Записаться
ПАВЛЕНКО

ПАВЛЕНКО Анастасия Олеговна

Врач-стоматолог
Врач высшей категории
Специалисты с опытом от 5 лет. Уверенно работают со сложными случаями, владеют сложными манипуляциями и получают отличные отзывы. Подробнее здесь
Стаж работы 8 лет
Принимает в клиниках
Клиника на Революции, 10
Профессорская клиника на Николаева, 12/3 (Академгородок)
Категории пациентов
дети
подростки
взрослые
Для меня, как для человека, очень важно помогать людям! Как для врача — не стоять на месте никогда. Давать самое нужное, важное, своевременное каждому моему Пациенту!

Квалификация

Стоматология
Сертификат до 26.09.2028

Основное образование

2018
Высшее - ФГБОУ ВО НГМУ Минздрава России, стоматология
Профессиональные навыки
Лечение под микроскопом
Анализ компьютерной томографии и составление плана лечения
Эндодонтическое перелечивание
Микропротезирование вкладками
Спасение травмированного зуба
Аккуратная подготовка зуба под коронку
Эстетическая реставрация передних и жевательных зубов
Лечение под седацией
Результаты лечения пациентов
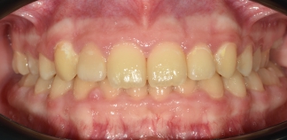
До лечения

Жалоба на травму зуба.

Как лечили

Зуб восстановлен собственным отломком, зафиксированным с помощью композитного материала.

Лечащий врач

ПАВЛЕНКО Анастасия Олеговна

До лечения

Прили с жалобой на маленький зуб.
Пациенту 14 лет.

Как лечили

Проведена реставрация зуба по методике "фрихенд".
Лечение проведено за один визит.

Лечащий врач

ПАВЛЕНКО Анастасия Олеговна

До лечения

Жалобы на боль от всех видов раздражителей.
Пациенту 24 года.

Как лечили

Проведено лечение глубокого кариеса под микроскопом с заменой культевого материала на вкладку overlay.
Лечение проведено в течение двух недель.

Лечащий врач

ПАВЛЕНКО Анастасия Олеговна

Отзывы пациентов
Маргарита Юкина
17.03.2026
Мои слова благодарности Павленко Анастасии Олеговне. Про мастерство Анастасии Олеговны я знала давно. Поэтому, когда встал вопрос о реставрации передних зубов, я, конечно, отправилась к этому доктору. И результат превзошел ожидани...
armitrokhovich
08.07.2025
Хожу в эту стоматологию к разным специалистам, но сегодня хочу выразить огромную благодарность врачу-терапевту Павленко Анастасии Олеговне. Много работы провели с ней и всегда - это профессионализм, чуткость и забота о своем пацие...
П*ци*нт
25.05.2025
Павленко Анастасия подробно объяснила мне, как правильно ухаживать за зубами, и что мне особенно понравилось — приём проходит строго по графику. Я настоятельно рекомендую этого врача!
П*ци*нт
10.05.2025
Павленко Анастасия Олеговна просто невероятно добрая и внимательная! Очень впечатлила своим мастерством — даже укола не почувствовала. Всё прошло быстро и на высоком уровне. Настоящий профессионал своего дела!
П*ци*нт*+7*99* 4*XX*XX
26.04.2025
Я обратился к врачу Анастасия. Во-первых, хочу выразить восхищение работой ваших мастеров. Они взялись за сложную задачу, которую отказались выполнять другие клиники. Я был приятно удивлён их профессионализмом. Процедура была долг...
Акции с участием врача
Смотреть все
Бесплатная консультация по имплантации и КТ
Вернем здоровье и красоту вашей улыбки!
Реклама ООО "Дентал-Сервис Бердск" ИНН 544525957, erid: 2VfnxwD8CRn

20 августа 2025-30 апреля 2026
Все акции Профессорской клиники на Николаева, 12/3
Лечение зубов со скидкой до 35%

1 декабря 2025-30 апреля 2026

ПАВЛЕНКО Анастасия Олеговна — подростковый стоматолог, стоматолог-терапевт, стоматолог-ортопед, врач высшей категории в сети стоматологических клиник Дентал-Сервис. Стаж работы 8 лет. Ведет прием у пациентов: подростки, взрослые. Оказывает услуги: лечение под микроскопом, терапевтическая стоматология, лечение кариеса, лечение пульпита, лечение периодонтита, ортопедическая стоматология, виниры, коронки, протезирование на имплантатах, мостовидный протез, съемное протезирование зубов, вкладка на зуб, подростковая стоматология, отбеливание зубов. Профессиональные навыки: лечение под микроскопом, анализ компьютерной томографии и составление плана лечения, эндодонтическое перелечивание, микропротезирование вкладками, спасение травмированного зуба, аккуратная подготовка зуба под коронку, эстетическая реставрация передних и жевательных зубов, лечение под седацией.

Врач высшей категории принимает по повышенному прайсу

Услуга
Цена, руб.

Лечение зубов под микроскопом

Прием врача-стоматолога-терапевта первичный
от 1 000 руб.
Прием врача-стоматолога-терапевта повторный (проф.осмотр)
бесплатно
Оказание неотложной стоматологической помощи (без учета анестезии)
Включает снятие острой боли, установку временной пломбы.
от 4 000 руб.
Лечение кариеса эмали по технологии ICON (без учета анестезии)
Запечатывание вестибулярной поверхности зуба герметиком
от 8 600 руб.
Лечение кариеса (без учета анестезии)
от 9 600 руб.
Лечение обратимого пульпита (без учета анестезии)
Закрытие перфорации стенки корневого канала зуба, восстановление зуба пломбой с использованием материалов из фотополимеров.
от 5 500 руб.
Двухэтапное лечение пульпита одноканального зуба (без учета анестезии)
1 этап: пульпотомия, экстирпация пульпы, временное пломбирование лекарственным препаратом корневого канала, наложение временной пломбы, инструментальная и медикаментозная обработка корневого канала. 2 этап: пломбирование корневого канала зуба гуттаперчивыми штифтами, снятие временной пломбы.
от 17 600 руб.
Двухэтапное лечение периодонтита одноканального зуба (без учета анестезии)
1 этап: инструментальная и медикаментозная обработка корневого канала, временное пломбирование лекарственным препаратом корневого канала, наложение временной пломбы. 2 этап: пломбирование корневого канала зуба гуттаперчивыми штифтами, снятие временной пломбы.
от 17 600 руб.
Апикальная хирургия. Хирургический и терапевтический этап в области фронтальных зубов
1ый этап хирургический: резекция верхушки корня зуба, цистэктомия, наложение шва на слизистую оболочку рта. 2ой этап терапевтический: инструментальная и медикаментозная обработка корневого канала (ретропрепарирование), закрытие перфорации стенки корневого канала зуба (пломбирование МТА, биокерамикой).
от 44 000 руб.

Отбеливание зубов

Прием стоматологического гигиениста первичный
от 1 000 руб.
Профессиональное отбеливание зубов системой "Аmazing white" (25%)
от 22 000 руб.
Профессиональное отбеливание зубов системой "Аmazing white" (38%)
от 23 100 руб.
Профессиональное отбеливание зубов системой "ZOOM"
от 43 900 руб.

Протезирование зубов

Прием врача-стоматолога-ортопеда первичный
от 1 000 руб.
Цельнокерамическая коронка фронтальная из диоксида циркония, E-MAX (один зуб)
Включает: препарирование зуба, внутриротовое сканирование, компьютерное моделирование и фрезерование в зуботехнической лаборатории, примерка и фиксация постоянной коронки.
от 49 500 руб.
Цельнокерамическая коронка боковая из диоксида циркония (один зуб)
Включает: препарирование зуба, внутриротовое сканирование, компьютерное моделирование и фрезерование в зуботехнической лаборатории, примерка и фиксация постоянной коронки.
от 41 800 руб.
Восстановление временной коронкой из пластмассы
Включает: снятие слепка, изготовление и фиксация временной коронки прямым методом.
от 5 500 руб.
Восстановление временной коронкой из пластмассы CAD/CAM
Включает: внутриротовое сканирование, моделирование и изготовление коронки лабораторным методом, фиксация временной коронки.
от 7 300 руб.
Композитная вкладка (один зуб)
от 25 300 руб.
Керамическая вкладка (один зуб)
от 37 400 руб.
Восстановление зуба виниром
от 52 800 руб.
Восстановление зуба ультратонким виниром
от 62 700 руб.
Протезирование частичным съемным протезом
от 45 100 руб.
Протезирование зубов полным съемным протезом
от 58 300 руб.
Протезирование съемным бюгельным протезом на 1 челюсть
от 95 700 руб.
Мостовидный протез из диоксида циркония с опорой на 2 зуба
Включает: препарирование зубов, внутриротовое сканирование, компьютерное моделирование и фрезерование в зуботехнической лаборатории, примерка и фиксация постоянных коронок. Дополнительно оплачивается по необходимости 3D-модель, анестезия, изготовление и установка временного мостовидного протеза.
от 125.400 руб.
Несъемный протез нескольких зубов из диоксида циркония (мостовидный протез) на имплантатах
Включает: внутриротовое сканирование с применением скан маркеров, компьютерное моделирование, фрезерование ортопедической конструкции, склейка абатментов, примерка и фиксация ортопедической конструкции в полости рта. Отдельно оплачивается по необходимости 3D-модель, анестезия, изготовление и установка временного мостовидного протеза.
от 127 400 руб.

Дентальная имплантация

Система имплантации Implantium (Ю.Корея). Ортопедический этап
Протезирование бокового зуба коронкой из диоксида циркония, с абатментом из системы Implantium
от 37 000 руб.
Система имплантации AnyOne (Ю.Корея). Ортопедический этап
Протезирование бокового зуба коронкой из диоксида циркония, с абатментом из системы AnyOne
от 42 800 руб.
Система имплантации Renova (США). Ортопедический этап
Протезирование бокового зуба коронкой из диоксида циркония, с абатментом из системы Renova
от 54 400 руб.
Система имплантации Medentika (Германия). Ортопедический этап
Протезирование бокового зуба коронкой из диоксида циркония, с абатментом из системы Medentika
от 54 400 руб.
Системы имплантации Straumann (Швейцария). Ортопедический этап
Протезирование бокового зуба коронкой из диоксида циркония, с абатментом из системы Straumann
от 78 600 руб.
Хирургический и ортопедический этап имплантации по системе «Все-на-четырех»
Входит в стоимость минимума: установка 4 единиц имплантов по цифровому хирургическому шаблону + полное съемное протезирование из пластмассы (временные коронки: 4 ед на имплатах, 8 ед подвесных, 4 единицы аббатментов, литая балка).
от 485 500 руб.

Подростковая стоматология

Прием врача-стоматолога-терапевта первичный (до 30 мин)
от 1 000 руб.
Прием врача-стоматолога-терапевта первичный (до 45 мин)
Развернутая консультация по комплексному лечению и/или лечению в наркозе
от 1 900 руб.
Прием врача-стоматолога-терапевта повторный (проф.осмотр)
от 900 руб.
Запечатывание фиссуры зуба
Фиссуры — естественные желобки на поверхности зуба. Герметизация (запечатывание) фиссур герметиком предотвращает скапливание в этих местах налета и, как следствие, развитие кариеса. Без расшлифовки.
от 2 200 руб.
Лечение кариеса молочного зуба (без учета анестезии)
от 5 100 руб.
Лечение кариеса постоянного зуба (без учета анестезии)
от 9 600 руб.
Лечение обратимого пульпита молочного зуба (без учета анестезии)
С сохранением жизнеспособности зуба. Стоимость указана без учета анестезии и восстановления
от 5 200 руб.
Лечение обратимого пульпита постоянного зуба (без учета анестезии)
Закрытие перфорации стенки корневого канала зуба, восстановление зуба пломбой с нарушением контактного пункта с использованием материалов из фотополимеров. Стоимость указана без учета анестезии
от 5 500 руб.
Лечение пульпита одноканального молочного зуба (без учета анестезии)
Стоимость лечения зуба в 2 этапа без учета анестезии и восстановления. 1 этап: пульпотомия, экстирпация пульпы, временное пломбирование лекарственным препаратом корневого канала, наложение временной пломбы, инструментальная и медикаментозная обработка корневого канала. 2 этап: пломбирование корневого канала зуба пастой, снятие временной пломбы.
от 9 700 руб.
Лечение пульпита одноканального постоянного зуба (без учета анестезии)
Стоимость лечения в 2 этапа без учета анестезии и восстановления. 1 этап: пульпотомия, экстирпация пульпы, временное пломбирование лекарственным препаратом корневого канала, наложение временной пломбы, инструментальная и медикаментозная обработка корневого канала. 2 этап: пломбирование корневого канала зуба гуттаперчивыми штифтами, снятие временной пломбы.
от 17 600 руб.
Лечение периодонтита одноканального молочного зуба (без учета анестезии)
Стоимость лечения зуба в 2 этапа без учета анестезии и восстановления. 1 этап: пульпотомия, экстирпация пульпы, временное пломбирование лекарственным препаратом корневого канала, наложение временной пломбы, инструментальная и медикаментозная обработка корневого канала. 2 этап: пломбирование корневого канала зуба пастой, снятие временной пломбы.
от 9 700 руб.
Лечение периодонтита одноканального постоянного зуба (без учета анестезии)
Стоимость лечения в 2 этапа без учета анестезии и восстановления. 1 этап: инструментальная и медикаментозная обработка корневого канала, временное пломбирование лекарственным препаратом корневого канала, наложение временной пломбы. 2 этап: пломбирование корневого канала зуба гуттаперчивыми штифтами, снятие временной пломбы.
от 9 400 руб.
Удаление подвижного молочного зуба (без учета анестезии)
от 2 800 руб.
Удаление постоянного зуба (без учета анестезии)
от 6 000 руб.
Комплексная профессиональная гигиена полости рта и зубов по протоколу GBT
В процедуру входит: снятие зубного налета, обучение гигиене, без покрытия/с покрытием фторсодержащими препаратами.
от 8 100 руб.

Анестезиология

Аппликационная анестезия
от 600 руб.
Инфильтрационная анестезия (одна карпула)
от 1 400 руб.
Проводниковая анестезия (одна карпула)
от 1 400 руб.

Лечение под наркозом

Консультация врача-анестезиолога-реаниматолога
от 2 000 руб.
Медикаментозный сон (вводный наркоз + первый час + постнаркозное наблюдение)
от 15 000 руб.
Ингаляционный наркоз для краткосрочных вмешательств с использованием севорана (до 30 минут)
от 9 200 руб.

Лечение в седации

Консультация врача-анестезиолога-реаниматолога
При стоматологическом наркозе используется безопасный препарат севоран, он погружает человека в глубокий сон.
от 2 000 руб.
Ингаляционный наркоз с использованием закиси азота
Расслабление с помощью успокаивающего газа, который подается через маску на носу. При этом пациент находится в сознании, общается с врачом, нормально дышит.
от 3 600 руб.
Сочетанная анестезия (внутривенная седация 1 час)
Внутривенная седация один час, используется для взрослых.
от 13 500 руб.

Мы предлагаем вам ознакомиться с общим графиком работы врача на месяц. Пожалуйста, обратите внимание, что доступные слоты для записи не указаны. Чтобы узнать свободное время для записи, пожалуйста, свяжитесь с нашим контактным центром. Наши операторы с радостью помогут вам!

Выбрано для предварительной записи:

Другие специалисты

ЗИБАРЕВА Екатерина Игоревна
Анестезиолог-реаниматолог
Клиника на Героев Труда, 4 (Академгородок)
Записаться
ЛЯХОВ
ЛЯХОВ Алексей Владимирович
Стоматолог-ортопед
Клиника хирургии лица и стоматологии на Сакко и Ванцетти, 77
Записаться
КИДОН
КИДОН Елена Юрьевна
Стоматолог-терапевт
Клиника на Блюхера, 30
Записаться
МАРКОСЯН
МАРКОСЯН Геворк Сандроевич
Стоматолог-ортопед
Клиника на Гребенщикова, 1 (Родники)
Записаться
ТРЕМАСОВА
ТРЕМАСОВА Ольга Борисовна
Детский стоматолог
Стоматолог-терапевт
Детская клиника на Ленина, 17
Записаться
МЕЛУЗОВА
МЕЛУЗОВА Варвара Александровна
Врач-стоматолог
Профессорская клиника на Николаева, 12/3 (Академгородок)

Принимает еще в 1 клинике

Записаться
МОТЫК
МОТЫК Полина Алексеевна
Врач-стоматолог
Стоматолог-ортопед
Клиника на Революции, 10
Записаться
КАХРАМАНОВ
КАХРАМАНОВ Видади Фазилович
Врач-стоматолог
Профессорская клиника на Николаева, 12/3 (Академгородок)

Принимает еще в 1 клинике

Записаться
НОМОКОНОВ
НОМОКОНОВ Илья Андреевич
Стоматолог-ортопед
Клиника на Революции, 10
Записаться
НАРАЕВ
НАРАЕВ Роман Михайлович
Челюстно-лицевой хирург
Клиника на Революции, 10
Записаться
БОГОМЯГКОВА (ПЕРЕВАЛОВА) Екатерина Андреевна
Врач-стоматолог
Стоматолог-ортопед
Клиника хирургии лица и стоматологии на Сакко и Ванцетти, 77
Записаться
БЕСКАКОТОВА
БЕСКАКОТОВА Виктория Александровна
Врач-стоматолог
Клиника на Революции, 10
Записаться