Записаться
МАНУКЯН (ПЕТРОСЯН)

МАНУКЯН (ПЕТРОСЯН) Нина Витальевна

Стоматолог-терапевт
Врач-стоматолог
Стаж работы 4 года
Принимает в клиниках
Клиника на Блюхера, 30
Категории пациентов
дети
подростки
взрослые
Врач принимает по ДМС

Быть врачом — моя детская мечта, которая переросла в реальность! И мне нравится, что можно развиваться в профессии всю жизнь, учиться, стремиться, не делать одно и то же, а постоянно расширять границы возможного.

Я организовываю процесс лечения так, чтобы пациенты ощущали себя в безопасной и приятной обстановке, а после всегда остаюсь на связи по телефону — пациент всегда может задать вопрос и получить поддержку.

Самое важное для меня работе — вкладывать в нее душу и делать лучше, чем вчера. А на это вдохновляют и отзывы пациентов, и высоки оценки коллег, и работы других специалистов, и результаты моих работ.

Квалификация

Стоматология
Сертификат до 12.07.2026
Стоматология терапевтическая
Сертификат до 20.09.2028

Основное образование

2021
Высшее - ФГБОУ ВО НГМУ Минздрава России, стоматология
2023
Ординатура - ФГАОУ ВО "КАЗАНСКИЙ (ПРИВОЛЖСКИЙ) ФЕДЕРАЛЬНЫЙ УНИВЕРСИТЕТ", ФГАОУ ВО КФУ, КФУ, КАЗАНСКИЙ ФЕДЕРАЛЬНЫЙ УНИВЕРСИТЕТ, КАЗАНСКИЙ (ПРИВОЛЖСКИЙ) ФЕДЕРАЛЬНЫЙ, стоматология терапевтическая
Профессиональные навыки
Лечение под микроскопом
Лечение под седацией
Анализ компьютерной томографии и составление плана лечения
Эстетическая реставрация передних и жевательных зубов
Результаты лечения пациентов
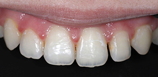
До лечения

Жалобы на тремы и диастему.
Пациенту 49 лет.

Как лечили

Проведена профессиональная гигиена и художественная реставрация шести фронтальных верхних зубов.
Лечение прошло в 1 посещение.

Лечащий врач

МАНУКЯН (ПЕТРОСЯН) Нина Витальевна

До лечения

Жалоба на размер и форму фронтального зуба.
Пациенту 16 лет.

Как лечили

Проведена профессиональная гигиена и художественная реставрация фронтального зуба.
Лечение прошло в 1 посещение.

Лечащий врач

МАНУКЯН (ПЕТРОСЯН) Нина Витальевна

Отзывы пациентов
Никита Пономаренко
09.01.2026
Манукян Нина Витальевна врач-спасатель зубов. Спасла нерв зуба, который был на грани поражения кариесом, а после этого ещё вылечила 2 моих зуба. Не врач-стоматолог, а мечта!
Арина Чупоршнева
31.10.2025
Манукян Нина Витальевна не просто врач, а ювелир спаситель. Сделала чудо, быстро и не больно, консультировала объясняла свои действия и помогла даже побороть страх стоматологов. Сама клиника отличная, посещала эту сеть клиник года...
Без имени
25.10.2025
Обратилась к Нине Витальевне по рекомендации, кариес. Приём прошёл спокойно, без спешки. Врач внимательно осмотрела, рассказала, что и как будет делать. Периодически спрашивала про ощущения. Было комфортно, без страха и боли. Посл...
Ольга К
23.10.2025
Огромное спасибо врачам и всему персоналу клиники за их труд, внимательность и неравнодушие к пациентам.Каждый раз, обращаясь сюда, получаю подтверждение их высокого профессионализма.Ставила коронки у Шакуровой Александры Андреевн...
Руслан Яруллин
23.10.2025
Сегодня воспользовался услугой данной клиники и остался очень доволен результатом, хочу отменить большим профессионализмом Нины Манукян, Нина теперь я ваш постоянный пациент..))

МАНУКЯН (ПЕТРОСЯН) Нина Витальевна — подростковый стоматолог, стоматолог-терапевт в сети стоматологических клиник Дентал-Сервис. Стаж работы 4 года. Ведет прием у пациентов: подростки, взрослые. Принимает по ДМС. Оказывает услуги: лечение под микроскопом, терапевтическая стоматология, лечение кариеса, лечение пульпита, лечение периодонтита, подростковая стоматология, реставрация зубов. Профессиональные навыки: лечение под микроскопом, лечение под седацией, анализ компьютерной томографии и составление плана лечения, эстетическая реставрация передних и жевательных зубов.

Услуга
Цена, руб.

Лечение зубов под микроскопом

Прием врача-стоматолога-терапевта первичный
от 900 руб.
Прием врача-стоматолога-терапевта повторный (проф.осмотр)
бесплатно
Лечение кариеса эмали по технологии ICON (без учета анестезии)
Запечатывание вестибулярной поверхности зуба герметиком
от 7 800 руб.
Лечение кариеса (без учета анестезии)
от 8 700 руб.
Лечение обратимого пульпита (без учета анестезии)
Закрытие перфорации стенки корневого канала зуба, восстановление зуба пломбой с использованием материалов из фотополимеров
от 5 000 руб.
Двухэтапное лечение пульпита одноканального зуба (без учета анестезии)
1 этап: пульпотомия, экстирпация пульпы, временное пломбирование лекарственным препаратом корневого канала, наложение временной пломбы, инструментальная и медикаментозная обработка корневого канала. 2 этап: пломбирование корневого канала зуба гуттаперчивыми штифтами, снятие временной пломбы
от 15 900 руб.
Двухэтапное лечение периодонтита одноканального зуба (без учета анестезии)
1 этап: инструментальная и медикаментозная обработка корневого канала, временное пломбирование лекарственным препаратом корневого канала, наложение временной пломбы. 2 этап: пломбирование корневого канала зуба гуттаперчивыми штифтами, снятие временной пломбы
от 15 900 руб.
Апикальная хирургия. Хирургический и терапевтический этап в области фронтальных зубов
1ый этап хирургический: резекция верхушки корня зуба, цистэктомия, наложение шва на слизистую оболочку рта. 2ой этап терапевтический: инструментальная и медикаментозная обработка корневого канала (ретропрепарирование), закрытие перфорации стенки корневого канала зуба (пломбирование МТА, биокерамикой)
от 40 000 руб.
Оказание неотложной стоматологической помощи (без учета анестезии)
Включает снятие острой боли, установку временной пломбы
от 3 700 руб.

Протезирование зубов

Керамическая вкладка (один зуб)
от 34 000 руб.
Цельнокерамическая коронка боковая из диоксида циркония (1 зуб)
Включает: препарирование зуба, внутриротовое сканирование, компьютерное моделирование и фрезерование в зуботехнической лаборатории, примерка и фиксация постоянной коронки
от 38 000 руб.
Цельнокерамическая коронка фронтальная из диоксида циркония, E-MAX (1 зуб)
Включает: препарирование зуба, внутриротовое сканирование, компьютерное моделирование и фрезерование в зуботехнической лаборатории, примерка и фиксация постоянной коронки
от 45 000 руб.
Восстановление зуба виниром
от 48 000 руб.
Восстановление зуба ультратонким виниром
от 57 000 руб.

Эстетическая стоматология

Художественная реставрация жевательного зуба
Восстановление естественной структуры/формы/цвета зуба при помощи синтетических материалов
от 18 500 руб.
Художественная реставрация фронтального зуба
Восстановление естественной структуры/формы/цвета зуба при помощи синтетических материалов
от 23 500 руб.
Эстетическое контурирование зуба
Процедура выравнивания, либо изменения формы зубов. Это быстрый и недорогой метод, обычно не требующий анестезии. Показания: сломанные, длинные или аномальные зубы
от 5 100 руб.

Подростковая стоматология

Прием врача-стоматолога-терапевта первичный (до 30 мин)
от 900 руб.
Прием врача-стоматолога-терапевта первичный (до 45 мин)
Развернутая консультация по комплексному лечению и/или лечению в наркозе
от 1 700 руб.
Прием врача-стоматолога-терапевта повторный (проф.осмотр)
от 800 руб.
Запечатывание фиссуры зуба
Фиссуры — естественные желобки на поверхности зуба. Герметизация (запечатывание) фиссур герметиком предотвращает скапливание в этих местах налета и, как следствие, развитие кариеса. Без расшлифовки.
от 2 000 руб.
Лечение кариеса молочного зуба (без учета анестезии)
от 4 600 руб.
Лечение кариеса постоянного зуба (без учета анестезии)
от 8 700 руб.
Лечение обратимого пульпита молочного зуба (без учета анестезии)
С сохранением жизнеспособности зуба. Стоимость указана без учета анестезии и восстановления
от 4 700 руб.
Лечение обратимого пульпита постоянного зуба (без учета анестезии)
Закрытие перфорации стенки корневого канала зуба, восстановление зуба пломбой с нарушением контактного пункта с использованием материалов из фотополимеров. Стоимость указана без учета анестезии
от 5 000 руб.
Лечение пульпита одноканального молочного зуба (без учета анестезии)
Стоимость лечения зуба в 2 этапа без учета анестезии и восстановления. 1 этап: пульпотомия, экстирпация пульпы, временное пломбирование лекарственным препаратом корневого канала, наложение временной пломбы, инструментальная и медикаментозная обработка корневого канала. 2 этап: пломбирование корневого канала зуба пастой, снятие временной пломбы.
от 8 700 руб.
Лечение пульпита одноканального постоянного зуба (без учета анестезии)
Стоимость лечения в 2 этапа без учета анестезии и восстановления. 1 этап: пульпотомия, экстирпация пульпы, временное пломбирование лекарственным препаратом корневого канала, наложение временной пломбы, инструментальная и медикаментозная обработка корневого канала. 2 этап: пломбирование корневого канала зуба гуттаперчивыми штифтами, снятие временной пломбы.
от 15 900 руб.
Лечение периодонтита одноканального молочного зуба (без учета анестезии)
Стоимость лечения зуба в 2 этапа без учета анестезии и восстановления. 1 этап: пульпотомия, экстирпация пульпы, временное пломбирование лекарственным препаратом корневого канала, наложение временной пломбы, инструментальная и медикаментозная обработка корневого канала. 2 этап: пломбирование корневого канала зуба пастой, снятие временной пломбы.
от 8 700 руб.
Лечение периодонтита одноканального постоянного зуба (без учета анестезии)
Стоимость лечения в 2 этапа без учета анестезии и восстановления. 1 этап: инструментальная и медикаментозная обработка корневого канала, временное пломбирование лекарственным препаратом корневого канала, наложение временной пломбы. 2 этап: пломбирование корневого канала зуба гуттаперчивыми штифтами, снятие временной пломбы.
от 8 400 руб.
Удаление подвижного молочного зуба (без учета анестезии)
от 2 500 руб.
Удаление постоянного зуба (без учета анестезии)
от 5 400 руб.
Комплексная профессиональная гигиена полости рта и зубов по протоколу GBT
В процедуру входит: снятие зубного налета, обучение гигиене, без покрытия/с покрытием фторсодержащими препаратами.
от 7 300 руб.

Анестезиология

Аппликационная анестезия
от 550 руб.
Инфильтрационная анестезия (одна карпула)
от 1 300 руб.
Проводниковая анестезия (одна карпула)
от 1 300 руб.

Лечение под наркозом

Консультация врача-анестезиолога-реаниматолога
от 2 000 руб.
Медикаментозный сон (вводный наркоз + первый час + постнаркозное наблюдение)
от 15 000 руб.
Ингаляционный наркоз для краткосрочных вмешательств с использованием севорана (до 30 минут)
от 9 200 руб.

Лечение в седации

Консультация врача-анестезиолога-реаниматолога
При стоматологическом наркозе используется безопасный препарат севоран, он погружает человека в глубокий сон.
от 2 000 руб.
Ингаляционный наркоз с использованием закиси азота
Расслабление с помощью успокаивающего газа, который подается через маску на носу. При этом пациент находится в сознании, общается с врачом, нормально дышит.
от 3 600 руб.
Сочетанная анестезия (внутривенная седация 1 час)
Внутривенная седация один час, используется для взрослых.
от 13 500 руб.

Мы предлагаем вам ознакомиться с общим графиком работы врача на месяц. Пожалуйста, обратите внимание, что доступные слоты для записи не указаны. Чтобы узнать свободное время для записи, пожалуйста, свяжитесь с нашим контактным центром. Наши операторы с радостью помогут вам!

Выбрано для предварительной записи:

Другие специалисты

ЕРМОШКИН
ЕРМОШКИН Никита Михайлович
Врач-стоматолог
Профессорская клиника на Николаева, 12/3 (Академгородок)
Записаться
ВИГЕЛЬ
ВИГЕЛЬ Амалия Дмитриевна
Врач-стоматолог
Профессорская клиника на Николаева, 12/3 (Академгородок)

Принимает еще в 1 клинике

Записаться
КРУТЬКО
КРУТЬКО Оксана Алексеевна
Стоматолог-терапевт
Стоматолог-хирург
Главный врач Клиники на Никольском проспекте, 1
Клиника на Никольском проспекте, 1 (Кольцово)
Записаться
ПОПОВА
ПОПОВА Александра Николаевна
Врач-стоматолог
Клиника на пл. Карла Маркса, 1
Записаться
ЧИБИСОВА
ЧИБИСОВА Анна Владимировна
Врач-стоматолог
Клиника на Дуси Ковальчук, 252/1
Записаться
ЗАВОДОВ
ЗАВОДОВ Олег Игоревич
Стоматолог-ортопед
Врач-стоматолог
Клиника на Дуси Ковальчук, 252/1
Записаться
БОБЫЛЕВА
БОБЫЛЕВА Елизавета Евгеньевна
Стоматолог-терапевт
Врач-стоматолог
Клиника на Революции, 10
Записаться
БОГОМЯГКОВА (ПЕРЕВАЛОВА) Екатерина Андреевна
Врач-стоматолог
Стоматолог-ортопед
Клиника хирургии лица и стоматологии на Сакко и Ванцетти, 77
Записаться
ВОЙТЕХОВСКАЯ
ВОЙТЕХОВСКАЯ Ангелина Денисовна
Врач-стоматолог
Профессорская клиника на Николаева, 12/3 (Академгородок)

Принимает еще в 1 клинике

Записаться
ХАНОВА
ХАНОВА Анна Сергеевна
Врач-стоматолог
Профессорская клиника на Николаева, 12/3 (Академгородок)
Записаться
КРАСНОВА (МЕЛЕХОВА)
КРАСНОВА (МЕЛЕХОВА) Анастасия Алексеевна
Врач-стоматолог
Клиника на Вокзальной, 50/1 (Бердск)
Записаться
МОРОДЕЦКАЯ (ПРОХОРОВА)
МОРОДЕЦКАЯ (ПРОХОРОВА) Александра Владимировна
Стоматолог-терапевт
Клиника на пл. Карла Маркса, 1
Записаться