Записаться
ГАЛИЧ

ГАЛИЧ Александр Витальевич

Врач-стоматолог
Врач высшей категории
Специалисты с опытом от 5 лет. Уверенно работают со сложными случаями, владеют сложными манипуляциями и получают отличные отзывы. Подробнее здесь
Стаж работы 8 лет
Принимает в клиниках
Клиника на пл. Карла Маркса, 1
Категории пациентов
дети
подростки
взрослые
Врач принимает по ДМС

Каждый день ребенок получает радость от приятных вкусностей и заряжает родителей своей искренней улыбкой! Одновременно с этим, улыбка малыша ежедневно подвержена негативным воздействием различных микроорганизмов. Именно поэтому важно регулярно следить за состоянием полости рта ребенка.

Дентал-Сервис отличается комплексностью лечения, индивидуальным подходом к каждому пациенту и, конечно, высоким профессионализмом. Поэтому у вашего ребенка не останется негативных эмоций, а визит к врачу станет маленьким, но веселым приключением, где мы победим злобных микробов и научимся правильно чистить зубки.

Уважаемые взрослые, дарите детям и счастливое, и здоровое детство!

Квалификация

Стоматология общей практики
Сертификат до 30.05.2028

Основное образование

2018
Высшее - ФГБОУ ВО НГМУ Минздрава России, стоматология

Повышение квалификации, дополнительное образование

2022
Детская стоматология: эндодонтия временных зубов
2020
Сертификационный курс Министерства здравоохранения РФ «Диагностика, лечение, профилактика новой коронавирусной инфекции (COVID-19) в первичной медико-санитарной помощи»
Профессиональные навыки
Лечение под микроскопом
Лечение под наркозом
Лечение под седацией
Прием особенных детей
Анализ компьютерной томографии и составление плана лечения
Прием с острой болью
Использование современных технологий при лечении каналов
Микропротезирование вкладками
Бережная адаптация к стоматологическому приему
Герметизация фиссур
Результаты лечения пациентов
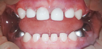
До лечения

Выбил два передних зуба на футболе.
Пациенту 9 лет.

Как лечили

Репозиция зубов в лунки, шинирование на две недели. Динамичное наблюдение, рентген контроль. Проведено эндодонтическое лечение переднего зуба.
Лечение проведено в течение одного месяца.

Лечащий врач

ГАЛИЧ Александр Витальевич

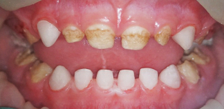
До лечения

Жалобы на боль во всех зубах от холодного, кислого, сладкого, при чистке зубов.
Пациенту 2,5 года.

Как лечили

Лечение кариеса под наркозом. Поставлены коронки из диоксида циркония на передние зубы и металлические коронки на жевательные.
Лечение проведено за один визит.

Лечащий врач

ГАЛИЧ Александр Витальевич

Отзывы пациентов
Nadya F
15.02.2026
Лечим зубы дочери в этой клинике у доктора Галича Александра Витальевича. Врач очень внимательный, спокойный, быстро нашел подход к ребенку. Идем на прием с удовольствием. Клиника большая, есть игровая, парковка для клиентов на те...
Наталья Гуменная
18.10.2025
Добрый день, мы в этой клиники лечили кариес у Галича Александра Витальевича. Мы остались очень довольны результатом. Моей дочери 1,7 кариес двух передних зубов у нас было лечение во сне, переживали очень, как перенесёт наркоз, ка...
дарья
05.10.2025
Я очень довольна работой детского стоматолога Галич Александра Витальевича. Он профессионально и внимательно подходит к лечению кариеса моего ребенка. Весь процесс проходит максимально аккуратно и безболезненно, что очень важно. А...
Мари
30.06.2025
Посетили новую клинику на Маркса, очень просторно и уютно. Поводом был осмотр ребенка в годик. Целенаправлено записывалась именно к Галич Александру Витальевичу. Доктор максимально деликатный и спокойный, аккуратно посмотрел, все ...
Анна Шпис
31.05.2025
Хочу отметить врача Галич Александра Витальевича - вы самый лучший врач-стоматолог! Очень жаль, что мы раньше о вашей клинике не знали. Я в восторге, ребёнок доволен! Будем приходить только к вам. Спасибо за ваш труд!

ГАЛИЧ Александр Витальевич — детский стоматолог, подростковый стоматолог, врач высшей категории в сети стоматологических клиник Дентал-Сервис. Стаж работы 8 лет. Ведет прием у пациентов: дети, подростки. Принимает по ДМС. Оказывает услуги: детская стоматология, травма детского зуба, лечение детей под наркозом, лечение детей под седацией, лечение кариеса у детей, лечение пульпита у детей, детские коронки, профилактический осмотр у детей, лечение зубов особенным детям, подростковая стоматология. Профессиональные навыки: лечение под микроскопом, лечение под наркозом, лечение под седацией, прием особенных детей, анализ компьютерной томографии и составление плана лечения, прием с острой болью, использование современных технологий при лечении каналов, микропротезирование вкладками, бережная адаптация к стоматологическому приему, герметизация фиссур.

Врач высшей категории принимает по повышенному прайсу

Услуга
Цена, руб.

Детская стоматология

Прием детского стоматолога/зубного врача первичный (до 30 минут)
от 1 000 руб.
Прием детского стоматолога первичный расширенный (до 45 минут)
Развернутая консультация по комплексному лечению и/или лечению в наркозе
от 1 900 руб.
Прием детского стоматолога/зубного врача повторный (проф.осмотр)
от 900 руб.
Лечение кариеса молочного зуба (без учета анестезии)
от 5 100 руб.
Лечение обратимого пульпита молочного зуба
Стоимость указана без учета анестезии и восстановления
от 5 200 руб.
Лечение пульпита молочного зуба
Стоимость лечения зуба в 2 этапа без учета анестезии и восстановления. 1 этап: пульпотомия, экстирпация пульпы, временное пломбирование лекарственным препаратом корневого канала, наложение временной пломбы, инструментальная и медикаментозная обработка корневого канала. 2 этап: пломбирование корневого канала зуба пастой, снятие временной пломбы.
от 9 700 руб.
Лечение периодонтита молочного зуба
Стоимость лечения зуба в 2 этапа без учета анестезии и восстановления. 1 этап: пульпотомия, экстирпация пульпы, временное пломбирование лекарственным препаратом корневого канала, наложение временной пломбы, инструментальная и медикаментозная обработка корневого канала. 2 этап: пломбирование корневого канала зуба пастой, снятие временной пломбы.
9 700 руб.
Удаление подвижного молочного зуба (без учета анестезии)
от 2 800 руб.
Удаление неподвижного молочного зуба (без учета анестезии)
от 4 200 руб.
Восстановление молочного зуба коронкой
При сильных разрушениях молочных зубов для их сохранения используют в лечении коронки, стальные или из диоксида циркония.
от 8 600 руб.
Адаптационная комплексная профессиональная гигиена полости рта и зубов у детей по протоколу GBT (до 4 лет)
В процедуру входит: снятие зубного налета, обучение гигиене, без покрытия/с покрытием фторсодержащими препаратами.
от 4 100 руб.
Комплексная профессиональная гигиена полости рта и зубов у детей со сменным прикусом по протоколу GBT (до 8 лет)
В процедуру входит: снятие зубного налета, обучение гигиене, без покрытия/с покрытием фторсодержащими препаратами.
от 5 500 руб.

Подростковая стоматология

Прием врача-стоматолога-терапевта первичный (до 30 мин)
от 1 000 руб.
Прием врача-стоматолога-терапевта первичный (до 45 мин)
Развернутая консультация по комплексному лечению и/или лечению в наркозе
от 1 900 руб.
Прием врача-стоматолога-терапевта повторный (проф.осмотр)
от 900 руб.
Запечатывание фиссуры зуба
Фиссуры — естественные желобки на поверхности зуба. Герметизация (запечатывание) фиссур герметиком предотвращает скапливание в этих местах налета и, как следствие, развитие кариеса. Без расшлифовки.
от 2 200 руб.
Лечение кариеса молочного зуба (без учета анестезии)
от 5 100 руб.
Лечение кариеса постоянного зуба (без учета анестезии)
от 9 600 руб.
Лечение обратимого пульпита молочного зуба (без учета анестезии)
С сохранением жизнеспособности зуба. Стоимость указана без учета анестезии и восстановления
от 5 200 руб.
Лечение обратимого пульпита постоянного зуба (без учета анестезии)
Закрытие перфорации стенки корневого канала зуба, восстановление зуба пломбой с нарушением контактного пункта с использованием материалов из фотополимеров. Стоимость указана без учета анестезии
от 5 500 руб.
Лечение пульпита одноканального молочного зуба (без учета анестезии)
Стоимость лечения зуба в 2 этапа без учета анестезии и восстановления. 1 этап: пульпотомия, экстирпация пульпы, временное пломбирование лекарственным препаратом корневого канала, наложение временной пломбы, инструментальная и медикаментозная обработка корневого канала. 2 этап: пломбирование корневого канала зуба пастой, снятие временной пломбы.
от 9 700 руб.
Лечение пульпита одноканального постоянного зуба (без учета анестезии)
Стоимость лечения в 2 этапа без учета анестезии и восстановления. 1 этап: пульпотомия, экстирпация пульпы, временное пломбирование лекарственным препаратом корневого канала, наложение временной пломбы, инструментальная и медикаментозная обработка корневого канала. 2 этап: пломбирование корневого канала зуба гуттаперчивыми штифтами, снятие временной пломбы.
от 17 600 руб.
Лечение периодонтита одноканального молочного зуба (без учета анестезии)
Стоимость лечения зуба в 2 этапа без учета анестезии и восстановления. 1 этап: пульпотомия, экстирпация пульпы, временное пломбирование лекарственным препаратом корневого канала, наложение временной пломбы, инструментальная и медикаментозная обработка корневого канала. 2 этап: пломбирование корневого канала зуба пастой, снятие временной пломбы.
от 9 700 руб.
Лечение периодонтита одноканального постоянного зуба (без учета анестезии)
Стоимость лечения в 2 этапа без учета анестезии и восстановления. 1 этап: инструментальная и медикаментозная обработка корневого канала, временное пломбирование лекарственным препаратом корневого канала, наложение временной пломбы. 2 этап: пломбирование корневого канала зуба гуттаперчивыми штифтами, снятие временной пломбы.
от 9 400 руб.
Удаление подвижного молочного зуба (без учета анестезии)
от 2 800 руб.
Удаление постоянного зуба (без учета анестезии)
от 6 000 руб.
Комплексная профессиональная гигиена полости рта и зубов по протоколу GBT
В процедуру входит: снятие зубного налета, обучение гигиене, без покрытия/с покрытием фторсодержащими препаратами.
от 8 100 руб.

Лечение травмы зубов

Шинирование группы зубов после травмы
Ортодонтическое скрепление металлической проволокой
от 7 200 руб.
Репозиция зуба в лунку
от 5 500 руб.
Фиксация собственного осколка зуба на композитный материал
Фиксация собственного осколка зуба на композитный материал
от 6 800 руб.
Наложение лечебной повязки при заболеваниях слизистой оболочки полости рта и пародонта в области одного зуба
Внутриротовая перевязка
от 1 900 руб.
Наложение повязки при нарушении целостности кожных покровов
Внеротовая перевязка
от 1 900 руб.
Первичная хирургическая обработка раны с наложением швов (легкая степень повреждения)
от 6 400 руб.

Анестезиология

Аппликационная анестезия
от 600 руб.
Инфильтрационная анестезия (одна карпула)
от 1 400 руб.
Проводниковая анестезия (одна карпула)
от 1 400 руб.

Лечение под наркозом

Консультация врача-анестезиолога-реаниматолога
от 2 000 руб.
Медикаментозный сон (вводный наркоз + первый час + постнаркозное наблюдение)
от 15 000 руб.
Медикаментозный сон (каждые последующие 30 мин наркоза)
от 7 000 руб.
Ингаляционный наркоз для краткосрочных вмешательств с использованием севорана (до 30 минут)
от 9 200 руб.

Лечение в седации

Консультация врача-анестезиолога-реаниматолога
При стоматологическом наркозе используется безопасный препарат севоран, он погружает человека в глубокий сон.
от 2 000 руб.
Ингаляционный наркоз с использованием закиси азота
Расслабление с помощью успокаивающего газа, который подается через маску на носу. При этом пациент находится в сознании, общается с врачом, нормально дышит.
от 3 600 руб.
Сочетанная анестезия (внутривенная седация 1 час)
Внутривенная седация один час, используется для взрослых.
от 13 500 руб.
Выбрано для предварительной записи:

Другие специалисты

ПАВЛОВСКИХ
ПАВЛОВСКИХ Ксения Евгеньевна
Детский стоматолог
Клиника хирургии лица и стоматологии на Сакко и Ванцетти, 77
Записаться
ГОРЯЧКИНА (ЕЩЕНКО)
ГОРЯЧКИНА (ЕЩЕНКО) Анна Евгеньевна
Врач-стоматолог
Клиника хирургии лица и стоматологии на Сакко и Ванцетти, 77
Записаться
МАРДАНЯН
МАРДАНЯН Анжела Ремиковна
Стоматолог-терапевт
Клиника на Героев Труда, 4 (Академгородок)
Записаться
ПЕРМЯКОВА
ПЕРМЯКОВА Алина Юрьевна
Детский стоматолог
Клиника на Героев Труда, 4 (Академгородок)
Записаться
КАБЛУЧКО Кристина Евгеньевна
Врач-стоматолог
Профессорская клиника на Николаева, 12/3 (Академгородок)

Принимает еще в 1 клинике

Записаться
ШМАЙКИНА Надежда Владимировна
Гигиенист
Клиника на Вокзальной, 50/1 (Бердск)
Записаться
СМЕТАНЕНКО
СМЕТАНЕНКО Юлия Святославовна
Ортодонт
Клиника на Революции, 10
Записаться
ФЕДОТОВ
ФЕДОТОВ Евгений Александрович
Анестезиолог-реаниматолог
Клиника на Блюхера, 30
Записаться
СОБОЛЕВА
СОБОЛЕВА Анастасия Андреевна
Врач-стоматолог
Клиника на Революции, 10
Записаться
НАРАЕВ
НАРАЕВ Роман Михайлович
Челюстно-лицевой хирург
Клиника на Революции, 10
Записаться
КОВАЛЕВ
КОВАЛЕВ Роман Олегович
Стоматолог-ортопед
Врач-стоматолог
Клиника на Вокзальной, 50/1 (Бердск)

Принимает еще в 1 клинике

Записаться
БАДУЛИН Илья Сергеевич
Врач-стоматолог
Челюстно-лицевой хирург
Клиника хирургии лица и стоматологии на Сакко и Ванцетти, 77
Записаться