Записаться
СЕМИВОЛОВА

СЕМИВОЛОВА Анастасия Владимировна

Ортодонт
Ведущий специалист
Опытные специалисты со стажем от 7 лет. Ведут сложные случаи, обучают врачей и владеют продвинутыми методиками. Подробнее здесь
Стаж работы 13 лет
Принимает в клиниках
Клиника на Вокзальной, 50/1 (Бердск)
Клиника на пл. Карла Маркса, 1
Категории пациентов
дети
подростки
взрослые
Врач принимает по ДМС
К сожалению, безупречную улыбку с белоснежными, ровно стоящими зубами природа дает не каждому из нас. Многие смиряются с этим, и это их выбор. Но если ваша цель — иметь здоровые ровные зубы и гармоничную улыбку — добро пожаловать в мир ортодонтии. Я помогаю пациентам осуществить мечту о красивой улыбке, для меня это источник положительных эмоций.

Квалификация

Ортодонтия
Сертификат до 28.02.2027

Основное образование

2014
Высшее - ГБОУ ВПО НГМУ Минздрава России, стоматология
2016
Ординатура - ГБОУ ВПО НГМУ Минздрава России, ортодонтия

Повышение квалификации, дополнительное образование

2020
Сертификационный курс Министерства здравоохранения РФ «Диагностика, лечение, профилактика новой коронавирусной инфекции (COVID-19) в первичной медико-санитарной помощи»

2020
преподаватель НМСИ "ДентМастер"
Профессиональные навыки
Проведение полной диагностики с составлением плана лечения
Сложная ортодонтия
Эстетическая ортодонтия
Подготовка к ортогнатии, челюстно-лицевым операциям
Результаты лечения пациентов
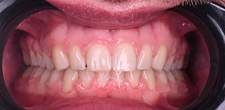
До лечения

Обратились с жалобой на торчащие зубы.
Пациенту 9 лет.

Как лечили

Расширение верхней челюсти на несъемном аппарате, миофункциональная терапия: занятия с логопедом, ежедневные упражнения дома, ношение трейнера.
Срок лечения: 7 месяцев.

Лечащий врач

СЕМИВОЛОВА Анастасия Владимировна

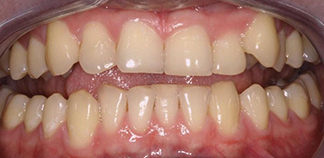
До лечения

Жалоба на некрасивую улыбку.

Как лечили

Проведено терапевтическое лечение, затем лечение на брекетах. После снятия брекетов — отбеливание и эстетическая реставрация передних верхних зубов.

Лечащие врачи
СЕМИВОЛОВА Анастасия Владимировна, КОВАЛЕВ Роман Олегович
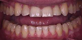
До лечения

Жалобы на неровные зубы.

Как лечили

Удалены восьмерки, проведено ортодонтическое лечение на брекетах. После снятия отреставрированы передние зубы.

Лечащие врачи
МОРОЗОВ Дмитрий Владимирович, СЕМИВОЛОВА Анастасия Владимировна, КОВАЛЕВ Роман Олегович
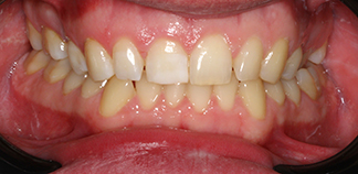
До лечения

Жалобы на скученность зубов.

Как лечили

Ортодонтическое лечение на брекетах. Проведена имплантация и установлены временные коронки в дальнейшем будут установлены постоянные.

Лечащие врачи
СЕМИВОЛОВА Анастасия Владимировна, МИРОШНИЧЕНКО Алексей Михайлович, БАЛЕВ Дмитрий Олегович
До лечения

Жалобы на отсутствие и неправильную форму зубов.
Пациенту 53 года.

Как лечили

Проведено лечение на брекет-системе. Установлены импланты на месте отсутствующих зубов. Фронтальные верхние зубы закрыты художественной реставрацией.

Лечащие врачи
СЕМИВОЛОВА Анастасия Владимировна, КОВАЛЕВ Роман Олегович
До лечения

Жалобы на отсутствие и неправильную форму зубов.
Пациенту 53 года.

Как лечили

Проведено лечение на брекет-системе. Установлены импланты на месте отсутствующих зубов. Фронтальные верхние зубы закрыты художественной реставрацией.

Лечащие врачи
СЕМИВОЛОВА Анастасия Владимировна, КОВАЛЕВ Роман Олегович
Отзывы пациентов
Алексей
18.12.2025
Хочу поблагодарить ортодонта Анастасию Семиволову — исправила сложный случай с долгим передвижением зубов.
Лечился больше 5 лет, всё очень профессионально, и всегда приятные приемы)
Рекомендую
Daria Yad
05.05.2025
Чудесное место, уютно, чисто, все внимательные - помогут, покажут, расскажут.
Была на консультации у ортодонта Семиволовой Анастасии. Все по делу, ничего лишнего. Помогает рассмотреть разные варианты, в каждом поясняет возм...
+7 952 93XXXXX
22.11.2023
Обратились к Анастасии Владимировне с целью установить брекеты ребенку. Доктор порекомендовала другой метод лечения, более подходящий. Действительно, исправление проходит гораздо легче для ребенка, ограничения минимальны, сын не ж...

СЕМИВОЛОВА Анастасия Владимировна — ортодонт ведущий специалист в сети стоматологических клиник Дентал-Сервис. Стаж работы 13 лет. Ведет прием у пациентов: взрослые, дети, подростки. Принимает по ДМС. Оказывает услуги: ортодонтия, брекеты, детская ортодонтия, миофункциональное лечение, лечение внчс. Профессиональные навыки: проведение полной диагностики с составлением плана лечения, сложная ортодонтия, эстетическая ортодонтия, подготовка к ортогнатии, челюстно-лицевым операциям.

Врач является ведущим специалистом и принимает по повышенному прайсу

Услуга
Цена, руб.

Ортодонтический прием и диагностика

Прием врача-ортодонта первичный
от 1 200 руб.
Прием врача-ортодонта повторный для составления плана лечения
от 2 400 руб.
Прием врача-ортодонта пациентов проходящих лечение в другой клинике
от 6 200 руб.
Компьютерный анализ телерентгенограммы
от 5 300 руб.
Полная диагностика перед ортодонтическим лечением
Услуга включает: снятие альгинатного оттиска с одной челюсти или сканирование, определение прикуса, изготовление контрольной модели при ортодонтическом лечении, антропометрические исследования, анализ ТРГ, фотографирование, составление плана лечения
от 10 600 руб.
Функциональная диагностика с использованием артикулятора
Услуга включает: определение вида смыкания зубных рядов с помощью лицевой дуги, снятие альгинатного оттиска с одной челюсти, сканирование, определение прикуса, изготовление контрольной модели при ортодонтическом лечении, антропометрические исследования, гипсовка в артукулятор, фотографирование.
от 22 500 руб.

Лечение височно-нижнечелюстного сустава (ВНЧС)

Функциональная цифровая диагностика
Сканы зубных рядов и аксиография верхне-нижнего челюстного сустава
от 31 300 руб.
Аксиография верхне-нижнего челюстного сустава
от 18 800 руб.
Миостимуляционная терапия прибором ТЕНС (1 процедура)
от 17 500 руб.
Прием стоматолога-хирурга/артролога первичный
от 4 600 руб.
Прием стоматолога-хирурга/артролога повторный
В течение 1 года
от 2 600 руб.
Миогимнастика
от 1 500 руб.
Внутрисуставное введение лекарственных препаратов в ВНЧС
от 1 500 руб.

Комплексное лечение на брекетах

Раннее лечение с использованием металлических брекетов на одной челюсти
Ортодонтическое лечение у подростка в период смены зубов с молочных на постоянные.
от 71 000 руб.
Раннее лечение с использованием эстетических брекетов на одной челюсти
Ортодонтическое лечение у подростка в период смены зубов с молочных на постоянные.
от 104 000 руб.
Полное лечение с использованием металлических брекетов на одной челюсти
Ортодонтическое лечение, когда все зубы у пациента уже сменились на постоянные.
от 161 000 руб.
Полное лечение с использованием эстетических брекетов на одной челюсти
Ортодонтическое лечение, когда все зубы у пациента уже сменились на постоянные.
от 236 000 руб.

Лечение на съемных аппаратах

Прием врача-ортодонта повторный (при лечении на съемном аппарате)
Выбор съемного аппарата производит лечащий врач после диагностики на осном приеме. Список апааратов, выведенный на сайте, является ознакомительным.
от 1 300 руб.
Ортодонтическая коррекция съемным аппаратом "Haas"
от 36 800 руб.
Ортодонтическая коррекция съемным аппаратом вестибулярная пластинка
от 12 600 руб.
Ортодонтическая коррекция съемным аппаратом LM-активатор
от 15 000 руб.
Ортодонтическая коррекция съемным аппаратом Миобрейс
от 15 500 руб.

Лечение на элайнерах

Прием врача-ортодонта повторный для планирования и составления плана ортодонтического лечения на элайнерах (3D-клинчек)
Выполнение 3D-клинчек – это видеоматериал с виртуальной объемной моделью перемещения зубов при лечении. Его создание возможно только после диагностики. Выполняется перед началом лечения, служит для визуализации и для последующего производства элайнеров.
от 15 000 руб.
Ортодонтическая коррекция с применением элайнеров "FlexLigner" на 1 челюсти
от 332 500 руб.
Ортодонтическая коррекция с применением элайнеров "DentalAlign", 1 шт
от 8 500 руб.
Ортодонтическая коррекция с применением элайнеров "Eurokappa" (1-12 кап)
от 200 000 руб.
Ортодонтическая коррекция с применением элайнеров "StarSmile" (1-10 кап) у взрослых и подростков
от 125 000 руб.

Миофункциональное лечение

Прием врача-ортодонта повторный для планирования и составления плана миофункционального лечения
от 8 700 руб.
Диагностика первичная при миофункциональном лечении
В услугу включено: антропометрические исследования, снятие альгинатного оттиска с одной челюсти, изготовление контрольной модели, составление плана лечения.
от 11 300 руб.
Ортодонтическое лечение с применением миофункциональных аппаратов
Уникальная услуга, альтернативный способ исправления прикуса. В основе курса — система тренировки мышц челюстно-лицевой области с помощью функциональных аппаратов — трейнеров и ежедневных упражнений.
от 127 000 руб.
Курс консультаций по использованию миофункционального аппарата с комплексом упражнений (10 приемов)
Консультация проводится совместно с логопедом
от 35 500 руб.

Хирургическое лечение височно-нижнечелюстного сустава (ВНЧС)

Внутрисуставное введение заменителей (протезов) синовиальной жидкости
от 16 500 руб.
Эндоскопическая операция на ВНЧС, артроскопическая санация сустава (1 сустав)
от 49 500 руб.
Артропластика височно-нижнечелюстного сустава (открытая репозиция суставных дисков ВНЧС, 1 сустав)
от 81 400 руб.

Мы предлагаем вам ознакомиться с общим графиком работы врача на месяц. Пожалуйста, обратите внимание, что доступные слоты для записи не указаны. Чтобы узнать свободное время для записи, пожалуйста, свяжитесь с нашим контактным центром. Наши операторы с радостью помогут вам!

Выбрано для предварительной записи:

Другие специалисты

БЕЛЯЕВ
БЕЛЯЕВ Алексей Владимирович
Стоматолог-ортопед
Клиника на Блюхера, 30

Принимает еще в 1 клинике

Записаться
ПЕТРЕНКО
ПЕТРЕНКО Роман Александрович
Рентгенолаборант
Клиника на Дуси Ковальчук, 252/1

Принимает еще в 1 клинике

Записаться
ГАТИЛОВА
ГАТИЛОВА Татьяна Андреевна
Стоматолог-хирург
Челюстно-лицевой хирург
Клиника на Блюхера, 30

Принимает еще в 1 клинике

Записаться
ТРЕНИНА (ТИХОНОВА)
ТРЕНИНА (ТИХОНОВА) Екатерина Вячеславовна
Стоматолог-терапевт
Клиника на Гребенщикова, 1 (Родники)
Записаться
ЧЕРНИКОВ
ЧЕРНИКОВ Александр Владимирович
Рентгенолаборант
Клиника на пл. Карла Маркса, 1
Записаться
АЛАЕВ
АЛАЕВ Артём Андреевич
Врач-стоматолог
Профессорская клиника на Николаева, 12/3 (Академгородок)
Записаться
БЕСКАКОТОВА
БЕСКАКОТОВА Виктория Александровна
Врач-стоматолог
Клиника на Революции, 10
Записаться
САФАРОВ
САФАРОВ Тимур Наилевич
Врач-стоматолог
Клиника на Героев Труда, 4 (Академгородок)

Принимает еще в 1 клинике

Записаться
ДУДКИН
ДУДКИН Виктор Сергеевич
Челюстно-лицевой хирург
Заведующий отделением Клиники хирургии лица
Клиника хирургии лица и стоматологии на Сакко и Ванцетти, 77
Записаться
ЛОБЗАНКИНА
ЛОБЗАНКИНА Нина Александровна
Рентгенолог
Клиника на Дуси Ковальчук, 252/1
Записаться
ДОБРЫГИНА (НИКОЛАЕВА)
ДОБРЫГИНА (НИКОЛАЕВА) Анна Александровна
Врач-стоматолог
Врач высшей категории
Клиника на пл. Карла Маркса, 1
Записаться
МАКАРОВА
МАКАРОВА Наталья Валерьевна
Ортодонт
Клиника хирургии лица и стоматологии на Сакко и Ванцетти, 77
Записаться