Записаться
ВОЛКОВ

ВОЛКОВ Вячеслав Олегович

Стоматолог-хирург
Врач высшей категории
Специалисты с опытом от 5 лет. Уверенно работают со сложными случаями, владеют сложными манипуляциями и получают отличные отзывы. Подробнее здесь
Стаж работы 12 лет
Принимает в клиниках
Клиника на Героев Труда, 4 (Академгородок)
Клиника на Дуси Ковальчук, 252/1
Категории пациентов
дети
подростки
взрослые
Врач принимает по ДМС
Считаю самым главным в своей работе умение побороть страх пациентов перед стоматологами. Именно тот страх, который прижился у людей ещё со времён советского прошлого! Для этого я непрерывно изучаю новые методики операционных вмешательств, дабы выполнять свою работу максимально быстро, качественно, с наименьшим дискомфортом для пациента! Планируя работу и задавая планку качества её выполнения, всегда задаю себе вопрос: «Как бы я сделал себе?» Пунктуальность, качество и превосходный результат — это тот девиз, с которым я не расстаюсь ни на минуту!

Квалификация

Стоматология хирургическая
Сертификат до 14.11.2030

Основное образование

2013
Высшее - ГБОУ ВПО НГМУ Минздрава России, стоматология

Повышение квалификации, дополнительное образование

2016
ГБОУ ДПО НГИУВ МИНЗДРАВА РОССИИ, стоматология хирургическая
2020
Сертификационный курс Министерства здравоохранения РФ «Диагностика, лечение, профилактика новой коронавирусной инфекции (COVID-19) в первичной медико-санитарной помощи»
Профессиональные навыки
Комплексная подготовка и проведение имплантации
Проведение зубосохраняющих операций
Лечение под наркозом
Удаление зубов любой сложности
Анализ компьютерной томографии и составление плана лечения
Результаты лечения пациентов
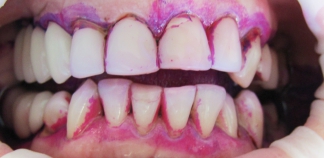
До лечения

Жалоба на плохое состояние нижних зубов.

Как лечили

Пролечен кариес под микроскопом и установлены импланты. Проведена хирургическая пластика десны. Протезирование коронками из диоксида циркония.

Лечащие врачи
ЛОМАКИН Андрей Сергеевич, ТАЯНОВ Станислав Викторович, ВОЛКОВ Вячеслав Олегович, МОРОЗОВ Дмитрий Владимирович
До лечения

Жалобы на некрасивую улыбку.

Как лечили

Пролечен кариес, проведено отбеливание и коррекция десневого края.

Лечащие врачи
КОСИЦЫНА Ирина Геннадьевна, ВОЛКОВ Вячеслав Олегович
До лечения

Пришли с направлением от ортодонта для удаления восьмёрок.
Пациенту 24 года.

Как лечили

Смещен зуб от нерва с помощью ортодонтического минивинта. После выравнивания восьмого зуба было проведено удаление.
Лечение проведено в течение месяца.

Лечащий врач

ВОЛКОВ Вячеслав Олегович

До лечения

Жалобы на воспаление десны, подвижность зубов, запах изо рта.
Пациенту 68 лет.

Как лечили

Проведено лечение тяжелого пародонтита. Нарощена костная ткань в зоне зубов 3, 4, 5.
Лечение проведено в течение восьми месяцев.

Лечащий врач

ВОЛКОВ Вячеслав Олегович

Отзывы пациентов
П*ци*нт
04.05.2025
Волков действительно мастер своего дела! У него лёгкая рука, и я даже не почувствовал уколы, когда делали анестезию. Процедура удаления зуба прошла совершенно безболезненно. Большое ему спасибо!
Ирина Юрьевна
14.04.2025
Лечила пульпит сразу нескольких зубов в Дентал-сервисе, когда клиника только-только сформировалась (90-е годы), еще не имела такого современного оборудования и даже не располагалась на Героев Труда, 4. Но врачи-стоматологи...
П*ци*нт
15.03.2025
Это был мой первый визит к нему, и я была приятно удивлена его добротой и вниманием. Он всегда старается успокоить пациента перед любыми процедурами, что для меня, как для человека, который боится стоматологов с детства, было очен...
Анна Д
29.01.2025
Удаляла 2 сложные 8ки у Волкова В.О. Это был 5й по счету доктор, у которого получила консультацию и если до этого было очень страшно и переживательно, то после консультации с Вячеславом Олеговичем я сразу решилась на удаление. Вос...
Ольга
14.04.2024
Здравствуйте! Огромная благодарность терапевтам, хирургам и ортопедам данной клиники - профессионализм и аккуратность, очень подробно рассказывают и объясняют все манипуляции, цену озвучивают заранее (есть рассрочка!). Дев...
Акции с участием врача
Смотреть все
Бесплатная консультация по имплантации и КТ
Вернем здоровье и красоту вашей улыбки!
Реклама ООО "Дентал-Сервис Бердск" ИНН 544525957, erid: 2VfnxwD8CRn

20 августа 2025-30 июня 2026

ВОЛКОВ Вячеслав Олегович — имплантолог, стоматолог-хирург, детский стоматолог-хирург, врач высшей категории в сети стоматологических клиник Дентал-Сервис. Стаж работы 12 лет. Ведет прием у пациентов: взрослые, дети, подростки. Принимает по ДМС. Оказывает услуги: удаление молочных зубов, удаление зубов, хирургическая стоматология, удаление зубов мудрости, удаление корня зуба, удаление кисты зуба, имплантация all-on-4, имплантация зубов, одномоментная имплантация, реконструкция костной ткани, имплантация, системы имплантации, цифровая имплантация, имплантация во сне. Профессиональные навыки: комплексная подготовка и проведение имплантации, проведение зубосохраняющих операций, лечение под наркозом, удаление зубов любой сложности, анализ компьютерной томографии и составление плана лечения.

Врач высшей категории принимает по повышенному прайсу

Услуга
Цена, руб.

Лечение зубов под микроскопом

Апикальная хирургия. Хирургический и терапевтический этап в области фронтальных зубов
1ый этап хирургический: резекция верхушки корня зуба, цистэктомия, наложение шва на слизистую оболочку рта. 2ой этап терапевтический: инструментальная и медикаментозная обработка корневого канала (ретропрепарирование), закрытие перфорации стенки корневого канала зуба (пломбирование МТА, биокерамикой)
от 44 000 руб.

Хирургическая стоматология

Прием врача-стоматолога-хирурга первичный
от 1 000 руб.
Удаление постоянного зуба (без учета анестезии)
от 6 000 руб.
Удаление зуба мудрости (восьмерки) (без учета анестезии)
от 6 000 руб.
Удаление постоянного зуба средней сложности
от 7 700 руб.
Удаление постоянного зуба сложное с разъединением корней
от 10 100 руб.
Удаление ретинированного, дистопированного или сверхкомплектного зуба (без учета анестезии)
от 16 500 руб.
Лечение периостита (без учета анестезии)
Вскрытие подслизистого или поднадкостничного очага воспаления (флюса) в полости рта.
от 2 700 руб.
Лечение перикоронита (без учета анестезии)
В процедуру входит: промывание, рассечение и/или иссечение капюшона
от 5 000 руб.
Гингивэктомия в области одного зуба (без учета анестезии)
Удаление разросшихся мягких тканей десен.
от 4 000 руб.
Вскрытие и дренирование абсцесса полости рта (фурункула)
от 4 200 руб.
Гингивопластика
Пластика мягких тканей при имплантации, костной пластике, изменении фенотипа десны
от 28 600 руб.
Синус-лифтинг (костная пластика, остеопластика), открытый, в области одного зуба
Наращивание костной ткани в области, контактирующей с гайморовыми пазухами.
от 89 100 руб.
Восстановление альвеолярного отростка (в области 1-2 зубов) аутотрансплантом
Восстановление альвеолярного отростка в области 1-2 зубов аутотрансплантом. Альвеолярный отросток — анатомическая часть верхней и нижней челюстей, несущая на себе зубы.
от 95 700 руб.
Удаление экзостоза, хондромы
от 4 300 руб.
Удаление новообразования мягких тканей (слизистой полости рта)
от 8 700 руб.
Удлинение клинической коронки
Лоскутная операция в полости рта по удлинение клинической коронки
от 12 100 руб.
Вестибулопластика (1 челюсть)
от 13 900 руб.
Удаление зубного имплантата (без учета анестезии)
от 16 200 руб.
Оказание неотложной стоматологической помощи (без учета анестезии)
от 4 000 руб.

Дентальная имплантация

Прием врача-стоматолога по имплантации
Консультация по дентальной имплантации проводится врачом стоматологом-хирургом/cтоматологом-ортопедом
бесплатно
Система имплантации Implantium (Корея). Имплантат + коронка
Включает хирургический и ортопедический этап системой Implantium.
Этап I. Внутрикостная дентальная имплантация
Этап II. Протезирование бокового зуба коронкой из диоксида циркония, с абатментом
от 74 000 руб.
Система имплантации AnyOne (Ю.Корея). Имплантат + коронка
Включает хирургический и ортопедический этап системой AnyOne:
Этап I. Внутрикостная дентальная имплантация
Этап II. Протезирование бокового зуба коронкой из диоксида циркония, с абатментом
от 85 600 руб.
Система имплантации Renova (США). Имплантат + коронка
Включает хирургический и ортопедический этап системой Renova:
Этап I. Внутрикостная дентальная имплантация
Этап II. Протезирование бокового зуба коронкой из диоксида циркония, с абатментом
от 101 900 руб.
Система имплантации Medentika (Германия). Имплантат + коронка
Включает хирургический и ортопедический этап системой Medentika:
Этап I. Внутрикостная дентальная имплантация
Этап II. Протезирование бокового зуба коронкой из диоксида циркония, с абатментом
от 108 800 руб.
Системы имплантации Astra Tech (Швеция) или Nobel Biocare (Швеция). Имплантат + коронка
Включает хирургический и ортопедический этап системой Astra Tech или Nobel Biocare:
Этап I. Внутрикостная дентальная имплантация
Этап II. Протезирование бокового зуба коронкой из диоксида циркония, с абатментом
от 134 000 руб.
Система имплантации Straumann (Швейцария). Имплантат + коронка
Включает хирургический и ортопедический этап системой Straumann:
Этап I. Внутрикостная дентальная имплантация
Этап II. Протезирование бокового зуба коронкой из диоксида циркония, с абатментом
от 157 200 руб.
Одномоментная имплантация
Удаление и установка имплантата за один прием. Возможно к установке системы имплантации AnyOne, Renova, Astra Tech, Nobel Biocare, Straumann
от 60 100 руб.
Хирургический и ортопедический этап имплантации по системе «Все-на-четырех»
Входит в стоимость минимума: установка 4 единиц имплантов по цифровому хирургическому шаблону + полное съемное протезирование из пластмассы (временные коронки: 4 ед на имплатах, 8 ед подвесных, 4 единицы аббатментов, литая балка)
от 485 500 руб.
Аугментация альвеолярногно отростка (в пределах одного зуба) костным материалом
от 40 500 руб.
Синус-лифтинг (костная пластика, остеопластика), открытый, в области одного зуба
Наращивание костной ткани в области, контактирующей с гайморовыми пазухами
от 89 100 руб.

Детская стоматология

Удаление подвижного молочного зуба (без учета анестезии)
от 2 800 руб.
Удаление неподвижного молочного зуба (без учета анестезии)
от 4 200 руб.
Удерживатель пространства при ранней потере зуба
Предотвращает деформацию зубного ряда после раннего удаления молочного зуба.
от 9 500 руб.

Анестезиология

Аппликационная анестезия
от 600 руб.
Инфильтрационная анестезия (одна карпула)
от 1 400 руб.
Проводниковая анестезия (одна карпула)
от 1 400 руб.

Лечение под наркозом

Консультация врача-анестезиолога-реаниматолога
от 2 000 руб.
Медикаментозный сон (вводный наркоз + первый час + постнаркозное наблюдение)
от 15 000 руб.
Ингаляционный наркоз для краткосрочных вмешательств с использованием севорана (до 30 минут)
от 9 200 руб.

Лечение в седации

Консультация врача-анестезиолога-реаниматолога
При стоматологическом наркозе используется безопасный препарат севоран, он погружает человека в глубокий сон.
от 2 000 руб.
Ингаляционный наркоз с использованием закиси азота
Расслабление с помощью успокаивающего газа, который подается через маску на носу. При этом пациент находится в сознании, общается с врачом, нормально дышит.
от 3 600 руб.
Сочетанная анестезия (внутривенная седация 1 час)
Внутривенная седация один час, используется для взрослых.
от 13 500 руб.

Мы предлагаем вам ознакомиться с общим графиком работы врача на месяц. Пожалуйста, обратите внимание, что доступные слоты для записи не указаны. Чтобы узнать свободное время для записи, пожалуйста, свяжитесь с нашим контактным центром. Наши операторы с радостью помогут вам!

Выбрано для предварительной записи:

Другие специалисты

АСОЯН
АСОЯН Александр Эдикович
Стоматолог-ортопед
Клиника на Гребенщикова, 1 (Родники)

Принимает еще в 1 клинике

Записаться
КУЛУБЕКОВ
КУЛУБЕКОВ Руслан Равильевич
Стоматолог-хирург
Челюстно-лицевой хирург
Клиника хирургии лица и стоматологии на Сакко и Ванцетти, 77
Записаться
РЕУТСКИХ (БУТАКОВА)
РЕУТСКИХ (БУТАКОВА) Дарья Викторовна
Стоматолог-терапевт
Детский стоматолог
Клиника хирургии лица и стоматологии на Сакко и Ванцетти, 77
Записаться
ЗАРЕЗНОВА
ЗАРЕЗНОВА Екатерина Андреевна
Ортодонт
Клиника на Героев Труда, 4 (Академгородок)

Принимает еще в 1 клинике

Записаться
ТУРОВА
ТУРОВА Дарья Александровна
Стоматолог-хирург
Клиника хирургии лица и стоматологии на Сакко и Ванцетти, 77
Записаться
МОРОДЕЦКАЯ (ПРОХОРОВА)
МОРОДЕЦКАЯ (ПРОХОРОВА) Александра Владимировна
Стоматолог-терапевт
Клиника на пл. Карла Маркса, 1
Записаться
ТЕРЕЩЕНКО
ТЕРЕЩЕНКО Иван Андреевич
Анестезиолог-реаниматолог
Детская клиника на Ленина, 17
Записаться
СИЛКИНА
СИЛКИНА Анна Александровна
Врач-стоматолог
Детская клиника на Ленина, 17
Записаться
КАЛИНИН
КАЛИНИН Евгений Петрович
Рентгенолог
Клиника хирургии лица и стоматологии на Сакко и Ванцетти, 77
Записаться
АСЛАНОВА Альмина Раминовна
Врач-стоматолог
Профессорская клиника на Николаева, 12/3 (Академгородок)
Записаться
МАТАФОНОВ
МАТАФОНОВ Максим Александрович
Стоматолог-хирург
Клиника на Гребенщикова, 1 (Родники)
Записаться
ФЕДОТОВ
ФЕДОТОВ Евгений Александрович
Анестезиолог-реаниматолог
Клиника на Блюхера, 30
Записаться