Записаться
МАРКОСЯН

МАРКОСЯН Геворк Сандроевич

Стоматолог-ортопед
Врач высшей категории
Специалисты с опытом от 5 лет. Уверенно работают со сложными случаями, владеют сложными манипуляциями и получают отличные отзывы. Подробнее здесь
Стаж работы 8 лет
Принимает в клиниках
Клиника на Гребенщикова, 1 (Родники)
Категории пациентов
дети
подростки
взрослые
Больше всего мне нравится видеть яркие улыбки моих пациентов. Счастливый, довольный работой пациент — это высшая награда для меня.

Квалификация

Стоматология ортопедическая
Сертификат до 25.07.2028

Основное образование

2016
Высшее - ГБОУ ВПО НГМУ Минздрава России, стоматология
2018
Ординатура - ФГБОУ ВО НГМУ Минздрава России, стоматология ортопедическая

Повышение квалификации, дополнительное образование

2020
Сертификационный курс Министерства здравоохранения РФ «Диагностика, лечение, профилактика новой коронавирусной инфекции (COVID-19) в первичной медико-санитарной помощи»
Профессиональные навыки
Анализ компьютерной томографии и составление плана лечения
Цифровое протезирование
Восстановление зубов любым видом протезирования
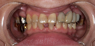
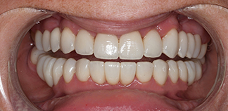
Результаты лечения пациентов
До лечения

Жалобы на внешний вид зубов.

Как лечили

Пролечен кариес под старыми коронками, установлены мостовидные протезы.

Лечащие врачи
МАРКОСЯН Геворк Сандроевич, ТИХОНОВА Наталья Вячеславовна
До лечения

Пациент обратился с просьбой заменить съемные протезы на несъемные.

Как лечили

Проведено протезирование по протоколу «All-on-4» на верхней челюсти и съемное протезирование на двух имплантах на нижней челюсти.

Лечащие врачи
МАРКОСЯН Геворк Сандроевич, ТИГРАНЯН Варангюл Гургенович
До лечения

Жалобы на то, что не может нормально жевать и улыбаться.
Пациенту 45 лет.

Как лечили

Проведена профессиональная гигиена зубов. Сняты старые коронки и мосты, пролечен кариес. Были установлены 9 имплантов. На верхние фронтальные зубы установлены цельноциркониевые коронки.
Лечение проведено в течение шести месяцев.

Лечащие врачи
МАРКОСЯН Геворк Сандроевич, ХОМУТОВА Татьяна Александровна, ТИГРАНЯН Варангюл Гургенович
Отзывы пациентов
П*ци*нт
10.04.2025
Геворк Сандроевич Маркосян оказался аккуратным и внимательным специалистом. Мне понравилось, что он подробно объяснял каждое свое действие и заранее предупреждал о любых неприятных ощущениях. В результате, мне сделали такой чудесн...
Лидия Ивановна
21.02.2025
Была на консультации у ортопеда и КТ. Доктор Геворг Сандроевич, специалиста кабинета КТ к сожалению не знаю.
Оценка работы - 10 из 5! Аккуратно, безболезненно, внимательно, с предложением различных возможных тактик лечения ра...
Акции с участием врача
Смотреть все
Бесплатная консультация по имплантации и КТ
Вернем здоровье и красоту вашей улыбки!
Реклама ООО "Дентал-Сервис Бердск" ИНН 544525957, erid: 2VfnxwD8CRn

20 августа 2025-30 апреля 2026

МАРКОСЯН Геворк Сандроевич — стоматолог-ортопед, врач высшей категории в сети стоматологических клиник Дентал-Сервис. Стаж работы 8 лет. Ведет прием у пациентов: взрослые. Оказывает услуги: ортопедическая стоматология, виниры, коронки, протезирование на имплантатах, мостовидный протез, съемное протезирование зубов, вкладка на зуб, эстетическая стоматология, реставрация зубов. Профессиональные навыки: анализ компьютерной томографии и составление плана лечения, цифровое протезирование, восстановление зубов любым видом протезирования.

Врач высшей категории принимает по повышенному прайсу

Услуга
Цена, руб.

Гигиенический прием

Комплексная профессиональная гигиена полости рта и зубов по протоколу GBT
В процедуру входит: снятие зубного налета, обучение гигиене, с покрытием/без покрытия фтор-гелем
от 8 100 руб.

Протезирование зубов

Прием врача-стоматолога-ортопеда первичный
от 1 000 руб.
Цельнокерамическая коронка фронтальная из диоксида циркония, E-MAX (один зуб)
Включает: препарирование зуба, внутриротовое сканирование, компьютерное моделирование и фрезерование в зуботехнической лаборатории, примерка и фиксация постоянной коронки.
от 49 500 руб.
Цельнокерамическая коронка боковая из диоксида циркония (один зуб)
Включает: препарирование зуба, внутриротовое сканирование, компьютерное моделирование и фрезерование в зуботехнической лаборатории, примерка и фиксация постоянной коронки.
от 41 800 руб.
Восстановление временной коронкой из пластмассы
Включает: снятие слепка, изготовление и фиксация временной коронки прямым методом.
от 5 500 руб.
Восстановление временной коронкой из пластмассы CAD/CAM
Включает: внутриротовое сканирование, моделирование и изготовление коронки лабораторным методом, фиксация временной коронки.
от 7 300 руб.
Композитная вкладка (один зуб)
от 25 300 руб.
Керамическая вкладка (один зуб)
от 37 400 руб.
Восстановление зуба виниром
от 52 800 руб.
Восстановление зуба ультратонким виниром
от 62 700 руб.
Протезирование частичным съемным протезом
от 45 100 руб.
Протезирование зубов полным съемным протезом
от 58 300 руб.
Протезирование съемным бюгельным протезом на 1 челюсть
от 95 700 руб.
Мостовидный протез из диоксида циркония с опорой на 2 зуба
Включает: препарирование зубов, внутриротовое сканирование, компьютерное моделирование и фрезерование в зуботехнической лаборатории, примерка и фиксация постоянных коронок. Дополнительно оплачивается по необходимости 3D-модель, анестезия, изготовление и установка временного мостовидного протеза.
от 125.400 руб.
Несъемный протез нескольких зубов из диоксида циркония (мостовидный протез) на имплантатах
Включает: внутриротовое сканирование с применением скан маркеров, компьютерное моделирование, фрезерование ортопедической конструкции, склейка абатментов, примерка и фиксация ортопедической конструкции в полости рта. Отдельно оплачивается по необходимости 3D-модель, анестезия, изготовление и установка временного мостовидного протеза.
от 127 400 руб.

Эстетическая стоматология

Художественная реставрация жевательного зуба
Восстановление естественной структуры/формы/цвета зуба при помощи синтетических материалов.
от 20 400 руб.
Художественная реставрация фронтального зуба
Восстановление естественной структуры/формы/цвета зуба при помощи синтетических материалов.
от 25 900 руб.
Эстетическое контурирование зуба
Процедура выравнивания, либо изменения формы зубов. Это быстрый и недорогой метод, обычно не требующий анестезии. Показания: сломанные, длинные или аномальные зубы.
от 5 700 руб.
Пластика рецессии десны за 1 зуб (один зуб)
Рецессия (опущение десны) — патологический процесс убыли объема десны, при котором обнажается шейка и начало корня зуба.
от 31 900 руб.

Хирургическая стоматология

Гингивопластика
Пластика мягких тканей при имплантации, костной пластике, изменении фенотипа десны
от 28 600 руб.

Дентальная имплантация

Система имплантации Implantium (Ю.Корея). Ортопедический этап
Протезирование бокового зуба коронкой из диоксида циркония, с абатментом из системы Implantium
от 37 000 руб.
Система имплантации AnyOne (Ю.Корея). Ортопедический этап
Протезирование бокового зуба коронкой из диоксида циркония, с абатментом из системы AnyOne
от 42 800 руб.
Система имплантации Renova (США). Ортопедический этап
Протезирование бокового зуба коронкой из диоксида циркония, с абатментом из системы Renova
от 54 400 руб.
Система имплантации Medentika (Германия). Ортопедический этап
Протезирование бокового зуба коронкой из диоксида циркония, с абатментом из системы Medentika
от 54 400 руб.
Системы имплантации Straumann (Швейцария). Ортопедический этап
Протезирование бокового зуба коронкой из диоксида циркония, с абатментом из системы Straumann
от 78 600 руб.
Хирургический и ортопедический этап имплантации по системе «Все-на-четырех»
Входит в стоимость минимума: установка 4 единиц имплантов по цифровому хирургическому шаблону + полное съемное протезирование из пластмассы (временные коронки: 4 ед на имплатах, 8 ед подвесных, 4 единицы аббатментов, литая балка).
от 485 500 руб.

Комплексное лечение на брекетах

Полное лечение с использованием металлических брекетов на одной челюсти
Ортодонтическое лечение, когда все зубы у пациента уже сменились на постоянные.
от 149 000 руб.
Полное лечение с использованием эстетических брекетов на одной челюсти
Ортодонтическое лечение, когда все зубы у пациента уже сменились на постоянные.
от 218 000 руб.

Лечение на элайнерах

Ортодонтическая коррекция с применением элайнеров "Eurokappa" (1-12 кап)
от 184 000 руб.

Мы предлагаем вам ознакомиться с общим графиком работы врача на месяц. Пожалуйста, обратите внимание, что доступные слоты для записи не указаны. Чтобы узнать свободное время для записи, пожалуйста, свяжитесь с нашим контактным центром. Наши операторы с радостью помогут вам!

Выбрано для предварительной записи:

Другие специалисты

РЕГУЗОВ
РЕГУЗОВ Евгений Геннадьевич
Стоматолог-ортопед
Главный врач Клиники на Героев труда, 4
Клиника на Героев Труда, 4 (Академгородок)
Записаться
БЕЛЯЕВ
БЕЛЯЕВ Алексей Владимирович
Стоматолог-ортопед
Клиника на Блюхера, 30

Принимает еще в 1 клинике

Записаться
ЗАИКИН
ЗАИКИН Дмитрий Игоревич
Стоматолог-ортопед
Клиника на Блюхера, 30
Записаться
ГЕВКО (РЕГУЗОВА)
ГЕВКО (РЕГУЗОВА) Мария Евгеньевна
Стоматолог-ортопед
Врач высшей категории
Клиника на Героев Труда, 4 (Академгородок)
Записаться
ЗАВАЛЬНИКОВ
ЗАВАЛЬНИКОВ Антон Валерьевич
Стоматолог-ортопед
Клиника на Героев Труда, 4 (Академгородок)
Записаться
АГАРКОВА (ДЕНИСОВА)
АГАРКОВА (ДЕНИСОВА) Ксения Вячеславовна
Врач-стоматолог
Стоматолог-ортопед
Клиника на Героев Труда, 4 (Академгородок)
Записаться
ГУКАСЯН
ГУКАСЯН Гукас Арутюнович
Стоматолог-ортопед
Клиника хирургии лица и стоматологии на Сакко и Ванцетти, 77
Записаться
СОКОЛОВА (БАЛАШОВА)
СОКОЛОВА (БАЛАШОВА) Елена Евгеньевна
Стоматолог-ортопед
Клиника на Никольском проспекте, 1 (Кольцово)
Записаться
ТАЯНОВ
ТАЯНОВ Станислав Викторович
Врач-стоматолог
Клиника на Героев Труда, 4 (Академгородок)
Записаться
ЛЯХОВ
ЛЯХОВ Алексей Владимирович
Стоматолог-ортопед
Клиника хирургии лица и стоматологии на Сакко и Ванцетти, 77
Записаться
АСОЯН
АСОЯН Александр Эдикович
Стоматолог-ортопед
Клиника на Гребенщикова, 1 (Родники)

Принимает еще в 1 клинике

Записаться
ЛЕВЩАНОВ
ЛЕВЩАНОВ Дмитрий Анатольевич
Стоматолог-ортопед
Клиника на Героев Труда, 4 (Академгородок)
Записаться