Записаться
МАРЦИ

МАРЦИ Анастасия Викторовна

Ортодонт
Врач высшей категории
Специалисты с опытом от 5 лет. Уверенно работают со сложными случаями, владеют сложными манипуляциями и получают отличные отзывы. Подробнее здесь
Стаж работы 10 лет
Принимает в клиниках
Клиника хирургии лица и стоматологии на Сакко и Ванцетти, 77
Категории пациентов
дети
подростки
взрослые
Делать улыбку красивой, а людей счастливыми — это моя мечта со школьных времен! Поэтому, куда поступать и на кого учиться, я долго не думала. Сейчас, после нескольких лет учебы, я работаю в сети клиник «Дентал-Сервис» с большими профессионалами своего дела и могу сказать точно — моя мечта сбылась! Счастливые лица и ослепительные улыбки пациентов после тщательно спланированной и плодотворной работы бесценны. Главное в ортодонтии — полностью довериться доктору, работать с ним в команде, следуя рекомендациям, и не спешить, тогда результат превзойдет все ожидания!

Квалификация

Ортодонтия
Сертификат до 27.06.2028

Основное образование

2016
Высшее - ГБОУ ВПО НГМУ Минздрава России, стоматология
2018
Ординатура - ФГБОУ ВО НГМУ Минздрава России, ортодонтия

Повышение квалификации, дополнительное образование

2020
Сертификационный курс Министерства здравоохранения РФ «Диагностика, лечение, профилактика новой коронавирусной инфекции (COVID-19) в первичной медико-санитарной помощи»
Профессиональные навыки
Проведение полной диагностики с составлением плана лечения
Подготовка к ортогнатии, челюстно-лицевым операциям
Миофункциональный подход
Эстетическая ортодонтия
Результаты лечения пациентов
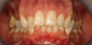
До лечения

Обратились с жалобами на кривые зубы.
Пациенту 10 лет.

Как лечили

Проведено расширение верхней челюсти и миофункциональное лечение с использованием трейнеров и комплекса упражнений.
Срок лечения: 12 месяцев.

Лечащий врач

МАРЦИ Анастасия Викторовна

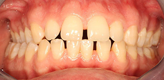
До лечения

Неправильный травмирующий прикус, смещение центра на нижней челюсти влево. Родители хотели избежать ношения брекетов в будущем.
Пациенту 11 лет.

Как лечили

Миофункциональное лечение с использованием трейнеров и комплекса упражнений.
Срок лечения 12 мес.

Лечащий врач

МАРЦИ Анастасия Викторовна

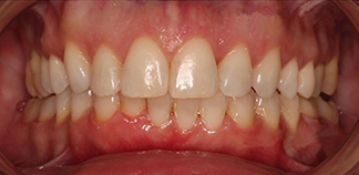
До лечения

Обратились с жалобой на кривые зубы и недостаток места для постоянных зубов..
Пациенту 9 лет.

Как лечили

Проведено расширение верхней челюсти и миофункциональное лечение с использованием трейнеров и комплекса упражнений.
Срок лечения: 10 месяцев.

Лечащий врач

МАРЦИ Анастасия Викторовна

До лечения

Обратились с жалобой на недостаток места для постоянных зубов и неправильный прикус.
Пациенту 5 лет.

Как лечили

Миофункциональное лечение с использованием трейнеров и комплекса упражнений.
Срок лечения: 10 месяцев.

Лечащий врач

МАРЦИ Анастасия Викторовна

До лечения

Обратились с жалобой на кривые зубы и недостаток места для постоянных зубов.
Пациенту 10 лет.

Как лечили

Миофункциональное лечение с использованием трейнеров и комплекса упражнений.
Срок лечения: 12 месяцев.

Лечащий врач

МАРЦИ Анастасия Викторовна

До лечения

Жалобы на не прорезавшийся зуб.

Как лечили

Проведено ортодонтическое лечение на брекетах. Верхний зубной ряд был сдвинут вправо для создания места под клык, зуб прорезался самостоятельно.

Лечащий врач

МАРЦИ Анастасия Викторовна

До лечения

Жалобы на неровные зубы.

Как лечили

Проведено ортодонтическое лечение на брекетах. Расширен верхний зубной ряд, убран перекрестный прикус, создано место для импланта.

Лечащий врач

МАРЦИ Анастасия Викторовна

До лечения

Жалобы на скученность зубов.

Как лечили

Проведено ортодонтическое лечение на брекетах.

Лечащий врач

МАРЦИ Анастасия Викторовна

До лечения

Жалобы на постоянные головные боли и мышечные боли в области жевательных мышц.
Пациенту 31 год.

Как лечили

Установлена сплит-терапия для расслабления мышечного тонуса далее была установлена самолигирующая брекет-система с декомпенсацией прикуса. После подготовки проведена ортогнатическая хирургия.
Лечение проведено в течение 20 мес.

Лечащие врачи
ЧЕРНЯВСКИЙ Виктор Борисович, МАРЦИ Анастасия Викторовна, ДУДКИН Виктор Сергеевич
До лечения

Жалобы на эстетику лица и зубов, выпирающий подбородок, смыкание зубов.
Пациенту 29 лет.

Как лечили

Заменена пломба на фронтальном зубе, удалены восьмерки. Проведено лечение на самолигирующей брекет-системе Н4, устранили повороты и скученность зубов. Проведена челюстно-хирургическая операция.
Лечение проведено в течение двух лет.

Лечащие врачи
СИЛИЧ Наталья Николаевна, МАРЦИ Анастасия Викторовна, ДУДКИН Виктор Сергеевич
До лечения

Жалобы на оголение участков корней и повышенную чувствительность, неровные зубы.
Пациенту 34 года.

Как лечили

Скорректирована домашняя гигиена, закрыта рецессия десны на верхней и нижней челюсти. Далее пациент проходил ортодонтическое лечение.
Установлен имплант.

Лечащие врачи
ХАРЛОВА Владлена Олеговна, МАРЦИ Анастасия Викторовна, ГУКАСЯН Гукас Арутюнович
Отзывы пациентов
Anastasia Zashihina
10.10.2024
Прошла лечение на брекетах у Анастасии Викторовны Марци. Весь процесс занял 2,3 года с 8.02.22г. Лечение прошло легко для меня, хотя как я понимаю, случай был не самый легкий. Анастасия Викторовна подготовила меня к операции, кото...
G*eK*Z0*D
09.07.2024
Несколько лет наблюдаюсь тут у стоматологов и хожу на профессиональную чистку со фторированием, а в прошлом году поставил брекеты тоже в этой клинике. Анастасия Викторовна Марци - ван лав) Никогда не было каких-либо нареканий....
Алина Глушич
11.04.2024
Прекрасная клиника! Желаю выразить огромную благодарность доктору Марци Анастасии Викторовне, знакомство с ней буквально изменило мою жизнь на до и после. Проходила у нее лечение на брекет-системе и у меня изменилась не только улы...
Пациент +7 923 77XXXXX
04.11.2022
Обратился в клинику "Дентал-сервис"! Записали на прием к Марци Анастасии Викторовне, по прибытии в клинику администраторы встретили вежливо. В назначенное время вышел врач и пригласил меня в кабинет, сделали снимок и сле...

МАРЦИ Анастасия Викторовна — ортодонт, врач высшей категории в сети стоматологических клиник Дентал-Сервис. Стаж работы 10 лет. Ведет прием у пациентов: взрослые, дети, подростки. Оказывает услуги: ортодонтия, брекеты, детская ортодонтия, миофункциональное лечение, лечение внчс. Профессиональные навыки: проведение полной диагностики с составлением плана лечения, подготовка к ортогнатии, челюстно-лицевым операциям, миофункциональный подход, эстетическая ортодонтия.

Врач высшей категории принимает по повышенному прайсу

Услуга
Цена, руб.

Ортодонтический прием и диагностика

Прием врача-ортодонта первичный
от 1 100 руб.
Прием врача-ортодонта повторный для составления плана лечения
от 2 200 руб.
Прием врача-ортодонта пациентов проходящих лечение в другой клинике
от 5 600 руб.
Компьютерный анализ телерентгенограммы
от 4 900 руб.
Полная диагностика перед ортодонтическим лечением
Услуга включает: снятие альгинатного оттиска с одной челюсти или сканирование, определение прикуса, изготовление контрольной модели при ортодонтическом лечении, антропометрические исследования, анализ ТРГ, фотографирование, составление плана лечения
от 9 800 руб.
Функциональная диагностика с использованием артикулятора
Услуга включает: определение вида смыкания зубных рядов с помощью лицевой дуги, снятие альгинатного оттиска с одной челюсти, сканирование, определение прикуса, изготовление контрольной модели при ортодонтическом лечении, антропометрические исследования, гипсовка в артукулятор, фотографирование.
от 20 700 руб.

Комплексное лечение на брекетах

Раннее лечение с использованием металлических брекетов на одной челюсти
Ортодонтическое лечение у подростка в период смены зубов с молочных на постоянные.
от 66 000 руб.
Раннее лечение с использованием эстетических брекетов на одной челюсти
Ортодонтическое лечение у подростка в период смены зубов с молочных на постоянные.
от 96 000 руб.
Полное лечение с использованием металлических брекетов на одной челюсти
Ортодонтическое лечение, когда все зубы у пациента уже сменились на постоянные.
от 149 000 руб.
Полное лечение с использованием эстетических брекетов на одной челюсти
Ортодонтическое лечение, когда все зубы у пациента уже сменились на постоянные.
от 218 000 руб.

Лечение на элайнерах

Прием врача-ортодонта повторный для планирования и составления плана ортодонтического лечения на элайнерах (3D-клинчек)
Выполнение 3D-клинчек – это видеоматериал с виртуальной объемной моделью перемещения зубов при лечении. Его создание возможно только после диагностики. Выполняется перед началом лечения, служит для визуализации и для последующего производства элайнеров.
от 15 000 руб.
Ортодонтическая коррекция с применением элайнеров "DentalAlign", 1 шт
от 8 500 руб.
Ортодонтическая коррекция с применением элайнеров "StarSmile" (1-10 кап) у взрослых и подростков
от 115 000 руб.
Ортодонтическая коррекция с применением элайнеров "Eurokappa" (1-12 кап)
от 184 000 руб.
Ортодонтическая коррекция с применением элайнеров "FlexLigner" на 1 челюсти
от 305 900 руб.

Лечение на съемных аппаратах

Прием врача-ортодонта повторный (при лечении на съемном аппарате)
Выбор съемного аппарата производит лечащий врач после диагностики на осном приеме. Список апааратов, выведенный на сайте, является ознакомительным.
от 1 200 руб.
Ортодонтическая коррекция съемным аппаратом вестибулярная пластинка
от 12 600 руб.
Ортодонтическая коррекция съемным аппаратом LM-активатор
от 15 000 руб.
Ортодонтическая коррекция съемным аппаратом Миобрейс
от 15 500 руб.
Ортодонтическая коррекция съемным аппаратом "Haas"
от 36 800 руб.

Миофункциональное лечение

Прием врача-ортодонта повторный для планирования и составления плана миофункционального лечения
от 8 000 руб.
Диагностика первичная при миофункциональном лечении
В услугу включено: антропометрические исследования, снятие альгинатного оттиска с одной челюсти, изготовление контрольной модели, составление плана лечения.
от 10 400 руб.
Ортодонтическое лечение с применением миофункциональных аппаратов
Уникальная услуга, альтернативный способ исправления прикуса. В основе курса — система тренировки мышц челюстно-лицевой области с помощью функциональных аппаратов — трейнеров и ежедневных упражнений.
от 117 000 руб.
Курс консультаций по использованию миофункционального аппарата с комплексом упражнений (10 приемов)
Консультация проводится совместно с логопедом
от 32 700 руб.

Лечение височно-нижнечелюстного сустава (ВНЧС)

Прием стоматолога-хирурга/артролога первичный
от 4 600 руб.
Прием стоматолога-хирурга/артролога повторный
В течение 1 года
от 2 600 руб.
Функциональная цифровая диагностика
Сканы зубных рядов и аксиография верхне-нижнего челюстного сустава
от 27 500 руб.
Аксиография верхне-нижнего челюстного сустава
от 16 500 руб.
Миостимуляционная терапия прибором ТЕНС (1 процедура)
от 15 400 руб.
Миогимнастика
от 1 500 руб.
Внутрисуставное введение лекарственных препаратов в ВНЧС
от 1 500 руб.

Хирургическое лечение височно-нижнечелюстного сустава (ВНЧС)

Внутрисуставное введение заменителей (протезов) синовиальной жидкости
от 16 500 руб.
Эндоскопическая операция на ВНЧС, артроскопическая санация сустава (1 сустав)
от 49 500 руб.
Артропластика височно-нижнечелюстного сустава (открытая репозиция суставных дисков ВНЧС, 1 сустав)
от 81 400 руб.

Мы предлагаем вам ознакомиться с общим графиком работы врача на месяц. Пожалуйста, обратите внимание, что доступные слоты для записи не указаны. Чтобы узнать свободное время для записи, пожалуйста, свяжитесь с нашим контактным центром. Наши операторы с радостью помогут вам!

Выбрано для предварительной записи:

Другие специалисты

ЗАИКИНА (БУРКАЦКАЯ)
ЗАИКИНА (БУРКАЦКАЯ) Мария Олеговна
Стоматолог-терапевт
Клиника на Блюхера, 30
Записаться
ГОРЯЧКИНА (ЕЩЕНКО)
ГОРЯЧКИНА (ЕЩЕНКО) Анна Евгеньевна
Врач-стоматолог
Клиника хирургии лица и стоматологии на Сакко и Ванцетти, 77
Записаться
МОНИЧ
МОНИЧ Кирилл Михайлович
Врач-стоматолог
Профессорская клиника на Николаева, 12/3 (Академгородок)

Принимает еще в 2 клиниках

Записаться
РЖАННИКОВА
РЖАННИКОВА Мария Константиновна
Детский стоматолог
Клиника на Никольском проспекте, 1 (Кольцово)
Записаться
МАРЧЕНКО (КОСЕВА)
МАРЧЕНКО (КОСЕВА) Полина Сергеевна
Стоматолог-хирург
Клиника на пл. Карла Маркса, 1
Записаться
ОСТАНИНА
ОСТАНИНА Валентина Алексеевна
Анестезиолог-реаниматолог
Кандидат медицинских наук
Детская клиника на Ленина, 17
Записаться
МЕЛЬНИКОВА (ФОКИНА)
МЕЛЬНИКОВА (ФОКИНА) Дарья Сергеевна
Врач-стоматолог
Клиника хирургии лица и стоматологии на Сакко и Ванцетти, 77
Записаться
КИДОН
КИДОН Елена Юрьевна
Стоматолог-терапевт
Клиника на Блюхера, 30
Записаться
ДУДОЛАДОВА (БЕККЕР)
ДУДОЛАДОВА (БЕККЕР) Александра Олеговна
Врач-стоматолог
Клиника хирургии лица и стоматологии на Сакко и Ванцетти, 77
Записаться
ГАВРИЛЕНКО
ГАВРИЛЕНКО Наталья Валентиновна
Рентгенолаборант
Клиника на Вокзальной, 50/1 (Бердск)
Записаться
ПАСЕКА
ПАСЕКА Дина Александровна
Зубной врач
Детская клиника на Ленина, 17
Записаться
ДУБРОВСКАЯ Софья Владимировна
Стоматолог-терапевт
Клиника на Героев Труда, 4 (Академгородок)
Записаться