Записаться
МАКАРОВА (ШИШКОВСКАЯ)

МАКАРОВА (ШИШКОВСКАЯ) Орыся Владимировна

Стоматолог-хирург
Челюстно-лицевой хирург
Врач высшей категории
Специалисты с опытом от 5 лет. Уверенно работают со сложными случаями, владеют сложными манипуляциями и получают отличные отзывы. Подробнее здесь
Стаж работы 13 лет
Принимает в клиниках
Клиника на Блюхера, 30
Клиника на Героев Труда, 4 (Академгородок)
Категории пациентов
дети
подростки
взрослые
Врач принимает по ДМС
Для меня моя профессия —это быть искренне преданной своему делу... любимому делу! Самое важное в работе врача это системный подход к проблеме пациента, умение работать в команде. Итог лечения можно считать успешным, если врач уверен, что он сделал всё от него зависящее и получил максимальный результат, которым пациент полностью удовлетворен. Именно этому принципу я следую в своей работе изо дня в день. Самая ценная награда для врача это доверие пациента!

Квалификация

Стоматология хирургическая
Сертификат до 26.09.2028
Челюстно-лицевая хирургия
Сертификат до 25.04.2028

Основное образование

2010
Высшее - ГОУ ВПО НГМУ Росздрава, стоматология
2013
Ординатура - ГБОУ ВПО НГМУ Минздрава России, челюстно-лицевая хирургия

Повышение квалификации, дополнительное образование

2016
ГБОУ ВПО НГМУ Минздрава России, стоматология хирургическая
2020
Сертификационный курс Министерства здравоохранения РФ «Диагностика, лечение, профилактика новой коронавирусной инфекции (COVID-19) в первичной медико-санитарной помощи»
Профессиональные навыки
Комплексная подготовка и проведение имплантации
Проведение зубосохраняющих операций
Лечение под наркозом
Удаление зубов любой сложности
Анализ компьютерной томографии и составление плана лечения
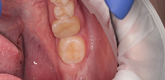
Результаты лечения пациентов
До лечения

Жалобы на интенсивные ноющие боли, боли при накусывании.
Пациенту 18 лет.

Как лечили

Удален седьмой зуб из-за хронического периодонтита. Проведена аутотрансплантация восьмого зуба на место седьмого. Через 9 месяцев проведен контрольный осмотр, жалоб нет.

Лечащий врач

МАКАРОВА (ШИШКОВСКАЯ) Орыся Владимировна

Отзывы пациентов
Мария Беляева
16.02.2025
Хочу поблагодарить клинику и врача Макарову Орысю Владимировну. Случай у меня был довольно неприятный, я обратилась за помощью после неудачного удаления верхнего зуба мудрости- в другой клинике мне оставили небный корень, были ост...
Пациент
08.01.2025
История пациента:
Обращалась по удалению "восьмерок". Так боялась данной процедуры (особенности, да и, в целом, непонятно, как пройдет). Процесс удаления прошел великолепно. Доктор очень располагает, настро...
Виктория
15.07.2023
Здравствуйте! Хочу выразить огромную благодарность, Орысе Владимировне и Евгении Сергеевне! За все этапы восстановления моих семёрок, за их профессиональный подход, к моей особенной ситуации!!!
Елена
01.06.2017
Добрый день! Уже не первый раз обращаюсь в эту стоматологию с детьми, и всегда уходим в хорошем настроении! Вчера были на приеме у Шишковской О.В., хирург замечательный, более грамотного специалиста я ещё не встречала! У сына-под...
doctu
Я долго мучилась с решением об удалении корня зуба, но в итоге решилась и пришла на прием к врачу Макаровой Орыся Владимировне. И, честно говоря, очень рада, что оказалась именно у неё. Врач оказалась настоящим профессионалом: всё...
Акции с участием врача
Смотреть все
Бесплатная консультация по имплантации и КТ
Вернем здоровье и красоту вашей улыбки!
Реклама ООО "Дентал-Сервис Бердск" ИНН 544525957, erid: 2VfnxwD8CRn

20 августа 2025-30 июня 2026

МАКАРОВА (ШИШКОВСКАЯ) Орыся Владимировна — имплантолог, стоматолог-хирург, врач высшей категории в сети стоматологических клиник Дентал-Сервис. Стаж работы 13 лет. Ведет прием у пациентов: взрослые, подростки. Принимает по ДМС. Оказывает услуги: пластика уздечки, удаление зубов, хирургическая стоматология, удаление зубов мудрости, удаление корня зуба, удаление кисты зуба, имплантация «все на 4», имплантация зубов, одномоментная имплантация, реконструкция костной ткани, имплантация, системы имплантации, цифровая имплантация, имплантация во сне. Профессиональные навыки: комплексная подготовка и проведение имплантации, проведение зубосохраняющих операций, лечение под наркозом, удаление зубов любой сложности, анализ компьютерной томографии и составление плана лечения.

Врач высшей категории принимает по повышенному прайсу

Услуга
Цена, руб.

Лечение зубов под микроскопом

Апикальная хирургия. Хирургический и терапевтический этап в области фронтальных зубов
1ый этап хирургический: резекция верхушки корня зуба, цистэктомия, наложение шва на слизистую оболочку рта. 2ой этап терапевтический: инструментальная и медикаментозная обработка корневого канала (ретропрепарирование), закрытие перфорации стенки корневого канала зуба (пломбирование МТА, биокерамикой)
от 44 000 руб.

Хирургическая стоматология

Прием врача-стоматолога-хирурга первичный
от 1 000 руб.
Удаление постоянного зуба (без учета анестезии)
от 6 000 руб.
Удаление зуба мудрости (восьмерки) (без учета анестезии)
от 6 000 руб.
Удаление постоянного зуба средней сложности
от 7 700 руб.
Удаление постоянного зуба сложное с разъединением корней
от 10 100 руб.
Удаление ретинированного, дистопированного или сверхкомплектного зуба (без учета анестезии)
от 16 500 руб.
Лечение периостита (без учета анестезии)
Вскрытие подслизистого или поднадкостничного очага воспаления (флюса) в полости рта.
от 2 700 руб.
Лечение перикоронита (без учета анестезии)
В процедуру входит: промывание, рассечение и/или иссечение капюшона
от 5 000 руб.
Гингивэктомия в области одного зуба (без учета анестезии)
Удаление разросшихся мягких тканей десен.
от 4 000 руб.
Вскрытие и дренирование абсцесса полости рта (фурункула)
от 4 200 руб.
Гингивопластика
Пластика мягких тканей при имплантации, костной пластике, изменении фенотипа десны
от 28 600 руб.
Синус-лифтинг (костная пластика, остеопластика), открытый, в области одного зуба
Наращивание костной ткани в области, контактирующей с гайморовыми пазухами.
от 89 100 руб.
Восстановление альвеолярного отростка (в области 1-2 зубов) аутотрансплантом
Восстановление альвеолярного отростка в области 1-2 зубов аутотрансплантом. Альвеолярный отросток — анатомическая часть верхней и нижней челюстей, несущая на себе зубы.
от 95 700 руб.
Удаление экзостоза, хондромы
от 4 300 руб.
Удаление новообразования мягких тканей (слизистой полости рта)
от 8 700 руб.
Удлинение клинической коронки
Лоскутная операция в полости рта по удлинение клинической коронки
от 12 100 руб.
Вестибулопластика (1 челюсть)
от 13 900 руб.
Удаление зубного имплантата (без учета анестезии)
от 16 200 руб.
Оказание неотложной стоматологической помощи (без учета анестезии)
от 4 000 руб.

Хирургия полости рта

Пластика уздечки языка (рассечение) (без учета анестезии)
Выполняется у младенцев до 3-х месяцев
от 2 500 руб.
Пластика уздечки языка (поперечное иссечение) (без учета анестезии)
от 7 000 руб.
Пластика уздечки верхней губы (без учета анестезии)
от 7 000 руб.
Пластика уздечки языка (функциональная миофренулопластика языка)
Авторская методика. Во время процедуры манипуляции не только с самой уздечкой, но и с тканями, которые находятся чуть глубже — с мышцами языка. Проведение процедуры позволяет языку уйти наверх и прижаться к небу, то есть занять свое законное физиологическое положение
от 48 000 руб.

Дентальная имплантация

Прием врача-стоматолога по имплантации
Консультация по дентальной имплантации проводится врачом стоматологом-хирургом/cтоматологом-ортопедом
бесплатно
Система имплантации Implantium (Корея). Имплантат + коронка
Включает хирургический и ортопедический этап системой Implantium.
Этап I. Внутрикостная дентальная имплантация
Этап II. Протезирование бокового зуба коронкой из диоксида циркония, с абатментом
от 74 000 руб.
Система имплантации AnyOne (Ю.Корея). Имплантат + коронка
Включает хирургический и ортопедический этап системой AnyOne:
Этап I. Внутрикостная дентальная имплантация
Этап II. Протезирование бокового зуба коронкой из диоксида циркония, с абатментом
от 85 600 руб.
Система имплантации Renova (США). Имплантат + коронка
Включает хирургический и ортопедический этап системой Renova:
Этап I. Внутрикостная дентальная имплантация
Этап II. Протезирование бокового зуба коронкой из диоксида циркония, с абатментом
от 101 900 руб.
Система имплантации Medentika (Германия). Имплантат + коронка
Включает хирургический и ортопедический этап системой Medentika:
Этап I. Внутрикостная дентальная имплантация
Этап II. Протезирование бокового зуба коронкой из диоксида циркония, с абатментом
от 108 800 руб.
Системы имплантации Astra Tech (Швеция) или Nobel Biocare (Швеция). Имплантат + коронка
Включает хирургический и ортопедический этап системой Astra Tech или Nobel Biocare:
Этап I. Внутрикостная дентальная имплантация
Этап II. Протезирование бокового зуба коронкой из диоксида циркония, с абатментом
от 134 000 руб.
Система имплантации Straumann (Швейцария). Имплантат + коронка
Включает хирургический и ортопедический этап системой Straumann:
Этап I. Внутрикостная дентальная имплантация
Этап II. Протезирование бокового зуба коронкой из диоксида циркония, с абатментом
от 157 200 руб.
Одномоментная имплантация
Удаление и установка имплантата за один прием. Возможно к установке системы имплантации AnyOne, Renova, Astra Tech, Nobel Biocare, Straumann
от 60 100 руб.
Хирургический и ортопедический этап имплантации по системе «Все-на-четырех»
Входит в стоимость минимума: установка 4 единиц имплантов по цифровому хирургическому шаблону + полное съемное протезирование из пластмассы (временные коронки: 4 ед на имплатах, 8 ед подвесных, 4 единицы аббатментов, литая балка)
от 485 500 руб.
Аугментация альвеолярногно отростка (в пределах одного зуба) костным материалом
от 40 500 руб.
Синус-лифтинг (костная пластика, остеопластика), открытый, в области одного зуба
Наращивание костной ткани в области, контактирующей с гайморовыми пазухами
от 89 100 руб.

Анестезиология

Аппликационная анестезия
от 600 руб.
Инфильтрационная анестезия (одна карпула)
от 1 400 руб.
Проводниковая анестезия (одна карпула)
от 1 400 руб.

Лечение под наркозом

Консультация врача-анестезиолога-реаниматолога
от 2 000 руб.
Медикаментозный сон (вводный наркоз + первый час + постнаркозное наблюдение)
от 15 000 руб.
Ингаляционный наркоз для краткосрочных вмешательств с использованием севорана (до 30 минут)
от 9 200 руб.

Лечение в седации

Консультация врача-анестезиолога-реаниматолога
При стоматологическом наркозе используется безопасный препарат севоран, он погружает человека в глубокий сон.
от 2 000 руб.
Ингаляционный наркоз с использованием закиси азота
Расслабление с помощью успокаивающего газа, который подается через маску на носу. При этом пациент находится в сознании, общается с врачом, нормально дышит.
от 3 600 руб.
Сочетанная анестезия (внутривенная седация 1 час)
Внутривенная седация один час, используется для взрослых.
от 13 500 руб.

Мы предлагаем вам ознакомиться с общим графиком работы врача на месяц. Пожалуйста, обратите внимание, что доступные слоты для записи не указаны. Чтобы узнать свободное время для записи, пожалуйста, свяжитесь с нашим контактным центром. Наши операторы с радостью помогут вам!

Выбрано для предварительной записи:

Другие специалисты

ГРАЖДАНОВА
ГРАЖДАНОВА Карина Сергеевна
Врач-стоматолог
Профессорская клиника на Николаева, 12/3 (Академгородок)
Записаться
ПАВЛОВСКИХ
ПАВЛОВСКИХ Ксения Евгеньевна
Детский стоматолог
Клиника хирургии лица и стоматологии на Сакко и Ванцетти, 77
Записаться
СОБОЛЕВА
СОБОЛЕВА Анастасия Андреевна
Врач-стоматолог
Клиника на Революции, 10
Записаться
ШМУРЫГИНА
ШМУРЫГИНА Ирина Александровна
Гигиенист
Клиника на пл. Карла Маркса, 1
Записаться
ПЛЮСНИН
ПЛЮСНИН Евгений Сергеевич
Врач-стоматолог
Клиника на Гребенщикова, 1 (Родники)

Принимает еще в 1 клинике

Записаться
ВОЛГИНА
ВОЛГИНА Алина Андреевна
Гигиенист
Клиника на пл. Карла Маркса, 1
Записаться
ПОПОВА
ПОПОВА Александра Николаевна
Врач-стоматолог
Клиника на пл. Карла Маркса, 1
Записаться
КИДОН
КИДОН Елена Юрьевна
Стоматолог-терапевт
Клиника на Блюхера, 30
Записаться
ВИГЕЛЬ
ВИГЕЛЬ Амалия Дмитриевна
Врач-стоматолог
Профессорская клиника на Николаева, 12/3 (Академгородок)

Принимает еще в 1 клинике

Записаться
ДЕККЕРТ
ДЕККЕРТ Елена Анатольевна
Стоматолог-терапевт
Клиника на Революции, 10
Записаться
АГАРКОВА (ДЕНИСОВА)
АГАРКОВА (ДЕНИСОВА) Ксения Вячеславовна
Врач-стоматолог
Стоматолог-ортопед
Клиника на Героев Труда, 4 (Академгородок)
Записаться
ВОХ
ВОХ Алёна Николаевна
Стоматолог-хирург
Клиника на Революции, 10

Принимает еще в 2 клиниках

Записаться