Записаться
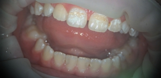
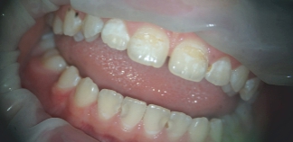
Клёвый смайл
Наконец-то — настоящая подростковая стоматология. Сохранить жизнеспособность незрелого постоянного зуба — это круто. Это Дентал-Сервис!
от 900 руб.
14-18 лет
Кариес, пульпит, периодонтит
Зуб сильно разрушен или отсутствует
Программы профилактики

Подростковая стоматология

Особенные. Непредсказуемые. С ними порой очень непросто. Это мы про подростков. И про подростковые зубы! Анатомия зуба с несформированными корнями заставляет цепенеть даже опытных терапевтов. Лечить каналы незрелого постоянного зуба — сложнейшая задача. Подростков «футболят» и взрослые стоматологи, и детские. Иногда лечат по протоколу зрелого — и это приводит к ранней потере зуба, а ведь имплантат можно ставить только с 18 лет. Мы изучили мировой опыт, систематизировали собственный и разработалисобственные стандарты лечения незрелых зубов подростка. Встречайте! Подростковая стоматология — редкое для Новосибирска, но одно из важнейших направлений стоматологии Дентал-Сервис.

Почему подростковая стоматология — отдельная тема

Они устроены иначе и потому очень уязвимы

Анатомия незрелого (подросткового) зуба сильно отличается от анатомии зрелого (взрослого) зуба. Огромная пульпа (нерв), а твердые ткани — эмаль и дентин — тонкие, проницаемые, слабоминерализованные. Отсюда и особенности протекания зубных болезней: кариес развивается стремительно (из-за уязвимости эмали) и быстро переходит в пульпит (пульпа очень близко). Так как слой твердых тканей тонкий, незрелые зубы очень хрупкие, подвержены травмам.

Фиссуры незрелого зуба глубокие, со скрытыми полостями — в них легко накапливается налет и быстро развивается кариес. Корни незрелого зуба короткие и широкие, стенки корней тонкие, поэтому такой зуб не способен выдерживать серьезную нагрузку. После прорезывания постоянному зубу требуется еще несколько лет, чтобы «дозреть».

Имплантат ставить нельзя

Еще один сценарий при запущенном пульпите зрелого постоянного зуба — это удаление (с последующей установкой имплантата). Но при лечении подростка удаление зуба — последнее, на что пойдет врач Дентал-Сервис. Ведь поставить имплантат можно будет только после 18 лет. А образовавшаяся в зубном ряду пустота приведет к появлению щелей, нарушению прикуса, деформации лицевого скелета и нарушению артикуляции. У подростков подобные смещения происходят особенно быстро.

И еще одна неприятная деталь. К моменту, когда можно будет ставить имплантат, костная ткань на месте удаления уменьшится в объеме, и для имплантации зуба потребуется серьезная операция по ее восстановлению.

Еще и мотивации нет

Часто родители считают, что подросток сам способен следить за состоянием зубов. Но, к сожалению, у ребят еще нет, как правило, осознанной мотивации тщательно ухаживать за зубами. Им «неприкольно» чистить их щеткой и флоссом (каждый день по два раза!), и они «забивают» на гигиену. Это приводит к быстрому развитию кариеса.

Часто подросток нерегулярно чистит зубы, у него развивается кариес, зубы болят, но он скрывает боль, пьет обезболивающее. Родители, к несчастью, узнают об этом последними. Подростки просто испытывают страх перед лечением.

«Ну и кто здесь самый умный?»

Зубы подростков (постоянные, но незрелые, с несформированными корнями) не берутся лечить ни взрослые стоматологи, ни детские. К ним нужен особый подход!


Стоматология для подростков Дентал-Сервис:
как мы лечим

Основная стратегическая цель врача Дентал-Сервис при работе с формирующимся зубом — сохранить его жизнеспособность и дать ему возможность «дозреть». Эмаль должна набрать толщину, а корни стать длинными и крепкими. Это возможно, только если в зубе останется нерв. Поэтому первое, что делает врач в случае подросткового пульпита или травмы зуба, — пытается сохранить живым нерв (пульпу), хотя бы его часть.

Сохраняем зуб живым

Врач использует специальные биосовместимые материалы, которые позволяют нерву выжить. В помощь ему — удивительная жизнеспособность тканей пульпы. Процессы регенерации в подростковом зубе протекают в разы интенсивнее, чем у зрелого зуба, и нередко пульпа восстанавливается даже после серьезной травмы. Такое восстановление происходит не самопроизвольно, а благодаря целенаправленным действиям врача.

Если пульпу сохранить не удалось

Если пульпа погибла, мы используем несколько технологий. Одна из них — реваскуляризация. Каналы зуба тщательно очищают, стерилизуют, наполняют специальным лекарством и собственными клетками пациента (клетками крови) и затем запечатывают. По истечении нескольких месяцев в каналах образуется пульпоподобная ткань, которая полноценно выполняет роль пульпы. КТ-снимки фиксируют, что зуб продолжает развитие, формируются корни, утолщается эмаль и дентин. За последние годы мы провели несколько десятков подобных операций по сохранению жизнеспособности зуба.

Подростковые коронки и вкладки

Традиционно коронки на зубы с несформированными корнями никто не устанавливает. Еще одно ноу-хау подростковой стоматологии Дентал-Сервис — это ортопедические конструкции — вкладки и коронки. Коронки и вкладки изготавливаются в зуботехнической лаборатории Дентал-Сервис из специальных материалов, подходящих для незрелого зуба.

Преимущества лечения подростков в Дентал-Сервис

Прием ведут подростковые стоматологи

Все врачи прошли необходимое обучение, владеют технологиями работы с незрелыми зубами и ежедневно оттачивают свое мастерство.

Психологический комфорт

Наши врачи учитывают психологические особенности подросткового возраста и делают все, чтобы помочь подростку выйти победителем из этой непростой ситуации.

Беремся за самые сложные случаи

Врачи Дентал-Сервис — это эксперты высокого класса. Наличие опыта позволяет спасать безнадежные зубы, от которых отказались другие врачи, или зубы, «приговоренные» к удалению.

Современное оборудование и материалы

Мы работаем с высококлассными пломбировочными материалами и используем технологии, которые позволяют получить надежные и безопасные результаты.

Только микроскоп

Технологии лечения незрелого зуба требуют мощного увеличения. Врач работает максимально точно, строго в пределах пораженных тканей зуба. Такое бережное лечение существенно продлевает жизнь зубу.

Лечим во сне за один прием

Непреодолимый страх перед лечением — дентофобия — распространенное явление. 90% взрослых и детей лечат зубы без наркоза после общения с нашими врачами. Для остальных 10% наркоз — возможность иметь здоровую и красивую улыбку вопреки страхам.

Микробы, убирайтесь!
Научим правильно чистить зубы на веселом «Уроке гигиены».
Записаться на урок гигиены

Новый подход к лечению — мы меняем стоматологию!

Подростковая стоматология появилась в Дентал-Сервис не в одночасье. Это большой многолетний труд. Для того чтобы выработать стандарты лечения подростковых зубов, нашим специалистам понадобились годы практики и клинических наблюдений. Мы собирали информацию (буквально по крупицам!). Учились у специалистов по всему миру (специального обучения подростковой стоматологии нет).

Появление подростковой стоматологии кардинально изменило подходы к лечению подростков в нашем городе, и нынешнее поколение может гордиться здоровьем и красотой своей улыбки.

Клёвый смайл

Юного пациента Дентал-Сервис видно сразу: симметричное лицо и здоровая, красивая улыбка. При нашем непосредственном участии выросло целое поколение, не знающее страха перед стоматологией!

Здоровые суставы формируются благодаря правильному прикусу и равномерной, эффективной жевательной нагрузке

Симметричное лицо свидетельствует о нормальном развитии всех элементов системы — зубов, прикуса, суставов

Правильность прикуса важно регулярно проверять у ортодонта, чтобы иметь возможность вовремя его скорректировать

Здоровые зубы — результат регулярной профилактики и своевременного лечения

Красивая улыбка и никакого страха перед стоматологией!

Медаль за отличную гигиену

Здоровые суставы формируются благодаря правильному прикусу и равномерной, эффективной жевательной нагрузке

Симметричное лицо свидетельствует о нормальном развитии всех элементов системы — зубов, прикуса, суставов

Правильность прикуса важно регулярно проверять у ортодонта, чтобы иметь возможность вовремя его скорректировать

Здоровые зубы — результат регулярной профилактики и своевременного лечения

Красивая улыбка и никакого страха перед стоматологией!

Медаль за отличную гигиену

Клинические случаи пациентов

До лечения

Жалоба на травму передних зубов.

Как лечили

Проведена реставрация фронтальных зубов композитным материалом.
Лечение прошло в 1 посещение.

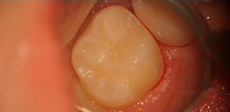
До лечения

Жалоб не было, пришел на консультативный прием.

Как лечили

Компьютерная томограмма показала глубокую кариозную полость. Пролечен кариес, зуб восстановлен композитной реставрацией.

До лечения

Жалобы на боль от сладкого, застревание пищи.
Пациенту 14 лет.

Как лечили

Проведено лечение кариеса, установлена композитная вкладка.
Лечение прошло в 1 посещение.

До лечения

Жалобы на застревание пищи. Пациенту 12 лет.

Как лечили

Проведена неинвазивная герметизация фиссур без сверления и бор машины.
Лечение прошло в 1 посещение.

До лечения

Жалоба на эстетический дефект зуба.
Пациенту 12 лет.

Как лечили

Лечение методом инфильтрации Icon без сверления и бор машины.
Лечение прошло в 1 посещение.

До лечения

Пришли с жалобой на сколотый зуб.
Пациенту 17 лет.

Как лечили

Удален сколотый седьмой зуб. Проведена аутотрансплантация восьмого зуба в подготовленную лунку. Через три месяца жалоб от пациента не поступило.

До лечения

Жалобы на боль и отечность мягких тканей.
Пациенту 14 лет.

Как лечили

Удален шестой зуб из-за периодонтита. Проведена аутотрансплантация восьмого зуба на место шестого.

До лечения

Жалобы на боли в 7 зубе.
Пациенту 16 лет.

Как лечили

По снимку КТ обнаружена аномально расположенный 8 зуб, вызывающий рассасывание тканей 7-ки. Удалена 7-ка. Проведена аутотрансплантация (пересадка) не прорезавшегося 8 зуба в лунку 7 зуба. После операции прошел год, 8 зуб имеет рост корней в длину.
Срок лечения 12 мес.

До лечения

Жалобы на темный цвет переднего зуба и его подвижность после травмы.
Пациенту 13 лет.

Как лечили

Для лечения перелома корня проведено эндодонтическое лечение, поставлена временная пломба с гидроокисью. Герметично заполнен корневой канал и проведена реставрация зуба.
Лечение проведено за два визита.

До лечения

Жалобы на незначительные болевые ощущения во время приема пищи. Пациент ранее начинал лечение зуба в другой клинике.
Пациенту 12 лет.

Как лечили

Вскрыли временную пломбу, был недолеченный кариес. Кариес удален и восстановлена стенка зуба, поставлена временная пломба. После отсутствия жалоб, установлена постоянная пломба из композитного материала. Лечение проведено за три визита.

До лечения

Пришли с жалобой на зубную боль от всех видов раздражителей.
Пациенту 12 лет.

Как лечили

Лечение кариеса под микроскопом с анестезией. Обработаны корневые каналы и закрыты временной пломбой. Проведена подготовка зуба, запломбированы корневые каналы. Установлен внутриканальный штифт и отреставрирован зуб.
Лечение проведено за три визита.

До лечения

Пришли с травмой переднего зуба.
Пациенту 17 лет.

Как лечили

Проведена реставрация фронтального зуба под местной анестезией.
Лечение проведено за один визит.

До лечения

Жалобы на кариес и налет на зубах.
Пациенту 14 лет.

Как лечили

Проведена профессиональная гигиена зубов. После пролечен кариес под анестезией, восстановлен зуб.
Лечение проведено за 2 визита.

До лечения

Обратились с жалобой на боль при чистке зубов и приеме пищи. Разрушена фронтальная группа зубов, нарушена эстетика.
Пациенту 12 лет.

Как лечили

Проведено лечение глубокого кариеса под микроскопом с местной анестезией. После выполнена реставрация зуба фронтальной группы.
Лечение проведено за один визит.

Отзывы о лечении зубов у подростков в Дентал-Сервис

Анна Ц.
03.02.2026
Несколько лет дочь наблюдается у прекрасного специалиста (по совместительству - волшебнице)) Долгополовой Светланы Олеговны. Светлана Олеговна, спасибо вам и вашим ассистентам за ваш труд. Всегда прекрасный результат, ...
Владислав Щербицкий
20.01.2026
Посетил вчера клинику впервые, нахожусь в восторге от этого места и персонала который там работает. Все очень понравилось. Басалаева Валерия Сергеевна быстро и качественно выполнила лечение, продемонстрировала все на фотографиях. ...
Татьяна Фомина
28.08.2025
Хочу выразить огромную благодарность Поповой Александре Николаевне и Садочкову Алексею Максимовичу! Обратились в клинику с дочерью подростком, после неудачного лечения в другой клинике, где во время лечения обломили передний зуб. ...
Григорий Серветник
20.08.2025
Был на приёме, проходил лечение у Агаевой Р. М. и Спиридоновой А. О. доктора, в процессе всё комментировали, боли не почувствовал, предложили выбрать фильм
Yulia Petropavlovskaya
19.08.2025
Очень довольны работой челюстно-лицевого хирурга Юлии Анатольевны и хирурга Дарьи Александровны. Были у Юлии Анатольевны 3-4 года назад с сыном - получили красивую челюсть, благодаря операции под языком. В этом году оба специалист...
Пациент
17.08.2025
Астапенко Александра оказалась очень аккуратным и настоящим профессионалом своего дела. Мне понравилось, что она без колебаний взялась за лечение зуба, который уже собиралась удалять, так как другие врачи не хотели с ним работать....
Зарина Пристинская
29.06.2025
В Дентал Сервис обращаемся не первый раз, но в данный филиал обратилась с детьми впервые и остались довольны! Отдельное спасибо стоматологу-терапевту Круглик Полине Евгеньевне, отлично нашла общий язык с детьми подростками, один и...
М*ри*а
22.06.2025
Много раз посещали с ребёнком клинике на этом адресе. Ресепшен приветливые девочки. Чисто, уютно. Туалеты для взрослых и детей. В зале ожидания мягкие диванчики, ТВ, аквариум который прекрасно отвлекает пациентов от предстоящих зу...
Анастасия Чешева
09.04.2025
Сегодня в который раз были в любимом Дентале в Бердске с двумя детьми-подростком и первоклассницей. Очень радует всегда сервис и наш любимый семейный врач уже 14 лет-Журавкова Юлия Валерьевна. У нас большая семья-и мы с мужем и че...
Людмила Гостищева
30.01.2025
Сегодня 30.01.25 удаляли дочке 12 лет 4 зуба мудрости под общим наркозом, спасибо нашему врачу -хирургу Дарье Александровне Туровой за ее профессионализм, за доброту и ласковое отношение к ребенку, очень грамотно врач все рассказа...
П*ци*нт
15.01.2025
Агарков Сергей настоящий профессионал: всегда внимателен, доброжелателен и находится в отличном настроении. Благодаря его подходу наш ребенок совершенно не боится посещать врача и с уверенностью идет на лечение.
Виктория Черепанова
18.07.2024
Проходила лечение в клинике Дентал-Сервис у замечательного врача Басалаевой Валерии Сергеевны. Очень понравилась врач , так как она всегда была ко мне внимательна, дружелюбна и свою работу выполнила профессионально. Лечение было а...
Наталия
02.10.2022
Попали в добрые руки детского и подросткового стоматолога, Кахрамановой. Супхана Биналиновна доступно объяснила все этапы лечения и профессионально оказала помощь сыну.
Елена
01.06.2017
Добрый день! Уже не первый раз обращаюсь в эту стоматологию с детьми, и всегда уходим в хорошем настроении! Вчера были на приеме у Шишковской О.В., хирург замечательный, более грамотного специалиста я ещё не встречала! У сына-под...
Без имени
12.03.2015
Добрый день! Хочу поблагодарить замечательного доктора Гракович Эльвиру Николаевну за профессионализм и огромное терпение к моей дочери - подростку!!! Еще раз спасибо!
Заполните форму
Данные пациента
Выбрать врача и специализацию

    Часто задаваемые вопросы

    Почему подросткам не подходит взрослый врач, а нужен подростковый стоматолог?


    В 100% случаев подростковые стоматологи являются наиболее подходящими специалистами для ухода за зубами и полостью рта в подростковом возрасте. Все потому, что у подростков особенное строение зубов, которое во всех смыслах отличается от детей и взрослых. У такого зуба не сформирован корень, он очень широкий, у него тонкие стенки, и работа с ним совершенно иная. Специфичное строение, показания к сохранению и восстановлению зуба будут также отличаться от других возрастных категорий. Без знаний и соответствующей подготовки можно не только не помочь, но даже навредить подростковому зубу.

    Мы искренне гордимся, что в нашей сети работают именно подростковые стоматологи (редкость для города), но именно они способны оказать качественное, а главное — правильное лечение подростку.

    Как можно восстановить зуб подростку?

    В Дентал-Сервис мы восстанавливаем подростковые зубы пломбами, вкладками и коронками.

    Что делать при травме подросткового зуба?

    Первое, что необходимо сделать при травме зуба ребенка или подростка, — найти этот самый зуб (или его часть). Затем нужно поместить его в физраствор или молоко и срочно идти к стоматологу. Врач проведет осмотр и, в зависимости от травмы, решит, каким способом будет восстанавливать зуб.

    Супертехнологии
    Челюстно-лицевая хирургия
    Дентал-Сервис – это не только стоматология. В 2017 году мы открыли Клинику хирургии лица, в которой помогаем пациентам с диагнозами из смежных областей – от тяжелых аномалий прикуса до последствий травм тканей лица.
    Подробнее
    Челюстно-лицевая хирургия
    Лечение под микроскопом
    100% микроскопизация — глобальный вектор компании. В нашей команде более 60 микроскопистов, аналогов в России нет. Все терапевтическое лечение — от кариеса до каналов — мы проводим с микроскопом.
    Подробнее
    Лечение под микроскопом
    Лечение детей под наркозом
    В Дентал-Сервис можно спать спокойно! Безопасность и качество лечения под наркозом в наших клиниках отвечают самым высоким требованиям, а анестезиологи — суперпрофессионалы с огромным опытом. За двенадцать лет мы провели более 10000 лечений — у детей и взрослых.
    Подробнее
    Лечение детей под наркозом
    Травма детского зуба
    Травма зуба — не повод его потерять. Восстановим сломанный зуб, приживим выбитый. Зуб продолжит расти и развиваться! Сохранение нерва травмированного зуба — высший пилотаж, наш эксклюзив.
    Подробнее
    Травма детского зуба
    Эстетическая стоматология
    Эстетическая стоматология — наша гордость. Колоссальный опыт, художественное чутье, передовые технологии и работа в команде — вот секреты мастеров, возрождающих шедевр вашей улыбки.
    Подробнее
    Эстетическая стоматология
    Имплантация зубов
    Ставим имплантаты всерьез и надолго. Готовы помочь даже в самых сложных клинических случаях и делаем все, чтобы новые зубы стали полноценной, долговечной заменой утраченным.
    Подробнее
    Имплантация зубов
    АГАРКОВ
    АГАРКОВ Сергей Юрьевич
    Стоматолог-терапевт
    Ведущий специалист
    Клиника на Героев Труда, 4 (Академгородок)
    Записаться

    Мы предлагаем вам ознакомиться с общим графиком работы врача на месяц. Пожалуйста, обратите внимание, что доступные слоты для записи не указаны. Чтобы узнать свободное время для записи, пожалуйста, свяжитесь с нашим контактным центром. Наши операторы с радостью помогут вам!

    Выбрано для предварительной записи:
    АДУЕВА
    АДУЕВА Дарья Вячеславовна
    Врач-стоматолог
    Клиника на Гребенщикова, 1 (Родники)
    Записаться

    Мы предлагаем вам ознакомиться с общим графиком работы врача на месяц. Пожалуйста, обратите внимание, что доступные слоты для записи не указаны. Чтобы узнать свободное время для записи, пожалуйста, свяжитесь с нашим контактным центром. Наши операторы с радостью помогут вам!

    Выбрано для предварительной записи:
    АЗАРОВА
    АЗАРОВА Ирина Юрьевна
    Зубной врач
    Ведущий специалист
    Детская клиника на Ленина, 17
    Записаться

    Мы предлагаем вам ознакомиться с общим графиком работы врача на месяц. Пожалуйста, обратите внимание, что доступные слоты для записи не указаны. Чтобы узнать свободное время для записи, пожалуйста, свяжитесь с нашим контактным центром. Наши операторы с радостью помогут вам!

    Выбрано для предварительной записи:
    АЛЕКСЕЕВА
    АЛЕКСЕЕВА Наталья Эдуардовна
    Детский стоматолог
    Клиника на Вокзальной, 50/1 (Бердск)
    Записаться

    Мы предлагаем вам ознакомиться с общим графиком работы врача на месяц. Пожалуйста, обратите внимание, что доступные слоты для записи не указаны. Чтобы узнать свободное время для записи, пожалуйста, свяжитесь с нашим контактным центром. Наши операторы с радостью помогут вам!

    Выбрано для предварительной записи:
    БАСАЛАЕВА
    БАСАЛАЕВА Валерия Сергеевна
    Врач-стоматолог
    Клиника на Гребенщикова, 1 (Родники)

    Принимает еще в 1 клинике

    Записаться

    Мы предлагаем вам ознакомиться с общим графиком работы врача на месяц. Пожалуйста, обратите внимание, что доступные слоты для записи не указаны. Чтобы узнать свободное время для записи, пожалуйста, свяжитесь с нашим контактным центром. Наши операторы с радостью помогут вам!

    Выбрано для предварительной записи:
    БОБЫЛЕВА
    БОБЫЛЕВА Елизавета Евгеньевна
    Стоматолог-терапевт
    Врач-стоматолог
    Клиника на Революции, 10
    Записаться

    Мы предлагаем вам ознакомиться с общим графиком работы врача на месяц. Пожалуйста, обратите внимание, что доступные слоты для записи не указаны. Чтобы узнать свободное время для записи, пожалуйста, свяжитесь с нашим контактным центром. Наши операторы с радостью помогут вам!

    Выбрано для предварительной записи:
    БЫКОВА
    БЫКОВА Мария Евгеньевна
    Детский стоматолог
    Детская клиника на Ленина, 17
    Записаться

    Мы предлагаем вам ознакомиться с общим графиком работы врача на месяц. Пожалуйста, обратите внимание, что доступные слоты для записи не указаны. Чтобы узнать свободное время для записи, пожалуйста, свяжитесь с нашим контактным центром. Наши операторы с радостью помогут вам!

    Выбрано для предварительной записи:
    ГАЛИЧ
    ГАЛИЧ Александр Витальевич
    Врач-стоматолог
    Клиника на пл. Карла Маркса, 1
    Записаться
    Выбрано для предварительной записи:
    ГРАКОВИЧ
    ГРАКОВИЧ Эльвира Николаевна
    Детский стоматолог
    Ведущий специалист
    Клиника на пл. Карла Маркса, 1

    Принимает еще в 1 клинике

    Записаться

    Мы предлагаем вам ознакомиться с общим графиком работы врача на месяц. Пожалуйста, обратите внимание, что доступные слоты для записи не указаны. Чтобы узнать свободное время для записи, пожалуйста, свяжитесь с нашим контактным центром. Наши операторы с радостью помогут вам!

    Выбрано для предварительной записи:
    ГРЫДИНА (СОЛОГУБОВА)
    ГРЫДИНА (СОЛОГУБОВА) Ульяна Олеговна
    Детский стоматолог
    Клиника на Вокзальной, 50/1 (Бердск)
    Записаться

    Мы предлагаем вам ознакомиться с общим графиком работы врача на месяц. Пожалуйста, обратите внимание, что доступные слоты для записи не указаны. Чтобы узнать свободное время для записи, пожалуйста, свяжитесь с нашим контактным центром. Наши операторы с радостью помогут вам!

    Выбрано для предварительной записи:
    ДЕЕВА (ОБНОСОВА)
    ДЕЕВА (ОБНОСОВА) Любовь Игоревна
    Врач-стоматолог
    Клиника на Гребенщикова, 1 (Родники)
    Записаться

    Мы предлагаем вам ознакомиться с общим графиком работы врача на месяц. Пожалуйста, обратите внимание, что доступные слоты для записи не указаны. Чтобы узнать свободное время для записи, пожалуйста, свяжитесь с нашим контактным центром. Наши операторы с радостью помогут вам!

    Выбрано для предварительной записи:
    ДОБРЫГИНА (НИКОЛАЕВА)
    ДОБРЫГИНА (НИКОЛАЕВА) Анна Александровна
    Врач-стоматолог
    Врач высшей категории
    Клиника на пл. Карла Маркса, 1
    Записаться

    Мы предлагаем вам ознакомиться с общим графиком работы врача на месяц. Пожалуйста, обратите внимание, что доступные слоты для записи не указаны. Чтобы узнать свободное время для записи, пожалуйста, свяжитесь с нашим контактным центром. Наши операторы с радостью помогут вам!

    Выбрано для предварительной записи:
    ДОЛГОПОЛОВА
    ДОЛГОПОЛОВА Светлана Олеговна
    Врач-стоматолог
    Клиника на пл. Карла Маркса, 1
    Записаться

    Мы предлагаем вам ознакомиться с общим графиком работы врача на месяц. Пожалуйста, обратите внимание, что доступные слоты для записи не указаны. Чтобы узнать свободное время для записи, пожалуйста, свяжитесь с нашим контактным центром. Наши операторы с радостью помогут вам!

    Выбрано для предварительной записи:
    ДРОЗДОВА
    ДРОЗДОВА Валерия Николаевна
    Детский стоматолог
    Ведущий специалист
    Клиника на пл. Карла Маркса, 1
    Записаться

    Мы предлагаем вам ознакомиться с общим графиком работы врача на месяц. Пожалуйста, обратите внимание, что доступные слоты для записи не указаны. Чтобы узнать свободное время для записи, пожалуйста, свяжитесь с нашим контактным центром. Наши операторы с радостью помогут вам!

    Выбрано для предварительной записи:
    ДУБИНИНА
    ДУБИНИНА Наталья Викторовна
    Стоматолог-терапевт
    Клиника на Никольском проспекте, 1 (Кольцово)
    Записаться

    Мы предлагаем вам ознакомиться с общим графиком работы врача на месяц. Пожалуйста, обратите внимание, что доступные слоты для записи не указаны. Чтобы узнать свободное время для записи, пожалуйста, свяжитесь с нашим контактным центром. Наши операторы с радостью помогут вам!

    Выбрано для предварительной записи:
    ДУБРОВСКАЯ Софья Владимировна
    Стоматолог-терапевт
    Клиника на Героев Труда, 4 (Академгородок)
    Записаться

    Мы предлагаем вам ознакомиться с общим графиком работы врача на месяц. Пожалуйста, обратите внимание, что доступные слоты для записи не указаны. Чтобы узнать свободное время для записи, пожалуйста, свяжитесь с нашим контактным центром. Наши операторы с радостью помогут вам!

    Выбрано для предварительной записи:
    ДУДКИНА
    ДУДКИНА Венера Юрьевна
    Детский стоматолог
    Клиника хирургии лица и стоматологии на Сакко и Ванцетти, 77
    Записаться

    Мы предлагаем вам ознакомиться с общим графиком работы врача на месяц. Пожалуйста, обратите внимание, что доступные слоты для записи не указаны. Чтобы узнать свободное время для записи, пожалуйста, свяжитесь с нашим контактным центром. Наши операторы с радостью помогут вам!

    Выбрано для предварительной записи:
    ДУДОЛАДОВА (БЕККЕР)
    ДУДОЛАДОВА (БЕККЕР) Александра Олеговна
    Врач-стоматолог
    Клиника хирургии лица и стоматологии на Сакко и Ванцетти, 77
    Записаться

    Мы предлагаем вам ознакомиться с общим графиком работы врача на месяц. Пожалуйста, обратите внимание, что доступные слоты для записи не указаны. Чтобы узнать свободное время для записи, пожалуйста, свяжитесь с нашим контактным центром. Наши операторы с радостью помогут вам!

    Выбрано для предварительной записи:
    ЕЩЕНКО (МАЗЕИНА)
    ЕЩЕНКО (МАЗЕИНА) Анна Евгеньевна
    Врач-стоматолог
    Клиника хирургии лица и стоматологии на Сакко и Ванцетти, 77
    Записаться

    Мы предлагаем вам ознакомиться с общим графиком работы врача на месяц. Пожалуйста, обратите внимание, что доступные слоты для записи не указаны. Чтобы узнать свободное время для записи, пожалуйста, свяжитесь с нашим контактным центром. Наши операторы с радостью помогут вам!

    Выбрано для предварительной записи:
    ЖУРАВКОВА
    ЖУРАВКОВА Юлия Валерьевна
    Стоматолог-терапевт
    Детский стоматолог
    Ведущий специалист
    Главный врач Клиники в Бердске
    Главный врач Клиники на пл.К.Маркса, 1
    Клиника на Вокзальной, 50/1 (Бердск)

    Принимает еще в 1 клинике

    Записаться

    Мы предлагаем вам ознакомиться с общим графиком работы врача на месяц. Пожалуйста, обратите внимание, что доступные слоты для записи не указаны. Чтобы узнать свободное время для записи, пожалуйста, свяжитесь с нашим контактным центром. Наши операторы с радостью помогут вам!

    Выбрано для предварительной записи:
    ИЗОТОВА Анастасия Сергеевна
    Детский стоматолог
    Клиника на Героев Труда, 4 (Академгородок)
    Записаться

    Мы предлагаем вам ознакомиться с общим графиком работы врача на месяц. Пожалуйста, обратите внимание, что доступные слоты для записи не указаны. Чтобы узнать свободное время для записи, пожалуйста, свяжитесь с нашим контактным центром. Наши операторы с радостью помогут вам!

    Выбрано для предварительной записи:
    ИРИНИН
    ИРИНИН Владислав Сергеевич
    Врач-стоматолог
    Клиника на Героев Труда, 4 (Академгородок)
    Записаться

    Мы предлагаем вам ознакомиться с общим графиком работы врача на месяц. Пожалуйста, обратите внимание, что доступные слоты для записи не указаны. Чтобы узнать свободное время для записи, пожалуйста, свяжитесь с нашим контактным центром. Наши операторы с радостью помогут вам!

    Выбрано для предварительной записи:
    КАРЛОВА (КАЛИНА)
    КАРЛОВА (КАЛИНА) Виктория Ивановна
    Детский стоматолог
    Детская клиника на Ленина, 17
    Записаться

    Мы предлагаем вам ознакомиться с общим графиком работы врача на месяц. Пожалуйста, обратите внимание, что доступные слоты для записи не указаны. Чтобы узнать свободное время для записи, пожалуйста, свяжитесь с нашим контактным центром. Наши операторы с радостью помогут вам!

    Выбрано для предварительной записи:
    КАХРАМАНОВА
    КАХРАМАНОВА Супхана Бинали Кзы
    Врач-стоматолог
    Клиника на Дуси Ковальчук, 252/1
    Записаться

    Мы предлагаем вам ознакомиться с общим графиком работы врача на месяц. Пожалуйста, обратите внимание, что доступные слоты для записи не указаны. Чтобы узнать свободное время для записи, пожалуйста, свяжитесь с нашим контактным центром. Наши операторы с радостью помогут вам!

    Выбрано для предварительной записи:
    КИМ
    КИМ Алина Вячеславовна
    Врач-стоматолог
    Стоматолог-терапевт
    Клиника на Блюхера, 30
    Записаться

    Мы предлагаем вам ознакомиться с общим графиком работы врача на месяц. Пожалуйста, обратите внимание, что доступные слоты для записи не указаны. Чтобы узнать свободное время для записи, пожалуйста, свяжитесь с нашим контактным центром. Наши операторы с радостью помогут вам!

    Выбрано для предварительной записи:
    КИРЮШИНА
    КИРЮШИНА Анна Витальевна
    Врач-стоматолог
    Профессорская клиника на Николаева, 12/3 (Академгородок)
    Записаться

    Мы предлагаем вам ознакомиться с общим графиком работы врача на месяц. Пожалуйста, обратите внимание, что доступные слоты для записи не указаны. Чтобы узнать свободное время для записи, пожалуйста, свяжитесь с нашим контактным центром. Наши операторы с радостью помогут вам!

    Выбрано для предварительной записи:
    КОВАЛЕВ
    КОВАЛЕВ Роман Олегович
    Стоматолог-ортопед
    Врач-стоматолог
    Ведущий специалист
    Клиника на Вокзальной, 50/1 (Бердск)
    Записаться

    Мы предлагаем вам ознакомиться с общим графиком работы врача на месяц. Пожалуйста, обратите внимание, что доступные слоты для записи не указаны. Чтобы узнать свободное время для записи, пожалуйста, свяжитесь с нашим контактным центром. Наши операторы с радостью помогут вам!

    Выбрано для предварительной записи:
    КРАВЕЦ (БУРДАКОВА)
    КРАВЕЦ (БУРДАКОВА) Дарья Владимировна
    Врач-стоматолог
    Клиника на пл. Карла Маркса, 1
    Записаться

    Мы предлагаем вам ознакомиться с общим графиком работы врача на месяц. Пожалуйста, обратите внимание, что доступные слоты для записи не указаны. Чтобы узнать свободное время для записи, пожалуйста, свяжитесь с нашим контактным центром. Наши операторы с радостью помогут вам!

    Выбрано для предварительной записи:
    КУДЕЕВА
    КУДЕЕВА Диана Дмитриевна
    Врач-стоматолог
    Детская клиника на Ленина, 17
    Записаться

    Мы предлагаем вам ознакомиться с общим графиком работы врача на месяц. Пожалуйста, обратите внимание, что доступные слоты для записи не указаны. Чтобы узнать свободное время для записи, пожалуйста, свяжитесь с нашим контактным центром. Наши операторы с радостью помогут вам!

    Выбрано для предварительной записи:
    МАНУКЯН (ПЕТРОСЯН)
    МАНУКЯН (ПЕТРОСЯН) Нина Витальевна
    Стоматолог-терапевт
    Врач-стоматолог
    Клиника на Блюхера, 30
    Записаться

    Мы предлагаем вам ознакомиться с общим графиком работы врача на месяц. Пожалуйста, обратите внимание, что доступные слоты для записи не указаны. Чтобы узнать свободное время для записи, пожалуйста, свяжитесь с нашим контактным центром. Наши операторы с радостью помогут вам!

    Выбрано для предварительной записи:
    МАТВИЕНКО
    МАТВИЕНКО Екатерина Артемовна
    Врач-стоматолог
    Клиника на Блюхера, 30
    Записаться

    Мы предлагаем вам ознакомиться с общим графиком работы врача на месяц. Пожалуйста, обратите внимание, что доступные слоты для записи не указаны. Чтобы узнать свободное время для записи, пожалуйста, свяжитесь с нашим контактным центром. Наши операторы с радостью помогут вам!

    Выбрано для предварительной записи:
    МЕЛЬНИКОВА (ФОКИНА)
    МЕЛЬНИКОВА (ФОКИНА) Дарья Сергеевна
    Врач-стоматолог
    Клиника хирургии лица и стоматологии на Сакко и Ванцетти, 77
    Записаться
    Выбрано для предварительной записи:
    НАЗАРОВА (СПИРИДОНОВА)
    НАЗАРОВА (СПИРИДОНОВА) Александра Олеговна
    Врач-стоматолог
    Клиника на пл. Карла Маркса, 1
    Записаться
    Выбрано для предварительной записи:
    НЕДОСВЯТИЙ
    НЕДОСВЯТИЙ Светлана Викторовна
    Стоматолог-терапевт
    Детский стоматолог
    Клиника на Героев Труда, 4 (Академгородок)
    Записаться

    Мы предлагаем вам ознакомиться с общим графиком работы врача на месяц. Пожалуйста, обратите внимание, что доступные слоты для записи не указаны. Чтобы узнать свободное время для записи, пожалуйста, свяжитесь с нашим контактным центром. Наши операторы с радостью помогут вам!

    Выбрано для предварительной записи:
    НИКОЛЕНКО
    НИКОЛЕНКО Ксения Ивановна
    Врач-стоматолог
    Клиника на Вокзальной, 50/1 (Бердск)
    Записаться

    Мы предлагаем вам ознакомиться с общим графиком работы врача на месяц. Пожалуйста, обратите внимание, что доступные слоты для записи не указаны. Чтобы узнать свободное время для записи, пожалуйста, свяжитесь с нашим контактным центром. Наши операторы с радостью помогут вам!

    Выбрано для предварительной записи:
    НУЖНЫХ
    НУЖНЫХ Екатерина Андреевна
    Стоматолог-терапевт
    Ведущий специалист
    Клиника на Революции, 10
    Записаться

    Мы предлагаем вам ознакомиться с общим графиком работы врача на месяц. Пожалуйста, обратите внимание, что доступные слоты для записи не указаны. Чтобы узнать свободное время для записи, пожалуйста, свяжитесь с нашим контактным центром. Наши операторы с радостью помогут вам!

    Выбрано для предварительной записи:
    ОБУХОВА (ПЕРЕСВЕТ)
    ОБУХОВА (ПЕРЕСВЕТ) Лия Дмитриевна
    Стоматолог-терапевт
    Врач-стоматолог
    Зам. главного врача клиники на Блюхера, 30
    Клиника на Блюхера, 30
    Записаться

    Мы предлагаем вам ознакомиться с общим графиком работы врача на месяц. Пожалуйста, обратите внимание, что доступные слоты для записи не указаны. Чтобы узнать свободное время для записи, пожалуйста, свяжитесь с нашим контактным центром. Наши операторы с радостью помогут вам!

    Выбрано для предварительной записи:
    ПАВЛЕНКО
    ПАВЛЕНКО Анастасия Олеговна
    Врач-стоматолог
    Клиника на Революции, 10

    Принимает еще в 1 клинике

    Записаться

    Мы предлагаем вам ознакомиться с общим графиком работы врача на месяц. Пожалуйста, обратите внимание, что доступные слоты для записи не указаны. Чтобы узнать свободное время для записи, пожалуйста, свяжитесь с нашим контактным центром. Наши операторы с радостью помогут вам!

    Выбрано для предварительной записи:
    ПАВЛОВСКИХ
    ПАВЛОВСКИХ Ксения Евгеньевна
    Детский стоматолог
    Клиника хирургии лица и стоматологии на Сакко и Ванцетти, 77
    Записаться

    Мы предлагаем вам ознакомиться с общим графиком работы врача на месяц. Пожалуйста, обратите внимание, что доступные слоты для записи не указаны. Чтобы узнать свободное время для записи, пожалуйста, свяжитесь с нашим контактным центром. Наши операторы с радостью помогут вам!

    Выбрано для предварительной записи:
    ПЕНЗОВА
    ПЕНЗОВА Екатерина Евгеньевна
    Врач-стоматолог
    Клиника на Революции, 10
    Записаться

    Мы предлагаем вам ознакомиться с общим графиком работы врача на месяц. Пожалуйста, обратите внимание, что доступные слоты для записи не указаны. Чтобы узнать свободное время для записи, пожалуйста, свяжитесь с нашим контактным центром. Наши операторы с радостью помогут вам!

    Выбрано для предварительной записи:
    ПЕРМЯКОВА
    ПЕРМЯКОВА Алина Юрьевна
    Детский стоматолог
    Клиника на Героев Труда, 4 (Академгородок)
    Записаться

    Мы предлагаем вам ознакомиться с общим графиком работы врача на месяц. Пожалуйста, обратите внимание, что доступные слоты для записи не указаны. Чтобы узнать свободное время для записи, пожалуйста, свяжитесь с нашим контактным центром. Наши операторы с радостью помогут вам!

    Выбрано для предварительной записи:
    ПИЛИПЕНКО
    ПИЛИПЕНКО Кристина Дмитриевна
    Врач-стоматолог
    Клиника на Никольском проспекте, 1 (Кольцово)
    Записаться

    Мы предлагаем вам ознакомиться с общим графиком работы врача на месяц. Пожалуйста, обратите внимание, что доступные слоты для записи не указаны. Чтобы узнать свободное время для записи, пожалуйста, свяжитесь с нашим контактным центром. Наши операторы с радостью помогут вам!

    Выбрано для предварительной записи:
    ПЛЮСНИН
    ПЛЮСНИН Евгений Сергеевич
    Врач-стоматолог
    Клиника на Гребенщикова, 1 (Родники)

    Принимает еще в 1 клинике

    Записаться

    Мы предлагаем вам ознакомиться с общим графиком работы врача на месяц. Пожалуйста, обратите внимание, что доступные слоты для записи не указаны. Чтобы узнать свободное время для записи, пожалуйста, свяжитесь с нашим контактным центром. Наши операторы с радостью помогут вам!

    Выбрано для предварительной записи:
    ПОПОВА
    ПОПОВА Александра Николаевна
    Врач-стоматолог
    Клиника на пл. Карла Маркса, 1
    Записаться

    Мы предлагаем вам ознакомиться с общим графиком работы врача на месяц. Пожалуйста, обратите внимание, что доступные слоты для записи не указаны. Чтобы узнать свободное время для записи, пожалуйста, свяжитесь с нашим контактным центром. Наши операторы с радостью помогут вам!

    Выбрано для предварительной записи:
    РЕУТСКИХ (БУТАКОВА)
    РЕУТСКИХ (БУТАКОВА) Дарья Викторовна
    Стоматолог-терапевт
    Детский стоматолог
    Ведущий специалист
    Клиника хирургии лица и стоматологии на Сакко и Ванцетти, 77
    Записаться

    Мы предлагаем вам ознакомиться с общим графиком работы врача на месяц. Пожалуйста, обратите внимание, что доступные слоты для записи не указаны. Чтобы узнать свободное время для записи, пожалуйста, свяжитесь с нашим контактным центром. Наши операторы с радостью помогут вам!

    Выбрано для предварительной записи:
    САФАРОВ
    САФАРОВ Тимур Наилевич
    Врач-стоматолог
    Клиника на Героев Труда, 4 (Академгородок)
    Записаться

    Мы предлагаем вам ознакомиться с общим графиком работы врача на месяц. Пожалуйста, обратите внимание, что доступные слоты для записи не указаны. Чтобы узнать свободное время для записи, пожалуйста, свяжитесь с нашим контактным центром. Наши операторы с радостью помогут вам!

    Выбрано для предварительной записи:
    СЕРОПЯН
    СЕРОПЯН Аида Вардановна
    Врач-стоматолог
    Клиника на Революции, 10
    Записаться
    Выбрано для предварительной записи:
    СОБОЛЕВА
    СОБОЛЕВА Анастасия Андреевна
    Врач-стоматолог
    Клиника на Революции, 10
    Записаться

    Мы предлагаем вам ознакомиться с общим графиком работы врача на месяц. Пожалуйста, обратите внимание, что доступные слоты для записи не указаны. Чтобы узнать свободное время для записи, пожалуйста, свяжитесь с нашим контактным центром. Наши операторы с радостью помогут вам!

    Выбрано для предварительной записи:
    ТИУНОВА
    ТИУНОВА Яна Евгеньевна
    Детский стоматолог
    Детская клиника на Ленина, 17
    Записаться

    Мы предлагаем вам ознакомиться с общим графиком работы врача на месяц. Пожалуйста, обратите внимание, что доступные слоты для записи не указаны. Чтобы узнать свободное время для записи, пожалуйста, свяжитесь с нашим контактным центром. Наши операторы с радостью помогут вам!

    Выбрано для предварительной записи:
    ТРЕМАСОВА
    ТРЕМАСОВА Ольга Борисовна
    Детский стоматолог
    Стоматолог-терапевт
    Ведущий специалист
    Детская клиника на Ленина, 17
    Записаться

    Мы предлагаем вам ознакомиться с общим графиком работы врача на месяц. Пожалуйста, обратите внимание, что доступные слоты для записи не указаны. Чтобы узнать свободное время для записи, пожалуйста, свяжитесь с нашим контактным центром. Наши операторы с радостью помогут вам!

    Выбрано для предварительной записи:
    УЗЮМОВА
    УЗЮМОВА Ольга Олеговна
    Стоматолог-терапевт
    Клиника на Блюхера, 30
    Записаться

    Мы предлагаем вам ознакомиться с общим графиком работы врача на месяц. Пожалуйста, обратите внимание, что доступные слоты для записи не указаны. Чтобы узнать свободное время для записи, пожалуйста, свяжитесь с нашим контактным центром. Наши операторы с радостью помогут вам!

    Выбрано для предварительной записи:
    УШАКОВА
    УШАКОВА Дарья Аркадьевна
    Врач-стоматолог
    Клиника на Никольском проспекте, 1 (Кольцово)
    Записаться

    Мы предлагаем вам ознакомиться с общим графиком работы врача на месяц. Пожалуйста, обратите внимание, что доступные слоты для записи не указаны. Чтобы узнать свободное время для записи, пожалуйста, свяжитесь с нашим контактным центром. Наши операторы с радостью помогут вам!

    Выбрано для предварительной записи:
    ЦЫРЕНЖАПОВА
    ЦЫРЕНЖАПОВА Диана Батомункуевна
    Врач-стоматолог
    Клиника на Никольском проспекте, 1 (Кольцово)
    Записаться

    Мы предлагаем вам ознакомиться с общим графиком работы врача на месяц. Пожалуйста, обратите внимание, что доступные слоты для записи не указаны. Чтобы узнать свободное время для записи, пожалуйста, свяжитесь с нашим контактным центром. Наши операторы с радостью помогут вам!

    Выбрано для предварительной записи:
    ШВЫДКАЯ
    ШВЫДКАЯ Анастасия Александровна
    Врач-стоматолог
    Клиника на Героев Труда, 4 (Академгородок)
    Записаться

    Мы предлагаем вам ознакомиться с общим графиком работы врача на месяц. Пожалуйста, обратите внимание, что доступные слоты для записи не указаны. Чтобы узнать свободное время для записи, пожалуйста, свяжитесь с нашим контактным центром. Наши операторы с радостью помогут вам!

    Выбрано для предварительной записи:
    ШПАГИНА (ТРИБЕЛЬГОРН)
    ШПАГИНА (ТРИБЕЛЬГОРН) Регина Александровна
    Врач-стоматолог
    Стоматолог-ортопед
    Клиника на Блюхера, 30

    Принимает еще в 1 клинике

    Записаться

    Мы предлагаем вам ознакомиться с общим графиком работы врача на месяц. Пожалуйста, обратите внимание, что доступные слоты для записи не указаны. Чтобы узнать свободное время для записи, пожалуйста, свяжитесь с нашим контактным центром. Наши операторы с радостью помогут вам!

    Выбрано для предварительной записи:
    ЯКУНИНА
    ЯКУНИНА Полина Андреевна
    Врач-стоматолог
    Клиника на Дуси Ковальчук, 252/1
    Записаться

    Мы предлагаем вам ознакомиться с общим графиком работы врача на месяц. Пожалуйста, обратите внимание, что доступные слоты для записи не указаны. Чтобы узнать свободное время для записи, пожалуйста, свяжитесь с нашим контактным центром. Наши операторы с радостью помогут вам!

    Выбрано для предварительной записи:
    Услуга
    Цена, руб.

    Подростковая стоматология

    Прием врача-стоматолога-терапевта первичный (до 30 мин)
    от 900 руб.
    Прием врача-стоматолога-терапевта первичный (до 45 мин)
    Развернутая консультация по комплексному лечению и/или лечению в наркозе
    от 1 700 руб.
    Прием врача-стоматолога-терапевта повторный (проф.осмотр)
    от 800 руб.
    Запечатывание фиссуры зуба
    Фиссуры — естественные желобки на поверхности зуба. Герметизация (запечатывание) фиссур герметиком предотвращает скапливание в этих местах налета и, как следствие, развитие кариеса. Без расшлифовки.
    от 2 000 руб.
    Лечение кариеса молочного зуба (без учета анестезии)
    от 4 600 руб.
    Лечение кариеса постоянного зуба (без учета анестезии)
    от 8 700 руб.
    Лечение обратимого пульпита молочного зуба (без учета анестезии)
    С сохранением жизнеспособности зуба. Стоимость указана без учета анестезии и восстановления
    от 4 700 руб.
    Лечение обратимого пульпита постоянного зуба (без учета анестезии)
    Закрытие перфорации стенки корневого канала зуба, восстановление зуба пломбой с нарушением контактного пункта с использованием материалов из фотополимеров. Стоимость указана без учета анестезии
    от 5 000 руб.
    Лечение пульпита одноканального молочного зуба (без учета анестезии)
    Стоимость лечения зуба в 2 этапа без учета анестезии и восстановления. 1 этап: пульпотомия, экстирпация пульпы, временное пломбирование лекарственным препаратом корневого канала, наложение временной пломбы, инструментальная и медикаментозная обработка корневого канала. 2 этап: пломбирование корневого канала зуба пастой, снятие временной пломбы.
    от 8 700 руб.
    Лечение пульпита одноканального постоянного зуба (без учета анестезии)
    Стоимость лечения в 2 этапа без учета анестезии и восстановления. 1 этап: пульпотомия, экстирпация пульпы, временное пломбирование лекарственным препаратом корневого канала, наложение временной пломбы, инструментальная и медикаментозная обработка корневого канала. 2 этап: пломбирование корневого канала зуба гуттаперчивыми штифтами, снятие временной пломбы.
    от 15 900 руб.
    Лечение периодонтита одноканального молочного зуба (без учета анестезии)
    Стоимость лечения зуба в 2 этапа без учета анестезии и восстановления. 1 этап: пульпотомия, экстирпация пульпы, временное пломбирование лекарственным препаратом корневого канала, наложение временной пломбы, инструментальная и медикаментозная обработка корневого канала. 2 этап: пломбирование корневого канала зуба пастой, снятие временной пломбы.
    от 8 700 руб.
    Лечение периодонтита одноканального постоянного зуба (без учета анестезии)
    Стоимость лечения в 2 этапа без учета анестезии и восстановления. 1 этап: инструментальная и медикаментозная обработка корневого канала, временное пломбирование лекарственным препаратом корневого канала, наложение временной пломбы. 2 этап: пломбирование корневого канала зуба гуттаперчивыми штифтами, снятие временной пломбы.
    от 8 400 руб.
    Удаление подвижного молочного зуба (без учета анестезии)
    от 2 500 руб.
    Удаление постоянного зуба (без учета анестезии)
    от 5 400 руб.
    Комплексная профессиональная гигиена полости рта и зубов по протоколу GBT
    В процедуру входит: снятие зубного налета, обучение гигиене, без покрытия/с покрытием фторсодержащими препаратами.
    от 7 300 руб.

    Рентгенодиагностика

    Компьютерная томография челюстно-лицевой области (две челюсти)
    Объемное (3D) компьютерное исследование челюстно-лицевой области — самый современный и высокоинформативный метод рентгенодиагностики
    от 4 200 руб.
    Компьютерная томография челюстно-лицевой области (сегмент)
    от 2 600 руб.
    Радиовизиография (снимок рентгеновский), 1 зуб
    от 850 руб.
    Пакет радиовизиографических снимков всей челюсти для детей
    от 2 800 руб.
    Пакет радиовизиографических снимков всей челюсти для детей при лечении под наркозом
    от 3 800 руб.

    Анестезиология

    Аппликационная анестезия
    от 550 руб.
    Инфильтрационная анестезия (одна карпула)
    от 1 300 руб.
    Проводниковая анестезия (одна карпула)
    от 1 300 руб.

    Лечение под наркозом

    Консультация врача-анестезиолога-реаниматолога
    от 2 000 руб.
    Медикаментозный сон (вводный наркоз + первый час + постнаркозное наблюдение)
    от 15 000 руб.
    Ингаляционный наркоз для краткосрочных вмешательств с использованием севорана (до 30 минут)
    от 9 200 руб.

    Лечение в седации

    Консультация врача-анестезиолога-реаниматолога
    При стоматологическом наркозе используется безопасный препарат севоран, он погружает человека в глубокий сон.
    от 2 000 руб.
    Ингаляционный наркоз с использованием закиси азота
    Расслабление с помощью успокаивающего газа, который подается через маску на носу. При этом пациент находится в сознании, общается с врачом, нормально дышит.
    от 3 600 руб.

    Цены на услуги стоматологии указаны базовые. Стоимость приема и лечения у ведущих специалистов выше от 20% до 50%.
    Цены на сайте не являются публичной офертой.