Записаться
ЕФРЕМОВА (ИСАЕВА)

ЕФРЕМОВА (ИСАЕВА) Евгения Сергеевна

Стоматолог-терапевт
Ведущий специалист
Опытные специалисты со стажем от 7 лет. Ведут сложные случаи, обучают врачей и владеют продвинутыми методиками. Подробнее здесь
Стаж работы 9 лет
Принимает в клиниках
Клиника на Блюхера, 30
Категории пациентов
дети
подростки
взрослые

Мой путь в эстетическую стоматологию начался еще в университете, когда я начала изучать морфологию зубов и особенности оптических эффектов во фронтальных зубах. На пятом курсе я стала победителем российского этапа международного конкурса по реставрации зубов, проходила обучение в Европе. Все эти жизненные этапы дали мне понять, что эстетическая стоматология и сохранение естественной красоты зубов — это дело моей жизни, которое я безумно люблю.

Когда реставрирую фронтальные зубы, я погружаюсь в процесс на столько, что не замечаю, как пролетает время! А еще меня вдохновляют сами пациенты, которые после реставрации приходят ко мне абсолютно новыми людьми и признаются, что всего лишь улыбка поменяла их стиль одежды, прическу и мышление. Поэтому всем я желаю не бояться изменений и переходить на светлую сторону здоровья!

Квалификация

Стоматология терапевтическая
Сертификат до 21.06.2027
Стоматология ортопедическая
Сертификат до 19.07.2026

Основное образование

2015
Высшее - ГБОУ ВПО НГМУ Минздрава России, стоматология
2017
Ординатура - ФГБОУ ВО НГМУ Минздрава России, стоматология терапевтическая
2021
Ординатура - ГБОУ ВПО Новосибирский государственный медицинский университет Министерства здравоохранения РФ, стоматология ортопедическая
Профессиональные навыки
Лечение под микроскопом
Лечение под седацией
Анализ компьютерной томографии и составление плана лечения
Эстетическая реставрация передних и жевательных зубов

ЕФРЕМОВА (ИСАЕВА) Евгения Сергеевна — стоматолог-терапевт ведущий специалист в сети стоматологических клиник Дентал-Сервис. Стаж работы 9 лет. Ведет прием у пациентов: взрослые. Оказывает услуги: лечение под микроскопом, терапевтическая стоматология, лечение кариеса, лечение пульпита, лечение периодонтита, отбеливание зубов, реставрация зубов. Профессиональные навыки: лечение под микроскопом, лечение под седацией, анализ компьютерной томографии и составление плана лечения, эстетическая реставрация передних и жевательных зубов.

Врач является ведущим специалистом и принимает по повышенному прайсу

Услуга
Цена, руб.

Лечение зубов под микроскопом

Прием врача-стоматолога-терапевта первичный
от 1 200 руб.
Прием врача-стоматолога-терапевта повторный (проф.осмотр)
бесплатно
Оказание неотложной стоматологической помощи (без учета анестезии)
Включает снятие острой боли, установку временной пломбы.
от 4 700 руб.
Лечение кариеса эмали по технологии ICON (без учета анестезии)
Запечатывание вестибулярной поверхности зуба герметиком
от 9 800 руб.
Лечение кариеса (без учета анестезии)
от 10 900 руб.
Лечение обратимого пульпита (без учета анестезии)
Закрытие перфорации стенки корневого канала зуба, восстановление зуба пломбой с использованием материалов из фотополимеров.
от 6 200 руб.
Двухэтапное лечение пульпита одноканального зуба (без учета анестезии)
1 этап: пульпотомия, экстирпация пульпы, временное пломбирование лекарственным препаратом корневого канала, наложение временной пломбы, инструментальная и медикаментозная обработка корневого канала. 2 этап: пломбирование корневого канала зуба гуттаперчивыми штифтами, снятие временной пломбы.
от 19 900 руб.
Двухэтапное лечение периодонтита одноканального зуба (без учета анестезии)
1 этап: инструментальная и медикаментозная обработка корневого канала, временное пломбирование лекарственным препаратом корневого канала, наложение временной пломбы. 2 этап: пломбирование корневого канала зуба гуттаперчивыми штифтами, снятие временной пломбы.
от 19 900 руб.
Апикальная хирургия. Хирургический и терапевтический этап в области фронтальных зубов
1ый этап хирургический: резекция верхушки корня зуба, цистэктомия, наложение шва на слизистую оболочку рта. 2ой этап терапевтический: инструментальная и медикаментозная обработка корневого канала (ретропрепарирование), закрытие перфорации стенки корневого канала зуба (пломбирование МТА, биокерамикой).
от 50 000 руб.

Отбеливание зубов

Прием стоматологического гигиениста первичный
от 1 200 руб.
Профессиональное отбеливание зубов системой "Аmazing white" (25%)
от 20 000 руб.
Профессиональное отбеливание зубов системой "Аmazing white" (38%)
от 26 300 руб.
Профессиональное отбеливание зубов системой "ZOOM"
от 49 900 руб.

Эстетическая стоматология

Художественная реставрация жевательного зуба
Восстановление естественной структуры/формы/цвета зуба при помощи синтетических материалов.
от 23 200 руб.
Художественная реставрация фронтального зуба
Восстановление естественной структуры/формы/цвета зуба при помощи синтетических материалов.
от 29 400 руб.
Эстетическое контурирование зуба
Процедура выравнивания, либо изменения формы зубов. Это быстрый и недорогой метод, обычно не требующий анестезии. Показания: сломанные, длинные или аномальные зубы.
от 6 400 руб.

Анестезиология

Аппликационная анестезия
от 700 руб.
Инфильтрационная анестезия (одна карпула)
от 1 700 руб.
Проводниковая анестезия (одна карпула)
от 1 700 руб.

Лечение в седации

Консультация врача-анестезиолога-реаниматолога
При стоматологическом наркозе используется безопасный препарат севоран, он погружает человека в глубокий сон.
от 2 000 руб.

Мы предлагаем вам ознакомиться с общим графиком работы врача на месяц. Пожалуйста, обратите внимание, что доступные слоты для записи не указаны. Чтобы узнать свободное время для записи, пожалуйста, свяжитесь с нашим контактным центром. Наши операторы с радостью помогут вам!

Выбрано для предварительной записи:
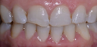
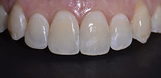
Мария Л
16.02.2026
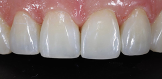
Виктория
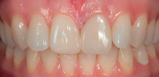
15.07.2023

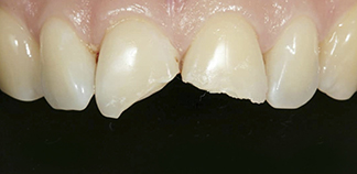
До лечения

Жалоба на кариес после ортодонтического лечения.

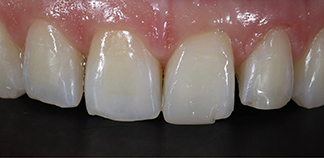
Как лечили

Лечение контактного кариеса. Проведена художественная реставрация зубов.

Лечащий врач

ЕФРЕМОВА (ИСАЕВА) Евгения Сергеевна

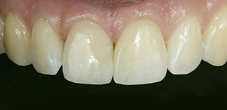
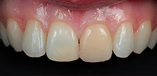
До лечения

Жалоба на боль в зубе.

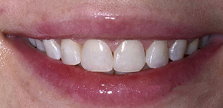
Как лечили

Пролечены корневые каналы центрального резца. Проведена художественная реставрация четырех верхних зубов.

Лечащий врач

ЕФРЕМОВА (ИСАЕВА) Евгения Сергеевна

Другие специалисты

КРАВЕЦ (БУРДАКОВА)
КРАВЕЦ (БУРДАКОВА) Дарья Владимировна
Врач-стоматолог
Клиника на пл. Карла Маркса, 1
Записаться
ПИЛИПЕНКО
ПИЛИПЕНКО Кристина Дмитриевна
Врач-стоматолог
Клиника на Никольском проспекте, 1 (Кольцово)
Записаться
ШУВАЛОВА
ШУВАЛОВА Юлия Сергеевна
Гигиенист
Клиника на Блюхера, 30
Записаться
КРАВЦОВА (ФИДИРКИНА)
КРАВЦОВА (ФИДИРКИНА) Софья Андреевна
Стоматолог-терапевт
Стоматолог-ортопед
Главный врач Клиники на Дуси Ковальчук, 252/1
Клиника на Дуси Ковальчук, 252/1
Записаться
МОРОДЕЦКАЯ (ПРОХОРОВА)
МОРОДЕЦКАЯ (ПРОХОРОВА) Александра Владимировна
Стоматолог-терапевт
Клиника на пл. Карла Маркса, 1
Записаться
ЭЙХМАН
ЭЙХМАН Наталья Георгиевна
Зубной врач
Клиника на Революции, 10
Записаться
ЗАЯТУЕВА Юлия Дамдиновна
Врач-стоматолог
Профессорская клиника на Николаева, 12/3 (Академгородок)
Записаться
РЕУТСКИХ (БУТАКОВА)
РЕУТСКИХ (БУТАКОВА) Дарья Викторовна
Стоматолог-терапевт
Детский стоматолог
Клиника хирургии лица и стоматологии на Сакко и Ванцетти, 77
Записаться
ГАПЧЕНКО Анжелика Сергеевна
Врач-стоматолог
Клиника на Дуси Ковальчук, 252/1
Записаться
КИСЕЛЕВ
КИСЕЛЕВ Кирилл Эдуардович
Стоматолог-ортопед
Клиника хирургии лица и стоматологии на Сакко и Ванцетти, 77

Принимает еще в 1 клинике

Записаться
ПАСЕКА
ПАСЕКА Дина Александровна
Зубной врач
Детская клиника на Ленина, 17
Записаться
БАКУЛИНА (ЖЕБЕЛЕВА)
БАКУЛИНА (ЖЕБЕЛЕВА) Елена Сергеевна
Гигиенист
Клиника на Революции, 10
Записаться