Записаться

НИКУЛИНА Анастасия Константиновна

Врач-стоматолог
Ортодонт
Стаж работы 2 года
Принимает в клиниках
Клиника на Вокзальной, 50/1 (Бердск)
Категории пациентов
дети
подростки
взрослые
Врач принимает по ДМС
У меня нет слов.
Просто люблю свою работу!

Квалификация

Стоматология
Сертификат до 06.07.2028
Ортодонтия
Сертификат до 15.09.2030

Основное образование

2023
Высшее - ФГБОУ ВО ИГМА Минздрава России, стоматология
Профессиональные навыки
Проведение полной диагностики с составлением плана лечения
Эстетическая ортодонтия
Миофункциональный подход
Результаты лечения пациентов
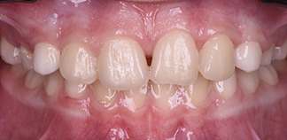
До лечения

Жалоба на неправильный прикус, выступающую вперед нижнюю челюсть.
Пациенту 8 лет.

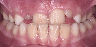
Как лечили

Проведено лечение на несъемном расширяющем аппарате, лицевой маске для коррекции положения верхней челюсти и миофункциональная терапия.
Лечение проведено в течение 7 месяцев.

Лечащий врач

НИКУЛИНА Анастасия Константиновна

НИКУЛИНА Анастасия Константиновна — ортодонт в сети стоматологических клиник Дентал-Сервис. Стаж работы 2 года. Ведет прием у пациентов: взрослые, дети, подростки. Принимает по ДМС. Оказывает услуги: детская ортодонтия, ортодонтия, брекеты, миофункциональное лечение. Профессиональные навыки: проведение полной диагностики с составлением плана лечения, эстетическая ортодонтия, миофункциональный подход.

Услуга
Цена, руб.

Ортодонтический прием и диагностика

Прием врача-ортодонта первичный
от 900 руб.
Прием врача-ортодонта повторный для составления плана лечения
от 1 900 руб.
Прием врача-ортодонта пациентов проходящих лечение в другой клинике
от 4 900 руб.
Компьютерный анализ телерентгенограммы
от 4 200 руб.
Полная диагностика перед ортодонтическим лечением
Услуга включает: снятие альгинатного оттиска с одной челюсти или сканирование, определение прикуса, изготовление контрольной модели при ортодонтическом лечении, антропометрические исследования, анализ ТРГ, фотографирование, составление плана лечения
от 8 500 руб.
Функциональная диагностика с использованием артикулятора
Услуга включает: определение вида смыкания зубных рядов с помощью лицевой дуги, снятие альгинатного оттиска с одной челюсти, сканирование, определение прикуса, изготовление контрольной модели при ортодонтическом лечении, антропометрические исследования, гипсовка в артукулятор, фотографирование.
от 18 000 руб.

Комплексное лечение на брекетах

Раннее лечение с использованием металлических брекетов на одной челюсти
Ортодонтическое лечение у подростка в период смены зубов с молочных на постоянные.
от 57 000 руб.
Раннее лечение с использованием эстетических брекетов на одной челюсти
Ортодонтическое лечение у подростка в период смены зубов с молочных на постоянные.
от 83 000 руб.
Полное лечение с использованием металлических брекетов на одной челюсти
Ортодонтическое лечение, когда все зубы у пациента уже сменились на постоянные.
от 129 000 руб.
Полное лечение с использованием эстетических брекетов на одной челюсти
Ортодонтическое лечение, когда все зубы у пациента уже сменились на постоянные.
от 189 000 руб.

Лечение на элайнерах

Прием врача-ортодонта повторный для планирования и составления плана ортодонтического лечения на элайнерах (3D-клинчек)
Выполнение 3D-клинчек – это видеоматериал с виртуальной объемной моделью перемещения зубов при лечении. Его создание возможно только после диагностики. Выполняется перед началом лечения, служит для визуализации и для последующего производства элайнеров.
от 15 000 руб.
Ортодонтическая коррекция с применением элайнеров "DentalAlign", 1 шт
от 8 500 руб.
Ортодонтическая коррекция с применением элайнеров "StarSmile" (1-10 кап) у взрослых и подростков
от 100 000 руб.
Ортодонтическая коррекция с применением элайнеров "Eurokappa" (1-12 кап)
от 160 000 руб.
Ортодонтическая коррекция с применением элайнеров "FlexLigner" на 1 челюсти
от 266 000 руб.

Лечение на съемных аппаратах

Прием врача-ортодонта повторный (при лечении на съемном аппарате)
Выбор съемного аппарата производит лечащий врач после диагностики на осном приеме. Список апааратов, выведенный на сайте, является ознакомительным.
от 1 000 руб.
Ортодонтическая коррекция съемным аппаратом вестибулярная пластинка
от 12 600 руб.
Ортодонтическая коррекция съемным аппаратом LM-активатор
от 15 000 руб.
Ортодонтическая коррекция съемным аппаратом Миобрейс
от 15 500 руб.
Ортодонтическая коррекция съемным аппаратом "Haas"
от 36 800 руб.

Миофункциональное лечение

Прием врача-ортодонта повторный для планирования и составления плана миофункционального лечения
от 6 900 руб.
Диагностика первичная при миофункциональном лечении
В услугу включено: антропометрические исследования, снятие альгинатного оттиска с одной челюсти, изготовление контрольной модели, составление плана лечения.
от 9 000 руб.
Ортодонтическое лечение с применением миофункциональных аппаратов
Уникальная услуга, альтернативный способ исправления прикуса. В основе курса — система тренировки мышц челюстно-лицевой области с помощью функциональных аппаратов — трейнеров и ежедневных упражнений.
от 101 400 руб.
Курс консультаций по использованию миофункционального аппарата с комплексом упражнений (10 приемов)
Консультация проводится совместно с логопедом
от 28 400 руб.

Мы предлагаем вам ознакомиться с общим графиком работы врача на месяц. Пожалуйста, обратите внимание, что доступные слоты для записи не указаны. Чтобы узнать свободное время для записи, пожалуйста, свяжитесь с нашим контактным центром. Наши операторы с радостью помогут вам!

Выбрано для предварительной записи:

Другие специалисты

ГРАКОВИЧ
ГРАКОВИЧ Эльвира Николаевна
Детский стоматолог
Клиника на пл. Карла Маркса, 1

Принимает еще в 1 клинике

Записаться
ЛОМАКИН
ЛОМАКИН Андрей Сергеевич
Стоматолог-ортопед
Клиника на Героев Труда, 4 (Академгородок)
Записаться
ЗАИКИНА (БУРКАЦКАЯ)
ЗАИКИНА (БУРКАЦКАЯ) Мария Олеговна
Стоматолог-терапевт
Клиника на Блюхера, 30
Записаться
САФАРОВ
САФАРОВ Тимур Наилевич
Врач-стоматолог
Клиника на Героев Труда, 4 (Академгородок)
Записаться
РЫБОЛОВ
РЫБОЛОВ Михаил Викторович
Врач-стоматолог
Профессорская клиника на Николаева, 12/3 (Академгородок)

Принимает еще в 1 клинике

Записаться
СЕМИВОЛОВА
СЕМИВОЛОВА Анастасия Владимировна
Ортодонт
Клиника на Вокзальной, 50/1 (Бердск)

Принимает еще в 1 клинике

Записаться
МАРДАНЯН
МАРДАНЯН Анжела Ремиковна
Стоматолог-терапевт
Клиника на Героев Труда, 4 (Академгородок)
Записаться
ГРЫДИН
ГРЫДИН Максим Александрович
Стоматолог-ортопед
Клиника на Вокзальной, 50/1 (Бердск)
Записаться
ОБУХОВА (ПЕРЕСВЕТ)
ОБУХОВА (ПЕРЕСВЕТ) Лия Дмитриевна
Стоматолог-терапевт
Врач-стоматолог
Зам. главного врача клиники на Блюхера, 30
Клиника на Блюхера, 30
Записаться
АЛАЕВ
АЛАЕВ Артём Андреевич
Врач-стоматолог
Профессорская клиника на Николаева, 12/3 (Академгородок)

Принимает еще в 1 клинике

Записаться
КРЮКОВ Дмитрий Сергеевич
Челюстно-лицевой хирург
Клиника хирургии лица и стоматологии на Сакко и Ванцетти, 77
Записаться
ВОЛГИНА
ВОЛГИНА Алина Андреевна
Гигиенист
Клиника на пл. Карла Маркса, 1
Записаться