Записаться
АНДРОНОВА (ВИЛЯЙ)

АНДРОНОВА (ВИЛЯЙ) Алёна Анатольевна

Врач-стоматолог
Стаж работы 9 лет
Принимает в клиниках
Клиника на пл. Карла Маркса, 1
Категории пациентов
дети
подростки
взрослые
Врач принимает по ДМС
Каждый из нас был ребёнком, и многие сталкивались со страхом на визите у стоматолога. Основная моя задача — убрать страх и тревогу у маленького пациента, провести качественное, безболезненное лечение. Для этого я создаю все необходимые условия, адаптирую ребенка к дальнейшим медицинским манипуляциям и стараюсь искать подход через искренность и позитив. И когда детки уходят после приема с улыбкой на лице — для меня это лучшая награда. Поэтому всем своим пациентам я желаю только позитивного опыта от похода к стоматологу и ответственного подхода к рекомендациям врача!

Квалификация

Стоматология общей практики
Сертификат до 23.06.2027

Основное образование

2017
Высшее - ФГБОУ ВО НГМУ Минздрава России, стоматология

Повышение квалификации, дополнительное образование

2024
Реставрационный конгресс «RESTO DAY»
2020
Сертификационный курс Министерства здравоохранения РФ «Диагностика, лечение, профилактика новой коронавирусной инфекции (COVID-19) в первичной медико-санитарной помощи»
2022
Детская стоматология: эндодонтия временных зубов
Профессиональные навыки
Лечение под микроскопом
Лечение под наркозом
Лечение под седацией
Прием особенных детей
Бережная адаптация к стоматологическому приему
Герметизация фиссур
Результаты лечения пациентов
До лечения

Жалобы на боль при жевании твердой пищи.
Пациенту 1 год и 7 месяцев.

Как лечили

Пролечен кариес передних зубов под наркозом. Проведена реставрация зубов, установлена коронка.
Лечение прошло в 1 посещение.

Лечащий врач

АНДРОНОВА (ВИЛЯЙ) Алёна Анатольевна

До лечения

Пришли с жалобой на множественный кариес.
Пациенту 7 лет.

Как лечили

Проведена профессиональная гигиена зубов. Пролечен множественный кариес под седацией. Один зуб был удален из-за периодонтита.

Лечащие врачи
ЧУЧКАЕВА Ксения Викторовна, АНДРОНОВА (ВИЛЯЙ) Алёна Анатольевна, ДОЛГОПОЛОВА Светлана Олеговна, ДРОЗДОВА Валерия Николаевна, НАЗАРОВА (СПИРИДОНОВА) Александра Олеговна
До лечения

Жалобы на кариес и налет на зубах.
Пациенту 14 лет.

Как лечили

Проведена профессиональная гигиена зубов. После пролечен кариес под анестезией, восстановлен зуб.
Лечение проведено за 2 визита.

Лечащий врач

АНДРОНОВА (ВИЛЯЙ) Алёна Анатольевна

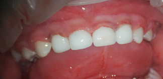
До лечения

Жалобы на множественный кариес и разрушение передних зубов.
Пациенту 3 года.

Как лечили

Лечение кариеса под наркозом. Четыре зуба восстановлены коронками из диоксида циркония, другие композиционным материалом Estelite Sigma Quick.
Лечение проведено за один визит.

Лечащий врач

АНДРОНОВА (ВИЛЯЙ) Алёна Анатольевна

Отзывы пациентов
Ирина
28.02.2026
Были на приеме с ребёнком. Клиника понравилась, интересная игровая комната, аниматор, все очень продуманно. Ну огромную благодарность хочется выразить доктору, Андроновой Алене Анатольевне. Она умеет найти подход к ребёнку, заинте...
Ольга
20.10.2024
Очень благодарны детскому стоматологу Андроновой Алёне Анатольевне. Нашла подход к нашему сложному ребёнку. Раннее невозможно было даже приблизиться к кабинету, ребёнок впадал в истерику. Зубы лечили в стационаре под общим наркозо...

АНДРОНОВА (ВИЛЯЙ) Алёна Анатольевна — детский стоматолог в сети стоматологических клиник Дентал-Сервис. Стаж работы 9 лет. Ведет прием у пациентов: дети. Принимает по ДМС. Оказывает услуги: детская стоматология, лечение детей под наркозом, лечение детей под седацией, лечение кариеса у детей, лечение пульпита у детей, детские коронки, профилактический осмотр у детей, лечение зубов особенным детям. Профессиональные навыки: лечение под микроскопом, лечение под наркозом, лечение под седацией, прием особенных детей, бережная адаптация к стоматологическому приему, герметизация фиссур.

Услуга
Цена, руб.

Детская стоматология

Прием детского стоматолога/зубного врача первичный (до 30 минут)
от 900 руб.
Прием детского стоматолога первичный расширенный (до 45 минут)
Развернутая консультация по комплексному лечению и/или лечению в наркозе
от 1 700 руб.
Прием детского стоматолога/зубного врача повторный (проф.осмотр)
от 800 руб.
Лечение кариеса молочного зуба (без учета анестезии)
от 4 600 руб.
Лечение обратимого пульпита молочного зуба
Стоимость указана без учета анестезии и восстановления
от 4 700 руб.
Лечение пульпита молочного зуба
Стоимость лечения зуба в 2 этапа без учета анестезии и восстановления. 1 этап: пульпотомия, экстирпация пульпы, временное пломбирование лекарственным препаратом корневого канала, наложение временной пломбы, инструментальная и медикаментозная обработка корневого канала. 2 этап: пломбирование корневого канала зуба пастой, снятие временной пломбы.
от 8 700 руб.
Лечение периодонтита молочного зуба
Стоимость лечения зуба в 2 этапа без учета анестезии и восстановления. 1 этап: пульпотомия, экстирпация пульпы, временное пломбирование лекарственным препаратом корневого канала, наложение временной пломбы, инструментальная и медикаментозная обработка корневого канала. 2 этап: пломбирование корневого канала зуба пастой, снятие временной пломбы.
от 8 700 руб.
Удаление подвижного молочного зуба (без учета анестезии)
от 2 500 руб.
Удаление неподвижного молочного зуба (без учета анестезии)
от 3 900 руб.
Пластика уздечки языка, верхней губы, нижней губы (без учета анестезии)
от 6 300 руб.
Восстановление молочного зуба коронкой
При сильных разрушениях молочных зубов для их сохранения используют в лечении коронки, стальные или из диоксида циркония.
от 7 800 руб.
Адаптационная комплексная профессиональная гигиена полости рта и зубов у детей по протоколу GBT (до 4 лет)
В процедуру входит: снятие зубного налета, обучение гигиене, без покрытия/с покрытием фторсодержащими препаратами.
от 3 700 руб.
Комплексная профессиональная гигиена полости рта и зубов у детей со сменным прикусом по протоколу GBT (до 8 лет)
В процедуру входит: снятие зубного налета, обучение гигиене, без покрытия/с покрытием фторсодержащими препаратами.
от 5 000 руб.
Пакет радиовизиографических снимков всей челюсти для детей
от 2 800 руб.
Пакет радиовизиографических снимков всей челюсти для детей при лечении под наркозом
от 3 800 руб.

Анестезиология

Аппликационная анестезия
от 550 руб.
Инфильтрационная анестезия (одна карпула)
от 1 300 руб.
Проводниковая анестезия (одна карпула)
от 1 300 руб.

Лечение под наркозом

Консультация врача-анестезиолога-реаниматолога
от 2 000 руб.
Медикаментозный сон (вводный наркоз + первый час + постнаркозное наблюдение)
от 15 000 руб.
Медикаментозный сон (каждые последующие 30 мин наркоза)
от 7 000 руб.
Ингаляционный наркоз для краткосрочных вмешательств с использованием севорана (до 30 минут)
от 9 200 руб.

Лечение в седации

Консультация врача-анестезиолога-реаниматолога
При стоматологическом наркозе используется безопасный препарат севоран, он погружает человека в глубокий сон.
от 2 000 руб.
Ингаляционный наркоз с использованием закиси азота
Расслабление с помощью успокаивающего газа, который подается через маску на носу. При этом пациент находится в сознании, общается с врачом, нормально дышит.
от 3 600 руб.
Сочетанная анестезия (внутривенная седация 1 час)
Внутривенная седация один час, используется для взрослых.
от 13 500 руб.

Мы предлагаем вам ознакомиться с общим графиком работы врача на месяц. Пожалуйста, обратите внимание, что доступные слоты для записи не указаны. Чтобы узнать свободное время для записи, пожалуйста, свяжитесь с нашим контактным центром. Наши операторы с радостью помогут вам!

Выбрано для предварительной записи:

Другие специалисты

ПАВЛОВСКИХ
ПАВЛОВСКИХ Ксения Евгеньевна
Детский стоматолог
Клиника хирургии лица и стоматологии на Сакко и Ванцетти, 77
Записаться
КАЛИНИН
КАЛИНИН Евгений Петрович
Рентгенолог
Клиника хирургии лица и стоматологии на Сакко и Ванцетти, 77
Записаться
КРЮКОВ Дмитрий Сергеевич
Челюстно-лицевой хирург
Клиника хирургии лица и стоматологии на Сакко и Ванцетти, 77
Записаться
ПАСЕКА
ПАСЕКА Дина Александровна
Зубной врач
Детская клиника на Ленина, 17
Записаться
КАХРАМАНОВ
КАХРАМАНОВ Видади Фазилович
Врач-стоматолог
Профессорская клиника на Николаева, 12/3 (Академгородок)

Принимает еще в 1 клинике

Записаться
МИРОШНИЧЕНКО
МИРОШНИЧЕНКО Алексей Михайлович
Стоматолог-ортопед
Клиника на Вокзальной, 50/1 (Бердск)

Принимает еще в 1 клинике

Записаться
СЕМЕНОВА
СЕМЕНОВА Екатерина Владимировна
Анестезиолог-реаниматолог
Клиника на Блюхера, 30

Принимает еще в 3 клиниках

Записаться
ИЗОТОВА Анастасия Сергеевна
Детский стоматолог
Клиника на Героев Труда, 4 (Академгородок)
Записаться
ДАУРЕНОВ
ДАУРЕНОВ Нурсултан Арманович
Челюстно-лицевой хирург
Клиника хирургии лица и стоматологии на Сакко и Ванцетти, 77
Записаться
ШИЩЕНКО
ШИЩЕНКО Станислав Евгеньевич
Рентгенолаборант
Клиника на Героев Труда, 4 (Академгородок)
Записаться
ЧИБИСОВА
ЧИБИСОВА Анна Владимировна
Врач-стоматолог
Клиника на Дуси Ковальчук, 252/1
Записаться
АСЛАНОВА Альмина Раминовна
Врач-стоматолог
Профессорская клиника на Николаева, 12/3 (Академгородок)
Записаться