Записаться
Важен каждый зуб!
Удаление даже одного молочного зуба может привести к неправильному прикусу, повреждению зачатка постоянного зуба и нарушению речи. В Дентал-Сервис борются за каждый зуб, восстанавливая его современными методиками.
от 4 600 руб.

Лечение зубов детям

Лечить кариес на молочных зубах — это такое же непреложное правило, как и например, чистить зубы утром и вечером. Любой врач Дентал-Сервис подтвердит: молочный зуб, пораженный кариесом, оставлять без лечения нельзя. В противном случае его придется удалить раньше времени, что негативно скажется на всей зубочелюстной системе. Остальные зубы будут перемещаться на место отсутствующего, что повлечет за собой ряд ортодонтических проблем, включая неправильный прикус. Кроме того, один нездоровый зуб становится источником инфекции, которая может распространиться на другие здоровые зубы.

К счастью, детская стоматология развилась до небывалых высот, и теперь полечить кариес без боли, страха, а в некоторых случаях и без сверления — это новая реальность. Ежедневно в Дентал-Сервис мы лечим кариес молочных зубов у самых маленьких непосед, которые — внимание: после лечения не хотят покидать кабинет и настойчиво требуют продолжения “игры”!

Почему важно лечить молочные зубы?

Правильно развивается челюсть

Для прикуса важен каждый зуб. Если молочный зуб удалить раньше срока, соседние сдвигаются. Постоянный зуб прорезывается не на месте, прикус «едет».

Здоровые зачатки постоянных зубов

Зачаток постоянного зуба расположен близко к корням молочного. Инфекция из молочного зуба часто переходит на постоянный, они вырастают искалеченными или не вырастают вовсе.

Правильное пищеварение

Если зубов не хватает, пережевывание становится недостаточным. Это приводит к проблемам с желудочно-кишечным трактом.

Сильный иммунитет

Стафилококки и стрептококки в незалеченных кариозных полостях повышают риск ОРЗ и заболеваний внутренних органов.

Правильная дикция

Язык во время речи должен упираться в зубы. Если зубов нет, ребенок приспосабливается упирать язык, например, в нёбо. Переучиваться ему будет очень сложно.

Уверенность в себе

Красота — это важно. Если зубы некрасивые или неровные — это может стать для ребенка фактором постоянного стресса.

Виды и способы лечения

Не надо ж-ж-ж!
Лечим без сверления

При лечении детского кариеса на ранней стадии наши врачи используют ART-терапию, принцип которой — лечить без бормашины, страшных звуков сверления и пыли. Вместо этого врач использует ручные инструменты для удаления мягкого кариеса. А затем он заполняет специальными материалами полость, что способствует восстановлению и укреплению зубной эмали.

Коронуем коронками.
Используем детское микропотезирование

В случаях, когда зуб сильно поврежден, но его удаление нецелесообразно, может быть установлена временная коронка. Она защитит зуб и сохранит функциональность до появления постоянного зуба. Детские коронки мы оперативно делаем в нашей цифровой зуботехнической лаборатории.

Технология расслабления — седация

Седация помогает снизить уровень тревожности, облегчает процесс лечения и позволяет стоматологу эффективно выполнять необходимую работу. Мы рекомендуем ее детям и подросткам, которые испытывают страх и не могут расслабиться в стоматологическом кресле. Ребенок вдыхает волшебный газ, расслабляется, но при этом находится в сознании.

Лечение во сне

В отличие от седации лечение в наркозе рекомендовано самым маленьким нашим пациентам, которые нуждаются в комплексном лечении и имеют множественный кариес. Такие детки физически не смогут высидеть столь сложное лечение, поэтому им дают подышать газом, и они мягко засыпают. За это время врач успеет сделать все необходимые манипуляции и пролечить зубы за раз. После пробуждения у ребенка не останется негативных воспоминаний, но появится здоровая улыбка!

Ура! Зубки лечить пора!
Лечение кариеса независимо от количества пораженных поверхностей по фиксированной цене
Реклама ООО "Дентал-Сервис Бердск" ИНН 544525957, erid: 2VfnxyJbLSD
4 500 руб. до 30 июня 26
Подробнее

Преимущества лечения молочных зубов в Дентал-Сервис

Врачи — эксперты по детским зубкам

Детские стоматологи Дентал-Сервис обладают навыками для работы с маленькими пациентами — установят доверительные отношения и снизят уровень стресса. Прием проходит в игровой форме, где ребенку расскажут на “детском” языке все дальнейшие манипуляции.

Беремся за каждый зуб

Нам “по зубам” даже самые сложные и экстренные случаи. Оперативно принимаем малышей и выбираем метод лечения, чтобы максимально сохранить свои зубки на всю жизнь.

Бережное лечение во сне

Современные технологии расслабления — седация и наркоз — отличная возможность провести качественное лечение, если ребенок испытывает страх перед лечением кариеса зубов. Седация помогает успокоиться и расслабиться во время лечения. Наркоз позволит пролечить все зубки за один прием безопасно и безболезненно.

Пропаганда правильного ухода за зубками

В клиниках Дентал-Сервис мы проводим бесплатные уроки гигиены для малышей. На личных консультациях врач обязательно обучает ребенка (и родителей) правильно ухаживать за зубами. Подберет необходимую щетку, научит правильным движениям и порекомендует индивидуальные уходовые средства.

Адаптация — залог доверия

Чтобы создать комфортную атмосферу и заложить основы доверия, мы проводим адаптационные встречи с родителями и ребенком. Врачи проводят экскурсию по кабинету, знакомя детей с нашим оборудованием и окружением, чтобы малыш понял: врач — это друг, который заботится об их здоровье.

Используем современные технологии

Инновационное оборудование и технологии помогают проводить процедуры быстрее и менее болезненно. В арсенале наших врачей огромное количество методик для максимального спасения зуба.

Этапы лечение кариеса у детей

1

Адаптация

Перед началом лечения врачи настоятельно рекомендуют записаться на консультацию. На ней ребенок познакомится с кабинетом и креслом, привыкнет к обстановке. Стоматолог пообщается с родителями и малышом, выслушает жалобы, по возможности проведет осмотр и сделает снимок, чтобы оценить, в каком состоянии находятся корни зуба и зачаток постоянного зуба.

2

Лечение кариеса

При лечении детского кариеса на ранней стадии наши врачи используют современный метод без использования бормашины.Более глубокие формы кариеса лечат щадящими методиками с бормашиной: удаляют пораженные кариесом ткани и заполняют полость зуба пломбировочным материалом.

Во время лечения врач использует обезболивающее, раббердам и работает с увеличением — это стандарт сети Дентал-Сервис.

3

После лечения

После лечения все наши маленькие пациенты получают подарок за смелость. Зуб спасен, но чтобы ребенок больше не попадал на лечение в кресло стоматолога, родителям необходимо контролировать правильную гигиену. Осмотры раз в три месяца помогут следить за состоянием зубов и избежать повторного появления кариеса.

Заботимся о мамах — консультируем онлайн
Не тратьте время и силы на визит в клинику — поговорите с врачом не выходя из дома.

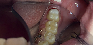
Клинические случаи маленьких пациентов

До лечения

Жалоб не было.
Пациенту 5 лет.

Как лечили

Проведено лечение "скрытого кариеса" под микроскопом.

До лечения

Жалоба на разрушенные зубы.

Как лечили

Пролечен кариес, зубы восстановлены коронками.
Лечение прошло в 1 посещение.

До лечения

Жалоба на боль при приеме пищи.

Как лечили

Пролечен кариес под наркозом. Зубы восстановлены коронками.
Лечение прошло в 1 посещение.

До лечения

Жалоб не было.
Пациенту 6 лет.

Как лечили

Пролечен контактный кариес под микроскопом.

До лечения

Жалоба на зубную боль.
Пациенту 2 года.

Как лечили

Пролечен кариес передних зубов под микроскопом.

До лечения

Жалоба на боль при приеме пищи.

Как лечили

Пролечен кариес передних зубов, удален зуб.

До лечения

Жалоба на боль при приеме пищи.
Пациенту 1 год, 8 месяцев.

Как лечили

Проведено лечение пяти кариесов и одного пульпита под наркозом. Зубы восстановлены с помощью реставрации.
Лечение прошло в 1 посещение.

До лечения

Жалоба на боль при приеме пищи.
Пациенту 5 лет.

Как лечили

Проведено лечение кариеса под наркозом. Зубы восстановлены с помощью реставрации.
Лечение прошло в 1 посещение.

До лечения

Жалоба на боль в зубе.

Как лечили

Проведено лечение глубокого кариеса, установлена пломба.

До лечения

Ребенок не мог кусать твёрдую пищу и не давал чистить зубы.
Пациенту 2 года 2 месяца.

Как лечили

Проведено лечение кариеса под наркозом. Передние зубы восстановлены с помощью коронок из диоксида циркония.
Лечение прошло в 1 посещение.

До лечения

Жалоба на боль при приеме пищи.
Пациенту 3 года 5 месяцев.

Как лечили

Проведено лечение кариеса под наркозом. Передние зубы восстановлены с помощью коронок из диоксида циркония, жевательные - с помощью металлических коронок и прямой реставрации.
Лечение прошло в 1 посещение.

До лечения

Жалоба на кариес после серебрения.
Пациенту 2 года 5 месяцев.

Как лечили

Проведено лечение кариеса восьми зубов под наркозом. Зубы восстановлены с помощью реставрации.
Лечение прошло в 1 посещение.

До лечения

Жалоба на боль от сладкого.

Как лечили

Проведено лечение кариеса, установлены коронки из диоксида циркония.

До лечения

Жалобы на кариес передних зубов.
Пациенту 2 года.

Как лечили

Пролечен кариес на передних зубах под наркозом. Проведена реставрация зубов.
Лечение прошло в 1 посещение.

До лечения

Жалобы на боли от сладкого.
Пациенту 8 лет.

Как лечили

Проведено лечение кариеса с использованием операционного микроскопа, зуб восстановлен художественной реставрацией.
Лечение прошло в 1 посещение.

До лечения

Жалоба на боль во время употребления холодных напитков.
Пациенту 9 лет.

Как лечили

Проведено лечение контактного и жевательного кариеса постоянного зуба.
Лечение прошло в 1 посещение.

До лечения

Пришли на плановый осмотр.
Пациенту 9 лет.

Как лечили

Кариозная полость обнаружена при осмотре в микроскоп. Проведено лечение кариеса постоянного зуба.
Лечение прошло в 1 посещение.

До лечения

Жалоба на застревание пищи между зубами.
Пациенту 5 лет.

Как лечили

Проведено лечение контактного и жевательного кариеса молочных зубов.
Лечение прошло в 1 посещение.

До лечения

Пришли на замену старой пломбы.

Как лечили

Во время осмотра выявлен и пролечен контактный кариес.

До лечения

Жалоба на боль при приеме пищи.
Пациенту 3 года.

Как лечили

Пролечен пульпит и кариес молочных зубов под наркозом. Зубы восстановлены коронками из диоксида циркония.
Лечение прошло в 1 посещение.

До лечения

Жалоба на боль от сладкой пищи.
Пациенту 2 года.

Как лечили

Пролечен пульпит и кариес на передних зубах под наркозом. Проведена реставрация зубов.
Лечение прошло в 1 посещение.

До лечения

Жалобы на боль, отказ от твердой пищи.
Пациенту 1 год и 11 месяцев.

Как лечили

Лечение кариеса с применением микроскопа под наркозом. Проведена реставрация зубов, сделана герметизация фиссур на четырех зубах.
Лечение прошло в 1 посещение.

До лечения

Жалобы на боль при жевании твердой пищи.
Пациенту 1 год и 7 месяцев.

Как лечили

Пролечен кариес передних зубов под наркозом. Проведена реставрация зубов, установлена коронка.
Лечение прошло в 1 посещение.

До лечения

Жалобы на множественные разрушения передних зубов.
Пациенту 2 года.

Как лечили

Проведено лечение кариеса и пульпита. Зубы восстановлены композитными реставрациями.
Лечение проведено за один визит.

До лечения

Жалобы на разрушение зубов.
Пациенту 4 года.

Как лечили

Проведена профессиональная гигиена зубов. Под седацией пролечен кариес. Зубы восстановлены коронками и реставрациями.
Лечение проведено за один визит.

До лечения

Пришли с жалобой на множественный кариес.
Пациенту 7 лет.

Как лечили

Проведена профессиональная гигиена зубов. Пролечен множественный кариес под седацией. Один зуб был удален из-за периодонтита.

До лечения

Пришли с кариозными полостями во время домашней гигиены и жалобой на зубную боль от сладкого.
Пациенту 3 года.

Как лечили

Лечение кариеса десяти зубов под наркозом. Проведена реставрация и восстановление металлическими коронками.
Лечение проведено за один визит.

До лечения

Пришли с жалобой на плохой сон у ребенка, отказ от еды. Приходилось принимать обезболивающее.
Пациенту 2,7 лет.

Как лечили

Лечение кариеса и пульпита под наркозом. На зубы установлены стальные коронки из диоксида циркония.
Лечение проведено за один визит.

До лечения

Жалобы на незначительные болевые ощущения во время приема пищи. Пациент ранее начинал лечение зуба в другой клинике.
Пациенту 12 лет.

Как лечили

Вскрыли временную пломбу, был недолеченный кариес. Кариес удален и восстановлена стенка зуба, поставлена временная пломба. После отсутствия жалоб, установлена постоянная пломба из композитного материала. Лечение проведено за три визита.

До лечения

Жалобы на зубную боль от сладкого и ночью.
Пациенту 4 года.

Как лечили

Лечение кариеса под наркозом. Перед лечением проведена профессиональная гигиена полости рта. После лечения кариеса зубов и фиксация металлических коронок на жевательные зубы.
Лечение проведено за один визит.

До лечения

Пришли с жалобой на зубную боль от всех видов раздражителей.
Пациенту 12 лет.

Как лечили

Лечение кариеса под микроскопом с анестезией. Обработаны корневые каналы и закрыты временной пломбой. Проведена подготовка зуба, запломбированы корневые каналы. Установлен внутриканальный штифт и отреставрирован зуб.
Лечение проведено за три визита.

До лечения

Жалобы на налет и разрушение зубов.
Пациенту 9 лет.

Как лечили

Проведена профессиональная гигиена по протоколу GBT, Диана, пролечен кариес. Через 6 мес. пациент пришел на повторную профгигиену зубов, после чего пролечен кариес жевательных зубов.
Лечение проведено за три визита.

До лечения

Жалобы на многочисленный кариес.
Пациенту 2,5 года.

Как лечили

Лечение кариеса под наркозом. Два жевательных зуба восстановлены стальными коронками. Передние верхние зубы восстановлены композитным материалом.
Лечение проведено за один визит.

До лечения

Пришли с жалобой на кариес.
Пациенту 2 года.

Как лечили

Пролечен кариес трех сросшихся зубов под наркозом.
Лечение проведено за один визит.

До лечения

Жалобы на кариес, повышенную чувствительность зубов при приеме пищи.
Пациенту 9 лет.

Как лечили

В седации проведено лечение пульпита зуба с закрытием временной пломбой. Восстановлен зуб под композитную вкладку. Проведена припасовка и фиксация композитной вкладки.
Лечение проведено за три визита.

До лечения

Жалобы на множественный кариес всех групп зубов верхней и нижней челюсти, периодические боли во время приема пищи.
Пациенту 3 года.

Как лечили

Лечение кариеса под наркозом. На зубы поставлены детские коронки из диоксида циркония, на жевательных металлические коронки.
Лечение проведено за один визит.

До лечения

Жалобы на разрушение передней группы зубов, нарушение эстетики. Боль во время приема пищи и чистки зубов.
Пациенту 2 года.

Как лечили

Лечение кариеса под наркозом. На передние зубы поставлены коронки из диоксида циркония, на два жевательных поставлены детские металлические коронки.
Лечение проведено за один визит.

До лечения

Пришли с жалобами на пигментацию зуба, боли не было.
Пациенту 9 лет.

Как лечили

Проведено лечение кариеса и подготовка зуба под композитную вкладку. Далее фиксация композитной вкладки.
Лечение проведено за два визита.

До лечения

Жалобы на боль во всех зубах от холодного, кислого, сладкого, при чистке зубов.
Пациенту 2,5 года.

Как лечили

Лечение кариеса под наркозом. Поставлены коронки из диоксида циркония на передние зубы и металлические коронки на жевательные.
Лечение проведено за один визит.

До лечения

Жалобы на кариес и налет на зубах.
Пациенту 14 лет.

Как лечили

Проведена профессиональная гигиена зубов. После пролечен кариес под анестезией, восстановлен зуб.
Лечение проведено за 2 визита.

До лечения

Жалобы на множественный кариес и разрушение передних зубов.
Пациенту 3 года.

Как лечили

Лечение кариеса под наркозом. Четыре зуба восстановлены коронками из диоксида циркония, другие композиционным материалом Estelite Sigma Quick.
Лечение проведено за один визит.

До лечения

Пришли на профосмотр, выявлен кариес дентина.
Пациенту 11 лет.

Как лечили

Удален кариес средней сложности под местной анестезией. Проведена реставрация зуба с сохранением анатомической формы.
Лечение проведено за один визит.

До лечения

Обратились с жалобой на боль при чистке зубов и приеме пищи. Разрушена фронтальная группа зубов, нарушена эстетика.
Пациенту 12 лет.

Как лечили

Проведено лечение глубокого кариеса под микроскопом с местной анестезией. После выполнена реставрация зуба фронтальной группы.
Лечение проведено за один визит.

Отзывы мам и пап о лечении кариеса у детей в Дентал-Сервис

Ольга Орлова
02.03.2026
Огромная благодарность Долгополовой Светлане Олеговне ! Замечательный врач, специалист высокого уровня! Ребенок в 4 года был первый раз у стоматолога, и остался доволен ! Вылечили пульпит и кариес, без боли, в игровой форме, спаси...
Анна Д
27.02.2026
Вот уже 13 лет наблюдаемся у Тиуновой Яны Евгеньевны.
В этот раз лечили кариес, все прошло как всегда легко, профессионально и дружелюбно.
Дети вышли со словами «Оказалось совсем не больно».
Администраторы с забо...
Валерия Кузнецова
25.02.2026
Хочу выразить благодарность прекрасному врачу Кахрамановой Супхане Биналиевне.
Нам лечили молочные зубки.
Мы очень переживали как будет проходить лечение.
Сыну 5 лет и это первый поход к стоматологу.
У нас ...
Евгения
20.02.2026
Замечательный врач Азарова Ирина Юрьевна, наблюдаемся у нее с 1,5 лет, лечили кариесы под общим наркозом в 2,5 года (часто болели, кариесу это на руку) два года просто ходили на осмотры. Сейчас нам 5,5 лет, подлечили один ...
Евгения Будина
15.02.2026
У нас остались положительные эмоции от лечения зубов.
Заявку подали через сайт, после перезвонили, пригласили на консультацию. Дочке на тот момент было 3,8 года. Конечно, что-то новое, не понятное, страшно, слезы. Врач у нас...
Анастасия Кравцова
09.01.2026
Обратились с острой ситуацией у ребенка 6 лет, воспалился молочный зуб (пульпит). Оперативно произвели удаление и лечение пульпита на другом зубе. Ребенок остался с приятными воспоминаниями о походе к стоматологу и с радос...
Малышева Олеся
12.11.2025
Хочу выразить огромную благодарность самому лучшему врачу, Быковой Марии Евгеньевне. Она не только прекрасный, высококвалифицированный специалист, но и очень добрый, отзывчивый человек, который может найти подход к ребенку, успоко...
Ирина Янькова
22.10.2025
Вожу сюда своих детей к Ксении Евгеньевне. Ребенок в 2 года с удовольствием идет на прием и открывает широко ротик ) это о многом говорит! Профессионализм, чуткость, доброта старшей лечили сложный кариес, ни одной слезинки не ...
Наталья Гуменная
18.10.2025
Добрый день, мы в этой клиники лечили кариес у Галича Александра Витальевича. Мы остались очень довольны результатом. Моей дочери 1,7 кариес двух передних зубов у нас было лечение во сне, переживали очень, как перенесёт наркоз, ка...
nastya999
07.10.2025
Добрый день!
Ходим к Ирине Юрьевне с 3,5 лет, и теперь поход к стоматологу у нас совсем не вызывает страха! Сын спокойно лечит зубы и даже кариес без анестезии в 5 лет— всё проходит легко, без слёз и переживаний. Ирина Юрьев...
дарья
05.10.2025
Я очень довольна работой детского стоматолога Галич Александра Витальевича. Он профессионально и внимательно подходит к лечению кариеса моего ребенка. Весь процесс проходит максимально аккуратно и безболезненно, что очень важно. А...
Анастасия С.
01.08.2025
Лечили зубы под наркозом и ставили коронки 6-ти летней дочери у стоматолога Швыдкая Анастасия Александровна.
Переживала, так как для меня и для, наверное, многих других слово «наркоз» уже звучит волнительно, НО все прошло оч...
Ольга Алексеева
16.06.2025
К Виктории Ивановне Карловой ходим уже 10 лет. Доктор волшебный. Грамотная, приятная. Найдёт подход к любому ребёнку. Лечим у неё кариес и делаем гигиеническую чистку. Всегда все на высшем уровне. С удовольствием порекомендую этог...
Александра Ильина
28.04.2025
10/10
Доктор Дарья Аркадьевна Ушакова так трепетно и нежно относится к моим детям, что они на крыльях любви летят на чистку и лечение. Хоть они еще совсем малыши удалось выстроить такое доверие с доктором, что лечим кариес с...
Ж*нн* Л*си*ын*
07.04.2025
Самая наша любимая детская стоматология!) Хочу выразить огромную благодарность Диане Дмитриевне Кудеевой!)
Она обладает поистине волшебной харизмой и моментально входит в доверие к детям!
У дочки непростой хара...
Александра Кольцова
05.03.2025
Больше 7 лет дети с радостью бегут на осмотр к стоматологу Яне Викторовне. Очень нравится её трепетный и внимательный подход. Всегда найдет «ключик» к ребенку в каком бы он ни был настроении.
Нравится атмосфера в самой клин...
П*ци*нт*+7*91* 4*XX*XX
16.02.2025
Хотелось выразить огромную благодарность врачу Горбачевой Ксении Валерьевне. Она просто волшебница. Были с ребенком (4 года). Нужно было сделать 2 пульпита и 3 кариеса.
Также чистку. Все сделали в 3 этапа. Мой ребено...
Марина Батакова
06.02.2025
Безумно рада за наших детей, что у них есть такая чудесная возможность лечить зубы в новых современных условиях!
Ранее были пару раз на осмотре, совсем малышом, но без лечения.
Сейчас пришло время первого кариеса)...
Ирина Кляйн
06.01.2025
Дети в восторге. Спасибо, за трепетное отношение. Дети не боятся ходить к стоматологу, во время приема мультики, которые успевают обсудить с ребенком. В результате ребенок сам не понял, как все закончилось. И пульпит уже полечили ...
Татьяна Сергеевна
16.08.2024
Здравствуйте. Сегодня (16.08.24) лечили дочке зубы под наркозом у детского стоматолога Дарьи Аркадьевны. Хочу выразить огромную благодарность. Очень чуткий, отзывчивый и компетентный специалист. Дарья Аркадьевна подробно р...
Заполните форму
Данные пациента
Выбрать врача и специализацию

    Часто задаваемые вопросы

    Как подготовить ребенка к визитам к стоматологу?

    Подготовка ребенка к визитам к детскому стоматологу — важный этап, который помогает сделать этот процесс менее стрессовым и более комфортным как для ребенка, так и для родителей.

    Мы рекомендуем заранее начать разговор о предстоящем визите заранее. Объясните, что такое стоматолог и зачем нужны визиты к нему. Используйте простые и понятные слова.
    Затем запишитесь на адаптационную встречу в клинику, чтобы малыш увидел обстановку, поговорил с врачом и адаптировался. В клиниках Дентал-Сервис адаптацию наши врачи берут на себя: в игровой форме они проведут экскурсию по кабинету, покажут игровую зону и на детском языке объяснят, как будет происходить лечение.

    Обдумайте, как вы можете вознаградить ребенка после посещения стоматолога. Это может быть любимая игрушка, угощение, прогулка или семейный досуг.

    Какие существуют профилактические процедуры в детской стоматологии?

    Профилактика зубных заболеваний у детей играет ключевую роль в поддержании здоровья полости рта и профилактике кариеса, заболеваний десен и других стоматологических проблем. Существует несколько эффективных профилактических процедур в Дентал-Сервис:

    1. Профессиональная гигиена зубов.
    В стоматологических клиниках Дентал-Сервис мы НЕ проводим просто чистку зубов. В целях профилактики мы занимаемся профессиональной гигиеной по протоколу GBT. Это комплекс мер, который помогает предотвратить детский кариес и заболевания десен. Гигиена включает использование искусственного интеллекта, индикацию налета, воздушно-порошковую обработку AirFlow и самое главное — обучение самостоятельной домашней чистке зубов. В конце врач обязательно делает фторирование — наносит укрепляющий раствор на зубы, который повышают прочность эмали и служит защитой от кариеса. Эта процедура абсолютно безопасна для детей.

    2. Бесплатные уроки гигиены.
    Чтобы сформировать правильные привычки и обеспечить детям здоровое будущее, в Дентал-Сервис проводят бесплатные «Уроки гигиены» для детей и подростков от 0 до 7 и от 8 до 18 лет и их родителей! Такие занятия помогают детям взглянуть на уход за зубами как на игру и сделают процесс не только увлекательным, но и невероятно полезным.

    3. Регулярные осмотры.
    Регулярные визиты к стоматологу позволяют выявить и предотвратить возможные проблемы на ранней стадии, что помогает избежать более серьезных вмешательств в будущем

    Супертехнологии
    Челюстно-лицевая хирургия
    Дентал-Сервис – это не только стоматология. В 2017 году мы открыли Клинику хирургии лица, в которой помогаем пациентам с диагнозами из смежных областей – от тяжелых аномалий прикуса до последствий травм тканей лица.
    Подробнее
    Челюстно-лицевая хирургия
    Лечение под микроскопом
    100% микроскопизация — глобальный вектор компании. В нашей команде более 60 микроскопистов, аналогов в России нет. Все терапевтическое лечение — от кариеса до каналов — мы проводим с микроскопом.
    Подробнее
    Лечение под микроскопом
    Лечение детей под наркозом
    В Дентал-Сервис можно спать спокойно! Безопасность и качество лечения под наркозом в наших клиниках отвечают самым высоким требованиям, а анестезиологи — суперпрофессионалы с огромным опытом. За двенадцать лет мы провели более 10000 лечений — у детей и взрослых.
    Подробнее
    Лечение детей под наркозом
    Травма детского зуба
    Травма зуба — не повод его потерять. Восстановим сломанный зуб, приживим выбитый. Зуб продолжит расти и развиваться! Сохранение нерва травмированного зуба — высший пилотаж, наш эксклюзив.
    Подробнее
    Травма детского зуба
    Эстетическая стоматология
    Эстетическая стоматология — наша гордость. Колоссальный опыт, художественное чутье, передовые технологии и работа в команде — вот секреты мастеров, возрождающих шедевр вашей улыбки.
    Подробнее
    Эстетическая стоматология
    Имплантация зубов
    Ставим имплантаты всерьез и надолго. Готовы помочь даже в самых сложных клинических случаях и делаем все, чтобы новые зубы стали полноценной, долговечной заменой утраченным.
    Подробнее
    Имплантация зубов
    АГАЧИЕВА
    АГАЧИЕВА Феруза Газанфар кызы
    Детский стоматолог
    Клиника на пл. Карла Маркса, 1
    Записаться

    Мы предлагаем вам ознакомиться с общим графиком работы врача на месяц. Пожалуйста, обратите внимание, что доступные слоты для записи не указаны. Чтобы узнать свободное время для записи, пожалуйста, свяжитесь с нашим контактным центром. Наши операторы с радостью помогут вам!

    Выбрано для предварительной записи:
    АДУЕВА
    АДУЕВА Дарья Вячеславовна
    Врач-стоматолог
    Клиника на Гребенщикова, 1 (Родники)
    Записаться

    Мы предлагаем вам ознакомиться с общим графиком работы врача на месяц. Пожалуйста, обратите внимание, что доступные слоты для записи не указаны. Чтобы узнать свободное время для записи, пожалуйста, свяжитесь с нашим контактным центром. Наши операторы с радостью помогут вам!

    Выбрано для предварительной записи:
    АЗАРОВА
    АЗАРОВА Ирина Юрьевна
    Зубной врач
    Ведущий специалист
    Детская клиника на Ленина, 17
    Записаться

    Мы предлагаем вам ознакомиться с общим графиком работы врача на месяц. Пожалуйста, обратите внимание, что доступные слоты для записи не указаны. Чтобы узнать свободное время для записи, пожалуйста, свяжитесь с нашим контактным центром. Наши операторы с радостью помогут вам!

    Выбрано для предварительной записи:
    АЛЕКСЕЕВА
    АЛЕКСЕЕВА Наталья Эдуардовна
    Детский стоматолог
    Клиника на Вокзальной, 50/1 (Бердск)
    Записаться

    Мы предлагаем вам ознакомиться с общим графиком работы врача на месяц. Пожалуйста, обратите внимание, что доступные слоты для записи не указаны. Чтобы узнать свободное время для записи, пожалуйста, свяжитесь с нашим контактным центром. Наши операторы с радостью помогут вам!

    Выбрано для предварительной записи:
    АНДРОНОВА (ВИЛЯЙ)
    АНДРОНОВА (ВИЛЯЙ) Алёна Анатольевна
    Врач-стоматолог
    Клиника на пл. Карла Маркса, 1
    Записаться

    Мы предлагаем вам ознакомиться с общим графиком работы врача на месяц. Пожалуйста, обратите внимание, что доступные слоты для записи не указаны. Чтобы узнать свободное время для записи, пожалуйста, свяжитесь с нашим контактным центром. Наши операторы с радостью помогут вам!

    Выбрано для предварительной записи:
    БАСАЛАЕВА
    БАСАЛАЕВА Валерия Сергеевна
    Врач-стоматолог
    Клиника на Гребенщикова, 1 (Родники)

    Принимает еще в 1 клинике

    Записаться

    Мы предлагаем вам ознакомиться с общим графиком работы врача на месяц. Пожалуйста, обратите внимание, что доступные слоты для записи не указаны. Чтобы узнать свободное время для записи, пожалуйста, свяжитесь с нашим контактным центром. Наши операторы с радостью помогут вам!

    Выбрано для предварительной записи:
    БОЙКО
    БОЙКО Оксана Александровна
    Детский стоматолог
    Клиника на Героев Труда, 4 (Академгородок)
    Записаться

    Мы предлагаем вам ознакомиться с общим графиком работы врача на месяц. Пожалуйста, обратите внимание, что доступные слоты для записи не указаны. Чтобы узнать свободное время для записи, пожалуйста, свяжитесь с нашим контактным центром. Наши операторы с радостью помогут вам!

    Выбрано для предварительной записи:
    БЫКОВА
    БЫКОВА Мария Евгеньевна
    Детский стоматолог
    Детская клиника на Ленина, 17
    Записаться

    Мы предлагаем вам ознакомиться с общим графиком работы врача на месяц. Пожалуйста, обратите внимание, что доступные слоты для записи не указаны. Чтобы узнать свободное время для записи, пожалуйста, свяжитесь с нашим контактным центром. Наши операторы с радостью помогут вам!

    Выбрано для предварительной записи:
    ВОЗГРИНА (ЖАРКОВА)
    ВОЗГРИНА (ЖАРКОВА) Арина Дмитриевна
    Врач-стоматолог
    Клиника на пл. Карла Маркса, 1
    Записаться

    Мы предлагаем вам ознакомиться с общим графиком работы врача на месяц. Пожалуйста, обратите внимание, что доступные слоты для записи не указаны. Чтобы узнать свободное время для записи, пожалуйста, свяжитесь с нашим контактным центром. Наши операторы с радостью помогут вам!

    Выбрано для предварительной записи:
    ГАЛИЧ
    ГАЛИЧ Александр Витальевич
    Врач-стоматолог
    Клиника на пл. Карла Маркса, 1
    Записаться
    Выбрано для предварительной записи:
    ГОРБАЧЕВА
    ГОРБАЧЕВА Ксения Валерьевна
    Детский стоматолог
    Ведущий специалист
    Главный врач Клиники на Гребенщикова, 1
    Клиника на Гребенщикова, 1 (Родники)
    Записаться

    Мы предлагаем вам ознакомиться с общим графиком работы врача на месяц. Пожалуйста, обратите внимание, что доступные слоты для записи не указаны. Чтобы узнать свободное время для записи, пожалуйста, свяжитесь с нашим контактным центром. Наши операторы с радостью помогут вам!

    Выбрано для предварительной записи:
    ГРАКОВИЧ
    ГРАКОВИЧ Эльвира Николаевна
    Детский стоматолог
    Ведущий специалист
    Клиника на пл. Карла Маркса, 1

    Принимает еще в 1 клинике

    Записаться

    Мы предлагаем вам ознакомиться с общим графиком работы врача на месяц. Пожалуйста, обратите внимание, что доступные слоты для записи не указаны. Чтобы узнать свободное время для записи, пожалуйста, свяжитесь с нашим контактным центром. Наши операторы с радостью помогут вам!

    Выбрано для предварительной записи:
    ГРЫДИНА (СОЛОГУБОВА)
    ГРЫДИНА (СОЛОГУБОВА) Ульяна Олеговна
    Детский стоматолог
    Клиника на Вокзальной, 50/1 (Бердск)
    Записаться

    Мы предлагаем вам ознакомиться с общим графиком работы врача на месяц. Пожалуйста, обратите внимание, что доступные слоты для записи не указаны. Чтобы узнать свободное время для записи, пожалуйста, свяжитесь с нашим контактным центром. Наши операторы с радостью помогут вам!

    Выбрано для предварительной записи:
    ДЕЕВА (ОБНОСОВА)
    ДЕЕВА (ОБНОСОВА) Любовь Игоревна
    Врач-стоматолог
    Клиника на Гребенщикова, 1 (Родники)
    Записаться

    Мы предлагаем вам ознакомиться с общим графиком работы врача на месяц. Пожалуйста, обратите внимание, что доступные слоты для записи не указаны. Чтобы узнать свободное время для записи, пожалуйста, свяжитесь с нашим контактным центром. Наши операторы с радостью помогут вам!

    Выбрано для предварительной записи:
    ДОБРЫГИНА (НИКОЛАЕВА)
    ДОБРЫГИНА (НИКОЛАЕВА) Анна Александровна
    Врач-стоматолог
    Врач высшей категории
    Клиника на пл. Карла Маркса, 1
    Записаться

    Мы предлагаем вам ознакомиться с общим графиком работы врача на месяц. Пожалуйста, обратите внимание, что доступные слоты для записи не указаны. Чтобы узнать свободное время для записи, пожалуйста, свяжитесь с нашим контактным центром. Наши операторы с радостью помогут вам!

    Выбрано для предварительной записи:
    ДОЛГОПОЛОВА
    ДОЛГОПОЛОВА Светлана Олеговна
    Врач-стоматолог
    Клиника на пл. Карла Маркса, 1
    Записаться

    Мы предлагаем вам ознакомиться с общим графиком работы врача на месяц. Пожалуйста, обратите внимание, что доступные слоты для записи не указаны. Чтобы узнать свободное время для записи, пожалуйста, свяжитесь с нашим контактным центром. Наши операторы с радостью помогут вам!

    Выбрано для предварительной записи:
    ДРОЗДОВА
    ДРОЗДОВА Валерия Николаевна
    Детский стоматолог
    Ведущий специалист
    Клиника на пл. Карла Маркса, 1
    Записаться

    Мы предлагаем вам ознакомиться с общим графиком работы врача на месяц. Пожалуйста, обратите внимание, что доступные слоты для записи не указаны. Чтобы узнать свободное время для записи, пожалуйста, свяжитесь с нашим контактным центром. Наши операторы с радостью помогут вам!

    Выбрано для предварительной записи:
    ДУДКИНА
    ДУДКИНА Венера Юрьевна
    Детский стоматолог
    Клиника хирургии лица и стоматологии на Сакко и Ванцетти, 77
    Записаться

    Мы предлагаем вам ознакомиться с общим графиком работы врача на месяц. Пожалуйста, обратите внимание, что доступные слоты для записи не указаны. Чтобы узнать свободное время для записи, пожалуйста, свяжитесь с нашим контактным центром. Наши операторы с радостью помогут вам!

    Выбрано для предварительной записи:
    ДУДОЛАДОВА (БЕККЕР)
    ДУДОЛАДОВА (БЕККЕР) Александра Олеговна
    Врач-стоматолог
    Клиника хирургии лица и стоматологии на Сакко и Ванцетти, 77
    Записаться

    Мы предлагаем вам ознакомиться с общим графиком работы врача на месяц. Пожалуйста, обратите внимание, что доступные слоты для записи не указаны. Чтобы узнать свободное время для записи, пожалуйста, свяжитесь с нашим контактным центром. Наши операторы с радостью помогут вам!

    Выбрано для предварительной записи:
    ЕВПЛАНОВА
    ЕВПЛАНОВА Яна Викторовна
    Детский стоматолог
    Клиника на Героев Труда, 4 (Академгородок)
    Записаться

    Мы предлагаем вам ознакомиться с общим графиком работы врача на месяц. Пожалуйста, обратите внимание, что доступные слоты для записи не указаны. Чтобы узнать свободное время для записи, пожалуйста, свяжитесь с нашим контактным центром. Наши операторы с радостью помогут вам!

    Выбрано для предварительной записи:
    ИЗОТОВА Анастасия Сергеевна
    Детский стоматолог
    Клиника на Героев Труда, 4 (Академгородок)
    Записаться

    Мы предлагаем вам ознакомиться с общим графиком работы врача на месяц. Пожалуйста, обратите внимание, что доступные слоты для записи не указаны. Чтобы узнать свободное время для записи, пожалуйста, свяжитесь с нашим контактным центром. Наши операторы с радостью помогут вам!

    Выбрано для предварительной записи:
    ИСАЕВА
    ИСАЕВА Ирина Денисовна
    Врач-стоматолог
    Клиника на пл. Карла Маркса, 1
    Записаться

    Мы предлагаем вам ознакомиться с общим графиком работы врача на месяц. Пожалуйста, обратите внимание, что доступные слоты для записи не указаны. Чтобы узнать свободное время для записи, пожалуйста, свяжитесь с нашим контактным центром. Наши операторы с радостью помогут вам!

    Выбрано для предварительной записи:
    КАРЛОВА (КАЛИНА)
    КАРЛОВА (КАЛИНА) Виктория Ивановна
    Детский стоматолог
    Детская клиника на Ленина, 17
    Записаться

    Мы предлагаем вам ознакомиться с общим графиком работы врача на месяц. Пожалуйста, обратите внимание, что доступные слоты для записи не указаны. Чтобы узнать свободное время для записи, пожалуйста, свяжитесь с нашим контактным центром. Наши операторы с радостью помогут вам!

    Выбрано для предварительной записи:
    КАХРАМАНОВА
    КАХРАМАНОВА Супхана Бинали Кзы
    Врач-стоматолог
    Клиника на Дуси Ковальчук, 252/1
    Записаться

    Мы предлагаем вам ознакомиться с общим графиком работы врача на месяц. Пожалуйста, обратите внимание, что доступные слоты для записи не указаны. Чтобы узнать свободное время для записи, пожалуйста, свяжитесь с нашим контактным центром. Наши операторы с радостью помогут вам!

    Выбрано для предварительной записи:
    КИРЮШИНА
    КИРЮШИНА Анна Витальевна
    Врач-стоматолог
    Профессорская клиника на Николаева, 12/3 (Академгородок)
    Записаться

    Мы предлагаем вам ознакомиться с общим графиком работы врача на месяц. Пожалуйста, обратите внимание, что доступные слоты для записи не указаны. Чтобы узнать свободное время для записи, пожалуйста, свяжитесь с нашим контактным центром. Наши операторы с радостью помогут вам!

    Выбрано для предварительной записи:
    КОМАРОВСКАЯ
    КОМАРОВСКАЯ Юлия Александровна
    Детский стоматолог
    Детская клиника на Ленина, 17
    Записаться

    Мы предлагаем вам ознакомиться с общим графиком работы врача на месяц. Пожалуйста, обратите внимание, что доступные слоты для записи не указаны. Чтобы узнать свободное время для записи, пожалуйста, свяжитесь с нашим контактным центром. Наши операторы с радостью помогут вам!

    Выбрано для предварительной записи:
    КРАВЕЦ (БУРДАКОВА)
    КРАВЕЦ (БУРДАКОВА) Дарья Владимировна
    Врач-стоматолог
    Клиника на пл. Карла Маркса, 1
    Записаться

    Мы предлагаем вам ознакомиться с общим графиком работы врача на месяц. Пожалуйста, обратите внимание, что доступные слоты для записи не указаны. Чтобы узнать свободное время для записи, пожалуйста, свяжитесь с нашим контактным центром. Наши операторы с радостью помогут вам!

    Выбрано для предварительной записи:
    КУДЕЕВА
    КУДЕЕВА Диана Дмитриевна
    Врач-стоматолог
    Детская клиника на Ленина, 17
    Записаться

    Мы предлагаем вам ознакомиться с общим графиком работы врача на месяц. Пожалуйста, обратите внимание, что доступные слоты для записи не указаны. Чтобы узнать свободное время для записи, пожалуйста, свяжитесь с нашим контактным центром. Наши операторы с радостью помогут вам!

    Выбрано для предварительной записи:
    НАЗАРОВА (СПИРИДОНОВА)
    НАЗАРОВА (СПИРИДОНОВА) Александра Олеговна
    Врач-стоматолог
    Клиника на пл. Карла Маркса, 1
    Записаться
    Выбрано для предварительной записи:
    ПАВЛОВСКИХ
    ПАВЛОВСКИХ Ксения Евгеньевна
    Детский стоматолог
    Клиника хирургии лица и стоматологии на Сакко и Ванцетти, 77
    Записаться

    Мы предлагаем вам ознакомиться с общим графиком работы врача на месяц. Пожалуйста, обратите внимание, что доступные слоты для записи не указаны. Чтобы узнать свободное время для записи, пожалуйста, свяжитесь с нашим контактным центром. Наши операторы с радостью помогут вам!

    Выбрано для предварительной записи:
    ПАСЕКА
    ПАСЕКА Дина Александровна
    Зубной врач
    Детская клиника на Ленина, 17
    Записаться

    Мы предлагаем вам ознакомиться с общим графиком работы врача на месяц. Пожалуйста, обратите внимание, что доступные слоты для записи не указаны. Чтобы узнать свободное время для записи, пожалуйста, свяжитесь с нашим контактным центром. Наши операторы с радостью помогут вам!

    Выбрано для предварительной записи:
    ПЕРМЯКОВА
    ПЕРМЯКОВА Алина Юрьевна
    Детский стоматолог
    Клиника на Героев Труда, 4 (Академгородок)
    Записаться

    Мы предлагаем вам ознакомиться с общим графиком работы врача на месяц. Пожалуйста, обратите внимание, что доступные слоты для записи не указаны. Чтобы узнать свободное время для записи, пожалуйста, свяжитесь с нашим контактным центром. Наши операторы с радостью помогут вам!

    Выбрано для предварительной записи:
    ПОТУРАЕВА
    ПОТУРАЕВА Юлия Михайловна
    Зубной врач
    Клиника на Вокзальной, 50/1 (Бердск)
    Записаться

    Мы предлагаем вам ознакомиться с общим графиком работы врача на месяц. Пожалуйста, обратите внимание, что доступные слоты для записи не указаны. Чтобы узнать свободное время для записи, пожалуйста, свяжитесь с нашим контактным центром. Наши операторы с радостью помогут вам!

    Выбрано для предварительной записи:
    РЖАННИКОВА
    РЖАННИКОВА Мария Константиновна
    Детский стоматолог
    Клиника на Никольском проспекте, 1 (Кольцово)
    Записаться

    Мы предлагаем вам ознакомиться с общим графиком работы врача на месяц. Пожалуйста, обратите внимание, что доступные слоты для записи не указаны. Чтобы узнать свободное время для записи, пожалуйста, свяжитесь с нашим контактным центром. Наши операторы с радостью помогут вам!

    Выбрано для предварительной записи:
    СИЛКИНА
    СИЛКИНА Анна Александровна
    Врач-стоматолог
    Детская клиника на Ленина, 17
    Записаться

    Мы предлагаем вам ознакомиться с общим графиком работы врача на месяц. Пожалуйста, обратите внимание, что доступные слоты для записи не указаны. Чтобы узнать свободное время для записи, пожалуйста, свяжитесь с нашим контактным центром. Наши операторы с радостью помогут вам!

    Выбрано для предварительной записи:
    ТИУНОВА
    ТИУНОВА Яна Евгеньевна
    Детский стоматолог
    Детская клиника на Ленина, 17
    Записаться

    Мы предлагаем вам ознакомиться с общим графиком работы врача на месяц. Пожалуйста, обратите внимание, что доступные слоты для записи не указаны. Чтобы узнать свободное время для записи, пожалуйста, свяжитесь с нашим контактным центром. Наши операторы с радостью помогут вам!

    Выбрано для предварительной записи:
    ТОРОХОВА
    ТОРОХОВА Кристина Евгеньевна
    Детский стоматолог
    Клиника на пл. Карла Маркса, 1
    Записаться

    Мы предлагаем вам ознакомиться с общим графиком работы врача на месяц. Пожалуйста, обратите внимание, что доступные слоты для записи не указаны. Чтобы узнать свободное время для записи, пожалуйста, свяжитесь с нашим контактным центром. Наши операторы с радостью помогут вам!

    Выбрано для предварительной записи:
    ТРЕМАСОВА
    ТРЕМАСОВА Ольга Борисовна
    Детский стоматолог
    Стоматолог-терапевт
    Ведущий специалист
    Детская клиника на Ленина, 17
    Записаться

    Мы предлагаем вам ознакомиться с общим графиком работы врача на месяц. Пожалуйста, обратите внимание, что доступные слоты для записи не указаны. Чтобы узнать свободное время для записи, пожалуйста, свяжитесь с нашим контактным центром. Наши операторы с радостью помогут вам!

    Выбрано для предварительной записи:
    УШАКОВА
    УШАКОВА Дарья Аркадьевна
    Врач-стоматолог
    Клиника на Никольском проспекте, 1 (Кольцово)
    Записаться

    Мы предлагаем вам ознакомиться с общим графиком работы врача на месяц. Пожалуйста, обратите внимание, что доступные слоты для записи не указаны. Чтобы узнать свободное время для записи, пожалуйста, свяжитесь с нашим контактным центром. Наши операторы с радостью помогут вам!

    Выбрано для предварительной записи:
    ЦЫРЕНЖАПОВА
    ЦЫРЕНЖАПОВА Диана Батомункуевна
    Врач-стоматолог
    Клиника на Никольском проспекте, 1 (Кольцово)
    Записаться

    Мы предлагаем вам ознакомиться с общим графиком работы врача на месяц. Пожалуйста, обратите внимание, что доступные слоты для записи не указаны. Чтобы узнать свободное время для записи, пожалуйста, свяжитесь с нашим контактным центром. Наши операторы с радостью помогут вам!

    Выбрано для предварительной записи:
    ШВЫДКАЯ
    ШВЫДКАЯ Анастасия Александровна
    Врач-стоматолог
    Клиника на Героев Труда, 4 (Академгородок)
    Записаться

    Мы предлагаем вам ознакомиться с общим графиком работы врача на месяц. Пожалуйста, обратите внимание, что доступные слоты для записи не указаны. Чтобы узнать свободное время для записи, пожалуйста, свяжитесь с нашим контактным центром. Наши операторы с радостью помогут вам!

    Выбрано для предварительной записи:
    ЯКУНИНА
    ЯКУНИНА Полина Андреевна
    Врач-стоматолог
    Клиника на Дуси Ковальчук, 252/1
    Записаться

    Мы предлагаем вам ознакомиться с общим графиком работы врача на месяц. Пожалуйста, обратите внимание, что доступные слоты для записи не указаны. Чтобы узнать свободное время для записи, пожалуйста, свяжитесь с нашим контактным центром. Наши операторы с радостью помогут вам!

    Выбрано для предварительной записи:
    Услуга
    Цена, руб.

    Детская стоматология

    Прием детского стоматолога/зубного врача первичный (до 30 минут)
    от 900 руб.
    Прием детского стоматолога/зубного врача повторный (проф.осмотр)
    от 800 руб.
    Лечение кариеса молочного зуба (без учета анестезии)
    от 4 600 руб.
    Восстановление молочного зуба коронкой
    При сильных разрушениях молочных зубов для их сохранения используют в лечении коронки, стальные или из диоксида циркония.
    от 7 800 руб.

    Рентгенодиагностика

    Пакет радиовизиографических снимков всей челюсти для детей
    от 2 800 руб.
    Пакет радиовизиографических снимков всей челюсти для детей при лечении под наркозом
    от 3 800 руб.

    Анестезиология

    Аппликационная анестезия
    от 550 руб.
    Инфильтрационная анестезия (одна карпула)
    от 1 300 руб.
    Проводниковая анестезия (одна карпула)
    от 1 300 руб.

    Лечение под наркозом

    Консультация врача-анестезиолога-реаниматолога
    от 2 000 руб.
    Медикаментозный сон (вводный наркоз + первый час + постнаркозное наблюдение)
    от 15 000 руб.
    Ингаляционный наркоз для краткосрочных вмешательств с использованием севорана (до 30 минут)
    от 9 200 руб.

    Лечение в седации

    Консультация врача-анестезиолога-реаниматолога
    При стоматологическом наркозе используется безопасный препарат севоран, он погружает человека в глубокий сон.
    от 2 000 руб.
    Ингаляционный наркоз с использованием закиси азота
    Расслабление с помощью успокаивающего газа, который подается через маску на носу. При этом пациент находится в сознании, общается с врачом, нормально дышит.
    от 3 600 руб.

    Цены на услуги стоматологии указаны базовые. Стоимость приема и лечения у ведущих специалистов выше от 20% до 50%.
    Цены на сайте не являются публичной офертой.