Записаться
КИСЕЛЕВ

КИСЕЛЕВ Кирилл Эдуардович

Стоматолог-ортопед
Врач высшей категории
Специалисты с опытом от 5 лет. Уверенно работают со сложными случаями, владеют сложными манипуляциями и получают отличные отзывы. Подробнее здесь
Стаж работы 7 лет
Принимает в клиниках
Клиника хирургии лица и стоматологии на Сакко и Ванцетти, 77
Клиника на пл. Карла Маркса, 1
Категории пациентов
дети
подростки
взрослые
Врач принимает по ДМС

Мой отец — стоматолог. С самого детства он брал меня с собой на работу, где я наблюдал, как он лечит пациентов, как общается с ними, поэтому я точно знал, что пойду по его стопам.

Теперь я сам врач и с уверенностью могу сказать, что я фанат своей работы! Когда я подготавливаю зубы под коронки или виниры, то буквально ухожу в другой мир. Процесс завораживает и вдохновляет. Но еще больше вдохновляют преображения наших пациентов, когда они меняются в лучшую сторону, когда смотрят на себя в зеркало и улыбаются от счастья и приятных изменений. Для меня, как для врача, это лучшая награда.

На мой взгляд, хороший врач должен обязательно развивать в себе два качества. Первое — это железная дисциплина, благодаря которой стандарты лечения, которые мы применяем в Дентал-Сервис, становятся не обязанностью, а неукоснительной данностью. Благодаря этому результаты нашей работы меряются десятками лет и выполнены на совесть. Второе — это человеколюбие и хорошее отношение к пациентам. Важно установить такой контакт, чтобы пациент смог доверить свое здоровье, расслабиться, быть честным и искренним. Тогда совместная работа будет не только плодотворной, но и позитивной.

Квалификация

Стоматология ортопедическая
Сертификат до 14.11.2030

Основное образование

2018
Высшее - ФГБОУ ВО НГМУ Минздрава России, стоматология
2020
Ординатура — ФГБОУ ВО НГМУ Минздрава России, стоматология ортопедическая

Повышение квалификации, дополнительное образование

2022
НП "ЦПО "ДЕНТМАСТЕР", современные цифровые технологии в стоматологии
2023
НП "ЦПО "ДЕНТМАСТЕР", стоматология общей практики
2025
НП "ЦПО "ДЕНТМАСТЕР", стоматология ортопедическая
Профессиональные навыки
Лечение под седацией
Анализ компьютерной томографии и составление плана лечения
Цифровое протезирование
Восстановление зубов любым видом протезирования
Протезирование по технологии CEREC
Эстетическая реставрация передних зубов
Эстетическое протезирование
Результаты лечения пациентов
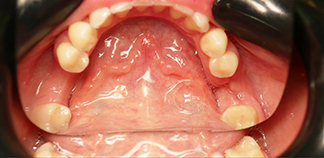
До лечения

Жалобы на отсутствие зубов.

Как лечили

Установлены импланты и зафиксированы постоянные коронки.

Лечащий врач

КИСЕЛЕВ Кирилл Эдуардович

До лечения

Жалобы на разрушенный зуб.
Пациенту 35 лет.

Как лечили

Был удален шестой разрушенный зуб. На его место пересажен восьмой зуб. Через 2 недели проведено эндодонтическое лечение. Изготовлена и установлена коронка на восьмой зуб.
Лечение проведено в течение двух недель.

Лечащие врачи
МАРЧЕНКО (КОСЕВА) Полина Сергеевна, КИСЕЛЕВ Кирилл Эдуардович, МИНОВ Дмитрий Олегович
Акции с участием врача
Смотреть все
Меняем старую коронку на новую
Обновите улыбку выгодно!
Реклама ООО "Дентал-Сервис Бердск" ИНН 544525957 erid: 2Vfnxy9YgNn

26 марта-30 апреля 2026
Бесплатная консультация по имплантации и КТ
Вернем здоровье и красоту вашей улыбки!
Реклама ООО "Дентал-Сервис Бердск" ИНН 544525957, erid: 2VfnxwD8CRn

20 августа 2025-30 апреля 2026

КИСЕЛЕВ Кирилл Эдуардович — стоматолог-ортопед, врач высшей категории в сети стоматологических клиник Дентал-Сервис. Стаж работы 7 лет. Ведет прием у пациентов: взрослые. Принимает по ДМС. Оказывает услуги: ортопедическая стоматология, виниры, коронки, протезирование на имплантатах, мостовидный протез, съемное протезирование зубов, реставрация зубов. Профессиональные навыки: лечение под седацией, анализ компьютерной томографии и составление плана лечения, цифровое протезирование, восстановление зубов любым видом протезирования, протезирование по технологии cerec, эстетическая реставрация передних зубов, эстетическое протезирование.

Врач высшей категории принимает по повышенному прайсу

Услуга
Цена, руб.

Протезирование зубов

Прием врача-стоматолога-ортопеда первичный
от 1 000 руб.
Цельнокерамическая коронка фронтальная из диоксида циркония, E-MAX (один зуб)
Включает: препарирование зуба, внутриротовое сканирование, компьютерное моделирование и фрезерование в зуботехнической лаборатории, примерка и фиксация постоянной коронки.
от 49 500 руб.
Цельнокерамическая коронка боковая из диоксида циркония (один зуб)
Включает: препарирование зуба, внутриротовое сканирование, компьютерное моделирование и фрезерование в зуботехнической лаборатории, примерка и фиксация постоянной коронки.
от 41 800 руб.
Восстановление временной коронкой из пластмассы
Включает: снятие слепка, изготовление и фиксация временной коронки прямым методом.
от 5 500 руб.
Восстановление временной коронкой из пластмассы CAD/CAM
Включает: внутриротовое сканирование, моделирование и изготовление коронки лабораторным методом, фиксация временной коронки.
от 7 300 руб.
Композитная вкладка (один зуб)
от 25 300 руб.
Керамическая вкладка (один зуб)
от 37 400 руб.
Восстановление зуба виниром
от 52 800 руб.
Восстановление зуба ультратонким виниром
от 62 700 руб.
Протезирование частичным съемным протезом
от 45 100 руб.
Протезирование зубов полным съемным протезом
от 58 300 руб.
Протезирование съемным бюгельным протезом на 1 челюсть
от 95 700 руб.
Мостовидный протез из диоксида циркония с опорой на 2 зуба
Включает: препарирование зубов, внутриротовое сканирование, компьютерное моделирование и фрезерование в зуботехнической лаборатории, примерка и фиксация постоянных коронок. Дополнительно оплачивается по необходимости 3D-модель, анестезия, изготовление и установка временного мостовидного протеза.
от 125.400 руб.
Несъемный протез нескольких зубов из диоксида циркония (мостовидный протез) на имплантатах
Включает: внутриротовое сканирование с применением скан маркеров, компьютерное моделирование, фрезерование ортопедической конструкции, склейка абатментов, примерка и фиксация ортопедической конструкции в полости рта. Отдельно оплачивается по необходимости 3D-модель, анестезия, изготовление и установка временного мостовидного протеза.
от 127 400 руб.

Эстетическая стоматология

Художественная реставрация жевательного зуба
Восстановление естественной структуры/формы/цвета зуба при помощи синтетических материалов.
от 20 400 руб.
Художественная реставрация фронтального зуба
Восстановление естественной структуры/формы/цвета зуба при помощи синтетических материалов.
от 25 900 руб.
Эстетическое контурирование зуба
Процедура выравнивания, либо изменения формы зубов. Это быстрый и недорогой метод, обычно не требующий анестезии. Показания: сломанные, длинные или аномальные зубы.
от 5 700 руб.

Дентальная имплантация

Система имплантации Implantium (Ю.Корея). Ортопедический этап
Протезирование бокового зуба коронкой из диоксида циркония, с абатментом из системы Implantium
от 37 000 руб.
Система имплантации AnyOne (Ю.Корея). Ортопедический этап
Протезирование бокового зуба коронкой из диоксида циркония, с абатментом из системы AnyOne
от 42 800 руб.
Система имплантации Renova (США). Ортопедический этап
Протезирование бокового зуба коронкой из диоксида циркония, с абатментом из системы Renova
от 54 400 руб.
Система имплантации Medentika (Германия). Ортопедический этап
Протезирование бокового зуба коронкой из диоксида циркония, с абатментом из системы Medentika
от 54 400 руб.
Системы имплантации Straumann (Швейцария). Ортопедический этап
Протезирование бокового зуба коронкой из диоксида циркония, с абатментом из системы Straumann
от 78 600 руб.
Хирургический и ортопедический этап имплантации по системе «Все-на-четырех»
Входит в стоимость минимума: установка 4 единиц имплантов по цифровому хирургическому шаблону + полное съемное протезирование из пластмассы (временные коронки: 4 ед на имплатах, 8 ед подвесных, 4 единицы аббатментов, литая балка).
от 485 500 руб.

Мы предлагаем вам ознакомиться с общим графиком работы врача на месяц. Пожалуйста, обратите внимание, что доступные слоты для записи не указаны. Чтобы узнать свободное время для записи, пожалуйста, свяжитесь с нашим контактным центром. Наши операторы с радостью помогут вам!

Выбрано для предварительной записи:

Другие специалисты

МЕЛЬНИКОВА (ФОКИНА)
МЕЛЬНИКОВА (ФОКИНА) Дарья Сергеевна
Врач-стоматолог
Клиника хирургии лица и стоматологии на Сакко и Ванцетти, 77
Записаться
ЗАИКИНА (БУРКАЦКАЯ)
ЗАИКИНА (БУРКАЦКАЯ) Мария Олеговна
Стоматолог-терапевт
Клиника на Блюхера, 30
Записаться
ПИЛИПЕНКО
ПИЛИПЕНКО Кристина Дмитриевна
Врач-стоматолог
Клиника на Никольском проспекте, 1 (Кольцово)
Записаться
ЛОМАКИН
ЛОМАКИН Андрей Сергеевич
Стоматолог-ортопед
Клиника на Героев Труда, 4 (Академгородок)
Записаться
ПОЧТАРЬ
ПОЧТАРЬ Юлия Михайловна
Стоматолог-терапевт
Стоматолог-хирург
Главный врач Профессорской клиники на Николаева, 12/3
Профессорская клиника на Николаева, 12/3 (Академгородок)
Записаться
ЖУРАВКОВА
ЖУРАВКОВА Юлия Валерьевна
Стоматолог-терапевт
Детский стоматолог
Главный врач Клиники в Бердске
Главный врач Клиники на пл.К.Маркса, 1
Клиника на Вокзальной, 50/1 (Бердск)

Принимает еще в 1 клинике

Записаться
МИРОШНИЧЕНКО
МИРОШНИЧЕНКО Алексей Михайлович
Стоматолог-ортопед
Клиника на Вокзальной, 50/1 (Бердск)

Принимает еще в 1 клинике

Записаться
ЗИБАРЕВА Екатерина Игоревна
Анестезиолог-реаниматолог
Клиника на Героев Труда, 4 (Академгородок)
Записаться
ВЕНЦЕЛЬ Ирина Викторовна
Стоматолог-терапевт
Клиника на Героев Труда, 4 (Академгородок)
Записаться
АВДЕЕНКО
АВДЕЕНКО Дарья Васильевна
Стоматолог-терапевт
Клиника на Революции, 10
Записаться
БЕЛОВА Полина Сергеевна
Врач-стоматолог
Ортодонт
Клиника на Гребенщикова, 1 (Родники)
Записаться
ГОРЯЧКИН
ГОРЯЧКИН Александр Михайлович
Челюстно-лицевой хирург
Функциональный руководитель челюстно-лицевой хирургии
Клиника хирургии лица и стоматологии на Сакко и Ванцетти, 77
Записаться