Записаться
КРУГЛИК

КРУГЛИК Полина Евгеньевна

Врач-стоматолог
Стаж работы 3 года
Принимает в клиниках
Клиника на Вокзальной, 50/1 (Бердск)
Категории пациентов
дети
подростки
взрослые
Врач принимает по ДМС

Моя цель — помочь людям обрести новое качество жизни с новой эстетической улыбкой. Идеал для меня — очень легкая для понимания, но сложная в воплощении формула — здоровье и красота.

Чем же я занимаюсь? Я лечу кариес и его осложнения! Предотвращаю потерю зубов без всякого волшебства, потому что у меня есть супер-команда специалистов, новейшее оборудование и современные стандарты.

Квалификация

Стоматология
Сертификат до 12.07.2027

Основное образование

2022
Высшее - ФГБОУ ВО НГМУ Минздрава России, стоматология
Профессиональные навыки
Лечение под микроскопом
Лечение под наркозом
Использование неинвазивных методик лечения
Анализ компьютерной томографии и составление плана лечения
Эстетическая реставрация зубов
Извлечение отломков инструментов из каналов
Результаты лечения пациентов
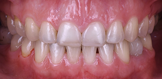
До лечения

Жалобы на боль при накусывании.
Пациенту 54 года.

Как лечили

Снята штампованная коронка, перелечены и запломбированы каналы гуттаперчей, проведено культевое восстановление. Через год фиксация постоянной коронки.

Лечащий врач

КРУГЛИК Полина Евгеньевна

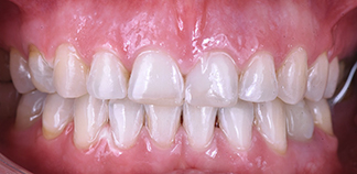
До лечения

Жалоба на травму зуба. Пациенту 17 лет.

Как лечили

Проведена экструзия (вытягивание) зуба из кости. Пролечен зуб и установлена временная коронка на 1 год, после фиксация постоянной.

Лечащий врач

КРУГЛИК Полина Евгеньевна

До лечения

Не нравится цвет зубов.
Пациенту 35 лет.

Как лечили

Проведено отбеливание системой ZOOM 4.
Лечение прошло в 1 посещение.

Лечащий врач

КРУГЛИК Полина Евгеньевна

До лечения

Жалобы на несостоятельные пломбы.
Пациенту 25 лет.

Как лечили

Проведено лечение кариеса. Реставрация с полной анатомией зуба.
Лечение прошло в 1 посещение.

Лечащий врач

КРУГЛИК Полина Евгеньевна

До лечения

Жалобы на боль от сладкого.
Пациенту 16 лет.

Как лечили

На прицельном снимке был обнаружен кариес, проведено лечение, реставрация.
Лечение прошло в 1 посещение

Лечащий врач

КРУГЛИК Полина Евгеньевна

Отзывы пациентов
M*ri* P*rs*ko*a
07.08.2025
Езжу именно в эту клинику из Новосибирска, замечательно все, начиная с улыбчивых и приветливых администраторов, заканчивая прекрасным доктором! Лечусь у Круглик Полины Евгеньевны уже не первый раз, до этого боялась стоматологов, н...
Т*ть*на*Не*юб*ва
21.07.2025
Приехала с проблемой оголения зубов, направили к терапевту Круглик Полине Евгеньевне. Хочется отметить профессионализм доктора, который в моменте разобралась с проблемой, все нюансы рассказала доступным к пониманию языком, сделали...
Зарина Пристинская
29.06.2025
В Дентал Сервис обращаемся не первый раз, но в данный филиал обратилась с детьми впервые и остались довольны! Отдельное спасибо стоматологу-терапевту Круглик Полине Евгеньевне, отлично нашла общий язык с детьми подростками, один и...
Марина Сафронова
26.02.2025
Большое спасибо Полине Евгеньевне Круглик за ее профессионализм и доброе внимательное отношение! Чудесный врач с приоритетом на сохранение зубов, всегда интересуется самочувствием и в процессе лечения все объясняет. Теперь лечить ...
Алена Жагунь
07.09.2024
Круглик Полина Евгеньевна очень грамотный врач, все объясняет и показывает. Вылечила зубки так, что даже не заметно пломбу

КРУГЛИК Полина Евгеньевна — стоматолог-терапевт в сети стоматологических клиник Дентал-Сервис. Стаж работы 3 года. Ведет прием у пациентов: взрослые. Принимает по ДМС. Оказывает услуги: терапевтическая стоматология, лечение под микроскопом, лечение кариеса, лечение пульпита, лечение периодонтита, отбеливание зубов. Профессиональные навыки: лечение под микроскопом, лечение под наркозом, использование неинвазивных методик лечения, анализ компьютерной томографии и составление плана лечения, эстетическая реставрация зубов, извлечение отломков инструментов из каналов.

Услуга
Цена, руб.

Лечение зубов под микроскопом

Прием врача-стоматолога-терапевта первичный
от 900 руб.
Прием врача-стоматолога-терапевта повторный (проф.осмотр)
бесплатно
Оказание неотложной стоматологической помощи (без учета анестезии)
Включает снятие острой боли, установку временной пломбы.
от 3 700 руб.
Лечение кариеса эмали по технологии ICON (без учета анестезии)
Запечатывание вестибулярной поверхности зуба герметиком
от 7 800 руб.
Лечение кариеса (без учета анестезии)
от 8 700 руб.
Лечение обратимого пульпита (без учета анестезии)
Закрытие перфорации стенки корневого канала зуба, восстановление зуба пломбой с использованием материалов из фотополимеров.
от 5 000 руб.
Двухэтапное лечение пульпита одноканального зуба (без учета анестезии)
1 этап: пульпотомия, экстирпация пульпы, временное пломбирование лекарственным препаратом корневого канала, наложение временной пломбы, инструментальная и медикаментозная обработка корневого канала. 2 этап: пломбирование корневого канала зуба гуттаперчивыми штифтами, снятие временной пломбы.
от 15 900 руб.
Двухэтапное лечение периодонтита одноканального зуба (без учета анестезии)
1 этап: инструментальная и медикаментозная обработка корневого канала, временное пломбирование лекарственным препаратом корневого канала, наложение временной пломбы. 2 этап: пломбирование корневого канала зуба гуттаперчивыми штифтами, снятие временной пломбы.
от 15 900 руб.
Апикальная хирургия. Хирургический и терапевтический этап в области фронтальных зубов
1ый этап хирургический: резекция верхушки корня зуба, цистэктомия, наложение шва на слизистую оболочку рта. 2ой этап терапевтический: инструментальная и медикаментозная обработка корневого канала (ретропрепарирование), закрытие перфорации стенки корневого канала зуба (пломбирование МТА, биокерамикой).
от 40 000 руб.

Отбеливание зубов

Прием стоматологического гигиениста первичный
от 900 руб.
Профессиональное отбеливание зубов системой "Аmazing white" (25%)
от 20 000 руб.
Профессиональное отбеливание зубов системой "Аmazing white" (38%)
от 21 000 руб.
Профессиональное отбеливание зубов системой "ZOOM"
от 39 900 руб.

Анестезиология

Аппликационная анестезия
от 550 руб.
Инфильтрационная анестезия (одна карпула)
от 1 300 руб.
Проводниковая анестезия (одна карпула)
от 1 300 руб.

Лечение под наркозом

Консультация врача-анестезиолога-реаниматолога
от 2 000 руб.
Медикаментозный сон (вводный наркоз + первый час + постнаркозное наблюдение)
от 15 000 руб.
Ингаляционный наркоз для краткосрочных вмешательств с использованием севорана (до 30 минут)
от 9 200 руб.

Лечение в седации

Консультация врача-анестезиолога-реаниматолога
При стоматологическом наркозе используется безопасный препарат севоран, он погружает человека в глубокий сон.
от 2 000 руб.
Сочетанная анестезия (внутривенная седация 1 час)
Внутривенная седация один час, используется для взрослых.
от 13 500 руб.

Мы предлагаем вам ознакомиться с общим графиком работы врача на месяц. Пожалуйста, обратите внимание, что доступные слоты для записи не указаны. Чтобы узнать свободное время для записи, пожалуйста, свяжитесь с нашим контактным центром. Наши операторы с радостью помогут вам!

Выбрано для предварительной записи:

Другие специалисты

СМАГИН
СМАГИН Григорий Андреевич
Врач-стоматолог
Профессорская клиника на Николаева, 12/3 (Академгородок)
Записаться
МАРДАНЯН
МАРДАНЯН Анжела Ремиковна
Стоматолог-терапевт
Клиника на Героев Труда, 4 (Академгородок)
Записаться
МАХТУМОВА
МАХТУМОВА Надежда Александровна
Стоматолог-терапевт
Клиника на Вокзальной, 50/1 (Бердск)
Записаться
МАНУКЯН (ПЕТРОСЯН)
МАНУКЯН (ПЕТРОСЯН) Нина Витальевна
Стоматолог-терапевт
Врач-стоматолог
Клиника на Блюхера, 30
Записаться
АГАРКОВ
АГАРКОВ Сергей Юрьевич
Стоматолог-терапевт
Клиника на Героев Труда, 4 (Академгородок)
Записаться
ПОЧТАРЬ
ПОЧТАРЬ Юлия Михайловна
Стоматолог-терапевт
Стоматолог-хирург
Главный врач Профессорской клиники на Николаева, 12/3
Профессорская клиника на Николаева, 12/3 (Академгородок)
Записаться
НИКОЛЕНКО
НИКОЛЕНКО Ксения Ивановна
Врач-стоматолог
Клиника на Вокзальной, 50/1 (Бердск)
Записаться
КАХРАМАНОВ
КАХРАМАНОВ Видади Фазилович
Врач-стоматолог
Профессорская клиника на Николаева, 12/3 (Академгородок)

Принимает еще в 1 клинике

Записаться
ЯСАКОВА
ЯСАКОВА Мария Сергеевна
Врач-стоматолог
Клиника на Дуси Ковальчук, 252/1
Записаться
ХАНОВА Анна Сергеевна
Врач-стоматолог
Профессорская клиника на Николаева, 12/3 (Академгородок)
Записаться
БУРНИСТОВ
БУРНИСТОВ Илья Валерьевич
Стоматолог-терапевт
Клиника на Революции, 10

Принимает еще в 1 клинике

Записаться
ЯКУШКИНА
ЯКУШКИНА Полина Андреевна
Врач-стоматолог
Профессорская клиника на Николаева, 12/3 (Академгородок)

Принимает еще в 1 клинике

Записаться