Записаться
НЕДОСВЯТИЙ

НЕДОСВЯТИЙ Светлана Викторовна

Стоматолог-терапевт
Детский стоматолог
Врач высшей категории
Специалисты с опытом от 5 лет. Уверенно работают со сложными случаями, владеют сложными манипуляциями и получают отличные отзывы. Подробнее здесь
Стаж работы 26 лет
Принимает в клиниках
Клиника на Героев Труда, 4 (Академгородок)
Категории пациентов
дети
подростки
взрослые
Считаю, что лечение зубов должно проводиться только высококвалифицированными специалистами, использующими в своей работе самые современные технологии. Все врачи сети клиник Дентал-Сервис постоянно совершенствуют свои навыки на базе учебного центра ДентМастер и принимают участие в стоматологических семинарах, форумах и конференциях. Все это направлено на улучшение качества предоставляемых услуг, на освоение самых современных методик, благодаря которым лечение различных сложных стоматологических заболеваний становится реальным. Забота о пациентах — наша главная задача и, оказывая стоматологические услуги на самом высоком профессиональном уровне, мы успешно с ней справляемся!

Квалификация

Стоматология детская
Сертификат до 29.12.2030
Стоматология терапевтическая
Сертификат до 30.05.2028

Основное образование

2000
Высшее - ГОУ ВПО НГМА МЗ РФ, стоматология

Повышение квалификации, дополнительное образование

2008
ГОУ ВПО КемГМА Росздрава, стоматология терапевтическая
2016
ГБОУ ДПО НГИУВ Минздрава России, стоматология детская
2020
Сертификационный курс Министерства здравоохранения РФ «Диагностика, лечение, профилактика новой коронавирусной инфекции (COVID-19) в первичной медико-санитарной помощи»
Профессиональные навыки
Лечение под микроскопом
Анализ компьютерной томографии и составление плана лечения
Аккуратная подготовка зуба под коронку
Использование современных технологий при лечении каналов
Микропротезирование вкладками
Эстетическая реставрация жевательных зубов
Лечение под наркозом
Лечение под седацией
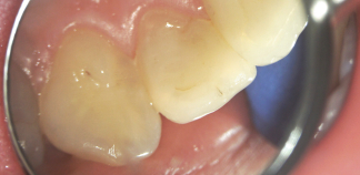
Результаты лечения пациентов
До лечения

Жалобы на незначительные болевые ощущения во время приема пищи. Пациент ранее начинал лечение зуба в другой клинике.
Пациенту 12 лет.

Как лечили

Вскрыли временную пломбу, был недолеченный кариес. Кариес удален и восстановлена стенка зуба, поставлена временная пломба. После отсутствия жалоб, установлена постоянная пломба из композитного материала. Лечение проведено за три визита.

Лечащий врач

НЕДОСВЯТИЙ Светлана Викторовна

Отзывы пациентов
М ВК
27.04.2026
Хочу поблагодарить Недосвятий Светлану Викторовну и ассистента Дарью за спасение улыбки моего ребёнка! После травмы мы остались без двух передних зубов, но благодаря ювелирной работе Светланы Викторовны под микроскопом всё удалось...
Кадникова Мария Викторовна
27.04.2026
Хочу поблагодарить Недосвятий Светлану Викторовну и ассистента Дарью за спасение улыбки моего ребёнка! После травмы мы остались без двух передних зубов, но благодаря ювелирной работе Светланы Викторовны под микроскопом всё удалось...
Светлана
08.02.2025
Хочу выразить свою благодарность Недосвятий Светлане Викторовне) прекрасный доктор! очень внимательный, ответственный и квалифицированный специалист. Я восхищена ее работой!

НЕДОСВЯТИЙ Светлана Викторовна — подростковый стоматолог, стоматолог-терапевт, врач высшей категории в сети стоматологических клиник Дентал-Сервис. Стаж работы 26 лет. Ведет прием у пациентов: подростки, взрослые. Оказывает услуги: лечение под микроскопом, терапевтическая стоматология, лечение кариеса, лечение пульпита, лечение периодонтита, вкладка на зуб, подростковая стоматология, реставрация зубов. Профессиональные навыки: лечение под микроскопом, анализ компьютерной томографии и составление плана лечения, аккуратная подготовка зуба под коронку, использование современных технологий при лечении каналов, микропротезирование вкладками, эстетическая реставрация жевательных зубов, лечение под наркозом, лечение под седацией.

Врач высшей категории принимает по повышенному прайсу

Услуга
Цена, руб.

Лечение зубов под микроскопом

Прием врача-стоматолога-терапевта первичный
от 1 000 руб.
Прием врача-стоматолога-терапевта повторный (проф.осмотр)
бесплатно
Лечение кариеса эмали по технологии ICON (без учета анестезии)
Запечатывание вестибулярной поверхности зуба герметиком
от 8 600 руб.
Лечение кариеса (без учета анестезии)
от 9 600 руб.
Лечение обратимого пульпита (без учета анестезии)
Закрытие перфорации стенки корневого канала зуба, восстановление зуба пломбой с использованием материалов из фотополимеров
от 5 500 руб.
Двухэтапное лечение пульпита одноканального зуба (без учета анестезии)
1 этап: пульпотомия, экстирпация пульпы, временное пломбирование лекарственным препаратом корневого канала, наложение временной пломбы, инструментальная и медикаментозная обработка корневого канала. 2 этап: пломбирование корневого канала зуба гуттаперчивыми штифтами, снятие временной пломбы
от 17 600 руб.
Двухэтапное лечение периодонтита одноканального зуба (без учета анестезии)
1 этап: инструментальная и медикаментозная обработка корневого канала, временное пломбирование лекарственным препаратом корневого канала, наложение временной пломбы. 2 этап: пломбирование корневого канала зуба гуттаперчивыми штифтами, снятие временной пломбы
от 17 600 руб.
Апикальная хирургия. Хирургический и терапевтический этап в области фронтальных зубов
1ый этап хирургический: резекция верхушки корня зуба, цистэктомия, наложение шва на слизистую оболочку рта. 2ой этап терапевтический: инструментальная и медикаментозная обработка корневого канала (ретропрепарирование), закрытие перфорации стенки корневого канала зуба (пломбирование МТА, биокерамикой)
от 44 000 руб.
Оказание неотложной стоматологической помощи (без учета анестезии)
Включает снятие острой боли, установку временной пломбы
от 4 000 руб.

Протезирование зубов

Композитная вкладка (один зуб)
от 25 300 руб.
Керамическая вкладка (один зуб)
от 37 400 руб.
Цельнокерамическая коронка боковая из диоксида циркония (1 зуб)
Включает: препарирование зуба, внутриротовое сканирование, компьютерное моделирование и фрезерование в зуботехнической лаборатории, примерка и фиксация постоянной коронки
от 41 800 руб.
Цельнокерамическая коронка фронтальная из диоксида циркония, E-MAX (1 зуб)
Включает: препарирование зуба, внутриротовое сканирование, компьютерное моделирование и фрезерование в зуботехнической лаборатории, примерка и фиксация постоянной коронки
от 49 500 руб.
Восстановление зуба виниром
от 52 800 руб.
Восстановление зуба ультратонким виниром
от 62 700 руб.

Эстетическая стоматология

Художественная реставрация жевательного зуба
Восстановление естественной структуры/формы/цвета зуба при помощи синтетических материалов
от 20 400 руб.
Художественная реставрация фронтального зуба
Восстановление естественной структуры/формы/цвета зуба при помощи синтетических материалов
от 25 900 руб.
Эстетическое контурирование зуба
Процедура выравнивания, либо изменения формы зубов. Это быстрый и недорогой метод, обычно не требующий анестезии. Показания: сломанные, длинные или аномальные зубы
от 5 700 руб.

Подростковая стоматология

Прием врача-стоматолога-терапевта первичный (до 30 мин)
от 1 000 руб.
Прием врача-стоматолога-терапевта первичный (до 45 мин)
Развернутая консультация по комплексному лечению и/или лечению в наркозе
от 1 900 руб.
Прием врача-стоматолога-терапевта повторный (проф.осмотр)
от 900 руб.
Запечатывание фиссуры зуба
Фиссуры — естественные желобки на поверхности зуба. Герметизация (запечатывание) фиссур герметиком предотвращает скапливание в этих местах налета и, как следствие, развитие кариеса. Без расшлифовки.
от 2 200 руб.
Лечение кариеса молочного зуба (без учета анестезии)
от 5 100 руб.
Лечение кариеса постоянного зуба (без учета анестезии)
от 9 600 руб.
Лечение обратимого пульпита молочного зуба (без учета анестезии)
С сохранением жизнеспособности зуба. Стоимость указана без учета анестезии и восстановления
от 5 200 руб.
Лечение обратимого пульпита постоянного зуба (без учета анестезии)
Закрытие перфорации стенки корневого канала зуба, восстановление зуба пломбой с нарушением контактного пункта с использованием материалов из фотополимеров. Стоимость указана без учета анестезии
от 5 500 руб.
Лечение пульпита одноканального молочного зуба (без учета анестезии)
Стоимость лечения зуба в 2 этапа без учета анестезии и восстановления. 1 этап: пульпотомия, экстирпация пульпы, временное пломбирование лекарственным препаратом корневого канала, наложение временной пломбы, инструментальная и медикаментозная обработка корневого канала. 2 этап: пломбирование корневого канала зуба пастой, снятие временной пломбы.
от 9 700 руб.
Лечение пульпита одноканального постоянного зуба (без учета анестезии)
Стоимость лечения в 2 этапа без учета анестезии и восстановления. 1 этап: пульпотомия, экстирпация пульпы, временное пломбирование лекарственным препаратом корневого канала, наложение временной пломбы, инструментальная и медикаментозная обработка корневого канала. 2 этап: пломбирование корневого канала зуба гуттаперчивыми штифтами, снятие временной пломбы.
от 17 600 руб.
Лечение периодонтита одноканального молочного зуба (без учета анестезии)
Стоимость лечения зуба в 2 этапа без учета анестезии и восстановления. 1 этап: пульпотомия, экстирпация пульпы, временное пломбирование лекарственным препаратом корневого канала, наложение временной пломбы, инструментальная и медикаментозная обработка корневого канала. 2 этап: пломбирование корневого канала зуба пастой, снятие временной пломбы.
от 9 700 руб.
Лечение периодонтита одноканального постоянного зуба (без учета анестезии)
Стоимость лечения в 2 этапа без учета анестезии и восстановления. 1 этап: инструментальная и медикаментозная обработка корневого канала, временное пломбирование лекарственным препаратом корневого канала, наложение временной пломбы. 2 этап: пломбирование корневого канала зуба гуттаперчивыми штифтами, снятие временной пломбы.
от 9 400 руб.
Удаление подвижного молочного зуба (без учета анестезии)
от 2 800 руб.
Удаление постоянного зуба (без учета анестезии)
от 6 000 руб.
Комплексная профессиональная гигиена полости рта и зубов по протоколу GBT
В процедуру входит: снятие зубного налета, обучение гигиене, без покрытия/с покрытием фторсодержащими препаратами.
от 8 100 руб.

Анестезиология

Аппликационная анестезия
от 600 руб.
Инфильтрационная анестезия (одна карпула)
от 1 400 руб.
Проводниковая анестезия (одна карпула)
от 1 400 руб.

Лечение под наркозом

Консультация врача-анестезиолога-реаниматолога
от 2 000 руб.
Медикаментозный сон (вводный наркоз + первый час + постнаркозное наблюдение)
от 15 000 руб.
Ингаляционный наркоз для краткосрочных вмешательств с использованием севорана (до 30 минут)
от 9 200 руб.

Лечение в седации

Консультация врача-анестезиолога-реаниматолога
При стоматологическом наркозе используется безопасный препарат севоран, он погружает человека в глубокий сон.
от 2 000 руб.
Ингаляционный наркоз с использованием закиси азота
Расслабление с помощью успокаивающего газа, который подается через маску на носу. При этом пациент находится в сознании, общается с врачом, нормально дышит.
от 3 600 руб.
Сочетанная анестезия (внутривенная седация 1 час)
Внутривенная седация один час, используется для взрослых.
от 13 500 руб.

Мы предлагаем вам ознакомиться с общим графиком работы врача на месяц. Пожалуйста, обратите внимание, что доступные слоты для записи не указаны. Чтобы узнать свободное время для записи, пожалуйста, свяжитесь с нашим контактным центром. Наши операторы с радостью помогут вам!

Выбрано для предварительной записи:

Другие специалисты

ТЮМЕНЦЕВА
ТЮМЕНЦЕВА Инна Георгиевна
Анестезиолог-реаниматолог
Детская клиника на Ленина, 17

Принимает еще в 3 клиниках

Записаться
МАКАРОВА (ШИШКОВСКАЯ)
МАКАРОВА (ШИШКОВСКАЯ) Орыся Владимировна
Стоматолог-хирург
Челюстно-лицевой хирург
Клиника на Блюхера, 30

Принимает еще в 1 клинике

Записаться
ПЕРМЯКОВА
ПЕРМЯКОВА Алина Юрьевна
Детский стоматолог
Клиника на Героев Труда, 4 (Академгородок)
Записаться
СОКОЛ Артем Сергеевич
Анестезиолог-реаниматолог
Клиника на Революции, 10

Принимает еще в 2 клиниках

Записаться
ИЗОТОВА Анастасия Сергеевна
Детский стоматолог
Клиника на Героев Труда, 4 (Академгородок)
Записаться
ФИНОГЕНОВА
ФИНОГЕНОВА Александра Андреевна
Гигиенист
Клиника на пл. Карла Маркса, 1
Записаться
ЗАВАЛЬНИКОВ
ЗАВАЛЬНИКОВ Антон Валерьевич
Стоматолог-ортопед
Клиника на Героев Труда, 4 (Академгородок)
Записаться
ХАНОВА
ХАНОВА Анна Сергеевна
Врач-стоматолог
Профессорская клиника на Николаева, 12/3 (Академгородок)
Записаться
ПУГАЧ Альбина Валерьевна
Рентгенолаборант
Клиника на Никольском проспекте, 1 (Кольцово)
Записаться
КОНФЕДЕРАТОВА
КОНФЕДЕРАТОВА Яна Сергеевна
Стоматолог-терапевт
Клиника на Героев Труда, 4 (Академгородок)
Записаться
БАЧУРИНА (БАРБАКОВА)
БАЧУРИНА (БАРБАКОВА) Ольга Владимировна
Гигиенист
Клиника на Героев Труда, 4 (Академгородок)
Записаться
ВАЛЬГЕР
ВАЛЬГЕР Анна Сергеевна
Оториноларинголог
Клиника хирургии лица и стоматологии на Сакко и Ванцетти, 77
Записаться