Записаться
Нас не сломить
Травма зуба — не повод его потерять. Восстановим сломанный зуб, приживим выбитый. Зуб продолжит расти и развиваться! Сохранение нерва травмированного зуба — высший пилотаж, наш эксклюзив.
от 6 500 руб.
0-18 лет
Сломанный детский зуб
Отломанный фрагмент зуба
Выбитый зуб

Спасение травмированного зуба

Травма зуба у ребенка — дело обычное: как минимум треть детей в период сменного прикуса (7–18 лет) ломают или даже полностью выбивают и молочные, и постоянные зубы во время активных игр или занятий спортом. А вот вернуть к жизни травмированный зуб, как будто ничего и не случилось, — дело очень даже необычное. Скажем прямо, просто удивительное! Стандартная тактика стоматологов в подобной ситуации: удалить сломанный зуб или удалить нерв — депульпировать (что, по сути, тоже означает потерю зуба, только несколько отсроченную). За тридцать лет мы в Дентал-Сервис спасли тысячи сломанных зубов и можем с уверенностью сказать: травма зуба — не приговор. Самое главное, если в кратчайший срок провести лечение, в большинстве случаев зуб останется живым!

Почему детские зубы особенно подвержены травмам

Дети — существа чрезвычайно бегучие и прыгучие. Даже теоретически возможностей получить травму или выбить зуб у них больше, чем у взрослых. Как правило, ребенок ломает зуб во время занятий спортом или подвижных игр. Чтобы защитить зубы от удара, мы рекомендуем использовать шлем (он обязательно должен иметь защиту подбородка) или капу (приспособление из гибкой пластмассы, надевается на зубы). Капу можно заказать в наших клиниках.

Молочный зуб

Молочные зубки имеют более тонкую эмаль и дентин, чем постоянные зубы. Это делает их менее прочными и более подверженными разрушению при механическом воздействии даже у годовалых малышей.

Свежепрорезавшийся постоянный зуб

Такой зуб очень хрупкий. У него тонкий слой твердых тканей (эмаль и дентин) и огромный нерв. После появления зубу требуется еще несколько лет, чтобы «дозреть». Взрослый зуб имеет другое строение: слой эмали толще в три-четыре раза, объем пульпы меньше в два раза. Созревший, сформировавшийся зуб существенно прочнее и устойчивей на слом, чем подростковый.

Зубной экстрим

Как правило, травмы зубов ребенок получает во время занятий спортом.
Чтобы защитить зубы, используйте шлем и капу.

Сломался зуб! Что делать?

Действуйте быстро! Чем меньше времени прошло с момента травмы, тем больше вероятность сохранить зуб. Большая удача, если вам удалось найти осколок зуба! Хотя современные материалы позволяют добиваться поразительно точных имитаций, лучший способ вернуть зубу первоначальный вид и прочность — это фиксация отломленного фрагмента.

  1. Успокойтесь сами, успокойте ребенка. Если необходимо, дайте ребенку обезболивающее по возрасту.

  2. Постарайтесь найти выбитый зуб (или осколок), промойте его и положите в жидкость: физраствор (натрия хлорид — продается в аптеке), молоко, в крайнем случае, в воду.

  3. Звоните нам: +7 (383) 308-00-00! Даже при полной занятости врач выделит время для осмотра, оказания неотложной помощи и рекомендаций.

Чего точно делать нельзя:

  • Паниковать — все переживания родителей передаются детям.
  • Прикладывать теплое/холодное к щеке в области поврежденного зуба. Тепло может усилить кровотечение и воспаление.
  • Заниматься самолечением, обрабатывать поврежденный зуб перекисью или спиртом, а также давать обезболивающие, которые не соответствуют возрасту и дозировкам.
  • Лезть пальцами к месту повреждения зуба — это может занести инфекцию.
  • Чистить зубы и давать ребенку твердую пищу, которая может дополнительно повредить зуб или слизистую оболочку рта.

А может оставить все как есть?

Риск удаления зуба

Если от постоянного зуба отломился кусочек (эмаль откололась и обнажился дентин), то такой сколотый зуб необязательно болит! Но если дентин не закрыть, в него неизбежно попадет инфекция, начнется воспалительный процесс. Разрушив тонкий слой дентина, бактерии перейдут в пульпу — это пульпит, который быстро перейдет в периодонтит, что в итоге приведет к разрушению костной ткани, то есть к потере зуба.

Риск перемещения зубного ряда

Если травмированный незрелый зуб депульпировать, он останется хрупким и срок службы его будет недолгим. Если такой зуб удалить, соседние с ним зубы начнут перемещаться в сторону вакантного места, что приведет к нарушению прикуса, щелям в зубном ряду, потере костной ткани, деформации лицевого скелета и нарушению артикуляции. Ставить же имплантат в таком случае возможно лишь не ранее 18 лет, но к тому времени костная ткань в этом месте уже рассосется, для имплантации потребуется ее восстановление.

Ищем сокровища

Большая удача, если вам удалось найти осколок зуба!
Хотя современные материалы позволяют добиваться поразительно точных имитаций, лучший способ вернуть зубу первоначальный вид и прочность — это фиксация отломленного фрагмента.


Спасаем сломанный молочный зуб

1

Оцениваем состояние зачатка постоянного зуба

Врач стремится в первую очередь сохранить зачаток постоянного зуба, который в результате травмы молочного зуба у ребенка может серьезно пострадать. Если есть угроза для зачатка, молочный зуб придется удалить.

2

Выполняем снимок

Врач сделает прицельный снимок по показаниям, чтобы оценить ситуацию “изнутри” и проверить состояние зачатка постоянного зуба. При более серьезной травме и если есть подозрение на то, что сломана кость, мы сделаем КТ.

3

Восстанавливаем молочный зуб

Если повреждения незначительны, молочный зуб восстанавливаем композитной реставрацией или коронкой. Если же травма имеет серьезный характер, то молочный зуб будет удален. Отсутствие даже одного зуба приводит к неправильному развитию всей челюсти, поэтому пациент будет передан ортодонту, чтобы подстраховать пустое пространство до появления постоянного зуба.

4

Плановый осмотр

Врач наблюдает, как ведет себя зуб, при необходимости повторяет снимки.

Спасаем сломанный постоянный зуб

1

Оцениваем состояние пульпы зуба врачом

Если пульповая камера зуба вскрыта, оперативное лечение зуба приведет к успешной реабилитации зуба. Если пульпу сохранить не удалось, попробуем вырастить ее заново! Используем технологию реваскуляризации.

2

Делаем снимок

Если травма постоянного зуба у ребенка незначительна, то достаточно прицельного снимка, чтобы убедиться, что пульпа сохранена. Более серьезная ситуация требует проведения КТ.

3

Восстанавливаем зуб

Наша самая главная задача — сохранить постоянный зуб и кость, чтобы ребенок мог пользоваться им всю жизнь или хотя бы поставить имплантат (с 21 года). Для этого мы используем различные технологические методики, среди которых — восстановление недостающей части зуба композитной реставрацией (пломбой) или вкладкой. Это прочная и долговечная композитная пломба, которая изготавливается в зуботехнической лаборатории. После примерки зафиксируем вкладку на зубе.

4

Плановый осмотр

После лечения важно приходить на профосмотр для контроля состояния зуба.

А если зуб выломан? Возможные сценарии


Молочный зуб

Если выломан молочный зуб, его придется удалить.

Постоянный зуб

Если частично вывихнут постоянный зуб, но при этом он остался в лунке, врач вставит его, зафиксирует (наложит шину), даст рекомендации. Иногда в подобных случаях возможно сохранение нерва.

Если же зуб выбит полностью, врач вставит его в лунку — проведет реплантацию. Спасти пульпу в такой ситуации, к сожалению, уже невозможно.

Процент приживления зуба есть и это существенно лучший результат, чем потеря постоянного зуба в столь юном возрасте.


Способы сохранить место для постоянного зуба

Если постоянный зуб еще не успел прорезаться, а молочный был потерян слишком рано, важно не допустить смещения соседних зубов. Иначе постоянному зубу просто не хватит места — и это может привести к неправильному прикусу.

Установка держателя пространства

Если есть риск, что соседние зубы «съедут» на место удаленного молочного зуба, наши ортодонты устанавливают специальную конструкцию — надежный держатель пространства. Он фиксирует зубы в правильном положении и создает постоянному зубу идеальные условия для прорезывания. Это наиболее эффективный способ сохранить место сейчас и избежать серьезных проблем позже.

udergivateli.png

Ношение заместительной пластинки

При продолжительном отсутствии нескольких зубов нарушается дикция; формируется неправильный прикус; снижается самооценка.

Всех этих проблем можно избежать, если ребенок носит заместительную пластинку. Съемная пластмассовая конструкция, которая крепится на челюсти металлическими крючками.

plastinki.png

Как ни в чем не бывало!
После короткого периода адаптации дети носят протез или расширитель с удовольствием. Они разговаривают, едят и смеются так же непринужденно, как с родными зубами.
Записаться на консультацию

Лечение травмы зуба у детей в Дентал-Сервис. Почему?

Врачи — эксперты по травме зуба

Мы успешно проводим операции по сохранению жизнеспособности зуба при условии сколов, сломанных зубов и вывихов.

Беремся за сложные и экстренные случаи

Оперативно принимаем малышей и выбираем метод спасения, чтобы максимально сохранить свои зубки на всю жизнь.

Используем “взрослые” технологии

В арсенале наших врачей огромное количество инструментов для максимального спасения зуба: детские коронки, полировка острых краев, наращивание композитным материалом, реплантация, реваскуляризация, реставрация передних зубов, реконструкции с помощью обломков зуба.

Спасаем прикус, дикцию и самооценку

Если так вышло, что в зубном ряду не хватает нескольких зубов и требуется съемный протез или удерживатель пространства — мы изготовим его в своей зуботехнической лаборатории.

С детьми — на одной волне

Наши врачи убеждены: с детьми, прежде всего, нужно уметь устанавливать доверительные отношения. И только потом — лечить.

Признание и доверие маленьких пациентов нам очень дороги. Мы обеспечиваем психологический комфорт маленьких пациентов, чтобы лечение травмы зуба проходило без страха и стресса.

Бережное лечение во сне

Современные технологии расслабления — седация и наркоз — отличная возможность провести качественное лечение, если ребенок испытывает страх перед лечением зубов.

Седация помогает успокоиться и расслабиться во время лечения. Наркоз позволит пролечить все зубки за один прием безопасно и безболезненно.

Клинические случаи маленьких пациентов

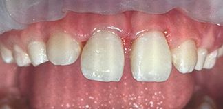
До лечения

Жалоба на отколовшийся зуб.

Как лечили

Проведена реставрация фронтального зуба.

До лечения

Жалоба на травму зуба.

Как лечили

Зуб восстановлен собственным отломком, зафиксированным с помощью композитного материала.

До лечения

Жалоба на травму передних зубов.

Как лечили

Проведена реставрация фронтальных зубов композитным материалом.
Лечение прошло в 1 посещение.

До лечения

Жалоба на травму зуба. Пациенту 17 лет.

Как лечили

Проведена экструзия (вытягивание) зуба из кости. Пролечен зуб и установлена временная коронка на 1 год, после фиксация постоянной.

До лечения

Жалоба на сломанную коронку на зубе из-за травмы.
Пациенту 2 года.

Как лечили

Под наркозом пролечен пульпит передних зубов, установлены коронки.
Лечение прошло в 1 посещение.

До лечения

Жалоба на отколовшийся зуб.
Пациенту 8 лет.

Как лечили

Проведена лучевая диагностика. Зафиксирован осколок зуба на композит.
Лечение прошло в 1 посещение.

До лечения

Выбил два передних зуба на футболе.
Пациенту 9 лет.

Как лечили

Репозиция зубов в лунки, шинирование на две недели. Динамичное наблюдение, рентген контроль. Проведено эндодонтическое лечение переднего зуба.
Лечение проведено в течение одного месяца.

До лечения

Пришли с жалобой на травму зуба.
Пациенту 12 лет.

Как лечили

Возвратили зуб в лунку согласно анатомическому положению. Наложена мягкая проволочная шина для фиксации зуба. Через 14 дней эндодонтическое лечение. Осмотр через 2 месяца показал полное восстановление зуба.
Лечение проведено в течение двух недель.

До лечения

Жалобы на темный цвет переднего зуба и его подвижность после травмы.
Пациенту 13 лет.

Как лечили

Для лечения перелома корня проведено эндодонтическое лечение, поставлена временная пломба с гидроокисью. Герметично заполнен корневой канал и проведена реставрация зуба.
Лечение проведено за два визита.

До лечения

Пришли с травмой зуба и жалобами на боль во время приема сладкого и холодного.
Пациенту 9 лет.

Как лечили

Удален осколок зуба и проведена частичная пульпотомия, зуб закрыли временной пломбой. Далее проведена экструзия зуба на 2-3 мм выше десневого края и после проведена фиксация осколков зуба.
Лечение проведено за три визита.

До лечения

Пришли с травмой переднего зуба.
Пациенту 17 лет.

Как лечили

Проведена реставрация фронтального зуба под местной анестезией.
Лечение проведено за один визит.

Отзывы мам и пап о лечении травмы зубов у детей в Дентал-Сервис

М ВК
27.04.2026
Хочу поблагодарить Недосвятий Светлану Викторовну и ассистента Дарью за спасение улыбки моего ребёнка! После травмы мы остались без двух передних зубов, но благодаря ювелирной работе Светланы Викторовны под микроскопом всё удалось...
Яна Ч.
25.02.2026
Хотим выразить огромную благодарность детскому врачу-стоматологу Дроздовой Валерии Николаевне!
Ситуация была критической: наш 9-летний ребенок получил серьезную травму переднего постоянного зуба. Мы объездили несколько клини...
Екатерина Бухтиярова
25.05.2025
Очень рекомендую данную клинику,24 мая ребёнок упал и выбил постоянный зуб, нам 6 лет и в таком возрасте лешится переднего зуба очень печально, поясню очень много клиник обзвонили, по скольку уже и рабочий день подходил к концу вс...
Пациент
26.03.2025
Хочу выразить огромную благодарность Александру Витальевичу. Экстренно обратились с травмой зубов у ребенка. С самого начала обращения атмосфера в кабинете была спокойной и доброжелательной, что помогло успокоиться, насколько это ...
Наталья Терловая
14.12.2024
Были на приеме у Дарьи Аркадьевны, остались очень довольны. Врач приняла нас в конце своего рабочего дня. Вечером у ребёнка случилась травма, врач не отказала в приеме, вошла в наше положение. Осмотрела очень внимательно ребёнка. ...
Наталья Кузьмина
01.09.2024
Хочу сказать спасибо врачу Галич Александру Витальевичу, сегодня ходили с дочерью на прием. Сломался передний постоянный зуб.
Зуб как новенький!!! Приняли в это же день. Вы профессионал своего дела. Очень благодарна, Вы спа...
Александра Захарова
16.08.2024
Я уже столько благодарности и писала, и говорила. Лечу дочке зубки с 2,5 лет. Сейчас ребенку 9. Первый раз лечили под наркозом, была сложная ситуация, в обычной больнице нам предложили только посеребрить. Здесь нам и восстановили ...
Пациент
23.04.2024
Обратились по поводу тяжёлого клинического случая: у дочери травма первого резца в раннем возрасте. После непростых манипуляций удалось зуб сохранить, реставрировать. Болевые ощущения остались позади. Эстетически восстановленный з...
Пациент
22.04.2024
Лечили зубки сыну, во сне, 2 года! Врач Грыдина Ульяна творит чудеса. Я больше переживала, но все прошло идеально. Зубки полечили, сделали реставрацию, так как были сломаны. Мы остались очень-очень довольны. Спасибо большое, за пр...
П*ци*нт*+7*91*-4*XX*XX
01.04.2024
Понравилось: Все. :) История пациента: Отзыв о докторе Обносова Л. И. Хочу выразить огромную благодарность Любови Игоревне за профессиональную помощь. У сына случилась травма, сломал два передних постоянных зуба. В муниципальн...
Пациент
01.04.2024
Понравилось: Все. :) Отзыв о докторе Обносова Л. И. Хочу выразить огромную благодарность Любови Игоревне за профессиональную помощь. У сына случилась травма, сломал два передних постоянных зуба. В муниципальной клин...
Юлия Мишенина
23.02.2024
Первый раз сегодня ремонтировали ребенку(7лет) зуб, скажу что это самый прекрасный первый опыт, спасибо огромное Ольге Борисовне, очень понравилось как она контактирует с ребенком во время процедуры!Ребенок вышел с улыбкой...
Заполните форму
Данные пациента
Выбрать врача и специализацию

    Часто задаваемые вопросы

    Зачем реставрировать молочные зубы?

    Молочные зубы играют важную роль в формировании прикуса, развитии постоянных зубов и общем здоровье полости рта. Поэтому важно сохранить их в целости и сохранности до полной смены. Реставрация позволяет избежать неправильного прикуса, обеспечивает психологический комфорт ребенка и защищает зуб от инфекций, в случае, если он разрушен до самого дентина.

    Что за технология реваскуляризация?

    Если в результате травмы зуба пульпу сохранить не удалось, попробуем… вырастить ее заново! Коротко технологию реваскуляризации можно описать так. Каналы зуба тщательно очищают, стерилизуют, наполняют специальным лекарством и собственными клетками пациента (клетками крови) и затем запечатывают. По истечении нескольких месяцев в каналах образуется пульпоподобная ткань, которая полноценно выполняет роль пульпы. КТ-снимки фиксируют, что зуб продолжает развитие, формируются корни, утолщается эмаль и дентин.

    Что такое вкладка зуба?

    Это прочная и долговечная композитная пломба, которая изготавливается в зуботехнической лаборатории. После снятия оттиска с зуба, зубной техник изготовит вкладку в точном соответствии с прикусом, добиваясь идеального прилегания к зубам-антагонистам, воссоздаст правильные контактные пункты, что очень важно и для жевания, и для работы височно-нижнечелюстного сустава. В процессе обжига вкладка приобретает прочность.

    Детские коронки — такие бывают?

    Да, детские коронки существуют и активно применяются в стоматологиях Дентал-Сервис для защиты и восстановления зубов у детей. Они отличаются от взрослых коронок размером, материалом и дизайном, чтобы соответствовать особенностям детских зубов и обеспечивать комфорт и безопасность ребенка. Для наших маленьких пациентов коронки изготавливают в нашей собственной зуботехнической лаборатории, что обеспечивает оперативность и высокое качество.

    Как самостоятельно вставить выбитый зуб?

    Реплантация — это процедура, при которой постоянный зуб в результате травмы был удален из лунки, но был возвращен туда обратно. Реплантация может быть выполнена на постоянных зубах. Репозиция возвращает зуб в нормальное положение после его смещения или вывиха.

    Обе эти техники активно применяются нашими детскими стоматологами… и смелыми мамами, что может только усугубить ситуацию. Поэтому мы крайне не рекомендуем самостоятельно “возвращать” зуб, а обратиться к специалисту.

    Что делать если осколок зуба не удалось найти?

    Если при травме осколок зуба не удалось найти, необходимо как можно скорее обратиться к стоматологу. Врач проведет осмотр и в зависимости от степени травмы предложит такие методы восстановления зуба, как пломбирование или установка коронки.

    Супертехнологии
    Челюстно-лицевая хирургия
    Дентал-Сервис – это не только стоматология. В 2017 году мы открыли Клинику хирургии лица, в которой помогаем пациентам с диагнозами из смежных областей – от тяжелых аномалий прикуса до последствий травм тканей лица.
    Подробнее
    Челюстно-лицевая хирургия
    Лечение под микроскопом
    100% микроскопизация — глобальный вектор компании. В нашей команде более 60 микроскопистов, аналогов в России нет. Все терапевтическое лечение — от кариеса до каналов — мы проводим с микроскопом.
    Подробнее
    Лечение под микроскопом
    Лечение детей под наркозом
    В Дентал-Сервис можно спать спокойно! Безопасность и качество лечения под наркозом в наших клиниках отвечают самым высоким требованиям, а анестезиологи — суперпрофессионалы с огромным опытом. За двенадцать лет мы провели более 10000 лечений — у детей и взрослых.
    Подробнее
    Лечение детей под наркозом
    Эстетическая стоматология
    Эстетическая стоматология — наша гордость. Колоссальный опыт, художественное чутье, передовые технологии и работа в команде — вот секреты мастеров, возрождающих шедевр вашей улыбки.
    Подробнее
    Эстетическая стоматология
    Имплантация зубов
    Ставим имплантаты всерьез и надолго. Готовы помочь даже в самых сложных клинических случаях и делаем все, чтобы новые зубы стали полноценной, долговечной заменой утраченным.
    Подробнее
    Имплантация зубов
    АДУЕВА
    АДУЕВА Дарья Вячеславовна
    Врач-стоматолог
    Клиника на Гребенщикова, 1 (Родники)
    Записаться

    Мы предлагаем вам ознакомиться с общим графиком работы врача на месяц. Пожалуйста, обратите внимание, что доступные слоты для записи не указаны. Чтобы узнать свободное время для записи, пожалуйста, свяжитесь с нашим контактным центром. Наши операторы с радостью помогут вам!

    Выбрано для предварительной записи:
    АЛЕКСЕЕВА
    АЛЕКСЕЕВА Наталья Эдуардовна
    Детский стоматолог
    Клиника на Вокзальной, 50/1 (Бердск)
    Записаться

    Мы предлагаем вам ознакомиться с общим графиком работы врача на месяц. Пожалуйста, обратите внимание, что доступные слоты для записи не указаны. Чтобы узнать свободное время для записи, пожалуйста, свяжитесь с нашим контактным центром. Наши операторы с радостью помогут вам!

    Выбрано для предварительной записи:
    БАСАЛАЕВА
    БАСАЛАЕВА Валерия Сергеевна
    Врач-стоматолог
    Клиника на Гребенщикова, 1 (Родники)

    Принимает еще в 1 клинике

    Записаться

    Мы предлагаем вам ознакомиться с общим графиком работы врача на месяц. Пожалуйста, обратите внимание, что доступные слоты для записи не указаны. Чтобы узнать свободное время для записи, пожалуйста, свяжитесь с нашим контактным центром. Наши операторы с радостью помогут вам!

    Выбрано для предварительной записи:
    БОЙКО
    БОЙКО Оксана Александровна
    Детский стоматолог
    Клиника на Героев Труда, 4 (Академгородок)
    Записаться

    Мы предлагаем вам ознакомиться с общим графиком работы врача на месяц. Пожалуйста, обратите внимание, что доступные слоты для записи не указаны. Чтобы узнать свободное время для записи, пожалуйста, свяжитесь с нашим контактным центром. Наши операторы с радостью помогут вам!

    Выбрано для предварительной записи:
    БЫКОВА
    БЫКОВА Мария Евгеньевна
    Детский стоматолог
    Детская клиника на Ленина, 17
    Записаться

    Мы предлагаем вам ознакомиться с общим графиком работы врача на месяц. Пожалуйста, обратите внимание, что доступные слоты для записи не указаны. Чтобы узнать свободное время для записи, пожалуйста, свяжитесь с нашим контактным центром. Наши операторы с радостью помогут вам!

    Выбрано для предварительной записи:
    ВОЗГРИНА (ЖАРКОВА)
    ВОЗГРИНА (ЖАРКОВА) Арина Дмитриевна
    Врач-стоматолог
    Клиника на пл. Карла Маркса, 1
    Записаться

    Мы предлагаем вам ознакомиться с общим графиком работы врача на месяц. Пожалуйста, обратите внимание, что доступные слоты для записи не указаны. Чтобы узнать свободное время для записи, пожалуйста, свяжитесь с нашим контактным центром. Наши операторы с радостью помогут вам!

    Выбрано для предварительной записи:
    ГАЛИЧ
    ГАЛИЧ Александр Витальевич
    Врач-стоматолог
    Клиника на пл. Карла Маркса, 1
    Записаться
    Выбрано для предварительной записи:
    ГОРБАЧЕВА
    ГОРБАЧЕВА Ксения Валерьевна
    Детский стоматолог
    Ведущий специалист
    Главный врач Клиники на Гребенщикова, 1
    Клиника на Гребенщикова, 1 (Родники)
    Записаться

    Мы предлагаем вам ознакомиться с общим графиком работы врача на месяц. Пожалуйста, обратите внимание, что доступные слоты для записи не указаны. Чтобы узнать свободное время для записи, пожалуйста, свяжитесь с нашим контактным центром. Наши операторы с радостью помогут вам!

    Выбрано для предварительной записи:
    ГРАКОВИЧ
    ГРАКОВИЧ Эльвира Николаевна
    Детский стоматолог
    Ведущий специалист
    Клиника на пл. Карла Маркса, 1

    Принимает еще в 1 клинике

    Записаться

    Мы предлагаем вам ознакомиться с общим графиком работы врача на месяц. Пожалуйста, обратите внимание, что доступные слоты для записи не указаны. Чтобы узнать свободное время для записи, пожалуйста, свяжитесь с нашим контактным центром. Наши операторы с радостью помогут вам!

    Выбрано для предварительной записи:
    ГРЫДИНА (СОЛОГУБОВА)
    ГРЫДИНА (СОЛОГУБОВА) Ульяна Олеговна
    Детский стоматолог
    Клиника на Вокзальной, 50/1 (Бердск)
    Записаться

    Мы предлагаем вам ознакомиться с общим графиком работы врача на месяц. Пожалуйста, обратите внимание, что доступные слоты для записи не указаны. Чтобы узнать свободное время для записи, пожалуйста, свяжитесь с нашим контактным центром. Наши операторы с радостью помогут вам!

    Выбрано для предварительной записи:
    ДЕЕВА (ОБНОСОВА)
    ДЕЕВА (ОБНОСОВА) Любовь Игоревна
    Врач-стоматолог
    Клиника на Гребенщикова, 1 (Родники)
    Записаться

    Мы предлагаем вам ознакомиться с общим графиком работы врача на месяц. Пожалуйста, обратите внимание, что доступные слоты для записи не указаны. Чтобы узнать свободное время для записи, пожалуйста, свяжитесь с нашим контактным центром. Наши операторы с радостью помогут вам!

    Выбрано для предварительной записи:
    ДОБРЫГИНА (НИКОЛАЕВА)
    ДОБРЫГИНА (НИКОЛАЕВА) Анна Александровна
    Врач-стоматолог
    Клиника на пл. Карла Маркса, 1
    Записаться

    Мы предлагаем вам ознакомиться с общим графиком работы врача на месяц. Пожалуйста, обратите внимание, что доступные слоты для записи не указаны. Чтобы узнать свободное время для записи, пожалуйста, свяжитесь с нашим контактным центром. Наши операторы с радостью помогут вам!

    Выбрано для предварительной записи:
    ДОЛГОПОЛОВА
    ДОЛГОПОЛОВА Светлана Олеговна
    Врач-стоматолог
    Клиника на пл. Карла Маркса, 1
    Записаться

    Мы предлагаем вам ознакомиться с общим графиком работы врача на месяц. Пожалуйста, обратите внимание, что доступные слоты для записи не указаны. Чтобы узнать свободное время для записи, пожалуйста, свяжитесь с нашим контактным центром. Наши операторы с радостью помогут вам!

    Выбрано для предварительной записи:
    ДРОЗДОВА
    ДРОЗДОВА Валерия Николаевна
    Детский стоматолог
    Ведущий специалист
    Клиника на пл. Карла Маркса, 1
    Записаться

    Мы предлагаем вам ознакомиться с общим графиком работы врача на месяц. Пожалуйста, обратите внимание, что доступные слоты для записи не указаны. Чтобы узнать свободное время для записи, пожалуйста, свяжитесь с нашим контактным центром. Наши операторы с радостью помогут вам!

    Выбрано для предварительной записи:
    ДУДКИНА
    ДУДКИНА Венера Юрьевна
    Детский стоматолог
    Клиника хирургии лица и стоматологии на Сакко и Ванцетти, 77
    Записаться

    Мы предлагаем вам ознакомиться с общим графиком работы врача на месяц. Пожалуйста, обратите внимание, что доступные слоты для записи не указаны. Чтобы узнать свободное время для записи, пожалуйста, свяжитесь с нашим контактным центром. Наши операторы с радостью помогут вам!

    Выбрано для предварительной записи:
    ДУДОЛАДОВА (БЕККЕР)
    ДУДОЛАДОВА (БЕККЕР) Александра Олеговна
    Врач-стоматолог
    Клиника хирургии лица и стоматологии на Сакко и Ванцетти, 77
    Записаться

    Мы предлагаем вам ознакомиться с общим графиком работы врача на месяц. Пожалуйста, обратите внимание, что доступные слоты для записи не указаны. Чтобы узнать свободное время для записи, пожалуйста, свяжитесь с нашим контактным центром. Наши операторы с радостью помогут вам!

    Выбрано для предварительной записи:
    ЕВПЛАНОВА
    ЕВПЛАНОВА Яна Викторовна
    Детский стоматолог
    Клиника на Героев Труда, 4 (Академгородок)
    Записаться

    Мы предлагаем вам ознакомиться с общим графиком работы врача на месяц. Пожалуйста, обратите внимание, что доступные слоты для записи не указаны. Чтобы узнать свободное время для записи, пожалуйста, свяжитесь с нашим контактным центром. Наши операторы с радостью помогут вам!

    Выбрано для предварительной записи:
    ИЗОТОВА Анастасия Сергеевна
    Детский стоматолог
    Клиника на Героев Труда, 4 (Академгородок)
    Записаться

    Мы предлагаем вам ознакомиться с общим графиком работы врача на месяц. Пожалуйста, обратите внимание, что доступные слоты для записи не указаны. Чтобы узнать свободное время для записи, пожалуйста, свяжитесь с нашим контактным центром. Наши операторы с радостью помогут вам!

    Выбрано для предварительной записи:
    КАРЛОВА (КАЛИНА)
    КАРЛОВА (КАЛИНА) Виктория Ивановна
    Детский стоматолог
    Детская клиника на Ленина, 17
    Записаться

    Мы предлагаем вам ознакомиться с общим графиком работы врача на месяц. Пожалуйста, обратите внимание, что доступные слоты для записи не указаны. Чтобы узнать свободное время для записи, пожалуйста, свяжитесь с нашим контактным центром. Наши операторы с радостью помогут вам!

    Выбрано для предварительной записи:
    КАХРАМАНОВА
    КАХРАМАНОВА Супхана Бинали Кзы
    Врач-стоматолог
    Клиника на Дуси Ковальчук, 252/1
    Записаться

    Мы предлагаем вам ознакомиться с общим графиком работы врача на месяц. Пожалуйста, обратите внимание, что доступные слоты для записи не указаны. Чтобы узнать свободное время для записи, пожалуйста, свяжитесь с нашим контактным центром. Наши операторы с радостью помогут вам!

    Выбрано для предварительной записи:
    КИРЮШИНА
    КИРЮШИНА Анна Витальевна
    Врач-стоматолог
    Профессорская клиника на Николаева, 12/3 (Академгородок)
    Записаться

    Мы предлагаем вам ознакомиться с общим графиком работы врача на месяц. Пожалуйста, обратите внимание, что доступные слоты для записи не указаны. Чтобы узнать свободное время для записи, пожалуйста, свяжитесь с нашим контактным центром. Наши операторы с радостью помогут вам!

    Выбрано для предварительной записи:
    КОМАРОВСКАЯ
    КОМАРОВСКАЯ Юлия Александровна
    Детский стоматолог
    Детская клиника на Ленина, 17
    Записаться

    Мы предлагаем вам ознакомиться с общим графиком работы врача на месяц. Пожалуйста, обратите внимание, что доступные слоты для записи не указаны. Чтобы узнать свободное время для записи, пожалуйста, свяжитесь с нашим контактным центром. Наши операторы с радостью помогут вам!

    Выбрано для предварительной записи:
    КРАВЕЦ (БУРДАКОВА)
    КРАВЕЦ (БУРДАКОВА) Дарья Владимировна
    Врач-стоматолог
    Клиника на пл. Карла Маркса, 1
    Записаться

    Мы предлагаем вам ознакомиться с общим графиком работы врача на месяц. Пожалуйста, обратите внимание, что доступные слоты для записи не указаны. Чтобы узнать свободное время для записи, пожалуйста, свяжитесь с нашим контактным центром. Наши операторы с радостью помогут вам!

    Выбрано для предварительной записи:
    КУДЕЕВА
    КУДЕЕВА Диана Дмитриевна
    Врач-стоматолог
    Детская клиника на Ленина, 17
    Записаться

    Мы предлагаем вам ознакомиться с общим графиком работы врача на месяц. Пожалуйста, обратите внимание, что доступные слоты для записи не указаны. Чтобы узнать свободное время для записи, пожалуйста, свяжитесь с нашим контактным центром. Наши операторы с радостью помогут вам!

    Выбрано для предварительной записи:
    НАЗАРОВА (СПИРИДОНОВА)
    НАЗАРОВА (СПИРИДОНОВА) Александра Олеговна
    Врач-стоматолог
    Клиника на пл. Карла Маркса, 1
    Записаться
    Выбрано для предварительной записи:
    ПАСЕКА
    ПАСЕКА Дина Александровна
    Зубной врач
    Детская клиника на Ленина, 17
    Записаться

    Мы предлагаем вам ознакомиться с общим графиком работы врача на месяц. Пожалуйста, обратите внимание, что доступные слоты для записи не указаны. Чтобы узнать свободное время для записи, пожалуйста, свяжитесь с нашим контактным центром. Наши операторы с радостью помогут вам!

    Выбрано для предварительной записи:
    ПЕРМЯКОВА
    ПЕРМЯКОВА Алина Юрьевна
    Детский стоматолог
    Клиника на Героев Труда, 4 (Академгородок)
    Записаться

    Мы предлагаем вам ознакомиться с общим графиком работы врача на месяц. Пожалуйста, обратите внимание, что доступные слоты для записи не указаны. Чтобы узнать свободное время для записи, пожалуйста, свяжитесь с нашим контактным центром. Наши операторы с радостью помогут вам!

    Выбрано для предварительной записи:
    ПОТУРАЕВА
    ПОТУРАЕВА Юлия Михайловна
    Зубной врач
    Клиника на Вокзальной, 50/1 (Бердск)
    Записаться

    Мы предлагаем вам ознакомиться с общим графиком работы врача на месяц. Пожалуйста, обратите внимание, что доступные слоты для записи не указаны. Чтобы узнать свободное время для записи, пожалуйста, свяжитесь с нашим контактным центром. Наши операторы с радостью помогут вам!

    Выбрано для предварительной записи:
    РЖАННИКОВА
    РЖАННИКОВА Мария Константиновна
    Детский стоматолог
    Клиника на Никольском проспекте, 1 (Кольцово)
    Записаться

    Мы предлагаем вам ознакомиться с общим графиком работы врача на месяц. Пожалуйста, обратите внимание, что доступные слоты для записи не указаны. Чтобы узнать свободное время для записи, пожалуйста, свяжитесь с нашим контактным центром. Наши операторы с радостью помогут вам!

    Выбрано для предварительной записи:
    СИЛКИНА
    СИЛКИНА Анна Александровна
    Врач-стоматолог
    Детская клиника на Ленина, 17
    Записаться

    Мы предлагаем вам ознакомиться с общим графиком работы врача на месяц. Пожалуйста, обратите внимание, что доступные слоты для записи не указаны. Чтобы узнать свободное время для записи, пожалуйста, свяжитесь с нашим контактным центром. Наши операторы с радостью помогут вам!

    Выбрано для предварительной записи:
    ТИУНОВА
    ТИУНОВА Яна Евгеньевна
    Детский стоматолог
    Детская клиника на Ленина, 17
    Записаться

    Мы предлагаем вам ознакомиться с общим графиком работы врача на месяц. Пожалуйста, обратите внимание, что доступные слоты для записи не указаны. Чтобы узнать свободное время для записи, пожалуйста, свяжитесь с нашим контактным центром. Наши операторы с радостью помогут вам!

    Выбрано для предварительной записи:
    ТОРОХОВА
    ТОРОХОВА Кристина Евгеньевна
    Детский стоматолог
    Клиника на пл. Карла Маркса, 1
    Записаться

    Мы предлагаем вам ознакомиться с общим графиком работы врача на месяц. Пожалуйста, обратите внимание, что доступные слоты для записи не указаны. Чтобы узнать свободное время для записи, пожалуйста, свяжитесь с нашим контактным центром. Наши операторы с радостью помогут вам!

    Выбрано для предварительной записи:
    ТРЕМАСОВА
    ТРЕМАСОВА Ольга Борисовна
    Детский стоматолог
    Стоматолог-терапевт
    Ведущий специалист
    Детская клиника на Ленина, 17
    Записаться

    Мы предлагаем вам ознакомиться с общим графиком работы врача на месяц. Пожалуйста, обратите внимание, что доступные слоты для записи не указаны. Чтобы узнать свободное время для записи, пожалуйста, свяжитесь с нашим контактным центром. Наши операторы с радостью помогут вам!

    Выбрано для предварительной записи:
    УШАКОВА
    УШАКОВА Дарья Аркадьевна
    Врач-стоматолог
    Клиника на Никольском проспекте, 1 (Кольцово)
    Записаться

    Мы предлагаем вам ознакомиться с общим графиком работы врача на месяц. Пожалуйста, обратите внимание, что доступные слоты для записи не указаны. Чтобы узнать свободное время для записи, пожалуйста, свяжитесь с нашим контактным центром. Наши операторы с радостью помогут вам!

    Выбрано для предварительной записи:
    ЦЫРЕНЖАПОВА
    ЦЫРЕНЖАПОВА Диана Батомункуевна
    Врач-стоматолог
    Клиника на Никольском проспекте, 1 (Кольцово)
    Записаться

    Мы предлагаем вам ознакомиться с общим графиком работы врача на месяц. Пожалуйста, обратите внимание, что доступные слоты для записи не указаны. Чтобы узнать свободное время для записи, пожалуйста, свяжитесь с нашим контактным центром. Наши операторы с радостью помогут вам!

    Выбрано для предварительной записи:
    ШВЫДКАЯ
    ШВЫДКАЯ Анастасия Александровна
    Врач-стоматолог
    Клиника на Героев Труда, 4 (Академгородок)
    Записаться

    Мы предлагаем вам ознакомиться с общим графиком работы врача на месяц. Пожалуйста, обратите внимание, что доступные слоты для записи не указаны. Чтобы узнать свободное время для записи, пожалуйста, свяжитесь с нашим контактным центром. Наши операторы с радостью помогут вам!

    Выбрано для предварительной записи:
    Услуга
    Цена, руб.

    Лечение травмы зубов

    Шинирование группы зубов после травмы
    Ортодонтическое скрепление металлической проволокой
    от 6 500 руб.
    Репозиция зуба в лунку
    от 5 000 руб.
    Фиксация собственного осколка зуба на композитный материал
    Фиксация собственного осколка зуба на композитный материал
    от 6 100 руб.
    Наложение лечебной повязки при заболеваниях слизистой оболочки полости рта и пародонта в области одного зуба
    Внутриротовая перевязка
    от 1 700 руб.
    Наложение повязки при нарушении целостности кожных покровов
    Внеротовая перевязка
    от 1 700 руб.
    Первичная хирургическая обработка раны с наложением швов (легкая степень повреждения)
    от 5 800 руб.

    Рентгенодиагностика

    Компьютерная томография челюстно-лицевой области (две челюсти)
    Объемное (3D) компьютерное исследование челюстно-лицевой области — самый современный и высокоинформативный метод рентгенодиагностики
    от 4 200 руб.
    Компьютерная томография челюстно-лицевой области (сегмент)
    от 2 600 руб.
    Радиовизиография (снимок рентгеновский), 1 зуб
    от 850 руб.
    Пакет радиовизиографических снимков всей челюсти для детей
    от 2 800 руб.
    Пакет радиовизиографических снимков всей челюсти для детей при лечении под наркозом
    от 3 800 руб.

    Анестезиология

    Аппликационная анестезия
    от 550 руб.
    Инфильтрационная анестезия (одна карпула)
    от 1 300 руб.
    Проводниковая анестезия (одна карпула)
    от 1 300 руб.

    Лечение под наркозом

    Консультация врача-анестезиолога-реаниматолога
    от 2 000 руб.
    Медикаментозный сон (вводный наркоз + первый час + постнаркозное наблюдение)
    от 15 000 руб.
    Ингаляционный наркоз для краткосрочных вмешательств с использованием севорана (до 30 минут)
    от 9 200 руб.

    Лечение в седации

    Консультация врача-анестезиолога-реаниматолога
    При стоматологическом наркозе используется безопасный препарат севоран, он погружает человека в глубокий сон.
    от 2 000 руб.
    Ингаляционный наркоз с использованием закиси азота
    Расслабление с помощью успокаивающего газа, который подается через маску на носу. При этом пациент находится в сознании, общается с врачом, нормально дышит.
    от 3 600 руб.

    Цены на услуги стоматологии указаны базовые. Стоимость приема и лечения у ведущих специалистов выше от 20% до 50%.
    Цены на сайте не являются публичной офертой.