Записаться
ВИНИА

ВИНИА Елена Сергеевна

Гигиенист
Врач высшей категории
Специалисты с опытом от 5 лет. Уверенно работают со сложными случаями, владеют сложными манипуляциями и получают отличные отзывы. Подробнее здесь
Стаж работы 22 года
Принимает в клиниках
Клиника на Героев Труда, 4 (Академгородок)
Категории пациентов
дети
подростки
взрослые
Врач принимает по ДМС
Для того, чтобы стать профессионалом, недостаточно владеть инструментами и технологиями снятия зубных отложений. Необходимы обширные знания и понимание природы стоматологических заболеваний, умение грамотно проводить их диагностику, планировать профилактические гигиенические программы и прогнозировать результаты. Я стараюсь не пропускать ни одной возможности повышать знания и улучшать качество свое работы. Очень тесно сотрудничаю с региональными представителями ведущих компаний, производящих средства стоматологической гигиены. Всегда интересуюсь новинками, ищу информацию в профессиональных изданиях по исследованиям этих продуктов и предлагаю их своим пациентам, предварительно опробовав все на себе. Мы, гигиенисты, несем профилактику в общество, и я думаю, что у моей профессии интересное будущее, ведь будущее — именно за стоматологической профилактикой.

Квалификация

Стоматология профилактическая
Сертификат до 23.09.2030

Основное образование

2003
Среднее - ОГОУ СПО "НБМК", стоматология
2017
Среднее - ГАПОУ НСО «НМК», стоматология профилактическая

Повышение квалификации, дополнительное образование

2019
Отбеливание зубов. Современные тренды.
2019
«Рецессия десны - от терапии к хирургии»
2020
Сертификационный курс Министерства здравоохранения РФ «Диагностика, лечение, профилактика новой коронавирусной инфекции (COVID-19) в первичной медико-санитарной помощи»
2020
«Тактика врача-стоматолога при заболеваниях слизистой оболочки рта»
2023
«Заболевания слизистой оболочки полости рта. Современные подходы к диагностике и лечению»
2023
«Профессиональная гигиена - действия со смыслом»
Профессиональные навыки
Прием по протоколу GBT
Проведение индивидуальных уроков гигиены
Использование ИИ-технологий при диагностике
Индивидуальный подбор средств гигиены
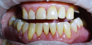
Результаты лечения пациентов
До лечения

Жалобы на подвижность зубов, кровоточивость десен при чистке щёткой, боль во время приема твердой пищи.
Пациенту 54 года.

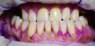
Как лечили

Проведена профессиональная гигиена полости рта, подобраны гигиенические средства. Удалены поддесневые зубные отложения, пациент направлен к пародонтологу.

Лечащий врач

ВИНИА Елена Сергеевна

Отзывы пациентов
Пациент
08.07.2025
Я обратился к гигиенисту Виниа Елене Сергеевне и остался удовлетворен ее работой. Она справляется со своими обязанностями на достойном уровне, и для меня это было достаточно. В целом, всё было хорошо.
Артём Брютов
29.04.2025
Добрый день. Впечатления от посещения положительные, в частности от чистки у гигиениста Виниа Е.С. Прохожу чистку в данной клинике и у данного доктора регулярно, всегда получаю разъяснения относительно того, как сохранить зубы в о...
Пациент
23.03.2025
Елена Сергеевна Виниа оказалась невероятно отзывчивым специалистом, с которым мне когда-либо приходилось встречаться. Елена Сергеевна внимательно выслушала все мои обращения и подробно объяснила суть моей проблемы. Теперь мне пред...
Пациент
08.01.2025
Для меня она - настоящий профессионал. Когда я сижу у нее в кресле, кажется, что от ее рук исходит тепло и забота. Она очень деликатно подходит к своей работе, и, что удивительно, даже не ощущается боли во время процедуры. Мне дей...
Пациент
28.08.2024
Делал профессиональную чистку зубов первый раз, переживал, что будет больно, но, к счастью, процедура прошла безболезненно! Удивило то, что доктор сделала фото моих зубов до и после, потом показала, это интересно. Научила меня чис...

ВИНИА Елена Сергеевна — гигиенист, врач высшей категории в сети стоматологических клиник Дентал-Сервис. Стаж работы 22 года. Ведет прием у пациентов: взрослые, дети, подростки. Принимает по ДМС. Оказывает услуги: профессиональная гигиена и чистка зубов, отбеливание зубов. Профессиональные навыки: прием по протоколу GBT, проведение индивидуальных уроков гигиены, использование ии-технологий при диагностике, индивидуальный подбор средств гигиены.

Врач высшей категории принимает по повышенному прайсу

Услуга
Цена, руб.

Гигиенический прием

Прием стоматологического гигиениста первичный
от 1 000 руб.
Комплексная профессиональная гигиена полости рта и зубов по протоколу GBT
В процедуру входит: снятие зубного налета, обучение гигиене, с покрытием/без покрытия фтор-гелем
от 8 100 руб.
Комплексная профессиональная гигиена полости рта и зубов по протоколу GBT с покрытием зубов фтор-лаком Flairesse
В процедуру входит: снятие зубного налета, обучение гигиене, покрытие
от 9 500 руб.
Комплексная профессиональная гигиена полости рта и зубов по протоколу GBT с покрытием зубов фтор-лаком Enamelast
В процедуру входит: снятие зубного налета, обучение гигиене, покрытие
от 11 300 руб.

Отбеливание зубов

Прием врача-стоматолога по отбеливанию зубов
Консультация по отбеливанию зубов проводится врачом стоматологом-терапевтом/стоматологическим гигиенистом
от 1 000 руб.
Профессиональное отбеливание зубов системой "Аmazing white" (25%)
от 22 000 руб.
Профессиональное отбеливание зубов системой "ZOOM"
от 43 900 руб.

Мы предлагаем вам ознакомиться с общим графиком работы врача на месяц. Пожалуйста, обратите внимание, что доступные слоты для записи не указаны. Чтобы узнать свободное время для записи, пожалуйста, свяжитесь с нашим контактным центром. Наши операторы с радостью помогут вам!

Выбрано для предварительной записи:

Другие специалисты

БУРКИНА Оксана Геннадьевна
Рентгенолаборант
Клиника на Гребенщикова, 1 (Родники)
Записаться
ЕВПЛАНОВА
ЕВПЛАНОВА Яна Викторовна
Детский стоматолог
Клиника на Героев Труда, 4 (Академгородок)
Записаться
ГЕВКО (РЕГУЗОВА)
ГЕВКО (РЕГУЗОВА) Мария Евгеньевна
Стоматолог-ортопед
Врач высшей категории
Клиника на Героев Труда, 4 (Академгородок)
Записаться
ИРИНИН
ИРИНИН Владислав Сергеевич
Врач-стоматолог
Клиника на Героев Труда, 4 (Академгородок)
Записаться
ПУГАЧ Альбина Валерьевна
Рентгенолаборант
Клиника на Никольском проспекте, 1 (Кольцово)
Записаться
УЗЮМОВА
УЗЮМОВА Ольга Олеговна
Стоматолог-терапевт
Клиника на Блюхера, 30
Записаться
МАКАРОВА
МАКАРОВА Наталья Валерьевна
Ортодонт
Клиника хирургии лица и стоматологии на Сакко и Ванцетти, 77
Записаться
НИКОЛЕНКО
НИКОЛЕНКО Ксения Ивановна
Врач-стоматолог
Клиника на Вокзальной, 50/1 (Бердск)
Записаться
САБЛИНА (СТЕПАНЕНКО)
САБЛИНА (СТЕПАНЕНКО) Мариамь Дмитриевна
Гигиенист
Клиника на Дуси Ковальчук, 252/1
Записаться
ОБУХОВА (ПЕРЕСВЕТ)
ОБУХОВА (ПЕРЕСВЕТ) Лия Дмитриевна
Стоматолог-терапевт
Врач-стоматолог
Зам. главного врача клиники на Блюхера, 30
Клиника на Блюхера, 30
Записаться
ШВЫДКАЯ
ШВЫДКАЯ Анастасия Александровна
Врач-стоматолог
Клиника на Героев Труда, 4 (Академгородок)
Записаться
РЖАННИКОВА
РЖАННИКОВА Мария Константиновна
Детский стоматолог
Клиника на Никольском проспекте, 1 (Кольцово)
Записаться