Записаться
ГУКАСЯН

ГУКАСЯН Гукас Арутюнович

Стоматолог-ортопед
Врач высшей категории
Специалисты с опытом от 5 лет. Уверенно работают со сложными случаями, владеют сложными манипуляциями и получают отличные отзывы. Подробнее здесь
Стаж работы 13 лет
Принимает в клиниках
Клиника хирургии лица и стоматологии на Сакко и Ванцетти, 77
Категории пациентов
дети
подростки
взрослые
Врач принимает по ДМС

С самого детства я очень люблю горы, их красота завораживает и вдохновляет меня до сих пор даже в моей профессии! Я стремлюсь к естественной красоте здоровых зубов, поэтому беру за эталон природную архитектуру форм и микрорельефов. А выполнять такие реставрации помогают самые современные материалы и техники, позволяющие в точности воссоздать свойство и вид натуральной эмали.

Дорогие пациенты! Помните: вместе мы — команда, и чтобы добиться идеального результата важно доверять и быть открытыми. Всем здоровья и ярких улыбок!

Квалификация

Стоматология ортопедическая
Сертификат до 27.05.2030

Основное образование

2011
Высшее - ГОУ ВПО НГМУ Минздравсоцразвития России, стоматология
2016
ФГБОУ ВО НГМУ Минздрава России, стоматология хирургическая

Повышение квалификации, дополнительное образование

2014
ГБОУ ВПО НГМУ Минздрава России, стоматология терапевтическая
2016
ГБОУ ВПО НГМУ Минздрава России, стоматология ортопедическая
2020
Прошел сертификационный курс Министерства здравоохранения РФ «Диагностика, лечение, профилактика новой коронавирусной инфекции (COVID-19) в первичной медико-санитарной помощи»
Профессиональные навыки
Лечение под седацией
Анализ компьютерной томографии и составление плана лечения
Цифровое протезирование
Восстановление зубов любым видом протезирования
Протезирование по технологии CEREC
Эстетическая реставрация передних зубов
Эстетическое протезирование
Результаты лечения пациентов
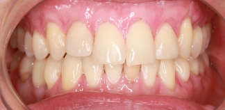
До лечения

Жалобы на цвет и форму зубов.

Как лечили

Установлены коронки на зубы.

Лечащий врач

ГУКАСЯН Гукас Арутюнович

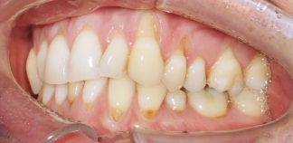
До лечения

Жалобы на оголение участков корней и повышенную чувствительность, неровные зубы.
Пациенту 34 года.

Как лечили

Скорректирована домашняя гигиена, закрыта рецессия десны на верхней и нижней челюсти. Далее пациент проходил ортодонтическое лечение.
Установлен имплант.

Лечащие врачи
ХАРЛОВА Владлена Олеговна, МАРЦИ Анастасия Викторовна, ГУКАСЯН Гукас Арутюнович
Отзывы пациентов
Виктория Дубровина
25.04.2024
Ставила имплант зубной в этой клинике. Очень благодарна дркторам, Татьяне Андреевне Готиловой, Гукасян Гукасу Арутюновичу и очаровательному ассистенту Николаю, специалисты высшего уровня, всем рекомендую!
Акции с участием врача
Смотреть все
Бесплатная консультация по имплантации и КТ
Вернем здоровье и красоту вашей улыбки!
Реклама ООО "Дентал-Сервис Бердск" ИНН 544525957, erid: 2VfnxwD8CRn

20 августа 2025-30 апреля 2026

ГУКАСЯН Гукас Арутюнович — стоматолог-ортопед, врач высшей категории в сети стоматологических клиник Дентал-Сервис. Стаж работы 13 лет. Ведет прием у пациентов: взрослые. Принимает по ДМС. Оказывает услуги: ортопедическая стоматология, виниры, коронки, протезирование на имплантатах, мостовидный протез, съемное протезирование зубов, эстетическая стоматология, реставрация зубов. Профессиональные навыки: лечение под седацией, анализ компьютерной томографии и составление плана лечения, цифровое протезирование, восстановление зубов любым видом протезирования, протезирование по технологии cerec, эстетическая реставрация передних зубов, эстетическое протезирование.

Врач высшей категории принимает по повышенному прайсу

Услуга
Цена, руб.

Гигиенический прием

Комплексная профессиональная гигиена полости рта и зубов по протоколу GBT
В процедуру входит: снятие зубного налета, обучение гигиене, с покрытием/без покрытия фтор-гелем
от 8 100 руб.

Протезирование зубов

Прием врача-стоматолога-ортопеда первичный
от 1 000 руб.
Цельнокерамическая коронка фронтальная из диоксида циркония, E-MAX (один зуб)
Включает: препарирование зуба, внутриротовое сканирование, компьютерное моделирование и фрезерование в зуботехнической лаборатории, примерка и фиксация постоянной коронки.
от 49 500 руб.
Цельнокерамическая коронка боковая из диоксида циркония (один зуб)
Включает: препарирование зуба, внутриротовое сканирование, компьютерное моделирование и фрезерование в зуботехнической лаборатории, примерка и фиксация постоянной коронки.
от 41 800 руб.
Восстановление временной коронкой из пластмассы
Включает: снятие слепка, изготовление и фиксация временной коронки прямым методом.
от 5 500 руб.
Восстановление временной коронкой из пластмассы CAD/CAM
Включает: внутриротовое сканирование, моделирование и изготовление коронки лабораторным методом, фиксация временной коронки.
от 7 300 руб.
Композитная вкладка (один зуб)
от 25 300 руб.
Керамическая вкладка (один зуб)
от 37 400 руб.
Восстановление зуба виниром
от 52 800 руб.
Восстановление зуба ультратонким виниром
от 62 700 руб.
Протезирование частичным съемным протезом
от 45 100 руб.
Протезирование зубов полным съемным протезом
от 58 300 руб.
Протезирование съемным бюгельным протезом на 1 челюсть
от 95 700 руб.
Мостовидный протез из диоксида циркония с опорой на 2 зуба
Включает: препарирование зубов, внутриротовое сканирование, компьютерное моделирование и фрезерование в зуботехнической лаборатории, примерка и фиксация постоянных коронок. Дополнительно оплачивается по необходимости 3D-модель, анестезия, изготовление и установка временного мостовидного протеза.
от 125.400 руб.
Несъемный протез нескольких зубов из диоксида циркония (мостовидный протез) на имплантатах
Включает: внутриротовое сканирование с применением скан маркеров, компьютерное моделирование, фрезерование ортопедической конструкции, склейка абатментов, примерка и фиксация ортопедической конструкции в полости рта. Отдельно оплачивается по необходимости 3D-модель, анестезия, изготовление и установка временного мостовидного протеза.
от 127 400 руб.

Эстетическая стоматология

Художественная реставрация жевательного зуба
Восстановление естественной структуры/формы/цвета зуба при помощи синтетических материалов.
от 20 400 руб.
Художественная реставрация фронтального зуба
Восстановление естественной структуры/формы/цвета зуба при помощи синтетических материалов.
от 25 900 руб.
Эстетическое контурирование зуба
Процедура выравнивания, либо изменения формы зубов. Это быстрый и недорогой метод, обычно не требующий анестезии. Показания: сломанные, длинные или аномальные зубы.
от 5 700 руб.
Пластика рецессии десны за 1 зуб (один зуб)
Рецессия (опущение десны) — патологический процесс убыли объема десны, при котором обнажается шейка и начало корня зуба.
от 31 900 руб.

Хирургическая стоматология

Гингивопластика
Пластика мягких тканей при имплантации, костной пластике, изменении фенотипа десны
от 28 600 руб.

Дентальная имплантация

Система имплантации Implantium (Ю.Корея). Ортопедический этап
Протезирование бокового зуба коронкой из диоксида циркония, с абатментом из системы Implantium
от 37 000 руб.
Система имплантации AnyOne (Ю.Корея). Ортопедический этап
Протезирование бокового зуба коронкой из диоксида циркония, с абатментом из системы AnyOne
от 42 800 руб.
Система имплантации Renova (США). Ортопедический этап
Протезирование бокового зуба коронкой из диоксида циркония, с абатментом из системы Renova
от 54 400 руб.
Система имплантации Medentika (Германия). Ортопедический этап
Протезирование бокового зуба коронкой из диоксида циркония, с абатментом из системы Medentika
от 54 400 руб.
Системы имплантации Straumann (Швейцария). Ортопедический этап
Протезирование бокового зуба коронкой из диоксида циркония, с абатментом из системы Straumann
от 78 600 руб.
Хирургический и ортопедический этап имплантации по системе «Все-на-четырех»
Входит в стоимость минимума: установка 4 единиц имплантов по цифровому хирургическому шаблону + полное съемное протезирование из пластмассы (временные коронки: 4 ед на имплатах, 8 ед подвесных, 4 единицы аббатментов, литая балка).
от 485 500 руб.

Комплексное лечение на брекетах

Полное лечение с использованием металлических брекетов на одной челюсти
Ортодонтическое лечение, когда все зубы у пациента уже сменились на постоянные.
от 149 000 руб.
Полное лечение с использованием эстетических брекетов на одной челюсти
Ортодонтическое лечение, когда все зубы у пациента уже сменились на постоянные.
от 218 000 руб.

Лечение на элайнерах

Ортодонтическая коррекция с применением элайнеров "Eurokappa" (1-12 кап)
от 184 000 руб.

Мы предлагаем вам ознакомиться с общим графиком работы врача на месяц. Пожалуйста, обратите внимание, что доступные слоты для записи не указаны. Чтобы узнать свободное время для записи, пожалуйста, свяжитесь с нашим контактным центром. Наши операторы с радостью помогут вам!

Выбрано для предварительной записи:

Другие специалисты

ТИХОНОВА Наталья Вячеславовна
Врач-стоматолог
Профессорская клиника на Николаева, 12/3 (Академгородок)
Записаться
ПАСЕКА
ПАСЕКА Дина Александровна
Зубной врач
Детская клиника на Ленина, 17
Записаться
ЗАРЕЗНОВА
ЗАРЕЗНОВА Екатерина Андреевна
Ортодонт
Клиника на Героев Труда, 4 (Академгородок)

Принимает еще в 1 клинике

Записаться
НЕМЦЕВА Софья Григорьевна
Врач-стоматолог
Профессорская клиника на Николаева, 12/3 (Академгородок)

Принимает еще в 1 клинике

Записаться
ГАСЬКОВА
ГАСЬКОВА Виктория Вадимовна
Врач-стоматолог
Клиника на Вокзальной, 50/1 (Бердск)
Записаться
ВОЙТЕХОВСКАЯ
ВОЙТЕХОВСКАЯ Ангелина Денисовна
Врач-стоматолог
Профессорская клиника на Николаева, 12/3 (Академгородок)

Принимает еще в 1 клинике

Записаться
ШУЛЬМИНА (РЕЙМЕР)
ШУЛЬМИНА (РЕЙМЕР) Алина Алексеевна
Гигиенист
Клиника на Никольском проспекте, 1 (Кольцово)
Записаться
ТУРОВА
ТУРОВА Мария Александровна
Врач-стоматолог
Клиника хирургии лица и стоматологии на Сакко и Ванцетти, 77
Записаться
ШАЛЫГИНА
ШАЛЫГИНА Алина Дмитриевна
Гигиенист
Клиника хирургии лица и стоматологии на Сакко и Ванцетти, 77
Записаться
МИРОШНИЧЕНКО
МИРОШНИЧЕНКО Алексей Михайлович
Стоматолог-ортопед
Клиника на Вокзальной, 50/1 (Бердск)

Принимает еще в 1 клинике

Записаться
ЧЕПЫЖОВ Иван Сергеевич
Врач-стоматолог
Стоматолог-ортопед
Клиника на Героев Труда, 4 (Академгородок)

Принимает еще в 1 клинике

Записаться
ВОХ
ВОХ Игорь Анатольевич
Стоматолог-хирург
Клиника на Революции, 10

Принимает еще в 1 клинике

Записаться