Записаться
ХАРЛОВА

ХАРЛОВА Владлена Олеговна

Гигиенист
Врач высшей категории
Специалисты с опытом от 5 лет. Уверенно работают со сложными случаями, владеют сложными манипуляциями и получают отличные отзывы. Подробнее здесь
Стаж работы 12 лет
Принимает в клиниках
Клиника хирургии лица и стоматологии на Сакко и Ванцетти, 77
Категории пациентов
дети
подростки
взрослые

Вопреки большинству людей, мой первый опыт похода к врачу-стоматологу был позитивным и безболезненным. Приятный доктор и дружественная атмосфера клиники повлияли на меня так, что я решила сама стать стоматологом.

Люблю, когда люди улыбаются, ведь улыбка — это состояние души. Моя работа позволяет нашим пациентам делиться своей искренней улыбкой после профессиональной гигиены полости рта. Показывать фотографии «до» и «после» и видеть реакцию людей — это бесценно. А когда пациенты приходят спустя полгода со здоровыми и чистыми зубами, я понимаю, что меня услышали, и все сделано не зря.

Не бойтесь стоматологов! Те, кто попадают в наши кресла, уже не пугаются и приходят к нам снова и снова на осмотры и профессиональную гигиену.

Квалификация

Стоматология профилактическая
Сертификат до 29.07.2030

Основное образование

2011
Среднее - ГБУ СПО НСО «НМК», стоматология профилактическая

Повышение квалификации, дополнительное образование

2020
Сертификационный курс Министерства здравоохранения РФ «Диагностика, лечение, профилактика новой коронавирусной инфекции (COVID-19) в первичной медико-санитарной помощи»
Профессиональные навыки
Прием по протоколу GBT
Использование ИИ-технологий при диагностике
Результаты лечения пациентов
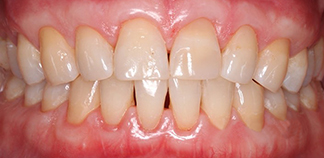
До лечения

Жалоба на чувствительность зубов и эстетику.

Как лечили

Проведена профессиональная гигиена полости рта и лечение кариеса. Закрыта рецессия десны на верхней и нижней челюсти.

Лечащие врачи
ГАТИЛОВА Татьяна Андреевна, ХАРЛОВА Владлена Олеговна, МЕЛЬНИКОВА (ФОКИНА) Дарья Сергеевна
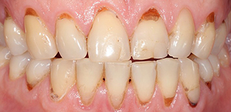
До лечения

Жалобы на оголение участков корней и повышенную чувствительность, неровные зубы.
Пациенту 34 года.

Как лечили

Скорректирована домашняя гигиена, закрыта рецессия десны на верхней и нижней челюсти. Далее пациент проходил ортодонтическое лечение.
Установлен имплант.

Лечащие врачи
ХАРЛОВА Владлена Олеговна, МАРЦИ Анастасия Викторовна, ГУКАСЯН Гукас Арутюнович

ХАРЛОВА Владлена Олеговна — пародонтолог, гигиенист, врач высшей категории в сети стоматологических клиник Дентал-Сервис. Стаж работы 12 лет. Ведет прием у пациентов: взрослые. Оказывает услуги: профессиональная гигиена и чистка зубов, отбеливание зубов, пародонтология. Профессиональные навыки: прием по протоколу GBT, использование ии-технологий при диагностике.

Врач высшей категории принимает по повышенному прайсу

Услуга
Цена, руб.

Гигиенический прием

Прием стоматологического гигиениста первичный
от 1 000 руб.
Комплексная профессиональная гигиена полости рта и зубов по протоколу GBT
В процедуру входит: снятие зубного налета, обучение гигиене, с покрытием/без покрытия фтор-гелем
от 8 100 руб.
Комплексная профессиональная гигиена полости рта и зубов по протоколу GBT с покрытием зубов фтор-лаком Flairesse
В процедуру входит: снятие зубного налета, обучение гигиене, покрытие
от 9 500 руб.
Комплексная профессиональная гигиена полости рта и зубов по протоколу GBT с покрытием зубов фтор-лаком Enamelast
В процедуру входит: снятие зубного налета, обучение гигиене, покрытие
от 11 300 руб.

Отбеливание зубов

Прием врача-стоматолога по отбеливанию зубов
Консультация по отбеливанию зубов проводится врачом стоматологом-терапевтом/стоматологическим гигиенистом
от 1 000 руб.
Профессиональное отбеливание зубов системой "Аmazing white" (25%)
от 22 000 руб.
Профессиональное отбеливание зубов системой "ZOOM"
от 43 900 руб.

Пародонтологический прием

Прием врача-пародонтолога первичный
от 1 000 руб.
Прием врача-стоматолога первичный по заболеваниям слизистой
от 5 300 руб.
Снятие зубных отложений и сглаживание поверхности корня
от 28 600 руб.
Лоскутная операция в пределах одного зуба (без стоимости материалов)
от 11 000 руб.
Пластика рецессии десны (за 1 зуб)
Наращивание объема мягких тканей в области одного или нескольких зубов
от 36 300 руб.
Программа фазы контроля инфекции для пациентов с пародонтитом (от 4х визитов)
Профессиональная гигиена полости рта и зубов по протоколу GBT
от 33 600 руб.
Годовая программа для пациентов с пародонтитом (от 2х визитов)
от 30 800 руб.
Лечение гиперчувствительности зубов реминерализующими препаратами
от 700 руб.
Ультразвуковая обработка пародонтального кармана в области зуба
от 1 500 руб.
Консервативное лечение переимплантита (за 1 имплантат)
от 2 600 руб.
Пьезотомия в области зуба (без учета стоимости материалов)
Не меняется фенотип ни костной ткани, ни десны. При рецессии, тонкий фенотип костной ткани или десны, требуется добавление материала, зависит от клинического случая
от 11 000 руб.

Мы предлагаем вам ознакомиться с общим графиком работы врача на месяц. Пожалуйста, обратите внимание, что доступные слоты для записи не указаны. Чтобы узнать свободное время для записи, пожалуйста, свяжитесь с нашим контактным центром. Наши операторы с радостью помогут вам!

Выбрано для предварительной записи:

Другие специалисты

ШЕЛЕПОВА (ОМЕЛЬЧЕНКО)
ШЕЛЕПОВА (ОМЕЛЬЧЕНКО) Анастасия Сергеевна
Стоматолог-терапевт
Клиника на Вокзальной, 50/1 (Бердск)
Записаться
САБЛИНА (СТЕПАНЕНКО)
САБЛИНА (СТЕПАНЕНКО) Мариамь Дмитриевна
Гигиенист
Клиника на Дуси Ковальчук, 252/1
Записаться
ЭЙХМАН
ЭЙХМАН Наталья Георгиевна
Зубной врач
Клиника на Революции, 10
Записаться
ГОГЕНКО
ГОГЕНКО Полина Алексеевна
Гигиенист
Клиника на Дуси Ковальчук, 252/1
Записаться
БРУНЬКО
БРУНЬКО Валерия Сергеевна
Гигиенист
Клиника на Блюхера, 30
Записаться
КИРЮШИНА
КИРЮШИНА Анна Витальевна
Врач-стоматолог
Профессорская клиника на Николаева, 12/3 (Академгородок)
Записаться
РЫЖИКОВА
РЫЖИКОВА Елизавета Эдуардовна
Врач-стоматолог
Клиника на Никольском проспекте, 1 (Кольцово)
Записаться
БАЧУРИНА (БАРБАКОВА)
БАЧУРИНА (БАРБАКОВА) Ольга Владимировна
Гигиенист
Клиника на Героев Труда, 4 (Академгородок)
Записаться
ШМУРЫГИНА
ШМУРЫГИНА Ирина Александровна
Гигиенист
Клиника на пл. Карла Маркса, 1
Записаться
МАЖУТА
МАЖУТА Эльвира Романовна
Врач-стоматолог
Гигиенист
Клиника на Гребенщикова, 1 (Родники)
Записаться
ЛОНЧАКОВА
ЛОНЧАКОВА Анжелика Вячеславовна
Гигиенист
Клиника на Героев Труда, 4 (Академгородок)
Записаться
КАБЛУЧКО Кристина Евгеньевна
Врач-стоматолог
Профессорская клиника на Николаева, 12/3 (Академгородок)

Принимает еще в 1 клинике

Записаться