Записаться
КАЗАНИН

КАЗАНИН Никита Сергеевич

Врач-стоматолог
Стаж работы 7 лет
Принимает в клиниках
Клиника на Дуси Ковальчук, 252/1
Профессорская клиника на Николаева, 12/3 (Академгородок)
Категории пациентов
дети
подростки
взрослые
Врач принимает по ДМС

Я рад, что могу не только помочь обрести своим пациентам красивую и здоровую улыбку, но и сделать это качественно, комфортно и безболезненно.

Доверие вашего здоровья — самое ценное для меня и моих коллег В «Дентал-Сервис»!

Квалификация

Стоматология общей практики
Сертификат до 23.07.2029
Стоматология ортопедическая
Сертификат до 15.07.2030

Основное образование

2019
Высшее - ФГБОУ ВО НГМУ Минздрава России, стоматология
2025
Ординатура - ФГБОУ ВО "Новосибирский государственный медицинский университет" Министерства здравоохранения Российской Федерации, стоматология ортопедическая
Профессиональные навыки
Лечение под микроскопом
Лечение под седацией
Аккуратная подготовка зуба под коронку
Анализ компьютерной томографии и составление плана лечения
Эстетическая реставрация передних и жевательных зубов
Акции с участием врача
Смотреть все
Все акции Профессорской клиники на Николаева, 12/3
Лечение зубов со скидкой до 35%

1 декабря 2025-30 апреля 2026

КАЗАНИН Никита Сергеевич — стоматолог-терапевт, стоматолог-ортопед в сети стоматологических клиник Дентал-Сервис. Стаж работы 7 лет. Ведет прием у пациентов: взрослые. Принимает по ДМС. Оказывает услуги: лечение под микроскопом, терапевтическая стоматология, лечение кариеса, лечение пульпита, лечение периодонтита, протезирование на имплантатах, реставрация зубов. Профессиональные навыки: лечение под микроскопом, лечение под седацией, аккуратная подготовка зуба под коронку, анализ компьютерной томографии и составление плана лечения, эстетическая реставрация передних и жевательных зубов.

Услуга
Цена, руб.

Лечение зубов под микроскопом

Прием врача-стоматолога-терапевта первичный
от 900 руб.
Прием врача-стоматолога-терапевта повторный (проф.осмотр)
бесплатно
Оказание неотложной стоматологической помощи (без учета анестезии)
Включает снятие острой боли, установку временной пломбы.
от 3 700 руб.
Лечение кариеса эмали по технологии ICON (без учета анестезии)
Запечатывание вестибулярной поверхности зуба герметиком
от 7 800 руб.
Лечение кариеса (без учета анестезии)
от 8 700 руб.
Лечение обратимого пульпита (без учета анестезии)
Закрытие перфорации стенки корневого канала зуба, восстановление зуба пломбой с использованием материалов из фотополимеров.
от 5 000 руб.
Двухэтапное лечение пульпита одноканального зуба (без учета анестезии)
1 этап: пульпотомия, экстирпация пульпы, временное пломбирование лекарственным препаратом корневого канала, наложение временной пломбы, инструментальная и медикаментозная обработка корневого канала. 2 этап: пломбирование корневого канала зуба гуттаперчивыми штифтами, снятие временной пломбы.
от 15 900 руб.
Двухэтапное лечение периодонтита одноканального зуба (без учета анестезии)
1 этап: инструментальная и медикаментозная обработка корневого канала, временное пломбирование лекарственным препаратом корневого канала, наложение временной пломбы. 2 этап: пломбирование корневого канала зуба гуттаперчивыми штифтами, снятие временной пломбы.
от 15 900 руб.
Апикальная хирургия. Хирургический и терапевтический этап в области фронтальных зубов
1ый этап хирургический: резекция верхушки корня зуба, цистэктомия, наложение шва на слизистую оболочку рта. 2ой этап терапевтический: инструментальная и медикаментозная обработка корневого канала (ретропрепарирование), закрытие перфорации стенки корневого канала зуба (пломбирование МТА, биокерамикой).
от 40 000 руб.

Эстетическая стоматология

Художественная реставрация жевательного зуба
Восстановление естественной структуры/формы/цвета зуба при помощи синтетических материалов.
от 18 500 руб.
Художественная реставрация фронтального зуба
Восстановление естественной структуры/формы/цвета зуба при помощи синтетических материалов.
от 23 500 руб.
Эстетическое контурирование зуба
Процедура выравнивания, либо изменения формы зубов. Это быстрый и недорогой метод, обычно не требующий анестезии. Показания: сломанные, длинные или аномальные зубы.
от 5 100 руб.

Анестезиология

Аппликационная анестезия
от 550 руб.
Инфильтрационная анестезия (одна карпула)
от 1 300 руб.
Проводниковая анестезия (одна карпула)
от 1 300 руб.

Лечение в седации

Консультация врача-анестезиолога-реаниматолога
При стоматологическом наркозе используется безопасный препарат севоран, он погружает человека в глубокий сон.
от 2 000 руб.

Мы предлагаем вам ознакомиться с общим графиком работы врача на месяц. Пожалуйста, обратите внимание, что доступные слоты для записи не указаны. Чтобы узнать свободное время для записи, пожалуйста, свяжитесь с нашим контактным центром. Наши операторы с радостью помогут вам!

Выбрано для предварительной записи:
Рыжкова Алла Васильевна
18.12.2025
Иннокентий Сергучев
15.01.2025
Пациент
22.10.2024
Ольга
14.04.2024
Юлия Трушева
06.06.2022

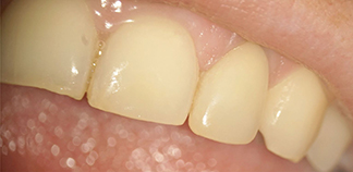
До лечения

Жалобы на эстетический дефект фронтальных зубов.
Пациенту 45 лет.

Как лечили

Проведено внутрикоронковое отбеливание. Замена старых пломб на новые, реставрация зуба.

Лечащий врач

КАЗАНИН Никита Сергеевич

До лечения

Жалобы на боль в зубе, застревание пищи.
Пациенту 41 год.

Как лечили

Пролечен кариес, зуб восстановлен композитным материалом. Зафиксирована вкладка на зуб.
Лечение проведено в течение десяти дней.

Лечащие врачи
ЗАВОДОВ Олег Игоревич, КАЗАНИН Никита Сергеевич

Другие специалисты

НАРАЕВ
НАРАЕВ Роман Михайлович
Челюстно-лицевой хирург
Клиника на Революции, 10
Записаться
БАКУНИН
БАКУНИН Максим Леонидович
Анестезиолог-реаниматолог
Клиника на пл. Карла Маркса, 1
Записаться
ГЕВКО (РЕГУЗОВА)
ГЕВКО (РЕГУЗОВА) Мария Евгеньевна
Стоматолог-ортопед
Врач высшей категории
Клиника на Героев Труда, 4 (Академгородок)
Записаться
ИЗОТОВА Анастасия Сергеевна
Детский стоматолог
Клиника на Героев Труда, 4 (Академгородок)
Записаться
СОЛДАТОВ
СОЛДАТОВ Сергей Васильевич
Рентгенолаборант
Клиника на Блюхера, 30

Принимает еще в 1 клинике

Записаться
ЛЯХОВ
ЛЯХОВ Алексей Владимирович
Стоматолог-ортопед
Клиника хирургии лица и стоматологии на Сакко и Ванцетти, 77
Записаться
ВОЗГРИНА (ЖАРКОВА)
ВОЗГРИНА (ЖАРКОВА) Арина Дмитриевна
Врач-стоматолог
Клиника на пл. Карла Маркса, 1
Записаться
ЕФРЕМОВА (ИСАЕВА)
ЕФРЕМОВА (ИСАЕВА) Евгения Сергеевна
Стоматолог-терапевт
Клиника на Блюхера, 30
Записаться
ГРАКОВИЧ
ГРАКОВИЧ Эльвира Николаевна
Детский стоматолог
Клиника на пл. Карла Маркса, 1
Записаться
ПОГРЕБНЯК Владислав Игоревич
Врач-стоматолог
Профессорская клиника на Николаева, 12/3 (Академгородок)
Записаться
БУРНОС Александр Сергеевич
Врач-стоматолог
Клиника на Гребенщикова, 1 (Родники)
Записаться
НЕДОСВЯТИЙ
НЕДОСВЯТИЙ Светлана Викторовна
Стоматолог-терапевт
Детский стоматолог
Клиника на Героев Труда, 4 (Академгородок)
Записаться