Записаться
КОВАЛЕВА

КОВАЛЕВА Валерия Игоревна

Врач-стоматолог
Стаж работы 11 лет
Принимает в клиниках
Клиника на Гребенщикова, 1 (Родники)
Клиника на Революции, 10
Категории пациентов
дети
подростки
взрослые
Врач принимает по ДМС

Я горжусь тем, что, как стоматолог, могу внести свой вклад в повышение качества жизни людей, моих пациентов. Это жизнь без зубной боли, комфорт при приеме пищи, возможность улыбаться без стеснения, уверенность в себе и главное — здоровье всего организма. Зуб — это орган, который влияет на состояние всей зубочелюстной системы, а та в свою очередь является важной составляющей системы пищеварения и опорно-двигательного аппарата.

Я рада, что могу заниматься своей работой среди лучших специалистов города, развиваться, профессионально расти и идти в ногу с достижениями современной стоматологии!

Квалификация

Стоматология общей практики
Сертификат до 28.12.2026

Основное образование

2015
Высшее - ГБОУ ВПО СибГМУ Минздрава России, стоматология
Профессиональные навыки
Лечение под микроскопом
Лечение под седацией
Анализ компьютерной томографии и составление плана лечения
Аккуратная подготовка зуба под коронку
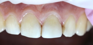
Результаты лечения пациентов
До лечения

Жалоба на постоянную ноющую боль.
Пациенту 41 год.

Как лечили

Проведена механическая и медикаментозная обработка корневых каналов. Пролечен периодонтит. Проведена пломбировка корневых каналов, установлен штифт.
Лечение проведено в течение двух недель.

Лечащий врач

КОВАЛЕВА Валерия Игоревна

Отзывы пациентов
П*ци*нт*+7*99* 6*XX*XX
08.05.2025
Я бесконечно доволен результатом лечения зубов у Валерии Игоревны. Особенно хочу выделить эмпатию доктора к пациенту. За весь период лечения зубов (примерно три года) сложилось, исключительно положительное впечатление о до...
П*ци*нт
08.05.2025
Я была приятно удивлена его вниманием и профессионализмом. Врач заботится о своих пациентах: всегда задает вопросы, внимательно выслушивает все жалобы. Он подробно объясняет каждое свое действие и делает все аккуратно и четко, без...
Александр
04.09.2022
Спасибо огромное Ковалёвой Валерии Игоревне за лечение! Процесс был долгий, но теперь все зубы наконец здоровы! Я обязательно приложу усилия для сохранения достигнутого результата.
Акции с участием врача
Смотреть все
Консультация ортодонта и диагностика
Первый шаг к ровной улыбке.
Реклама ООО "Дентал-Сервис Бердск" erid: 2VfnxxFnBPQ

КОВАЛЕВА Валерия Игоревна — стоматолог-терапевт в сети стоматологических клиник Дентал-Сервис. Стаж работы 11 лет. Ведет прием у пациентов: взрослые, дети, подростки. Принимает по ДМС. Оказывает услуги: терапевтическая стоматология, лечение под микроскопом, лечение кариеса, лечение пульпита, лечение периодонтита, ортодонтия, брекеты. Профессиональные навыки: лечение под микроскопом, лечение под седацией, анализ компьютерной томографии и составление плана лечения, аккуратная подготовка зуба под коронку.

Услуга
Цена, руб.

Лечение зубов под микроскопом

Прием врача-стоматолога-терапевта первичный
от 900 руб.
Прием врача-стоматолога-терапевта повторный (проф.осмотр)
бесплатно
Оказание неотложной стоматологической помощи (без учета анестезии)
Включает снятие острой боли, установку временной пломбы.
от 3 700 руб.
Лечение кариеса эмали по технологии ICON (без учета анестезии)
Запечатывание вестибулярной поверхности зуба герметиком
от 7 800 руб.
Лечение кариеса (без учета анестезии)
от 8 700 руб.
Лечение обратимого пульпита (без учета анестезии)
Закрытие перфорации стенки корневого канала зуба, восстановление зуба пломбой с использованием материалов из фотополимеров.
от 5 000 руб.
Двухэтапное лечение пульпита одноканального зуба (без учета анестезии)
1 этап: пульпотомия, экстирпация пульпы, временное пломбирование лекарственным препаратом корневого канала, наложение временной пломбы, инструментальная и медикаментозная обработка корневого канала. 2 этап: пломбирование корневого канала зуба гуттаперчивыми штифтами, снятие временной пломбы.
от 15 900 руб.
Двухэтапное лечение периодонтита одноканального зуба (без учета анестезии)
1 этап: инструментальная и медикаментозная обработка корневого канала, временное пломбирование лекарственным препаратом корневого канала, наложение временной пломбы. 2 этап: пломбирование корневого канала зуба гуттаперчивыми штифтами, снятие временной пломбы.
от 15 900 руб.
Апикальная хирургия. Хирургический и терапевтический этап в области фронтальных зубов
1ый этап хирургический: резекция верхушки корня зуба, цистэктомия, наложение шва на слизистую оболочку рта. 2ой этап терапевтический: инструментальная и медикаментозная обработка корневого канала (ретропрепарирование), закрытие перфорации стенки корневого канала зуба (пломбирование МТА, биокерамикой).
от 40 000 руб.

Ортодонтический прием и диагностика

Прием врача-ортодонта первичный
от 900 руб.
Прием врача-ортодонта повторный для составления плана лечения
от 1 900 руб.
Прием врача-ортодонта пациентов проходящих лечение в другой клинике
от 4 900 руб.
Компьютерный анализ телерентгенограммы
от 4 200 руб.
Полная диагностика перед ортодонтическим лечением
Услуга включает: снятие альгинатного оттиска с одной челюсти или сканирование, определение прикуса, изготовление контрольной модели при ортодонтическом лечении, антропометрические исследования, анализ ТРГ, фотографирование, составление плана лечения
от 8 500 руб.
Функциональная диагностика с использованием артикулятора
Услуга включает: определение вида смыкания зубных рядов с помощью лицевой дуги, снятие альгинатного оттиска с одной челюсти, сканирование, определение прикуса, изготовление контрольной модели при ортодонтическом лечении, антропометрические исследования, гипсовка в артукулятор, фотографирование.
от 18 000 руб.

Анестезиология

Аппликационная анестезия
от 550 руб.
Инфильтрационная анестезия (одна карпула)
от 1 300 руб.
Проводниковая анестезия (одна карпула)
от 1 300 руб.

Лечение под наркозом

Консультация врача-анестезиолога-реаниматолога
от 2 000 руб.
Медикаментозный сон (вводный наркоз + первый час + постнаркозное наблюдение)
от 15 000 руб.
Ингаляционный наркоз для краткосрочных вмешательств с использованием севорана (до 30 минут)
от 9 200 руб.

Лечение в седации

Консультация врача-анестезиолога-реаниматолога
При стоматологическом наркозе используется безопасный препарат севоран, он погружает человека в глубокий сон.
от 2 000 руб.
Сочетанная анестезия (внутривенная седация 1 час)
Внутривенная седация один час, используется для взрослых.
от 13 500 руб.

Комплексное лечение на брекетах

Раннее лечение с использованием металлических брекетов на одной челюсти
Ортодонтическое лечение у подростка в период смены зубов с молочных на постоянные.
от 57 000 руб.
Раннее лечение с использованием эстетических брекетов на одной челюсти
Ортодонтическое лечение у подростка в период смены зубов с молочных на постоянные.
от 83 000 руб.
Полное лечение с использованием металлических брекетов на одной челюсти
Ортодонтическое лечение, когда все зубы у пациента уже сменились на постоянные.
от 129 000 руб.
Полное лечение с использованием эстетических брекетов на одной челюсти
Ортодонтическое лечение, когда все зубы у пациента уже сменились на постоянные.
от 189 000 руб.

Лечение на съемных аппаратах

Прием врача-ортодонта повторный (при лечении на съемном аппарате)
Выбор съемного аппарата производит лечащий врач после диагностики на осном приеме. Список апааратов, выведенный на сайте, является ознакомительным.
от 1 000 руб.
Ортодонтическая коррекция съемным аппаратом "Haas"
от 36 800 руб.
Ортодонтическая коррекция съемным аппаратом вестибулярная пластинка
от 12 600 руб.
Ортодонтическая коррекция съемным аппаратом LM-активатор
от 15 000 руб.
Ортодонтическая коррекция съемным аппаратом Миобрейс
от 15 500 руб.

Лечение на элайнерах

Прием врача-ортодонта повторный для планирования и составления плана ортодонтического лечения на элайнерах (3D-клинчек)
Выполнение 3D-клинчек – это видеоматериал с виртуальной объемной моделью перемещения зубов при лечении. Его создание возможно только после диагностики. Выполняется перед началом лечения, служит для визуализации и для последующего производства элайнеров.
от 15 000 руб.
Ортодонтическая коррекция с применением элайнеров "FlexLigner" на 1 челюсти
от 266 000 руб.
Ортодонтическая коррекция с применением элайнеров "DentalAlign", 1 шт
от 8 500 руб.
Ортодонтическая коррекция с применением элайнеров "Eurokappa" (1-12 кап)
от 160 000 руб.
Ортодонтическая коррекция с применением элайнеров "StarSmile" (1-10 кап) у взрослых и подростков
от 100 000 руб.

Миофункциональное лечение

Прием врача-ортодонта повторный для планирования и составления плана миофункционального лечения
от 6 900 руб.
Диагностика первичная при миофункциональном лечении
В услугу включено: антропометрические исследования, снятие альгинатного оттиска с одной челюсти, изготовление контрольной модели, составление плана лечения.
от 9 000 руб.
Ортодонтическое лечение с применением миофункциональных аппаратов
Уникальная услуга, альтернативный способ исправления прикуса. В основе курса — система тренировки мышц челюстно-лицевой области с помощью функциональных аппаратов — трейнеров и ежедневных упражнений.
от 101 400 руб.
Курс консультаций по использованию миофункционального аппарата с комплексом упражнений (10 приемов)
Консультация проводится совместно с логопедом
от 28 400 руб.

Мы предлагаем вам ознакомиться с общим графиком работы врача на месяц. Пожалуйста, обратите внимание, что доступные слоты для записи не указаны. Чтобы узнать свободное время для записи, пожалуйста, свяжитесь с нашим контактным центром. Наши операторы с радостью помогут вам!

Выбрано для предварительной записи:

Другие специалисты

НЕДОСВЯТИЙ
НЕДОСВЯТИЙ Светлана Викторовна
Стоматолог-терапевт
Детский стоматолог
Клиника на Героев Труда, 4 (Академгородок)
Записаться
МОТЫК
МОТЫК Полина Алексеевна
Врач-стоматолог
Стоматолог-ортопед
Клиника на Революции, 10
Записаться
ГАСЬКОВА
ГАСЬКОВА Виктория Вадимовна
Врач-стоматолог
Клиника на Вокзальной, 50/1 (Бердск)
Записаться
АГАРКОВ
АГАРКОВ Сергей Юрьевич
Стоматолог-терапевт
Клиника на Героев Труда, 4 (Академгородок)
Записаться
ХАНОВА Анна Сергеевна
Врач-стоматолог
Профессорская клиника на Николаева, 12/3 (Академгородок)
Записаться
ЗОЛОТАРЕВА Полина Темуровна
Врач-стоматолог
Профессорская клиника на Николаева, 12/3 (Академгородок)
Записаться
ЧЕЧКИНА
ЧЕЧКИНА Елена Валерьевна
Врач-стоматолог
Стоматолог-ортопед
Клиника на Блюхера, 30
Записаться
ДОЛГАНОВ
ДОЛГАНОВ Руслан Гумарович
Врач-стоматолог
Профессорская клиника на Николаева, 12/3 (Академгородок)

Принимает еще в 1 клинике

Записаться
КОВАЛЕНКО (ГЕРДУН)
КОВАЛЕНКО (ГЕРДУН) Анастасия Николаевна
Стоматолог-терапевт
Врач-стоматолог
Клиника хирургии лица и стоматологии на Сакко и Ванцетти, 77
Записаться
МЕЛЬНИКОВА (ФОКИНА)
МЕЛЬНИКОВА (ФОКИНА) Дарья Сергеевна
Врач-стоматолог
Клиника хирургии лица и стоматологии на Сакко и Ванцетти, 77
Записаться
МАХТУМОВА
МАХТУМОВА Надежда Александровна
Стоматолог-терапевт
Клиника на Вокзальной, 50/1 (Бердск)
Записаться
ВИГЕЛЬ
ВИГЕЛЬ Амалия Дмитриевна
Врач-стоматолог
Профессорская клиника на Николаева, 12/3 (Академгородок)
Записаться