Записаться
ТАЯНОВ

ТАЯНОВ Станислав Викторович

Врач-стоматолог
Врач высшей категории
Специалисты с опытом от 5 лет. Уверенно работают со сложными случаями, владеют сложными манипуляциями и получают отличные отзывы. Подробнее здесь
Стаж работы 7 лет
Принимает в клиниках
Клиника на Героев Труда, 4 (Академгородок)
Категории пациентов
дети
подростки
взрослые
Заботясь о здоровье пациента, я понимаю, что здоровая улыбка повышает уровень комфорта и улучшает качество жизни в целом.

Квалификация

Стоматология общей практики
Сертификат до 07.10.2030

Основное образование

2018
Высшее - ФГБОУ ВО НГМУ Минздрава России, стоматология
2025
Ординатура - ЧОУ ВО "НМСИ ДЕНТМАСТЕР", стоматология общей практики

Повышение квалификации, дополнительное образование

2020
Сертификационный курс Министерства здравоохранения РФ «Диагностика, лечение, профилактика новой коронавирусной инфекции (COVID-19) в первичной медико-санитарной помощи»
2021
Эргономика в стоматологии: эфффективная и безопасная работа в четыре руки на амбулаторном стоматологическом приеме
2023
Актуальные вопросы пародонтологического лечения: классическая парадонтология
Профессиональные навыки
Лечение под микроскопом
Анализ компьютерной томографии и составление плана лечения
Микропротезирование вкладками
Цифровое протезирование
Аккуратная подготовка зуба под коронку
Лечение под седацией
Результаты лечения пациентов
До лечения

Жалоба на плохое состояние нижних зубов.

Как лечили

Пролечен кариес под микроскопом и установлены импланты. Проведена хирургическая пластика десны. Протезирование коронками из диоксида циркония.

Лечащие врачи
ЛОМАКИН Андрей Сергеевич, ТАЯНОВ Станислав Викторович, ВОЛКОВ Вячеслав Олегович, МОРОЗОВ Дмитрий Владимирович
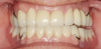
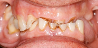
До лечения

Жалобы на стирание и отсутствие зубов.
Пациенту 63 года.

Как лечили

Удалены разрушенные зубы. Восстановлены отсутствующие зубы коронками. Изготовлены съемные протезы.
Лечение проведено в течение шести месяцев.

Лечащий врач

ТАЯНОВ Станислав Викторович

Отзывы пациентов
П*ци*нт*+7*92* 1*XX*XX
13.02.2025
Попала к данному врачу случайно, просто записалась на консультацию по полису ДМС. Станислав Викторович тщательно провел осмотр, всё рассказал и запланировал лечение. Всегда приёмы проходят в позитивной обстановке, доктор очень усп...
П*ци*нт
14.07.2024
Недавно обратилась в эту клинику. Скололась пломба с переднего зуба. Администратор оперативно предложила свободное время. Таянов Станислав Викторович лечил мой зуб. Немного переживала - доктор молодой, стаж 4 года. Но встретил мен...
Egor Alekseevich
25.05.2024
Хочу оставить отзыв и слова благодарности Буторину Руслану Евгеньевичу. Очень грамотный врач! Переживала из-за удаление зубов, Руслан Евгеньевич весь процесс удаления эмоционально поддерживал, процедуру провел максимально грамотно...
Софья Сметанина
05.05.2024
Самая любимая клиника «Дентал-Сервис»!
Доверяю только профессионалам, которые работают в этой клинике!
Большое спасибо замечательному стоматологу терапевту-ортопеду Таянову Станиславу Викторовичу!
П*ци*нт
18.04.2024
Выражаю огромную благодарность врачу-стоматологу Станиславу Викторовичу Таянову! Обратился с сильной болью в зубе, несколько дней пил найз, думал пройдёт, не прошло( Станислав Викторович оперативно меня принял, посмотрел, мне ...
Акции с участием врача
Смотреть все
Бесплатная консультация по имплантации и КТ
Вернем здоровье и красоту вашей улыбки!
Реклама ООО "Дентал-Сервис Бердск" ИНН 544525957, erid: 2VfnxwD8CRn

20 августа 2025-30 июня 2026

ТАЯНОВ Станислав Викторович — стоматолог-терапевт, стоматолог-ортопед, врач высшей категории в сети стоматологических клиник Дентал-Сервис. Стаж работы 7 лет. Ведет прием у пациентов: взрослые. Оказывает услуги: лечение под микроскопом, терапевтическая стоматология, лечение кариеса, лечение пульпита, лечение периодонтита, ортопедическая стоматология, виниры, коронки, протезирование на имплантатах, мостовидный протез, съемное протезирование зубов, вкладка на зуб. Профессиональные навыки: лечение под микроскопом, анализ компьютерной томографии и составление плана лечения, микропротезирование вкладками, цифровое протезирование, аккуратная подготовка зуба под коронку, лечение под седацией.

Врач высшей категории принимает по повышенному прайсу

Услуга
Цена, руб.

Лечение зубов под микроскопом

Прием врача-стоматолога-терапевта первичный
от 1 000 руб.
Прием врача-стоматолога-терапевта повторный (проф.осмотр)
бесплатно
Лечение кариеса эмали по технологии ICON (без учета анестезии)
Запечатывание вестибулярной поверхности зуба герметиком
от 8 600 руб.
Лечение кариеса (без учета анестезии)
от 9 600 руб.
Лечение обратимого пульпита (без учета анестезии)
Закрытие перфорации стенки корневого канала зуба, восстановление зуба пломбой с использованием материалов из фотополимеров
от 5 500 руб.
Двухэтапное лечение пульпита одноканального зуба (без учета анестезии)
1 этап: пульпотомия, экстирпация пульпы, временное пломбирование лекарственным препаратом корневого канала, наложение временной пломбы, инструментальная и медикаментозная обработка корневого канала. 2 этап: пломбирование корневого канала зуба гуттаперчивыми штифтами, снятие временной пломбы
от 17 600 руб.
Двухэтапное лечение периодонтита одноканального зуба (без учета анестезии)
1 этап: инструментальная и медикаментозная обработка корневого канала, временное пломбирование лекарственным препаратом корневого канала, наложение временной пломбы. 2 этап: пломбирование корневого канала зуба гуттаперчивыми штифтами, снятие временной пломбы
от 17 600 руб.
Апикальная хирургия. Хирургический и терапевтический этап в области фронтальных зубов
1ый этап хирургический: резекция верхушки корня зуба, цистэктомия, наложение шва на слизистую оболочку рта. 2ой этап терапевтический: инструментальная и медикаментозная обработка корневого канала (ретропрепарирование), закрытие перфорации стенки корневого канала зуба (пломбирование МТА, биокерамикой)
от 44 000 руб.
Оказание неотложной стоматологической помощи (без учета анестезии)
Включает снятие острой боли, установку временной пломбы
от 4 000 руб.

Протезирование зубов

Прием врача-стоматолога-ортопеда первичный
от 1 000 руб.
Композитная вкладка (один зуб)
от 25 300 руб.
Керамическая вкладка (один зуб)
от 37 400 руб.
Цельнокерамическая коронка боковая из диоксида циркония (1 зуб)
Включает: препарирование зуба, внутриротовое сканирование, компьютерное моделирование и фрезерование в зуботехнической лаборатории, примерка и фиксация постоянной коронки
от 41 800 руб.
Цельнокерамическая коронка фронтальная из диоксида циркония, E-MAX (1 зуб)
Включает: препарирование зуба, внутриротовое сканирование, компьютерное моделирование и фрезерование в зуботехнической лаборатории, примерка и фиксация постоянной коронки
от 49 500 руб.
Восстановление временной коронкой из пластмассы
Включает: снятие слепка, изготовление и фиксация временной коронки прямым методом
от 5 500 руб.
Восстановление временной коронкой из пластмассы CAD/CAM
Включает: внутриротовое сканирование, моделирование и изготовление коронки лабораторным методом, фиксация временной коронки
от 7 300 руб.
Мостовидный протез из диоксида циркония с опорой на 2 зуба
Включает: препарирование зубов, внутриротовое сканирование, компьютерное моделирование и фрезерование в зуботехнической лаборатории, примерка и фиксация постоянных коронок. Дополнительно оплачивается по необходимости 3D-модель, анестезия, изготовление и установка временного мостовидного протеза
от 125.400 руб.
Восстановление зуба виниром
от 52 800 руб.
Восстановление зуба ультратонким виниром
от 62 700 руб.
Протезирование частичным съемным протезом
от 45 100 руб.
Протезирование зубов полным съемным протезом
от 58 300 руб.
Протезирование съемным бюгельным протезом на 1 челюсть
от 95 700 руб.
Несъемный протез нескольких зубов из диоксида циркония (мостовидный протез) на имплантатах
Включает: внутриротовое сканирование с применением скан маркеров, компьютерное моделирование, фрезерование ортопедической конструкции, склейка абатментов, примерка и фиксация ортопедической конструкции в полости рта. Отдельно оплачивается по необходимости 3D-модель, анестезия, изготовление и установка временного мостовидного протеза
от 127 400 руб.

Дентальная имплантация

Хирургический и ортопедический этап имплантации по системе «Все-на-четырех»
Входит в стоимость минимума: установка 4 единиц имплантов по цифровому хирургическому шаблону + полное съемное протезирование из пластмассы (временные коронки: 4 ед на имплатах, 8 ед подвесных, 4 единицы аббатментов, литая балка)
от 485 500 руб.

Анестезиология

Аппликационная анестезия
от 600 руб.
Инфильтрационная анестезия (одна карпула)
от 1 400 руб.
Проводниковая анестезия (одна карпула)
от 1 400 руб.

Лечение под наркозом

Консультация врача-анестезиолога-реаниматолога
от 2 000 руб.
Медикаментозный сон (вводный наркоз + первый час + постнаркозное наблюдение)
от 15 000 руб.
Ингаляционный наркоз для краткосрочных вмешательств с использованием севорана (до 30 минут)
от 9 200 руб.

Лечение в седации

Консультация врача-анестезиолога-реаниматолога
При стоматологическом наркозе используется безопасный препарат севоран, он погружает человека в глубокий сон.
от 2 000 руб.
Сочетанная анестезия (внутривенная седация 1 час)
Внутривенная седация один час, используется для взрослых.
от 13 500 руб.

Мы предлагаем вам ознакомиться с общим графиком работы врача на месяц. Пожалуйста, обратите внимание, что доступные слоты для записи не указаны. Чтобы узнать свободное время для записи, пожалуйста, свяжитесь с нашим контактным центром. Наши операторы с радостью помогут вам!

Выбрано для предварительной записи:

Другие специалисты

ЯКУШКИНА
ЯКУШКИНА Полина Андреевна
Врач-стоматолог
Профессорская клиника на Николаева, 12/3 (Академгородок)

Принимает еще в 1 клинике

Записаться
ПИЛИПЮК
ПИЛИПЮК Виталий Евгеньевич
Челюстно-лицевой хирург
Клиника на Блюхера, 30

Принимает еще в 1 клинике

Записаться
МОНИЧ
МОНИЧ Кирилл Михайлович
Врач-стоматолог
Профессорская клиника на Николаева, 12/3 (Академгородок)

Принимает еще в 2 клиниках

Записаться
ПУТИНА
ПУТИНА Ольга Анатольевна
Рентгенолаборант
Клиника на Блюхера, 30
Записаться
ЯКУНИНА
ЯКУНИНА Полина Андреевна
Врач-стоматолог
Клиника на Дуси Ковальчук, 252/1
Записаться
ТИХОНОВА Наталья Вячеславовна
Врач-стоматолог
Профессорская клиника на Николаева, 12/3 (Академгородок)
Записаться
ДОЛГОПОЛОВА
ДОЛГОПОЛОВА Светлана Олеговна
Врач-стоматолог
Клиника на пл. Карла Маркса, 1
Записаться
БРАНИЦКАЯ Анна Петровна
Врач-стоматолог
Профессорская клиника на Николаева, 12/3 (Академгородок)
Записаться
МАРКОСЯН
МАРКОСЯН Геворк Сандроевич
Стоматолог-ортопед
Клиника на Гребенщикова, 1 (Родники)
Записаться
ТУРОВА
ТУРОВА Мария Александровна
Врач-стоматолог
Клиника хирургии лица и стоматологии на Сакко и Ванцетти, 77
Записаться
ИЗОТОВА Анастасия Сергеевна
Детский стоматолог
Клиника на Героев Труда, 4 (Академгородок)
Записаться
КУДЕЕВА
КУДЕЕВА Диана Дмитриевна
Врач-стоматолог
Детская клиника на Ленина, 17
Записаться