Записаться
МИНОВ

МИНОВ Дмитрий Олегович

Стоматолог-терапевт
Ведущий специалист
Опытные специалисты со стажем от 7 лет. Ведут сложные случаи, обучают врачей и владеют продвинутыми методиками. Подробнее здесь
Стаж работы 13 лет
Принимает в клиниках
Клиника на пл. Карла Маркса, 1
Категории пациентов
дети
подростки
взрослые

В детстве, во время смены временных зубов на постоянные, я находил в них кариес и «вычищал» его подручными средствами. Кажется, мой путь был предопределён...

Теперь я сам стоматолог, и многие вещи у меня получаются гораздо лучше. Так, я особенно люблю и умею решать сложные клинические случаи в области эндодонтии. Имею огромный опыт лечения корневых каналов зубов «мудрости», так как был одним из пионеров в нашей сети в области аутотрансплантации. Пациенты отмечают, что максимально безболезненно ставлю анестезию.

Но больше всего в работе мне нравится видеть результат — здоровье и счастье пациента. Апогеем чего является модель взаимодействия: встретились раз в полгода, порадовались, что всё хорошо и попрощались ещё на полгода. Поэтому пациентам желаю любить себя и заботиться о своем здоровье, потому что оно — БЕСЦЕННО!

Квалификация

Стоматология терапевтическая
Сертификат до 22.04.2030

Основное образование

2010
Высшее - ГОУ ВПО НГМУ Росздрава, стоматология

Повышение квалификации, дополнительное образование

2015
ГБОУ ВПО СГМУ (г. Архангельск) Минздрава России, стоматология терапевтическая
Профессиональные навыки
Лечение под микроскопом
Лечение под наркозом
Лечение под седацией
Анализ компьютерной томографии и составление плана лечения
Использование современных технологий при лечении каналов
Проведение зубосохраняющих операций
Апикальная микрохирургия
Использование процедуры аутотрансплантации
Ведение сложных клинических ситуаций
Извлечение отломков инструментов из каналов
Эндодонтическое перелечивание
Использование ИИ-технологий при диагностике
Эстетическая реставрация жевательных зубов
Результаты лечения пациентов
До лечения

Жалоба на потемневший зуб.

Как лечили

Проведено внутрикоронковое отбеливание.

Лечащий врач

МИНОВ Дмитрий Олегович

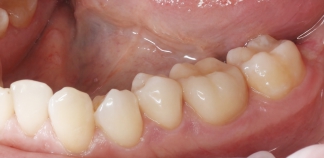
До лечения

Жалоба на боли при накусывании.
Пациенту 37 лет.

Как лечили

Проведено эндодонтическое лечение, зуб подготовлен под коронку.
Лечение прошло в течении 14 дней.

Лечащий врач

МИНОВ Дмитрий Олегович

До лечения

Жалобы на разрушенный зуб.
Пациенту 35 лет.

Как лечили

Был удален шестой разрушенный зуб. На его место пересажен восьмой зуб. Через 2 недели проведено эндодонтическое лечение. Изготовлена и установлена коронка на восьмой зуб.
Лечение проведено в течение двух недель.

Лечащие врачи
МАРЧЕНКО (КОСЕВА) Полина Сергеевна, КИСЕЛЕВ Кирилл Эдуардович, МИНОВ Дмитрий Олегович
До лечения

Жалобы на боль и подвижность переднего зуба.
Пациенту 39 лет.

Как лечили

Проведено эндодонтическое лечение и апикальная микрохирургия в области зуба.
Лечение проведено за один визит.

Лечащий врач

МИНОВ Дмитрий Олегович

Отзывы пациентов
Александра Шуш
17.01.2026
Хочу выразить огромную благодарность всей клинике и лично моему врачу, Дмитрию Олеговичу Минову!
У Дмитрия Олеговича я наблюдаюсь уже не первый год, он настоящий профессионал своего дела.
Все манипуляции проводит ювели...
Serafima Sedova
16.07.2025
Если вы ищите клинику, где работают компетентные специалисты, использующие инновационные решения — вам сюда.
Я была на приеме у Минова Дмитрия Олеговича, и я очень рада, что наконец нашла своего специалиста. Убедилась, что в...
Anastasia Buravlyova
23.01.2025
Хочу поблагодарить клинику и лучших специалистов в своей области!
Уже давно у меня была травма переднего (!) зуба и образовалась огромная киста на корне.
После консультаций с несколькими врачами в других стом...

МИНОВ Дмитрий Олегович — стоматолог-терапевт ведущий специалист в сети стоматологических клиник Дентал-Сервис. Стаж работы 13 лет. Ведет прием у пациентов: взрослые. Оказывает услуги: лечение под микроскопом, терапевтическая стоматология, лечение кариеса, лечение пульпита, лечение периодонтита, удаление кисты зуба, реставрация зубов. Профессиональные навыки: лечение под микроскопом, лечение под наркозом, лечение под седацией, анализ компьютерной томографии и составление плана лечения, использование современных технологий при лечении каналов, проведение зубосохраняющих операций, апикальная микрохирургия, использование процедуры аутотрансплантации, ведение сложных клинических ситуаций, извлечение отломков инструментов из каналов, эндодонтическое перелечивание, использование ии-технологий при диагностике, эстетическая реставрация жевательных зубов.

Врач является ведущим специалистом и принимает по повышенному прайсу

Услуга
Цена, руб.

Лечение зубов под микроскопом

Прием врача-стоматолога-терапевта первичный
от 1 200 руб.
Прием врача-стоматолога-терапевта повторный (проф.осмотр)
бесплатно
Оказание неотложной стоматологической помощи (без учета анестезии)
Включает снятие острой боли, установку временной пломбы.
от 4 700 руб.
Лечение кариеса эмали по технологии ICON (без учета анестезии)
Запечатывание вестибулярной поверхности зуба герметиком
от 9 800 руб.
Лечение кариеса (без учета анестезии)
от 10 900 руб.
Лечение обратимого пульпита (без учета анестезии)
Закрытие перфорации стенки корневого канала зуба, восстановление зуба пломбой с использованием материалов из фотополимеров.
от 6 200 руб.
Двухэтапное лечение пульпита одноканального зуба (без учета анестезии)
1 этап: пульпотомия, экстирпация пульпы, временное пломбирование лекарственным препаратом корневого канала, наложение временной пломбы, инструментальная и медикаментозная обработка корневого канала. 2 этап: пломбирование корневого канала зуба гуттаперчивыми штифтами, снятие временной пломбы.
от 19 900 руб.
Двухэтапное лечение периодонтита одноканального зуба (без учета анестезии)
1 этап: инструментальная и медикаментозная обработка корневого канала, временное пломбирование лекарственным препаратом корневого канала, наложение временной пломбы. 2 этап: пломбирование корневого канала зуба гуттаперчивыми штифтами, снятие временной пломбы.
от 19 900 руб.
Апикальная хирургия. Хирургический и терапевтический этап в области фронтальных зубов
1ый этап хирургический: резекция верхушки корня зуба, цистэктомия, наложение шва на слизистую оболочку рта. 2ой этап терапевтический: инструментальная и медикаментозная обработка корневого канала (ретропрепарирование), закрытие перфорации стенки корневого канала зуба (пломбирование МТА, биокерамикой).
от 50 000 руб.

Протезирование зубов

Цельнокерамическая коронка фронтальная из диоксида циркония, E-MAX (один зуб)
Включает: препарирование зуба, внутриротовое сканирование, компьютерное моделирование и фрезерование в зуботехнической лаборатории, примерка и фиксация постоянной коронки.
от 56 300 руб.
Цельнокерамическая коронка боковая из диоксида циркония (один зуб)
Включает: препарирование зуба, внутриротовое сканирование, компьютерное моделирование и фрезерование в зуботехнической лаборатории, примерка и фиксация постоянной коронки.
от 47 500 руб.
Керамическая вкладка (один зуб)
от 42 500 руб.
Восстановление зуба виниром
от 60 000 руб.
Восстановление зуба ультратонким виниром
от 71 300 руб.

Эстетическая стоматология

Художественная реставрация жевательного зуба
Восстановление естественной структуры/формы/цвета зуба при помощи синтетических материалов.
от 23 200 руб.
Художественная реставрация фронтального зуба
Восстановление естественной структуры/формы/цвета зуба при помощи синтетических материалов.
от 29 400 руб.
Эстетическое контурирование зуба
Процедура выравнивания, либо изменения формы зубов. Это быстрый и недорогой метод, обычно не требующий анестезии. Показания: сломанные, длинные или аномальные зубы.
от 6 400 руб.

Анестезиология

Аппликационная анестезия
от 700 руб.
Инфильтрационная анестезия (одна карпула)
от 1 700 руб.
Проводниковая анестезия (одна карпула)
от 1 700 руб.

Лечение под наркозом

Консультация врача-анестезиолога-реаниматолога
от 2 000 руб.
Медикаментозный сон (вводный наркоз + первый час + постнаркозное наблюдение)
от 15 000 руб.
Ингаляционный наркоз для краткосрочных вмешательств с использованием севорана (до 30 минут)
от 9 200 руб.

Лечение в седации

Консультация врача-анестезиолога-реаниматолога
При стоматологическом наркозе используется безопасный препарат севоран, он погружает человека в глубокий сон.
от 2 000 руб.
Сочетанная анестезия (внутривенная седация 1 час)
Внутривенная седация один час, используется для взрослых.
от 13 500 руб.

Мы предлагаем вам ознакомиться с общим графиком работы врача на месяц. Пожалуйста, обратите внимание, что доступные слоты для записи не указаны. Чтобы узнать свободное время для записи, пожалуйста, свяжитесь с нашим контактным центром. Наши операторы с радостью помогут вам!

Выбрано для предварительной записи:

Другие специалисты

БУТОРИН
БУТОРИН Руслан Евгениевич
Врач-стоматолог
Челюстно-лицевой хирург
Клиника хирургии лица и стоматологии на Сакко и Ванцетти, 77
Записаться
ДУДКИН
ДУДКИН Виктор Сергеевич
Челюстно-лицевой хирург
Заведующий отделением Клиники хирургии лица
Клиника хирургии лица и стоматологии на Сакко и Ванцетти, 77
Записаться
НАЗАРОВА (СПИРИДОНОВА)
НАЗАРОВА (СПИРИДОНОВА) Александра Олеговна
Врач-стоматолог
Клиника на пл. Карла Маркса, 1
Записаться
СЕМИВОЛОВА
СЕМИВОЛОВА Анастасия Владимировна
Ортодонт
Клиника на Вокзальной, 50/1 (Бердск)

Принимает еще в 1 клинике

Записаться
ВОЛКОВ
ВОЛКОВ Вячеслав Олегович
Стоматолог-хирург
Клиника на Героев Труда, 4 (Академгородок)

Принимает еще в 1 клинике

Записаться
ТАЛАЛАЕВА
ТАЛАЛАЕВА Виктория Андреевна
Ортодонт
Клиника на Героев Труда, 4 (Академгородок)

Принимает еще в 1 клинике

Записаться
СИЛИЧ
СИЛИЧ Наталья Николаевна
Анестезиолог-реаниматолог
Клиника хирургии лица и стоматологии на Сакко и Ванцетти, 77
Записаться
ХАРЛОВА
ХАРЛОВА Владлена Олеговна
Гигиенист
Клиника хирургии лица и стоматологии на Сакко и Ванцетти, 77
Записаться
БАСАЛАЕВА
БАСАЛАЕВА Валерия Сергеевна
Врач-стоматолог
Клиника на Гребенщикова, 1 (Родники)

Принимает еще в 1 клинике

Записаться
ЯКУНИНА
ЯКУНИНА Полина Андреевна
Врач-стоматолог
Клиника на Дуси Ковальчук, 252/1
Записаться
ГРАЖДАНОВА Карина Сергеевна
Врач-стоматолог
Профессорская клиника на Николаева, 12/3 (Академгородок)
Записаться
МАКАРОВ
МАКАРОВ Вячеслав Олегович
Стоматолог-хирург
Клиника на Дуси Ковальчук, 252/1
Записаться