Записаться
БОЙКО

БОЙКО Артемий Петрович

Стоматолог-хирург
Ведущий специалист
Опытные специалисты со стажем от 7 лет. Ведут сложные случаи, обучают врачей и владеют продвинутыми методиками. Подробнее здесь
Стаж работы 23 года
Принимает в клиниках
Клиника на пл. Карла Маркса, 1
Категории пациентов
дети
подростки
взрослые

Есть такая пословица: относись к окружающим так, как хочешь, чтобы относились к тебе. Ее хорошо можно применить по отношению к стоматологии: я всегда стараюсь оказывать лечение такого качества, которое бы хотел получить сам.

Для меня самое сложное, не сама операция, как многие, думают, а установка контакта с пациентом. Потому что чем быстрее врач и пациент станут одной командой, тем легче и позитивнее пройдет процесс лечения.

При этом нужно понимать, что работа хирурга всегда связана с травмой, как с физической, так и с психологической. Лучшая операция – это та, которой удалось избежать. Но если так не получается, то в работе я всегда стараюсь эту травму уменьшить, если это возможно, не снижая при этом качества результата.

Квалификация

Стоматология хирургическая
Сертификат до 27.05.2030
Организация здравоохранения и общественное здоровье
Сертификат до 21.06.2027

Основное образование

2003
Высшее -ГОУ ВПО НГМА МЗ РФ, стоматология
2005
Ординатура — ГОУ ВПО НГМА Росздрава, стоматология хирургическая

Повышение квалификации, дополнительное образование

2020
Сертификационный курс Министерства здравоохранения РФ «Диагностика, лечение, профилактика новой коронавирусной инфекции (COVID-19) в первичной медико-санитарной помощи»
2020
Неотложная помощь в стоматологической практике, эффективная, комфортная и безопасная анестезия

2021
преподаватель НМСИ "ДентМастер"
Профессиональные навыки
Комплексная подготовка и проведение имплантации
Анализ компьютерной томографии и составление плана лечения
Проведение зубосохраняющих операций
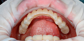
Результаты лечения пациентов
До лечения

Жалоба на отсутствие нормальных жевательных зубов.

Как лечили

Удалены корни разрушенных зубов. Установлены импланты, проведена художественная реставрация зубов.

Лечащий врач

БОЙКО Артемий Петрович

До лечения

Жалоба на отсутствие зубов длительное время.
Пациенту 63 года.

Как лечили

Из-за долго отсутствия нижних зубов и дефицита костной ткани удалены оставшиеся зубы. На нижнюю челюсть установлены четыре импланта и временная ортопедическая конструкция. В дальнейшем будет установлен постоянный протез.

Лечащий врач

БОЙКО Артемий Петрович

Отзывы пациентов
Ольга Драгун
16.03.2026
Добрый день! Хотелось бы выразить огромную благодарность Бойко Артемию Петровичу, его ассистентам за подготовку и проведение имплантации. Артемий Петрович рассказал о преимуществах имплантационных систем, особенностях, перед опера...
Колесникова Юлия Владимировна
27.11.2025
Хочу выразить огромную благодарность врачам клиники, Бойко Артемию Петровичу, Мородецкой Александре Владимировне,Садочкову Алексею Максимовичу за чуткое,внимательное отношение к пациенту,за безболезненное, профессиональное удалени...
Валентина Мустаева
24.09.2025
Делала имплантацию у Бойко Артемия Петровича, все прошло великолепно, анестезию поставили, так, что ничего не почувствовала. Сам прием прошел очень быстро, что я ничего не поняла, моргнула одним глазом, а имплант уже стоит, моргну...
Дмитрий Новоселов
26.08.2025
Мне нужно было срочно удалить все 4 зуба мудрости. У меня было мало времени, и я решил удалить сразу все за раз. Честно говоря, было страшно, потому что я сильно боюсь стоматологов, а до этого встречались не всегда опытные врачи, ...
П*ци*нт
09.02.2025
С детства у меня есть страх перед стоматологами, и я всегда переживал, когда приходилось идти на прием. Но когда мне нужно было удалить зуб, я выбрал именно его. Чесно говоря, я ничего не почувствовал во время процедуры! Врач силь...
Акции с участием врача
Смотреть все
Бесплатная консультация по имплантации и КТ
Вернем здоровье и красоту вашей улыбки!
Реклама ООО "Дентал-Сервис Бердск" ИНН 544525957, erid: 2VfnxwD8CRn

20 августа 2025-30 апреля 2026

БОЙКО Артемий Петрович — имплантолог, стоматолог-хирург ведущий специалист в сети стоматологических клиник Дентал-Сервис. Стаж работы 23 года. Ведет прием у пациентов: взрослые, подростки. Оказывает услуги: цифровая имплантация, системы имплантации, реконструкция костной ткани, имплантация, имплантация зубов, одномоментная имплантация, имплантация all-on-4, удаление зубов, хирургическая стоматология, удаление зубов мудрости, удаление корня зуба, удаление кисты зуба, имплантация во сне. Профессиональные навыки: комплексная подготовка и проведение имплантации, анализ компьютерной томографии и составление плана лечения, проведение зубосохраняющих операций.

Врач является ведущим специалистом и принимает по повышенному прайсу

Услуга
Цена, руб.

Лечение зубов под микроскопом

Апикальная хирургия. Хирургический и терапевтический этап в области фронтальных зубов
1ый этап хирургический: резекция верхушки корня зуба, цистэктомия, наложение шва на слизистую оболочку рта. 2ой этап терапевтический: инструментальная и медикаментозная обработка корневого канала (ретропрепарирование), закрытие перфорации стенки корневого канала зуба (пломбирование МТА, биокерамикой).
от 50 000 руб.

Хирургическая стоматология

Прием врача-стоматолога-хирурга первичный
от 1 200 руб.
Оказание неотложной стоматологической помощи (без учета анестезии)
от 4 700 руб.
Удаление постоянного зуба (без учета анестезии)
от 8 000 руб.
Удаление зуба мудрости (восьмерки) (без учета анестезии)
от 8 000 руб.
Удаление ретинированного, дистопированного или сверхкомплектного зуба (без учета анестезии)
от 23 000 руб.
Лечение периостита (без учета анестезии)
Вскрытие подслизистого или поднадкостничного очага воспаления в полости рта
от 3 500 руб.
Лечение перикоронита (без учета анестезии)
В процедуру входит: промывание, рассечение и/или иссечение капюшона
от 6 700 руб.
Гингивэктомия в области одного зуба (без учета анестезии)
Удаление разросшихся мягких тканей десен.
от 4 500 руб.
Вскрытие и дренирование абсцесса полости рта (фурункула)
от 5 600 руб.
Гингивопластика
Пластика мягких тканей при имплантации, костной пластике, изменении фенотипа десны
от 32 500 руб.
Синус-лифтинг (костная пластика, остеопластика), открытый, в области одного зуба
Наращивание костной ткани в области, контактирующей с гайморовыми пазухами.
от 101 300 руб.
Восстановление альвеолярного отростка (в области 1-2 зубов) аутотрансплантом
Восстановление альвеолярного отростка в области 1-2 зубов аутотрансплантом. Альвеолярный отросток — анатомическая часть верхней и нижней челюстей, несущая на себе зубы.
от 108 800 руб.
Удаление экзостоза, хондромы
от 5 800 руб.
Удаление новообразования мягких тканей (слизистой полости рта)
от 11 900 руб.
Удлинение клинической коронки
Лоскутная операция в полости рта по удлинение клинической коронки
от 13 800 руб.
Вестибулопластика (1 челюсть)
от 15 800 руб.
Удаление постоянного зуба средней сложности
от 10 400 руб.
Удаление постоянного зуба сложное с разъединением корней
от 13 500 руб.
Удаление зубного имплантата
Стоимость указана без учета анестезии.
от 18 400 руб.

Дентальная имплантация

Прием врача стоматолога по имплантации
Консультация по дентальной имплантации проводится врачом стоматологом-хирургом/cтоматологом-ортопедом.
бесплатно
Система имплантации Implantium (Ю.Корея). Хирургический этап
Внутрикостная дентальная имплантация системой Implantium
от 42 000 руб.
Система имплантации Implantium (Ю.Корея). Ортопедический этап
Протезирование бокового зуба коронкой из диоксида циркония, с абатментом из системы Implantium
от 42 000 руб.
Система имплантации Implantium (Корея). Имплантат + коронка
Включает хирургический и ортопедический этап системой Implantium
от 84 000 руб.
Система имплантации AnyOne (Ю.Корея). Хирургический этап
Внутрикостная дентальная имплантация системой AnyOne
от 48 700 руб.
Система имплантации AnyOne (Ю.Корея). Ортопедический этап
Протезирование бокового зуба коронкой из диоксида циркония, с абатментом из системы AnyOne
от 48 700 руб.
Система имплантации AnyOne (Ю.Корея). Имплантат + коронка
Включает хирургический и ортопедический этап системой AnyOne
от 97 400 руб.
Система имплантации Renova (США). Хирургический этап
Внутрикостная дентальная имплантация системой Renova
от 53 900 руб.
Система имплантации Renova (США). Ортопедический этап
Протезирование бокового зуба коронкой из диоксида циркония, с абатментом из системы Renova
от 61 800 руб.
Система имплантации Renova (США). Имплантат + коронка
Включает хирургический и ортопедический этап системой Renova
от 115 700 руб.
Системы имплантации Medentika (Германия). Хирургический этап
Внутрикостная дентальная имплантация системой Medentika
от 61 800 руб.
Система имплантации Medentika (Германия). Ортопедический этап
Протезирование бокового зуба коронкой из диоксида циркония, с абатментом из системы Medentika
от 61 800 руб.
Системы имплантации Medentika (Германия). Имплантат + коронка
Включает хирургический и ортопедический этап системой Medentika
от 123 600 руб.
Системы имплантации Astra Tech (Швеция) или Nobel Biocare (Швеция). Хирургический этап
Внутрикостная дентальная имплантация системой Astra Tech или Nobel Biocare
от 76 200 руб.
Системы имплантации Astra Tech (Швеция) или Nobel Biocare (Швеция). Ортопедический этап
Протезирование бокового зуба коронкой из диоксида циркония, с абатментом из системы Astra Tech или Nobel Biocare
от 76 200 руб.
Системы имплантации Astra Tech (Швеция) или Nobel Biocare (Швеция). Имплантат + коронка
Включает хирургический и ортопедический этап системой Astra Tech или Nobel Biocare
от 152 400 руб.
Системы имплантации Straumann (Швейцария). Хирургический этап
Внутрикостная дентальная имплантация системой Straumann
от 89 300 руб.
Системы имплантации Straumann (Швейцария). Ортопедический этап
Протезирование бокового зуба коронкой из диоксида циркония, с абатментом из системы Straumann
от 89 300 руб.
Системы имплантации Straumann (Швейцария). Имплантат + коронка
Включает хирургический и ортопедический этап системой Straumann
от 178 600 руб.
Одномоментная имплантация
Удаление и установка имплантата за один прием. Возможно к установке системы имплантации AnyOne, Renova, Astra Tech, Nobel Biocare, Straumann.
от 68 300 руб.
Хирургический и ортопедический этап имплантации по системе «Все-на-четырех»
Входит в стоимость минимума: установка 4 единиц имплантов по цифровому хирургическому шаблону + полное съемное протезирование из пластмассы (временные коронки: 4 ед на имплатах, 8 ед подвесных, 4 единицы аббатментов, литая балка).
от 540 900 руб.
Аугментация альвеолярногно отростка (в пределах одного зуба) костным материалом
от 46 000 руб.
Синус-лифтинг (костная пластика, остеопластика), открытый, в области одного зуба
Наращивание костной ткани в области, контактирующей с гайморовыми пазухами.
от 101 300 руб.

Анестезиология

Аппликационная анестезия
от 700 руб.
Инфильтрационная анестезия (одна карпула)
от 1 700 руб.
Проводниковая анестезия (одна карпула)
от 1 700 руб.

Лечение под наркозом

Консультация врача-анестезиолога-реаниматолога
от 2 000 руб.
Медикаментозный сон (вводный наркоз + первый час + постнаркозное наблюдение)
от 15 000 руб.
Ингаляционный наркоз для краткосрочных вмешательств с использованием севорана (до 30 минут)
от 9 200 руб.

Лечение в седации

Консультация врача-анестезиолога-реаниматолога
При стоматологическом наркозе используется безопасный препарат севоран, он погружает человека в глубокий сон.
от 2 000 руб.
Сочетанная анестезия (внутривенная седация 1 час)
Внутривенная седация один час, используется для взрослых.
от 13 500 руб.

Мы предлагаем вам ознакомиться с общим графиком работы врача на месяц. Пожалуйста, обратите внимание, что доступные слоты для записи не указаны. Чтобы узнать свободное время для записи, пожалуйста, свяжитесь с нашим контактным центром. Наши операторы с радостью помогут вам!

Выбрано для предварительной записи:

Другие специалисты

БЕЛОБОРОДОВА (РУБЦОВА)
БЕЛОБОРОДОВА (РУБЦОВА) Елена Александровна
Гигиенист
Клиника на Никольском проспекте, 1 (Кольцово)
Записаться
ПАВЛОВСКИХ
ПАВЛОВСКИХ Ксения Евгеньевна
Детский стоматолог
Клиника хирургии лица и стоматологии на Сакко и Ванцетти, 77
Записаться
ЗАЯТУЕВА
ЗАЯТУЕВА Юлия Дамдиновна
Врач-стоматолог
Профессорская клиника на Николаева, 12/3 (Академгородок)
Записаться
КУДРЯВЦЕВА
КУДРЯВЦЕВА Оксана Александровна
Рентгенолаборант
Клиника на Вокзальной, 50/1 (Бердск)
Записаться
БУРКИНА Оксана Геннадьевна
Рентгенолаборант
Клиника на Гребенщикова, 1 (Родники)
Записаться
СИЛКИНА
СИЛКИНА Анна Александровна
Врач-стоматолог
Детская клиника на Ленина, 17
Записаться
АНДРОНОВА (ВИЛЯЙ)
АНДРОНОВА (ВИЛЯЙ) Алёна Анатольевна
Врач-стоматолог
Клиника на пл. Карла Маркса, 1
Записаться
ГОРБАЧЕВА
ГОРБАЧЕВА Ксения Валерьевна
Детский стоматолог
Главный врач Клиники на Гребенщикова, 1
Клиника на Гребенщикова, 1 (Родники)
Записаться
ГРЫДИНА (СОЛОГУБОВА)
ГРЫДИНА (СОЛОГУБОВА) Ульяна Олеговна
Детский стоматолог
Клиника на Вокзальной, 50/1 (Бердск)
Записаться
САГИТОВ
САГИТОВ Мурат Ерланович
Стоматолог-хирург
Врач-стоматолог
Клиника на Никольском проспекте, 1 (Кольцово)
Записаться
ЧЕРНИКОВ
ЧЕРНИКОВ Дмитрий Сергеевич
Гигиенист
Профессорская клиника на Николаева, 12/3 (Академгородок)
Записаться
МАКРЕЦКАЯ
МАКРЕЦКАЯ Анна Юрьевна
Гигиенист
Клиника на Революции, 10
Записаться