Записаться

ГАШИМОВА Кристина Гасановна

Ортодонт
Врач-стоматолог
Стаж работы 4 года
Принимает в клиниках
Клиника на Революции, 10
У меня нет слов.
Просто люблю свою работу!

Квалификация

Стоматология
Сертификат до 01.07.2027
Ортодонтия
Сертификат до 20.09.2029

Основное образование

2022
ФГБОУ ВО НГМУ Минздрава России, стоматология
2024
Ординатура - ФГБОУ ВО "Новосибирский государственный медицинский университет" Министерства здравоохранения Российской Федерации, ортодонтия

Повышение квалификации, дополнительное образование

2022
Лечение 1 и 2 класса по Angle со сложной скученностью зубов у пациентов разных возрастов с учетом фенотипа десны»
2023
«Предсказуемая и эффективная ортодонтия у самых маленьких пациентов»
2023
«Железная логика. Сохранять или удалять. Алгоритм принятия решения.»
2023
«Уровень 2. Брекеты и элайнеры – рабочие инструменты ортодонта»
2023
«Уровень I. Как грамотно начать лечение пациента.»
2023
Участник орто-клуба «Возможности современной ортодонтии»
2024
«Элайнеры от А до Я»
2024
«Решение главных задач: улыбка, I-й класс, стабильность»
2024
Участник орто-клуба «Детская ортодонтия»
2024
«Основы диагностики ВНЧС. Базовая гнатология»
2024
«Лечение вертикальных и сагиттальных аномалий у взрослых»
2024
«Планирование и лечение аномалий дистальной окклюзии»
2025
«Ортодонт в безопасности»
2025
«Решение задач в сагиттальной и вертикальной плоскости»
2025
«ORTHO TOUR Восток 2025»

ГАШИМОВА Кристина Гасановна — ортодонт в сети стоматологических клиник Дентал-Сервис. Стаж работы 4 года. Оказывает услуги: ортодонтия, брекеты, миофункциональное лечение, лечение внчс.

Услуга
Цена, руб.

Ортодонтический прием и диагностика

Прием врача-ортодонта первичный
от 900 руб.
Прием врача-ортодонта повторный для составления плана лечения
от 1 900 руб.
Прием врача-ортодонта пациентов проходящих лечение в другой клинике
от 4 900 руб.
Компьютерный анализ телерентгенограммы
от 4 200 руб.
Полная диагностика перед ортодонтическим лечением
Услуга включает: снятие альгинатного оттиска с одной челюсти или сканирование, определение прикуса, изготовление контрольной модели при ортодонтическом лечении, антропометрические исследования, анализ ТРГ, фотографирование, составление плана лечения
от 8 500 руб.
Функциональная диагностика с использованием артикулятора
Услуга включает: определение вида смыкания зубных рядов с помощью лицевой дуги, снятие альгинатного оттиска с одной челюсти, сканирование, определение прикуса, изготовление контрольной модели при ортодонтическом лечении, антропометрические исследования, гипсовка в артукулятор, фотографирование.
от 18 000 руб.

Комплексное лечение на брекетах

Раннее лечение с использованием металлических брекетов на одной челюсти
Ортодонтическое лечение у подростка в период смены зубов с молочных на постоянные.
от 57 000 руб.
Раннее лечение с использованием эстетических брекетов на одной челюсти
Ортодонтическое лечение у подростка в период смены зубов с молочных на постоянные.
от 83 000 руб.
Полное лечение с использованием металлических брекетов на одной челюсти
Ортодонтическое лечение, когда все зубы у пациента уже сменились на постоянные.
от 129 000 руб.
Полное лечение с использованием эстетических брекетов на одной челюсти
Ортодонтическое лечение, когда все зубы у пациента уже сменились на постоянные.
от 189 000 руб.

Лечение на съемных аппаратах

Прием врача-ортодонта повторный (при лечении на съемном аппарате)
Выбор съемного аппарата производит лечащий врач после диагностики на осном приеме. Список апааратов, выведенный на сайте, является ознакомительным.
от 1 000 руб.
Ортодонтическая коррекция съемным аппаратом "Haas"
от 36 800 руб.
Ортодонтическая коррекция съемным аппаратом вестибулярная пластинка
от 12 600 руб.
Ортодонтическая коррекция съемным аппаратом LM-активатор
от 15 000 руб.
Ортодонтическая коррекция съемным аппаратом Миобрейс
от 15 500 руб.

Лечение на элайнерах

Прием врача-ортодонта повторный для планирования и составления плана ортодонтического лечения на элайнерах (3D-клинчек)
Выполнение 3D-клинчек – это видеоматериал с виртуальной объемной моделью перемещения зубов при лечении. Его создание возможно только после диагностики. Выполняется перед началом лечения, служит для визуализации и для последующего производства элайнеров.
от 15 000 руб.
Ортодонтическая коррекция с применением элайнеров "FlexLigner" на 1 челюсти
от 266 000 руб.
Ортодонтическая коррекция с применением элайнеров "DentalAlign", 1 шт
от 8 500 руб.
Ортодонтическая коррекция с применением элайнеров "Eurokappa" (1-12 кап)
от 160 000 руб.
Ортодонтическая коррекция с применением элайнеров "StarSmile" (1-10 кап) у взрослых и подростков
от 100 000 руб.

Миофункциональное лечение

Прием врача-ортодонта повторный для планирования и составления плана миофункционального лечения
от 6 900 руб.
Диагностика первичная при миофункциональном лечении
В услугу включено: антропометрические исследования, снятие альгинатного оттиска с одной челюсти, изготовление контрольной модели, составление плана лечения.
от 9 000 руб.
Ортодонтическое лечение с применением миофункциональных аппаратов
Уникальная услуга, альтернативный способ исправления прикуса. В основе курса — система тренировки мышц челюстно-лицевой области с помощью функциональных аппаратов — трейнеров и ежедневных упражнений.
от 101 400 руб.
Курс консультаций по использованию миофункционального аппарата с комплексом упражнений (10 приемов)
Консультация проводится совместно с логопедом
от 28 400 руб.

Мы предлагаем вам ознакомиться с общим графиком работы врача на месяц. Пожалуйста, обратите внимание, что доступные слоты для записи не указаны. Чтобы узнать свободное время для записи, пожалуйста, свяжитесь с нашим контактным центром. Наши операторы с радостью помогут вам!

Выбрано для предварительной записи:

Отзывов о враче пока нет. Но вы можете первым оставить обратную связь.

Оставить отзыв

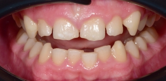
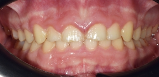
До лечения

Жалобы на неровные зубы и стираемость зубов.
Пациенту 16 лет.

Как лечили

Удалены восьмерки сверху и снизу. Проведено ортодонтическое лечение с использованием брекет-систем.
Лечение проведено в течение восемнадцати месяцев.

Лечащие врачи
СЕРОПЯН Аида Вардановна, ГАШИМОВА Кристина Гасановна

Другие специалисты

ЛАСТУХОВСКАЯ Марина Александровна
Рентгенолаборант
Детская клиника на Ленина, 17

Принимает еще в 1 клинике

Записаться
МАРКОСЯН
МАРКОСЯН Геворк Сандроевич
Стоматолог-ортопед
Клиника на Гребенщикова, 1 (Родники)
Записаться
МАЖУТА Эльвира Романовна
Врач-стоматолог
Гигиенист
Клиника на Гребенщикова, 1 (Родники)
Записаться
ГУКАСЯН
ГУКАСЯН Гукас Арутюнович
Стоматолог-ортопед
Клиника хирургии лица и стоматологии на Сакко и Ванцетти, 77
Записаться
ДОЛГАНОВ Руслан Гумарович
Врач-стоматолог
Профессорская клиника на Николаева, 12/3 (Академгородок)
Записаться
АСЛАНОВА Альмина Раминовна
Врач-стоматолог
Профессорская клиника на Николаева, 12/3 (Академгородок)
Записаться
СЕМИВОЛОВА
СЕМИВОЛОВА Анастасия Владимировна
Ортодонт
Клиника на Вокзальной, 50/1 (Бердск)

Принимает еще в 1 клинике

Записаться
ЕЩЕНКО (МАЗЕИНА)
ЕЩЕНКО (МАЗЕИНА) Анна Евгеньевна
Врач-стоматолог
Клиника хирургии лица и стоматологии на Сакко и Ванцетти, 77
Записаться
ТУРОВА Мария Александровна
Врач-стоматолог
Клиника хирургии лица и стоматологии на Сакко и Ванцетти, 77
Записаться
ТЕРЕЩЕНКО
ТЕРЕЩЕНКО Ирина Германовна
Стоматолог-терапевт
Стоматолог-хирург
Клиника на Блюхера, 30
Записаться
ДУБРОВСКАЯ Софья Владимировна
Стоматолог-терапевт
Клиника на Героев Труда, 4 (Академгородок)

Принимает еще в 1 клинике

Записаться
ЧИБИСОВА
ЧИБИСОВА Анна Владимировна
Врач-стоматолог
Клиника на Дуси Ковальчук, 252/1
Записаться