Записаться
ТИГРАНЯН

ТИГРАНЯН Варангюл Гургенович

Стоматолог-хирург
Врач высшей категории
Специалисты с опытом от 5 лет. Уверенно работают со сложными случаями, владеют сложными манипуляциями и получают отличные отзывы. Подробнее здесь
Стаж работы 8 лет
Принимает в клиниках
Клиника на Вокзальной, 50/1 (Бердск)
Клиника на Гребенщикова, 1 (Родники)
Категории пациентов
дети
подростки
взрослые
Врач принимает по ДМС
Стоматолог — это врач, который помогает не только заботиться о здоровье полости рта, но и придаёт уверенности, создавая внешне красивые и эстетичные зубы. Благодаря этой профессии, моя жизнь имеет смысл и на работу я хожу с удовольствием, ведь я знаю, что мои труды имеют результат!

Квалификация

Стоматология хирургическая
Сертификат до 29.10.2029

Основное образование

2017
Высшее - ФГБОУ ВО НГМУ Минздрава России, стоматология
2019
Ординатура - ФГБОУ ВО НГМУ Минздрава России, стоматология хирургическая

Повышение квалификации, дополнительное образование

2020
Сертификационный курс Министерства здравоохранения РФ «Диагностика, лечение, профилактика новой коронавирусной инфекции (COVID-19) в первичной медико-санитарной помощи»
Профессиональные навыки
Удаление зубов любой сложности
Комплексная подготовка и проведение имплантации
Анализ компьютерной томографии и составление плана лечения
Проведение зубосохраняющих операций
Результаты лечения пациентов
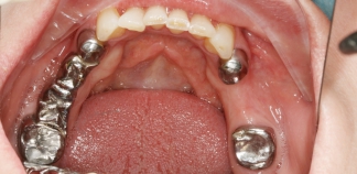
До лечения

Пациент обратился с просьбой заменить съемные протезы на несъемные.

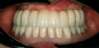
Как лечили

Проведено протезирование по протоколу «All-on-4» на верхней челюсти и съемное протезирование на двух имплантах на нижней челюсти.

Лечащие врачи
МАРКОСЯН Геворк Сандроевич, ТИГРАНЯН Варангюл Гургенович
До лечения

Жалобы на то, что не может нормально жевать и улыбаться.
Пациенту 45 лет.

Как лечили

Проведена профессиональная гигиена зубов. Сняты старые коронки и мосты, пролечен кариес. Были установлены 9 имплантов. На верхние фронтальные зубы установлены цельноциркониевые коронки.
Лечение проведено в течение шести месяцев.

Лечащие врачи
МАРКОСЯН Геворк Сандроевич, ХОМУТОВА Татьяна Александровна, ТИГРАНЯН Варангюл Гургенович
Отзывы пациентов
Марс Халлиулин
07.02.2026
Был у Тиграняна Варангюла Гургеновича, отличный врач, все прошло прекрасно. Администраторы очень приветливые, ассистенты внимательные. Благодарю вас за ваши внимание и доброту.
П*ци*нт
04.04.2025
Варангюл Гургенович Тигранян действительно замечательный врач! Он всегда проводит все процедуры очень аккуратно и с высоким качеством. Я всем рекомендую обращаться именно к нему. В нашей семье мы записываемся только к этому врачу,...
П*ци*нт*+7*91* 6*XX*XX
13.02.2025
Тигранян Варангюл Гургенович получает звание самого лучшего врача в этом году от меня, а также титул самая лёгкая рука и, не будем скрывать, амбассадор красоты. Заслуженно и от чистого сердца. Благодарю Вас за профессионализм на с...
Tatyana Vladimirovna T
12.02.2025
Искренне хочу выразить признательность и уважение «врачу с большой буквы» Тигранян Варангюлу Гургеновичу за его золотые руки и профессионально проделанную им работу! Его позитивный подход, спокойствие и уверенность не заставили ме...
Виолетта Ким
22.07.2024
В данную клинику хожу уже четвертый год. Работают профессионалы своего дела. Отдельная благодарность моему врачу Хомутовой Татьяне Александровне - грамотный, умный, чуткий специалист. На приеме всегда интересуется о самочувствие, ...
Акции с участием врача
Смотреть все
Бесплатная консультация по имплантации и КТ
Вернем здоровье и красоту вашей улыбки!
Реклама ООО "Дентал-Сервис Бердск" ИНН 544525957, erid: 2VfnxwD8CRn

20 августа 2025-30 апреля 2026

ТИГРАНЯН Варангюл Гургенович — имплантолог, стоматолог-хирург, детский стоматолог-хирург, врач высшей категории в сети стоматологических клиник Дентал-Сервис. Стаж работы 8 лет. Ведет прием у пациентов: взрослые, дети, подростки. Принимает по ДМС. Оказывает услуги: удаление молочных зубов, удаление зубов, хирургическая стоматология, удаление зубов мудрости, удаление корня зуба, удаление кисты зуба, имплантация all-on-4, имплантация зубов, одномоментная имплантация, реконструкция костной ткани, имплантация, системы имплантации, цифровая имплантация, имплантация во сне. Профессиональные навыки: удаление зубов любой сложности, комплексная подготовка и проведение имплантации, анализ компьютерной томографии и составление плана лечения, проведение зубосохраняющих операций.

Врач высшей категории принимает по повышенному прайсу

Услуга
Цена, руб.

Лечение зубов под микроскопом

Апикальная хирургия. Хирургический и терапевтический этап в области фронтальных зубов
1ый этап хирургический: резекция верхушки корня зуба, цистэктомия, наложение шва на слизистую оболочку рта. 2ой этап терапевтический: инструментальная и медикаментозная обработка корневого канала (ретропрепарирование), закрытие перфорации стенки корневого канала зуба (пломбирование МТА, биокерамикой).
от 44 000 руб.

Хирургическая стоматология

Прием врача-стоматолога-хирурга первичный
от 1 000 руб.
Оказание неотложной стоматологической помощи (без учета анестезии)
от 4 000 руб.
Удаление постоянного зуба (без учета анестезии)
от 6 000 руб.
Удаление зуба мудрости (восьмерки) (без учета анестезии)
от 6 000 руб.
Удаление ретинированного, дистопированного или сверхкомплектного зуба (без учета анестезии)
от 16 500 руб.
Лечение периостита (без учета анестезии)
Вскрытие подслизистого или поднадкостничного очага воспаления в полости рта
от 2 700 руб.
Лечение перикоронита (без учета анестезии)
В процедуру входит: промывание, рассечение и/или иссечение капюшона
от 5 000 руб.
Гингивэктомия в области одного зуба (без учета анестезии)
Удаление разросшихся мягких тканей десен.
от 4 000 руб.
Вскрытие и дренирование абсцесса полости рта (фурункула)
от 4 200 руб.
Гингивопластика
Пластика мягких тканей при имплантации, костной пластике, изменении фенотипа десны
от 28 600 руб.
Синус-лифтинг (костная пластика, остеопластика), открытый, в области одного зуба
Наращивание костной ткани в области, контактирующей с гайморовыми пазухами.
от 89 100 руб.
Восстановление альвеолярного отростка (в области 1-2 зубов) аутотрансплантом
Восстановление альвеолярного отростка в области 1-2 зубов аутотрансплантом. Альвеолярный отросток — анатомическая часть верхней и нижней челюстей, несущая на себе зубы.
от 95 700 руб.
Удаление экзостоза, хондромы
от 4 300 руб.
Удаление новообразования мягких тканей (слизистой полости рта)
от 8 700 руб.
Удлинение клинической коронки
Лоскутная операция в полости рта по удлинение клинической коронки
от 12 100 руб.
Вестибулопластика (1 челюсть)
от 13 900 руб.
Удаление постоянного зуба средней сложности
от 7 700 руб.
Удаление постоянного зуба сложное с разъединением корней
от 10 100 руб.
Удаление зубного имплантата
Стоимость указана без учета анестезии.
от 16 200 руб.

Дентальная имплантация

Прием врача стоматолога по имплантации
Консультация по дентальной имплантации проводится врачом стоматологом-хирургом/cтоматологом-ортопедом.
бесплатно
Система имплантации Implantium (Ю.Корея). Хирургический этап
Внутрикостная дентальная имплантация системой Implantium
от 37 000 руб.
Система имплантации Implantium (Ю.Корея). Ортопедический этап
Протезирование бокового зуба коронкой из диоксида циркония, с абатментом из системы Implantium
от 37 000 руб.
Система имплантации Implantium (Корея). Имплантат + коронка
Включает хирургический и ортопедический этап системой Implantium
от 74 000 руб.
Система имплантации AnyOne (Ю.Корея). Хирургический этап
Внутрикостная дентальная имплантация системой AnyOne
от 42 800 руб.
Система имплантации AnyOne (Ю.Корея). Ортопедический этап
Протезирование бокового зуба коронкой из диоксида циркония, с абатментом из системы AnyOne
от 42 800 руб.
Система имплантации AnyOne (Ю.Корея). Имплантат + коронка
Включает хирургический и ортопедический этап системой AnyOne
от 85 600 руб.
Система имплантации Renova (США). Хирургический этап
Внутрикостная дентальная имплантация системой Renova
от 47 500 руб.
Система имплантации Renova (США). Ортопедический этап
Протезирование бокового зуба коронкой из диоксида циркония, с абатментом из системы Renova
от 54 400 руб.
Система имплантации Renova (США). Имплантат + коронка
Включает хирургический и ортопедический этап системой Renova
от 101 900 руб.
Системы имплантации Medentika (Германия). Хирургический этап
Внутрикостная дентальная имплантация системой Medentika
от 54 400 руб.
Система имплантации Medentika (Германия). Ортопедический этап
Протезирование бокового зуба коронкой из диоксида циркония, с абатментом из системы Medentika
от 54 400 руб.
Системы имплантации Medentika (Германия). Имплантат + коронка
Включает хирургический и ортопедический этап системой Medentika
от 108 800 руб.
Системы имплантации Astra Tech (Швеция) или Nobel Biocare (Швеция). Хирургический этап
Внутрикостная дентальная имплантация системой Astra Tech или Nobel Biocare
от 67 000 руб.
Системы имплантации Astra Tech (Швеция) или Nobel Biocare (Швеция). Ортопедический этап
Протезирование бокового зуба коронкой из диоксида циркония, с абатментом из системы Astra Tech или Nobel Biocare
от 67 000 руб.
Системы имплантации Astra Tech (Швеция) или Nobel Biocare (Швеция). Имплантат + коронка
Включает хирургический и ортопедический этап системой Astra Tech или Nobel Biocare
от 134 000 руб.
Системы имплантации Straumann (Швейцария). Хирургический этап
Внутрикостная дентальная имплантация системой Straumann
от 78 600 руб.
Системы имплантации Straumann (Швейцария). Ортопедический этап
Протезирование бокового зуба коронкой из диоксида циркония, с абатментом из системы Straumann
от 78 600 руб.
Системы имплантации Straumann (Швейцария). Имплантат + коронка
Включает хирургический и ортопедический этап системой Straumann
от 157 200 руб.
Одномоментная имплантация
Удаление и установка имплантата за один прием. Возможно к установке системы имплантации AnyOne, Renova, Astra Tech, Nobel Biocare, Straumann.
от 60 100 руб.
Хирургический и ортопедический этап имплантации по системе «Все-на-четырех»
Входит в стоимость минимума: установка 4 единиц имплантов по цифровому хирургическому шаблону + полное съемное протезирование из пластмассы (временные коронки: 4 ед на имплатах, 8 ед подвесных, 4 единицы аббатментов, литая балка).
от 485 500 руб.
Аугментация альвеолярногно отростка (в пределах одного зуба) костным материалом
от 40 500 руб.
Синус-лифтинг (костная пластика, остеопластика), открытый, в области одного зуба
Наращивание костной ткани в области, контактирующей с гайморовыми пазухами.
от 89 100 руб.

Детская стоматология

Удаление подвижного молочного зуба (без учета анестезии)
от 2 800 руб.
Удаление неподвижного молочного зуба (без учета анестезии)
от 4 200 руб.
Удерживатель пространства при ранней потере зуба
Предотвращает деформацию зубного ряда после раннего удаления молочного зуба.
от 9 500 руб.

Анестезиология

Аппликационная анестезия
от 600 руб.
Инфильтрационная анестезия (одна карпула)
от 1 400 руб.
Проводниковая анестезия (одна карпула)
от 1 400 руб.

Лечение под наркозом

Консультация врача-анестезиолога-реаниматолога
от 2 000 руб.
Медикаментозный сон (вводный наркоз + первый час + постнаркозное наблюдение)
от 15 000 руб.
Ингаляционный наркоз для краткосрочных вмешательств с использованием севорана (до 30 минут)
от 9 200 руб.

Лечение в седации

Консультация врача-анестезиолога-реаниматолога
При стоматологическом наркозе используется безопасный препарат севоран, он погружает человека в глубокий сон.
от 2 000 руб.
Ингаляционный наркоз с использованием закиси азота
Расслабление с помощью успокаивающего газа, который подается через маску на носу. При этом пациент находится в сознании, общается с врачом, нормально дышит.
от 3 600 руб.
Сочетанная анестезия (внутривенная седация 1 час)
Внутривенная седация один час, используется для взрослых.
от 13 500 руб.

Мы предлагаем вам ознакомиться с общим графиком работы врача на месяц. Пожалуйста, обратите внимание, что доступные слоты для записи не указаны. Чтобы узнать свободное время для записи, пожалуйста, свяжитесь с нашим контактным центром. Наши операторы с радостью помогут вам!

Выбрано для предварительной записи:

Другие специалисты

МАТАФОНОВ
МАТАФОНОВ Максим Александрович
Стоматолог-хирург
Клиника на Гребенщикова, 1 (Родники)
Записаться
СЛЕЗКО
СЛЕЗКО Кирилл Сергеевич
Стоматолог-хирург
Врач-стоматолог
Клиника на Гребенщикова, 1 (Родники)

Принимает еще в 1 клинике

Записаться
САГИТОВ
САГИТОВ Мурат Ерланович
Стоматолог-хирург
Врач-стоматолог
Клиника на Никольском проспекте, 1 (Кольцово)
Записаться
МАКАРОВ
МАКАРОВ Вячеслав Олегович
Стоматолог-хирург
Клиника на Дуси Ковальчук, 252/1
Записаться
ВОЛКОВ
ВОЛКОВ Вячеслав Олегович
Стоматолог-хирург
Клиника на Героев Труда, 4 (Академгородок)

Принимает еще в 1 клинике

Записаться
КРЮКОВ Дмитрий Сергеевич
Челюстно-лицевой хирург
Клиника хирургии лица и стоматологии на Сакко и Ванцетти, 77
Записаться
БУТОРИН
БУТОРИН Руслан Евгениевич
Врач-стоматолог
Челюстно-лицевой хирург
Клиника хирургии лица и стоматологии на Сакко и Ванцетти, 77
Записаться
ВОХ
ВОХ Игорь Анатольевич
Стоматолог-хирург
Клиника на Революции, 10

Принимает еще в 1 клинике

Записаться
ЕЧИНА
ЕЧИНА Татьяна Викторовна
Стоматолог-хирург
Клиника на Вокзальной, 50/1 (Бердск)
Записаться
МАРЧЕНКО (КОСЕВА)
МАРЧЕНКО (КОСЕВА) Полина Сергеевна
Стоматолог-хирург
Клиника на пл. Карла Маркса, 1
Записаться
ТУРОВА
ТУРОВА Дарья Александровна
Стоматолог-хирург
Клиника хирургии лица и стоматологии на Сакко и Ванцетти, 77

Принимает еще в 1 клинике

Записаться
ЧУЧКАЕВА
ЧУЧКАЕВА Ксения Викторовна
Стоматолог-хирург
Детская клиника на Ленина, 17
Записаться