Записаться
ШПАГИНА (ТРИБЕЛЬГОРН)

ШПАГИНА (ТРИБЕЛЬГОРН) Регина Александровна

Врач-стоматолог
Стоматолог-ортопед
Стаж работы 4 года
Принимает в клиниках
Клиника на Блюхера, 30
Профессорская клиника на Николаева, 12/3 (Академгородок)
Категории пациентов
дети
подростки
взрослые
Врач принимает по ДМС
Стоматология – это то медицинское направление, которое развивается быстрыми темпами, постоянно пополняется новыми методиками и технологиями. Это интересно, захватывающе и увлекательно, поэтому с уверенность могу сказать, что мой выбор в пользу стоматологии был сделан по любви.
В повседневной работе для меня самое главное – это установить контакт с пациентом, выстроить доверительные и теплые отношения, где наша общая цель – здоровье зубов. В общении я стараюсь объяснять весь процесс лечения простым и понятным языком и доказывать своей работой, что нерешаемых проблем не бывает.

Всем пациентам я желаю найти своего врача, с которым путь лечения будет проходить легко, уверенно, качественно и самое главное на позитиве!

Квалификация

Стоматология общей практики
Сертификат до 13.07.2028
Стоматология ортопедическая
Сертификат до 15.07.2030

Основное образование

2023
Высшее - ФГБОУ ВО НГМУ Минздрава России, стоматология
2025
Ординатура - ФГБОУ ВО "Новосибирский государственный медицинский университет" МЗ РФ, стоматология ортопедическая
Профессиональные навыки
Анализ компьютерной томографии и составление плана лечения
Лечение под микроскопом
Результаты лечения пациентов
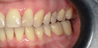
До лечения

Жалобы на эстетику зубов.
Пациенту 46 лет.

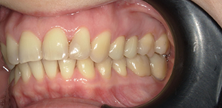
Как лечили

Проведено препарирование четвертого и пятого зуба с последующей фиксацией постоянных коронок.
Лечение проведено в течение одной недели.

Лечащий врач

ШПАГИНА (ТРИБЕЛЬГОРН) Регина Александровна

Отзывы пациентов
Артур Акопян
06.10.2025
Хочу выразить огромную благодарность Трибельгорн Регине Александровне, уже второй раз спасает мои зубы, у меня была сложная ситуация и то, как доктор подошла к этому решению проблемы дорогого стоит… Перед лечением все подробно рас...
Акции с участием врача
Смотреть все
Меняем старую коронку на новую
Обновите улыбку выгодно!
Реклама ООО "Дентал-Сервис Бердск" ИНН 544525957 erid: 2Vfnxy9YgNn

26 марта-30 июня 2026
–25% на имплантацию Medentika
Выгодная имплантация с коронкой под ключ.
Реклама ООО "Дентал-Сервис Бердск" ИНН 544525957, erid: 2VfnxvYtZ6R
3 декабря 2025-30 июня 2026
Бесплатная консультация по имплантации и КТ
Вернем здоровье и красоту вашей улыбки!
Реклама ООО "Дентал-Сервис Бердск" ИНН 544525957, erid: 2VfnxwD8CRn

20 августа 2025-30 июня 2026
Лечение кариеса по фиксированной цене
Независимо от количества пораженных поверхностей.
Реклама ООО "Дентал-Сервис Бердск" ИНН 544525957, erid: 2VfnxvbSeZf
1 ноября 2025-30 июня 2026
Бесплатная консультация по винирам
Эстетическое протезирование для идеальной улыбки
Реклама ООО "Дентал-Сервис Бердск" ИНН 544525957, erid: 2VfnxyWeQkq
6 февраля-30 июня 2026
Коронка со скидкой
–25%
На установку после эндодонтического лечения.
Реклама ООО "Дентал-Сервис Бердск" ИНН 544525957, erid: 2VfnxxigPWH
3 декабря 2025-30 июня 2026
Все акции Профессорской клиники на Николаева, 12/3
Лечение зубов со скидкой до 35%

1 декабря 2025-30 июня 2026

ШПАГИНА (ТРИБЕЛЬГОРН) Регина Александровна — подростковый стоматолог, стоматолог-терапевт, стоматолог-ортопед в сети стоматологических клиник Дентал-Сервис. Стаж работы 4 года. Ведет прием у пациентов: подростки, взрослые. Принимает по ДМС. Оказывает услуги: лечение под микроскопом, терапевтическая стоматология, лечение кариеса, лечение пульпита, лечение периодонтита, виниры, протезирование на имплантатах, подростковая стоматология. Профессиональные навыки: анализ компьютерной томографии и составление плана лечения, лечение под микроскопом.

Услуга
Цена, руб.

Лечение зубов под микроскопом

Прием врача-стоматолога-терапевта первичный
от 900 руб.
Прием врача-стоматолога-терапевта повторный (проф.осмотр)
бесплатно
Лечение кариеса эмали по технологии ICON (без учета анестезии)
Запечатывание вестибулярной поверхности зуба герметиком
от 7 800 руб.
Лечение кариеса (без учета анестезии)
от 8 700 руб.
Лечение обратимого пульпита (без учета анестезии)
Закрытие перфорации стенки корневого канала зуба, восстановление зуба пломбой с использованием материалов из фотополимеров
от 5 000 руб.
Двухэтапное лечение пульпита одноканального зуба (без учета анестезии)
1 этап: пульпотомия, экстирпация пульпы, временное пломбирование лекарственным препаратом корневого канала, наложение временной пломбы, инструментальная и медикаментозная обработка корневого канала. 2 этап: пломбирование корневого канала зуба гуттаперчивыми штифтами, снятие временной пломбы
от 15 900 руб.
Двухэтапное лечение периодонтита одноканального зуба (без учета анестезии)
1 этап: инструментальная и медикаментозная обработка корневого канала, временное пломбирование лекарственным препаратом корневого канала, наложение временной пломбы. 2 этап: пломбирование корневого канала зуба гуттаперчивыми штифтами, снятие временной пломбы
от 15 900 руб.
Апикальная хирургия. Хирургический и терапевтический этап в области фронтальных зубов
1ый этап хирургический: резекция верхушки корня зуба, цистэктомия, наложение шва на слизистую оболочку рта. 2ой этап терапевтический: инструментальная и медикаментозная обработка корневого канала (ретропрепарирование), закрытие перфорации стенки корневого канала зуба (пломбирование МТА, биокерамикой)
от 40 000 руб.
Оказание неотложной стоматологической помощи (без учета анестезии)
Включает снятие острой боли, установку временной пломбы
от 3 700 руб.

Протезирование зубов

Прием врача-стоматолога-ортопеда первичный
от 900 руб.
Восстановление зуба виниром
от 48 000 руб.
Восстановление зуба ультратонким виниром
от 57 000 руб.
Несъемный протез нескольких зубов из диоксида циркония (мостовидный протез) на имплантатах
Включает: внутриротовое сканирование с применением скан маркеров, компьютерное моделирование, фрезерование ортопедической конструкции, склейка абатментов, примерка и фиксация ортопедической конструкции в полости рта. Отдельно оплачивается по необходимости 3D-модель, анестезия, изготовление и установка временного мостовидного протеза
от 115 800 руб.

Дентальная имплантация

Хирургический и ортопедический этап имплантации по системе «Все-на-четырех»
Входит в стоимость минимума: установка 4 единиц имплантов по цифровому хирургическому шаблону + полное съемное протезирование из пластмассы (временные коронки: 4 ед на имплатах, 8 ед подвесных, 4 единицы аббатментов, литая балка)
от 448 400 руб.

Подростковая стоматология

Прием врача-стоматолога-терапевта первичный (до 30 мин)
от 900 руб.
Прием врача-стоматолога-терапевта первичный (до 45 мин)
Развернутая консультация по комплексному лечению и/или лечению в наркозе
от 1 700 руб.
Прием врача-стоматолога-терапевта повторный (проф.осмотр)
от 800 руб.
Запечатывание фиссуры зуба
Фиссуры — естественные желобки на поверхности зуба. Герметизация (запечатывание) фиссур герметиком предотвращает скапливание в этих местах налета и, как следствие, развитие кариеса. Без расшлифовки.
от 2 000 руб.
Лечение кариеса молочного зуба (без учета анестезии)
от 4 600 руб.
Лечение кариеса постоянного зуба (без учета анестезии)
от 8 700 руб.
Лечение обратимого пульпита молочного зуба (без учета анестезии)
С сохранением жизнеспособности зуба. Стоимость указана без учета анестезии и восстановления
от 4 700 руб.
Лечение обратимого пульпита постоянного зуба (без учета анестезии)
Закрытие перфорации стенки корневого канала зуба, восстановление зуба пломбой с нарушением контактного пункта с использованием материалов из фотополимеров. Стоимость указана без учета анестезии
от 5 000 руб.
Лечение пульпита одноканального молочного зуба (без учета анестезии)
Стоимость лечения зуба в 2 этапа без учета анестезии и восстановления. 1 этап: пульпотомия, экстирпация пульпы, временное пломбирование лекарственным препаратом корневого канала, наложение временной пломбы, инструментальная и медикаментозная обработка корневого канала. 2 этап: пломбирование корневого канала зуба пастой, снятие временной пломбы.
от 8 700 руб.
Лечение пульпита одноканального постоянного зуба (без учета анестезии)
Стоимость лечения в 2 этапа без учета анестезии и восстановления. 1 этап: пульпотомия, экстирпация пульпы, временное пломбирование лекарственным препаратом корневого канала, наложение временной пломбы, инструментальная и медикаментозная обработка корневого канала. 2 этап: пломбирование корневого канала зуба гуттаперчивыми штифтами, снятие временной пломбы.
от 15 900 руб.
Лечение периодонтита одноканального молочного зуба (без учета анестезии)
Стоимость лечения зуба в 2 этапа без учета анестезии и восстановления. 1 этап: пульпотомия, экстирпация пульпы, временное пломбирование лекарственным препаратом корневого канала, наложение временной пломбы, инструментальная и медикаментозная обработка корневого канала. 2 этап: пломбирование корневого канала зуба пастой, снятие временной пломбы.
от 8 700 руб.
Лечение периодонтита одноканального постоянного зуба (без учета анестезии)
Стоимость лечения в 2 этапа без учета анестезии и восстановления. 1 этап: инструментальная и медикаментозная обработка корневого канала, временное пломбирование лекарственным препаратом корневого канала, наложение временной пломбы. 2 этап: пломбирование корневого канала зуба гуттаперчивыми штифтами, снятие временной пломбы.
от 8 400 руб.
Удаление подвижного молочного зуба (без учета анестезии)
от 2 500 руб.
Удаление постоянного зуба (без учета анестезии)
от 5 400 руб.
Комплексная профессиональная гигиена полости рта и зубов по протоколу GBT
В процедуру входит: снятие зубного налета, обучение гигиене, без покрытия/с покрытием фторсодержащими препаратами.
от 7 300 руб.

Анестезиология

Аппликационная анестезия
от 550 руб.
Инфильтрационная анестезия (одна карпула)
от 1 300 руб.
Проводниковая анестезия (одна карпула)
от 1 300 руб.

Лечение под наркозом

Консультация врача-анестезиолога-реаниматолога
от 2 000 руб.
Медикаментозный сон (вводный наркоз + первый час + постнаркозное наблюдение)
от 15 000 руб.
Ингаляционный наркоз для краткосрочных вмешательств с использованием севорана (до 30 минут)
от 9 200 руб.

Лечение в седации

Консультация врача-анестезиолога-реаниматолога
При стоматологическом наркозе используется безопасный препарат севоран, он погружает человека в глубокий сон.
от 2 000 руб.
Ингаляционный наркоз с использованием закиси азота
Расслабление с помощью успокаивающего газа, который подается через маску на носу. При этом пациент находится в сознании, общается с врачом, нормально дышит.
от 3 600 руб.
Сочетанная анестезия (внутривенная седация 1 час)
Внутривенная седация один час, используется для взрослых.
от 13 500 руб.

Мы предлагаем вам ознакомиться с общим графиком работы врача на месяц. Пожалуйста, обратите внимание, что доступные слоты для записи не указаны. Чтобы узнать свободное время для записи, пожалуйста, свяжитесь с нашим контактным центром. Наши операторы с радостью помогут вам!

Выбрано для предварительной записи:

Другие специалисты

ЧЕПЫЖОВ Иван Сергеевич
Врач-стоматолог
Стоматолог-ортопед
Клиника на Героев Труда, 4 (Академгородок)

Принимает еще в 1 клинике

Записаться
МОТЫК
МОТЫК Полина Алексеевна
Врач-стоматолог
Стоматолог-ортопед
Клиника на Революции, 10
Записаться
ЗАВОДОВ
ЗАВОДОВ Олег Игоревич
Стоматолог-ортопед
Врач-стоматолог
Клиника на Дуси Ковальчук, 252/1
Записаться
ЗАВАЛЬНИКОВ
ЗАВАЛЬНИКОВ Антон Валерьевич
Стоматолог-ортопед
Клиника на Героев Труда, 4 (Академгородок)
Записаться
БЕКЕТОВ
БЕКЕТОВ Игорь Николаевич
Стоматолог-ортопед
Клиника на Героев Труда, 4 (Академгородок)
Записаться
РЕГУЗОВ
РЕГУЗОВ Евгений Геннадьевич
Стоматолог-ортопед
Главный врач Клиники на Героев труда, 4
Клиника на Героев Труда, 4 (Академгородок)
Записаться
ГУКАСЯН
ГУКАСЯН Гукас Арутюнович
Стоматолог-ортопед
Клиника хирургии лица и стоматологии на Сакко и Ванцетти, 77
Записаться
ЛЕВЩАНОВ
ЛЕВЩАНОВ Дмитрий Анатольевич
Стоматолог-ортопед
Клиника на Героев Труда, 4 (Академгородок)
Записаться
ЛАВРЕНТЬЕВА
ЛАВРЕНТЬЕВА Анна Юрьевна
Стоматолог-ортопед
Клиника на Революции, 10
Записаться
ГРЫДИН
ГРЫДИН Максим Александрович
Стоматолог-ортопед
Клиника на Вокзальной, 50/1 (Бердск)
Записаться
МАРКОСЯН
МАРКОСЯН Геворк Сандроевич
Стоматолог-ортопед
Клиника на Гребенщикова, 1 (Родники)
Записаться
ГУРЬЕВА
ГУРЬЕВА Евгения Олеговна
Стоматолог-терапевт
Стоматолог-ортопед
Клиника на Революции, 10
Записаться