Записаться
Коронки
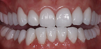
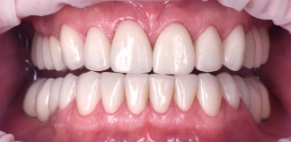
Восстановленный зуб гармонично выглядит, отлично кусает и жует, ощущается как родной. Мы по праву гордимся работами своих мастеров и приглашаем на «коронацию» пациентов при разрушении бОльшей части зуба.
Бесплатно

Коронки на зубы

Качественная коронка — всегда результат кропотливого труда ортопеда и зубного техника. Правильный контакт коронки с зубом-антагонистом, плотное прилегание к соседним зубам, плавный переход коронки к поверхности зуба, минимальное погружение коронки под десну — все что нужно знать о коронках Дентал-Сервис.
koronka.svg

Коронка с опорой на свой зуб

Коронка – несъемная конструкция в виде колпачка, по внешнему виду схожая с естественным зубом.

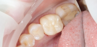
Обычно коронку устанавливают на сильно разрушенные зубы, когда восстановление обычными пломбировочными материалами невозможно или не результативно, так как из-за сильных нагрузок на пломбе могут появиться трещины.


Виды коронок на зубы

В современной стоматологии представлен широкий ассортимент коронок. К ним относятся и металлокерамические, и металлические, и керамические.

Опираясь на более 30 лет клинической практики Дентал-Сервис отдает предпочтение исключительно проверенным материалам и современным цельнокерамическим (безметалловым) конструкциям. Они обладают рядом неоспоримых преимуществ — великолепная эстетика, высокая биосовместимость, отсутствие металлического привкуса во рту, чувства жжения или сухости слизистой оболочки.

Мы изготавливаем цельнокерамические коронки в собственной зуботехнической лаборатории из керамики Emax и диоксида циркония. На сегодняшний день для нас это оптимальный выбор в мире ортопедической стоматологии и эстетики!

Диоксид циркония

Материал коронок идеален для жевательной зоны и мостовидных конструкций. Хорошая цветопередача, современные технологии позволяют достичь естественных оттенков.

Цена коронки с установкой под ключ от 38 000 руб.
Консультация по установке коронки
бесплатно
Срок службы 10 лет и более
Срок изготовления 1-2 недели
Гарантия до 2-х лет

Высокопрочный современный материал, используемый в ортопедической стоматологии (несколько прочнее, чем Emax). Технологические особенности производства основаны на методе цифрового моделирования и изготовления (CAD/CAM), что обеспечивает высокую точность изготовления. Материал отличается биосовместимостью и долговечностью.

Керамика Emax

Материал коронок подходит для передних зубов (зона улыбки). Обладает бОльшей мимикрией — легче подстроить под натуральные оттенки зубов.

Цена коронки с установкой под ключ от 45 000 руб.
Консультация по установке коронки бесплатно
Срок службы 10 лет и более
Срок изготовления 1-2 недели
Гарантия до 2-х лет

Современный керамический материал, относящийся к категории безметалловых конструкций. Эстетические характеристики E-max находятся на высоком уровне благодаря отличной светопроницаемости, которая максимально приближена к натуральной эмали. Материал идеально подходит пациентам, предъявляющим повышенные требования к эстетике.


Показания для установки коронки на зуб

Показания к установке коронки

  • значительное разрушение зуба (более 50% коронковой части),
  • эстетические дефекты (изменение цвета, формы, размера),
  • сколы и трещины большой площади,
  • восстановление анатомической формы после травмы,
  • восстановление при стираемости тканей зубов.

Противопоказания к установке коронки на зуб

  • невозможность сохранения корня зуба,
  • сильная подвижность зуба,
  • острые воспалительные процессы в полости рта.

Подготовка зубов для “коронации”

Когда ставим на свой зуб

Прежде чем поставим коронку, врач тщательно готовит место для нее.

  • Если объема зуба достаточно для обточки, врач аккуратно снимает слой эмали и дентина, придавая зубу оптимальную форму для надежной фиксации коронки. Особое внимание уделяется сохранению здоровых тканей и плотному прилеганию будущей конструкции.
  • Но что делать, если зуб депульпирован и от него ровным счетом ничего не осталось? В таком случае в Дентал-Сервис используют штифт и культевое восстановление зуба. Сначала врач пломбирует каналы, потом в один из каналов устанавливает штифт — опорный стержень для будущей коронки. Вокруг него формируется культя из композитного материала, которая восполняет утраченные объемы твердых тканей. На нее фиксируется сначала временная, а затем постоянная коронка.


Когда ставим коронку на имплантате — временную и постоянную

Имплантат — это еще не готовый зуб, а только искусственный корень из титана, который вживляется в костную ткань челюсти. Для восстановления эстетики и полноценной жевательной функции имплантат работает «в паре» с коронкой, которая полностью имитирует форму, цвет и функции естественного зуба.

Временная коронка на имплантате является обязательным этапом имплантации, особенно при восстановлении зубов в зоне улыбки.

Существует два варианта установки коронки:

  1. немедленно — сразу после имплантации.
    При немедленной установке временная коронка позволяет пациенту не оставаться без зуба на период приживления имплантата. Однако ее роль не ограничивается только эстетикой. Временная коронка формирует правильный контур десны, защищает имплантат и мягкие ткани и подготавливает анатомически точное место для будущей постоянной коронки.
  2. отсроченно — после приживления имплантата (в среднем через 2–3 месяца).
    После завершения формирования десны и приживления имплантата проводится цифровое сканирование и изготавливается постоянная коронка. Готовую конструкцию примеряют, при необходимости корректируют и надежно фиксируют на имплантате, полностью восстанавливая внешний вид и функцию утраченного зуба.
Коронка, которой вы будете гордиться
Мы знаем, что от нашего мастерства и компетентности зависит результат — и мы не подведем.

Преимущества установки коронки на зуб в Дентал-Сервис

Эксперты в протезировании зубов

Для врачей Дентал-Сервис нет нерешаемых задач в протезировании зубов. За 30 лет у нас были самые разные клинические случаи, опыт невероятен. И если вам сказали что ваш случай безнадежен — не верьте и приходите к нам. Мы беремся за самые сложные случаи!

Собственное изготовление

В арсенале Дентал-Сервис собственная цифровая зуботехническая лаборатория. Мы не экономим на оборудовании и материалах, и все — от цифровых шаблонов до цифровых коронок — делаем сами.

Рассрочка без посредников

Не всегда есть возможность оплатить все сумму единовременно. В Дентал-Сервис вы можете оформить беспроцентную рассрочку на любой вид объемного лечения без участия банков.

Точный результат, согласно плану

Мы работаем в цифровой стоматологии, что позволяет сделать конструкцию точной и комфортной при носке. В арсенале ортопедов и зубных техников внутриротовые сканеры, программы 3D-моделирования, цифровые фрезеры и 3D-принтеры. А еще есть моделирование будущей улыбки, результат будет именно тем, который ожидается.

Материалы XXI века

Для себя мы определили идеальную формулу коронки — это диоксид циркония. Такие коронки отличает долговечность, эстетика, биосовместимость. Все материалы, которые мы используем в изготовлении коронки прошли сертификацию в России.

Этапы установки коронки на зуб

1

Диагностика и подготовка

На первом этапе проводится тщательная диагностика состояния зуба и окружающих тканей. Это включает осмотр стоматолога и компьютерную томографию для оценки состояния корневых каналов и костной ткани. Врач разрабатывает индивидуальный план лечения, учитывая особенности конкретного случая. Зуб подвергается препарированию (обточке) для создания необходимой формы, обеспечивающей надежную фиксацию коронки. Врач устанавливает временные коронки для защиты препарированного зуба.

2

Снятие цифровых слепков

Для изготовления коронки необходимо получить точные слепки зубов. В Дентал-Сервис используются современные 3D-сканеры, позволяющие создать цифровую модель челюсти. Это обеспечивает высокую точность и минимизирует дискомфорт для пациента.

3

Изготовление коронки

На основе полученных цифровых слепков зубной техник изготавливает коронку. Используются передовые материалы, такие как диоксид циркония, который обеспечивает естественный внешний вид и долговечность конструкции.

4

Примерка и корректировка

Изготовленную коронку примеряют на зуб. Врач проверяет ее соответствие, оценивает эстетику и функциональность, при необходимости вносит корректировки.

5

Фиксация коронки

После окончательной примерки коронка фиксируется на зуб с помощью специальных стоматологических цементов. Это обеспечивает надежную фиксацию и герметичность, предотвращая проникновение бактерий.

Качество&скорость
Протезируем еще качественней, в разы быстрее. Время слепочных масс, гипсовых моделей, ручной доработки ушло. Дентал-Сервис на цифре.
Записаться на консультацию

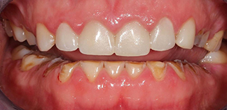
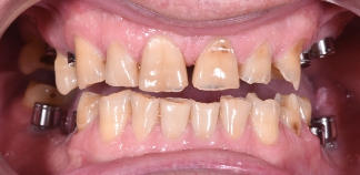
Клинические случаи пациентов

До лечения

Жалоба на боль при накусывании.

Как лечили

Зуб удален из-за трещины корня. На его место установлен одномоментно имплантат и временная коронка. Киста пролечена, перфорация десны ушита. Через 2 месяца установлена постоянная коронка.

До лечения

Жалоба на стираемость зубов.

Как лечили

Проведено тотальное протезирование зубов коронками и винирами E-max.

До лечения

Жалобы на цвет и форму зубов.

Как лечили

Установлены коронки на зубы.

До лечения

Жалоба на плохое состояние нижних зубов.

Как лечили

Пролечен кариес под микроскопом и установлены импланты. Проведена хирургическая пластика десны. Протезирование коронками из диоксида циркония.

До лечения

Жалоба на отсутствие зуба.

Как лечили

Установлен имплант и зафиксированная постоянная коронка.

До лечения

Жалобы на скученность зубов.

Как лечили

Ортодонтическое лечение на брекетах. Проведена имплантация и установлены временные коронки в дальнейшем будут установлены постоянные.

До лечения

Жалобы на отсутствие зубов.

Как лечили

Установлены импланты и зафиксированы постоянные коронки.

До лечения

Жалобы на отсутствие зубов.

Как лечили

Установлены шесть имплантов на верхней челюсти и четыре импланта на нижней. Зафиксированы постоянные коронки.

До лечения

Жалобы на отсутствие боковых зубов.

Как лечили

Установлены шесть имплантов на верхней челюсти и четыре импланта на нижней в боковых отделах. Проведена сплит-терапия. Зафиксированы постоянные коронки и мостовидные протезы.

До лечения

Жалобы на длительную непрерывную боль ноющего характера.
Пациенту 45 лет.

Как лечили

Проведено перелечивание корневых каналов. Зафиксирована коронка на зуб.

До лечения

Жалобы на эстетику зубов.
Пациенту 46 лет.

Как лечили

Проведено препарирование четвертого и пятого зуба с последующей фиксацией постоянных коронок.
Лечение проведено в течение одной недели.

До лечения

На контрольном снимке было обнаружено ухудшение рентгенологической картины.
Пациенту 45 лет.

Как лечили

Проведена распломбировка, повторная механическая и медикаментозная обработка корневого канала. Зуб запломбирован, через 2 месяца установлена постоянная коронка.

До лечения

Жалобы на боль при накусывании.
Пациенту 54 года.

Как лечили

Снята штампованная коронка, перелечены и запломбированы каналы гуттаперчей, проведено культевое восстановление. Через год фиксация постоянной коронки.

До лечения

Жалоба на травму зуба. Пациенту 17 лет.

Как лечили

Проведена экструзия (вытягивание) зуба из кости. Пролечен зуб и установлена временная коронка на 1 год, после фиксация постоянной.

До лечения

Жалобы на боли и щелчки ВНЧС справа, отсутствие зубов, цвет и форму зубов.
Пациенту 53 года.

Как лечили

Была проведена тотальная реабилитация ортопедическими конструкциями с поднятием высоты прикуса при помощи сплинт-терапии. Зубы покрыты коронками и винирами.
Лечение проведено в течение пяти месяцев.

До лечения

Жалобы на то, что не может нормально жевать и улыбаться.
Пациенту 45 лет.

Как лечили

Проведена профессиональная гигиена зубов. Сняты старые коронки и мосты, пролечен кариес. Были установлены 9 имплантов. На верхние фронтальные зубы установлены цельноциркониевые коронки.
Лечение проведено в течение шести месяцев.

До лечения

Жалобы на разрушенный зуб.
Пациенту 35 лет.

Как лечили

Был удален шестой разрушенный зуб. На его место пересажен восьмой зуб. Через 2 недели проведено эндодонтическое лечение. Изготовлена и установлена коронка на восьмой зуб.
Лечение проведено в течение двух недель.

До лечения

Жалобы на постоянную ноющую боль.
Пациенту 33 года.

Как лечили

Распломбирован и обработан корневой канал. Пролечен периодонтит, зуб закрыт временной пломбой.
Финишная ирригация, закрытие корневого канала пломбой. Зуб подготовлен под временную коронку.
Лечение проведено в течение двух недель.

До лечения

Жалобы на периодически ноющие боли и застревание пищи между зубами.
Пациенту 51 год.

Как лечили

Распломбированы, пролечены 3 канала после каналы запломбированы. Через 8 месяцев установлена коронка
. Лечение проведено в течение одного месяца.

До лечения

Жалобы на стирание и отсутствие зубов.
Пациенту 63 года.

Как лечили

Удалены разрушенные зубы. Восстановлены отсутствующие зубы коронками. Изготовлены съемные протезы.
Лечение проведено в течение шести месяцев.

До лечения

Жалобы на боль при накусывании, отсутствие зубов, нарушение функции жевания.
Пациенту 43 года.

Как лечили

Удалены разрушенные зубы. Восстановлены отсутствующие зубы коронками с опорами на импланты.
Лечение проведено в течение шести месяцев.

До лечения

Жалобы на отсутствие зубов, сколы, стираемость.
Пациенту 56 лет.

Как лечили

Удалены две восьмерки. Установлены временные коронки на импланты и свои зубы. Восстановлена фронтальная группа нижних зубов. Заменены временные на постоянные коронки и виниры во фронтальной группе нижних зубов. Лечение проведено в течение шести месяцев.

Отзывы пациентов о протезировании зубов в Дентал-Сервис

Ольга Драгун
16.03.2026
Добрый день! Хотелось бы выразить огромную благодарность Бойко Артемию Петровичу, его ассистентам за подготовку и проведение имплантации. Артемий Петрович рассказал о преимуществах имплантационных систем, особенностях, перед опера...
Татьяна Казарина
03.12.2025
Выражаю огромную благодарность врачам Мородецкой Александре Владимировне, Садочкову Алексею Максимовичу и Слезко Кириллу Сергеевичу. При подготовке к установке брекетов, я обратилась к Александре Владимировне за санацией полости р...
Наталья Ламерт
28.10.2025
Огромное спасибо врачу-ортопеду Ляхову Алексею Владимировичу за безупречную работу! Ставила у него коронки — результат превзошел все ожидания! Коронки идеально подошли, выглядят как свои собственные зубы, никакого дискомфорта. Вра...
Ольга К
23.10.2025
Огромное спасибо врачам и всему персоналу клиники за их труд, внимательность и неравнодушие к пациентам.Каждый раз, обращаясь сюда, получаю подтверждение их высокого профессионализма.Ставила коронки у Шакуровой Александры Андреевн...
Анна Савельева
08.10.2025
Хочу выразить признательность и поблагодарить команду профессионалов, которые занимались моими зубками в «Дентал-Сервис» по адресу Дуси Ковальчук 252/1.
Лечащий врач Кравцова Софья Андреевна: главный врач данной клиники, пре...
Дарья Лунина
09.09.2025
Была на консультации по вопросу установки коронки у врача Беляева. Крайне положительные впечатления. Врач очень внимательный и располагает к себе. Все очень подробно объяснил и составил план так, чтобы конструкция была функциональ...
Татьяна Фомина
28.08.2025
Хочу выразить огромную благодарность Поповой Александре Николаевне и Садочкову Алексею Максимовичу! Обратились в клинику с дочерью подростком, после неудачного лечения в другой клинике, где во время лечения обломили передний зуб. ...
Яна Лущик
04.08.2025
Была на приеме у Асоян Александра Эдиковича,хочу сказать это лучший врач ортопед которого я встречала! С имплантацией и коронками теперь только к нему! Спасибо)
Стас Чугаев
27.01.2025
Посоветовали данную клинику на Революции 10, хочу выразить слова благодарности специалистам данной клиники, давно сломался зуб и нужно было определиться, что с ним делать или восстанавливать или удалять и ставить имплант, на первы...
Сачко Татьяна
30.08.2024
Хочу выразить огромную благодарность Роману Михайловичу Нараеву, челюстно-лицевому хирургу в ""Дентал-Сервисе"" на Революции, 10 за его профессионализм, ответственность и вежливость. Ношу брекеты третий год, и за это время он удал...
Татьяна A
04.06.2024
Хотела бы выразить благодарность врачу хирургу Возгрину Кириллу Сергеевичу. Пришла по рекомендации коллеги. Обращалась к Кириллу Сергеевичу несколько раз, проводили удаление трех зубов мудрости и имплантацию. Перед первой операцие...
Без имени
03.03.2015
Огромная благодарность врачам клиники! Делала синус лифтинг, импланты, коронки, виниры у Пахомова О. и Беляева А. Это высший пилотаж!!
Заполните форму
Данные пациента
Выбрать врача и специализацию

    Часто задаваемые вопросы

    Возможно ли обновление коронки на зуб, если до этого уже была коронка?

    Если у вас уже есть зубная коронка, но она повреждена, изношена или не удовлетворяет вашим эстетическим требованиям, ваш лечащий врач может заменить ее на новую без вреда для зуба.

    Как ухаживать за коронкой, чтобы увеличить срок ее службы?

    Чтобы избежать перегрузки опорных зубов, на которых установлены коронки, а также сколов керамики, советуем отказаться от употребления слишком твердой пищи — например, разгрызания орехов, костей (яблоки и морковку — можно).

    Тщательно ухаживайте за полостью рта:
    — полощите рот после еды,
    — два раза в день чистите зубы,
    — межзубные промежутки очищайте зубной нитью,
    — проходите профессиональную гигиену у стоматолога-гигиениста раз в полгода (для курильщиков и любителей чая, кофе каждые три месяца).

    Вовремя лечите больные и восстанавливайте отсутствующие зубы. Чем больше здоровых, полноценных зубов несут нагрузку, тем больше срок службы у коронки.

    Когда пульпу необходимо удалить для установки коронки?

    Удаление нерва не является обязательным этапом перед установкой коронки. Наши специалисты стараются сохранить зуб “живым”, если это возможно. Однако в некоторых случаях депульпирование необходимо:
    — по терапевтическим показаниям — наличие пульпита, периодонтита;
    — при широкой пульповой камере (у молодых людей / при анатомических особенностях зуба);
    — если зуб сильно наклонен.

    Можно ли ставить коронку на живой зуб с нервом?

    Да, можно установить коронку на живой зуб с нервом, если зуб здоров и нет необходимости в проведении эндодонтического лечения (лечение корневых каналов). В случае, если зуб имеет незначительные повреждения или кариес, стоматолог может сначала провести лечение и затем установить коронку.

    Сколько стоит установка коронки на зуб?

    Цены на установку коронки на зуб могут варьироваться в зависимости от нескольких факторов, включая тип коронки — диоксид циркония или Emax, квалификацию стоматолога, а также сложности случая. Рекомендуем обратиться в одну из наших клиник в Новосибирске: врач проведет осмотр и составит план лечения, на основании которого скажет точную стоимость установки зубной коронки.

    Могу ли я оставить временную коронку и не менять ее на постоянную?

    Временные зубные коронки не предназначены для постоянного ношения и активного жевания. Их задача — защита и эстетика на период остеоинтеграции. В среднем временная коронка на имплантате носится от 1 до 3 месяцев — до полного формирования десны. После этого временную конструкцию необходимо поменять на постоянную коронку.

    Какая стоимость у временной коронки?

    Стоимость временной коронки зависит от материала и клинической ситуации. Цена временной коронки и стоимость временной коронки на имплант рассчитываются индивидуально после осмотра и составления плана лечения.

    Супертехнологии
    Челюстно-лицевая хирургия
    Дентал-Сервис – это не только стоматология. В 2017 году мы открыли Клинику хирургии лица, в которой помогаем пациентам с диагнозами из смежных областей – от тяжелых аномалий прикуса до последствий травм тканей лица.
    Подробнее
    Челюстно-лицевая хирургия
    Лечение под микроскопом
    100% микроскопизация — глобальный вектор компании. В нашей команде более 60 микроскопистов, аналогов в России нет. Все терапевтическое лечение — от кариеса до каналов — мы проводим с микроскопом.
    Подробнее
    Лечение под микроскопом
    Лечение детей под наркозом
    В Дентал-Сервис можно спать спокойно! Безопасность и качество лечения под наркозом в наших клиниках отвечают самым высоким требованиям, а анестезиологи — суперпрофессионалы с огромным опытом. За двенадцать лет мы провели более 10000 лечений — у детей и взрослых.
    Подробнее
    Лечение детей под наркозом
    Травма детского зуба
    Травма зуба — не повод его потерять. Восстановим сломанный зуб, приживим выбитый. Зуб продолжит расти и развиваться! Сохранение нерва травмированного зуба — высший пилотаж, наш эксклюзив.
    Подробнее
    Травма детского зуба
    Эстетическая стоматология
    Эстетическая стоматология — наша гордость. Колоссальный опыт, художественное чутье, передовые технологии и работа в команде — вот секреты мастеров, возрождающих шедевр вашей улыбки.
    Подробнее
    Эстетическая стоматология
    Имплантация зубов
    Ставим имплантаты всерьез и надолго. Готовы помочь даже в самых сложных клинических случаях и делаем все, чтобы новые зубы стали полноценной, долговечной заменой утраченным.
    Подробнее
    Имплантация зубов
    АГАРКОВА (ДЕНИСОВА)
    АГАРКОВА (ДЕНИСОВА) Ксения Вячеславовна
    Врач-стоматолог
    Стоматолог-ортопед
    Ведущий специалист
    Клиника на Героев Труда, 4 (Академгородок)
    Записаться

    Мы предлагаем вам ознакомиться с общим графиком работы врача на месяц. Пожалуйста, обратите внимание, что доступные слоты для записи не указаны. Чтобы узнать свободное время для записи, пожалуйста, свяжитесь с нашим контактным центром. Наши операторы с радостью помогут вам!

    Выбрано для предварительной записи:
    АСОЯН
    АСОЯН Александр Эдикович
    Стоматолог-ортопед
    Клиника на Гребенщикова, 1 (Родники)

    Принимает еще в 1 клинике

    Записаться

    Мы предлагаем вам ознакомиться с общим графиком работы врача на месяц. Пожалуйста, обратите внимание, что доступные слоты для записи не указаны. Чтобы узнать свободное время для записи, пожалуйста, свяжитесь с нашим контактным центром. Наши операторы с радостью помогут вам!

    Выбрано для предварительной записи:
    БЕКЕТОВ
    БЕКЕТОВ Игорь Николаевич
    Стоматолог-ортопед
    Клиника на Героев Труда, 4 (Академгородок)
    Записаться

    Мы предлагаем вам ознакомиться с общим графиком работы врача на месяц. Пожалуйста, обратите внимание, что доступные слоты для записи не указаны. Чтобы узнать свободное время для записи, пожалуйста, свяжитесь с нашим контактным центром. Наши операторы с радостью помогут вам!

    Выбрано для предварительной записи:
    БЕЛЯЕВ
    БЕЛЯЕВ Алексей Владимирович
    Стоматолог-ортопед
    Ведущий специалист
    Клиника на Блюхера, 30

    Принимает еще в 1 клинике

    Записаться

    Мы предлагаем вам ознакомиться с общим графиком работы врача на месяц. Пожалуйста, обратите внимание, что доступные слоты для записи не указаны. Чтобы узнать свободное время для записи, пожалуйста, свяжитесь с нашим контактным центром. Наши операторы с радостью помогут вам!

    Выбрано для предварительной записи:
    БОГОМЯГКОВА (ПЕРЕВАЛОВА) Екатерина Андреевна
    Врач-стоматолог
    Стоматолог-ортопед
    Клиника хирургии лица и стоматологии на Сакко и Ванцетти, 77
    Записаться

    Мы предлагаем вам ознакомиться с общим графиком работы врача на месяц. Пожалуйста, обратите внимание, что доступные слоты для записи не указаны. Чтобы узнать свободное время для записи, пожалуйста, свяжитесь с нашим контактным центром. Наши операторы с радостью помогут вам!

    Выбрано для предварительной записи:
    ГЕВКО (РЕГУЗОВА)
    ГЕВКО (РЕГУЗОВА) Мария Евгеньевна
    Стоматолог-ортопед
    Врач высшей категории
    Клиника на Героев Труда, 4 (Академгородок)
    Записаться

    Мы предлагаем вам ознакомиться с общим графиком работы врача на месяц. Пожалуйста, обратите внимание, что доступные слоты для записи не указаны. Чтобы узнать свободное время для записи, пожалуйста, свяжитесь с нашим контактным центром. Наши операторы с радостью помогут вам!

    Выбрано для предварительной записи:
    ГРЫДИН
    ГРЫДИН Максим Александрович
    Стоматолог-ортопед
    Клиника на Вокзальной, 50/1 (Бердск)
    Записаться

    Мы предлагаем вам ознакомиться с общим графиком работы врача на месяц. Пожалуйста, обратите внимание, что доступные слоты для записи не указаны. Чтобы узнать свободное время для записи, пожалуйста, свяжитесь с нашим контактным центром. Наши операторы с радостью помогут вам!

    Выбрано для предварительной записи:
    ГУКАСЯН
    ГУКАСЯН Гукас Арутюнович
    Стоматолог-ортопед
    Клиника хирургии лица и стоматологии на Сакко и Ванцетти, 77
    Записаться

    Мы предлагаем вам ознакомиться с общим графиком работы врача на месяц. Пожалуйста, обратите внимание, что доступные слоты для записи не указаны. Чтобы узнать свободное время для записи, пожалуйста, свяжитесь с нашим контактным центром. Наши операторы с радостью помогут вам!

    Выбрано для предварительной записи:
    ГУРЬЕВА
    ГУРЬЕВА Евгения Олеговна
    Стоматолог-терапевт
    Стоматолог-ортопед
    Клиника на Революции, 10
    Записаться

    Мы предлагаем вам ознакомиться с общим графиком работы врача на месяц. Пожалуйста, обратите внимание, что доступные слоты для записи не указаны. Чтобы узнать свободное время для записи, пожалуйста, свяжитесь с нашим контактным центром. Наши операторы с радостью помогут вам!

    Выбрано для предварительной записи:
    ЗАВАЛЬНИКОВ
    ЗАВАЛЬНИКОВ Антон Валерьевич
    Стоматолог-ортопед
    Клиника на Героев Труда, 4 (Академгородок)
    Записаться

    Мы предлагаем вам ознакомиться с общим графиком работы врача на месяц. Пожалуйста, обратите внимание, что доступные слоты для записи не указаны. Чтобы узнать свободное время для записи, пожалуйста, свяжитесь с нашим контактным центром. Наши операторы с радостью помогут вам!

    Выбрано для предварительной записи:
    ЗАВОДОВ
    ЗАВОДОВ Олег Игоревич
    Стоматолог-ортопед
    Врач-стоматолог
    Клиника на Дуси Ковальчук, 252/1
    Записаться

    Мы предлагаем вам ознакомиться с общим графиком работы врача на месяц. Пожалуйста, обратите внимание, что доступные слоты для записи не указаны. Чтобы узнать свободное время для записи, пожалуйста, свяжитесь с нашим контактным центром. Наши операторы с радостью помогут вам!

    Выбрано для предварительной записи:
    ЗАИКИН
    ЗАИКИН Дмитрий Игоревич
    Стоматолог-ортопед
    Клиника на Блюхера, 30
    Записаться

    Мы предлагаем вам ознакомиться с общим графиком работы врача на месяц. Пожалуйста, обратите внимание, что доступные слоты для записи не указаны. Чтобы узнать свободное время для записи, пожалуйста, свяжитесь с нашим контактным центром. Наши операторы с радостью помогут вам!

    Выбрано для предварительной записи:
    КИСЕЛЕВ
    КИСЕЛЕВ Кирилл Эдуардович
    Стоматолог-ортопед
    Клиника хирургии лица и стоматологии на Сакко и Ванцетти, 77

    Принимает еще в 1 клинике

    Записаться

    Мы предлагаем вам ознакомиться с общим графиком работы врача на месяц. Пожалуйста, обратите внимание, что доступные слоты для записи не указаны. Чтобы узнать свободное время для записи, пожалуйста, свяжитесь с нашим контактным центром. Наши операторы с радостью помогут вам!

    Выбрано для предварительной записи:
    КОВАЛЕВ
    КОВАЛЕВ Роман Олегович
    Стоматолог-ортопед
    Врач-стоматолог
    Ведущий специалист
    Клиника на Вокзальной, 50/1 (Бердск)

    Принимает еще в 1 клинике

    Записаться

    Мы предлагаем вам ознакомиться с общим графиком работы врача на месяц. Пожалуйста, обратите внимание, что доступные слоты для записи не указаны. Чтобы узнать свободное время для записи, пожалуйста, свяжитесь с нашим контактным центром. Наши операторы с радостью помогут вам!

    Выбрано для предварительной записи:
    ЛАВРЕНТЬЕВА
    ЛАВРЕНТЬЕВА Анна Юрьевна
    Стоматолог-ортопед
    Клиника на Революции, 10
    Записаться

    Мы предлагаем вам ознакомиться с общим графиком работы врача на месяц. Пожалуйста, обратите внимание, что доступные слоты для записи не указаны. Чтобы узнать свободное время для записи, пожалуйста, свяжитесь с нашим контактным центром. Наши операторы с радостью помогут вам!

    Выбрано для предварительной записи:
    ЛЕВЩАНОВ
    ЛЕВЩАНОВ Дмитрий Анатольевич
    Стоматолог-ортопед
    Ведущий специалист
    Клиника на Героев Труда, 4 (Академгородок)
    Записаться

    Мы предлагаем вам ознакомиться с общим графиком работы врача на месяц. Пожалуйста, обратите внимание, что доступные слоты для записи не указаны. Чтобы узнать свободное время для записи, пожалуйста, свяжитесь с нашим контактным центром. Наши операторы с радостью помогут вам!

    Выбрано для предварительной записи:
    ЛОМАКИН
    ЛОМАКИН Андрей Сергеевич
    Стоматолог-ортопед
    Ведущий специалист
    Клиника на Героев Труда, 4 (Академгородок)
    Записаться

    Мы предлагаем вам ознакомиться с общим графиком работы врача на месяц. Пожалуйста, обратите внимание, что доступные слоты для записи не указаны. Чтобы узнать свободное время для записи, пожалуйста, свяжитесь с нашим контактным центром. Наши операторы с радостью помогут вам!

    Выбрано для предварительной записи:
    ЛЯХОВ
    ЛЯХОВ Алексей Владимирович
    Стоматолог-ортопед
    Ведущий специалист
    Клиника хирургии лица и стоматологии на Сакко и Ванцетти, 77
    Записаться

    Мы предлагаем вам ознакомиться с общим графиком работы врача на месяц. Пожалуйста, обратите внимание, что доступные слоты для записи не указаны. Чтобы узнать свободное время для записи, пожалуйста, свяжитесь с нашим контактным центром. Наши операторы с радостью помогут вам!

    Выбрано для предварительной записи:
    МАРКОСЯН
    МАРКОСЯН Геворк Сандроевич
    Стоматолог-ортопед
    Клиника на Гребенщикова, 1 (Родники)
    Записаться

    Мы предлагаем вам ознакомиться с общим графиком работы врача на месяц. Пожалуйста, обратите внимание, что доступные слоты для записи не указаны. Чтобы узнать свободное время для записи, пожалуйста, свяжитесь с нашим контактным центром. Наши операторы с радостью помогут вам!

    Выбрано для предварительной записи:
    МИРОШНИЧЕНКО
    МИРОШНИЧЕНКО Алексей Михайлович
    Стоматолог-ортопед
    Ведущий специалист
    Клиника на Вокзальной, 50/1 (Бердск)

    Принимает еще в 1 клинике

    Записаться

    Мы предлагаем вам ознакомиться с общим графиком работы врача на месяц. Пожалуйста, обратите внимание, что доступные слоты для записи не указаны. Чтобы узнать свободное время для записи, пожалуйста, свяжитесь с нашим контактным центром. Наши операторы с радостью помогут вам!

    Выбрано для предварительной записи:
    НОМОКОНОВ
    НОМОКОНОВ Илья Андреевич
    Стоматолог-ортопед
    Клиника на Революции, 10
    Записаться

    Мы предлагаем вам ознакомиться с общим графиком работы врача на месяц. Пожалуйста, обратите внимание, что доступные слоты для записи не указаны. Чтобы узнать свободное время для записи, пожалуйста, свяжитесь с нашим контактным центром. Наши операторы с радостью помогут вам!

    Выбрано для предварительной записи:
    ПАВЛЕНКО
    ПАВЛЕНКО Анастасия Олеговна
    Врач-стоматолог
    Клиника на Революции, 10

    Принимает еще в 1 клинике

    Записаться

    Мы предлагаем вам ознакомиться с общим графиком работы врача на месяц. Пожалуйста, обратите внимание, что доступные слоты для записи не указаны. Чтобы узнать свободное время для записи, пожалуйста, свяжитесь с нашим контактным центром. Наши операторы с радостью помогут вам!

    Выбрано для предварительной записи:
    РЕГУЗОВ
    РЕГУЗОВ Евгений Геннадьевич
    Стоматолог-ортопед
    Ведущий специалист
    Главный врач Клиники на Героев труда, 4
    Клиника на Героев Труда, 4 (Академгородок)
    Записаться

    Мы предлагаем вам ознакомиться с общим графиком работы врача на месяц. Пожалуйста, обратите внимание, что доступные слоты для записи не указаны. Чтобы узнать свободное время для записи, пожалуйста, свяжитесь с нашим контактным центром. Наши операторы с радостью помогут вам!

    Выбрано для предварительной записи:
    САДОЧКОВ
    САДОЧКОВ Алексей Максимович
    Врач-стоматолог
    Клиника на пл. Карла Маркса, 1

    Принимает еще в 1 клинике

    Записаться

    Мы предлагаем вам ознакомиться с общим графиком работы врача на месяц. Пожалуйста, обратите внимание, что доступные слоты для записи не указаны. Чтобы узнать свободное время для записи, пожалуйста, свяжитесь с нашим контактным центром. Наши операторы с радостью помогут вам!

    Выбрано для предварительной записи:
    СОКОЛОВА (БАЛАШОВА)
    СОКОЛОВА (БАЛАШОВА) Елена Евгеньевна
    Стоматолог-ортопед
    Клиника на Никольском проспекте, 1 (Кольцово)
    Записаться

    Мы предлагаем вам ознакомиться с общим графиком работы врача на месяц. Пожалуйста, обратите внимание, что доступные слоты для записи не указаны. Чтобы узнать свободное время для записи, пожалуйста, свяжитесь с нашим контактным центром. Наши операторы с радостью помогут вам!

    Выбрано для предварительной записи:
    ТАЯНОВ
    ТАЯНОВ Станислав Викторович
    Врач-стоматолог
    Клиника на Героев Труда, 4 (Академгородок)
    Записаться

    Мы предлагаем вам ознакомиться с общим графиком работы врача на месяц. Пожалуйста, обратите внимание, что доступные слоты для записи не указаны. Чтобы узнать свободное время для записи, пожалуйста, свяжитесь с нашим контактным центром. Наши операторы с радостью помогут вам!

    Выбрано для предварительной записи:
    ТЕЛЕШОВА
    ТЕЛЕШОВА Юлия Алексеевна
    Врач-стоматолог
    Стоматолог-ортопед
    Клиника на Гребенщикова, 1 (Родники)
    Записаться

    Мы предлагаем вам ознакомиться с общим графиком работы врача на месяц. Пожалуйста, обратите внимание, что доступные слоты для записи не указаны. Чтобы узнать свободное время для записи, пожалуйста, свяжитесь с нашим контактным центром. Наши операторы с радостью помогут вам!

    Выбрано для предварительной записи:
    ЧЕПЫЖОВ Иван Сергеевич
    Врач-стоматолог
    Стоматолог-ортопед
    Клиника на Героев Труда, 4 (Академгородок)

    Принимает еще в 1 клинике

    Записаться

    Мы предлагаем вам ознакомиться с общим графиком работы врача на месяц. Пожалуйста, обратите внимание, что доступные слоты для записи не указаны. Чтобы узнать свободное время для записи, пожалуйста, свяжитесь с нашим контактным центром. Наши операторы с радостью помогут вам!

    Выбрано для предварительной записи:
    ШАКУРОВА
    ШАКУРОВА Александра Андреевна
    Стоматолог-ортопед
    Клиника на Блюхера, 30
    Записаться

    Мы предлагаем вам ознакомиться с общим графиком работы врача на месяц. Пожалуйста, обратите внимание, что доступные слоты для записи не указаны. Чтобы узнать свободное время для записи, пожалуйста, свяжитесь с нашим контактным центром. Наши операторы с радостью помогут вам!

    Выбрано для предварительной записи:

    Стоимость установки коронок на зубы

    Услуга
    Цена, руб.

    Протезирование зубов

    Прием врача-стоматолога-ортопеда первичный
    от 900 руб.
    Цельнокерамическая коронка боковая из диоксида циркония (1 зуб)
    Включает: препарирование зуба, внутриротовое сканирование, компьютерное моделирование и фрезерование в зуботехнической лаборатории, примерка и фиксация постоянной коронки
    от 38 000 руб.
    Цельнокерамическая коронка фронтальная из диоксида циркония, E-MAX (1 зуб)
    Включает: препарирование зуба, внутриротовое сканирование, компьютерное моделирование и фрезерование в зуботехнической лаборатории, примерка и фиксация постоянной коронки
    от 45 000 руб.
    Восстановление временной коронкой из пластмассы
    Включает: снятие слепка, изготовление и фиксация временной коронки прямым методом
    от 5 000 руб.
    Восстановление временной коронкой из пластмассы CAD/CAM
    Включает: внутриротовое сканирование, моделирование и изготовление коронки лабораторным методом, фиксация временной коронки
    от 6 600 руб.

    Цены на услуги стоматологии указаны базовые. Стоимость приема и лечения у ведущих специалистов выше от 20% до 50%.
    Цены на сайте не являются публичной офертой.