Записаться
ЧИБИСОВА

ЧИБИСОВА Анна Владимировна

Врач-стоматолог
Врач высшей категории
Специалисты с опытом от 5 лет. Уверенно работают со сложными случаями, владеют сложными манипуляциями и получают отличные отзывы. Подробнее здесь
Стаж работы 11 лет
Принимает в клиниках
Клиника на Дуси Ковальчук, 252/1
Категории пациентов
дети
подростки
взрослые

Моя профессия — это искусство.

Я художник, который способен вернуть уверенность улыбке!

Ведь это прекрасно — наблюдать счастливые лица здоровых людей.

Квалификация

Стоматология общей практики
Сертификат до 24.02.2031

Основное образование

2015
Высшее - ГБОУ ВПО НГМУ Минздрава России, стоматология

Повышение квалификации, дополнительное образование

2020
Сертификационный курс Министерства здравоохранения РФ «Диагностика, лечение, профилактика новой коронавирусной инфекции (COVID-19) в первичной медико-санитарной помощи»
Профессиональные навыки
Лечение под микроскопом
Лечение под седацией
Аккуратная подготовка зуба под коронку
Анализ компьютерной томографии и составление плана лечения
Спасение травмированного зуба
Эстетическая реставрация передних и жевательных зубов
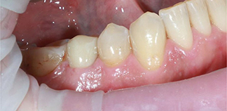
Результаты лечения пациентов
До лечения

На контрольном снимке было обнаружено ухудшение рентгенологической картины.
Пациенту 45 лет.

Как лечили

Проведена распломбировка, повторная механическая и медикаментозная обработка корневого канала. Зуб запломбирован, через 2 месяца установлена постоянная коронка.

Лечащий врач

ЧИБИСОВА Анна Владимировна

Отзывы пациентов
вадим
16.04.2026
Волею судьбы пришлось исправлять в данной клинике работу других докторов. Огромная благодарность Чибисовой Анне Владимировне, за оказанную помощь и последующее лечение. 12/10
Игорь Писецкий
15.12.2025
Очень хорошая стоматология, отзывчивый персонал. Сейчас лечусь в клинике на Дуси Ковальчук у врача Чибисовой Анны Владимировны и ассистента Полины (фамилию к сожалению не знаю) и хочу поблагодарить за очень бережное отноше...
Екатерина Яковлева
19.08.2025
Хочу выразить огромную благодарность, доктору Чибисовой Анне, спасибо огромное, архитектурная работа доктора, профессионализм на высшем уровне. Лояльных вам клиентов
Светлана Бочарова
26.07.2025
Я лечилась у Чибисовой А.В. второй раз. Я восхищена её умением и знанием в своем деле. Это очень умелый и опытный врач. Я с большим удовольствием лечила у неё зубы и всем знакомым и друзьям посоветую у неё лечиться.
Без имени
28.04.2025
Хочу выразить огромную благодарность всему персоналу Дентал-Сервиса, особенно Чибисовой Анне Владимировне! Спасибо вам за профессионализм, за теплый приём, чуткость и особое внимание к пациентам. От вас исходят доброта, понимание,...

ЧИБИСОВА Анна Владимировна — подростковый стоматолог, стоматолог-терапевт, врач высшей категории в сети стоматологических клиник Дентал-Сервис. Стаж работы 11 лет. Ведет прием у пациентов: подростки, взрослые. Оказывает услуги: лечение под микроскопом, терапевтическая стоматология, лечение кариеса, лечение пульпита, лечение периодонтита, реставрация зубов. Профессиональные навыки: лечение под микроскопом, лечение под седацией, аккуратная подготовка зуба под коронку, анализ компьютерной томографии и составление плана лечения, спасение травмированного зуба, эстетическая реставрация передних и жевательных зубов.

Врач высшей категории принимает по повышенному прайсу

Услуга
Цена, руб.

Лечение зубов под микроскопом

Прием врача-стоматолога-терапевта первичный
от 1 000 руб.
Прием врача-стоматолога-терапевта повторный (проф.осмотр)
бесплатно
Лечение кариеса эмали по технологии ICON (без учета анестезии)
Запечатывание вестибулярной поверхности зуба герметиком
от 8 600 руб.
Лечение кариеса (без учета анестезии)
от 9 600 руб.
Лечение обратимого пульпита (без учета анестезии)
Закрытие перфорации стенки корневого канала зуба, восстановление зуба пломбой с использованием материалов из фотополимеров
от 5 500 руб.
Двухэтапное лечение пульпита одноканального зуба (без учета анестезии)
1 этап: пульпотомия, экстирпация пульпы, временное пломбирование лекарственным препаратом корневого канала, наложение временной пломбы, инструментальная и медикаментозная обработка корневого канала. 2 этап: пломбирование корневого канала зуба гуттаперчивыми штифтами, снятие временной пломбы
от 17 600 руб.
Двухэтапное лечение периодонтита одноканального зуба (без учета анестезии)
1 этап: инструментальная и медикаментозная обработка корневого канала, временное пломбирование лекарственным препаратом корневого канала, наложение временной пломбы. 2 этап: пломбирование корневого канала зуба гуттаперчивыми штифтами, снятие временной пломбы
от 17 600 руб.
Апикальная хирургия. Хирургический и терапевтический этап в области фронтальных зубов
1ый этап хирургический: резекция верхушки корня зуба, цистэктомия, наложение шва на слизистую оболочку рта. 2ой этап терапевтический: инструментальная и медикаментозная обработка корневого канала (ретропрепарирование), закрытие перфорации стенки корневого канала зуба (пломбирование МТА, биокерамикой)
от 44 000 руб.
Оказание неотложной стоматологической помощи (без учета анестезии)
Включает снятие острой боли, установку временной пломбы
от 4 000 руб.

Эстетическая стоматология

Художественная реставрация жевательного зуба
Восстановление естественной структуры/формы/цвета зуба при помощи синтетических материалов
от 20 400 руб.
Художественная реставрация фронтального зуба
Восстановление естественной структуры/формы/цвета зуба при помощи синтетических материалов
от 25 900 руб.
Эстетическое контурирование зуба
Процедура выравнивания, либо изменения формы зубов. Это быстрый и недорогой метод, обычно не требующий анестезии. Показания: сломанные, длинные или аномальные зубы
от 5 700 руб.

Подростковая стоматология

Прием врача-стоматолога-терапевта первичный (до 30 мин)
от 1 000 руб.
Прием врача-стоматолога-терапевта первичный (до 45 мин)
Развернутая консультация по комплексному лечению и/или лечению в наркозе
от 1 900 руб.
Прием врача-стоматолога-терапевта повторный (проф.осмотр)
от 900 руб.
Запечатывание фиссуры зуба
Фиссуры — естественные желобки на поверхности зуба. Герметизация (запечатывание) фиссур герметиком предотвращает скапливание в этих местах налета и, как следствие, развитие кариеса. Без расшлифовки.
от 2 200 руб.
Лечение кариеса молочного зуба (без учета анестезии)
от 5 100 руб.
Лечение кариеса постоянного зуба (без учета анестезии)
от 9 600 руб.
Лечение обратимого пульпита молочного зуба (без учета анестезии)
С сохранением жизнеспособности зуба. Стоимость указана без учета анестезии и восстановления
от 5 200 руб.
Лечение обратимого пульпита постоянного зуба (без учета анестезии)
Закрытие перфорации стенки корневого канала зуба, восстановление зуба пломбой с нарушением контактного пункта с использованием материалов из фотополимеров. Стоимость указана без учета анестезии
от 5 500 руб.
Лечение пульпита одноканального молочного зуба (без учета анестезии)
Стоимость лечения зуба в 2 этапа без учета анестезии и восстановления. 1 этап: пульпотомия, экстирпация пульпы, временное пломбирование лекарственным препаратом корневого канала, наложение временной пломбы, инструментальная и медикаментозная обработка корневого канала. 2 этап: пломбирование корневого канала зуба пастой, снятие временной пломбы.
от 9 700 руб.
Лечение пульпита одноканального постоянного зуба (без учета анестезии)
Стоимость лечения в 2 этапа без учета анестезии и восстановления. 1 этап: пульпотомия, экстирпация пульпы, временное пломбирование лекарственным препаратом корневого канала, наложение временной пломбы, инструментальная и медикаментозная обработка корневого канала. 2 этап: пломбирование корневого канала зуба гуттаперчивыми штифтами, снятие временной пломбы.
от 17 600 руб.
Лечение периодонтита одноканального молочного зуба (без учета анестезии)
Стоимость лечения зуба в 2 этапа без учета анестезии и восстановления. 1 этап: пульпотомия, экстирпация пульпы, временное пломбирование лекарственным препаратом корневого канала, наложение временной пломбы, инструментальная и медикаментозная обработка корневого канала. 2 этап: пломбирование корневого канала зуба пастой, снятие временной пломбы.
от 9 700 руб.
Лечение периодонтита одноканального постоянного зуба (без учета анестезии)
Стоимость лечения в 2 этапа без учета анестезии и восстановления. 1 этап: инструментальная и медикаментозная обработка корневого канала, временное пломбирование лекарственным препаратом корневого канала, наложение временной пломбы. 2 этап: пломбирование корневого канала зуба гуттаперчивыми штифтами, снятие временной пломбы.
от 9 400 руб.

Анестезиология

Аппликационная анестезия
от 600 руб.
Инфильтрационная анестезия (одна карпула)
от 1 400 руб.
Проводниковая анестезия (одна карпула)
от 1 400 руб.

Лечение в седации

Консультация врача-анестезиолога-реаниматолога
При стоматологическом наркозе используется безопасный препарат севоран, он погружает человека в глубокий сон.
от 2 000 руб.
Ингаляционный наркоз с использованием закиси азота
Расслабление с помощью успокаивающего газа, который подается через маску на носу. При этом пациент находится в сознании, общается с врачом, нормально дышит.
от 3 600 руб.
Сочетанная анестезия (внутривенная седация 1 час)
Внутривенная седация один час, используется для взрослых.
от 13 500 руб.

Мы предлагаем вам ознакомиться с общим графиком работы врача на месяц. Пожалуйста, обратите внимание, что доступные слоты для записи не указаны. Чтобы узнать свободное время для записи, пожалуйста, свяжитесь с нашим контактным центром. Наши операторы с радостью помогут вам!

Выбрано для предварительной записи:

Другие специалисты

НАРАЕВ
НАРАЕВ Роман Михайлович
Челюстно-лицевой хирург
Клиника на Революции, 10
Записаться
ИСАЕВА
ИСАЕВА Ирина Денисовна
Врач-стоматолог
Клиника на пл. Карла Маркса, 1
Записаться
АМИРОВА
АМИРОВА Анастасия Радиковна
Рентгенолаборант
Клиника хирургии лица и стоматологии на Сакко и Ванцетти, 77
Записаться
ЯКУНИНА
ЯКУНИНА Полина Андреевна
Врач-стоматолог
Клиника на Дуси Ковальчук, 252/1
Записаться
САГИТОВ
САГИТОВ Мурат Ерланович
Стоматолог-хирург
Врач-стоматолог
Клиника на Никольском проспекте, 1 (Кольцово)
Записаться
ЯСАКОВА
ЯСАКОВА Мария Сергеевна
Врач-стоматолог
Клиника на Дуси Ковальчук, 252/1
Записаться
ПЕРМЯКОВА
ПЕРМЯКОВА Алина Юрьевна
Детский стоматолог
Клиника на Героев Труда, 4 (Академгородок)
Записаться
КРУГЛИК
КРУГЛИК Полина Евгеньевна
Врач-стоматолог
Клиника на Вокзальной, 50/1 (Бердск)
Записаться
ХАНОВА
ХАНОВА Анна Сергеевна
Врач-стоматолог
Профессорская клиника на Николаева, 12/3 (Академгородок)
Записаться
АЛЕКСЕЕВА
АЛЕКСЕЕВА Наталья Эдуардовна
Детский стоматолог
Клиника на Вокзальной, 50/1 (Бердск)
Записаться
КОМАРОВСКАЯ
КОМАРОВСКАЯ Юлия Александровна
Детский стоматолог
Детская клиника на Ленина, 17
Записаться
ГАПЧЕНКО
ГАПЧЕНКО Анжелика Сергеевна
Врач-стоматолог
Клиника на Дуси Ковальчук, 252/1
Записаться