Записаться
ЕВПЛАНОВА

ЕВПЛАНОВА Яна Викторовна

Детский стоматолог
Врач высшей категории
Специалисты с опытом от 5 лет. Уверенно работают со сложными случаями, владеют сложными манипуляциями и получают отличные отзывы. Подробнее здесь
Стаж работы 25 лет
Принимает в клиниках
Клиника на Героев Труда, 4 (Академгородок)
Категории пациентов
дети
подростки
взрослые
Врач принимает по ДМС
Я уделяю большое внимание психологической стороне лечения. По моим наблюдениям, если маленький пациент относится к тебе как к другу, а не как к врачу, то он становится более открытым и раскованным. И еще хочется отметить, что своевременные профилактические методы в большинстве случаев позволяют исключить в дальнейшем длительное лечение ребёнка.

Квалификация

Стоматология детская
Сертификат до 30.05.2028

Основное образование

2000
Высшее - ГОУ ВПО НГМА МЗ РФ, стоматология

Повышение квалификации, дополнительное образование

2008
ГОУ ВПО КемГМА Росздрава, стоматология детская
2020
Сертификационный курс Министерства здравоохранения РФ «Диагностика, лечение, профилактика новой коронавирусной инфекции (COVID-19) в первичной медико-санитарной помощи»
Профессиональные навыки
Лечение под наркозом
Лечение под седацией
Прием по протоколу GBT
Прием особенных детей
Бережная адаптация к стоматологическому приему
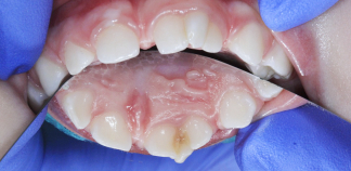
Результаты лечения пациентов
До лечения

Пришли с жалобой на кариес.
Пациенту 2 года.

Как лечили

Пролечен кариес трех сросшихся зубов под наркозом.
Лечение проведено за один визит.

Лечащий врач

ЕВПЛАНОВА Яна Викторовна

Отзывы пациентов
Пациент
03.09.2025
К Яне Викторовне вожу дочь с двух лет. Хороший врач, благодаря Яне Викторовне ребёнок не боится стоматологов. В два года сначала попали к другому врачу, которая назначила лечение пяти зубов под наркозом, обратились дополнительно к...
Оксана Чепенко
23.06.2025
20 июня 2025 года лечили зубы под наркозом сыну 4 года. Сама очень переживала, но все прошло очень хорошо. Наш лечащий врач Евпланова Яна Викторовна всё объясняла и рассказывала как будет проходить лечение. Все врачи относились к ...
Александра Кольцова
05.03.2025
Больше 7 лет дети с радостью бегут на осмотр к стоматологу Яне Викторовне. Очень нравится её трепетный и внимательный подход. Всегда найдет «ключик» к ребенку в каком бы он ни был настроении.
Нравится атмосфера в самой клин...
Пациент
05.07.2024
Хочу написать отзыв про детского доктора Евпланову Яну Викторовну. Уже более 10 лет вожу детей к ней и всегда поход к стоматологу был праздником. Для меня было важно, чтобы у детей не сформировалось негатива и страха перед стомато...

ЕВПЛАНОВА Яна Викторовна — детский стоматолог, врач высшей категории в сети стоматологических клиник Дентал-Сервис. Стаж работы 25 лет. Ведет прием у пациентов: дети. Принимает по ДМС. Оказывает услуги: детская стоматология, травма детского зуба, лечение детей под наркозом, лечение детей под седацией, лечение кариеса у детей, лечение пульпита у детей, профессиональная гигиена и чистка для детей, детские коронки, профилактический осмотр у детей, лечение зубов особенным детям. Профессиональные навыки: лечение под наркозом, лечение под седацией, прием по протоколу GBT, прием особенных детей, бережная адаптация к стоматологическому приему.

Врач высшей категории принимает по повышенному прайсу

Услуга
Цена, руб.

Детская стоматология

Прием детского стоматолога/зубного врача первичный (до 30 минут)
от 1 000 руб.
Прием детского стоматолога первичный расширенный (до 45 минут)
Развернутая консультация по комплексному лечению и/или лечению в наркозе
от 1 900 руб.
Прием детского стоматолога/зубного врача повторный (проф.осмотр)
от 900 руб.
Лечение кариеса молочного зуба (без учета анестезии)
от 5 100 руб.
Лечение обратимого пульпита молочного зуба
Стоимость указана без учета анестезии и восстановления
от 5 200 руб.
Лечение пульпита молочного зуба
Стоимость лечения зуба в 2 этапа без учета анестезии и восстановления. 1 этап: пульпотомия, экстирпация пульпы, временное пломбирование лекарственным препаратом корневого канала, наложение временной пломбы, инструментальная и медикаментозная обработка корневого канала. 2 этап: пломбирование корневого канала зуба пастой, снятие временной пломбы.
от 9 700 руб.
Лечение периодонтита молочного зуба
Стоимость лечения зуба в 2 этапа без учета анестезии и восстановления. 1 этап: пульпотомия, экстирпация пульпы, временное пломбирование лекарственным препаратом корневого канала, наложение временной пломбы, инструментальная и медикаментозная обработка корневого канала. 2 этап: пломбирование корневого канала зуба пастой, снятие временной пломбы.
9 700 руб.
Удаление подвижного молочного зуба (без учета анестезии)
от 2 800 руб.
Удаление неподвижного молочного зуба (без учета анестезии)
от 4 200 руб.
Пластика уздечки языка, верхней губы, нижней губы (без учета анестезии)
от 7 000 руб.
Восстановление молочного зуба коронкой
При сильных разрушениях молочных зубов для их сохранения используют в лечении коронки, стальные или из диоксида циркония.
от 8 600 руб.
Адаптационная комплексная профессиональная гигиена полости рта и зубов у детей по протоколу GBT (до 4 лет)
В процедуру входит: снятие зубного налета, обучение гигиене, без покрытия/с покрытием фторсодержащими препаратами.
от 4 100 руб.
Комплексная профессиональная гигиена полости рта и зубов у детей со сменным прикусом по протоколу GBT (до 8 лет)
В процедуру входит: снятие зубного налета, обучение гигиене, без покрытия/с покрытием фторсодержащими препаратами.
от 5 500 руб.
Пакет радиовизиографических снимков всей челюсти для детей
от 2 800 руб.
Пакет радиовизиографических снимков всей челюсти для детей при лечении под наркозом
от 3 800 руб.

Лечение травмы зубов

Шинирование группы зубов после травмы
Ортодонтическое скрепление металлической проволокой
от 7 200 руб.
Репозиция зуба в лунку
от 5 500 руб.
Фиксация собственного осколка зуба на композитный материал
Фиксация собственного осколка зуба на композитный материал
от 6 800 руб.
Наложение лечебной повязки при заболеваниях слизистой оболочки полости рта и пародонта в области одного зуба
Внутриротовая перевязка
от 1 900 руб.
Наложение повязки при нарушении целостности кожных покровов
Внеротовая перевязка
от 1 900 руб.
Первичная хирургическая обработка раны с наложением швов (легкая степень повреждения)
от 6 400 руб.

Анестезиология

Аппликационная анестезия
от 600 руб.
Инфильтрационная анестезия (одна карпула)
от 1 400 руб.
Проводниковая анестезия (одна карпула)
от 1 400 руб.

Лечение под наркозом

Консультация врача-анестезиолога-реаниматолога
от 2 000 руб.
Медикаментозный сон (вводный наркоз + первый час + постнаркозное наблюдение)
от 15 000 руб.
Медикаментозный сон (каждые последующие 30 мин наркоза)
от 7 000 руб.
Ингаляционный наркоз для краткосрочных вмешательств с использованием севорана (до 30 минут)
от 9 200 руб.

Лечение в седации

Консультация врача-анестезиолога-реаниматолога
При стоматологическом наркозе используется безопасный препарат севоран, он погружает человека в глубокий сон.
от 2 000 руб.
Ингаляционный наркоз с использованием закиси азота
Расслабление с помощью успокаивающего газа, который подается через маску на носу. При этом пациент находится в сознании, общается с врачом, нормально дышит.
от 3 600 руб.
Сочетанная анестезия (внутривенная седация 1 час)
Внутривенная седация один час, используется для взрослых.
от 13 500 руб.

Мы предлагаем вам ознакомиться с общим графиком работы врача на месяц. Пожалуйста, обратите внимание, что доступные слоты для записи не указаны. Чтобы узнать свободное время для записи, пожалуйста, свяжитесь с нашим контактным центром. Наши операторы с радостью помогут вам!

Выбрано для предварительной записи:

Другие специалисты

АМИРОВА
АМИРОВА Анастасия Радиковна
Рентгенолаборант
Клиника хирургии лица и стоматологии на Сакко и Ванцетти, 77
Записаться
ДУБИНИНА
ДУБИНИНА Наталья Викторовна
Стоматолог-терапевт
Клиника на Никольском проспекте, 1 (Кольцово)
Записаться
БЕТЕХТИН Гордей Олегович
Врач-стоматолог
Профессорская клиника на Николаева, 12/3 (Академгородок)
Записаться
ЕРМОШКИН Никита Михайлович
Врач-стоматолог
Профессорская клиника на Николаева, 12/3 (Академгородок)
Записаться
ЧЕПЫЖОВ Иван Сергеевич
Врач-стоматолог
Стоматолог-ортопед
Клиника на Героев Труда, 4 (Академгородок)

Принимает еще в 1 клинике

Записаться
ВАЛЬГЕР
ВАЛЬГЕР Анна Сергеевна
Оториноларинголог
Клиника хирургии лица и стоматологии на Сакко и Ванцетти, 77
Записаться
КРУГЛИК
КРУГЛИК Полина Евгеньевна
Врач-стоматолог
Клиника на Вокзальной, 50/1 (Бердск)
Записаться
ГАЛИЧ
ГАЛИЧ Александр Витальевич
Врач-стоматолог
Клиника на пл. Карла Маркса, 1
Записаться
БОЙКО
БОЙКО Оксана Александровна
Детский стоматолог
Клиника на Героев Труда, 4 (Академгородок)
Записаться
МАРЦИ
МАРЦИ Анастасия Викторовна
Ортодонт
Клиника хирургии лица и стоматологии на Сакко и Ванцетти, 77
Записаться
БАСАЛАЕВА
БАСАЛАЕВА Валерия Сергеевна
Врач-стоматолог
Клиника на Гребенщикова, 1 (Родники)

Принимает еще в 1 клинике

Записаться
БАКУЛИНА (ЖЕБЕЛЕВА)
БАКУЛИНА (ЖЕБЕЛЕВА) Елена Сергеевна
Гигиенист
Клиника на Революции, 10
Записаться