Записаться
КУЛИМОВА

КУЛИМОВА Наталья Юрьевна

Стоматолог-хирург
Стаж работы 8 лет
Принимает в клиниках
Клиника на Никольском проспекте, 1 (Кольцово)
Категории пациентов
дети
подростки
взрослые
Врач принимает по ДМС

Во всяком деле, чтобы добиться успеха, нужно: 10% таланта и 90% упорства, настойчивости, любопытства и некоторая доля безумия. Медицина — это искусство, это вдохновение, это фундаментальные знания и опыт многих лет, это лавирование между чёткими протоколами и поисками новых решений с индивидуальным подходом.

Для каждого человека поход к хирургу — это страшно. Изменения — это всегда страшно. Но никто не изменит за вас вашу жизнь. Вы понимаете, какой должны сделать выбор, но несмотря на страх, движетесь вперед. Это главное правило успеха. На пути к нему я буду рядом с вами.

Квалификация

Стоматология хирургическая
Сертификат до 25.07.2028

Основное образование

2016
Высшее - ГБОУ ВПО НГМУ Минздрава России, стоматология
2018
Ординатура - ФГБОУ ВО НГМУ Минздрава России, стоматология хирургическая

Повышение квалификации, дополнительное образование

2020
Сертификационный курс Министерства здравоохранения РФ «Диагностика, лечение, профилактика новой коронавирусной инфекции (COVID-19) в первичной медико-санитарной помощи»
Профессиональные навыки
Лечение под наркозом
Лечение под седацией
Анализ компьютерной томографии и составление плана лечения
Удаление зубов любой сложности
Комплексная подготовка и проведение имплантации
Проведение зубосохраняющих операций
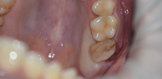
Результаты лечения пациентов
До лечения

Пришли с жалобой на сколотый зуб.
Пациенту 17 лет.

Как лечили

Удален сколотый седьмой зуб. Проведена аутотрансплантация восьмого зуба в подготовленную лунку. Через три месяца жалоб от пациента не поступило.

Лечащий врач

КУЛИМОВА Наталья Юрьевна

Отзывы пациентов
Любовь Назаренко
10.10.2025
Здравствуйте!
Хочу выразить огромную благодарность хирургу-Кулимовой Наталье Юрьевне. Она большой профессионал, мастер своего дела и очень душевный человек.
Она провела мне операцию по удалению 3-х зубов с последующе...
Пациент
24.08.2025
Здравствуйте, моя история... Как известно, все мы не очень любим ходить к стоматологу. И вот, наконец-то, по совету знакомых, записалась на прием. Пришла, соответственно, с трясущимися руками. Сижу... Жду... Встретила меня Наталья...
Пациент
03.04.2025
Наталья Юрьевна Кулимова действительно помогла мне избавиться от мучительной зубной боли. Лечение прошло быстро, безболезненно и очень качественно. Я чувствовал себя комфортно на приеме, и общение с ней было приятным. Я остался оч...
Акции с участием врача
Смотреть все
–25% на имплантацию Medentika
Выгодная имплантация с коронкой под ключ.
Реклама ООО "Дентал-Сервис Бердск" ИНН 544525957, erid: 2VfnxvYtZ6R
3 декабря 2025-30 апреля 2026
Бесплатная консультация по имплантации и КТ
Вернем здоровье и красоту вашей улыбки!
Реклама ООО "Дентал-Сервис Бердск" ИНН 544525957, erid: 2VfnxwD8CRn

20 августа 2025-30 апреля 2026

КУЛИМОВА Наталья Юрьевна — пародонтолог-хирург, стоматолог-хирург, пародонтолог в сети стоматологических клиник Дентал-Сервис. Стаж работы 8 лет. Ведет прием у пациентов: взрослые, дети, подростки. Принимает по ДМС. Оказывает услуги: пародонтология, удаление зубов, хирургическая стоматология, удаление зубов мудрости, удаление корня зуба, удаление кисты зуба, имплантация all-on-4, имплантация зубов, одномоментная имплантация, реконструкция костной ткани, имплантация, системы имплантации, цифровая имплантация, имплантация во сне. Профессиональные навыки: лечение под наркозом, лечение под седацией, анализ компьютерной томографии и составление плана лечения, удаление зубов любой сложности, комплексная подготовка и проведение имплантации, проведение зубосохраняющих операций.

Услуга
Цена, руб.

Лечение зубов под микроскопом

Апикальная хирургия. Хирургический и терапевтический этап в области фронтальных зубов
1ый этап хирургический: резекция верхушки корня зуба, цистэктомия, наложение шва на слизистую оболочку рта. 2ой этап терапевтический: инструментальная и медикаментозная обработка корневого канала (ретропрепарирование), закрытие перфорации стенки корневого канала зуба (пломбирование МТА, биокерамикой).
от 40 000 руб.

Пародонтологический прием

Прием врача-пародонтолога первичный
от 900 руб.
Прием врача-стоматолога первичный по заболеваниям слизистой
от 3 500 руб.
Снятие зубных отложений и сглаживание поверхности корня
от 26 000 руб.
Лоскутная операция в пределах одного зуба (без стоимости материалов)
от 10 000 руб.
Пластика рецессии десны (за один зуб)
Наращивание объема мягких тканей в области одного или нескольких зубов.
от 33 000 руб.
Программа фазы контроля инфекции для пациентов с пародонтитом (от 4х визитов)
Профессиональная гигиена полости рта и зубов по протоколу GBT
от 30 400 руб.
Годовая программа для пациентов с пародонтитом (от 2х визитов)
от 28 000 руб.
Лечение гиперчувствительности зубов. Применение реминерализующих препаратов в области зуба
от 600 руб.
Ультразвуковая обработка пародонтального кармана в области зуба
от 1 300 руб.
Консервативное лечение переимплантита (за 1 имплантат)
от 2 300 руб.
Пьезотомия в области зуба (без учета стоимости материалов)
Не меняется фенотип ни костной ткани, ни десны. При рецессии, тонкий фенотип костной ткани или десны, требуется добавление материала, зависит от клинического случая.
от 10 000 руб.

Хирургическая стоматология

Прием врача-стоматолога-хирурга первичный
от 900 руб.
Оказание неотложной стоматологической помощи (без учета анестезии)
от 3 700 руб.
Удаление постоянного зуба (без учета анестезии)
от 5 400 руб.
Удаление зуба мудрости (восьмерки) (без учета анестезии)
от 5 400 руб.
Удаление ретинированного, дистопированного или сверхкомплектного зуба (без учета анестезии)
от 15 000 руб.
Лечение периостита (без учета анестезии)
Вскрытие подслизистого или поднадкостничного очага воспаления в полости рта
от 2 400 руб.
Лечение перикоронита (без учета анестезии)
В процедуру входит: промывание, рассечение и/или иссечение капюшона
от 4 500 руб.
Гингивэктомия в области одного зуба (без учета анестезии)
Удаление разросшихся мягких тканей десен.
от 3 600 руб.
Вскрытие и дренирование абсцесса полости рта (фурункула)
от 3 800 руб.
Гингивопластика
Пластика мягких тканей при имплантации, костной пластике, изменении фенотипа десны
от 26 000 руб.
Синус-лифтинг (костная пластика, остеопластика), открытый, в области одного зуба
Наращивание костной ткани в области, контактирующей с гайморовыми пазухами.
от 81 000 руб.
Восстановление альвеолярного отростка (в области 1-2 зубов) аутотрансплантом
Восстановление альвеолярного отростка в области 1-2 зубов аутотрансплантом. Альвеолярный отросток — анатомическая часть верхней и нижней челюстей, несущая на себе зубы.
от 87 000 руб.
Удаление экзостоза, хондромы
от 3 900 руб.
Удаление новообразования мягких тканей (слизистой полости рта)
от 7 900 руб.
Удлинение клинической коронки
Лоскутная операция в полости рта по удлинение клинической коронки
от 11 000 руб.
Вестибулопластика (1 челюсть)
от 12 600 руб.
Удаление постоянного зуба средней сложности
от 7 000 руб.
Удаление постоянного зуба сложное с разъединением корней
от 9 100 руб.
Удаление зубного имплантата
Стоимость указана без учета анестезии.
от 14 700 руб.

Дентальная имплантация

Прием врача стоматолога по имплантации
Консультация по дентальной имплантации проводится врачом стоматологом-хирургом/cтоматологом-ортопедом.
бесплатно
Система имплантации Implantium (Ю.Корея). Хирургический этап
Внутрикостная дентальная имплантация системой Implantium
от 33 600 руб.
Система имплантации Implantium (Ю.Корея). Ортопедический этап
Протезирование бокового зуба коронкой из диоксида циркония, с абатментом из системы Implantium
от 33 600 руб.
Система имплантации Implantium (Корея). Имплантат + коронка
Включает хирургический и ортопедический этап системой Implantium
от 67 200 руб.
Система имплантации AnyOne (Ю.Корея). Хирургический этап
Внутрикостная дентальная имплантация системой AnyOne
от 38 900 руб.
Система имплантации AnyOne (Ю.Корея). Ортопедический этап
Протезирование бокового зуба коронкой из диоксида циркония, с абатментом из системы AnyOne
от 38 900 руб.
Система имплантации AnyOne (Ю.Корея). Имплантат + коронка
Включает хирургический и ортопедический этап системой AnyOne
от 77 800 руб.
Система имплантации Renova (США). Хирургический этап
Внутрикостная дентальная имплантация системой Renova
от 43 100 руб.
Система имплантации Renova (США). Ортопедический этап
Протезирование бокового зуба коронкой из диоксида циркония, с абатментом из системы Renova
от 49 400 руб.
Система имплантации Renova (США). Имплантат + коронка
Включает хирургический и ортопедический этап системой Renova
от 92 500 руб.
Системы имплантации Medentika (Германия). Хирургический этап
Внутрикостная дентальная имплантация системой Medentika
от 49 400 руб.
Система имплантации Medentika (Германия). Ортопедический этап
Протезирование бокового зуба коронкой из диоксида циркония, с абатментом из системы Medentika
от 49 400 руб.
Системы имплантации Medentika (Германия). Имплантат + коронка
Включает хирургический и ортопедический этап системой Medentika
от 98 800 руб.
Системы имплантации Astra Tech (Швеция) или Nobel Biocare (Швеция). Хирургический этап
Внутрикостная дентальная имплантация системой Astra Tech или Nobel Biocare
от 60 900 руб.
Системы имплантации Astra Tech (Швеция) или Nobel Biocare (Швеция). Ортопедический этап
Протезирование бокового зуба коронкой из диоксида циркония, с абатментом из системы Astra Tech или Nobel Biocare
от 60 900 руб.
Системы имплантации Astra Tech (Швеция) или Nobel Biocare (Швеция). Имплантат + коронка
Включает хирургический и ортопедический этап системой Astra Tech или Nobel Biocare
от 121 800 руб.
Системы имплантации Straumann (Швейцария). Хирургический этап
Внутрикостная дентальная имплантация системой Straumann
от 71 400 руб.
Системы имплантации Straumann (Швейцария). Ортопедический этап
Протезирование бокового зуба коронкой из диоксида циркония, с абатментом из системы Straumann
от 71 400 руб.
Системы имплантации Straumann (Швейцария). Имплантат + коронка
Включает хирургический и ортопедический этап системой Straumann
от 142 800 руб.
Одномоментная имплантация
Удаление и установка имплантата за один прием. Возможно к установке системы имплантации AnyOne, Renova, Astra Tech, Nobel Biocare, Straumann.
от 54 600 руб.
Хирургический и ортопедический этап имплантации по системе «Все-на-четырех»
Входит в стоимость минимума: установка 4 единиц имплантов по цифровому хирургическому шаблону + полное съемное протезирование из пластмассы (временные коронки: 4 ед на имплатах, 8 ед подвесных, 4 единицы аббатментов, литая балка).
от 448 400 руб.
Аугментация альвеолярногно отростка (в пределах одного зуба) костным материалом
от 36 800 руб.
Синус-лифтинг (костная пластика, остеопластика), открытый, в области одного зуба
Наращивание костной ткани в области, контактирующей с гайморовыми пазухами.
от 81 000 руб.

Анестезиология

Аппликационная анестезия
от 550 руб.
Инфильтрационная анестезия (одна карпула)
от 1 300 руб.
Проводниковая анестезия (одна карпула)
от 1 300 руб.

Лечение под наркозом

Консультация врача-анестезиолога-реаниматолога
от 2 000 руб.
Медикаментозный сон (вводный наркоз + первый час + постнаркозное наблюдение)
от 15 000 руб.
Ингаляционный наркоз для краткосрочных вмешательств с использованием севорана (до 30 минут)
от 9 200 руб.

Лечение в седации

Консультация врача-анестезиолога-реаниматолога
При стоматологическом наркозе используется безопасный препарат севоран, он погружает человека в глубокий сон.
от 2 000 руб.
Сочетанная анестезия (внутривенная седация 1 час)
Внутривенная седация один час, используется для взрослых.
от 13 500 руб.

Мы предлагаем вам ознакомиться с общим графиком работы врача на месяц. Пожалуйста, обратите внимание, что доступные слоты для записи не указаны. Чтобы узнать свободное время для записи, пожалуйста, свяжитесь с нашим контактным центром. Наши операторы с радостью помогут вам!

Выбрано для предварительной записи:

Другие специалисты

ДЕККЕРТ
ДЕККЕРТ Елена Анатольевна
Стоматолог-терапевт
Клиника на Революции, 10
Записаться
КОНФЕДЕРАТОВА
КОНФЕДЕРАТОВА Яна Сергеевна
Стоматолог-терапевт
Клиника на Героев Труда, 4 (Академгородок)
Записаться
ЭЙХМАН
ЭЙХМАН Наталья Георгиевна
Зубной врач
Клиника на Революции, 10
Записаться
ШЕЛЕПОВА (ОМЕЛЬЧЕНКО)
ШЕЛЕПОВА (ОМЕЛЬЧЕНКО) Анастасия Сергеевна
Стоматолог-терапевт
Клиника на Вокзальной, 50/1 (Бердск)
Записаться
ШУВАЛОВА
ШУВАЛОВА Юлия Сергеевна
Гигиенист
Клиника на Блюхера, 30
Записаться
ГОГЕНКО
ГОГЕНКО Полина Алексеевна
Гигиенист
Клиника на Дуси Ковальчук, 252/1
Записаться
СЕМЕНИХИНА
СЕМЕНИХИНА Марина Владимировна
Гигиенист
Клиника на Вокзальной, 50/1 (Бердск)
Записаться
САБЛИНА (СТЕПАНЕНКО)
САБЛИНА (СТЕПАНЕНКО) Мариамь Дмитриевна
Гигиенист
Клиника на Дуси Ковальчук, 252/1
Записаться
ЛОНЧАКОВА
ЛОНЧАКОВА Анжелика Вячеславовна
Гигиенист
Клиника на Героев Труда, 4 (Академгородок)
Записаться
САШНИНА
САШНИНА Инна Валерьевна
Стоматолог-хирург
Клиника на Блюхера, 30
Записаться
ЧЕРНИКОВ
ЧЕРНИКОВ Дмитрий Сергеевич
Гигиенист
Профессорская клиника на Николаева, 12/3 (Академгородок)
Записаться
МАЖУТА
МАЖУТА Эльвира Романовна
Врач-стоматолог
Гигиенист
Клиника на Гребенщикова, 1 (Родники)
Записаться