Записаться
РОМАНОВА

РОМАНОВА Марина Алексеевна

Врач-стоматолог
Стаж работы 7 лет
Принимает в клиниках
Клиника на Дуси Ковальчук, 252/1
Категории пациентов
дети
подростки
взрослые
Врач принимает по ДМС

Здоровье — это самое ценное, что есть у человека, и я хочу быть тем, кто помогает людям сохранить и улучшить его. Кроме того, медицина — это наука, которая постоянно развивается, и это привлекает меня своей динамикой и возможностью постоянно учиться.

Мне нравится, что моя работа совмещает в себе несколько видов деятельности: это умственная работа, творчество и общение с людьми. Меня радует тот факт, что я могу решить проблему пациента и значительно улучшить качество его жизни. Я вдохновляюсь профессионализм моих коллег и постоянным стремлением к совершенству.

Помимо того, что нужно постоянно совершенствовать свои знания и навыки, быть честным и беспристрастным, в первую очередь нужно оставаться Человеком. Поэтому для меня самое важное работе — это забота о здоровье пациентов и создание комфортной обстановки для лечения.

От всей души желаю вам здоровых зубов и десен!

Квалификация

Стоматология
Сертификат до 15.07.2027

Основное образование

2022
Высшее - ФГБОУ ВО КЕМГМУ МИНЗДРАВА РОССИИ, стоматология
Профессиональные навыки
Лечение под микроскопом
Аккуратная подготовка зуба под коронку
Анализ компьютерной томографии и составление плана лечения
Спасение травмированного зуба
Результаты лечения пациентов
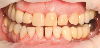
До лечения

Жалобы на скол зуба.
Пациенту 61 год.

Как лечили

Пролечен кариес в корневом канале зуба, закрыт пломбой. Проведена реставрация зуба и направлен к стоматологу-ортопеду для установки коронки.
Лечение проведено в течение четырех месяцев.

Лечащий врач

РОМАНОВА Марина Алексеевна

Отзывы пациентов
Оксана Галышева
16.06.2025
Отличная клиника, вежливый персонал, огромное спасибо Романовой М. А.
О К
03.05.2024
Романова Марина Алексеевна отлично пролечила мне 4 зуба по ДМС. Мне нравилось приходить к Марине Алексеевне на лечение , всегда все понятно расскажет, аккуратно работает, лечит зубы под микроскопом, после покажет все на фото. Очен...
Акции с участием врача
Смотреть все
Лечение кариеса по фиксированной цене
Независимо от количества пораженных поверхностей.
Реклама ООО "Дентал-Сервис Бердск" ИНН 544525957, erid: 2VfnxvbSeZf
1 ноября 2025-30 июня 2026

РОМАНОВА Марина Алексеевна — стоматолог-терапевт в сети стоматологических клиник Дентал-Сервис. Стаж работы 7 лет. Ведет прием у пациентов: взрослые. Принимает по ДМС. Оказывает услуги: терапевтическая стоматология, лечение под микроскопом, лечение кариеса, лечение пульпита, лечение периодонтита, отбеливание зубов. Профессиональные навыки: лечение под микроскопом, аккуратная подготовка зуба под коронку, анализ компьютерной томографии и составление плана лечения, спасение травмированного зуба.

Услуга
Цена, руб.

Лечение зубов под микроскопом

Прием врача-стоматолога-терапевта первичный
от 900 руб.
Прием врача-стоматолога-терапевта повторный (проф.осмотр)
бесплатно
Лечение кариеса эмали по технологии ICON (без учета анестезии)
Запечатывание вестибулярной поверхности зуба герметиком
от 7 800 руб.
Лечение кариеса (без учета анестезии)
от 8 700 руб.
Лечение обратимого пульпита (без учета анестезии)
Закрытие перфорации стенки корневого канала зуба, восстановление зуба пломбой с использованием материалов из фотополимеров
от 5 000 руб.
Двухэтапное лечение пульпита одноканального зуба (без учета анестезии)
1 этап: пульпотомия, экстирпация пульпы, временное пломбирование лекарственным препаратом корневого канала, наложение временной пломбы, инструментальная и медикаментозная обработка корневого канала. 2 этап: пломбирование корневого канала зуба гуттаперчивыми штифтами, снятие временной пломбы
от 15 900 руб.
Двухэтапное лечение периодонтита одноканального зуба (без учета анестезии)
1 этап: инструментальная и медикаментозная обработка корневого канала, временное пломбирование лекарственным препаратом корневого канала, наложение временной пломбы. 2 этап: пломбирование корневого канала зуба гуттаперчивыми штифтами, снятие временной пломбы
от 15 900 руб.
Апикальная хирургия. Хирургический и терапевтический этап в области фронтальных зубов
1ый этап хирургический: резекция верхушки корня зуба, цистэктомия, наложение шва на слизистую оболочку рта. 2ой этап терапевтический: инструментальная и медикаментозная обработка корневого канала (ретропрепарирование), закрытие перфорации стенки корневого канала зуба (пломбирование МТА, биокерамикой)
от 40 000 руб.
Оказание неотложной стоматологической помощи (без учета анестезии)
Включает снятие острой боли, установку временной пломбы
от 3 700 руб.

Отбеливание зубов

Прием врача-стоматолога по отбеливанию зубов
Консультация по отбеливанию зубов проводится врачом стоматологом-терапевтом/стоматологическим гигиенистом
от 900 руб.
Профессиональное отбеливание зубов системой "Аmazing white" (25%)
от 20 000 руб.
Профессиональное отбеливание зубов системой "ZOOM"
от 39 900 руб.

Анестезиология

Аппликационная анестезия
от 550 руб.
Инфильтрационная анестезия (одна карпула)
от 1 300 руб.
Проводниковая анестезия (одна карпула)
от 1 300 руб.

Лечение под наркозом

Консультация врача-анестезиолога-реаниматолога
от 2 000 руб.
Медикаментозный сон (вводный наркоз + первый час + постнаркозное наблюдение)
от 15 000 руб.
Ингаляционный наркоз для краткосрочных вмешательств с использованием севорана (до 30 минут)
от 9 200 руб.

Лечение в седации

Консультация врача-анестезиолога-реаниматолога
При стоматологическом наркозе используется безопасный препарат севоран, он погружает человека в глубокий сон.
от 2 000 руб.
Сочетанная анестезия (внутривенная седация 1 час)
Внутривенная седация один час, используется для взрослых.
от 13 500 руб.

Мы предлагаем вам ознакомиться с общим графиком работы врача на месяц. Пожалуйста, обратите внимание, что доступные слоты для записи не указаны. Чтобы узнать свободное время для записи, пожалуйста, свяжитесь с нашим контактным центром. Наши операторы с радостью помогут вам!

Выбрано для предварительной записи:

Другие специалисты

ИСРАФИЛОВ
ИСРАФИЛОВ Нариман Эльдар оглы
Гигиенист
Профессорская клиника на Николаева, 12/3 (Академгородок)
Записаться
ТРЕМАСОВА
ТРЕМАСОВА Ольга Борисовна
Детский стоматолог
Стоматолог-терапевт
Детская клиника на Ленина, 17
Записаться
ГУРЬЕВА
ГУРЬЕВА Евгения Олеговна
Стоматолог-терапевт
Стоматолог-ортопед
Клиника на Революции, 10
Записаться
МАРЧЕНКО (КОСЕВА)
МАРЧЕНКО (КОСЕВА) Полина Сергеевна
Стоматолог-хирург
Клиника на пл. Карла Маркса, 1
Записаться
ДЕЕВА (ОБНОСОВА)
ДЕЕВА (ОБНОСОВА) Любовь Игоревна
Врач-стоматолог
Клиника на Гребенщикова, 1 (Родники)
Записаться
КУЛИМОВА
КУЛИМОВА Наталья Юрьевна
Стоматолог-хирург
Клиника на Никольском проспекте, 1 (Кольцово)
Записаться
НИКОЛЕНКО
НИКОЛЕНКО Ксения Ивановна
Врач-стоматолог
Клиника на Вокзальной, 50/1 (Бердск)
Записаться
БУРНИСТОВ
БУРНИСТОВ Илья Валерьевич
Стоматолог-терапевт
Клиника на Революции, 10

Принимает еще в 1 клинике

Записаться
БЕКЕТОВ
БЕКЕТОВ Игорь Николаевич
Стоматолог-ортопед
Клиника на Героев Труда, 4 (Академгородок)
Записаться
ДЕККЕРТ
ДЕККЕРТ Елена Анатольевна
Стоматолог-терапевт
Клиника на Революции, 10
Записаться
ДОЛГОПОЛОВА
ДОЛГОПОЛОВА Светлана Олеговна
Врач-стоматолог
Клиника на пл. Карла Маркса, 1
Записаться
ЧУЧКАЕВА
ЧУЧКАЕВА Ксения Викторовна
Стоматолог-хирург
Детская клиника на Ленина, 17
Записаться