Записаться
Мы внедряем высокие технологии —
чтобы качество
было идеальным.
Мы совершенствуем сервис —
чтобы и взрослые и дети
чувствовали себя
в наших
клиниках как дома.
Мы меняем стоматологию.
Каждый день. Для вас.
Супертехнологии
Челюстно-лицевая хирургия
Комплексное решение при лечении серьезных челюстно-лицевых патологий. Специализированная клиника челюстно-лицевой хирургии: операционные класса А и комфортный стационар.
Подробнее
Челюстно-лицевая хирургия
Лечение под микроскопом
С микроскопом мы работаем точно в пределах пораженных тканей, поэтому достигаем поразительного качества. Это существенно продлевает жизнь зуба. Микроскопы — наша большая любовь, мы вместе более 15 лет, в команде сети более 60 микроскопистов.
Подробнее
Лечение под микроскопом
Лечение детей под наркозом
Иногда просто необходимо решить много проблем за один прием — например, при лечении ребенка. Лечим без боли и качественно. Наш наркоз безопасен даже для малышей.
Подробнее
Лечение детей под наркозом
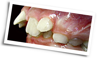
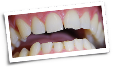
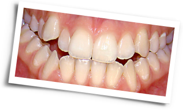
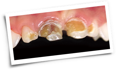
Травма детского зуба
Мы спасли сотни сломанных и выбитых зубов и утверждаем: травма — не приговор. Если лечение провести в кратчайший срок, зуб останется живым.
Подробнее
Травма детского зуба
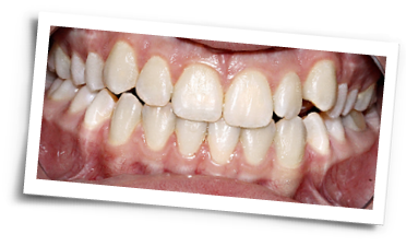
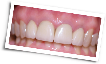
Эстетическая стоматология
Делать красиво — важная часть нашей работы. Мы восстанавливаем утраченные зубы, работаем с цветом, формой, пропорциями. Делаем красивыми не только зубы, но и десны.
Подробнее
Эстетическая стоматология
Имплантация зубов
Наши имплантаты отлично приживаются и долго служат. Мы много делаем для этого: стоматолог-хирург планирует имплантацию совместно с ортопедом, использует цифровые хирургичесские шаблоны, обязательно работает с тканью кости и десны.
Подробнее
Имплантация зубов
Нам можно доверять
Все преимущества
В наших креслах безопасно

У нас мировые стандарты стерилизации инструментов и единые стандарты лечения, сертифицированные материалы и оборудование. Все сотрудники раз в год проходят внутреннюю аттестацию компетенций, а главные врачи ежедневно контролируют работу врачей.

В наших креслах безопасно
Гарантия на лечение

Случается, что пациенты обращаются повторно с тем же зубом. Мы оперативно рассматриваем такие случаи, и если необходимо — перелечиваем.

Гарантия на лечение
Цифровые технологии
Работаем быстрее и точнее. Цифровые сканеры, фрезеры, 3D-принтеры и софт — новая реальность наших кабинетов. Например, цифровой слепок челюсти получаем за 30 секунд вместо 40 минут в классическом «гипсовом» методе.
Цифровые технологии
Командный подход
Работа в команде — стандарт работы стоматолога Дентал-Сервис. В каждой клинике есть узкие специалисты под любую задачу, в сети — Клиника хирургии лица и детские клиники. Если нужна консультация или план комплексного лечения, организуем консилиум.
Командный подход
Беспроцентная рассрочка
Предоставляем беспроцентную рассрочку до 12 мес. Для оформления нужен только паспорт.
Беспроцентная рассрочка
Собственная зуботехническая лаборатория
Из кабинета врача цифровой слепок мгновенно попадает в производство. Все ортопедические конструкции производим сами. Зуботехническая лаборатория Дентал-Сервис — полностью цифровая, самая большая за Уралом.
Собственная зуботехническая лаборатория
Стоматологический институт
Собственный учебный центр Дентал-Сервис — медико-стоматологический институт ДЕНТМАСТЕР — обучение стоматологов со всей страны более 15 лет. Ординатура института после окончания государственного ВУЗа — обязательное условие для выпускников, которые хотят стать врачами Дентал-Сервис.
Стоматологический институт
Персональный менеджер
Если лечение проходит в несколько этапов, его организует персональный менеджер — помощник пациента в стоматологической клинике Дентал-Сервис. Он всегда на связи: соберет консилиум, назначит или перенесет визит, расскажет о вариантах оплаты и рассрочки.
Персональный менеджер
Консультируем онлайн
Иногда нужно что-то обсудить с врачом, но нет возможности попасть в клинику: высокая занятость, болеет ребенок, живете в другом городе. Запишитесь на онлайн-консультацию по телефону или оставьте заявку и поговорите с врачом из дома или офиса.
Консультируем онлайн
В наших креслах безопасно

У нас мировые стандарты стерилизации инструментов и единые стандарты лечения, сертифицированные материалы и оборудование. Все сотрудники раз в год проходят внутреннюю аттестацию компетенций, а главные врачи ежедневно контролируют работу врачей.

В наших креслах безопасно
Гарантия на лечение

Случается, что пациенты обращаются повторно с тем же зубом. Мы оперативно рассматриваем такие случаи, и если необходимо — перелечиваем.

Гарантия на лечение
Цифровые технологии
Работаем быстрее и точнее. Цифровые сканеры, фрезеры, 3D-принтеры и софт — новая реальность наших кабинетов. Например, цифровой слепок челюсти получаем за 30 секунд вместо 40 минут в классическом «гипсовом» методе.
Цифровые технологии
Командный подход
Работа в команде — стандарт работы стоматолога Дентал-Сервис. В каждой клинике есть узкие специалисты под любую задачу, в сети — Клиника хирургии лица и детские клиники. Если нужна консультация или план комплексного лечения, организуем консилиум.
Командный подход
Беспроцентная рассрочка
Предоставляем беспроцентную рассрочку до 12 мес. Для оформления нужен только паспорт.
Беспроцентная рассрочка
Собственная зуботехническая лаборатория
Из кабинета врача цифровой слепок мгновенно попадает в производство. Все ортопедические конструкции производим сами. Зуботехническая лаборатория Дентал-Сервис — полностью цифровая, самая большая за Уралом.
Собственная зуботехническая лаборатория
Стоматологический институт
Собственный учебный центр Дентал-Сервис — медико-стоматологический институт ДЕНТМАСТЕР — обучение стоматологов со всей страны более 15 лет. Ординатура института после окончания государственного ВУЗа — обязательное условие для выпускников, которые хотят стать врачами Дентал-Сервис.
Стоматологический институт
Персональный менеджер
Если лечение проходит в несколько этапов, его организует персональный менеджер — помощник пациента в стоматологической клинике Дентал-Сервис. Он всегда на связи: соберет консилиум, назначит или перенесет визит, расскажет о вариантах оплаты и рассрочки.
Персональный менеджер
Консультируем онлайн
Иногда нужно что-то обсудить с врачом, но нет возможности попасть в клинику: высокая занятость, болеет ребенок, живете в другом городе. Запишитесь на онлайн-консультацию по телефону или оставьте заявку и поговорите с врачом из дома или офиса.
Консультируем онлайн

Стоматология мирового уровня в Новосибирске

Дентал-Сервис — первая частная стоматологическая клиника Новосибирска — основана в 1993 году в Академгородке. Сегодня сеть Дентал-Сервис объединяет двенадцать клиник и медико-стоматологический институт. В компании работает более восьмисот человек.

Дентал-Сервис — это передовой центр стоматологии под руководством опытных врачей, который предлагает широкий спектр стоматологических услуг, включая лечение кариеса, чистку и отбеливание зубов, имплантацию, ортодонтию, пародонтологию, челюстно- лицевую хирургию и другие процедуры. Стоматологических клиник подобного уровня в России — единицы. Наши стандарты технического оснащения, контроля качества, подготовки врачей и защиты пациентов от инфекций признаются чрезвычайно высокими даже среди опытнейших специалистов.

Дентал-Сервис — первая стоматологическая клиника в Сибири, которая начала лечить зубы с применением операционного микроскопа. Кроме того, мы одна из немногих частных стоматологий Новосибирска, которые активно применяют искусственный интеллект не только в работе гигиенистов и пародонтологов, но и при комплексном долгосрочном лечении наших пациентов.

Люди и технологии Дентал-Сервис — гарант качественного и надежного результата уже более 30 лет! И нам действительно есть чем гордиться.

О компании
Отзывы пациентов
Все отзывы
4,7
2ГИС
4,7
Яндекс
4,3
Google
4,5
Flamp
Дарья
02.05.2026
Выражаю огромную благодарность Анастасии Дмитриевне, медсестре и клинике в целом! 02.05 экстренно пришлось обратиться в клинику с кистой на десне у ребёнка. Персонал очень приветливый, врач всё рассказала и наглядно показала, но с...
Королева Валентина Петровна
28.04.2026
Хочу выразить огромную благодарность и сказать большое спасибо, Войтеховскому Н А за индивидуальный подход, доброе отношение, внимательность к пациенту, профессионализм. Рекомендую.
Бондаренко Изабелла Федоровна
28.04.2026
Хочу отметить работу Артемия Петровича Бойко. Здоровье - главное, что есть у человека. Поэтому очень важно найти хорошего врача. А в области хирургии, особенно, где ошибки не прощаются и сильно влияют на результат. Артемий Петрови...
Малюк Алина Александровна
27.04.2026
Хочу выразить благодарность данному специалисту, сама очень долго боялась стоматологов и какие-либо процедуры, с данным врачом была такая приятная атмосфера, что тревога осталась позади, все прошло быстро и безболезненно, о всех м...
Кадникова Мария Викторовна
27.04.2026
Хочу поблагодарить Недосвятий Светлану Викторовну и ассистента Дарью за спасение улыбки моего ребёнка! После травмы мы остались без двух передних зубов, но благодаря ювелирной работе Светланы Викторовны под микроскопом всё удалось...
Кушнерова Надежда Владимировна
27.04.2026
Хочу выразить огромную благодарность Алексею Максимовичу! Рассказал всё - от и до! Пришла с КТ всей челюсти с вопросом по левой стороне, Алексей Максимович рассказал и по правой стороне все проблемы и нюансы, которые увидел! А сам...
Пшонко Юлия Андреевна
24.04.2026
Хочу отблагодарить и порекомендовать детского стоматолога Комаровскую Юлию Александровну. Самый лучший детский стоматолог. Мы с сыном давно наблюдаемся у Юлии Александровны, ходили регулярно на осмотр и на чистку зубов. Очень нрав...
Инна
16.04.2026
Большую благодарность хочется выразить Шульминой Алине Алексеевне - она замечательный профессионал своего дела, очень добрый чуткий и внимательный человек! Профессиональная гигиена и чистка зубов прошла легко и непринужденно, и оч...
Инна
16.04.2026
Хочу выразить большую благодарность и признательность врачу НАТАЛЬЕ ВИКТОРОВНЕ ДУБИНИНОЙ! Это замечательный добрый и внимательный доктор, настоящий профессионал своего дела! Все лечение в несколько этапов прошло быстро легко и без...
Бервинов Михаил
15.04.2026
Выражаю огромную благодарность Анжелике Вячеславовне. Впервые в жизни, во время процедуры, я не почувствовал никакого дискомфорта. Безусловно, врач знает своё дело! А в кабинете, даже плейлист на умной колонке вайбовый.
Без имени
13.04.2026
Хочу выразить огромную благодарность врачу-стоматологу Артём Алаев Попал к нему с целым «букетом» кариеса, в итоге получил не просто лечение, а настоящее шоу и удовольствие. Вот что особенно понравилось: 1. Человеческий подход. Ар...
Без имени
30.03.2026
Почтарь просто потрясающий врач! У неё большой опыт и высокий профессионализм. Очень приятно, что она всегда вежлива и дружелюбна. Всегда готова помочь с любыми вопросами, связанными с зубами. Я остался полностью доволен её работо...
Оксана
29.03.2026
Процедура, которую проводил Буторин Руслан Евгеньевич, прошла безболезненно и спокойно. Врач подробно объяснил как будут проходить этапы заживления, создал чувство уверенности и комфорта. Непременно приду к нему ещё на приём. Я ра...
Софья
28.03.2026
Выбирала врача со стажем работы. Кидон Елена Юрьевна - вот, она!)) врач, нацеленная на результат. Покорила меня своим бережным отношением и желанием довести взятую работу до идеала! Пролечили все нужные зубы: красиво, чётк...
Денис Мотрук
27.03.2026
Был сегодня на приеме у Богомягковой Екатерины врача высшей категории, все понравилось прошло без боли и последствий ) сделали снимок нашли проблемы, построили план лечений и удаления 8 ) собираемся с духом и следуем реком...
Odis
25.03.2026
Отличная стоматология! Очень вежливые и приятные девушки на ресепшене.
Хочу выразить большую благодарность врачу Юлии Анатольевне, она профессионал своего дела однозначно!
Eduard S
24.03.2026
Отличная сервис для всей семьи, вежливый персонал, удобное место расположение, имеется парковка, детская комната, адекватные цены. Отдельное благодарность Лилие Владимировне встретила тепло сориентировала, ответила на все вопросы....
Юлия
22.03.2026
Хочу выразить огромную благодарность прекрасному хирургу Буторину Руслану Евгениевичу за тонкую и аккуратную работу! Помог справиться с проблемой, спасибо за профессионализм и золотые руки)
Без имени
20.03.2026
Вячеслав Макаров внимательный и профессиональный специалист. Уколы он делает совершенно безболезненно, что для меня было крайне важно. Во время процедуры он всегда всё объясняет: рассказывает, что делает, как будет проходить лечен...
Anna Prokopeva
20.03.2026
Хочу отметить слаженную работу всего коллектива. Доброжелательность и уют. Были в "гостях" у доброго доктора Максима Александровича и его помощницы (со слов ребёнка), по причине нюансов смены молочных зубов. СПАС...
Татьяна Жидкова
19.03.2026
Делали зубки сыну (3 года), довольны с самого входа в клинику. Обслуживание на высшем уровне! Замечательный персонал. Поставили коронки, делали зубки во сне. Очень переживала, но как оказалось, зря. Все вежливые, компетент...
Ева Киллер
17.03.2026
От всего сердца благодарю врача Ангелину за ее профессионализм и трепетное отношение во время работы!!! Я очень долго не могла решиться и пойти на лечение (очень боялась), но одно посещение вашей клиники полностью изменило...
Ева Киллер
17.03.2026
От всего сердца благодарю врача Ангелину за ее профессионализм и трепетное отношение во время работы!!! Я очень долго не могла решиться и пойти на лечение (очень боялась), но одно посещение вашей клиники полностью изменило мое отн...
Маргарита Юкина
17.03.2026
Мои слова благодарности Павленко Анастасии Олеговне. Про мастерство Анастасии Олеговны я знала давно. Поэтому, когда встал вопрос о реставрации передних зубов, я, конечно, отправилась к этому доктору. И результат превзошел ожидани...
Вита Симонова
17.03.2026
Огромное спасибо доктору Садочкову Алексею Максимовичу и всей клинике! Мы приезжие из другого региона, оказались в сложной ситуации с перспективой лишиться нескольких зубов. В нашем городе не смогли найти специалиста, и эта ситуац...
Без имени
16.03.2026
Мурат Ерланович Сагитов отличный специалист, который делает свою работу на высоком уровне. Мне понравилось, что он спокойный и доброжелательный, а также терпеливый и отзывчивый. В общем, я остался впечатлён его профессионализмом! ...
Ольга Драгун
16.03.2026
Добрый день! Хотелось бы выразить огромную благодарность Бойко Артемию Петровичу, его ассистентам за подготовку и проведение имплантации. Артемий Петрович рассказал о преимуществах имплантационных систем, особенностях, перед опера...
Без имени
15.03.2026
Илья Андреевич Номоконов вежливый и объясняет все по ходу лечения, что делает процесс более комфортным. Благодаря его профессионализму я теперь с гордостью смотрю на свою улыбку и состояние зубов. Большое спасибо этому врачу!
Nadya Patrikeeva
15.03.2026
Была у врача - Немцева Софья Григорьевна. Спасибо большое за чуткость и профессионализм. Мне очень понравился приём)
Алексей Шкильнюк
15.03.2026
Профессионалы своего дела-есть везде, но высших наград удостоены только лучшие из лучших. Слова благодарности, выражаем всей своей дружной семьей Хомутовой Татьяне Александровне. За мастерство, индивидуальный подход к каждому паци...
Врачи
Все врачи
Истории успеха
Все истории

Цены на стоматологические услуги

Все цены
Прием врача-стоматолога-терапевта первичный
от 900 руб.
Прием врача-пародонтолога первичный
от 900 руб.
Прием врача-стоматолога-ортопеда первичный
от 900 руб.
Прием врача-стоматолога-хирурга первичный
от 900 руб.
Прием врача-ортодонта первичный
от 900 руб.
Прием детского стоматолога/зубного врача первичный (до 30 минут)
от 900 руб.
Прием врача-челюстно-лицевого хирурга первичный
от 2 700 руб.
Прием врача-стоматолога по имплантации
Консультация по дентальной имплантации проводится врачом стоматологом-хирургом/cтоматологом-ортопедом
бесплатно
Записаться на прием
Оставьте свои данные для записи в стоматологию Дентал-Сервис и мы вам перезвоним для уточнения деталей приема
Акции и выгодные предложения
Смотреть все
Меняем старую коронку на новую
Обновите улыбку выгодно!
Реклама ООО "Дентал-Сервис Бердск" ИНН 544525957 erid: 2Vfnxy9YgNn

26 марта-30 июня 2026
–25% на имплантацию Medentika
Выгодная имплантация с коронкой под ключ.
Реклама ООО "Дентал-Сервис Бердск" ИНН 544525957, erid: 2VfnxvYtZ6R
3 декабря 2025-30 июня 2026
Профессиональная гигиена зубов с фторированием
Реклама ООО "Дентал-Сервис Бердск" ИНН 544525957, erid: 2Vfnxxcdr8R
13 марта-30 июня 2026
Бесплатная консультация ортопеда
Оптимальные решения для восстановления зубов
Реклама ООО "Дентал-Сервис Бердск" ИНН 544525957, erid: 2Vfnxxdk1Zi
1 сентября 2025-30 июня 2026
Бесплатная консультация по имплантации и КТ
Вернем здоровье и красоту вашей улыбки!
Реклама ООО "Дентал-Сервис Бердск" ИНН 544525957, erid: 2VfnxwD8CRn

20 августа 2025-30 июня 2026
Удаление зубов со скидкой до 30% — нежно и легко
На все виды удаления зубов у взрослых.
Реклама ООО "Дентал-Сервис Бердск" ИНН 544525957 erid:2VfnxvsdHCc

15 октября 2025-30 июня 2026
Лечение кариеса по фиксированной цене
Независимо от количества пораженных поверхностей.
Реклама ООО "Дентал-Сервис Бердск" ИНН 544525957, erid: 2VfnxvbSeZf
1 ноября 2025-30 июня 2026
Фиксированная цена на лечение кариеса у детей
4 500 руб. — независимо от количества пораженных поверхностей.
Реклама ООО "Дентал-Сервис Бердск" ИНН 544525957, erid: 2VfnxyJbLSD
1 ноября 2025-30 июня 2026
Бесплатная консультация по винирам
Эстетическое протезирование для идеальной улыбки
Реклама ООО "Дентал-Сервис Бердск" ИНН 544525957, erid: 2VfnxyWeQkq
6 февраля-30 июня 2026
Коронка со скидкой
–25%
На установку после эндодонтического лечения.
Реклама ООО "Дентал-Сервис Бердск" ИНН 544525957, erid: 2VfnxxigPWH
3 декабря 2025-30 июня 2026
Все акции Профессорской клиники на Николаева, 12/3
Лечение зубов со скидкой до 35%

1 декабря 2025-30 июня 2026
Консультация ортодонта и диагностика
Первый шаг к ровной улыбке.
Реклама ООО "Дентал-Сервис Бердск" erid: 2VfnxxFnBPQ
1 апреля-30 июня 2026
Скидка 50% на повторное КТ
На повторное исследование в течении года.
Реклама ООО "Дентал-Сервис Бердск" ИНН 544525957 erid:2VfnxvpfJdv
1 июня 2025-31 декабря 2026
Бесплатные уроки гигиены для детей
Научим правильно чистить зубы на веселом «Уроке гигиены».
Рассрочка на услуги
Предоставляем беспроцентную рассрочку до 12 мес. в Дентал-Сервис. Для оформления нужен только паспорт.
Cкидка 5% для многодетных семей
При предъявлении соответствующего удостоверения, подтверждающего данный статус.
Скидка до 15% участникам СВО
На все виды челюстно-лицевой хирургии и коррекцию рубцовых тканей.
15% скидка детям-инвалидам
Детям-инвалидам (до 18 лет) предоставляется скидка 15% на все виды лечения при предоставлении Справки МСЭ.
Накопительные скидки 3%, 5%, 7% и 10%
Предоставляются от суммы лечения 50 000 руб. Скидка действует для всех членов семьи.

Стоматология в Новосибирске — мы рядом

Клиники
Клиника на Блюхера, 30
Клиника на Блюхера, 30
Стоматологическая клиника общего профиля, расположена в Ленинском районе Новосибирска.
8:00 - 21:00 без выходных
14:00 - 15:00 обед
Остановки общественного транспорта
  • Космическая
  • Метро «Студенческая»
Станция метро
  • Метро «Студенческая»
Расписание работы
8:00 - 21:00 без выходных
14:00 - 15:00 обед
Клиника на Революции, 10
Клиника на Революции, 10
Стоматологическая клиника общего профиля, расположена на правом берегу в Центральном районе Новосибирска.
8:00-21:00 без выходных
14:00-15:00 обед
Остановки общественного транспорта
  • Консерватория
  • Центр (ул. Советская)
  • Театр «Красный факел»
  • Площадь Ленина
Станция метро
  • Площадь Ленина
Расписание работы
8:00-21:00 без выходных
14:00-15:00 обед
Клиника на Вокзальной, 50/1 (Бердск)
Клиника на Вокзальной, 50/1 (Бердск)
Стоматологическая клиника общего профиля, расположена рядом с Ж/Д вокзалом Бердска.
8:00-21:00 без выходных
14:00-15:00 обед
Остановки общественного транспорта
  • Ближайшие остановки общественного транспорта: Вокзал
  • Остановка пригородных электропоездов направления Юг: Бердск
Расписание работы
8:00-21:00 без выходных
14:00-15:00 обед
Детская клиника на Ленина, 17
Детская клиника на Ленина, 17
Специализированная детская стоматологическая клиника, расположена на правом берегу в Железнодорожном районе Новосибирска.
8:00-21:00 без выходных
14:00-15:00 обед
Остановки общественного транспорта
  • Консерватория
  • Центр (ул. Советская)
  • Театр «Красный факел»
  • Площадь Ленина
Станция метро
  • Площадь Ленина
Расписание работы
8:00-21:00 без выходных
14:00-15:00 обед
Клиника хирургии лица и стоматологии на Сакко и Ванцетти, 77
Клиника хирургии лица и стоматологии на Сакко и Ванцетти, 77
Клиника хирургии лица и стоматологии, расположена в Октябрьском районе Новосибирска в здании MedPark на 4 этаже.
8:00-21:00 без выходных
14:00-15:00 обед
Остановки общественного транспорта
  • ГПНТБ
  • Метро «Октябрьская»
Станция метро
  • Октябрьская
Расписание работы
8:00-21:00 без выходных
14:00-15:00 обед
Клиника на Гребенщикова, 1 (Родники)
Клиника на Гребенщикова, 1 (Родники)
Стоматологическая клиника общего профиля, расположена в микрорайоне Родники.
8:00-21:00 без выходных
14:00-15:00 обед
Остановки общественного транспорта
  • ТК Лента (ж/м Родники)
  • Михаила Немыткина
Станция метро
  • Заельцовская
Расписание работы
8:00-21:00 без выходных
14:00-15:00 обед
Клиника на Дуси Ковальчук, 252/1
Клиника на Дуси Ковальчук, 252/1
Стоматологическая клиника общего профиля, расположена на площади Калинина в Заельцовском районе Новосибирска. Располагается на 2 этаже.
8:00-21:00 без выходных
14:00-15:00 обед
Остановки общественного транспорта
  • Магазин «Уют»
  • Магазин «Чемпион»
Станция метро
  • Заельцовская
Расписание работы
8:00-21:00 без выходных
14:00-15:00 обед
Клиника на Никольском проспекте, 1 (Кольцово)
Клиника на Никольском проспекте, 1 (Кольцово)
Стоматологическая клиника общего профиля, расположена в наукограде Кольцово. Вход через БЦ Кольцово, этаж 2.
8:00-21:00 без выходных
14:00-15:00 обед
Остановки общественного транспорта
  • Вознесенская
  • Торговый Центр
  • Поселковый совет
Станция метро
  • Речной Вокзал
Расписание работы
8:00-21:00 без выходных
14:00-15:00 обед
Клиника на Героев Труда, 4 (Академгородок)
Клиника на Героев Труда, 4 (Академгородок)
Стоматологическая клиника общего профиля, расположена в новосибирском Академгородке
8:00-21:00 без выходных
14:00-15:00 обед
Остановки общественного транспорта
  • Сеятель
  • Проспект Строителей
  • Героев Труда
  • Остановка пригородных электропоездов: Сеятель
Расписание работы
8:00-21:00 без выходных
14:00-15:00 обед
Профессорская клиника на Николаева, 12/3 (Академгородок)
Профессорская клиника на Николаева, 12/3 (Академгородок)
Стоматологическая клиника общего профиля, расположена в новосибирском Академгородке. Располагается в Медпарке, этаж 2.
8:00-21:00 без выходных
14:00-15:00 обед
Остановки общественного транспорта
  • Технопарк
  • Инженерная
Расписание работы
8:00-21:00 без выходных
14:00-15:00 обед
Клиника на пл. Карла Маркса, 1
Клиника на пл. Карла Маркса, 1
Стоматологическая клиника общего профиля в центре левого берега. Расположена в здании ГУМа, этаж 5.
8:00-21:00 без выходных
14:00-15:00 обед
Остановки общественного транспорта
  • Площадь Маркса
  • ГУМ
  • Ватутина
  • Метро Площадь Маркса
  • Покрышкина
Станция метро
  • Метро «Площадь Маркса»
Расписание работы
8:00-21:00 без выходных
14:00-15:00 обед