Записаться
КОВАЛЕВ

КОВАЛЕВ Роман Олегович

Стоматолог-ортопед
Врач-стоматолог
Ведущий специалист
Опытные специалисты со стажем от 7 лет. Ведут сложные случаи, обучают врачей и владеют продвинутыми методиками. Подробнее здесь
Стаж работы 8 лет
Принимает в клиниках
Клиника на Вокзальной, 50/1 (Бердск)
Категории пациентов
дети
подростки
взрослые
Для меня как для специалиста очень важно, чтобы лечение пациента проходило качественно и с максимальным комфортом, начиная с анестезии и заканчивая полировкой пломбы. Для этого у нас в распоряжении самое современное оборудование, материалы и инструменты. Я люблю свою работу, ведь когда человек приходит с проблемой, а уходит с улыбкой — это вдохновляет!

Квалификация

Стоматология общей практики
Сертификат до 28.02.2027
Стоматология ортопедическая
Сертификат до 27.06.2028

Основное образование

2016
Высшее - ГБОУ ВПО НГМУ Минздрава России, стоматология
2018
Ординатура - ФГБОУ ВО НГМУ Минздрава России, стоматология ортопедическая
Профессиональные навыки
Анализ компьютерной томографии и составление плана лечения
Лечение под микроскопом
Использование современных технологий при лечении каналов
Подготовка к протезированию зубов
Цифровое протезирование
Микропротезирование вкладками
Эстетическое протезирование
Эстетическая реставрация передних и жевательных зубов
Аккуратная подготовка зуба под коронку
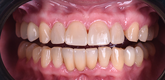
Результаты лечения пациентов
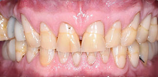
До лечения

Жалобы на плохое состояние зубов в зоне улыбки.
Пациенту 33 года.

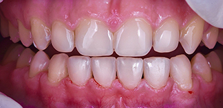
Как лечили

Проведена художественная композитная реставрация зубов.

Лечащий врач

КОВАЛЕВ Роман Олегович

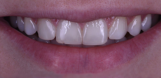
До лечения

Жалоба на травму передних зубов.

Как лечили

Проведена реставрация фронтальных зубов композитным материалом.
Лечение прошло в 1 посещение.

Лечащий врач

КОВАЛЕВ Роман Олегович

До лечения

Жалоба на скол на переднем зубе.

Как лечили

Проведена прямая реставрация зубов.

Лечащий врач

КОВАЛЕВ Роман Олегович

До лечения

Жалоба на некрасивую улыбку.

Как лечили

Проведено терапевтическое лечение, затем лечение на брекетах. После снятия брекетов — отбеливание и эстетическая реставрация передних верхних зубов.

Лечащие врачи
СЕМИВОЛОВА Анастасия Владимировна, КОВАЛЕВ Роман Олегович
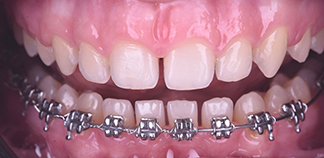
До лечения

Жалобы на неровные зубы.

Как лечили

Удалены восьмерки, проведено ортодонтическое лечение на брекетах. После снятия отреставрированы передние зубы.

Лечащие врачи
МОРОЗОВ Дмитрий Владимирович, СЕМИВОЛОВА Анастасия Владимировна, КОВАЛЕВ Роман Олегович
До лечения

Жалобы на диастему.
Пациенту 18 лет.

Как лечили

После ортодонтического лечения проведено закрытие трем и диастем на верхней и нижней челюсти художественными реставрациями.

Лечащий врач

КОВАЛЕВ Роман Олегович

До лечения

Жалобы на неправильную форму зубов, промежутки между зубами.
Пациенту 31 год.

Как лечили

Отбеливание зубов ZOOM 4. Проведена художественная реставрация передних зубов.

Лечащий врач

КОВАЛЕВ Роман Олегович

До лечения

Жалоба на травму передних зубов.
Пациенту 19 лет.

Как лечили

После стабилизации зубов проведена художественная реставрация.

Лечащий врач

КОВАЛЕВ Роман Олегович

До лечения

Желание заменить старые реставрации.
Пациенту 33 года.

Как лечили

Проведена замена старых реставраций на фронтальных зубах.

Лечащий врач

КОВАЛЕВ Роман Олегович

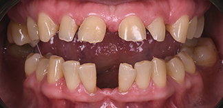
До лечения

Жалобы на отсутствие и неправильную форму зубов.
Пациенту 53 года.

Как лечили

Проведено лечение на брекет-системе. Установлены импланты на месте отсутствующих зубов. Фронтальные верхние зубы закрыты художественной реставрацией.

Лечащие врачи
СЕМИВОЛОВА Анастасия Владимировна, КОВАЛЕВ Роман Олегович
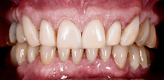
До лечения

Жалобы на отсутствие и неправильную форму зубов.
Пациенту 53 года.

Как лечили

Проведено лечение на брекет-системе. Установлены импланты на месте отсутствующих зубов. Фронтальные верхние зубы закрыты художественной реставрацией.

Лечащие врачи
СЕМИВОЛОВА Анастасия Владимировна, КОВАЛЕВ Роман Олегович
Отзывы пациентов
Ольга Кретова
10.02.2026
Хочу выразить огромную благодарность всей команде этой замечательной стоматологии! Это тот редкий случай, когда посещение врача становится почти приятным событием.
С первого шага в клинике чувствуешь заботу и внимание. Админ...
Акции с участием врача
Смотреть все
Бесплатная консультация по имплантации и КТ
Вернем здоровье и красоту вашей улыбки!
Реклама ООО "Дентал-Сервис Бердск" ИНН 544525957, erid: 2VfnxwD8CRn

20 августа 2025-30 апреля 2026

КОВАЛЕВ Роман Олегович — стоматолог-ортопед, подростковый стоматолог, стоматолог-терапевт ведущий специалист в сети стоматологических клиник Дентал-Сервис. Стаж работы 8 лет. Ведет прием у пациентов: подростки, взрослые. Оказывает услуги: лечение под микроскопом, терапевтическая стоматология, лечение кариеса, лечение пульпита, лечение периодонтита, ортопедическая стоматология, виниры, коронки, протезирование на имплантатах, мостовидный протез, съемное протезирование зубов, вкладка на зуб, подростковая стоматология, отбеливание зубов, эстетическая стоматология, реставрация зубов. Профессиональные навыки: анализ компьютерной томографии и составление плана лечения, лечение под микроскопом, использование современных технологий при лечении каналов, подготовка к протезированию зубов, цифровое протезирование, микропротезирование вкладками, эстетическое протезирование, эстетическая реставрация передних и жевательных зубов, аккуратная подготовка зуба под коронку.

Врач является ведущим специалистом и принимает по повышенному прайсу

Услуга
Цена, руб.

Лечение зубов под микроскопом

Прием врача-стоматолога-терапевта первичный
от 1 200 руб.
Прием врача-стоматолога-терапевта повторный (проф.осмотр)
бесплатно
Оказание неотложной стоматологической помощи (без учета анестезии)
Включает снятие острой боли, установку временной пломбы.
от 4 700 руб.
Лечение кариеса эмали по технологии ICON (без учета анестезии)
Запечатывание вестибулярной поверхности зуба герметиком
от 9 800 руб.
Лечение кариеса (без учета анестезии)
от 10 900 руб.
Лечение обратимого пульпита (без учета анестезии)
Закрытие перфорации стенки корневого канала зуба, восстановление зуба пломбой с использованием материалов из фотополимеров.
от 6 200 руб.
Двухэтапное лечение пульпита одноканального зуба (без учета анестезии)
1 этап: пульпотомия, экстирпация пульпы, временное пломбирование лекарственным препаратом корневого канала, наложение временной пломбы, инструментальная и медикаментозная обработка корневого канала. 2 этап: пломбирование корневого канала зуба гуттаперчивыми штифтами, снятие временной пломбы.
от 19 900 руб.
Двухэтапное лечение периодонтита одноканального зуба (без учета анестезии)
1 этап: инструментальная и медикаментозная обработка корневого канала, временное пломбирование лекарственным препаратом корневого канала, наложение временной пломбы. 2 этап: пломбирование корневого канала зуба гуттаперчивыми штифтами, снятие временной пломбы.
от 19 900 руб.
Апикальная хирургия. Хирургический и терапевтический этап в области фронтальных зубов
1ый этап хирургический: резекция верхушки корня зуба, цистэктомия, наложение шва на слизистую оболочку рта. 2ой этап терапевтический: инструментальная и медикаментозная обработка корневого канала (ретропрепарирование), закрытие перфорации стенки корневого канала зуба (пломбирование МТА, биокерамикой).
от 50 000 руб.

Гигиенический прием

Комплексная профессиональная гигиена полости рта и зубов по протоколу GBT
В процедуру входит: снятие зубного налета, обучение гигиене, с покрытием/без покрытия фтор-гелем
от 9 300 руб.

Отбеливание зубов

Прием стоматологического гигиениста первичный
от 1 200 руб.
Профессиональное отбеливание зубов системой "Аmazing white" (25%)
от 20 000 руб.
Профессиональное отбеливание зубов системой "Аmazing white" (38%)
от 26 300 руб.
Профессиональное отбеливание зубов системой "ZOOM"
от 49 900 руб.

Протезирование зубов

Прием врача-стоматолога-ортопеда первичный
от 1 200 руб.
Цельнокерамическая коронка фронтальная из диоксида циркония, E-MAX (один зуб)
Включает: препарирование зуба, внутриротовое сканирование, компьютерное моделирование и фрезерование в зуботехнической лаборатории, примерка и фиксация постоянной коронки.
от 56 300 руб.
Цельнокерамическая коронка боковая из диоксида циркония (один зуб)
Включает: препарирование зуба, внутриротовое сканирование, компьютерное моделирование и фрезерование в зуботехнической лаборатории, примерка и фиксация постоянной коронки.
от 47 500 руб.
Восстановление временной коронкой из пластмассы
Включает: снятие слепка, изготовление и фиксация временной коронки прямым методом.
от 6 300 руб.
Восстановление временной коронкой из пластмассы CAD/CAM
Включает: внутриротовое сканирование, моделирование и изготовление коронки лабораторным методом, фиксация временной коронки.
8 300 руб.
Композитная вкладка (один зуб)
от 28 800 руб.
Керамическая вкладка (один зуб)
от 42 500 руб.
Восстановление зуба виниром
от 60 000 руб.
Восстановление зуба ультратонким виниром
от 71 300 руб.
Протезирование частичным съемным протезом
от 50 000 руб.
Протезирование зубов полным съемным протезом
от 63 000 руб.
Протезирование съемным бюгельным протезом на 1 челюсть
от 108 800 руб.
Мостовидный протез из диоксида циркония с опорой на 2 зуба
Включает: препарирование зубов, внутриротовое сканирование, компьютерное моделирование и фрезерование в зуботехнической лаборатории, примерка и фиксация постоянных коронок. Дополнительно оплачивается по необходимости 3D-модель, анестезия, изготовление и установка временного мостовидного протеза.
от 142 500 руб.
Несъемный протез нескольких зубов из диоксида циркония (мостовидный протез) на имплантатах
Включает: внутриротовое сканирование с применением скан маркеров, компьютерное моделирование, фрезерование ортопедической конструкции, склейка абатментов, примерка и фиксация ортопедической конструкции в полости рта. Отдельно оплачивается по необходимости 3D-модель, анестезия, изготовление и установка временного мостовидного протеза.
от 144 900 руб.

Эстетическая стоматология

Художественная реставрация жевательного зуба
Восстановление естественной структуры/формы/цвета зуба при помощи синтетических материалов.
от 23 200 руб.
Художественная реставрация фронтального зуба
Восстановление естественной структуры/формы/цвета зуба при помощи синтетических материалов.
от 29 400 руб.
Эстетическое контурирование зуба
Процедура выравнивания, либо изменения формы зубов. Это быстрый и недорогой метод, обычно не требующий анестезии. Показания: сломанные, длинные или аномальные зубы.
от 6 400 руб.
Пластика рецессии десны за 1 зуб (один зуб)
Рецессия (опущение десны) — патологический процесс убыли объема десны, при котором обнажается шейка и начало корня зуба.
от 36 300 руб.

Хирургическая стоматология

Гингивопластика
Пластика мягких тканей при имплантации, костной пластике, изменении фенотипа десны
от 32 500 руб.

Дентальная имплантация

Система имплантации Implantium (Ю.Корея). Ортопедический этап
Протезирование бокового зуба коронкой из диоксида циркония, с абатментом из системы Implantium
от 42 000 руб.
Система имплантации AnyOne (Ю.Корея). Ортопедический этап
Протезирование бокового зуба коронкой из диоксида циркония, с абатментом из системы AnyOne
от 48 700 руб.
Система имплантации Renova (США). Ортопедический этап
Протезирование бокового зуба коронкой из диоксида циркония, с абатментом из системы Renova
от 61 800 руб.
Система имплантации Medentika (Германия). Ортопедический этап
Протезирование бокового зуба коронкой из диоксида циркония, с абатментом из системы Medentika
от 61 800 руб.
Системы имплантации Straumann (Швейцария). Ортопедический этап
Протезирование бокового зуба коронкой из диоксида циркония, с абатментом из системы Straumann
от 89 300 руб.
Хирургический и ортопедический этап имплантации по системе «Все-на-четырех»
Входит в стоимость минимума: установка 4 единиц имплантов по цифровому хирургическому шаблону + полное съемное протезирование из пластмассы (временные коронки: 4 ед на имплатах, 8 ед подвесных, 4 единицы аббатментов, литая балка).
от 540 900 руб.

Подростковая стоматология

Прием врача-стоматолога-терапевта первичный (до 30 мин)
от 1 200 руб.
Прием врача-стоматолога-терапевта первичный (до 45 мин)
Развернутая консультация по комплексному лечению и/или лечению в наркозе
от 2 200 руб.
Прием врача-стоматолога-терапевта повторный (проф.осмотр)
от 1 000 руб.
Запечатывание фиссуры зуба
Фиссуры — естественные желобки на поверхности зуба. Герметизация (запечатывание) фиссур герметиком предотвращает скапливание в этих местах налета и, как следствие, развитие кариеса. Без расшлифовки.
от 2 500 руб.
Лечение кариеса молочного зуба (без учета анестезии)
от 5 700 руб.
Лечение кариеса постоянного зуба (без учета анестезии)
от 10 900 руб.
Лечение обратимого пульпита молочного зуба (без учета анестезии)
С сохранением жизнеспособности зуба. Стоимость указана без учета анестезии и восстановления
от 5 900 руб.
Лечение обратимого пульпита постоянного зуба (без учета анестезии)
Закрытие перфорации стенки корневого канала зуба, восстановление зуба пломбой с нарушением контактного пункта с использованием материалов из фотополимеров. Стоимость указана без учета анестезии
от 6 200 руб.
Лечение пульпита одноканального молочного зуба (без учета анестезии)
Стоимость лечения зуба в 2 этапа без учета анестезии и восстановления. 1 этап: пульпотомия, экстирпация пульпы, временное пломбирование лекарственным препаратом корневого канала, наложение временной пломбы, инструментальная и медикаментозная обработка корневого канала. 2 этап: пломбирование корневого канала зуба пастой, снятие временной пломбы.
от 11 000 руб.
Лечение пульпита одноканального постоянного зуба (без учета анестезии)
Стоимость лечения в 2 этапа без учета анестезии и восстановления. 1 этап: пульпотомия, экстирпация пульпы, временное пломбирование лекарственным препаратом корневого канала, наложение временной пломбы, инструментальная и медикаментозная обработка корневого канала. 2 этап: пломбирование корневого канала зуба гуттаперчивыми штифтами, снятие временной пломбы.
от 19 900 руб.
Лечение периодонтита одноканального молочного зуба (без учета анестезии)
Стоимость лечения зуба в 2 этапа без учета анестезии и восстановления. 1 этап: пульпотомия, экстирпация пульпы, временное пломбирование лекарственным препаратом корневого канала, наложение временной пломбы, инструментальная и медикаментозная обработка корневого канала. 2 этап: пломбирование корневого канала зуба пастой, снятие временной пломбы.
от 11 000 руб.
Лечение периодонтита одноканального постоянного зуба (без учета анестезии)
Стоимость лечения в 2 этапа без учета анестезии и восстановления. 1 этап: инструментальная и медикаментозная обработка корневого канала, временное пломбирование лекарственным препаратом корневого канала, наложение временной пломбы. 2 этап: пломбирование корневого канала зуба гуттаперчивыми штифтами, снятие временной пломбы.
от 10 600 руб.
Удаление подвижного молочного зуба (без учета анестезии)
от 3 700 руб.
Удаление постоянного зуба (без учета анестезии)
от 8 000 руб.
Комплексная профессиональная гигиена полости рта и зубов по протоколу GBT
В процедуру входит: снятие зубного налета, обучение гигиене, без покрытия/с покрытием фторсодержащими препаратами.
от 9 300 руб.

Анестезиология

Аппликационная анестезия
от 700 руб.
Инфильтрационная анестезия (одна карпула)
от 1 700 руб.
Проводниковая анестезия (одна карпула)
от 1 700 руб.

Лечение под наркозом

Консультация врача-анестезиолога-реаниматолога
от 2 000 руб.
Медикаментозный сон (вводный наркоз + первый час + постнаркозное наблюдение)
от 15 000 руб.
Ингаляционный наркоз для краткосрочных вмешательств с использованием севорана (до 30 минут)
от 9 200 руб.

Лечение в седации

Консультация врача-анестезиолога-реаниматолога
При стоматологическом наркозе используется безопасный препарат севоран, он погружает человека в глубокий сон.
от 2 000 руб.
Ингаляционный наркоз с использованием закиси азота
Расслабление с помощью успокаивающего газа, который подается через маску на носу. При этом пациент находится в сознании, общается с врачом, нормально дышит.
от 3 600 руб.
Сочетанная анестезия (внутривенная седация 1 час)
Внутривенная седация один час, используется для взрослых.
от 13 500 руб.

Комплексное лечение на брекетах

Полное лечение с использованием металлических брекетов на одной челюсти
Ортодонтическое лечение, когда все зубы у пациента уже сменились на постоянные.
от 161 000 руб.
Полное лечение с использованием эстетических брекетов на одной челюсти
Ортодонтическое лечение, когда все зубы у пациента уже сменились на постоянные.
от 236 000 руб.

Лечение на элайнерах

Ортодонтическая коррекция с применением элайнеров "Eurokappa" (1-12 кап)
от 200 000 руб.

Мы предлагаем вам ознакомиться с общим графиком работы врача на месяц. Пожалуйста, обратите внимание, что доступные слоты для записи не указаны. Чтобы узнать свободное время для записи, пожалуйста, свяжитесь с нашим контактным центром. Наши операторы с радостью помогут вам!

Выбрано для предварительной записи:

Другие специалисты

БОЧАРОВА
БОЧАРОВА Наталья Николаевна
Стоматолог-терапевт
Клиника на Героев Труда, 4 (Академгородок)
Записаться
ВАЛЬГЕР
ВАЛЬГЕР Анна Сергеевна
Оториноларинголог
Клиника хирургии лица и стоматологии на Сакко и Ванцетти, 77
Записаться
ДУБИНИНА
ДУБИНИНА Наталья Викторовна
Стоматолог-терапевт
Клиника на Никольском проспекте, 1 (Кольцово)
Записаться
ПРИВАЛОВ
ПРИВАЛОВ Виктор Андреевич
Врач-стоматолог
Профессорская клиника на Николаева, 12/3 (Академгородок)

Принимает еще в 1 клинике

Записаться
ЛАВРЕНТЬЕВА
ЛАВРЕНТЬЕВА Анна Юрьевна
Стоматолог-ортопед
Клиника на Революции, 10

Принимает еще в 1 клинике

Записаться
ЛАСТУХОВСКАЯ
ЛАСТУХОВСКАЯ Марина Александровна
Рентгенолаборант
Детская клиника на Ленина, 17

Принимает еще в 1 клинике

Записаться
БОЙКО
БОЙКО Артемий Петрович
Стоматолог-хирург
Клиника на пл. Карла Маркса, 1
Записаться
ШАЛЫГИНА
ШАЛЫГИНА Алина Дмитриевна
Гигиенист
Клиника хирургии лица и стоматологии на Сакко и Ванцетти, 77
Записаться
ЛЕВЩАНОВ
ЛЕВЩАНОВ Дмитрий Анатольевич
Стоматолог-ортопед
Клиника на Героев Труда, 4 (Академгородок)
Записаться
АГАРКОВА (ДЕНИСОВА)
АГАРКОВА (ДЕНИСОВА) Ксения Вячеславовна
Врач-стоматолог
Стоматолог-ортопед
Клиника на Героев Труда, 4 (Академгородок)
Записаться
ОСТАНИНА
ОСТАНИНА Валентина Алексеевна
Анестезиолог-реаниматолог
Кандидат медицинских наук
Детская клиника на Ленина, 17
Записаться
ПОГРЕБНЯК Владислав Игоревич
Врач-стоматолог
Профессорская клиника на Николаева, 12/3 (Академгородок)
Записаться