одна команда.

Длинные очереди, устаревшие методики и долгое восстановление остались в прошлом. Челюстно-лицевая хирургия лица в клинике Дентал-Сервис в Новосибирске — это операции одного дня, новейшее оборудование, качественный сервис и быстрая реабилитация.

Мы проводим операции любой сложности, используя современные технологии, которые направлены на улучшение качества жизни пациента.

С нами приятно иметь дело

Знаем, как сделать лечение удобным.

ЧЛХ_Фото-полоса1_1.jpg

Проконсультируем онлайн

У нас большой опыт работы с иногородними пациентами.

ЧЛХ_Фото-полоса1_3.jpg

Образцовые операционные

Мы оборудовали их с заботой о безопасности и качестве операций.

ЧЛХ_Фото-полоса1_4.jpg

Стационар с врачебным наблюдением 24/7

Уютные одноместные палаты, кабельное ТВ и вкусное питание.

ЧЛХ_Фото-полоса1_2.jpg

Операции одного дня — благодаря эндоскопу

Гарантируем минимальный травматизм и быстрое послеоперационное восстановление.

ЧЛХ_Фото-полоса1_5.jpg

Надежно защищаем от гепатита и ВИЧ

Большинство инструментов одноразовые, остальные проходят полноценную обработку в современной стерилизационной.

ЧЛХ_Фото-полоса1_6.jpg

Услуги челюстно-лицевой хирургии:
от слюнных желез до ринопластики

Челюстно-лицевая хирургия — это динамично развивающаяся область медицины, сосредоточенная на диагностике и лечении врожденных и приобретенных дефектов челюстно-лицевой области. Еще не так давно челюстно-лицевую хирургию относили к стоматологии, но интенсивное развитие и появление новых технологий вывели ее в самостоятельное направление.

Хирурги решают широкий спектр задач, связанных с повреждениями мягких тканей, травмами, переломами и патологиями, требующими современных методов вмешательства.

Травматология челюстно-лицевой области

Помощь при ушибах и ранениях лица, травмах зубов и слизистой, переломах костей лица. Работаем с последствиями травм и застарелыми травмами челюстей и лица.

Удаление новообразований челюстно-лицевой области

Удаление бородавок, папиллом, родинок, липом, атером и прочих доброкачественных образований слюнных желез, шеи, лица, волосистой части головы и в полости рта.

Лечение пазух и слюнных желез

Удаление слюнных желез (подчелюстной, околоушной), кист в челюсти. Промывание и бужирование протоков слюнных желез. Иссечение слюнного свища, лечение одонтогенного синусита.

Реконструктивные операции лица

Проводим операции по исправлению дефектов носовой перегородки, улучшению функции носового дыхания. Устраняем посттравматические деформации носа, век, ушей, губ.

Ортогнатические
операции

Меняем форму костной ткани челюстей — уменьшаем, наращиваем, перемещаем. Операции такого рода является одним из этапов по исправлению аномалий прикуса.

Детская челюстно-лицевая хирургия

Помогаем детям с врожденными аномалиями, патологиями и последствиями травм лица и шеи — от простых случаев до сложных многоэтапных операций. Сопровождаем ребенка на всех этапах — от диагностики до полной реабилитации.

Оперативная отоларингология

Устраняем гипертрофию аденоидов, хронический аденоидит и тонзиллит, искривление перегородки носа, синусит, средний отит, кисты пазух. Проводим пластику перегородки носа.


Меняем профиль
В Дентал-Сервис не только за красотой улыбки, но и за красотой лица.
Записаться на консультацию

Преимущества клиники хирургии лица Дентал-Сервис

Колоссальный опыт

На лечение к нам приезжают со всей страны и СНГ. Нет ни одного случая, когда бы мы не знали, как помочь пациенту. Даже если вы считаете, что ваш случай очень сложный — не сдавайтесь. Мы ждем вас у себя, готовы предложить высококвалифицированную помощь и индивидуальный подход.

Оперируем с эндоскопом

Эндоскоп — это «суперглаз», c помощью которого хирург видит рабочее поле при операциях в труднодоступных местах. Вместо разреза врач делает прокол, работает максимально точно, миниатюрными инструментами. После операции с эндоскопом пациент восстанавливается в максимально быстрые сроки.

Все в одном месте

Все необходимые виды услуг пациенты получают в одном месте: диагностика, обследование, лечение, операция, реабилитация, что влияет на эффективность лечения.

Комфортный стационар под наблюдением 24/7

После челюстно-лицевой операции пациенту предоставляется комфортабельный стационар с круглосуточным контролем состояния здоровья, уходом, заботой и питанием.

Персональное сопровождение пациентов

Для иногородних пациентов выделяется менеджер, который поможет организовать поездку в клинику. Пациенты не останутся без внимания и после выписки: плановые приемы, звонки заботы и оперативная запись к врачу при необходимости гарантированы.


Всегда идем вам навстречу: лечим в рассрочку

Предоставляем беспроцентную рассрочку до 12 мес. на любые услуги без участия банков. Для оформления нужен только паспорт. *Рассрочка не предоставляется на челюстно-лицевые операции у ведущих специалистов Дудкин В.С. и Горячкин А.М.

Решение о предоставлении рассрочки остается за Дентал-Сервис.


Все условия для высококлассных операций

Условия клиники — томография, моделирование результатов операций в 3D-формате, микроскопы, технологичные операционные, полномасштабный наркоз, комфортный стационар. Все это позволяет проводить операции на самом современном уровне.


Этапы проведения челюстно-лицевой операции

1

Осмотр и диагностика

На консультации врач оценит состояние пациента, обсудит симптомы и собирет анамнез. Комплексная диагностика важна для более точной постановки диагноза. В нее входит сдача анализов и обследование у смежных специалистов.

2

3D-моделирование

Хирург разрабатывает план лечения, моделирует результат будущей операции с помощью 3D-программы и показывает наглядно пациенту тот эффект, которого можно достичь после всех оперативных манипуляций.

3

Операция

Пациенту вводится анестезия, хирург делает необходимые разрезы и выполняет процедуру. При этом он использует эндоскоп, благодаря которому травматизм сводится к минимуму, и операция становится «операцией одного дня».

4

Восстановительный период

C эндоскопом операции проходят проще: небольшая травматичность, отсутствие видимых рубцов после операции и быстрая реабилитация при соблюдении рекомендаций врача. В течение всего времени пациент будет под наблюдением хирурга, чтобы оценить динамику восстановления.

5

Результаты

После операции невозможно сразу оценить результат, для этого потребуется несколько месяцев реабилитации. После чего пациент почувствует, как улучшились функциональные и эстетические аспекты жизни. В некоторых случаях, после ортогнатической операции идет ортодонтическое лечение.

Ждем гостей со всей страны
40% наших пациентов – иногородние. Мы знаем, как максимально эффективно организовать такую операцию. Первую консультацию проводим онлайн. У каждого пациента – персональный менеджер.
Записаться на онлайн-консультацию

Клинические случаи пациентов

До лечения

Горбинка спинки носа, опущенный кончик носа Посттравматическая деформация.

Как лечили

Хирургическая корректировка формы носа и восстановление дыхания, операция риносептопластика.

До лечения

Горбинка спинки носа, опущенный кончик носа Посттравматическая деформация

Как лечили

Хирургическая корректировка формы носа и восстановление дыхания, операция риносептопластика.

До лечения

Горбинка спинки носа, опущенный кончик носа Посттравматическая деформация.

Как лечили

Хирургическая корректировка формы носа и восстановление дыхания, операция риносептопластика.

До лечения

Горбинка спинки носа, искривление (девиация) перегородки носа. Посттравматическая деформация

Как лечили

Хирургическая корректировка формы носа и восстановление дыхания, операция риносептопластика.

До лечения

Горбинка спинки носа, искривление (девиация) перегородки носа. Посттравматическая деформация.

Как лечили

Хирургическая корректировка формы носа и восстановление дыхания, операция риносептопластика.

До лечения

Жалобы на нарушение прикуса, трудности при приеме пищи, увеличение нижней трети лица.

Как лечили

Ортодонтическая подготовка. Далее двухчелюстная ортогнатическая операция.

До лечения

Жалобы на нарушение прикуса, нарушение эстетических пропорций лица (маленький подбородок).

Как лечили

Ортодонтическая подготовка. Далее остеотомия нижней челюсти.

До лечения

Скелетная аномалия прикуса. Дистальный прикус..

Как лечили

Ортодонтическая подготовка. Декомпенсация прикуса. Далее двухчелюстная ортогнатическая операция.

До лечения

Скелетная асимметричная аномалия прикуса. Мезиальный прикус.

Как лечили

Ортодонтическая подготовка. Декомпенсация прикуса. Далее двухчелюстная ортогнатическая операция.

До лечения

Жалобы на нарушение прикуса, асимметрия лица. Увеличен нижний край челюсти с одной стороны, грубые черты лица.

Как лечили

Ортодонтическая подготовка. Далее двухчелюстная ортогнатическая операция с сегментацией верхней челюсти, резекция базального края нижней челюсти и гениопластика.

До лечения

Жалобы на нарушение прикуса, нарушение эстетических пропорций лица (маленький подбородок) .

Как лечили

Ортодонтическая подготовка. Далее двухчелюстная ортогнатическая операция и гениопластика.

До лечения

Скелетная аномалия прикуса. Мезиальный прикус. Десневая улыбка.

Как лечили

Ортодонтическая подготовка. Декомпенсация прикуса. Далее двухчелюстная ортогнатическая операция.

До лечения

Жалобы на нарушение прикуса, нарушение эстетических пропорций лица (маленький подбородок).

Как лечили

Ортодонтическая подготовка. Далее двухчелюстная ортогнатическая операция и гениопластика.

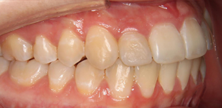
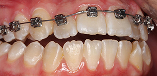
До лечения

Жалоба на неровные зубы и прикус.

Как лечили

Во время лечения на брекетах проведена двухчелюстная ортогнатическая операция по исправлению мезиального прикуса и скелетной аномалии лица.

До лечения

Жалобы на постоянные головные боли и мышечные боли в области жевательных мышц.
Пациенту 31 год.

Как лечили

Установлена сплит-терапия для расслабления мышечного тонуса далее была установлена самолигирующая брекет-система с декомпенсацией прикуса. После подготовки проведена ортогнатическая хирургия.
Лечение проведено в течение 20 мес.

До лечения

Жалобы на эстетику лица и зубов, выпирающий подбородок, смыкание зубов.
Пациенту 29 лет.

Как лечили

Заменена пломба на фронтальном зубе, удалены восьмерки. Проведено лечение на самолигирующей брекет-системе Н4, устранили повороты и скученность зубов. Проведена челюстно-хирургическая операция.
Лечение проведено в течение двух лет.

До лечения

Недоразвитие нижней трети лица. Диагноз - скелетная аномалия прикуса 2 класс по Энглю.

Как лечили

Операция по выдвижению подбородка, гениопластика.

Отзывы пациентов о челюстно-лицевой хирургии в Дентал-Сервис

Оксана
29.03.2026
Процедура, которую проводил Буторин Руслан Евгеньевич, прошла безболезненно и спокойно. Врач подробно объяснил как будут проходить этапы заживления, создал чувство уверенности и комфорта. Непременно приду к нему ещё на приём. Я ра...
Юлия
22.03.2026
Хочу выразить огромную благодарность прекрасному хирургу Буторину Руслану Евгениевичу за тонкую и аккуратную работу! Помог справиться с проблемой, спасибо за профессионализм и золотые руки)
Курков Владимир Михайлович
19.01.2026
Не врач, а волшебник. Дышу без капель уже вторую неделю впервые за 25 лет.
Очень щадящая операция и эффективно. Все быстро, классно, корректно. Послеоперационный уход супер. Ни каких синяков и диких отеков.
Не верил, ч...
Ксения Лобанова
09.01.2026
Буторин Руслан Евгениевич, компетентный и внимательный челюстно-лицевой хирург.
Я отзывы не оставляю никогда, но здесь я действительно в восторге и рекомендую врача)
Виталий Фрейдович
31.12.2025
Дентал-Сервис — огромное спасибо всей команде за высокий профессионализм, заботу и комфорт на каждом визите.
Особенно благодарю:
Виктора Сергеевича за безупречно выполненную операцию и уверенность на пути восстановлени...
Олийник Карина Мирзажановна
23.12.2025
Очень довольна консультацией, доктор очень подробно и понятным языком все объяснил, провел осмотр, дал полезные рекомендации ,развеял страхи, очень приятный и располагающий к себе врач.
Спиридонов Владимир Витальевич
13.11.2025
В августе 2025 года Анна Сергеевна выполнила эндоскопическую операцию по извлечению обломка зуба из верхнечелюстной пазухи и пластики искривленной носовой перегородки под общим наркозом и ИВЛ. Операция прошла успешно, результат за...
Ali Light
26.10.2025
Мой отзыв будет подробный. Потому что моему восхищению нет предела!
Ложилась к вам на септопластику + вазотомия.
И моя огромная, бесконечная благодарность всем, кто был рядом и нёс за меня ответственность!
К ...
Без имени
28.09.2025
21 августа 2025 года сбылась моя мечта. Я попала в руки замечательного хирурга по исправлению прикуса, к Горячкину Александру Михайловичу. Операция прошла отлично, ни какой боли. Сейчас я прохожу восстановление. Довольна результат...
Roland 19
26.09.2025
Челюстно-лицевой хирург Бадулин Илья Сергеевич - мастер своего дела. Прекрасно провел операцию, настоящий врач! Внимателен, учтив и очень вежлив. Дай бог всем таких врачей!
Yulia Petropavlovskaya
19.08.2025
Очень довольны работой челюстно-лицевого хирурга Юлии Анатольевны и хирурга Дарьи Александровны. Были у Юлии Анатольевны 3-4 года назад с сыном - получили красивую челюсть, благодаря операции под языком. В этом году оба специалист...
Надежда Н
23.06.2025
Делала двух челюстную операцию с сегментацией верхней челюсти и гениопластику у Дудкина Виктор Сергеевича
Доктор, который заслуживает доверия с момента онлайн консультации, настолько грамотный, что проконсультировавшись по в...
L*na*Li
19.06.2025
Муж делал операцию у Горячкина АМ. Довольны результатом, восстановился быстро без проблем! Очень благодарны врачу и всей команде!
Марианна Леверьева
16.06.2025
Огромная благодарность всей команде «Дентал-Сервис» за профессионализм, чуткость и безупречную работу!
Особые слова признательности:
Виктору Сергеевичу Дудкину – моему челюстно-лицевому хирургу, настоящему волшебнику в...
Елена Колесниченко
27.05.2025
Замечательный хирург Пилипюк Виталий Евгеньевич! Много лет боялась обращаться по поводу удаления гемангиомы слизистой рта. Пришла на прием к Виталию Евгеньевичу и как-то сразу поверила в положительный результат. Удаление прошло бы...
Без имени
23.04.2025
Юлия Анатольевна делала пластику уздечки моему сыну. Мы очень долго раздумывали, стоит ли делать данную операцию. Но, обойдя многих специалистов, пришли к выводу, что она необходима. На момент сбора информации было поразительно, ч...
Елена
15.04.2025
Очень понравилось обслуживание в этой клинике (обращалась для удаления околоносовой кисты большого размера, стала быстро расти). От приема операторами до консультации хирургом и проведения операции. Операцию, которой меня ...
П*ци*нт
29.03.2025
Меня очень впечатлило его отношение к пациентам. Сбор анамнеза прошёл гладко, и сам осмотр был проведён с максимальным вниманием. Я даже не ожидала, что буду писать такие положительные вещи об осмотре. Виктор Сергеевич проявляет д...
Анастасия Ковширина
29.03.2025
у ребенка была операция по удалению аденоидов в данной клинике.
1. Оперировала доктор Вальгер А.С.
Про доктора могу сказать - почему мы не нашли её раньше?
Я посчитала, мы прошли 10 лор-врачей (3 из поликлин...
Кира
28.03.2025
Это просто супер мега классная клиника!!!! Начиная с девушек администраторов (такие улыбчивые, приятные-респект им!!!),заканчивая специалистами, которые творят невероятные вещи) ребята провели мне операцию на высшем ур...
Заполните форму
Данные пациента
Выбрать врача и специализацию

    Часто задаваемые вопросы

    Как возникают патологии, с которыми в дальнейшем пациенты обращаются к челюстно-лицевому хирургу?

    Патологии могут возникать по различным причинам. Эти причины можно разделить на несколько категорий:
    — врожденные деформации (некоторые аномалии могут быть результатом наследственных факторов и генетических нарушений, а также неправильным развитием плода во время беременности);
    — травмы, полученные в результате бытовых аварий, спортивных или транспортных происшествий, могут привести к переломам челюстей, носа и других костей лица;
    — инфекции области зубов, зубные аномалии.
    Патологии в челюстно-лицевой области могут быть связаны с множеством факторов, включая генетику, травмы, заболевания и другие психосоциальные аспекты. Важно, чтобы пациенты внимательно относились к своему здоровью и обращались за медицинской помощью при первых признаках проблем, что позволит предотвратить дальнейшее развитие осложнений. Ранняя диагностика и лечение могут значительно улучшить исход и качество жизни.

    Когда и кому нужна помощь челюстно-лицевого хирурга?

    Помощь челюстно-лицевого хирурга может понадобиться в различных ситуациях, связанных с патологией лицевой или челюстной области. Вот основные категории случаев, когда может потребоваться консультация и помощь этого специалиста:
    — Врожденные аномалии (расщелина губы или неба, аномалии развития лицевых структур, влияющие на эстетический вид или функциональность).
    — Челюстно-лицевые травмы и повреждения мягких тканей (переломы челюсти, подбородка, носа; ушибы и разрывы).
    — Злокачественные и доброкачественные опухоли.
    — Заболевания челюстно-лицевой области (кисты и абсцессы; дисфункции, включая болевой синдром и ограничения движений).
    — Ортодонтия и коррекция прикуса (когда ортодонтическое лечение недостаточно для достижения желаемых результатов, применяется коррекция аномалий в размерах и формах челюстей).
    — Врожденные и приобретенные деформации лица — челюстей, век и носа.

    Требуется операция пациенту из другого города. Как получить первую консультацию заочно?

    Вы можете записаться на онлайн-консультацию, предварительно собрав все медицинские исследования и анализы. Врач изучит вашу проблему, расскажет о возможных этапах лечения и назначит дату приема в клинике челюстно-лицевой хирургии лица Дентал-Сервис.

    Чем отличаются челюстно-лицевой хирург и стоматолог-хирург?

    Стоматолог-хирург фокусируется на зубах и мягких тканях полости рта и в основном занимается: удалением зубов, хирургией десен и тканей, окружающих зубы, лечением заболеваний полости рта (например, кисты, абсцессы), а также установкой имплантатов.

    Челюстно-лицевой хирург занимается более широким спектром заболеваний и состояний, включая врожденные аномалии (например, расщелина губы и неба), травмы челюсти и лица, опухоли и новообразования челюстно-лицевой области, заболевания ВНЧС.

    Таким образом, основное различие заключается в объеме навыков, а также в области клинической практики. Челюстно-лицевой хирург имеет более сложные навыки в области хирургии лица и челюстей, в то время как стоматолог-хирург специализируется на стоматологических процедурах, которые касаются зубов и мягких тканей. В зависимости от потребностей пациента, может потребоваться обращение к одному или другому специалисту.

    Супертехнологии
    Лечение под микроскопом
    100% микроскопизация — глобальный вектор компании. В нашей команде более 60 микроскопистов, аналогов в России нет. Все терапевтическое лечение — от кариеса до каналов — мы проводим с микроскопом.
    Подробнее
    Лечение под микроскопом
    Лечение детей под наркозом
    В Дентал-Сервис можно спать спокойно! Безопасность и качество лечения под наркозом в наших клиниках отвечают самым высоким требованиям, а анестезиологи — суперпрофессионалы с огромным опытом. За двенадцать лет мы провели более 10000 лечений — у детей и взрослых.
    Подробнее
    Лечение детей под наркозом
    Травма детского зуба
    Травма зуба — не повод его потерять. Восстановим сломанный зуб, приживим выбитый. Зуб продолжит расти и развиваться! Сохранение нерва травмированного зуба — высший пилотаж, наш эксклюзив.
    Подробнее
    Травма детского зуба
    Эстетическая стоматология
    Эстетическая стоматология — наша гордость. Колоссальный опыт, художественное чутье, передовые технологии и работа в команде — вот секреты мастеров, возрождающих шедевр вашей улыбки.
    Подробнее
    Эстетическая стоматология
    Имплантация зубов
    Ставим имплантаты всерьез и надолго. Готовы помочь даже в самых сложных клинических случаях и делаем все, чтобы новые зубы стали полноценной, долговечной заменой утраченным.
    Подробнее
    Имплантация зубов
    БАДУЛИН Илья Сергеевич
    Врач-стоматолог
    Челюстно-лицевой хирург
    Клиника хирургии лица и стоматологии на Сакко и Ванцетти, 77
    Записаться

    Мы предлагаем вам ознакомиться с общим графиком работы врача на месяц. Пожалуйста, обратите внимание, что доступные слоты для записи не указаны. Чтобы узнать свободное время для записи, пожалуйста, свяжитесь с нашим контактным центром. Наши операторы с радостью помогут вам!

    Выбрано для предварительной записи:
    БУТОРИН
    БУТОРИН Руслан Евгениевич
    Врач-стоматолог
    Челюстно-лицевой хирург
    Клиника хирургии лица и стоматологии на Сакко и Ванцетти, 77
    Записаться

    Мы предлагаем вам ознакомиться с общим графиком работы врача на месяц. Пожалуйста, обратите внимание, что доступные слоты для записи не указаны. Чтобы узнать свободное время для записи, пожалуйста, свяжитесь с нашим контактным центром. Наши операторы с радостью помогут вам!

    Выбрано для предварительной записи:
    ВАЛЬГЕР
    ВАЛЬГЕР Анна Сергеевна
    Оториноларинголог
    Клиника хирургии лица и стоматологии на Сакко и Ванцетти, 77
    Записаться

    Мы предлагаем вам ознакомиться с общим графиком работы врача на месяц. Пожалуйста, обратите внимание, что доступные слоты для записи не указаны. Чтобы узнать свободное время для записи, пожалуйста, свяжитесь с нашим контактным центром. Наши операторы с радостью помогут вам!

    Выбрано для предварительной записи:
    ГОРЯЧКИН
    ГОРЯЧКИН Александр Михайлович
    Челюстно-лицевой хирург
    Ведущий специалист
    Функциональный руководитель челюстно-лицевой хирургии
    Клиника хирургии лица и стоматологии на Сакко и Ванцетти, 77
    Записаться

    Мы предлагаем вам ознакомиться с общим графиком работы врача на месяц. Пожалуйста, обратите внимание, что доступные слоты для записи не указаны. Чтобы узнать свободное время для записи, пожалуйста, свяжитесь с нашим контактным центром. Наши операторы с радостью помогут вам!

    Выбрано для предварительной записи:
    ДАУРЕНОВ
    ДАУРЕНОВ Нурсултан Арманович
    Челюстно-лицевой хирург
    Клиника хирургии лица и стоматологии на Сакко и Ванцетти, 77
    Записаться

    Мы предлагаем вам ознакомиться с общим графиком работы врача на месяц. Пожалуйста, обратите внимание, что доступные слоты для записи не указаны. Чтобы узнать свободное время для записи, пожалуйста, свяжитесь с нашим контактным центром. Наши операторы с радостью помогут вам!

    Выбрано для предварительной записи:
    ДУДКИН
    ДУДКИН Виктор Сергеевич
    Челюстно-лицевой хирург
    Ведущий специалист
    Заведующий отделением Клиники хирургии лица
    Клиника хирургии лица и стоматологии на Сакко и Ванцетти, 77
    Записаться

    Мы предлагаем вам ознакомиться с общим графиком работы врача на месяц. Пожалуйста, обратите внимание, что доступные слоты для записи не указаны. Чтобы узнать свободное время для записи, пожалуйста, свяжитесь с нашим контактным центром. Наши операторы с радостью помогут вам!

    Выбрано для предварительной записи:
    КРЮКОВ Дмитрий Сергеевич
    Челюстно-лицевой хирург
    Клиника хирургии лица и стоматологии на Сакко и Ванцетти, 77
    Записаться
    Выбрано для предварительной записи:
    КУЛУБЕКОВ
    КУЛУБЕКОВ Руслан Равильевич
    Стоматолог-хирург
    Челюстно-лицевой хирург
    Ведущий специалист
    Клиника хирургии лица и стоматологии на Сакко и Ванцетти, 77
    Записаться

    Мы предлагаем вам ознакомиться с общим графиком работы врача на месяц. Пожалуйста, обратите внимание, что доступные слоты для записи не указаны. Чтобы узнать свободное время для записи, пожалуйста, свяжитесь с нашим контактным центром. Наши операторы с радостью помогут вам!

    Выбрано для предварительной записи:
    МИРЗОЯН Валерия Арменовна
    Челюстно-лицевой хирург
    Клиника хирургии лица и стоматологии на Сакко и Ванцетти, 77
    Записаться

    Мы предлагаем вам ознакомиться с общим графиком работы врача на месяц. Пожалуйста, обратите внимание, что доступные слоты для записи не указаны. Чтобы узнать свободное время для записи, пожалуйста, свяжитесь с нашим контактным центром. Наши операторы с радостью помогут вам!

    Выбрано для предварительной записи:
    ПИЛИПЮК
    ПИЛИПЮК Виталий Евгеньевич
    Челюстно-лицевой хирург
    Клиника на Блюхера, 30

    Принимает еще в 1 клинике

    Записаться

    Мы предлагаем вам ознакомиться с общим графиком работы врача на месяц. Пожалуйста, обратите внимание, что доступные слоты для записи не указаны. Чтобы узнать свободное время для записи, пожалуйста, свяжитесь с нашим контактным центром. Наши операторы с радостью помогут вам!

    Выбрано для предварительной записи:
    Услуга
    Цена, руб.

    Челюстно-лицевая хирургия

    Прием врача-челюстно-лицевого хирурга первичный
    от 2 700 руб.
    Прием врача-челюстно-лицевого хирурга повторный
    В течение 1 года
    от 2 300 руб.
    Консультативный прием челюстно-лицевого хирурга онлайн (до 30 минут)
    В услугу включено: сбор анамнеза и жалоб при патологии полости рта, включая черепно-челюстно-лицевой области
    от 2 700 руб.
    Повторный консультативный прием врача-челюстно-лицевого хирурга онлайн (до 30 минут)
    от 2 300 руб.
    Консультативный прием ведущего челюстно-лицевого хирурга онлайн (до 30 минут)
    от 6 000 руб.
    Повторный консультативный прием ведущего челюстно-лицевого хирурга онлайн (до 30 минут)
    от 3 000 руб.
    Пребывание в стационаре до 12 часов
    Ежедневный осмотр врачом-челюстно-лицевым хирургом с наблюдением и уходом среднего и младшего медицинского персонала в отделении стационара
    от 6 900 руб.
    Пребывание в стационаре сутки
    Ежедневный осмотр врачом-челюстно-лицевым хирургом с наблюдением и уходом среднего и младшего медицинского персонала в отделении стационара
    от 13 000 руб.

    Травматология челюстно-лицевой области (ЧЛО)

    Хирургическая обработка раны или инфицированной ткани ЧЛО легкой степени повреждения
    от 5 700 руб.
    Хирургическая обработка раны или инфицированной ткани ЧЛО с первичной пластикой мягкими тканями
    от 26 000 руб.
    Вправление вывиха нижней челюсти
    от 4 500 руб.
    Репозиция скуловой кости или дуги (закрытая без применения металлоконструкций)
    от 10 000 руб.
    Наложение шины при переломах костей (временная иммобилизация костей лицевого скелета винтами)
    от 14 500 руб.
    Наложение шины при переломах костей (временная иммобилизация костей лицевого скелета шинами Васильева)
    от 7 500 руб.
    Остеосинтез титановой пластиной (одиночный перелом без наркоза)
    от 42 000 руб.
    Реконструкция стенок глазницы
    от 42 000 руб.
    Дермабразия рубцов
    от 5 000 руб.
    Иссечение рубцов кожи, 1 категория
    от 9 000 руб.
    Костная пластика аутотрансплантатом из ВНУтриротовых источников и/или искусственных имплантов, 1 сегмент
    от 70 000 руб.
    Костная пластика аутотрансплантатом из ВНЕротовых источников и/или искусственных имплантов, 1 сегмент
    от 139 000 руб.

    Доброкачественные опухоли челюстно-лицевой области (ЧЛО)

    Удаление опухоли мягких тканей головы
    от 17 500 руб.
    Пункция мягких тканей
    от 5 200 руб.
    Биопсия опухолей, опухолеподобных образований мягких тканей
    от 6 800 руб.
    Удаление атеромы (склерозирование атеромы, эпидермальной кисты)
    от 5 250 руб.
    Хирургическое лечения абцесса мягких тканей (вскрытие фурункула, карбункула)
    от 7 300 руб.
    Секвестрэктомия 1 категория сложности (1 сегмент челюсти)
    Хирургическая операция по удалению воспаленных костных тканей
    от 7 300 руб.

    Заболевания пазух и слюнных желез

    Операция на больших слюнных железах (открытая)
    Удаление образований околоушной слюнной железы с выделением и сохранением ветвей лицевого нерва и\или удаление слюнной железы, и\или удаление аденомы слюнной железы
    от 65 000 руб.
    Операция на больших слюнных железах (эндоскопическая)
    от 97 000 руб.
    Операция на верхнечелюстной пазухе гайморотомия
    от 28 000 руб.
    Операция на верхнечелюстной пазухе гайморотомия (эндоскопическая)
    от 53 000 руб.
    Промывание и бужирование протока слюнной железы
    от 1 500 руб.
    Удаление камней из протоков слюнных желез
    от 14 000 руб.

    Хирургическое лечение височно-нижнечелюстного сустава (ВНЧС)

    Внутрисуставное введение заменителей (протезов) синовиальной жидкости
    от 15 000 руб.
    Эндоскопическая операция на ВНЧС, артроскопическая санация сустава (1 сустав)
    от 45 000 руб.
    Артропластика височно-нижнечелюстного сустава (открытая репозиция суставных дисков ВНЧС, 1 сустав)
    от 74 000 руб.

    Ортогнатическая хирургия

    Прием врача-челюстно-лицевого хирурга с заполнением медицинской документации по ортогнатической хирургии
    от 8 300 руб.
    Плоскостная остеотомия нижней челюсти
    Одночелюстная ортогнатическая операция по исправлению аномалии прикуса: костная ткань челюсти рассекается, челюсть перемещается и устанавливается в нужном положении.
    от 290 000 руб.
    Двухчелюстная ортогнатическая операция
    Ортогнатическая операция по исправлению аномалии прикуса: костная ткань верхней и нижней челюстей рассекается, челюсть перемещается и устанавливается в нужном положении.
    от 530 000 руб.
    Двухчелюстная ортогнатическая операция с сегментацией
    от 590 000 руб.
    Хирургическое расширение твердого неба
    Операция для расширения узкой верхней челюсти с целью коррекции аномалии прикуса.
    от 180 000 руб.
    Гениопластика
    Рассечение, перемещение, фиксация костной ткани подбородка в необходимом положении.
    от 87 000 руб.
    Пластика скуловых костей (малярпластика) 1 категория сложности 1 сторона
    от 60 000 руб.
    Остеотомия верхней челюсти по типу Лефор 1
    от 290 000 руб.
    Чинг Винг остеотомия нижней челюсти
    Вид операции по изменению подбородка
    от 155 000 руб.

    Реконструктивные операции лица

    Реконструктивная пластика носа (открытая)
    от 160 000 руб.
    Реконструктивная пластика носа (закрытая)
    от 270 000 руб.
    Реконструктивная риносептопластика
    Исправление искривленной носовой перегородки и коррекция формы носа
    от 321 000 руб.
    Реконструктивная пластика одного века (блефаропластика) без и с пересадкой тканей
    от 42 000 руб.
    Реконструктивная пластика верхних век без пересадки тканей чрескожным доступом или трансконъюнктивальным доступом
    от 60 000 руб.
    Реконструктивная пластика нижних век чрескожным подресничным доступом с формированием кожного лоскута, или трансконъюктивальным доступом
    от 72 000 руб.
    Пластика подкожно-жировой клетчатки (удаление комочков Биша)
    от 56 000 руб.
    Реконструктивная аурикулопластика (пластика ушных раковин, 1 ухо)
    от 52 500 руб.

    ЛОР-хирургия

    Прием врача-оториноларинголога первичный
    от 3 200 руб.
    Прием врача-оториноларинголога повторный
    В течение 1 года
    от 2 100 руб.
    Септопластика
    Устранение искривления носовой перегородки. Возможно с применением эндоскопа
    от 45 000 руб.
    Пластика перфорации носовой перегородки (менее 1 см)
    от 48 000 руб.
    Гайморотомия эндоскопическая (1 сторона)
    Хирургическое лечение гайморита
    от 43 000 руб.
    Гайморотомия эндоскопическая (2 стороны)
    Хирургическое лечение гайморита
    от 63 000 руб.
    Микрогайморотомия эндоскопическая
    Удаление кист, инородных тела, полипов, гноя или поражённой сизистой пазух носа
    от 47 500 руб.
    Фронтотомия эндоскопическая
    Операция на лобной пазухе носа для лечения фронтального синусита или при переломах стенок
    от 57 000 руб.
    Удаление новообразования околоносовых пазух носа
    от 51 000 руб.
    Фронтотомия (удаление кисты лобной пазухи носа) эндоскопическая
    от 57 000 руб.
    Инфундибулотомия эндоскопическая
    Хирургическое расширение соустья гайморовой пазухи
    от 33 000 руб.
    Полисинусотомия эндоскопическая
    Хирургическое лечение нескольких пораженных околоносовых пазух
    от 60 000 руб.
    Эндоскопическое удаление полипов носовых ходов
    от 29 000 руб.
    Эндоскопическое удаление доброкачественного новообразования полости носа
    от 26 000 руб.
    Конхотомия носовых раковин
    Частичное или полное удаление нижних носовых раковин вместе со слизистой оболочкой
    от 27 000 руб.
    Иссечение синехий и атрезий носа
    Лечение нарушения проходимости полости носа
    от 23 000 руб.
    Эндоскопическая резекция решетчатой буллы
    Восстановление проходимости носового прохода
    от 29 000 руб.
    Тонзилэктомия эндосокпическая
    Удаление миндалин.
    от 53 000 руб.
    Аденоидэктомия эндоскопическая
    Удаление аденоидов
    от 40 000 руб.
    Удаление новообразования глотки
    от 26 000 руб.
    Шунтирование и дренирование барабанной полости (1 ухо)
    Хирургическое лечение отита. Без учета стоимости шунта
    от 21 000 руб.
    Удаление доброкачественного новообразования наружного слухового прохода
    от 66 000 руб.
    Миринготомия (1 ухо)
    Прокалывание барабанной перепонки для удаления скопившегося в полости содержимого при воспалении уха или с диагностической целью
    от 20 000 руб.
    Пластика трубного валика эндоскопическая
    Коррекция гипертрофированных складок слуховых труб
    от 28 000 руб.
    Иссечение парааурикулярного свища (1 сторона)
    от 27 000 руб.

    Тимпанопластика

    Тимпанопластика
    от 50 000 руб.
    Тимпанопластика с применением микрохирургической техники
    от 86 000 руб.
    Тимпанопластика с применением аллогенных трансплантатов
    от 110 000 руб.
    Ревизия барабанной полости
    от 35 000 руб.
    Санирующая операция на среднем ухе с реконструкцией
    от 125 000 руб.
    Мирингопластика
    от 53 000 руб.

    Рентгенодиагностика

    Компьютерная томография челюстно-лицевой области (две челюсти)
    Объемное (3D) компьютерное исследование челюстно-лицевой области — самый современный и высокоинформативный метод рентгенодиагностики
    от 4 200 руб.
    Компьютерная томография челюстно-лицевой области (сегмент)
    от 2 600 руб.

    Лечение под наркозом

    Консультация врача-анестезиолога-реаниматолога
    от 2 000 руб.
    Наркоз при челюстно-лицевой операции продолжительностью 1-2 часа
    от 22 000 руб.
    Наркоз при челюстно-лицевой операции продолжительностью 2-3 часа
    от 49 000 руб.
    Наркоз при челюстно-лицевой операции продолжительностью 4-6 часа
    от 90 000 руб.
    Наркоз при челюстно-лицевой операции продолжительностью 7 и более часов
    от 115 000 руб.
    Эндотрахеальный комбинированный наркоз 1 час
    Анестезиологическое обеспечение ЛОР-операций
    от 17 000 руб.
    Эндотрахеальный комбинированный наркоз более 1 часа (каждые последующие 30 минут)
    Анестезиологическое обеспечение ЛОР-операций
    от 8 000 руб.

    Цены на услуги стоматологии указаны базовые. Стоимость приема и лечения у ведущих специалистов выше от 20% до 50%.
    Цены на сайте не являются публичной офертой.