Записаться
БАЛЕВ

БАЛЕВ Дмитрий Олегович

Стоматолог-хирург
Ведущий специалист
Опытные специалисты со стажем от 7 лет. Ведут сложные случаи, обучают врачей и владеют продвинутыми методиками. Подробнее здесь
Стаж работы 16 лет
Принимает в клиниках
Клиника на Вокзальной, 50/1 (Бердск)
Клиника на Никольском проспекте, 1 (Кольцово)
Категории пациентов
дети
подростки
взрослые
Человек улыбается в лучшие моменты своей жизни: когда слышит приятное известие, радуется приходу друзей, успехам на работе. Поэтому на мне, как на «создателе» совершенных улыбок — большая ответственность. Красивая улыбка также считается показателем крепкого здоровья и жизненного успеха своего обладателя. Не секрет, что похвастаться природным здоровьем и красотой своих зубов могут далеко не все россияне. Моя основная задача — вернуть зубам здоровье, а пациентам — уверенность и красоту.

Квалификация

Стоматология хирургическая
Сертификат до 26.10.2027

Основное образование

2011
Высшее - ГОУ ВПО НГМУ Росздрава, стоматология

Повышение квалификации, дополнительное образование

2012
ГБОУ ВПО НГМУ Минздравсоцразвития России, стоматология хирургическая
2020
Сертификационный курс Министерства здравоохранения РФ «Диагностика, лечение, профилактика новой коронавирусной инфекции (COVID-19) в первичной медико-санитарной помощи»
Профессиональные навыки
Лечение под наркозом
Удаление зубов любой сложности
Комплексная подготовка и проведение имплантации
Анализ компьютерной томографии и составление плана лечения
Проведение зубосохраняющих операций
Результаты лечения пациентов
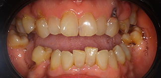
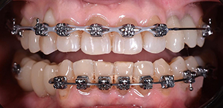
До лечения

Жалобы на скученность зубов.

Как лечили

Ортодонтическое лечение на брекетах. Проведена имплантация и установлены временные коронки в дальнейшем будут установлены постоянные.

Лечащие врачи
СЕМИВОЛОВА Анастасия Владимировна, МИРОШНИЧЕНКО Алексей Михайлович, БАЛЕВ Дмитрий Олегович
До лечения

Жалобы на отсутствие зубов.

Как лечили

Установлены шесть имплантов на верхней челюсти и четыре импланта на нижней. Зафиксированы постоянные коронки.

Лечащие врачи
МИРОШНИЧЕНКО Алексей Михайлович, БАЛЕВ Дмитрий Олегович
Отзывы пациентов
Берестенникова Л Н
31.10.2025
Очень благодарна хирургу Балеву Олеговичу и медсестрам за быстрое и безболезненно удаление сложного зуба. Дольше настраивалась и переживала.
Евгения Лобова
08.08.2025
Прекрасный прием. Все чëтко, доступно.
Клиника приятная, персонал - идеальный.
Врач Балев Д. О. - провёл консультацию, оказал необходимую помощь. Всë четко, доступно, для "тревожников" как я, разъяснил неск...
П*ци*нт
13.06.2025
Дмитрий Балев произвел на меня невероятное впечатление. К сожалению, таких специалистов, как он, немного. Не буду углубляться в детали его работы, просто отмечу, что у него действительно золотые руки. Если вдруг произойдет какая-т...
П*ци*нт
27.04.2025
Действительно, как и многие отмечают, он очень внимательный и тактичный специалист. Удаление сложного зуба прошло быстро и без лишних неприятных ощущений. Доктор подробно объяснил процесс и дал полезные рекомендации по уходу после...
Лариса Гренбэк
24.01.2025
Хочу поблагодарить хирурга Балева Дмитрия Олеговича за его уверенную, точную, быструю и безболезненную работу. Замечательно, что он может научить всему этому и подопечных в Профессорской клинике. Спасибо, Дмитрий Олегович.
Акции с участием врача
Смотреть все
Бесплатная консультация по имплантации и КТ
Вернем здоровье и красоту вашей улыбки!
Реклама ООО "Дентал-Сервис Бердск" ИНН 544525957, erid: 2VfnxwD8CRn

20 августа 2025-30 апреля 2026

БАЛЕВ Дмитрий Олегович — имплантолог, стоматолог-хирург ведущий специалист в сети стоматологических клиник Дентал-Сервис. Стаж работы 16 лет. Ведет прием у пациентов: взрослые. Оказывает услуги: удаление зубов, хирургическая стоматология, удаление зубов мудрости, удаление корня зуба, удаление кисты зуба, имплантация all-on-4, имплантация зубов, одномоментная имплантация, реконструкция костной ткани, имплантация, системы имплантации, цифровая имплантация, имплантация во сне. Профессиональные навыки: лечение под наркозом, удаление зубов любой сложности, комплексная подготовка и проведение имплантации, анализ компьютерной томографии и составление плана лечения, проведение зубосохраняющих операций.

Врач является ведущим специалистом и принимает по повышенному прайсу

Услуга
Цена, руб.

Лечение зубов под микроскопом

Апикальная хирургия. Хирургический и терапевтический этап в области фронтальных зубов
1ый этап хирургический: резекция верхушки корня зуба, цистэктомия, наложение шва на слизистую оболочку рта. 2ой этап терапевтический: инструментальная и медикаментозная обработка корневого канала (ретропрепарирование), закрытие перфорации стенки корневого канала зуба (пломбирование МТА, биокерамикой).
от 50 000 руб.

Хирургическая стоматология

Прием врача-стоматолога-хирурга первичный
от 1 200 руб.
Оказание неотложной стоматологической помощи (без учета анестезии)
от 4 700 руб.
Удаление постоянного зуба (без учета анестезии)
от 8 000 руб.
Удаление зуба мудрости (восьмерки) (без учета анестезии)
от 8 000 руб.
Удаление ретинированного, дистопированного или сверхкомплектного зуба (без учета анестезии)
от 23 000 руб.
Лечение периостита (без учета анестезии)
Вскрытие подслизистого или поднадкостничного очага воспаления в полости рта
от 3 500 руб.
Лечение перикоронита (без учета анестезии)
В процедуру входит: промывание, рассечение и/или иссечение капюшона
от 6 700 руб.
Гингивэктомия в области одного зуба (без учета анестезии)
Удаление разросшихся мягких тканей десен.
от 4 500 руб.
Вскрытие и дренирование абсцесса полости рта (фурункула)
от 5 600 руб.
Гингивопластика
Пластика мягких тканей при имплантации, костной пластике, изменении фенотипа десны
от 32 500 руб.
Синус-лифтинг (костная пластика, остеопластика), открытый, в области одного зуба
Наращивание костной ткани в области, контактирующей с гайморовыми пазухами.
от 101 300 руб.
Восстановление альвеолярного отростка (в области 1-2 зубов) аутотрансплантом
Восстановление альвеолярного отростка в области 1-2 зубов аутотрансплантом. Альвеолярный отросток — анатомическая часть верхней и нижней челюстей, несущая на себе зубы.
от 108 800 руб.
Удаление экзостоза, хондромы
от 5 800 руб.
Удаление новообразования мягких тканей (слизистой полости рта)
от 11 900 руб.
Удлинение клинической коронки
Лоскутная операция в полости рта по удлинение клинической коронки
от 13 800 руб.
Вестибулопластика (1 челюсть)
от 15 800 руб.
Удаление постоянного зуба средней сложности
от 10 400 руб.
Удаление постоянного зуба сложное с разъединением корней
от 13 500 руб.
Удаление зубного имплантата
Стоимость указана без учета анестезии.
от 18 400 руб.

Дентальная имплантация

Прием врача стоматолога по имплантации
Консультация по дентальной имплантации проводится врачом стоматологом-хирургом/cтоматологом-ортопедом.
бесплатно
Система имплантации Implantium (Ю.Корея). Хирургический этап
Внутрикостная дентальная имплантация системой Implantium
от 42 000 руб.
Система имплантации Implantium (Ю.Корея). Ортопедический этап
Протезирование бокового зуба коронкой из диоксида циркония, с абатментом из системы Implantium
от 42 000 руб.
Система имплантации Implantium (Корея). Имплантат + коронка
Включает хирургический и ортопедический этап системой Implantium
от 84 000 руб.
Система имплантации AnyOne (Ю.Корея). Хирургический этап
Внутрикостная дентальная имплантация системой AnyOne
от 48 700 руб.
Система имплантации AnyOne (Ю.Корея). Ортопедический этап
Протезирование бокового зуба коронкой из диоксида циркония, с абатментом из системы AnyOne
от 48 700 руб.
Система имплантации AnyOne (Ю.Корея). Имплантат + коронка
Включает хирургический и ортопедический этап системой AnyOne
от 97 400 руб.
Система имплантации Renova (США). Хирургический этап
Внутрикостная дентальная имплантация системой Renova
от 53 900 руб.
Система имплантации Renova (США). Ортопедический этап
Протезирование бокового зуба коронкой из диоксида циркония, с абатментом из системы Renova
от 61 800 руб.
Система имплантации Renova (США). Имплантат + коронка
Включает хирургический и ортопедический этап системой Renova
от 115 700 руб.
Системы имплантации Medentika (Германия). Хирургический этап
Внутрикостная дентальная имплантация системой Medentika
от 61 800 руб.
Система имплантации Medentika (Германия). Ортопедический этап
Протезирование бокового зуба коронкой из диоксида циркония, с абатментом из системы Medentika
от 61 800 руб.
Системы имплантации Medentika (Германия). Имплантат + коронка
Включает хирургический и ортопедический этап системой Medentika
от 123 600 руб.
Системы имплантации Astra Tech (Швеция) или Nobel Biocare (Швеция). Хирургический этап
Внутрикостная дентальная имплантация системой Astra Tech или Nobel Biocare
от 76 200 руб.
Системы имплантации Astra Tech (Швеция) или Nobel Biocare (Швеция). Ортопедический этап
Протезирование бокового зуба коронкой из диоксида циркония, с абатментом из системы Astra Tech или Nobel Biocare
от 76 200 руб.
Системы имплантации Astra Tech (Швеция) или Nobel Biocare (Швеция). Имплантат + коронка
Включает хирургический и ортопедический этап системой Astra Tech или Nobel Biocare
от 152 400 руб.
Системы имплантации Straumann (Швейцария). Хирургический этап
Внутрикостная дентальная имплантация системой Straumann
от 89 300 руб.
Системы имплантации Straumann (Швейцария). Ортопедический этап
Протезирование бокового зуба коронкой из диоксида циркония, с абатментом из системы Straumann
от 89 300 руб.
Системы имплантации Straumann (Швейцария). Имплантат + коронка
Включает хирургический и ортопедический этап системой Straumann
от 178 600 руб.
Одномоментная имплантация
Удаление и установка имплантата за один прием. Возможно к установке системы имплантации AnyOne, Renova, Astra Tech, Nobel Biocare, Straumann.
от 68 300 руб.
Хирургический и ортопедический этап имплантации по системе «Все-на-четырех»
Входит в стоимость минимума: установка 4 единиц имплантов по цифровому хирургическому шаблону + полное съемное протезирование из пластмассы (временные коронки: 4 ед на имплатах, 8 ед подвесных, 4 единицы аббатментов, литая балка).
от 540 900 руб.
Аугментация альвеолярногно отростка (в пределах одного зуба) костным материалом
от 46 000 руб.
Синус-лифтинг (костная пластика, остеопластика), открытый, в области одного зуба
Наращивание костной ткани в области, контактирующей с гайморовыми пазухами.
от 101 300 руб.

Анестезиология

Аппликационная анестезия
от 700 руб.
Инфильтрационная анестезия (одна карпула)
от 1 700 руб.
Проводниковая анестезия (одна карпула)
от 1 700 руб.

Лечение под наркозом

Консультация врача-анестезиолога-реаниматолога
от 2 000 руб.
Медикаментозный сон (вводный наркоз + первый час + постнаркозное наблюдение)
от 15 000 руб.
Ингаляционный наркоз для краткосрочных вмешательств с использованием севорана (до 30 минут)
от 9 200 руб.

Лечение в седации

Консультация врача-анестезиолога-реаниматолога
При стоматологическом наркозе используется безопасный препарат севоран, он погружает человека в глубокий сон.
от 2 000 руб.
Сочетанная анестезия (внутривенная седация 1 час)
Внутривенная седация один час, используется для взрослых.
от 13 500 руб.

Мы предлагаем вам ознакомиться с общим графиком работы врача на месяц. Пожалуйста, обратите внимание, что доступные слоты для записи не указаны. Чтобы узнать свободное время для записи, пожалуйста, свяжитесь с нашим контактным центром. Наши операторы с радостью помогут вам!

Выбрано для предварительной записи:

Другие специалисты

БУТОРИН
БУТОРИН Руслан Евгениевич
Врач-стоматолог
Челюстно-лицевой хирург
Клиника хирургии лица и стоматологии на Сакко и Ванцетти, 77
Записаться
ТИГРАНЯН
ТИГРАНЯН Варангюл Гургенович
Стоматолог-хирург
Клиника на Вокзальной, 50/1 (Бердск)

Принимает еще в 1 клинике

Записаться
МАРЧЕНКО (КОСЕВА)
МАРЧЕНКО (КОСЕВА) Полина Сергеевна
Стоматолог-хирург
Клиника на пл. Карла Маркса, 1
Записаться
ЕЧИНА
ЕЧИНА Татьяна Викторовна
Стоматолог-хирург
Клиника на Вокзальной, 50/1 (Бердск)
Записаться
ТУРОВА
ТУРОВА Дарья Александровна
Стоматолог-хирург
Клиника хирургии лица и стоматологии на Сакко и Ванцетти, 77

Принимает еще в 1 клинике

Записаться
МОРОЗОВ
МОРОЗОВ Дмитрий Владимирович
Стоматолог-хирург
Зам. главного врача клиники в Бердске, Вокзальная 50/1
Клиника на Вокзальной, 50/1 (Бердск)
Записаться
ПИЛИПЮК
ПИЛИПЮК Виталий Евгеньевич
Челюстно-лицевой хирург
Клиника на Блюхера, 30

Принимает еще в 1 клинике

Записаться
ПОГРЕБНЯК Владислав Игоревич
Врач-стоматолог
Профессорская клиника на Николаева, 12/3 (Академгородок)
Записаться
ВОХ
ВОХ Игорь Анатольевич
Стоматолог-хирург
Клиника на Революции, 10

Принимает еще в 1 клинике

Записаться
МИРЗОЯН Валерия Арменовна
Челюстно-лицевой хирург
Клиника хирургии лица и стоматологии на Сакко и Ванцетти, 77
Записаться
МАКАРОВА (ШИШКОВСКАЯ)
МАКАРОВА (ШИШКОВСКАЯ) Орыся Владимировна
Стоматолог-хирург
Челюстно-лицевой хирург
Клиника на Блюхера, 30

Принимает еще в 1 клинике

Записаться
МОНИЧ
МОНИЧ Кирилл Михайлович
Врач-стоматолог
Профессорская клиника на Николаева, 12/3 (Академгородок)
Записаться