Записаться
ТЮТЮНЬКОВ

ТЮТЮНЬКОВ Максим Александрович

Врач-стоматолог
Стоматолог-хирург
Стаж работы 5 лет
Принимает в клиниках
Клиника на Дуси Ковальчук, 252/1
Категории пациентов
дети
подростки
взрослые
Врач принимает по ДМС
В нашей клинике я веду прием как взрослых, так и детей, оказывая весь спектр лечебной и консультативной хирургической помощи. Как показывает практика, не каждый зуб подлежит процедуре удаления. В нашей клинике, мы совместно с врачами других специальностей стараемся максимально продлить жизнь зубу! Мне всегда очень жалко разлучать пациента и зуб, поэтому, если удаление неизбежно — я стараюсь проводить манипуляции максимально безболезненно и бережно, чтобы не повредить кость. В клинике мы работаем одной большой командой, направляя все наши усилия на единственный результат — здоровье ваших зубов в сочетании с прекрасной улыбкой!

Квалификация

Стоматология
Сертификат до 12.07.2026
Стоматология хирургическая
Сертификат до 18.09.2029

Основное образование

2021
Высшее - ФГБОУ ВО НГМУ Минздрава России, стоматология
2024
Ординатура - ФГБОУ ВО "Новосибирский государственный медицинский университет" Министерства здравоохранения Российской Федерации, стоматология хирургическая
Профессиональные навыки
Удаление зубов любой сложности
Лечение под наркозом
Лечение под седацией
Анализ компьютерной томографии и составление плана лечения
Результаты лечения пациентов
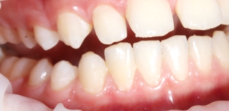
До лечения

Пришли с жалобой на травму зуба.
Пациенту 12 лет.

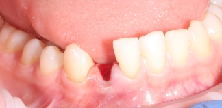
Как лечили

Возвратили зуб в лунку согласно анатомическому положению. Наложена мягкая проволочная шина для фиксации зуба. Через 14 дней эндодонтическое лечение. Осмотр через 2 месяца показал полное восстановление зуба.
Лечение проведено в течение двух недель.

Лечащий врач

ТЮТЮНЬКОВ Максим Александрович

Отзывы пациентов
Anna Prokopeva
20.03.2026
Хочу отметить слаженную работу всего коллектива. Доброжелательность и уют. Были в "гостях" у доброго доктора Максима Александровича и его помощницы (со слов ребёнка), по причине нюансов смены молочных зубов. СПАС...
Дмитрий Н
16.02.2026
Сервис на высшем уровне. Удаляли зуб ребёнку. Спасибо Максиму Александровичу.
Елена Серякова
09.02.2026
Хочется отметить прекрасную работу хирурга М.А. Тютюнькова, виртуозно удалившего 8-ку. Ни отека, ни боли - отличный результат, браво! Также огромное спасибо за сервис высочайшего уровня персональному менеджеру С. Курдыбайло, вним...
Илья
28.02.2025
Поскольку мне приходилось неоднократно обращаться за стоматологическими услугами в Дентал-Сервис, все доктора мед.центра оказали квалифицированную медицинскую помощь, но особую признательность и благодарность хочу высказать стомат...
Анастасия
07.12.2024
В этой клинике наблюдаюсь сама и теперь здесь лечится моя мама. Сейчас вновь хочу выразить благодарность, на этот раз - Тютюнькову Максиму Александровичу. Это очень внимательный, доброжелательный доктор и настоящий профессионал! М...
Акции с участием врача
Смотреть все
–25% на имплантацию Medentika
Выгодная имплантация с коронкой под ключ.
Реклама ООО "Дентал-Сервис Бердск" ИНН 544525957, erid: 2VfnxvYtZ6R
3 декабря 2025-30 апреля 2026
Удаление зубов со скидкой до 30% — нежно и легко
На все виды удаления зубов у взрослых.
Реклама ООО "Дентал-Сервис Бердск" ИНН 544525957 erid:2VfnxvsdHCc

15 октября 2025-30 апреля 2026

ТЮТЮНЬКОВ Максим Александрович — стоматолог-хирург, детский стоматолог-хирург в сети стоматологических клиник Дентал-Сервис. Стаж работы 5 лет. Ведет прием у пациентов: взрослые, дети, подростки. Принимает по ДМС. Оказывает услуги: удаление молочных зубов, удаление зубов, хирургическая стоматология, удаление зубов мудрости, удаление корня зуба, имплантация. Профессиональные навыки: удаление зубов любой сложности, лечение под наркозом, лечение под седацией, анализ компьютерной томографии и составление плана лечения.

Услуга
Цена, руб.

Хирургическая стоматология

Прием врача-стоматолога-хирурга первичный
от 900 руб.
Оказание неотложной стоматологической помощи (без учета анестезии)
от 3 700 руб.
Удаление постоянного зуба (без учета анестезии)
от 5 400 руб.
Удаление зуба мудрости (восьмерки) (без учета анестезии)
от 5 400 руб.
Удаление ретинированного, дистопированного или сверхкомплектного зуба (без учета анестезии)
от 15 000 руб.
Лечение периостита (без учета анестезии)
Вскрытие подслизистого или поднадкостничного очага воспаления в полости рта
от 2 400 руб.
Лечение перикоронита (без учета анестезии)
В процедуру входит: промывание, рассечение и/или иссечение капюшона
от 4 500 руб.
Гингивэктомия в области одного зуба (без учета анестезии)
Удаление разросшихся мягких тканей десен.
от 3 600 руб.
Вскрытие и дренирование абсцесса полости рта (фурункула)
от 3 800 руб.
Гингивопластика
Пластика мягких тканей при имплантации, костной пластике, изменении фенотипа десны
от 26 000 руб.
Синус-лифтинг (костная пластика, остеопластика), открытый, в области одного зуба
Наращивание костной ткани в области, контактирующей с гайморовыми пазухами.
от 81 000 руб.
Восстановление альвеолярного отростка (в области 1-2 зубов) аутотрансплантом
Восстановление альвеолярного отростка в области 1-2 зубов аутотрансплантом. Альвеолярный отросток — анатомическая часть верхней и нижней челюстей, несущая на себе зубы.
от 87 000 руб.
Удаление экзостоза, хондромы
от 3 900 руб.
Удаление новообразования мягких тканей (слизистой полости рта)
от 7 900 руб.
Удлинение клинической коронки
Лоскутная операция в полости рта по удлинение клинической коронки
от 11 000 руб.
Вестибулопластика (1 челюсть)
от 12 600 руб.
Удаление постоянного зуба средней сложности
от 7 000 руб.
Удаление постоянного зуба сложное с разъединением корней
от 9 100 руб.
Удаление зубного имплантата
Стоимость указана без учета анестезии.
от 14 700 руб.

Дентальная имплантация

Система имплантации Implantium (Ю.Корея). Хирургический этап
Внутрикостная дентальная имплантация системой Implantium
от 33 600 руб.
Система имплантации Implantium (Ю.Корея). Ортопедический этап
Протезирование бокового зуба коронкой из диоксида циркония, с абатментом из системы Implantium
от 33 600 руб.
Система имплантации Implantium (Корея). Имплантат + коронка
Включает хирургический и ортопедический этап системой Implantium
от 67 200 руб.
Система имплантации AnyOne (Ю.Корея). Хирургический этап
Внутрикостная дентальная имплантация системой AnyOne
от 38 900 руб.
Система имплантации AnyOne (Ю.Корея). Ортопедический этап
Протезирование бокового зуба коронкой из диоксида циркония, с абатментом из системы AnyOne
от 38 900 руб.
Система имплантации AnyOne (Ю.Корея). Имплантат + коронка
Включает хирургический и ортопедический этап системой AnyOne
от 77 800 руб.
Система имплантации Renova (США). Хирургический этап
Внутрикостная дентальная имплантация системой Renova
от 43 100 руб.
Система имплантации Renova (США). Ортопедический этап
Протезирование бокового зуба коронкой из диоксида циркония, с абатментом из системы Renova
от 49 400 руб.
Система имплантации Renova (США). Имплантат + коронка
Включает хирургический и ортопедический этап системой Renova
от 92 500 руб.
Системы имплантации Medentika (Германия). Хирургический этап
Внутрикостная дентальная имплантация системой Medentika
от 49 400 руб.
Система имплантации Medentika (Германия). Ортопедический этап
Протезирование бокового зуба коронкой из диоксида циркония, с абатментом из системы Medentika
от 49 400 руб.
Системы имплантации Medentika (Германия). Имплантат + коронка
Включает хирургический и ортопедический этап системой Medentika
от 98 800 руб.
Системы имплантации Astra Tech (Швеция) или Nobel Biocare (Швеция). Хирургический этап
Внутрикостная дентальная имплантация системой Astra Tech или Nobel Biocare
от 60 900 руб.
Системы имплантации Astra Tech (Швеция) или Nobel Biocare (Швеция). Ортопедический этап
Протезирование бокового зуба коронкой из диоксида циркония, с абатментом из системы Astra Tech или Nobel Biocare
от 60 900 руб.
Системы имплантации Astra Tech (Швеция) или Nobel Biocare (Швеция). Имплантат + коронка
Включает хирургический и ортопедический этап системой Astra Tech или Nobel Biocare
от 121 800 руб.
Системы имплантации Straumann (Швейцария). Хирургический этап
Внутрикостная дентальная имплантация системой Straumann
от 71 400 руб.
Системы имплантации Straumann (Швейцария). Ортопедический этап
Протезирование бокового зуба коронкой из диоксида циркония, с абатментом из системы Straumann
от 71 400 руб.
Системы имплантации Straumann (Швейцария). Имплантат + коронка
Включает хирургический и ортопедический этап системой Straumann
от 142 800 руб.
Одномоментная имплантация
Удаление и установка имплантата за один прием. Возможно к установке системы имплантации AnyOne, Renova, Astra Tech, Nobel Biocare, Straumann.
от 54 600 руб.
Хирургический и ортопедический этап имплантации по системе «Все-на-четырех»
Входит в стоимость минимума: установка 4 единиц имплантов по цифровому хирургическому шаблону + полное съемное протезирование из пластмассы (временные коронки: 4 ед на имплатах, 8 ед подвесных, 4 единицы аббатментов, литая балка).
от 448 400 руб.
Аугментация альвеолярногно отростка (в пределах одного зуба) костным материалом
от 36 800 руб.
Синус-лифтинг (костная пластика, остеопластика), открытый, в области одного зуба
Наращивание костной ткани в области, контактирующей с гайморовыми пазухами.
от 81 000 руб.

Детская стоматология

Удаление подвижного молочного зуба (без учета анестезии)
от 2 500 руб.
Удаление неподвижного молочного зуба (без учета анестезии)
от 3 900 руб.
Удерживатель пространства при ранней потере зуба
Предотвращает деформацию зубного ряда после раннего удаления молочного зуба.
от 8 600 руб.

Анестезиология

Аппликационная анестезия
от 550 руб.
Инфильтрационная анестезия (одна карпула)
от 1 300 руб.
Проводниковая анестезия (одна карпула)
от 1 300 руб.

Лечение под наркозом

Консультация врача-анестезиолога-реаниматолога
от 2 000 руб.
Медикаментозный сон (вводный наркоз + первый час + постнаркозное наблюдение)
от 15 000 руб.
Ингаляционный наркоз для краткосрочных вмешательств с использованием севорана (до 30 минут)
от 9 200 руб.

Лечение в седации

Консультация врача-анестезиолога-реаниматолога
При стоматологическом наркозе используется безопасный препарат севоран, он погружает человека в глубокий сон.
от 2 000 руб.
Ингаляционный наркоз с использованием закиси азота
Расслабление с помощью успокаивающего газа, который подается через маску на носу. При этом пациент находится в сознании, общается с врачом, нормально дышит.
от 3 600 руб.
Сочетанная анестезия (внутривенная седация 1 час)
Внутривенная седация один час, используется для взрослых.
от 13 500 руб.

Мы предлагаем вам ознакомиться с общим графиком работы врача на месяц. Пожалуйста, обратите внимание, что доступные слоты для записи не указаны. Чтобы узнать свободное время для записи, пожалуйста, свяжитесь с нашим контактным центром. Наши операторы с радостью помогут вам!

Выбрано для предварительной записи:

Другие специалисты

ЗОЛОТУХИНА (СМОЛЯНИНА)
ЗОЛОТУХИНА (СМОЛЯНИНА) Юлия Анатольевна
Челюстно-лицевой хирург
Клиника хирургии лица и стоматологии на Сакко и Ванцетти, 77
Записаться
МАКАРОВ
МАКАРОВ Вячеслав Олегович
Стоматолог-хирург
Клиника на Дуси Ковальчук, 252/1
Записаться
БУТОРИН
БУТОРИН Руслан Евгениевич
Врач-стоматолог
Челюстно-лицевой хирург
Клиника хирургии лица и стоматологии на Сакко и Ванцетти, 77
Записаться
ВОХ
ВОХ Алёна Николаевна
Стоматолог-хирург
Клиника на Революции, 10

Принимает еще в 2 клиниках

Записаться
ЧУЧКАЕВА
ЧУЧКАЕВА Ксения Викторовна
Стоматолог-хирург
Детская клиника на Ленина, 17
Записаться
ВЫБОРНОВ
ВЫБОРНОВ Михаил Сергеевич
Стоматолог-хирург
Клиника на Героев Труда, 4 (Академгородок)
Записаться
ВОЛКОВ
ВОЛКОВ Вячеслав Олегович
Стоматолог-хирург
Клиника на Героев Труда, 4 (Академгородок)

Принимает еще в 1 клинике

Записаться
ШАЯСЮК
ШАЯСЮК Роман Александрович
Стоматолог-хирург
Клиника на Никольском проспекте, 1 (Кольцово)
Записаться
КРЮКОВ Дмитрий Сергеевич
Челюстно-лицевой хирург
Клиника хирургии лица и стоматологии на Сакко и Ванцетти, 77
Записаться
СЛЕЗКО
СЛЕЗКО Кирилл Сергеевич
Стоматолог-хирург
Врач-стоматолог
Клиника на Гребенщикова, 1 (Родники)

Принимает еще в 1 клинике

Записаться
МАРЧЕНКО (КОСЕВА)
МАРЧЕНКО (КОСЕВА) Полина Сергеевна
Стоматолог-хирург
Клиника на пл. Карла Маркса, 1
Записаться
ТИГРАНЯН
ТИГРАНЯН Варангюл Гургенович
Стоматолог-хирург
Клиника на Вокзальной, 50/1 (Бердск)

Принимает еще в 1 клинике

Записаться