Записаться
БОЙКО

БОЙКО Юлия Анатольевна

Гигиенист
Врач высшей категории
Специалисты с опытом от 5 лет. Уверенно работают со сложными случаями, владеют сложными манипуляциями и получают отличные отзывы. Подробнее здесь
Стаж работы 10 лет
Принимает в клиниках
Клиника на Блюхера, 30
Категории пациентов
дети
подростки
взрослые

Еще с детства я мечтала стать либо врачом либо учителем. В итоге — врач победил, но желание преподавать осталось, поэтому я поступила в магистратуру в пединститут.

У меня уже сложилась своя база пациентов, которые ходят ко мне годами и не одним поколением, но я всегда рада, когда ко мне приходят новые пациенты с желанием научиться осознанной гигиене полости рта.

Правильный домашний уход за зубами помогут Вам стать уверенными и более открытыми в общении с другими людьми, а процедура отбеливания зубов сделает Вашу улыбку по-настоящему неотразимой!

Квалификация

Стоматология профилактическая
Сертификат до 21.06.2027

Основное образование

2002
Среднее - ГОУ-НМК, стоматология
2013
Среднее - ГАОУ СПО НСО «НМК», стоматология ортопедическая
2017
Среднее - ГАПОУ НСО «НМК», стоматология профилактическая
Профессиональные навыки
Прием по протоколу GBT
Проведение индивидуальных уроков гигиены
Индивидуальный подбор средств гигиены
Использование ИИ-технологий при диагностике
Лечение десен без хирургического вмешательства
Сложное пародонтологическое лечение
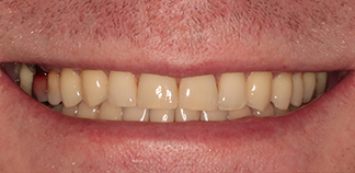
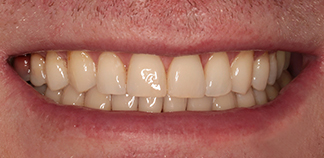
Результаты лечения пациентов
До лечения

Жалоб нет, пациент захотел отбелить зубы.

Как лечили

Проведена профессиональная гигиена зубов.
Сделано отбеливание зубов системой ZOOM4.

Лечащий врач

БОЙКО Юлия Анатольевна

Отзывы пациентов
Odis
25.03.2026
Отличная стоматология! Очень вежливые и приятные девушки на ресепшене.
Хочу выразить большую благодарность врачу Юлии Анатольевне, она профессионал своего дела однозначно!
Svetlana Svetlay
01.02.2026
От всей души благодарю Бойко Юлию Анатольевну за высокий профессионализм и тёплое отношение к пациентам. Ваша работа — это не просто гигиена, а настоящее искусство заботы о здоровье. Спасибо за Ваши золотые руки и доброе сердце! Б...
Анастасия Сергеева
26.08.2025
Бойко Юлия - самый крутой специалист, обожаю. 7 лет являюсь вашим клиентом. Любовь к денталу началась с этого замечательного гигиениста. Ощущения, после посещения проф гигиены, будто новые зубы:) Благодарю
Александр Михайлов
17.07.2025
Специалист от бога, Бойко Юлия, вы невероятный специалист своего дела. Просто доктор от бога. При пародонтологической чистке делала очень бережно, не чувствовал боли, хотя с зубами проблемы и после, спустя пару недель все прошло, ...
П*ци*нт
23.11.2024
Проводила лечение у стоматолога Бойко Юлии Анатольевны несколько раз и была очень довольна. Очень внимательный, чуткий и грамотный специалист. Все манипуляции проводились профессионально и с доступным комментированием каждого шага...

БОЙКО Юлия Анатольевна — пародонтолог, гигиенист, врач высшей категории в сети стоматологических клиник Дентал-Сервис. Стаж работы 10 лет. Ведет прием у пациентов: взрослые. Оказывает услуги: пародонтология, профессиональная гигиена и чистка зубов, отбеливание зубов. Профессиональные навыки: прием по протоколу GBT, проведение индивидуальных уроков гигиены, индивидуальный подбор средств гигиены, использование ии-технологий при диагностике, лечение десен без хирургического вмешательства, сложное пародонтологическое лечение.

Врач высшей категории принимает по повышенному прайсу

Услуга
Цена, руб.

Гигиенический прием

Прием стоматологического гигиениста первичный
от 1 000 руб.
Комплексная профессиональная гигиена полости рта и зубов по протоколу GBT
В процедуру входит: снятие зубного налета, обучение гигиене, с покрытием/без покрытия фтор-гелем
от 8 100 руб.
Комплексная профессиональная гигиена полости рта и зубов по протоколу GBT с покрытием зубов фтор-лаком Flairesse
В процедуру входит: снятие зубного налета, обучение гигиене, покрытие.
от 9 500 руб.
Комплексная профессиональная гигиена полости рта и зубов по протоколу GBT с покрытием зубов фтор-лаком Enamelast
В процедуру входит: снятие зубного налета, обучение гигиене, покрытие.
от 11 300 руб.

Отбеливание зубов

Прием стоматологического гигиениста первичный
от 1 000 руб.
Профессиональное отбеливание зубов системой "Аmazing white" (25%)
от 22 000 руб.
Профессиональное отбеливание зубов системой "Аmazing white" (38%)
от 23 100 руб.
Профессиональное отбеливание зубов системой "ZOOM"
от 43 900 руб.

Пародонтологический прием

Прием врача-пародонтолога первичный
от 1 000 руб.
Прием врача-стоматолога первичный по заболеваниям слизистой
от 5 300 руб.
Снятие зубных отложений и сглаживание поверхности корня
от 28 600 руб.
Лоскутная операция в пределах одного зуба (без стоимости материалов)
от 11 000 руб.
Пластика рецессии десны (за один зуб)
Наращивание объема мягких тканей в области одного или нескольких зубов.
от 36 300 руб.
Программа фазы контроля инфекции для пациентов с пародонтитом (от 4х визитов)
Профессиональная гигиена полости рта и зубов по протоколу GBT
от 33 600 руб.
Годовая программа для пациентов с пародонтитом (от 2х визитов)
от 30 800 руб.
Лечение гиперчувствительности зубов. Применение реминерализующих препаратов в области зуба
от 700 руб.
Ультразвуковая обработка пародонтального кармана в области зуба
от 1 500 руб.
Консервативное лечение переимплантита (за 1 имплантат)
от 2 600 руб.
Пьезотомия в области зуба (без учета стоимости материалов)
Не меняется фенотип ни костной ткани, ни десны. При рецессии, тонкий фенотип костной ткани или десны, требуется добавление материала, зависит от клинического случая.
от 11 000 руб.

Мы предлагаем вам ознакомиться с общим графиком работы врача на месяц. Пожалуйста, обратите внимание, что доступные слоты для записи не указаны. Чтобы узнать свободное время для записи, пожалуйста, свяжитесь с нашим контактным центром. Наши операторы с радостью помогут вам!

Выбрано для предварительной записи:

Другие специалисты

СОЛДАТОВА
СОЛДАТОВА Ирина Викторовна
Гигиенист
Клиника на Героев Труда, 4 (Академгородок)
Записаться
ВИНИА
ВИНИА Елена Сергеевна
Гигиенист
Клиника на Героев Труда, 4 (Академгородок)
Записаться
КИРЮШИНА
КИРЮШИНА Анна Витальевна
Врач-стоматолог
Профессорская клиника на Николаева, 12/3 (Академгородок)
Записаться
ШЕЛЕПОВА (ОМЕЛЬЧЕНКО)
ШЕЛЕПОВА (ОМЕЛЬЧЕНКО) Анастасия Сергеевна
Стоматолог-терапевт
Клиника на Вокзальной, 50/1 (Бердск)
Записаться
ГОГЕНКО
ГОГЕНКО Полина Алексеевна
Гигиенист
Клиника на Дуси Ковальчук, 252/1
Записаться
БЕЛОБОРОДОВА (РУБЦОВА)
БЕЛОБОРОДОВА (РУБЦОВА) Елена Александровна
Гигиенист
Клиника на Никольском проспекте, 1 (Кольцово)
Записаться
БАКУЛИНА (ЖЕБЕЛЕВА)
БАКУЛИНА (ЖЕБЕЛЕВА) Елена Сергеевна
Гигиенист
Клиника на Революции, 10
Записаться
СЛАУТИНА
СЛАУТИНА Екатерина Владимировна
Гигиенист
Клиника на Блюхера, 30
Записаться
ФИНОГЕНОВА
ФИНОГЕНОВА Александра Андреевна
Гигиенист
Клиника на пл. Карла Маркса, 1
Записаться
ХАРЛОВА
ХАРЛОВА Владлена Олеговна
Гигиенист
Клиника хирургии лица и стоматологии на Сакко и Ванцетти, 77
Записаться
ШМУРЫГИНА
ШМУРЫГИНА Ирина Александровна
Гигиенист
Клиника на пл. Карла Маркса, 1
Записаться
ИСРАФИЛОВ Нариман Эльдар оглы
Гигиенист
Профессорская клиника на Николаева, 12/3 (Академгородок)
Записаться