Записаться
НИКОЛЕНКО

НИКОЛЕНКО Ксения Ивановна

Врач-стоматолог
Стаж работы 3 года
Принимает в клиниках
Клиника на Вокзальной, 50/1 (Бердск)
Категории пациентов
дети
подростки
взрослые
Врач принимает по ДМС

Здоровье — это самое ценное, что у нас есть, и я хотела бы использовать свои навыки и знания, чтобы влиять на жизнь людей в лучшую сторону.

Каждый день для врача ждут новые вызовы. Все пациенты и состояние здоровья уникальны. Это значит, что каждый день работы врача будет отличаться от предыдущего. Это поддерживает интерес и восхищение профессией.

Для меня важно уделять внимание образованию и консультированию пациентов, чтобы они лучше знали и понимали о состоянии своего здоровья. Всем пациентам нашей клиники я желаю блестящей улыбки. Помните, что ваша улыбка — это визитная карточка, поэтому не пренебрегайте заботой о полости рта.

Квалификация

Стоматология
Сертификат до 12.07.2027

Основное образование

2022
Высшее - ФГБОУ ВО НГМУ Минздрава России, стоматология
Профессиональные навыки
Лечение под микроскопом
Лечение под седацией
Анализ компьютерной томографии и составление плана лечения
Спасение травмированного зуба
Внутрикоронковое отбеливание
Эстетическая реставрация жевательных зубов
Результаты лечения пациентов
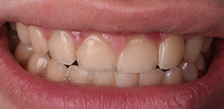
До лечения

Жалобы на кариес передних зубов.
Пациенту 16 лет.

Как лечили

Проведено лечение кариеса шести фронтальных зубов.
Лечение прошло в 1 посещение.

Лечащий врач

НИКОЛЕНКО Ксения Ивановна

До лечения

Жалоба на наличие полости в зубе.
Пациенту 17 лет.

Как лечили

Проведено лечение кариеса шестого зуба. Реставрация с полной анатомией зуба.
Лечение прошло в 1 посещение.

Лечащий врач

НИКОЛЕНКО Ксения Ивановна

Отзывы пациентов
Елена
09.02.2026
Хочу выразить огромную Благодарность Врачу Николенко Ксении Ивановне, за ее профессиональный подход, за внимательное отношение к клиенту. Работа произведена качественно и безболезненно. Дальнейшее лечение буду проходить только у э...
А*я *.
06.08.2025
Замечательная клиника, отличный сервис и качество, оказываемых услуг, поверьте есть с чем сравнить.
Попав в дентал сервис сформировалось четкое понимание, если лечить зубы, то теперь только сюда.
Отдельная благодарност...
Наталья Юзюк
21.05.2025
Благодарю Ксению Ивановну за внимательность, профессионализм. Врач с большой буквы! Рекомендую
Николайзен Оксана Петровна
12.05.2025
Хочу выразить огромную благодарность Николенко Ксении Ивановне, за её профессионализм, чуткость и внимательность. Мы обратились с серьёзной проблемой у ребёнка и она нам помогла сохранить зуб дочери. До Вашей клиники мы были у дру...
Окс Nik
07.05.2025
Отличная клиника! Спасибо большое Николенко Ксении Ивановне, что решили нашу сложную проблему! Рекомендую, т.к. другие нам не смогли сохранить зуб. Работают профессионалы!

НИКОЛЕНКО Ксения Ивановна — подростковый стоматолог, стоматолог-терапевт в сети стоматологических клиник Дентал-Сервис. Стаж работы 3 года. Ведет прием у пациентов: подростки, взрослые. Принимает по ДМС. Оказывает услуги: лечение под микроскопом, терапевтическая стоматология, лечение кариеса, лечение пульпита, лечение периодонтита, отбеливание зубов, реставрация зубов, подростковая стоматология. Профессиональные навыки: лечение под микроскопом, лечение под седацией, анализ компьютерной томографии и составление плана лечения, спасение травмированного зуба, внутрикоронковое отбеливание, эстетическая реставрация жевательных зубов.

Услуга
Цена, руб.

Лечение зубов под микроскопом

Прием врача-стоматолога-терапевта первичный
от 900 руб.
Прием врача-стоматолога-терапевта повторный (проф.осмотр)
бесплатно
Лечение кариеса эмали по технологии ICON (без учета анестезии)
Запечатывание вестибулярной поверхности зуба герметиком
от 7 800 руб.
Лечение кариеса (без учета анестезии)
от 8 700 руб.
Лечение обратимого пульпита (без учета анестезии)
Закрытие перфорации стенки корневого канала зуба, восстановление зуба пломбой с использованием материалов из фотополимеров
от 5 000 руб.
Двухэтапное лечение пульпита одноканального зуба (без учета анестезии)
1 этап: пульпотомия, экстирпация пульпы, временное пломбирование лекарственным препаратом корневого канала, наложение временной пломбы, инструментальная и медикаментозная обработка корневого канала. 2 этап: пломбирование корневого канала зуба гуттаперчивыми штифтами, снятие временной пломбы
от 15 900 руб.
Двухэтапное лечение периодонтита одноканального зуба (без учета анестезии)
1 этап: инструментальная и медикаментозная обработка корневого канала, временное пломбирование лекарственным препаратом корневого канала, наложение временной пломбы. 2 этап: пломбирование корневого канала зуба гуттаперчивыми штифтами, снятие временной пломбы
от 15 900 руб.
Апикальная хирургия. Хирургический и терапевтический этап в области фронтальных зубов
1ый этап хирургический: резекция верхушки корня зуба, цистэктомия, наложение шва на слизистую оболочку рта. 2ой этап терапевтический: инструментальная и медикаментозная обработка корневого канала (ретропрепарирование), закрытие перфорации стенки корневого канала зуба (пломбирование МТА, биокерамикой)
от 40 000 руб.
Оказание неотложной стоматологической помощи (без учета анестезии)
Включает снятие острой боли, установку временной пломбы
от 3 700 руб.

Отбеливание зубов

Прием врача-стоматолога по отбеливанию зубов
Консультация по отбеливанию зубов проводится врачом стоматологом-терапевтом/стоматологическим гигиенистом
от 900 руб.
Профессиональное отбеливание зубов системой "Аmazing white" (25%)
от 20 000 руб.
Профессиональное отбеливание зубов системой "ZOOM"
от 39 900 руб.

Протезирование зубов

Керамическая вкладка (один зуб)
от 34 000 руб.
Цельнокерамическая коронка боковая из диоксида циркония (1 зуб)
Включает: препарирование зуба, внутриротовое сканирование, компьютерное моделирование и фрезерование в зуботехнической лаборатории, примерка и фиксация постоянной коронки
от 38 000 руб.
Цельнокерамическая коронка фронтальная из диоксида циркония, E-MAX (1 зуб)
Включает: препарирование зуба, внутриротовое сканирование, компьютерное моделирование и фрезерование в зуботехнической лаборатории, примерка и фиксация постоянной коронки
от 45 000 руб.
Восстановление зуба виниром
от 48 000 руб.
Восстановление зуба ультратонким виниром
от 57 000 руб.

Эстетическая стоматология

Художественная реставрация жевательного зуба
Восстановление естественной структуры/формы/цвета зуба при помощи синтетических материалов
от 18 500 руб.
Художественная реставрация фронтального зуба
Восстановление естественной структуры/формы/цвета зуба при помощи синтетических материалов
от 23 500 руб.
Эстетическое контурирование зуба
Процедура выравнивания, либо изменения формы зубов. Это быстрый и недорогой метод, обычно не требующий анестезии. Показания: сломанные, длинные или аномальные зубы
от 5 100 руб.

Подростковая стоматология

Прием врача-стоматолога-терапевта первичный (до 30 мин)
от 900 руб.
Прием врача-стоматолога-терапевта первичный (до 45 мин)
Развернутая консультация по комплексному лечению и/или лечению в наркозе
от 1 700 руб.
Прием врача-стоматолога-терапевта повторный (проф.осмотр)
от 800 руб.
Запечатывание фиссуры зуба
Фиссуры — естественные желобки на поверхности зуба. Герметизация (запечатывание) фиссур герметиком предотвращает скапливание в этих местах налета и, как следствие, развитие кариеса. Без расшлифовки.
от 2 000 руб.
Лечение кариеса молочного зуба (без учета анестезии)
от 4 600 руб.
Лечение кариеса постоянного зуба (без учета анестезии)
от 8 700 руб.
Лечение обратимого пульпита молочного зуба (без учета анестезии)
С сохранением жизнеспособности зуба. Стоимость указана без учета анестезии и восстановления
от 4 700 руб.
Лечение обратимого пульпита постоянного зуба (без учета анестезии)
Закрытие перфорации стенки корневого канала зуба, восстановление зуба пломбой с нарушением контактного пункта с использованием материалов из фотополимеров. Стоимость указана без учета анестезии
от 5 000 руб.
Лечение пульпита одноканального молочного зуба (без учета анестезии)
Стоимость лечения зуба в 2 этапа без учета анестезии и восстановления. 1 этап: пульпотомия, экстирпация пульпы, временное пломбирование лекарственным препаратом корневого канала, наложение временной пломбы, инструментальная и медикаментозная обработка корневого канала. 2 этап: пломбирование корневого канала зуба пастой, снятие временной пломбы.
от 8 700 руб.
Лечение пульпита одноканального постоянного зуба (без учета анестезии)
Стоимость лечения в 2 этапа без учета анестезии и восстановления. 1 этап: пульпотомия, экстирпация пульпы, временное пломбирование лекарственным препаратом корневого канала, наложение временной пломбы, инструментальная и медикаментозная обработка корневого канала. 2 этап: пломбирование корневого канала зуба гуттаперчивыми штифтами, снятие временной пломбы.
от 15 900 руб.
Лечение периодонтита одноканального молочного зуба (без учета анестезии)
Стоимость лечения зуба в 2 этапа без учета анестезии и восстановления. 1 этап: пульпотомия, экстирпация пульпы, временное пломбирование лекарственным препаратом корневого канала, наложение временной пломбы, инструментальная и медикаментозная обработка корневого канала. 2 этап: пломбирование корневого канала зуба пастой, снятие временной пломбы.
от 8 700 руб.
Лечение периодонтита одноканального постоянного зуба (без учета анестезии)
Стоимость лечения в 2 этапа без учета анестезии и восстановления. 1 этап: инструментальная и медикаментозная обработка корневого канала, временное пломбирование лекарственным препаратом корневого канала, наложение временной пломбы. 2 этап: пломбирование корневого канала зуба гуттаперчивыми штифтами, снятие временной пломбы.
от 8 400 руб.
Удаление подвижного молочного зуба (без учета анестезии)
от 2 500 руб.
Удаление постоянного зуба (без учета анестезии)
от 5 400 руб.
Комплексная профессиональная гигиена полости рта и зубов по протоколу GBT
В процедуру входит: снятие зубного налета, обучение гигиене, без покрытия/с покрытием фторсодержащими препаратами.
от 7 300 руб.

Анестезиология

Аппликационная анестезия
от 550 руб.
Инфильтрационная анестезия (одна карпула)
от 1 300 руб.
Проводниковая анестезия (одна карпула)
от 1 300 руб.

Лечение под наркозом

Консультация врача-анестезиолога-реаниматолога
от 2 000 руб.
Медикаментозный сон (вводный наркоз + первый час + постнаркозное наблюдение)
от 15 000 руб.
Ингаляционный наркоз для краткосрочных вмешательств с использованием севорана (до 30 минут)
от 9 200 руб.

Лечение в седации

Консультация врача-анестезиолога-реаниматолога
При стоматологическом наркозе используется безопасный препарат севоран, он погружает человека в глубокий сон.
от 2 000 руб.
Ингаляционный наркоз с использованием закиси азота
Расслабление с помощью успокаивающего газа, который подается через маску на носу. При этом пациент находится в сознании, общается с врачом, нормально дышит.
от 3 600 руб.
Сочетанная анестезия (внутривенная седация 1 час)
Внутривенная седация один час, используется для взрослых.
от 13 500 руб.

Мы предлагаем вам ознакомиться с общим графиком работы врача на месяц. Пожалуйста, обратите внимание, что доступные слоты для записи не указаны. Чтобы узнать свободное время для записи, пожалуйста, свяжитесь с нашим контактным центром. Наши операторы с радостью помогут вам!

Выбрано для предварительной записи:

Другие специалисты

ЯСАКОВА
ЯСАКОВА Мария Сергеевна
Врач-стоматолог
Клиника на Дуси Ковальчук, 252/1
Записаться
МИНОВ
МИНОВ Дмитрий Олегович
Стоматолог-терапевт
Клиника на пл. Карла Маркса, 1
Записаться
ПОЧТАРЬ
ПОЧТАРЬ Юлия Михайловна
Стоматолог-терапевт
Стоматолог-хирург
Главный врач Профессорской клиники на Николаева, 12/3
Профессорская клиника на Николаева, 12/3 (Академгородок)
Записаться
ЗАИКИНА (БУРКАЦКАЯ)
ЗАИКИНА (БУРКАЦКАЯ) Мария Олеговна
Стоматолог-терапевт
Клиника на Блюхера, 30
Записаться
МАХТУМОВА
МАХТУМОВА Надежда Александровна
Стоматолог-терапевт
Клиника на Вокзальной, 50/1 (Бердск)
Записаться
ЧИБИСОВА
ЧИБИСОВА Анна Владимировна
Врач-стоматолог
Клиника на Дуси Ковальчук, 252/1
Записаться
БЕСКАКОТОВА
БЕСКАКОТОВА Виктория Александровна
Врач-стоматолог
Клиника на Революции, 10
Записаться
РОМАНОВА
РОМАНОВА Марина Алексеевна
Врач-стоматолог
Клиника на Дуси Ковальчук, 252/1
Записаться
ПРИВАЛОВ
ПРИВАЛОВ Виктор Андреевич
Врач-стоматолог
Профессорская клиника на Николаева, 12/3 (Академгородок)

Принимает еще в 1 клинике

Записаться
ШПАГИНА (ТРИБЕЛЬГОРН)
ШПАГИНА (ТРИБЕЛЬГОРН) Регина Александровна
Врач-стоматолог
Стоматолог-ортопед
Клиника на Блюхера, 30

Принимает еще в 1 клинике

Записаться
ТАЯНОВА (ДАММ)
ТАЯНОВА (ДАММ) Анна Сергеевна
Врач-стоматолог
Клиника на Героев Труда, 4 (Академгородок)
Записаться
КАХРАМАНОВ
КАХРАМАНОВ Видади Фазилович
Врач-стоматолог
Профессорская клиника на Николаева, 12/3 (Академгородок)

Принимает еще в 1 клинике

Записаться