Записаться
Открытие века
Когда дети вприпрыжку спешат к стоматологу, это ли не величайшее достижение стоматологической науки? Опытные врачи, быстрые и нежные технологии, подарочки после приема — неудивительно, что порой наши маленькие пациенты даже отказываются покидать кабинет.
от 900 руб.
0-14 лет
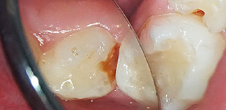
Кариес, пульпит, периодонтит
Зуб сильно разрушен или отсутствует
Программы профилактики

Детская стоматология

Все больше родителей стали осознавать: детским зубкам необходимо полноценное лечение. Чума всеобщего серебрения отступает! С момента основания сети, вот уже более 30 лет, мы развиваем детскую стоматологию наравне со взрослой. То, как сегодня мы лечим детские зубки, — космический космос для Новосибирска! Микроскопы и раббердамы — чтобы лечение было качественным и не пришлось перелечивать. Удерживатели пространства и съемные протезы — если зуб удалили и нужно сохранить прикус. Эстетические коронки и реставрации передних зубок — для самых красивых улыбок. Седация и наркоз — если пациент очень маленький или напуган. Кроме детских кабинетов, наши врачи-стоматологи ведут прием в специализированной детской стоматологической клинике Дентал-Сервис на Ленина, 17. Клиника открылась в 2012 году и стала первой платной детской специализированной стоматологией в Сибири. В остальных клиниках сети представлены детские отделения, оснащенные всем необходимым для точной диагностики и комфортного лечения малышей.

Незаменимые есть: молочные зубки

Некоторые родители думают: «Зачем возиться с молочными зубами— все равно выпадут...» И очень удивляются, когда узнают, как много зависит от молочных зубов. Правильное пищеварение и прикус. Здоровье и красота будущих постоянных зубов. Дикция и иммунитет. И, конечно, психологический комфорт ребенка. Дети чутко относятся к своей внешности, остро переживают из-за дыр в зубном ряду или черных (после серебрения) зубов. Молочные зубы начинают сменяться постоянными в 6-7 лет, а заканчивают только в 13-14. Это долгий период — помогите своим деткам пройти его с красивой, безмятежной улыбкой.

Почему важно лечить молочные зубки?

Правильно развивается челюсть

Для прикуса важен каждый зуб. Если молочный зуб удалить раньше срока, соседние сдвигаются. Постоянный зуб прорезывается не на месте, прикус «едет».

Здоровые зачатки постоянных зубов

Зачаток постоянного зуба расположен близко к корням молочного. Инфекция из молочного зуба часто переходит на постоянный, они вырастают искалеченными или не вырастают вовсе.

Правильное пищеварение

Если зубов не хватает, пережевывание становится недостаточным. Это приводит к проблемам с желудочно-кишечным трактом.

Сильный иммунитет

Стафилококки и стрептококки в незалеченных кариозных полостях повышают риск ОРЗ и заболеваний внутренних органов.

Правильная дикция

Язык во время речи должен упираться в зубы. Если зубов нет, ребенок приспосабливается упирать язык, например, в нёбо. Переучиваться ему будет очень сложно.

Уверенность в себе

Красота — это важно. Если зубы некрасивые или неровные — это может стать для ребенка фактором постоянного стресса.

Важен каждый зуб!
Удаление даже одного молочного зуба может привести к неправильному прикусу, повреждению зачатка постоянного зуба, нарушениям речи.
Убедиться, что до этого не дойдет

Миру — мир.
Детская стоматология — Дентал-Сервис

Мы бережем молочные зубы и делаем все, чтобы сохранить их до естественной смены. Подобный подход в нашей стране встречается крайне редко, потому что это сложно — требует постоянных усилий, больших затрат на обучение специалистов и оснащение клиник. Детские зубки безудержно серебрят (мы не устаем повторять о вреде такого «лечения»), а после этого в конце концов просто удаляют. Дентал-Сервис спешит на помощь. Мы здесь, чтобы все исправить! Для лечения детских зубок мы используем самые передовые технологии, которые порой творят чудеса — даже в безнадежных ситуациях. Если удаления все-таки не избежать — используем технологии, сохраняющие прикус. Цены при лечении в нашей детской стоматологии оправданы на 100%, ведь это является лучшей инвестицией в долгосрочное здоровье и уход за зубами ребенка. Вот лишь некоторые факты о наших технологиях:

Мы не серебрим зубки

Если бактерии уже попали в пульпу, серебрение бесполезно. «Пропущенный» пульпит быстро (у детей очень быстро) переходит в периодонтит. Такой зуб можно только удалить. А еще черненые зубки — это не очень красиво. Для лечения мы используем эффективные и надежные методы. Не серебрение!

Deti_11.png

Раббердам — главный по качеству

Латексная пленка «раббердам» защитит ребенка от зубной пыли и промывочных растворов:

  • ставим пломбу в условиях идеальной сухости. Пломба будет качественной и прослужит долго;
  • ребенку удобно — ему не нужно держать рот широко открытым;
  • врач работает быстрее.
rabberdam.png

SOS-диагноз

Во многих случаях мы спасаем от удаления зубы с диагнозом «пульпит». Если корень не сформирован, мы вылечим пульпит прогрессивным биосовместимым методом. Корень продолжит развиваться, зуб доживет до естественной смены.

skoraja.jpg

Не надо ж-ж-ж!

Мы знаем, как часто детей (да и некоторых родителей) пугают звук и вибрация бормашины. Хорошие новости. Дентал-Сервис — одна из немногих детских стоматологий Новосибирска умеющая лечить кариес у детей на ранних стадиях без бормашины. Лечение без сверления, без шума, пыли, а также седации или наркоза, мы можем провести прямо на профилактическом осмотре.

kletka.jpg

Пломбусы, пломберы, пломбоны

Мы не ставим «просто» пломбу — это всегда материалы, разработанные специально для детей. Они соответствуют зрелости зуба, размеру полости, лечебному эффекту.

mnogo.jpg

Спасаем прикус, дикцию и самооценку

Съемный протез нужен, если в зубном ряду не хватает нескольких зубов. Мы изготовим его в зуботехнической лаборатории. После короткого периода адаптации дети носят протез с удовольствием. Они разговаривают, едят и смеются так же непринужденно, как с родными зубами.

mikrofon.jpg

Коронуем коронками

Коронка — это защитный колпачок, который полностью покрывает разрушенный зуб. Бывает металлическая и керамическая (для эстетических реставраций). Устанавливается за одно посещение. Коронки всем хороши:

  • они прочные и долговечные;
  • выглядят как настоящие зубки;
  • сохраняют правильный прикус;
  • ребенок спокойно кусает и пережевывает пищу.
korona.jpg

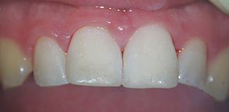
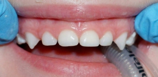
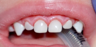
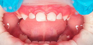
Все лучшее — впереди!

Реставрируем передние зубы. Эстетическая стоматология для детей — наш эксклюзив. Полноценное восстановление превратит разрушенные зубки в маленькие жемчужины. Ваш ребенок не будет стесняться улыбки!

roga.jpg

Нас не сломить

Восстановим сломанный, приживим выбитый зуб. Если в кратчайшее время провести лечение зуба с травмой, в большинстве случаев он останется живым.

skeyt.png

Cамые глазастые

Если зуб нужно перелечить или поставить пломбу в труднодоступном месте, мы достаем микроскоп!

  • Он дает увеличение в 30 раз, поэтому пломба получается очень качественной.
  • Если у ребенка нет зачатка постоянного зуба, мы стараемся сохранить молочный на как можно более долгий срок. Такой зуб мы бережно лечим с увеличением.
microskop.png

Держим изо всех сил

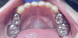
Если молочный зуб удален раньше срока, на его место мы установим удерживатель пространства. Это специальное приспособление не даст соседним зубам сдвинуться и сохранит место для постоянного зуба.

Deti_1.png

О! Вижу миклоскопы!
Мы любим микроскоп за высокий класс лечения. Практически 100% лечения в каналах у взрослых пациентов мы проводим с микроскопом. В детских кабинетах он тоже нужен — для особых, сложных случаев.

Технологии расслабления — когда без них не обойтись

Если ребенок маленький, слишком активный или напуган, обычные методы лечения и общения, увы, могут не сработать. Очень важно не допустить, чтобы лечение становилось психологической травмой. Нам на помощь приходят современные технологии расслабления — седация и наркоз. Они эффективны и абсолютно безопасны даже для самых маленьких пациентов.

Седация

Простейшее успокоительное средство — во время лечения ребенок вдыхает смесь кислорода и закиси азота. Он не спит, а расслабляется. Рекомендуем седацию для первого лечения, удаления, сложного лечения.

  • Ребенок постепенно привыкает к процессу, уходит напряжение.
  • Врач лечит максимально качественно.
  • Закись азота полностью выводится из организма в течение 5-7 минут.

Наркоз

Лечение «во сне» — абсолютная необходимость при лечении малышей до трех лет. Иногда мы рекомендуем его и детям постарше — для длительного лечения или сложного удаления.

  • У детских стоматологов сети огромный опыт лечения детей «во сне».
  • Все зубки вылечим за один прием.
  • Лечим с микроскопом и раббердамом — перелечивать не придется.
  • Опытнейшие анестезиологи, наркозные дыхательные аппараты последнего поколения — наш наркоз безопасен даже для самых маленьких.
В Дентал-Сервис можно спать спокойно
«На наркоз» приезжают дети со всей Сибири. Родители нам доверяют, потому что мы лечим качественно и очень ответственно относимся к безопасности.
Записаться на консультацию

Грызем гранит, заговариваем зубки

Технологии важны. Но они бессмысленны без компетентного врача. Стандарты обучения в медвузах бесконечно далеки от современных стандартов — поэтому мы всему учимся сами. Обучение детского стоматолога Дентал-Сервис обязательно включает в себя и основательную психологическую подготовку. На наших глазах (и при нашем непосредственном участии) выросло поколение детей, для которых регулярное посещение стоматологической клиники — «пустяки, дело житейское», а отношения со стоматологом — самые непринужденные. Нужно ли говорить, что зубки у таких детей красивые и здоровые?

Детская стоматология — это наука

Детские зубы — особенные. Для того чтобы лечить их качественно, нужны материалы и оборудование, которых нет во взрослых кабинетах. Диагностика, технологии — другие. Стоматологу недостаточно высшего медицинского образования, нужно учиться дальше. Все детские врачи Дентал-Сервис прошли обучение в московских учебных центрах и нашем собственном медико-стоматологическом университете ДЕНТМАСТЕР — и продолжают повышать квалификацию на семинарах и конференциях.

Детская стоматология — это искусство

Как быть с пациентом, если на просьбу открыть рот он ехидно покажет язык? С детьми, прежде всего, нужно уметь устанавливать доверительные отношения. И только потом — лечить. Вот почему даже хорошие «взрослые» врачи не могут так же хорошо лечить детей. Признание и доверие маленьких пациентов нам очень дороги, со многими нас связывает настоящая дружба. Среди них есть и те, кто поначалу боялся даже сесть в кресло!

Ура! Зубки лечить пора!
Лечение кариеса независимо от количества пораженных поверхностей на зубе по фиксированной цене
Реклама ООО "Дентал-Сервис Бердск" ИНН 544525957, erid: 2VfnxyJbLSD
4 500 руб. до 30 июня 26
Подробнее

Чистая правда — профилактика
оставит микробов без работы и без дома

Масштабы распространения кариеса пугают — от него страдают даже младенцы (все слышали про бутылочный кариес). Как защититься? Не скажем ничего нового: профилактика. Профосмотр раз в три месяца, запечатывание фиссур, фторирование, профессиональная гигиена в клинике и отлаженная домашняя гигиена сократят количество кариозных очагов в разы. Один кариес вместо пяти — за это стоит побороться.

Граница на замке

Фиссуры — желобки на зубе, в которых скапливается налет и быстро развивается кариес. Поэтому их мы запечатываем специальным герметиком. Дети спокойно относятся к процедуре — она абсолютно безболезненна. Советуем не пропустить момент прорезывания жевательных зубов, так как именно в первые месяцы они особенно уязвимы.

Микробы, убирайтесь!

Зубам тоже нужна генеральная уборка. Налет и зубную бляшку из труднодоступных для зубной щетки мест нужно минимум раз в полгода удалять на профессиональной гигиене в клинике.

Все разгладим и наладим

Фторирование сгладит эмаль зуба. Молекулы фтора встраиваются в деминерализованную эмаль, она становится гладкой — зубному налету трудно удержаться. Рекомендуем фторировать зубки минимум раз в полгода.
Наше фторирование:

  • безопасно — никаких синтетических растворителей;
  • эффективно — гель содержит активный фтор;
  • подходит непоседам — сохнет мгновенно.
Streptococсus mutans,
go home!
Программа профилактики в клинике и отлаженная гигиена не оставят кариесу ни единого шанса выжить.
Записаться на консультацию

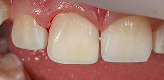
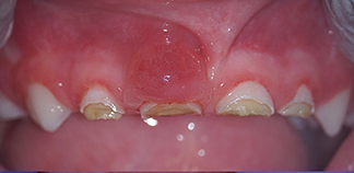
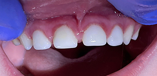
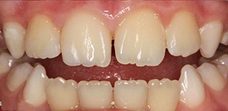
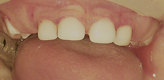
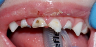
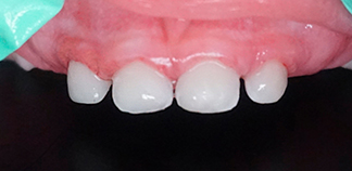
Клинические случаи маленьких пациентов

До лечения

Жалоба на отколовшийся зуб.

Как лечили

Проведена реставрация фронтального зуба.

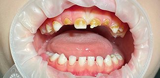
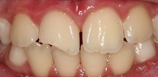
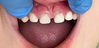
До лечения

Жалоб не было.
Пациенту 5 лет.

Как лечили

Проведено лечение "скрытого кариеса" под микроскопом.

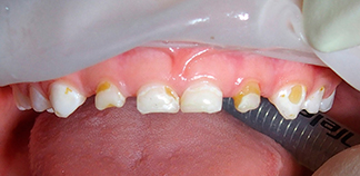
До лечения

Жалоба на разрушенные зубы.

Как лечили

Пролечен кариес, зубы восстановлены коронками.
Лечение прошло в 1 посещение.

До лечения

Жалоба на боль при приеме пищи.

Как лечили

Пролечен кариес под наркозом. Зубы восстановлены коронками.
Лечение прошло в 1 посещение.

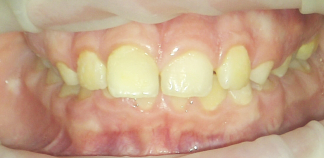
До лечения

Жалоба на боль и покраснение десны.
Пациенту 6 лет.

Как лечили

Проведено лечение пульпита, зуб восстановлен пломбой.

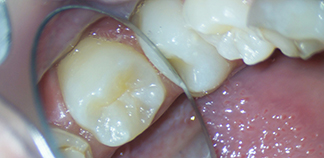
До лечения

Жалоб не было.
Пациенту 6 лет.

Как лечили

Пролечен контактный кариес под микроскопом.

До лечения

Жалоба на зубную боль.
Пациенту 2 года.

Как лечили

Пролечен кариес передних зубов под микроскопом.

До лечения

Жалоба на боль при приеме пищи.

Как лечили

Пролечен кариес передних зубов, удален зуб.

До лечения

Жалоба на сильно разрушенный жевательный зуб.

Как лечили

После нескольких прелечиваний откололась стенка зуба. Зуб восстановлен коронкой из высокопрочной пластмассы.

До лечения

Жалоба на боль при приеме пищи.
Пациенту 1 год, 8 месяцев.

Как лечили

Проведено лечение пяти кариесов и одного пульпита под наркозом. Зубы восстановлены с помощью реставрации.
Лечение прошло в 1 посещение.

До лечения

Жалоба на боль при приеме пищи.
Пациенту 5 лет.

Как лечили

Проведено лечение кариеса под наркозом. Зубы восстановлены с помощью реставрации.
Лечение прошло в 1 посещение.

До лечения

Жалоба на боль в зубе.

Как лечили

Проведено лечение глубокого кариеса, установлена пломба.

До лечения

Жалоба на травму зуба.

Как лечили

Зуб восстановлен собственным отломком, зафиксированным с помощью композитного материала.

До лечения

Ребенок не мог кусать твёрдую пищу и не давал чистить зубы.
Пациенту 2 года 2 месяца.

Как лечили

Проведено лечение кариеса под наркозом. Передние зубы восстановлены с помощью коронок из диоксида циркония.
Лечение прошло в 1 посещение.

До лечения

Жалоба на боль при приеме пищи.
Пациенту 3 года 5 месяцев.

Как лечили

Проведено лечение кариеса под наркозом. Передние зубы восстановлены с помощью коронок из диоксида циркония, жевательные - с помощью металлических коронок и прямой реставрации.
Лечение прошло в 1 посещение.

До лечения

Жалоба на кариес после серебрения.
Пациенту 2 года 5 месяцев.

Как лечили

Проведено лечение кариеса восьми зубов под наркозом. Зубы восстановлены с помощью реставрации.
Лечение прошло в 1 посещение.

До лечения

Жалоба на боль от сладкого.

Как лечили

Проведено лечение кариеса, установлены коронки из диоксида циркония.

До лечения

Жалоба на травму переднего зуба.

Как лечили

Проведена фиксация собственного осколка зуба на композитный материал.

До лечения

Жалобы на кариес передних зубов.
Пациенту 2 года.

Как лечили

Пролечен кариес на передних зубах под наркозом. Проведена реставрация зубов.
Лечение прошло в 1 посещение.

До лечения

Жалобы на травму передних зубов.

Как лечили

Проведена реставрация фронтальных зубов.

До лечения

Пришли на плановый осмотр.
Пациенту 6 лет.

Как лечили

Во время осмотра обнаружены глубокие фиссуры на шестых зубах, проведена герметизация фиссур.
Лечение прошло в 1 посещение.

До лечения

Жалобы на боли от сладкого.
Пациенту 8 лет.

Как лечили

Проведено лечение кариеса с использованием операционного микроскопа, зуб восстановлен художественной реставрацией.
Лечение прошло в 1 посещение.

До лечения

Жалоба на боль во время употребления холодных напитков.
Пациенту 9 лет.

Как лечили

Проведено лечение контактного и жевательного кариеса постоянного зуба.
Лечение прошло в 1 посещение.

До лечения

Пришли на плановый осмотр.
Пациенту 9 лет.

Как лечили

Кариозная полость обнаружена при осмотре в микроскоп. Проведено лечение кариеса постоянного зуба.
Лечение прошло в 1 посещение.

До лечения

Жалоба на застревание пищи между зубами.
Пациенту 5 лет.

Как лечили

Проведено лечение контактного и жевательного кариеса молочных зубов.
Лечение прошло в 1 посещение.

До лечения

Жалобы на разрушенные зубы.
Пациенту 1 года 9 месяцев.

Как лечили

Проведено восстановление зубов эстетическими и металлическими коронками.
Лечение прошло в 1 посещение.

До лечения

Жалобы на разрушенные передние зубы.
Пациенту 1 год 4 месяца.

Как лечили

Проведено восстановление передних зубов эстетическими коронками.
Лечение прошло в 1 посещение.

До лечения

Жалобы на боль в шестом зубе и разрушение передних зубов.
Пациенту 3 года 5 месяцев.

Как лечили

Проведено восстановление передних зубов эстетическими коронками. Шестой зуб восстановлен металлической коронкой.
Лечение прошло в 1 посещение.

До лечения

Жалобы на разрушенность зубов и травму зуба.
Пациенту 1 год 7 месяцев.

Как лечили

Проведено эндодонтичеческое лечение трех зубов, восстановлены коронками.
Лечение прошло в 1 посещение.

До лечения

Жалобы на боль при приеме сладкой, кислой пищи.
Пациенту 7 лет.

Как лечили

Проведено препарирования зуба с последующим пломбированием.
Лечение прошло в 1 посещение.

До лечения

Жалобы на сколы и трещины на передних зубах.
Пациенту 1 год и 7 месяцев.

Как лечили

Пролечены под микроскопом два пульпита и два кариеса. Зубы восстановлены эстетическими коронками.
Лечение прошло в 1 посещение.

До лечения

Пришли на замену старой пломбы.

Как лечили

Во время осмотра выявлен и пролечен контактный кариес.

До лечения

Жалоба на боль при приеме пищи.
Пациенту 3 года.

Как лечили

Пролечен пульпит и кариес молочных зубов под наркозом. Зубы восстановлены коронками из диоксида циркония.
Лечение прошло в 1 посещение.

До лечения

Жалоба на боль от сладкой пищи.
Пациенту 2 года.

Как лечили

Пролечен пульпит и кариес на передних зубах под наркозом. Проведена реставрация зубов.
Лечение прошло в 1 посещение.

До лечения

Жалобы на боль, отказ от твердой пищи.
Пациенту 1 год и 11 месяцев.

Как лечили

Лечение кариеса с применением микроскопа под наркозом. Проведена реставрация зубов, сделана герметизация фиссур на четырех зубах.
Лечение прошло в 1 посещение.

До лечения

Жалобы на боль при жевании твердой пищи.
Пациенту 1 год и 7 месяцев.

Как лечили

Пролечен кариес передних зубов под наркозом. Проведена реставрация зубов, установлена коронка.
Лечение прошло в 1 посещение.

До лечения

Жалоба на отколовшийся зуб.

Как лечили

Проведена реставрация фронтального зуба.

До лечения

Жалоба на разрушенность зубов и боль.
Пациенту 5 лет.

Как лечили

Под наркозом пролечен пульпит жевательных зубов, установлены коронки.
Лечение прошло в 1 посещение.

До лечения

Жалоба на разрушенные зубы и черный цвет после серебрения.
Пациенту 2 года.

Как лечили

Под наркозом пролечен пульпит, установлены коронки.
Лечение прошло в 1 посещение.

До лечения

Жалоба на сломанную коронку на зубе из-за травмы.
Пациенту 2 года.

Как лечили

Под наркозом пролечен пульпит передних зубов, установлены коронки.
Лечение прошло в 1 посещение.

До лечения

Жалоба на отколовшийся зуб.
Пациенту 8 лет.

Как лечили

Проведена лучевая диагностика. Зафиксирован осколок зуба на композит.
Лечение прошло в 1 посещение.

До лечения

Жалоба на полость в зубе, реакция на горячее.
Пациенту 8 лет.

Как лечили

Проведено лечение пульпита с восстановлением зуба.
Лечение прошло в 2 посещения.

До лечения

Жалоба на длительную боль, застревание пищи в полости зуба.
Пациенту 8 лет.

Как лечили

Проведено эндодонтическое лечение, запломбированы корневые каналы.

До лечения

Жалобы на множественные разрушения передних зубов.
Пациенту 2 года.

Как лечили

Проведено лечение кариеса и пульпита. Зубы восстановлены композитными реставрациями.
Лечение проведено за один визит.

До лечения

Выбил два передних зуба на футболе.
Пациенту 9 лет.

Как лечили

Репозиция зубов в лунки, шинирование на две недели. Динамичное наблюдение, рентген контроль. Проведено эндодонтическое лечение переднего зуба.
Лечение проведено в течение одного месяца.

До лечения

Жалобы на разрушение зубов.
Пациенту 4 года.

Как лечили

Проведена профессиональная гигиена зубов. Под седацией пролечен кариес. Зубы восстановлены коронками и реставрациями.
Лечение проведено за один визит.

До лечения

Пришли с жалобой на множественный кариес.
Пациенту 7 лет.

Как лечили

Проведена профессиональная гигиена зубов. Пролечен множественный кариес под седацией. Один зуб был удален из-за периодонтита.

До лечения

Пришли с жалобой на травму зуба.
Пациенту 12 лет.

Как лечили

Возвратили зуб в лунку согласно анатомическому положению. Наложена мягкая проволочная шина для фиксации зуба. Через 14 дней эндодонтическое лечение. Осмотр через 2 месяца показал полное восстановление зуба.
Лечение проведено в течение двух недель.

До лечения

Пришли с кариозными полостями во время домашней гигиены и жалобой на зубную боль от сладкого.
Пациенту 3 года.

Как лечили

Лечение кариеса десяти зубов под наркозом. Проведена реставрация и восстановление металлическими коронками.
Лечение проведено за один визит.

До лечения

Жалобы на боли в 7 зубе.
Пациенту 16 лет.

Как лечили

По снимку КТ обнаружена аномально расположенный 8 зуб, вызывающий рассасывание тканей 7-ки. Удалена 7-ка. Проведена аутотрансплантация (пересадка) не прорезавшегося 8 зуба в лунку 7 зуба. После операции прошел год, 8 зуб имеет рост корней в длину.
Срок лечения 12 мес.

До лечения

Жалобы на темный цвет переднего зуба и его подвижность после травмы.
Пациенту 13 лет.

Как лечили

Для лечения перелома корня проведено эндодонтическое лечение, поставлена временная пломба с гидроокисью. Герметично заполнен корневой канал и проведена реставрация зуба.
Лечение проведено за два визита.

До лечения

Пришли с жалобой на плохой сон у ребенка, отказ от еды. Приходилось принимать обезболивающее.
Пациенту 2,7 лет.

Как лечили

Лечение кариеса и пульпита под наркозом. На зубы установлены стальные коронки из диоксида циркония.
Лечение проведено за один визит.

До лечения

Жалобы на незначительные болевые ощущения во время приема пищи. Пациент ранее начинал лечение зуба в другой клинике.
Пациенту 12 лет.

Как лечили

Вскрыли временную пломбу, был недолеченный кариес. Кариес удален и восстановлена стенка зуба, поставлена временная пломба. После отсутствия жалоб, установлена постоянная пломба из композитного материала. Лечение проведено за три визита.

До лечения

Жалобы на зубную боль от сладкого и ночью.
Пациенту 4 года.

Как лечили

Лечение кариеса под наркозом. Перед лечением проведена профессиональная гигиена полости рта. После лечения кариеса зубов и фиксация металлических коронок на жевательные зубы.
Лечение проведено за один визит.

До лечения

Пришли с жалобой на зубную боль от всех видов раздражителей.
Пациенту 12 лет.

Как лечили

Лечение кариеса под микроскопом с анестезией. Обработаны корневые каналы и закрыты временной пломбой. Проведена подготовка зуба, запломбированы корневые каналы. Установлен внутриканальный штифт и отреставрирован зуб.
Лечение проведено за три визита.

До лечения

Жалобы на налет и разрушение зубов.
Пациенту 9 лет.

Как лечили

Проведена профессиональная гигиена по протоколу GBT, Диана, пролечен кариес. Через 6 мес. пациент пришел на повторную профгигиену зубов, после чего пролечен кариес жевательных зубов.
Лечение проведено за три визита.

До лечения

Жалобы на многочисленный кариес.
Пациенту 2,5 года.

Как лечили

Лечение кариеса под наркозом. Два жевательных зуба восстановлены стальными коронками. Передние верхние зубы восстановлены композитным материалом.
Лечение проведено за один визит.

До лечения

Пришли с жалобой на кариес.
Пациенту 2 года.

Как лечили

Пролечен кариес трех сросшихся зубов под наркозом.
Лечение проведено за один визит.

До лечения

Пришли с травмой зуба и жалобами на боль во время приема сладкого и холодного.
Пациенту 9 лет.

Как лечили

Удален осколок зуба и проведена частичная пульпотомия, зуб закрыли временной пломбой. Далее проведена экструзия зуба на 2-3 мм выше десневого края и после проведена фиксация осколков зуба.
Лечение проведено за три визита.

До лечения

Жалобы на кариес, повышенную чувствительность зубов при приеме пищи.
Пациенту 9 лет.

Как лечили

В седации проведено лечение пульпита зуба с закрытием временной пломбой. Восстановлен зуб под композитную вкладку. Проведена припасовка и фиксация композитной вкладки.
Лечение проведено за три визита.

До лечения

Жалобы на множественный кариес всех групп зубов верхней и нижней челюсти, периодические боли во время приема пищи.
Пациенту 3 года.

Как лечили

Лечение кариеса под наркозом. На зубы поставлены детские коронки из диоксида циркония, на жевательных металлические коронки.
Лечение проведено за один визит.

До лечения

Жалобы на разрушение передней группы зубов, нарушение эстетики. Боль во время приема пищи и чистки зубов.
Пациенту 2 года.

Как лечили

Лечение кариеса под наркозом. На передние зубы поставлены коронки из диоксида циркония, на два жевательных поставлены детские металлические коронки.
Лечение проведено за один визит.

До лечения

Пришли с жалобами на пигментацию зуба, боли не было.
Пациенту 9 лет.

Как лечили

Проведено лечение кариеса и подготовка зуба под композитную вкладку. Далее фиксация композитной вкладки.
Лечение проведено за два визита.

До лечения

Жалобы на боль во всех зубах от холодного, кислого, сладкого, при чистке зубов.
Пациенту 2,5 года.

Как лечили

Лечение кариеса под наркозом. Поставлены коронки из диоксида циркония на передние зубы и металлические коронки на жевательные.
Лечение проведено за один визит.

До лечения

Пришли с травмой переднего зуба.
Пациенту 17 лет.

Как лечили

Проведена реставрация фронтального зуба под местной анестезией.
Лечение проведено за один визит.

До лечения

Жалобы на кариес и налет на зубах.
Пациенту 14 лет.

Как лечили

Проведена профессиональная гигиена зубов. После пролечен кариес под анестезией, восстановлен зуб.
Лечение проведено за 2 визита.

До лечения

Жалобы на множественный кариес и разрушение передних зубов.
Пациенту 3 года.

Как лечили

Лечение кариеса под наркозом. Четыре зуба восстановлены коронками из диоксида циркония, другие композиционным материалом Estelite Sigma Quick.
Лечение проведено за один визит.

До лечения

Пришли на профосмотр, выявлен кариес дентина.
Пациенту 11 лет.

Как лечили

Удален кариес средней сложности под местной анестезией. Проведена реставрация зуба с сохранением анатомической формы.
Лечение проведено за один визит.

До лечения

Обратились с жалобой на боль при чистке зубов и приеме пищи. Разрушена фронтальная группа зубов, нарушена эстетика.
Пациенту 12 лет.

Как лечили

Проведено лечение глубокого кариеса под микроскопом с местной анестезией. После выполнена реставрация зуба фронтальной группы.
Лечение проведено за один визит.

Отзывы мам и пап о лечении зубов у детей в Дентал-Сервис

Дарья
02.05.2026
Выражаю огромную благодарность Анастасии Дмитриевне, медсестре и клинике в целом! 02.05 экстренно пришлось обратиться в клинику с кистой на десне у ребёнка. Персонал очень приветливый, врач всё рассказала и наглядно показала, но с...
М ВК
27.04.2026
Хочу поблагодарить Недосвятий Светлану Викторовну и ассистента Дарью за спасение улыбки моего ребёнка! После травмы мы остались без двух передних зубов, но благодаря ювелирной работе Светланы Викторовны под микроскопом всё удалось...
Ольга Демьяненко
26.04.2026
Хотим поблагодарить всегда улыбчивый ресепшен, детского стоматолога Дееву Любовь Игоревну, детского стоматолога ортопеда. Просьба- пожелание: обновить и разнообразить детские подарки, а то не из чего выбирать.
Полина Дьякова
25.04.2026
Какие суперские врачи!! Очень благодарна врачам этой больницы!! Александра Олеговна и Ксения Евгеньевна спасибо огромное вам за подход к ребёнку, огромная благодарность, а какие на ресепшене девочки молодцы. Спасибо большое им за ...
Юлия Пшонко
24.04.2026
Хочу отблагодарить и порекомендовать детского стоматолога Комаровскую Юлию Александровну. Самый лучший детский стоматолог. Мы с сыном давно наблюдаемся у Юлии Александровны, ходили регулярно на осмотр и на чистку зубов. Очень нрав...
Пшонко Юлия Андреевна
24.04.2026
Хочу отблагодарить и порекомендовать детского стоматолога Комаровскую Юлию Александровну. Самый лучший детский стоматолог. Мы с сыном давно наблюдаемся у Юлии Александровны, ходили регулярно на осмотр и на чистку зубов. Очень нрав...
Оксана Максичко
09.04.2026
Мы с дочерьми просто обожаем нашего доктора Карлову Викторию Ивановну. Это просто высший пилотаж, как доктор умеет уговорить ребенка и мастерски провести лечение. Каждый поход к нашему доктору как праздник. Вообще, клиника на Лени...
Анна Филоненко
05.04.2026
Наблюдаемся уже много лет в данной клинике. Наш лучший врач Торохова Кристина Евгеньевна. На приёме всегда атмосфера спокойная и уютная. Кристина Евгеньевна отвечает на все вопросы родителей, объясняет план лечения и дает полезные...
Аля Говор
02.04.2026
Хочу оставить искреннюю благодарность детскому стоматологу Тиуновой Яне Евгеньевне и всей команде клиники Дентал-Сервис
Мы обратились с ребёнком 1 год 7 месяцев — нужно было лечить несколько зубов, и, конечно, очень пережива...
Мирра Парфиненко
01.04.2026
Хочу выразить огромную благодарность врачу от бога Долгополовой Светлане Олеговне!!! Очень внимательный врач, находит подход к каждому ребёнку и может заболтать любого, что ребёнок не замечает как все зубки вылечили. До этого в бе...
Anna Prokopeva
20.03.2026
Хочу отметить слаженную работу всего коллектива. Доброжелательность и уют. Были в "гостях" у доброго доктора Максима Александровича и его помощницы (со слов ребёнка), по причине нюансов смены молочных зубов. СПАС...
Татьяна Жидкова
19.03.2026
Делали зубки сыну (3 года), довольны с самого входа в клинику. Обслуживание на высшем уровне! Замечательный персонал. Поставили коронки, делали зубки во сне. Очень переживала, но как оказалось, зря. Все вежливые, компетент...
Костина Елена Ивановна
15.03.2026
В очередной раз были на приеме у Анны Александровны Силкиной. Как всегда, профессионально и бережно к детским зубкам провела прием. Ребенок с удовольствием ходит на приемы и с улыбкой выходит из кабинета Анны Александровны. Спасиб...
Шатько Юлия Алексеевна
15.03.2026
Начали ходить с дочкой к Арине Дмитриевне в 2 годика и уже 3 года наблюдаемся с двумя детьми только у Арины Дмитриевны! Всегда расскажет и покажет наглядно где и что нужно прочистить или лечить. Очень нежно и трепетно относится к ...
Алёна Довгань
09.03.2026
Хотелось бы отдельно поблагодарить Агачиеву Ф.Г.
Сыну 6 лет, ранее был дважды опыт лечения зубов под наркозом в другой клинике.
Когда назначили 3й раз наркоз, решили попробовать Дентал-сервис по рекомендации знакомых с...
Данила Шумаков
08.03.2026
Отличная клиника с профессионалами своего дела!
Особенно хочется отметить высочайший уровень обслуживания и внимания персонала. Персональный менеджер Наталья — настоящий образец заботы и отзывчивости. Даже в свои выходные он...
Юлия М.Д.
03.03.2026
Около 10 лет лечим зубки у Азаровой И.Ю. Приезжаем из другого города. Это прекрасный врач, любящий свою работу и наших детей. Спасибо вам огромное.
Также хочу поблагодарить анестезиологов и хирургов клиники.
Жаль, что ...
Профи, швейный цех Козлова
03.03.2026
Лучшие хирурги однозначно здесь! Чучкаева Ксения Викторовна - хирург от бога, буквально три дня назад удаляли зуб в другой клинике, доктор возился с зубом очень долго, ребенок орал, просто жуть! Я думала дочь просто не даст удалит...
Ольга Орлова
02.03.2026
Огромная благодарность Долгополовой Светлане Олеговне ! Замечательный врач, специалист высокого уровня! Ребенок в 4 года был первый раз у стоматолога, и остался доволен ! Вылечили пульпит и кариес, без боли, в игровой форме, спаси...
Ирина
28.02.2026
Были на приеме с ребёнком. Клиника понравилась, интересная игровая комната, аниматор, все очень продуманно. Ну огромную благодарность хочется выразить доктору, Андроновой Алене Анатольевне. Она умеет найти подход к ребёнку, заинте...
Заполните форму
Данные пациента
Выбрать врача и специализацию
    Супертехнологии
    Челюстно-лицевая хирургия
    Дентал-Сервис – это не только стоматология. В 2017 году мы открыли Клинику хирургии лица, в которой помогаем пациентам с диагнозами из смежных областей – от тяжелых аномалий прикуса до последствий травм тканей лица.
    Подробнее
    Челюстно-лицевая хирургия
    Лечение под микроскопом
    100% микроскопизация — глобальный вектор компании. В нашей команде более 60 микроскопистов, аналогов в России нет. Все терапевтическое лечение — от кариеса до каналов — мы проводим с микроскопом.
    Подробнее
    Лечение под микроскопом
    Лечение детей под наркозом
    В Дентал-Сервис можно спать спокойно! Безопасность и качество лечения под наркозом в наших клиниках отвечают самым высоким требованиям, а анестезиологи — суперпрофессионалы с огромным опытом. За двенадцать лет мы провели более 10000 лечений — у детей и взрослых.
    Подробнее
    Лечение детей под наркозом
    Травма детского зуба
    Травма зуба — не повод его потерять. Восстановим сломанный зуб, приживим выбитый. Зуб продолжит расти и развиваться! Сохранение нерва травмированного зуба — высший пилотаж, наш эксклюзив.
    Подробнее
    Травма детского зуба
    Эстетическая стоматология
    Эстетическая стоматология — наша гордость. Колоссальный опыт, художественное чутье, передовые технологии и работа в команде — вот секреты мастеров, возрождающих шедевр вашей улыбки.
    Подробнее
    Эстетическая стоматология
    Имплантация зубов
    Ставим имплантаты всерьез и надолго. Готовы помочь даже в самых сложных клинических случаях и делаем все, чтобы новые зубы стали полноценной, долговечной заменой утраченным.
    Подробнее
    Имплантация зубов
    АГАЧИЕВА
    АГАЧИЕВА Феруза Газанфар кызы
    Детский стоматолог
    Клиника на пл. Карла Маркса, 1
    Записаться

    Мы предлагаем вам ознакомиться с общим графиком работы врача на месяц. Пожалуйста, обратите внимание, что доступные слоты для записи не указаны. Чтобы узнать свободное время для записи, пожалуйста, свяжитесь с нашим контактным центром. Наши операторы с радостью помогут вам!

    Выбрано для предварительной записи:
    АДУЕВА
    АДУЕВА Дарья Вячеславовна
    Врач-стоматолог
    Клиника на Гребенщикова, 1 (Родники)
    Записаться

    Мы предлагаем вам ознакомиться с общим графиком работы врача на месяц. Пожалуйста, обратите внимание, что доступные слоты для записи не указаны. Чтобы узнать свободное время для записи, пожалуйста, свяжитесь с нашим контактным центром. Наши операторы с радостью помогут вам!

    Выбрано для предварительной записи:
    АЛЕКСЕЕВА
    АЛЕКСЕЕВА Наталья Эдуардовна
    Детский стоматолог
    Клиника на Вокзальной, 50/1 (Бердск)
    Записаться

    Мы предлагаем вам ознакомиться с общим графиком работы врача на месяц. Пожалуйста, обратите внимание, что доступные слоты для записи не указаны. Чтобы узнать свободное время для записи, пожалуйста, свяжитесь с нашим контактным центром. Наши операторы с радостью помогут вам!

    Выбрано для предварительной записи:
    АНДРОНОВА (ВИЛЯЙ)
    АНДРОНОВА (ВИЛЯЙ) Алёна Анатольевна
    Врач-стоматолог
    Клиника на пл. Карла Маркса, 1
    Записаться

    Мы предлагаем вам ознакомиться с общим графиком работы врача на месяц. Пожалуйста, обратите внимание, что доступные слоты для записи не указаны. Чтобы узнать свободное время для записи, пожалуйста, свяжитесь с нашим контактным центром. Наши операторы с радостью помогут вам!

    Выбрано для предварительной записи:
    БАСАЛАЕВА
    БАСАЛАЕВА Валерия Сергеевна
    Врач-стоматолог
    Клиника на Гребенщикова, 1 (Родники)

    Принимает еще в 1 клинике

    Записаться

    Мы предлагаем вам ознакомиться с общим графиком работы врача на месяц. Пожалуйста, обратите внимание, что доступные слоты для записи не указаны. Чтобы узнать свободное время для записи, пожалуйста, свяжитесь с нашим контактным центром. Наши операторы с радостью помогут вам!

    Выбрано для предварительной записи:
    БОЙКО
    БОЙКО Оксана Александровна
    Детский стоматолог
    Клиника на Героев Труда, 4 (Академгородок)
    Записаться

    Мы предлагаем вам ознакомиться с общим графиком работы врача на месяц. Пожалуйста, обратите внимание, что доступные слоты для записи не указаны. Чтобы узнать свободное время для записи, пожалуйста, свяжитесь с нашим контактным центром. Наши операторы с радостью помогут вам!

    Выбрано для предварительной записи:
    БЫКОВА
    БЫКОВА Мария Евгеньевна
    Детский стоматолог
    Детская клиника на Ленина, 17
    Записаться

    Мы предлагаем вам ознакомиться с общим графиком работы врача на месяц. Пожалуйста, обратите внимание, что доступные слоты для записи не указаны. Чтобы узнать свободное время для записи, пожалуйста, свяжитесь с нашим контактным центром. Наши операторы с радостью помогут вам!

    Выбрано для предварительной записи:
    ВОЗГРИНА (ЖАРКОВА)
    ВОЗГРИНА (ЖАРКОВА) Арина Дмитриевна
    Врач-стоматолог
    Клиника на пл. Карла Маркса, 1
    Записаться

    Мы предлагаем вам ознакомиться с общим графиком работы врача на месяц. Пожалуйста, обратите внимание, что доступные слоты для записи не указаны. Чтобы узнать свободное время для записи, пожалуйста, свяжитесь с нашим контактным центром. Наши операторы с радостью помогут вам!

    Выбрано для предварительной записи:
    ГАЛИЧ
    ГАЛИЧ Александр Витальевич
    Врач-стоматолог
    Клиника на пл. Карла Маркса, 1
    Записаться
    Выбрано для предварительной записи:
    ГОРБАЧЕВА
    ГОРБАЧЕВА Ксения Валерьевна
    Детский стоматолог
    Ведущий специалист
    Главный врач Клиники на Гребенщикова, 1
    Клиника на Гребенщикова, 1 (Родники)
    Записаться

    Мы предлагаем вам ознакомиться с общим графиком работы врача на месяц. Пожалуйста, обратите внимание, что доступные слоты для записи не указаны. Чтобы узнать свободное время для записи, пожалуйста, свяжитесь с нашим контактным центром. Наши операторы с радостью помогут вам!

    Выбрано для предварительной записи:
    ГРАКОВИЧ
    ГРАКОВИЧ Эльвира Николаевна
    Детский стоматолог
    Ведущий специалист
    Клиника на пл. Карла Маркса, 1

    Принимает еще в 1 клинике

    Записаться

    Мы предлагаем вам ознакомиться с общим графиком работы врача на месяц. Пожалуйста, обратите внимание, что доступные слоты для записи не указаны. Чтобы узнать свободное время для записи, пожалуйста, свяжитесь с нашим контактным центром. Наши операторы с радостью помогут вам!

    Выбрано для предварительной записи:
    ГРЫДИНА (СОЛОГУБОВА)
    ГРЫДИНА (СОЛОГУБОВА) Ульяна Олеговна
    Детский стоматолог
    Клиника на Вокзальной, 50/1 (Бердск)
    Записаться

    Мы предлагаем вам ознакомиться с общим графиком работы врача на месяц. Пожалуйста, обратите внимание, что доступные слоты для записи не указаны. Чтобы узнать свободное время для записи, пожалуйста, свяжитесь с нашим контактным центром. Наши операторы с радостью помогут вам!

    Выбрано для предварительной записи:
    ДЕЕВА (ОБНОСОВА)
    ДЕЕВА (ОБНОСОВА) Любовь Игоревна
    Врач-стоматолог
    Клиника на Гребенщикова, 1 (Родники)
    Записаться

    Мы предлагаем вам ознакомиться с общим графиком работы врача на месяц. Пожалуйста, обратите внимание, что доступные слоты для записи не указаны. Чтобы узнать свободное время для записи, пожалуйста, свяжитесь с нашим контактным центром. Наши операторы с радостью помогут вам!

    Выбрано для предварительной записи:
    ДОБРЫГИНА (НИКОЛАЕВА)
    ДОБРЫГИНА (НИКОЛАЕВА) Анна Александровна
    Врач-стоматолог
    Клиника на пл. Карла Маркса, 1
    Записаться

    Мы предлагаем вам ознакомиться с общим графиком работы врача на месяц. Пожалуйста, обратите внимание, что доступные слоты для записи не указаны. Чтобы узнать свободное время для записи, пожалуйста, свяжитесь с нашим контактным центром. Наши операторы с радостью помогут вам!

    Выбрано для предварительной записи:
    ДОЛГОПОЛОВА
    ДОЛГОПОЛОВА Светлана Олеговна
    Врач-стоматолог
    Клиника на пл. Карла Маркса, 1
    Записаться

    Мы предлагаем вам ознакомиться с общим графиком работы врача на месяц. Пожалуйста, обратите внимание, что доступные слоты для записи не указаны. Чтобы узнать свободное время для записи, пожалуйста, свяжитесь с нашим контактным центром. Наши операторы с радостью помогут вам!

    Выбрано для предварительной записи:
    ДРОЗДОВА
    ДРОЗДОВА Валерия Николаевна
    Детский стоматолог
    Ведущий специалист
    Клиника на пл. Карла Маркса, 1
    Записаться

    Мы предлагаем вам ознакомиться с общим графиком работы врача на месяц. Пожалуйста, обратите внимание, что доступные слоты для записи не указаны. Чтобы узнать свободное время для записи, пожалуйста, свяжитесь с нашим контактным центром. Наши операторы с радостью помогут вам!

    Выбрано для предварительной записи:
    ДУДКИНА
    ДУДКИНА Венера Юрьевна
    Детский стоматолог
    Клиника хирургии лица и стоматологии на Сакко и Ванцетти, 77
    Записаться

    Мы предлагаем вам ознакомиться с общим графиком работы врача на месяц. Пожалуйста, обратите внимание, что доступные слоты для записи не указаны. Чтобы узнать свободное время для записи, пожалуйста, свяжитесь с нашим контактным центром. Наши операторы с радостью помогут вам!

    Выбрано для предварительной записи:
    ДУДОЛАДОВА (БЕККЕР)
    ДУДОЛАДОВА (БЕККЕР) Александра Олеговна
    Врач-стоматолог
    Клиника хирургии лица и стоматологии на Сакко и Ванцетти, 77
    Записаться

    Мы предлагаем вам ознакомиться с общим графиком работы врача на месяц. Пожалуйста, обратите внимание, что доступные слоты для записи не указаны. Чтобы узнать свободное время для записи, пожалуйста, свяжитесь с нашим контактным центром. Наши операторы с радостью помогут вам!

    Выбрано для предварительной записи:
    ЕВПЛАНОВА
    ЕВПЛАНОВА Яна Викторовна
    Детский стоматолог
    Клиника на Героев Труда, 4 (Академгородок)
    Записаться

    Мы предлагаем вам ознакомиться с общим графиком работы врача на месяц. Пожалуйста, обратите внимание, что доступные слоты для записи не указаны. Чтобы узнать свободное время для записи, пожалуйста, свяжитесь с нашим контактным центром. Наши операторы с радостью помогут вам!

    Выбрано для предварительной записи:
    ИЗОТОВА Анастасия Сергеевна
    Детский стоматолог
    Клиника на Героев Труда, 4 (Академгородок)
    Записаться

    Мы предлагаем вам ознакомиться с общим графиком работы врача на месяц. Пожалуйста, обратите внимание, что доступные слоты для записи не указаны. Чтобы узнать свободное время для записи, пожалуйста, свяжитесь с нашим контактным центром. Наши операторы с радостью помогут вам!

    Выбрано для предварительной записи:
    ИСАЕВА
    ИСАЕВА Ирина Денисовна
    Врач-стоматолог
    Клиника на пл. Карла Маркса, 1
    Записаться

    Мы предлагаем вам ознакомиться с общим графиком работы врача на месяц. Пожалуйста, обратите внимание, что доступные слоты для записи не указаны. Чтобы узнать свободное время для записи, пожалуйста, свяжитесь с нашим контактным центром. Наши операторы с радостью помогут вам!

    Выбрано для предварительной записи:
    КАРЛОВА (КАЛИНА)
    КАРЛОВА (КАЛИНА) Виктория Ивановна
    Детский стоматолог
    Детская клиника на Ленина, 17
    Записаться

    Мы предлагаем вам ознакомиться с общим графиком работы врача на месяц. Пожалуйста, обратите внимание, что доступные слоты для записи не указаны. Чтобы узнать свободное время для записи, пожалуйста, свяжитесь с нашим контактным центром. Наши операторы с радостью помогут вам!

    Выбрано для предварительной записи:
    КАХРАМАНОВА
    КАХРАМАНОВА Супхана Бинали Кзы
    Врач-стоматолог
    Клиника на Дуси Ковальчук, 252/1
    Записаться

    Мы предлагаем вам ознакомиться с общим графиком работы врача на месяц. Пожалуйста, обратите внимание, что доступные слоты для записи не указаны. Чтобы узнать свободное время для записи, пожалуйста, свяжитесь с нашим контактным центром. Наши операторы с радостью помогут вам!

    Выбрано для предварительной записи:
    КИРЮШИНА
    КИРЮШИНА Анна Витальевна
    Врач-стоматолог
    Профессорская клиника на Николаева, 12/3 (Академгородок)
    Записаться

    Мы предлагаем вам ознакомиться с общим графиком работы врача на месяц. Пожалуйста, обратите внимание, что доступные слоты для записи не указаны. Чтобы узнать свободное время для записи, пожалуйста, свяжитесь с нашим контактным центром. Наши операторы с радостью помогут вам!

    Выбрано для предварительной записи:
    КОМАРОВСКАЯ
    КОМАРОВСКАЯ Юлия Александровна
    Детский стоматолог
    Детская клиника на Ленина, 17
    Записаться

    Мы предлагаем вам ознакомиться с общим графиком работы врача на месяц. Пожалуйста, обратите внимание, что доступные слоты для записи не указаны. Чтобы узнать свободное время для записи, пожалуйста, свяжитесь с нашим контактным центром. Наши операторы с радостью помогут вам!

    Выбрано для предварительной записи:
    КРАВЕЦ (БУРДАКОВА)
    КРАВЕЦ (БУРДАКОВА) Дарья Владимировна
    Врач-стоматолог
    Клиника на пл. Карла Маркса, 1
    Записаться

    Мы предлагаем вам ознакомиться с общим графиком работы врача на месяц. Пожалуйста, обратите внимание, что доступные слоты для записи не указаны. Чтобы узнать свободное время для записи, пожалуйста, свяжитесь с нашим контактным центром. Наши операторы с радостью помогут вам!

    Выбрано для предварительной записи:
    КУДЕЕВА
    КУДЕЕВА Диана Дмитриевна
    Врач-стоматолог
    Детская клиника на Ленина, 17
    Записаться

    Мы предлагаем вам ознакомиться с общим графиком работы врача на месяц. Пожалуйста, обратите внимание, что доступные слоты для записи не указаны. Чтобы узнать свободное время для записи, пожалуйста, свяжитесь с нашим контактным центром. Наши операторы с радостью помогут вам!

    Выбрано для предварительной записи:
    НАЗАРОВА (СПИРИДОНОВА)
    НАЗАРОВА (СПИРИДОНОВА) Александра Олеговна
    Врач-стоматолог
    Клиника на пл. Карла Маркса, 1
    Записаться
    Выбрано для предварительной записи:
    ПАВЛОВСКИХ
    ПАВЛОВСКИХ Ксения Евгеньевна
    Детский стоматолог
    Клиника хирургии лица и стоматологии на Сакко и Ванцетти, 77
    Записаться

    Мы предлагаем вам ознакомиться с общим графиком работы врача на месяц. Пожалуйста, обратите внимание, что доступные слоты для записи не указаны. Чтобы узнать свободное время для записи, пожалуйста, свяжитесь с нашим контактным центром. Наши операторы с радостью помогут вам!

    Выбрано для предварительной записи:
    ПАСЕКА
    ПАСЕКА Дина Александровна
    Зубной врач
    Детская клиника на Ленина, 17
    Записаться

    Мы предлагаем вам ознакомиться с общим графиком работы врача на месяц. Пожалуйста, обратите внимание, что доступные слоты для записи не указаны. Чтобы узнать свободное время для записи, пожалуйста, свяжитесь с нашим контактным центром. Наши операторы с радостью помогут вам!

    Выбрано для предварительной записи:
    ПЕРМЯКОВА
    ПЕРМЯКОВА Алина Юрьевна
    Детский стоматолог
    Клиника на Героев Труда, 4 (Академгородок)
    Записаться

    Мы предлагаем вам ознакомиться с общим графиком работы врача на месяц. Пожалуйста, обратите внимание, что доступные слоты для записи не указаны. Чтобы узнать свободное время для записи, пожалуйста, свяжитесь с нашим контактным центром. Наши операторы с радостью помогут вам!

    Выбрано для предварительной записи:
    ПОТУРАЕВА
    ПОТУРАЕВА Юлия Михайловна
    Зубной врач
    Клиника на Вокзальной, 50/1 (Бердск)
    Записаться

    Мы предлагаем вам ознакомиться с общим графиком работы врача на месяц. Пожалуйста, обратите внимание, что доступные слоты для записи не указаны. Чтобы узнать свободное время для записи, пожалуйста, свяжитесь с нашим контактным центром. Наши операторы с радостью помогут вам!

    Выбрано для предварительной записи:
    РЖАННИКОВА
    РЖАННИКОВА Мария Константиновна
    Детский стоматолог
    Клиника на Никольском проспекте, 1 (Кольцово)
    Записаться

    Мы предлагаем вам ознакомиться с общим графиком работы врача на месяц. Пожалуйста, обратите внимание, что доступные слоты для записи не указаны. Чтобы узнать свободное время для записи, пожалуйста, свяжитесь с нашим контактным центром. Наши операторы с радостью помогут вам!

    Выбрано для предварительной записи:
    СИЛКИНА
    СИЛКИНА Анна Александровна
    Врач-стоматолог
    Детская клиника на Ленина, 17
    Записаться

    Мы предлагаем вам ознакомиться с общим графиком работы врача на месяц. Пожалуйста, обратите внимание, что доступные слоты для записи не указаны. Чтобы узнать свободное время для записи, пожалуйста, свяжитесь с нашим контактным центром. Наши операторы с радостью помогут вам!

    Выбрано для предварительной записи:
    ТИУНОВА
    ТИУНОВА Яна Евгеньевна
    Детский стоматолог
    Детская клиника на Ленина, 17
    Записаться

    Мы предлагаем вам ознакомиться с общим графиком работы врача на месяц. Пожалуйста, обратите внимание, что доступные слоты для записи не указаны. Чтобы узнать свободное время для записи, пожалуйста, свяжитесь с нашим контактным центром. Наши операторы с радостью помогут вам!

    Выбрано для предварительной записи:
    ТОРОХОВА
    ТОРОХОВА Кристина Евгеньевна
    Детский стоматолог
    Клиника на пл. Карла Маркса, 1
    Записаться

    Мы предлагаем вам ознакомиться с общим графиком работы врача на месяц. Пожалуйста, обратите внимание, что доступные слоты для записи не указаны. Чтобы узнать свободное время для записи, пожалуйста, свяжитесь с нашим контактным центром. Наши операторы с радостью помогут вам!

    Выбрано для предварительной записи:
    ТРЕМАСОВА
    ТРЕМАСОВА Ольга Борисовна
    Детский стоматолог
    Стоматолог-терапевт
    Ведущий специалист
    Детская клиника на Ленина, 17
    Записаться

    Мы предлагаем вам ознакомиться с общим графиком работы врача на месяц. Пожалуйста, обратите внимание, что доступные слоты для записи не указаны. Чтобы узнать свободное время для записи, пожалуйста, свяжитесь с нашим контактным центром. Наши операторы с радостью помогут вам!

    Выбрано для предварительной записи:
    УШАКОВА
    УШАКОВА Дарья Аркадьевна
    Врач-стоматолог
    Клиника на Никольском проспекте, 1 (Кольцово)
    Записаться

    Мы предлагаем вам ознакомиться с общим графиком работы врача на месяц. Пожалуйста, обратите внимание, что доступные слоты для записи не указаны. Чтобы узнать свободное время для записи, пожалуйста, свяжитесь с нашим контактным центром. Наши операторы с радостью помогут вам!

    Выбрано для предварительной записи:
    ЦЫРЕНЖАПОВА
    ЦЫРЕНЖАПОВА Диана Батомункуевна
    Врач-стоматолог
    Клиника на Никольском проспекте, 1 (Кольцово)
    Записаться

    Мы предлагаем вам ознакомиться с общим графиком работы врача на месяц. Пожалуйста, обратите внимание, что доступные слоты для записи не указаны. Чтобы узнать свободное время для записи, пожалуйста, свяжитесь с нашим контактным центром. Наши операторы с радостью помогут вам!

    Выбрано для предварительной записи:
    ШВЫДКАЯ
    ШВЫДКАЯ Анастасия Александровна
    Врач-стоматолог
    Клиника на Героев Труда, 4 (Академгородок)
    Записаться

    Мы предлагаем вам ознакомиться с общим графиком работы врача на месяц. Пожалуйста, обратите внимание, что доступные слоты для записи не указаны. Чтобы узнать свободное время для записи, пожалуйста, свяжитесь с нашим контактным центром. Наши операторы с радостью помогут вам!

    Выбрано для предварительной записи:
    ЯКУНИНА
    ЯКУНИНА Полина Андреевна
    Врач-стоматолог
    Клиника на Дуси Ковальчук, 252/1
    Записаться

    Мы предлагаем вам ознакомиться с общим графиком работы врача на месяц. Пожалуйста, обратите внимание, что доступные слоты для записи не указаны. Чтобы узнать свободное время для записи, пожалуйста, свяжитесь с нашим контактным центром. Наши операторы с радостью помогут вам!

    Выбрано для предварительной записи:
    Услуга
    Цена, руб.

    Детская стоматология

    Прием детского стоматолога/зубного врача первичный (до 30 минут)
    от 900 руб.
    Прием детского стоматолога первичный расширенный (до 45 минут)
    Развернутая консультация по комплексному лечению и/или лечению в наркозе
    от 1 700 руб.
    Прием детского стоматолога/зубного врача повторный (проф.осмотр)
    от 800 руб.
    Лечение кариеса молочного зуба (без учета анестезии)
    от 4 600 руб.
    Лечение обратимого пульпита молочного зуба
    Стоимость указана без учета анестезии и восстановления
    от 4 700 руб.
    Лечение пульпита молочного зуба
    Стоимость лечения зуба в 2 этапа без учета анестезии и восстановления. 1 этап: пульпотомия, экстирпация пульпы, временное пломбирование лекарственным препаратом корневого канала, наложение временной пломбы, инструментальная и медикаментозная обработка корневого канала. 2 этап: пломбирование корневого канала зуба пастой, снятие временной пломбы.
    от 8 700 руб.
    Лечение периодонтита молочного зуба
    Стоимость лечения зуба в 2 этапа без учета анестезии и восстановления. 1 этап: пульпотомия, экстирпация пульпы, временное пломбирование лекарственным препаратом корневого канала, наложение временной пломбы, инструментальная и медикаментозная обработка корневого канала. 2 этап: пломбирование корневого канала зуба пастой, снятие временной пломбы.
    от 8 700 руб.
    Удаление подвижного молочного зуба (без учета анестезии)
    от 2 500 руб.
    Удаление неподвижного молочного зуба (без учета анестезии)
    от 3 900 руб.
    Восстановление молочного зуба коронкой
    При сильных разрушениях молочных зубов для их сохранения используют в лечении коронки, стальные или из диоксида циркония.
    от 7 800 руб.
    Адаптационная комплексная профессиональная гигиена полости рта и зубов у детей по протоколу GBT (до 4 лет)
    В процедуру входит: снятие зубного налета, обучение гигиене, без покрытия/с покрытием фторсодержащими препаратами.
    от 3 700 руб.
    Комплексная профессиональная гигиена полости рта и зубов у детей со сменным прикусом по протоколу GBT (до 8 лет)
    В процедуру входит: снятие зубного налета, обучение гигиене, без покрытия/с покрытием фторсодержащими препаратами.
    от 5 000 руб.

    Рентгенодиагностика

    Пакет радиовизиографических снимков всей челюсти для детей
    от 2 800 руб.
    Пакет радиовизиографических снимков всей челюсти для детей при лечении под наркозом
    от 3 800 руб.

    Анестезиология

    Аппликационная анестезия
    от 550 руб.
    Инфильтрационная анестезия (одна карпула)
    от 1 300 руб.
    Проводниковая анестезия (одна карпула)
    от 1 300 руб.

    Лечение под наркозом

    Консультация врача-анестезиолога-реаниматолога
    от 2 000 руб.
    Медикаментозный сон (вводный наркоз + первый час + постнаркозное наблюдение)
    от 15 000 руб.
    Ингаляционный наркоз для краткосрочных вмешательств с использованием севорана (до 30 минут)
    от 9 200 руб.

    Лечение в седации

    Консультация врача-анестезиолога-реаниматолога
    При стоматологическом наркозе используется безопасный препарат севоран, он погружает человека в глубокий сон.
    от 2 000 руб.
    Ингаляционный наркоз с использованием закиси азота
    Расслабление с помощью успокаивающего газа, который подается через маску на носу. При этом пациент находится в сознании, общается с врачом, нормально дышит.
    от 3 600 руб.

    Цены на услуги стоматологии указаны базовые. Стоимость приема и лечения у ведущих специалистов выше от 20% до 50%.
    Цены на сайте не являются публичной офертой.