Записаться
МЕЛЬНИКОВА (ФОКИНА)

МЕЛЬНИКОВА (ФОКИНА) Дарья Сергеевна

Врач-стоматолог
Врач высшей категории
Специалисты с опытом от 5 лет. Уверенно работают со сложными случаями, владеют сложными манипуляциями и получают отличные отзывы. Подробнее здесь
Стаж работы 8 лет
Принимает в клиниках
Клиника хирургии лица и стоматологии на Сакко и Ванцетти, 77
Категории пациентов
дети
подростки
взрослые

Еще когда мне ставили первые брекеты в 4 классе, я влюбилась в стоматологию и тогда твердо решила стать врачом. Эту же любовь я стараюсь транслировать своим пациентам, чтобы на приеме им было комфортно и спокойно: при четко налаженной коммуникации и выполнении всех рекомендаций любая процедура оставит приятное впечатление и преобразит вашу улыбку.

Считаю, что моя работа — это чистое творчество, где во главе угла — ЭСТЕТИКА. Вдохновляюсь через искусство в любых его проявлениях, но больше всего вдохновляете вы, дорогие пациенты! Ваше счастье в глазах, белоснежные искренние улыбки и слова благодарности — лучшая награда за проделанную работу.

Квалификация

Стоматология общей практики
Сертификат до 21.06.2027

Основное образование

2017
Высшее - ФГБОУ ВО НГМУ Минздрава России, стоматология
2019
Ординатура - ФГБОУ ВО НГМУ Минздрава России, стоматология ортопедическая

Повышение квалификации, дополнительное образование

2020
Сертификационный курс Министерства здравоохранения РФ «Диагностика, лечение, профилактика новой коронавирусной инфекции (COVID-19) в первичной медико-санитарной помощи»
Профессиональные навыки
Лечение под микроскопом
Лечение под наркозом
Лечение под седацией
Аккуратная подготовка зуба под коронку
Анализ компьютерной томографии и составление плана лечения
Использование современных технологий при лечении каналов
Микропротезирование вкладками
Внутрикоронковое отбеливание
Эндодонтическое перелечивание
Эстетическая реставрация передних и жевательных зубов
Извлечение отломков инструментов из каналов
Результаты лечения пациентов
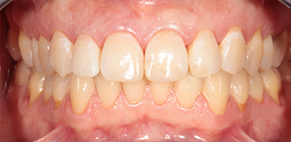
До лечения

Жалоба на реакцию зуба на горячее.

Как лечили

Проведено лечение контактного кариеса.

Лечащий врач

МЕЛЬНИКОВА (ФОКИНА) Дарья Сергеевна

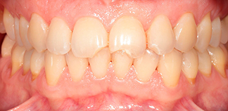
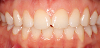
До лечения

Жалоба на цвет зубов.

Как лечили

Проведено отбеливание зубов системой ZOOM4.

Лечащий врач

МЕЛЬНИКОВА (ФОКИНА) Дарья Сергеевна

До лечения

Жалоба на чувствительность зубов и эстетику.

Как лечили

Проведена профессиональная гигиена полости рта и лечение кариеса. Закрыта рецессия десны на верхней и нижней челюсти.

Лечащие врачи
ГАТИЛОВА Татьяна Андреевна, ХАРЛОВА Владлена Олеговна, МЕЛЬНИКОВА (ФОКИНА) Дарья Сергеевна
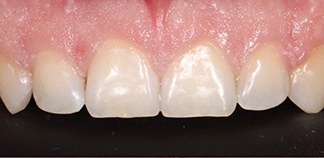
До лечения

Жалоба на траву зуба, болевые ощущения на температурные раздражители.

Как лечили

Проведена художественная реставрация трех поврежденных передних зубов.

Лечащий врач

МЕЛЬНИКОВА (ФОКИНА) Дарья Сергеевна

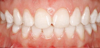
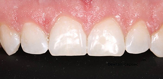
До лечения

Пришли с жалобой на цвет зубов.

Как лечили

Проведена профессиональная гигиена зубов. Сделано отбеливание зубов системой ZOOM4.

Лечащий врач

МЕЛЬНИКОВА (ФОКИНА) Дарья Сергеевна

Отзывы пациентов
Екатерина Бухтиярова
25.05.2025
Очень рекомендую данную клинику,24 мая ребёнок упал и выбил постоянный зуб, нам 6 лет и в таком возрасте лешится переднего зуба очень печально, поясню очень много клиник обзвонили, по скольку уже и рабочий день подходил к концу вс...
Аксенова Татьяна
28.04.2025
Хочу отметить Дарью Сергеевну Фокину. Очень понравилось лечение, подход, результат! Рекомендую врача! И есть чёткое понимание, что человек находится на своём месте, считаю , что врач от Бога!!! И из всех филиалов, выбираю и рекоме...
Apple User
06.03.2025
Рада, что нашла своего стоматолога-терапевта Дарью Сергеевну Фокину
Помимо профессионализма и идеальной работы, Дарья Сергеевна имеет высокий эмоциональный интеллект и позитивное мышление, что позволяет ей найти общий язык с...
Без имени
23.09.2024
Спасибо Фокиной Дарье за консультацию насчет кариеса. Ношу элайнеры и было важно определиться, проводить ли лечение в данный момент.
П*ци*нт
11.07.2024
Выражаю огромную благодарность Дарье Сергеевне за ее труд, подробную консультацию и безболезненную помощь!
Благодаря Вам я перестала бояться стоматологов! Спасибо!

МЕЛЬНИКОВА (ФОКИНА) Дарья Сергеевна — стоматолог-терапевт, подростковый стоматолог, врач высшей категории в сети стоматологических клиник Дентал-Сервис. Стаж работы 8 лет. Ведет прием у пациентов: подростки, взрослые. Оказывает услуги: лечение под микроскопом, терапевтическая стоматология, лечение кариеса, лечение пульпита, лечение периодонтита, вкладка на зуб, подростковая стоматология, отбеливание зубов, реставрация зубов. Профессиональные навыки: лечение под микроскопом, лечение под наркозом, лечение под седацией, аккуратная подготовка зуба под коронку, анализ компьютерной томографии и составление плана лечения, использование современных технологий при лечении каналов, микропротезирование вкладками, внутрикоронковое отбеливание, эндодонтическое перелечивание, эстетическая реставрация передних и жевательных зубов, извлечение отломков инструментов из каналов.

Врач высшей категории принимает по повышенному прайсу

Услуга
Цена, руб.

Лечение зубов под микроскопом

Прием врача-стоматолога-терапевта первичный
от 1 000 руб.
Прием врача-стоматолога-терапевта повторный (проф.осмотр)
бесплатно
Лечение кариеса эмали по технологии ICON (без учета анестезии)
Запечатывание вестибулярной поверхности зуба герметиком
от 8 600 руб.
Лечение кариеса (без учета анестезии)
от 9 600 руб.
Лечение обратимого пульпита (без учета анестезии)
Закрытие перфорации стенки корневого канала зуба, восстановление зуба пломбой с использованием материалов из фотополимеров
от 5 500 руб.
Двухэтапное лечение пульпита одноканального зуба (без учета анестезии)
1 этап: пульпотомия, экстирпация пульпы, временное пломбирование лекарственным препаратом корневого канала, наложение временной пломбы, инструментальная и медикаментозная обработка корневого канала. 2 этап: пломбирование корневого канала зуба гуттаперчивыми штифтами, снятие временной пломбы
от 17 600 руб.
Двухэтапное лечение периодонтита одноканального зуба (без учета анестезии)
1 этап: инструментальная и медикаментозная обработка корневого канала, временное пломбирование лекарственным препаратом корневого канала, наложение временной пломбы. 2 этап: пломбирование корневого канала зуба гуттаперчивыми штифтами, снятие временной пломбы
от 17 600 руб.
Апикальная хирургия. Хирургический и терапевтический этап в области фронтальных зубов
1ый этап хирургический: резекция верхушки корня зуба, цистэктомия, наложение шва на слизистую оболочку рта. 2ой этап терапевтический: инструментальная и медикаментозная обработка корневого канала (ретропрепарирование), закрытие перфорации стенки корневого канала зуба (пломбирование МТА, биокерамикой)
от 44 000 руб.
Оказание неотложной стоматологической помощи (без учета анестезии)
Включает снятие острой боли, установку временной пломбы
от 4 000 руб.

Отбеливание зубов

Прием врача-стоматолога по отбеливанию зубов
Консультация по отбеливанию зубов проводится врачом стоматологом-терапевтом/стоматологическим гигиенистом
от 1 000 руб.
Профессиональное отбеливание зубов системой "Аmazing white" (25%)
от 22 000 руб.
Профессиональное отбеливание зубов системой "ZOOM"
от 43 900 руб.

Протезирование зубов

Композитная вкладка (один зуб)
от 25 300 руб.
Керамическая вкладка (один зуб)
от 37 400 руб.
Цельнокерамическая коронка боковая из диоксида циркония (1 зуб)
Включает: препарирование зуба, внутриротовое сканирование, компьютерное моделирование и фрезерование в зуботехнической лаборатории, примерка и фиксация постоянной коронки
от 41 800 руб.
Цельнокерамическая коронка фронтальная из диоксида циркония, E-MAX (1 зуб)
Включает: препарирование зуба, внутриротовое сканирование, компьютерное моделирование и фрезерование в зуботехнической лаборатории, примерка и фиксация постоянной коронки
от 49 500 руб.
Восстановление зуба виниром
от 52 800 руб.
Восстановление зуба ультратонким виниром
от 62 700 руб.

Эстетическая стоматология

Художественная реставрация жевательного зуба
Восстановление естественной структуры/формы/цвета зуба при помощи синтетических материалов
от 20 400 руб.
Художественная реставрация фронтального зуба
Восстановление естественной структуры/формы/цвета зуба при помощи синтетических материалов
от 25 900 руб.
Эстетическое контурирование зуба
Процедура выравнивания, либо изменения формы зубов. Это быстрый и недорогой метод, обычно не требующий анестезии. Показания: сломанные, длинные или аномальные зубы
от 5 700 руб.

Подростковая стоматология

Прием врача-стоматолога-терапевта первичный (до 30 мин)
от 1 000 руб.
Прием врача-стоматолога-терапевта первичный (до 45 мин)
Развернутая консультация по комплексному лечению и/или лечению в наркозе
от 1 900 руб.
Прием врача-стоматолога-терапевта повторный (проф.осмотр)
от 900 руб.
Запечатывание фиссуры зуба
Фиссуры — естественные желобки на поверхности зуба. Герметизация (запечатывание) фиссур герметиком предотвращает скапливание в этих местах налета и, как следствие, развитие кариеса. Без расшлифовки.
от 2 200 руб.
Лечение кариеса молочного зуба (без учета анестезии)
от 5 100 руб.
Лечение кариеса постоянного зуба (без учета анестезии)
от 9 600 руб.
Лечение обратимого пульпита молочного зуба (без учета анестезии)
С сохранением жизнеспособности зуба. Стоимость указана без учета анестезии и восстановления
от 5 200 руб.
Лечение обратимого пульпита постоянного зуба (без учета анестезии)
Закрытие перфорации стенки корневого канала зуба, восстановление зуба пломбой с нарушением контактного пункта с использованием материалов из фотополимеров. Стоимость указана без учета анестезии
от 5 500 руб.
Лечение пульпита одноканального молочного зуба (без учета анестезии)
Стоимость лечения зуба в 2 этапа без учета анестезии и восстановления. 1 этап: пульпотомия, экстирпация пульпы, временное пломбирование лекарственным препаратом корневого канала, наложение временной пломбы, инструментальная и медикаментозная обработка корневого канала. 2 этап: пломбирование корневого канала зуба пастой, снятие временной пломбы.
от 9 700 руб.
Лечение пульпита одноканального постоянного зуба (без учета анестезии)
Стоимость лечения в 2 этапа без учета анестезии и восстановления. 1 этап: пульпотомия, экстирпация пульпы, временное пломбирование лекарственным препаратом корневого канала, наложение временной пломбы, инструментальная и медикаментозная обработка корневого канала. 2 этап: пломбирование корневого канала зуба гуттаперчивыми штифтами, снятие временной пломбы.
от 17 600 руб.
Лечение периодонтита одноканального молочного зуба (без учета анестезии)
Стоимость лечения зуба в 2 этапа без учета анестезии и восстановления. 1 этап: пульпотомия, экстирпация пульпы, временное пломбирование лекарственным препаратом корневого канала, наложение временной пломбы, инструментальная и медикаментозная обработка корневого канала. 2 этап: пломбирование корневого канала зуба пастой, снятие временной пломбы.
от 9 700 руб.
Лечение периодонтита одноканального постоянного зуба (без учета анестезии)
Стоимость лечения в 2 этапа без учета анестезии и восстановления. 1 этап: инструментальная и медикаментозная обработка корневого канала, временное пломбирование лекарственным препаратом корневого канала, наложение временной пломбы. 2 этап: пломбирование корневого канала зуба гуттаперчивыми штифтами, снятие временной пломбы.
от 9 400 руб.
Удаление подвижного молочного зуба (без учета анестезии)
от 2 800 руб.
Удаление постоянного зуба (без учета анестезии)
от 6 000 руб.
Комплексная профессиональная гигиена полости рта и зубов по протоколу GBT
В процедуру входит: снятие зубного налета, обучение гигиене, без покрытия/с покрытием фторсодержащими препаратами.
от 8 100 руб.

Анестезиология

Аппликационная анестезия
от 600 руб.
Инфильтрационная анестезия (одна карпула)
от 1 400 руб.
Проводниковая анестезия (одна карпула)
от 1 400 руб.

Лечение под наркозом

Консультация врача-анестезиолога-реаниматолога
от 2 000 руб.
Медикаментозный сон (вводный наркоз + первый час + постнаркозное наблюдение)
от 15 000 руб.
Ингаляционный наркоз для краткосрочных вмешательств с использованием севорана (до 30 минут)
от 9 200 руб.

Лечение в седации

Консультация врача-анестезиолога-реаниматолога
При стоматологическом наркозе используется безопасный препарат севоран, он погружает человека в глубокий сон.
от 2 000 руб.
Ингаляционный наркоз с использованием закиси азота
Расслабление с помощью успокаивающего газа, который подается через маску на носу. При этом пациент находится в сознании, общается с врачом, нормально дышит.
от 3 600 руб.
Сочетанная анестезия (внутривенная седация 1 час)
Внутривенная седация один час, используется для взрослых.
от 13 500 руб.
Выбрано для предварительной записи:

Другие специалисты

ШЕЛЕПОВА (ОМЕЛЬЧЕНКО)
ШЕЛЕПОВА (ОМЕЛЬЧЕНКО) Анастасия Сергеевна
Стоматолог-терапевт
Клиника на Вокзальной, 50/1 (Бердск)
Записаться
БАДУЛИН Илья Сергеевич
Врач-стоматолог
Челюстно-лицевой хирург
Клиника хирургии лица и стоматологии на Сакко и Ванцетти, 77
Записаться
ЛОНЧАКОВА
ЛОНЧАКОВА Анжелика Вячеславовна
Гигиенист
Клиника на Героев Труда, 4 (Академгородок)
Записаться
ЛЯПУНОВА
ЛЯПУНОВА Ирина Анатольевна
Рентгенолаборант
Клиника на Никольском проспекте, 1 (Кольцово)
Записаться
БРУНЬКО
БРУНЬКО Валерия Сергеевна
Гигиенист
Клиника на Блюхера, 30
Записаться
МОРОДЕЦКАЯ (ПРОХОРОВА)
МОРОДЕЦКАЯ (ПРОХОРОВА) Александра Владимировна
Стоматолог-терапевт
Клиника на пл. Карла Маркса, 1
Записаться
МАКАРОВ
МАКАРОВ Вячеслав Олегович
Стоматолог-хирург
Клиника на Дуси Ковальчук, 252/1
Записаться
КАХРАМАНОВ
КАХРАМАНОВ Видади Фазилович
Врач-стоматолог
Профессорская клиника на Николаева, 12/3 (Академгородок)

Принимает еще в 1 клинике

Записаться
ШКОДИНА
ШКОДИНА Софья Алексеевна
Врач-стоматолог
Клиника на пл. Карла Маркса, 1
Записаться
ДОЛГАНОВ
ДОЛГАНОВ Руслан Гумарович
Врач-стоматолог
Профессорская клиника на Николаева, 12/3 (Академгородок)

Принимает еще в 1 клинике

Записаться
БАЧУРИНА (БАРБАКОВА)
БАЧУРИНА (БАРБАКОВА) Ольга Владимировна
Гигиенист
Клиника на Героев Труда, 4 (Академгородок)
Записаться
ЯСАКОВА
ЯСАКОВА Мария Сергеевна
Врач-стоматолог
Клиника на Дуси Ковальчук, 252/1
Записаться