Записаться
ВОХ

ВОХ Алёна Николаевна

Стоматолог-хирург
Врач высшей категории
Специалисты с опытом от 5 лет. Уверенно работают со сложными случаями, владеют сложными манипуляциями и получают отличные отзывы. Подробнее здесь
Стаж работы 7 лет
Принимает в клиниках
Клиника на Революции, 10
Детская клиника на Ленина, 17
Клиника на пл. Карла Маркса, 1
Категории пациентов
дети
подростки
взрослые
Врач принимает по ДМС
Моя профессия — это любимое дело! Дело, в котором необходим кропотливый труд, постоянное самосовершенствование, командная работа. Индивидуальный подход, доверие пациента, комфортность лечения и стабильный результат — вот успех стоматологического лечения!

Квалификация

Стоматология хирургическая
Сертификат до 22.04.2030

Основное образование

2018
Высшее - ФГБОУ ВО НГМУ Минздрава России, стоматология
2020
Ординатура - ФГБОУ ВО НГМУ Минздрава России, стоматология хирургическая

Повышение квалификации, дополнительное образование

2020
Сертификационный курс Министерства здравоохранения РФ «Диагностика, лечение, профилактика новой коронавирусной инфекции (COVID-19) в первичной медико-санитарной помощи»
Профессиональные навыки
Комплексная подготовка и проведение имплантации
Проведение зубосохраняющих операций
Лечение под наркозом
Лечение под седацией
Анализ компьютерной томографии и составление плана лечения
Использование процедуры аутотрансплантации
Подготовка к ортодонтическому лечению
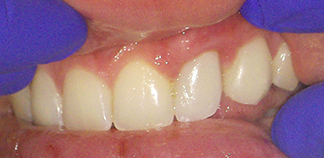
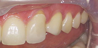
Результаты лечения пациентов
До лечения

Жалобы на оголенный корень зуба.
Пациенту 22 года.

Как лечили

Проведена операция закрытия рецессии десны переднего зуба.
Лечение проведено за четыре визита.

Лечащий врач

ВОХ Алёна Николаевна

Отзывы пациентов
@ Kapa
17.10.2025
Вох Алена Николпевна хирург от Бога, а ассистентка — идеальный напарник!
Всё прошло быстро, аккуратно и с улыбкой. 8рки 2шт минус
Спасибо вам, девушки, за лёгкие руки и тёплое отношение. Семью к вам отправлять буду по ...
Ваш-Красивый Праздник
13.08.2025
Доброе время суток. Выражаем огромную благодарность Вашим детским врачам. Всегда могут найти подход к ребёнку в каком бы настроении он не был, душевно и качественно выполняют свою работу. Мои дети не боятся ходить к зубным врачам....
Пациент
26.04.2025
Врач просто замечательная. Всё разъяснила, показала, рассказала, ответила на все вопросы. Очень вежливая, добрая и располагающая. Нужно было удалить верхний восьмой зуб мудрости - удаление прошло очень легко, безболезненно и быстр...
Пациент
05.12.2024
Были вчера на приеме с сыном, какое чудесное отношение к детям и как важно, чтобы ребенок был спокоен, ведь посещение стоматолога обычно ассоциируется с чем-то неприятным, как минимум. Алена Николаевна быстро нашла подход к ребенк...
Наталья Шерукова
23.08.2024
Хочу выразить огромную благодарность врачу Вох Алёне Николаевне и всему персоналу. Отзыв пишу первый раз, в этом случае не смогла не написать. Сегодня моему ребёнку делали пластику уздечки языка. Все прошло на высшем уровне. Так п...
Акции с участием врача
Смотреть все
–25% на имплантацию Medentika
Выгодная имплантация с коронкой под ключ.
Реклама ООО "Дентал-Сервис Бердск" ИНН 544525957, erid: 2VfnxvYtZ6R
3 декабря 2025-30 апреля 2026
Бесплатная консультация по имплантации и КТ
Вернем здоровье и красоту вашей улыбки!
Реклама ООО "Дентал-Сервис Бердск" ИНН 544525957, erid: 2VfnxwD8CRn

20 августа 2025-30 апреля 2026
Удаление зубов со скидкой до 30% — нежно и легко
На все виды удаления зубов у взрослых.
Реклама ООО "Дентал-Сервис Бердск" ИНН 544525957 erid:2VfnxvsdHCc

15 октября 2025-30 апреля 2026

ВОХ Алёна Николаевна — имплантолог, стоматолог-хирург, детский стоматолог-хирург, пародонтолог-хирург, врач высшей категории в сети стоматологических клиник Дентал-Сервис. Стаж работы 7 лет. Ведет прием у пациентов: дети, взрослые, подростки. Принимает по ДМС. Оказывает услуги: пластика уздечки, удаление молочных зубов, удаление зубов, хирургическая стоматология, удаление зубов мудрости, удаление корня зуба, удаление кисты зуба, имплантация all-on-4, имплантация зубов, одномоментная имплантация, реконструкция костной ткани, имплантация, системы имплантации, цифровая имплантация, имплантация во сне, пародонтология. Профессиональные навыки: комплексная подготовка и проведение имплантации, проведение зубосохраняющих операций, лечение под наркозом, лечение под седацией, анализ компьютерной томографии и составление плана лечения, использование процедуры аутотрансплантации, подготовка к ортодонтическому лечению.

Врач высшей категории принимает по повышенному прайсу

Услуга
Цена, руб.

Лечение зубов под микроскопом

Апикальная хирургия. Хирургический и терапевтический этап в области фронтальных зубов
1ый этап хирургический: резекция верхушки корня зуба, цистэктомия, наложение шва на слизистую оболочку рта. 2ой этап терапевтический: инструментальная и медикаментозная обработка корневого канала (ретропрепарирование), закрытие перфорации стенки корневого канала зуба (пломбирование МТА, биокерамикой).
от 44 000 руб.

Пародонтологический прием

Прием врача-пародонтолога первичный
от 1 000 руб.
Прием врача-стоматолога первичный по заболеваниям слизистой
от 3 900 руб.
Снятие зубных отложений и сглаживание поверхности корня
от 28 600 руб.
Лоскутная операция в пределах одного зуба (без стоимости материалов)
от 11 000 руб.
Пластика рецессии десны (за один зуб)
Наращивание объема мягких тканей в области одного или нескольких зубов.
от 36 300 руб.
Программа фазы контроля инфекции для пациентов с пародонтитом (от 4х визитов)
Профессиональная гигиена полости рта и зубов по протоколу GBT
от 33 600 руб.
Годовая программа для пациентов с пародонтитом (от 2х визитов)
от 30 800 руб.
Лечение гиперчувствительности зубов. Применение реминерализующих препаратов в области зуба
от 700 руб.
Ультразвуковая обработка пародонтального кармана в области зуба
от 1 500 руб.
Пьезотомия в области зуба (без учета стоимости материалов)
Не меняется фенотип ни костной ткани, ни десны. При рецессии, тонкий фенотип костной ткани или десны, требуется добавление материала, зависит от клинического случая.
от 11 000 руб.

Хирургическая стоматология

Прием врача-стоматолога-хирурга первичный
от 1 000 руб.
Оказание неотложной стоматологической помощи (без учета анестезии)
от 4 000 руб.
Удаление постоянного зуба (без учета анестезии)
от 6 000 руб.
Удаление зуба мудрости (восьмерки) (без учета анестезии)
от 6 000 руб.
Удаление ретинированного, дистопированного или сверхкомплектного зуба (без учета анестезии)
от 16 500 руб.
Лечение периостита (без учета анестезии)
Вскрытие подслизистого или поднадкостничного очага воспаления в полости рта
от 2 700 руб.
Лечение перикоронита (без учета анестезии)
В процедуру входит: промывание, рассечение и/или иссечение капюшона
от 5 000 руб.
Гингивэктомия в области одного зуба (без учета анестезии)
Удаление разросшихся мягких тканей десен.
от 4 000 руб.
Вскрытие и дренирование абсцесса полости рта (фурункула)
от 4 200 руб.
Гингивопластика
Пластика мягких тканей при имплантации, костной пластике, изменении фенотипа десны
от 28 600 руб.
Синус-лифтинг (костная пластика, остеопластика), открытый, в области одного зуба
Наращивание костной ткани в области, контактирующей с гайморовыми пазухами.
от 89 100 руб.
Восстановление альвеолярного отростка (в области 1-2 зубов) аутотрансплантом
Восстановление альвеолярного отростка в области 1-2 зубов аутотрансплантом. Альвеолярный отросток — анатомическая часть верхней и нижней челюстей, несущая на себе зубы.
от 95 700 руб.
Удаление экзостоза, хондромы
от 4 300 руб.
Удаление новообразования мягких тканей (слизистой полости рта)
от 8 700 руб.
Удлинение клинической коронки
Лоскутная операция в полости рта по удлинение клинической коронки
от 12 100 руб.
Вестибулопластика (1 челюсть)
от 13 900 руб.
Удаление постоянного зуба средней сложности
от 7 700 руб.
Удаление постоянного зуба сложное с разъединением корней
от 10 100 руб.
Удаление зубного имплантата
Стоимость указана без учета анестезии.
от 16 200 руб.

Хирургия полости рта

Пластика уздечки языка (рассечение) (без учета анестезии)
от 2 500 руб.
Пластика уздечки языка (поперечное иссечение) (без учета анестезии)
от 7 000 руб.
Пластика уздечки верхней губы (без учета анестезии)
от 7 000 руб.
Пластика уздечки языка (функциональная миофренулопластика языка)
Авторская методика. Во время процедуры работаем не только с самой уздечкой, но и с тканями, которые находятся чуть глубже — с мышцами языка. Проведение процедуры позволяет языку уйти наверх и прижаться к небу, то есть занять свое законное физиологическое положение.
от 48 000 руб.

Дентальная имплантация

Прием врача стоматолога по имплантации
Консультация по дентальной имплантации проводится врачом стоматологом-хирургом/cтоматологом-ортопедом.
бесплатно
Система имплантации Implantium (Ю.Корея). Хирургический этап
Внутрикостная дентальная имплантация системой Implantium
от 37 000 руб.
Система имплантации Implantium (Ю.Корея). Ортопедический этап
Протезирование бокового зуба коронкой из диоксида циркония, с абатментом из системы Implantium
от 37 000 руб.
Система имплантации Implantium (Корея). Имплантат + коронка
Включает хирургический и ортопедический этап системой Implantium
от 74 000 руб.
Система имплантации AnyOne (Ю.Корея). Хирургический этап
Внутрикостная дентальная имплантация системой AnyOne
от 42 800 руб.
Система имплантации AnyOne (Ю.Корея). Ортопедический этап
Протезирование бокового зуба коронкой из диоксида циркония, с абатментом из системы AnyOne
от 42 800 руб.
Система имплантации AnyOne (Ю.Корея). Имплантат + коронка
Включает хирургический и ортопедический этап системой AnyOne
от 85 600 руб.
Система имплантации Renova (США). Хирургический этап
Внутрикостная дентальная имплантация системой Renova
от 47 500 руб.
Система имплантации Renova (США). Ортопедический этап
Протезирование бокового зуба коронкой из диоксида циркония, с абатментом из системы Renova
от 54 400 руб.
Система имплантации Renova (США). Имплантат + коронка
Включает хирургический и ортопедический этап системой Renova
от 101 900 руб.
Системы имплантации Medentika (Германия). Хирургический этап
Внутрикостная дентальная имплантация системой Medentika
от 54 400 руб.
Система имплантации Medentika (Германия). Ортопедический этап
Протезирование бокового зуба коронкой из диоксида циркония, с абатментом из системы Medentika
от 54 400 руб.
Системы имплантации Medentika (Германия). Имплантат + коронка
Включает хирургический и ортопедический этап системой Medentika
от 108 800 руб.
Системы имплантации Astra Tech (Швеция) или Nobel Biocare (Швеция). Хирургический этап
Внутрикостная дентальная имплантация системой Astra Tech или Nobel Biocare
от 67 000 руб.
Системы имплантации Astra Tech (Швеция) или Nobel Biocare (Швеция). Ортопедический этап
Протезирование бокового зуба коронкой из диоксида циркония, с абатментом из системы Astra Tech или Nobel Biocare
от 67 000 руб.
Системы имплантации Astra Tech (Швеция) или Nobel Biocare (Швеция). Имплантат + коронка
Включает хирургический и ортопедический этап системой Astra Tech или Nobel Biocare
от 134 000 руб.
Системы имплантации Straumann (Швейцария). Хирургический этап
Внутрикостная дентальная имплантация системой Straumann
от 78 600 руб.
Системы имплантации Straumann (Швейцария). Ортопедический этап
Протезирование бокового зуба коронкой из диоксида циркония, с абатментом из системы Straumann
от 78 600 руб.
Системы имплантации Straumann (Швейцария). Имплантат + коронка
Включает хирургический и ортопедический этап системой Straumann
от 157 200 руб.
Одномоментная имплантация
Удаление и установка имплантата за один прием. Возможно к установке системы имплантации AnyOne, Renova, Astra Tech, Nobel Biocare, Straumann.
от 60 100 руб.
Хирургический и ортопедический этап имплантации по системе «Все-на-четырех»
Входит в стоимость минимума: установка 4 единиц имплантов по цифровому хирургическому шаблону + полное съемное протезирование из пластмассы (временные коронки: 4 ед на имплатах, 8 ед подвесных, 4 единицы аббатментов, литая балка).
от 485 500 руб.
Аугментация альвеолярногно отростка (в пределах одного зуба) костным материалом
от 40 500 руб.
Синус-лифтинг (костная пластика, остеопластика), открытый, в области одного зуба
Наращивание костной ткани в области, контактирующей с гайморовыми пазухами.
от 89 100 руб.

Детская стоматология

Удаление подвижного молочного зуба (без учета анестезии)
от 2 800 руб.
Удаление неподвижного молочного зуба (без учета анестезии)
от 4 200 руб.
Удерживатель пространства при ранней потере зуба
Предотвращает деформацию зубного ряда после раннего удаления молочного зуба.
от 9 500 руб.

Анестезиология

Аппликационная анестезия
от 600 руб.
Инфильтрационная анестезия (одна карпула)
от 1 400 руб.
Проводниковая анестезия (одна карпула)
от 1 400 руб.

Лечение под наркозом

Консультация врача-анестезиолога-реаниматолога
от 2 000 руб.
Медикаментозный сон (вводный наркоз + первый час + постнаркозное наблюдение)
от 15 000 руб.
Ингаляционный наркоз для краткосрочных вмешательств с использованием севорана (до 30 минут)
от 9 200 руб.

Лечение в седации

Консультация врача-анестезиолога-реаниматолога
При стоматологическом наркозе используется безопасный препарат севоран, он погружает человека в глубокий сон.
от 2 000 руб.
Ингаляционный наркоз с использованием закиси азота
Расслабление с помощью успокаивающего газа, который подается через маску на носу. При этом пациент находится в сознании, общается с врачом, нормально дышит.
от 3 600 руб.
Сочетанная анестезия (внутривенная седация 1 час)
Внутривенная седация один час, используется для взрослых.
от 13 500 руб.

Мы предлагаем вам ознакомиться с общим графиком работы врача на месяц. Пожалуйста, обратите внимание, что доступные слоты для записи не указаны. Чтобы узнать свободное время для записи, пожалуйста, свяжитесь с нашим контактным центром. Наши операторы с радостью помогут вам!

Выбрано для предварительной записи:

Другие специалисты

МАРЧЕНКО (КОСЕВА)
МАРЧЕНКО (КОСЕВА) Полина Сергеевна
Стоматолог-хирург
Клиника на пл. Карла Маркса, 1
Записаться
КУЛИМОВА
КУЛИМОВА Наталья Юрьевна
Стоматолог-хирург
Клиника на Никольском проспекте, 1 (Кольцово)
Записаться
ГАТИЛОВА
ГАТИЛОВА Татьяна Андреевна
Стоматолог-хирург
Челюстно-лицевой хирург
Клиника на Блюхера, 30

Принимает еще в 1 клинике

Записаться