Записаться
СЕМЕНИХИНА

СЕМЕНИХИНА Марина Владимировна

Гигиенист
Стаж работы 4 года
Принимает в клиниках
Клиника на Вокзальной, 50/1 (Бердск)
Категории пациентов
дети
подростки
взрослые
Врач принимает по ДМС

«Если вы удачно выберете труд и вложите в него всю свою душу, то счастье вас отыщет». К.Д.Ушинский

Меня с детства интересовала медицина. Со временем я стала «присматриваться» к профессии стоматолога, а именно к направлению «гигиенист-стоматологический». Мне кажется, это прекрасное чувство — знать, что ты помог человеку и сделал его улыбку здоровой. Пациент пришел с сильнейшей болью, он не в состоянии есть, пить, разговаривать, и все это можешь исправить именно ты.

Здоровая улыбка пациента и доверие — самое важное для меня. Наше с вами лечение и профилактику мы превратим в увлекательный и познавательный урок гигиены. Я научу вас правильно и качественно работать с средствами и предметами чистки полости рта. После моего приёма каждый зуб вам скажет «спасибо». Я работаю на результат, ведь самая большая награда для врача — это удовлетворенный и счастливый пациент!

Желаю найти «своего» врача — стоматолога и гигиениста, который поможет вам подарить здоровую и красивую улыбку!

Квалификация

Стоматология профилактическая
Сертификат до 09.07.2026

Основное образование

2010
Среднее - ГБОУ СПО НСО «ИМТ», сестринское дело
2021
Среднее - ГАПОУ НСО «НМК», стоматология профилактическая
Профессиональные навыки
Прием по протоколу GBT
Проведение индивидуальных уроков гигиены
Индивидуальный подбор средств гигиены
Использование ИИ-технологий при диагностике
Лечение десен без хирургического вмешательства
Сложное пародонтологическое лечение
Результаты лечения пациентов
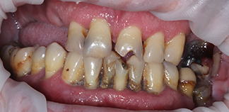
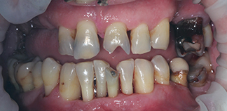
До лечения

Жалобы на отек и боль в десне.
Пациенту 49 лет.

Как лечили

Проведено лечение хронического пародонтита. Скорректирована домашняя гигиена.
Лечение прошло за 6 визитов.

Лечащий врач

СЕМЕНИХИНА Марина Владимировна

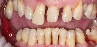
До лечения

Жалобы на кровоточивость десен, подвижность зубов.
Пациенту 50 лет.

Как лечили

Проведено лечение тяжелого пародонтита. Скорректирована домашняя гигиена.
Лечение прошло за 6 визитов.

Лечащий врач

СЕМЕНИХИНА Марина Владимировна

Отзывы пациентов
Андрей Золоедов
12.03.2025
Делал профессиональую чистку зубов у Семенихина Марина Владимировна.
Сделали всё качественно! После чистки проконсультировали и посоветовали как ухаживать за зубами.
Всё очень понравилось, обязательно вернусь ещё и не ...
Юлия
02.11.2024
Выражаю огромную благодарность Семенихиной Марине Владимировне! Врач от Бога, с золотыми руками! Ни в одной из клиник не могли убрать проблему тяжёлой степени пародонтоза, Марина Владимировна провела грамотное лечение, результат К...
Галина
28.02.2023
Хочу сказать огромное спасибо врачам хирургам клиники в Бердске-Тиграняну Варангюлу Гургеновичу и Морозову Дмитрию Владимировичу за их профессионализм и выдержку при удалении «восьмерок», так получилось, что в течение пяти дней пр...

СЕМЕНИХИНА Марина Владимировна — пародонтолог, гигиенист в сети стоматологических клиник Дентал-Сервис. Стаж работы 4 года. Ведет прием у пациентов: взрослые, дети, подростки. Принимает по ДМС. Оказывает услуги: профессиональная гигиена и чистка зубов, отбеливание зубов, пародонтология. Профессиональные навыки: прием по протоколу GBT, проведение индивидуальных уроков гигиены, индивидуальный подбор средств гигиены, использование ии-технологий при диагностике, лечение десен без хирургического вмешательства, сложное пародонтологическое лечение.

Услуга
Цена, руб.

Гигиенический прием

Прием стоматологического гигиениста первичный
от 900 руб.
Комплексная профессиональная гигиена полости рта и зубов по протоколу GBT
В процедуру входит: снятие зубного налета, обучение гигиене, с покрытием/без покрытия фтор-гелем
от 7 300 руб.
Комплексная профессиональная гигиена полости рта и зубов по протоколу GBT с покрытием зубов фтор-лаком Flairesse
В процедуру входит: снятие зубного налета, обучение гигиене, покрытие
от 8 600 руб.
Комплексная профессиональная гигиена полости рта и зубов по протоколу GBT с покрытием зубов фтор-лаком Enamelast
В процедуру входит: снятие зубного налета, обучение гигиене, покрытие
от 10 200 руб.

Отбеливание зубов

Прием врача-стоматолога по отбеливанию зубов
Консультация по отбеливанию зубов проводится врачом стоматологом-терапевтом/стоматологическим гигиенистом
от 900 руб.
Профессиональное отбеливание зубов системой "Аmazing white" (25%)
от 20 000 руб.
Профессиональное отбеливание зубов системой "ZOOM"
от 39 900 руб.

Пародонтологический прием

Прием врача-пародонтолога первичный
от 900 руб.
Прием врача-стоматолога первичный по заболеваниям слизистой
от 5 300 руб.
Снятие зубных отложений и сглаживание поверхности корня
от 26 000 руб.
Лоскутная операция в пределах одного зуба (без стоимости материалов)
от 10 000 руб.
Пластика рецессии десны (за 1 зуб)
Наращивание объема мягких тканей в области одного или нескольких зубов
от 33 000 руб.
Программа фазы контроля инфекции для пациентов с пародонтитом (от 4х визитов)
Профессиональная гигиена полости рта и зубов по протоколу GBT
от 30 400 руб.
Годовая программа для пациентов с пародонтитом (от 2х визитов)
от 28 000 руб.
Лечение гиперчувствительности зубов реминерализующими препаратами
от 600 руб.
Ультразвуковая обработка пародонтального кармана в области зуба
от 1 300 руб.
Консервативное лечение переимплантита (за 1 имплантат)
от 2 300 руб.
Пьезотомия в области зуба (без учета стоимости материалов)
Не меняется фенотип ни костной ткани, ни десны. При рецессии, тонкий фенотип костной ткани или десны, требуется добавление материала, зависит от клинического случая
от 10 000 руб.

Мы предлагаем вам ознакомиться с общим графиком работы врача на месяц. Пожалуйста, обратите внимание, что доступные слоты для записи не указаны. Чтобы узнать свободное время для записи, пожалуйста, свяжитесь с нашим контактным центром. Наши операторы с радостью помогут вам!

Выбрано для предварительной записи:

Другие специалисты

КОНФЕДЕРАТОВА
КОНФЕДЕРАТОВА Яна Сергеевна
Стоматолог-терапевт
Клиника на Героев Труда, 4 (Академгородок)
Записаться
ЗАЯТУЕВА
ЗАЯТУЕВА Юлия Дамдиновна
Врач-стоматолог
Профессорская клиника на Николаева, 12/3 (Академгородок)

Принимает еще в 1 клинике

Записаться
ЧЕРНЯВСКИЙ
ЧЕРНЯВСКИЙ Виктор Борисович
Анестезиолог-реаниматолог
Кандидат медицинских наук
Клиника хирургии лица и стоматологии на Сакко и Ванцетти, 77
Записаться
ОБУХОВА (ПЕРЕСВЕТ)
ОБУХОВА (ПЕРЕСВЕТ) Лия Дмитриевна
Стоматолог-терапевт
Врач-стоматолог
Зам. главного врача клиники на Блюхера, 30
Клиника на Блюхера, 30
Записаться
СЛЕЗКО
СЛЕЗКО Кирилл Сергеевич
Стоматолог-хирург
Врач-стоматолог
Клиника на Гребенщикова, 1 (Родники)

Принимает еще в 1 клинике

Записаться
КУЛИМОВА
КУЛИМОВА Наталья Юрьевна
Стоматолог-хирург
Клиника на Никольском проспекте, 1 (Кольцово)
Записаться
ТИГРАНЯН
ТИГРАНЯН Варангюл Гургенович
Стоматолог-хирург
Клиника на Вокзальной, 50/1 (Бердск)

Принимает еще в 1 клинике

Записаться
МЕЛЬНИКОВА (ФОКИНА)
МЕЛЬНИКОВА (ФОКИНА) Дарья Сергеевна
Врач-стоматолог
Клиника хирургии лица и стоматологии на Сакко и Ванцетти, 77
Записаться
ЛОБЗАНКИНА
ЛОБЗАНКИНА Нина Александровна
Рентгенолог
Клиника на Дуси Ковальчук, 252/1
Записаться
ТЕРЕЩЕНКО
ТЕРЕЩЕНКО Ирина Германовна
Стоматолог-терапевт
Стоматолог-хирург
Клиника на Блюхера, 30
Записаться
КРАСНОВА (МЕЛЕХОВА)
КРАСНОВА (МЕЛЕХОВА) Анастасия Алексеевна
Врач-стоматолог
Клиника на Вокзальной, 50/1 (Бердск)
Записаться
ВИНИА
ВИНИА Елена Сергеевна
Гигиенист
Клиника на Героев Труда, 4 (Академгородок)
Записаться