Записаться
ДОЛГОПОЛОВА

ДОЛГОПОЛОВА Светлана Олеговна

Врач-стоматолог
Врач высшей категории
Специалисты с опытом от 5 лет. Уверенно работают со сложными случаями, владеют сложными манипуляциями и получают отличные отзывы. Подробнее здесь
Стаж работы 8 лет
Принимает в клиниках
Клиника на пл. Карла Маркса, 1
Категории пациентов
дети
подростки
взрослые
Врач принимает по ДМС

Сегодня работа детского стоматолога включает в себя не только оказание качественной медицинской помощи, но и способность сформировать у ребенка положительное отношение к стоматологии в целом. Чтобы сохранить зубы крепкими и здоровыми как можно дольше, важно помнить о своевременном лечении и эффективной индивидуальной профилактике заболеваний полости рта. Работая в сети клиник Дентал-Сервис, я использую только современные технологии и качественные материалы, следую мировым стандартам лечения.

На работу меня вдохновляет детская непосредственность, их умение быть открытыми и искренними. А еще когда идет работа в тандеме с родителями: с меня — лечение, с них — выполненные рекомендации. Только в таком случае получается наилучший результат.

Квалификация

Стоматология общей практики
Сертификат до 30.05.2028

Основное образование

2018
Высшее - ФГБОУ ВО НГМУ Минздрава России, стоматология

Повышение квалификации, дополнительное образование

2020
Сертификационный курс Министерства здравоохранения РФ «Диагностика, лечение, профилактика новой коронавирусной инфекции (COVID-19) в первичной медико-санитарной помощи»
Профессиональные навыки
Лечение под наркозом
Лечение под седацией
Микропротезирование вкладками
Прием особенных детей
Бережная адаптация к стоматологическому приему
Герметизация фиссур
Результаты лечения пациентов
До лечения

Жалобы на боль от сладкого, застревание пищи.
Пациенту 14 лет.

Как лечили

Проведено лечение кариеса, установлена композитная вкладка.
Лечение прошло в 1 посещение.

Лечащий врач

ДОЛГОПОЛОВА Светлана Олеговна

До лечения

Жалобы на застревание пищи. Пациенту 12 лет.

Как лечили

Проведена неинвазивная герметизация фиссур без сверления и бор машины.
Лечение прошло в 1 посещение.

Лечащий врач

ДОЛГОПОЛОВА Светлана Олеговна

До лечения

Жалоба на эстетический дефект зуба.
Пациенту 12 лет.

Как лечили

Лечение методом инфильтрации Icon без сверления и бор машины.
Лечение прошло в 1 посещение.

Лечащий врач

ДОЛГОПОЛОВА Светлана Олеговна

До лечения

Пришли с жалобой на множественный кариес.
Пациенту 7 лет.

Как лечили

Проведена профессиональная гигиена зубов. Пролечен множественный кариес под седацией. Один зуб был удален из-за периодонтита.

Лечащие врачи
ЧУЧКАЕВА Ксения Викторовна, АНДРОНОВА (ВИЛЯЙ) Алёна Анатольевна, ДОЛГОПОЛОВА Светлана Олеговна, ДРОЗДОВА Валерия Николаевна, НАЗАРОВА (СПИРИДОНОВА) Александра Олеговна
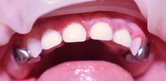
До лечения

Жалобы на разрушение передней группы зубов, нарушение эстетики. Боль во время приема пищи и чистки зубов.
Пациенту 2 года.

Как лечили

Лечение кариеса под наркозом. На передние зубы поставлены коронки из диоксида циркония, на два жевательных поставлены детские металлические коронки.
Лечение проведено за один визит.

Лечащий врач

ДОЛГОПОЛОВА Светлана Олеговна

До лечения

Пришли с жалобами на пигментацию зуба, боли не было.
Пациенту 9 лет.

Как лечили

Проведено лечение кариеса и подготовка зуба под композитную вкладку. Далее фиксация композитной вкладки.
Лечение проведено за два визита.

Лечащий врач

ДОЛГОПОЛОВА Светлана Олеговна

Отзывы пациентов
Ольга Орлова
02.03.2026
Огромная благодарность Долгополовой Светлане Олеговне ! Замечательный врач, специалист высокого уровня! Ребенок в 4 года был первый раз у стоматолога, и остался доволен ! Вылечили пульпит и кариес, без боли, в игровой форме, спаси...
Анна Ц.
03.02.2026
Несколько лет дочь наблюдается у прекрасного специалиста (по совместительству - волшебнице)) Долгополовой Светланы Олеговны. Светлана Олеговна, спасибо вам и вашим ассистентам за ваш труд. Всегда прекрасный результат, ...
Дарья Чернопятова
31.01.2025
Клиника очень понравилась. Дочери 1.4, смогли найти подход и посмотреть зубки. Все подробно рассказали, посоветовали пасту, ответили на все вопросы. Ребёнку подарили небольшую игрушку. Дочь не испытала ни малейшего стресса.
...
Ольга Байтнец
04.01.2025
Ходим на протяжении года к Светлане Олеговне, очень приятная женщина. Дочь ни к каким другим стоматологам не даёт лечить зубки. Умеет найти подход к ребенку,запоминает предпочтения,чтобы сразу с "ходу" завести диалог с м...
Александра Владимировна Бобкова
22.06.2024
Врач, к которому идешь как на праздник? - Для моих детей это Светлана Олеговна Долгополова. Много лет мы лечимся и наблюдаемся у этого высококлассного специалиста. Благодаря Светлане Олеговне дети не просто не боятся идти к стомат...

ДОЛГОПОЛОВА Светлана Олеговна — детский стоматолог, подростковый стоматолог, врач высшей категории в сети стоматологических клиник Дентал-Сервис. Стаж работы 8 лет. Ведет прием у пациентов: дети, подростки. Принимает по ДМС. Оказывает услуги: детская стоматология, травма детского зуба, лечение детей под наркозом, лечение детей под седацией, лечение кариеса у детей, лечение пульпита у детей, детские коронки, профилактический осмотр у детей, лечение зубов особенным детям, подростковая стоматология. Профессиональные навыки: лечение под наркозом, лечение под седацией, микропротезирование вкладками, прием особенных детей, бережная адаптация к стоматологическому приему, герметизация фиссур.

Врач высшей категории принимает по повышенному прайсу

Услуга
Цена, руб.

Детская стоматология

Прием детского стоматолога/зубного врача первичный (до 30 минут)
от 1 000 руб.
Прием детского стоматолога первичный расширенный (до 45 минут)
Развернутая консультация по комплексному лечению и/или лечению в наркозе
от 1 900 руб.
Прием детского стоматолога/зубного врача повторный (проф.осмотр)
от 900 руб.
Лечение кариеса молочного зуба (без учета анестезии)
от 5 100 руб.
Лечение обратимого пульпита молочного зуба
Стоимость указана без учета анестезии и восстановления
от 5 200 руб.
Лечение пульпита молочного зуба
Стоимость лечения зуба в 2 этапа без учета анестезии и восстановления. 1 этап: пульпотомия, экстирпация пульпы, временное пломбирование лекарственным препаратом корневого канала, наложение временной пломбы, инструментальная и медикаментозная обработка корневого канала. 2 этап: пломбирование корневого канала зуба пастой, снятие временной пломбы.
от 9 700 руб.
Лечение периодонтита молочного зуба
Стоимость лечения зуба в 2 этапа без учета анестезии и восстановления. 1 этап: пульпотомия, экстирпация пульпы, временное пломбирование лекарственным препаратом корневого канала, наложение временной пломбы, инструментальная и медикаментозная обработка корневого канала. 2 этап: пломбирование корневого канала зуба пастой, снятие временной пломбы.
9 700 руб.
Удаление подвижного молочного зуба (без учета анестезии)
от 2 800 руб.
Удаление неподвижного молочного зуба (без учета анестезии)
от 4 200 руб.
Пластика уздечки языка, верхней губы, нижней губы (без учета анестезии)
от 7 000 руб.
Восстановление молочного зуба коронкой
При сильных разрушениях молочных зубов для их сохранения используют в лечении коронки, стальные или из диоксида циркония.
от 8 600 руб.
Адаптационная комплексная профессиональная гигиена полости рта и зубов у детей по протоколу GBT (до 4 лет)
В процедуру входит: снятие зубного налета, обучение гигиене, без покрытия/с покрытием фторсодержащими препаратами.
от 4 100 руб.
Комплексная профессиональная гигиена полости рта и зубов у детей со сменным прикусом по протоколу GBT (до 8 лет)
В процедуру входит: снятие зубного налета, обучение гигиене, без покрытия/с покрытием фторсодержащими препаратами.
от 5 500 руб.
Пакет радиовизиографических снимков всей челюсти для детей
от 2 800 руб.
Пакет радиовизиографических снимков всей челюсти для детей при лечении под наркозом
от 3 800 руб.

Подростковая стоматология

Прием врача-стоматолога-терапевта первичный (до 30 мин)
от 1 000 руб.
Прием врача-стоматолога-терапевта первичный (до 45 мин)
Развернутая консультация по комплексному лечению и/или лечению в наркозе
от 1 900 руб.
Прием врача-стоматолога-терапевта повторный (проф.осмотр)
от 900 руб.
Запечатывание фиссуры зуба
Фиссуры — естественные желобки на поверхности зуба. Герметизация (запечатывание) фиссур герметиком предотвращает скапливание в этих местах налета и, как следствие, развитие кариеса. Без расшлифовки.
от 2 200 руб.
Лечение кариеса молочного зуба (без учета анестезии)
от 5 100 руб.
Лечение кариеса постоянного зуба (без учета анестезии)
от 9 600 руб.
Лечение обратимого пульпита молочного зуба (без учета анестезии)
С сохранением жизнеспособности зуба. Стоимость указана без учета анестезии и восстановления
от 5 200 руб.
Лечение обратимого пульпита постоянного зуба (без учета анестезии)
Закрытие перфорации стенки корневого канала зуба, восстановление зуба пломбой с нарушением контактного пункта с использованием материалов из фотополимеров. Стоимость указана без учета анестезии
от 5 500 руб.
Лечение пульпита одноканального молочного зуба (без учета анестезии)
Стоимость лечения зуба в 2 этапа без учета анестезии и восстановления. 1 этап: пульпотомия, экстирпация пульпы, временное пломбирование лекарственным препаратом корневого канала, наложение временной пломбы, инструментальная и медикаментозная обработка корневого канала. 2 этап: пломбирование корневого канала зуба пастой, снятие временной пломбы.
от 9 700 руб.
Лечение пульпита одноканального постоянного зуба (без учета анестезии)
Стоимость лечения в 2 этапа без учета анестезии и восстановления. 1 этап: пульпотомия, экстирпация пульпы, временное пломбирование лекарственным препаратом корневого канала, наложение временной пломбы, инструментальная и медикаментозная обработка корневого канала. 2 этап: пломбирование корневого канала зуба гуттаперчивыми штифтами, снятие временной пломбы.
от 17 600 руб.
Лечение периодонтита одноканального молочного зуба (без учета анестезии)
Стоимость лечения зуба в 2 этапа без учета анестезии и восстановления. 1 этап: пульпотомия, экстирпация пульпы, временное пломбирование лекарственным препаратом корневого канала, наложение временной пломбы, инструментальная и медикаментозная обработка корневого канала. 2 этап: пломбирование корневого канала зуба пастой, снятие временной пломбы.
от 9 700 руб.
Лечение периодонтита одноканального постоянного зуба (без учета анестезии)
Стоимость лечения в 2 этапа без учета анестезии и восстановления. 1 этап: инструментальная и медикаментозная обработка корневого канала, временное пломбирование лекарственным препаратом корневого канала, наложение временной пломбы. 2 этап: пломбирование корневого канала зуба гуттаперчивыми штифтами, снятие временной пломбы.
от 9 400 руб.
Удаление подвижного молочного зуба (без учета анестезии)
от 2 800 руб.
Удаление постоянного зуба (без учета анестезии)
от 6 000 руб.
Комплексная профессиональная гигиена полости рта и зубов по протоколу GBT
В процедуру входит: снятие зубного налета, обучение гигиене, без покрытия/с покрытием фторсодержащими препаратами.
от 8 100 руб.

Лечение травмы зубов

Шинирование группы зубов после травмы
Ортодонтическое скрепление металлической проволокой
от 7 200 руб.
Репозиция зуба в лунку
от 5 500 руб.
Фиксация собственного осколка зуба на композитный материал
Фиксация собственного осколка зуба на композитный материал
от 6 800 руб.
Наложение лечебной повязки при заболеваниях слизистой оболочки полости рта и пародонта в области одного зуба
Внутриротовая перевязка
от 1 900 руб.
Наложение повязки при нарушении целостности кожных покровов
Внеротовая перевязка
от 1 900 руб.
Первичная хирургическая обработка раны с наложением швов (легкая степень повреждения)
от 6 400 руб.

Анестезиология

Аппликационная анестезия
от 600 руб.
Инфильтрационная анестезия (одна карпула)
от 1 400 руб.
Проводниковая анестезия (одна карпула)
от 1 400 руб.

Лечение под наркозом

Консультация врача-анестезиолога-реаниматолога
от 2 000 руб.
Медикаментозный сон (вводный наркоз + первый час + постнаркозное наблюдение)
от 15 000 руб.
Медикаментозный сон (каждые последующие 30 мин наркоза)
от 7 000 руб.
Ингаляционный наркоз для краткосрочных вмешательств с использованием севорана (до 30 минут)
от 9 200 руб.

Лечение в седации

Консультация врача-анестезиолога-реаниматолога
При стоматологическом наркозе используется безопасный препарат севоран, он погружает человека в глубокий сон.
от 2 000 руб.
Ингаляционный наркоз с использованием закиси азота
Расслабление с помощью успокаивающего газа, который подается через маску на носу. При этом пациент находится в сознании, общается с врачом, нормально дышит.
от 3 600 руб.
Сочетанная анестезия (внутривенная седация 1 час)
Внутривенная седация один час, используется для взрослых.
от 13 500 руб.

Мы предлагаем вам ознакомиться с общим графиком работы врача на месяц. Пожалуйста, обратите внимание, что доступные слоты для записи не указаны. Чтобы узнать свободное время для записи, пожалуйста, свяжитесь с нашим контактным центром. Наши операторы с радостью помогут вам!

Выбрано для предварительной записи:

Другие специалисты

ЕРМОШКИН Никита Михайлович
Врач-стоматолог
Профессорская клиника на Николаева, 12/3 (Академгородок)
Записаться
ШАЯСЮК
ШАЯСЮК Роман Александрович
Стоматолог-хирург
Клиника на Никольском проспекте, 1 (Кольцово)
Записаться
ЖУРАВКОВА
ЖУРАВКОВА Юлия Валерьевна
Стоматолог-терапевт
Детский стоматолог
Главный врач Клиники в Бердске
Главный врач Клиники на пл.К.Маркса, 1
Клиника на Вокзальной, 50/1 (Бердск)

Принимает еще в 1 клинике

Записаться
МАНУКЯН (ПЕТРОСЯН)
МАНУКЯН (ПЕТРОСЯН) Нина Витальевна
Стоматолог-терапевт
Врач-стоматолог
Клиника на Блюхера, 30
Записаться
БАКУЛИНА (ЖЕБЕЛЕВА)
БАКУЛИНА (ЖЕБЕЛЕВА) Елена Сергеевна
Гигиенист
Клиника на Революции, 10
Записаться
ВОХ
ВОХ Алёна Николаевна
Стоматолог-хирург
Клиника на Революции, 10

Принимает еще в 2 клиниках

Записаться
СЛАУТИНА
СЛАУТИНА Екатерина Владимировна
Гигиенист
Клиника на Блюхера, 30
Записаться
ТИУНОВА
ТИУНОВА Яна Евгеньевна
Детский стоматолог
Детская клиника на Ленина, 17
Записаться
ПЛЮСНИН
ПЛЮСНИН Евгений Сергеевич
Врач-стоматолог
Клиника на Гребенщикова, 1 (Родники)

Принимает еще в 1 клинике

Записаться
ЗОЛОТУХИНА (СМОЛЯНИНА)
ЗОЛОТУХИНА (СМОЛЯНИНА) Юлия Анатольевна
Челюстно-лицевой хирург
Клиника хирургии лица и стоматологии на Сакко и Ванцетти, 77
Записаться
РЫЖИКОВА
РЫЖИКОВА Елизавета Эдуардовна
Врач-стоматолог
Клиника на Никольском проспекте, 1 (Кольцово)
Записаться
СМЕТАНЕНКО
СМЕТАНЕНКО Юлия Святославовна
Ортодонт
Клиника на Революции, 10
Записаться