Записаться
САГИТОВ

САГИТОВ Мурат Ерланович

Стоматолог-хирург
Врач-стоматолог
Врач высшей категории
Специалисты с опытом от 5 лет. Уверенно работают со сложными случаями, владеют сложными манипуляциями и получают отличные отзывы. Подробнее здесь
Стаж работы 8 лет
Принимает в клиниках
Клиника на Никольском проспекте, 1 (Кольцово)
Категории пациентов
дети
подростки
взрослые
Врач принимает по ДМС
Профессия врач — это одна из древнейших специальностей. Люди, обладающие навыками лечения болезней, всегда были в почете. С течением времени медицина как наука все больше развивалась, знания систематизировались. Я с детства поставил себе цель стать врачом-стоматологом. Эта мечта успешно осуществлена: теперь я помогаю людям, чтобы они могли шире улыбаться.

Квалификация

Стоматология
Сертификат до 29.08.2028
Стоматология хирургическая
Сертификат до 28.10.2030

Основное образование

2018
Высшее - ФГБОУ ВО НГМУ Минздрава России, стоматология
2020
Ординатура - ФГБОУ ВО НГМУ Минздрава России, стоматология хирургическая

Повышение квалификации, дополнительное образование

2020
Сертификационный курс Министерства здравоохранения РФ «Диагностика, лечение, профилактика новой коронавирусной инфекции (COVID-19) в первичной медико-санитарной помощи»
Профессиональные навыки
Лечение под наркозом
Лечение под седацией
Анализ компьютерной томографии и составление плана лечения
Удаление зубов любой сложности
Комплексная подготовка и проведение имплантации
Проведение зубосохраняющих операций
Установка ортодонтических микроимплантов
Результаты лечения пациентов
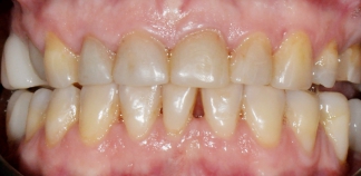
До лечения

Жалобы на боли и щелчки ВНЧС справа, отсутствие зубов, цвет и форму зубов.
Пациенту 53 года.

Как лечили

Была проведена тотальная реабилитация ортопедическими конструкциями с поднятием высоты прикуса при помощи сплинт-терапии. Зубы покрыты коронками и винирами.
Лечение проведено в течение пяти месяцев.

Лечащие врачи
ТУРОВА Дарья Александровна, САГИТОВ Мурат Ерланович
Отзывы пациентов
Без имени
16.03.2026
Мурат Ерланович Сагитов отличный специалист, который делает свою работу на высоком уровне. Мне понравилось, что он спокойный и доброжелательный, а также терпеливый и отзывчивый. В общем, я остался впечатлён его профессионализмом! ...
Ольга Ольга
08.03.2026
Хожу в этот Дентал-сервис уже больше 6 лет. Первый раз пришла с острой болью к Сендецкой Ю.Ю. Меня конечно напугало, что молодой специалист почти без страха, но она сделала то, что не смогла врач с 15-летним стажем и высшей катего...
Катя Смирнова
03.10.2025
Хочу поблагодарить Сагитова Мурата Ерлановича, быстро удалил ребенку два зуба, которые не шатались. Были у разных хирургов, но так быстро сработать смог только он. Спасибо больше!! Золотые руки!!
Пациент
29.03.2025
Хочу оставить отзыв о стоматологе-хирурге, который удалял зуб моей дочери. С самого начала визита врач создал очень дружелюбную и расслабляющую атмосферу. Он не только профессионально выполнил свою работу, но и умело общался с доч...
Дарка Да
29.03.2025
Сегодня удаляли у вас зуб ребенку! Доктор Мурат Ерланович самый крутой стоматолог-хирург. Спасибо Вам! А также большое спасибо медициной сестре Ксении!)
Акции с участием врача
Смотреть все
–25% на имплантацию Medentika
Выгодная имплантация с коронкой под ключ.
Реклама ООО "Дентал-Сервис Бердск" ИНН 544525957, erid: 2VfnxvYtZ6R
3 декабря 2025-30 апреля 2026
Бесплатная консультация по имплантации и КТ
Вернем здоровье и красоту вашей улыбки!
Реклама ООО "Дентал-Сервис Бердск" ИНН 544525957, erid: 2VfnxwD8CRn

20 августа 2025-30 апреля 2026

САГИТОВ Мурат Ерланович — имплантолог, стоматолог-хирург, детский стоматолог-хирург, врач высшей категории в сети стоматологических клиник Дентал-Сервис. Стаж работы 8 лет. Ведет прием у пациентов: взрослые, дети, подростки. Принимает по ДМС. Оказывает услуги: пластика уздечки, удаление молочных зубов, удаление зубов, хирургическая стоматология, удаление зубов мудрости, удаление корня зуба, удаление кисты зуба, имплантация all-on-4, имплантация зубов, одномоментная имплантация, реконструкция костной ткани, имплантация, системы имплантации, цифровая имплантация, имплантация во сне. Профессиональные навыки: лечение под наркозом, лечение под седацией, анализ компьютерной томографии и составление плана лечения, удаление зубов любой сложности, комплексная подготовка и проведение имплантации, проведение зубосохраняющих операций, установка ортодонтических микроимплантов.

Врач высшей категории принимает по повышенному прайсу

Услуга
Цена, руб.

Лечение зубов под микроскопом

Апикальная хирургия. Хирургический и терапевтический этап в области фронтальных зубов
1ый этап хирургический: резекция верхушки корня зуба, цистэктомия, наложение шва на слизистую оболочку рта. 2ой этап терапевтический: инструментальная и медикаментозная обработка корневого канала (ретропрепарирование), закрытие перфорации стенки корневого канала зуба (пломбирование МТА, биокерамикой).
от 44 000 руб.

Хирургическая стоматология

Прием врача-стоматолога-хирурга первичный
от 1 000 руб.
Оказание неотложной стоматологической помощи (без учета анестезии)
от 4 000 руб.
Удаление постоянного зуба (без учета анестезии)
от 6 000 руб.
Удаление зуба мудрости (восьмерки) (без учета анестезии)
от 6 000 руб.
Удаление ретинированного, дистопированного или сверхкомплектного зуба (без учета анестезии)
от 16 500 руб.
Лечение периостита (без учета анестезии)
Вскрытие подслизистого или поднадкостничного очага воспаления в полости рта
от 2 700 руб.
Лечение перикоронита (без учета анестезии)
В процедуру входит: промывание, рассечение и/или иссечение капюшона
от 5 000 руб.
Гингивэктомия в области одного зуба (без учета анестезии)
Удаление разросшихся мягких тканей десен.
от 4 000 руб.
Вскрытие и дренирование абсцесса полости рта (фурункула)
от 4 200 руб.
Гингивопластика
Пластика мягких тканей при имплантации, костной пластике, изменении фенотипа десны
от 28 600 руб.
Синус-лифтинг (костная пластика, остеопластика), открытый, в области одного зуба
Наращивание костной ткани в области, контактирующей с гайморовыми пазухами.
от 89 100 руб.
Восстановление альвеолярного отростка (в области 1-2 зубов) аутотрансплантом
Восстановление альвеолярного отростка в области 1-2 зубов аутотрансплантом. Альвеолярный отросток — анатомическая часть верхней и нижней челюстей, несущая на себе зубы.
от 95 700 руб.
Удаление экзостоза, хондромы
от 4 300 руб.
Удаление новообразования мягких тканей (слизистой полости рта)
от 8 700 руб.
Удлинение клинической коронки
Лоскутная операция в полости рта по удлинение клинической коронки
от 12 100 руб.
Вестибулопластика (1 челюсть)
от 13 900 руб.
Удаление постоянного зуба средней сложности
от 7 700 руб.
Удаление постоянного зуба сложное с разъединением корней
от 10 100 руб.
Удаление зубного имплантата
Стоимость указана без учета анестезии.
от 16 200 руб.

Хирургия полости рта

Пластика уздечки языка (рассечение) (без учета анестезии)
от 2 500 руб.
Пластика уздечки языка (поперечное иссечение) (без учета анестезии)
от 7 000 руб.
Пластика уздечки верхней губы (без учета анестезии)
от 7 000 руб.
Пластика уздечки языка (функциональная миофренулопластика языка)
Авторская методика. Во время процедуры работаем не только с самой уздечкой, но и с тканями, которые находятся чуть глубже — с мышцами языка. Проведение процедуры позволяет языку уйти наверх и прижаться к небу, то есть занять свое законное физиологическое положение.
от 48 000 руб.

Дентальная имплантация

Прием врача стоматолога по имплантации
Консультация по дентальной имплантации проводится врачом стоматологом-хирургом/cтоматологом-ортопедом.
бесплатно
Система имплантации Implantium (Ю.Корея). Хирургический этап
Внутрикостная дентальная имплантация системой Implantium
от 37 000 руб.
Система имплантации Implantium (Ю.Корея). Ортопедический этап
Протезирование бокового зуба коронкой из диоксида циркония, с абатментом из системы Implantium
от 37 000 руб.
Система имплантации Implantium (Корея). Имплантат + коронка
Включает хирургический и ортопедический этап системой Implantium
от 74 000 руб.
Система имплантации AnyOne (Ю.Корея). Хирургический этап
Внутрикостная дентальная имплантация системой AnyOne
от 42 800 руб.
Система имплантации AnyOne (Ю.Корея). Ортопедический этап
Протезирование бокового зуба коронкой из диоксида циркония, с абатментом из системы AnyOne
от 42 800 руб.
Система имплантации AnyOne (Ю.Корея). Имплантат + коронка
Включает хирургический и ортопедический этап системой AnyOne
от 85 600 руб.
Система имплантации Renova (США). Хирургический этап
Внутрикостная дентальная имплантация системой Renova
от 47 500 руб.
Система имплантации Renova (США). Ортопедический этап
Протезирование бокового зуба коронкой из диоксида циркония, с абатментом из системы Renova
от 54 400 руб.
Система имплантации Renova (США). Имплантат + коронка
Включает хирургический и ортопедический этап системой Renova
от 101 900 руб.
Системы имплантации Medentika (Германия). Хирургический этап
Внутрикостная дентальная имплантация системой Medentika
от 54 400 руб.
Система имплантации Medentika (Германия). Ортопедический этап
Протезирование бокового зуба коронкой из диоксида циркония, с абатментом из системы Medentika
от 54 400 руб.
Системы имплантации Medentika (Германия). Имплантат + коронка
Включает хирургический и ортопедический этап системой Medentika
от 108 800 руб.
Системы имплантации Astra Tech (Швеция) или Nobel Biocare (Швеция). Хирургический этап
Внутрикостная дентальная имплантация системой Astra Tech или Nobel Biocare
от 67 000 руб.
Системы имплантации Astra Tech (Швеция) или Nobel Biocare (Швеция). Ортопедический этап
Протезирование бокового зуба коронкой из диоксида циркония, с абатментом из системы Astra Tech или Nobel Biocare
от 67 000 руб.
Системы имплантации Astra Tech (Швеция) или Nobel Biocare (Швеция). Имплантат + коронка
Включает хирургический и ортопедический этап системой Astra Tech или Nobel Biocare
от 134 000 руб.
Системы имплантации Straumann (Швейцария). Хирургический этап
Внутрикостная дентальная имплантация системой Straumann
от 78 600 руб.
Системы имплантации Straumann (Швейцария). Ортопедический этап
Протезирование бокового зуба коронкой из диоксида циркония, с абатментом из системы Straumann
от 78 600 руб.
Системы имплантации Straumann (Швейцария). Имплантат + коронка
Включает хирургический и ортопедический этап системой Straumann
от 157 200 руб.
Одномоментная имплантация
Удаление и установка имплантата за один прием. Возможно к установке системы имплантации AnyOne, Renova, Astra Tech, Nobel Biocare, Straumann.
от 60 100 руб.
Хирургический и ортопедический этап имплантации по системе «Все-на-четырех»
Входит в стоимость минимума: установка 4 единиц имплантов по цифровому хирургическому шаблону + полное съемное протезирование из пластмассы (временные коронки: 4 ед на имплатах, 8 ед подвесных, 4 единицы аббатментов, литая балка).
от 485 500 руб.
Аугментация альвеолярногно отростка (в пределах одного зуба) костным материалом
от 40 500 руб.
Синус-лифтинг (костная пластика, остеопластика), открытый, в области одного зуба
Наращивание костной ткани в области, контактирующей с гайморовыми пазухами.
от 89 100 руб.

Детская стоматология

Удаление подвижного молочного зуба (без учета анестезии)
от 2 800 руб.
Удаление неподвижного молочного зуба (без учета анестезии)
от 4 200 руб.
Удерживатель пространства при ранней потере зуба
Предотвращает деформацию зубного ряда после раннего удаления молочного зуба.
от 9 500 руб.

Анестезиология

Аппликационная анестезия
от 600 руб.
Инфильтрационная анестезия (одна карпула)
от 1 400 руб.
Проводниковая анестезия (одна карпула)
от 1 400 руб.

Лечение под наркозом

Консультация врача-анестезиолога-реаниматолога
от 2 000 руб.
Медикаментозный сон (вводный наркоз + первый час + постнаркозное наблюдение)
от 15 000 руб.
Ингаляционный наркоз для краткосрочных вмешательств с использованием севорана (до 30 минут)
от 9 200 руб.

Лечение в седации

Консультация врача-анестезиолога-реаниматолога
При стоматологическом наркозе используется безопасный препарат севоран, он погружает человека в глубокий сон.
от 2 000 руб.
Ингаляционный наркоз с использованием закиси азота
Расслабление с помощью успокаивающего газа, который подается через маску на носу. При этом пациент находится в сознании, общается с врачом, нормально дышит.
от 3 600 руб.
Сочетанная анестезия (внутривенная седация 1 час)
Внутривенная седация один час, используется для взрослых.
от 13 500 руб.

Мы предлагаем вам ознакомиться с общим графиком работы врача на месяц. Пожалуйста, обратите внимание, что доступные слоты для записи не указаны. Чтобы узнать свободное время для записи, пожалуйста, свяжитесь с нашим контактным центром. Наши операторы с радостью помогут вам!

Выбрано для предварительной записи:

Другие специалисты

ЕЧИНА
ЕЧИНА Татьяна Викторовна
Стоматолог-хирург
Клиника на Вокзальной, 50/1 (Бердск)
Записаться
ТУРОВА
ТУРОВА Дарья Александровна
Стоматолог-хирург
Клиника хирургии лица и стоматологии на Сакко и Ванцетти, 77

Принимает еще в 1 клинике

Записаться
ТИГРАНЯН
ТИГРАНЯН Варангюл Гургенович
Стоматолог-хирург
Клиника на Вокзальной, 50/1 (Бердск)

Принимает еще в 1 клинике

Записаться
МАРЧЕНКО (КОСЕВА)
МАРЧЕНКО (КОСЕВА) Полина Сергеевна
Стоматолог-хирург
Клиника на пл. Карла Маркса, 1
Записаться
ВОХ
ВОХ Игорь Анатольевич
Стоматолог-хирург
Клиника на Революции, 10

Принимает еще в 1 клинике

Записаться
СЛЕЗКО
СЛЕЗКО Кирилл Сергеевич
Стоматолог-хирург
Врач-стоматолог
Клиника на Гребенщикова, 1 (Родники)

Принимает еще в 1 клинике

Записаться
ВОХ
ВОХ Алёна Николаевна
Стоматолог-хирург
Клиника на Революции, 10

Принимает еще в 2 клиниках

Записаться
БУТОРИН
БУТОРИН Руслан Евгениевич
Врач-стоматолог
Челюстно-лицевой хирург
Клиника хирургии лица и стоматологии на Сакко и Ванцетти, 77
Записаться
ВЫБОРНОВ
ВЫБОРНОВ Михаил Сергеевич
Стоматолог-хирург
Клиника на Героев Труда, 4 (Академгородок)
Записаться
ЧУЧКАЕВА
ЧУЧКАЕВА Ксения Викторовна
Стоматолог-хирург
Детская клиника на Ленина, 17
Записаться
МАТАФОНОВ
МАТАФОНОВ Максим Александрович
Стоматолог-хирург
Клиника на Гребенщикова, 1 (Родники)
Записаться
ТЮТЮНЬКОВ
ТЮТЮНЬКОВ Максим Александрович
Врач-стоматолог
Стоматолог-хирург
Клиника на Дуси Ковальчук, 252/1
Записаться